патент
№ RU 2646132
МПК C12N1/14

РЕКОМБИНАНТНЫЙ ШТАММ МИЦЕЛИАЛЬНОГО ГРИБА PENICILLIUM CANESCENS CL14, ПРОДУЦИРУЮЩИЙ КОМПОНЕНТ ЦЕЛЛЛЮЛОСОМЫ CLOSTRIDIUM THERMOCELLUM, И СПОСОБ ЕГО КУЛЬТИВИРОВАНИЯ

Авторы:
Рожкова Александра Михайловна Баширова Анна Вячеславовна Середа Анна Сергеевна
Все (7)
Номер заявки
2016148722
Дата подачи заявки
13.12.2016
Опубликовано
01.03.2018
Страна
RU
Как управлять
интеллектуальной собственностью
Чертежи 
6
Реферат

Изобретение относится к биотехнологии. Предложен рекомбинантный штамм мицелиального гриба Penicillium canescens СL14 ВКМ F-4706D, продуцирующий бактериальную термофильную целлюлазу Cel5L из Clostridium thermocellum с молекулярной массой 48 кДа. Указанный штамм получают путем трансформации исходного штамма P.canescens RN3-11-7 niaD(-) плазмидой, несущей ген celL, кодирующей целлюлазу Cel5L из бактерии Clostridium thermocellum. Предложен также способ культивирования указанного штамма, включающий выращивание штамма на питательной среде следующего состава (г/л): соевая мука – 45, кукурузный экстракт – 40, KHPO– 6, CaCl- 0,23, MgSO×7HO - 0,3, дрожжевой экстракт – 10, пшеничные отруби – 10. Группа изобретений обеспечивает эффективную продукцию целлюлазы Cel5L из Clostridium thermocellum в гетерологичном грибном штамме-хозяине. 2 н.п. ф-лы, 6 ил., 1 табл., 4 пр.

Формула изобретения

1. Рекомбинантный штамм гриба Penicillium canescens CL14 (ВКМ F-4706D), продуцирующий бактериальную термофильную целлюлазу Clostridium thermocellum c молекулярной массой 48 кДа.

2. Способ культивирования штамма по п. 1, отличающийся тем, что штамм по п. 1 выращивают на питательной среде следующего состава, г/л: соевая мука - 45, кукурузный экстракт - 40, КН2РО4- 6, СaCl2- 0,23, MgSO4×7H2O - 0,3, дрожжевой экстракт - 10, пшеничные отруби - 10.

Описание

[1]

Изобретение в области биотехнологии относится к микробиологической промышленности и представляет собой способ получения и культивирования рекомбинантного штамма мицелиального гриба Penicillium canescens CL14 ВКМ F-4706D, секретирующего термостабильную целлюлазу Cel5L из Clostridium thermocellum.

[2]

Реконструкция целлюлосомы in vitro является технологически востребованной задачей в связи с уникальными гидролитическими свойствами комплекса бактериальных целлюлаз по отношению к целлюлозосодержащим растительным материалам [Roy H.Doi and Akihiko Kosugi, Cellulosomes: Plant-Cell-Wall-Degrading Enzyme Complexes, Nature Reviews, 2004, V.2, 541-551]. Разработка нового рекомбинантного штамма на основе мицелиального гриба Penicillium canescens, продуцирующего термостабильную целлюлазу 5-го семейства гликозил-гидролаз, Cel5L, позволит получить новый компонент целлюлосомы грамположительной бактерии Clostridium thermocellum, что является необходимым шагом для реконструкции целлюлосомы in vitro. Техническая значимость создания синтетической целлюлосомы (реконструкции) состоит в способности бактериальных целлюлаз к синергетическому взаимодействию, что приводит к повышению эффективности каталитического расщепления растительных полимеров до технических сахаров [Stern J, Kahn A, Vazana Y, Shamshoum M, Moraïs S, Lamed R, et al. (2015) Significance of Relative Position of Cellulases in Designer Cellulosomes for Optimized Cellulolysis. PLoS ONE 10(5): e0127326. doi:10.1371/journal.pone.0127326].

[3]

Cel5L является одной из основных структурных единиц целлюлосомы Clostridium thermocellum, мультиферментного комплекса, состоящего из ряда целлюлаз с различной субстратной специфичностью. Недавно было показано, что фермент Cel5L обладает свойствами процессивной целлобиозидазы, включая высокую активность по отношению к аморфной и кристаллической целлюлозе, а также существенной активностью по β-глюкану [Pillip J.Brumm et al, Clostridium thermocellum Cel5L- Cloning and Characterization of a New, Thermostable GH5 Cellulase, IJBcRR, 2015, V.6(2), 62-74].

[4]

К числу наиболее перспективных микроорганизмов для получения ферментных препаратов карбогидраз на сегодняшний день относятся микроскопические грибы рода Trichoderma, Penicillium, а также Aspergillus, что обусловлено в основном их высоким уровнем секреции внеклеточных ферментов [Gusakov A.V. Alternatives to Trichoderma reseei in biofuel production / Trends in Biotechnology. – 2011. - T. 29. - № 9. - С. 419-425, Чекушина А.В., Доценко Г.С., Синицын А.П. / Сравнение эффективности процессов биоконверсии растительного сырья с использованием биокатализаторов на основе Penicillium и Trichoderma. // Катализ в промышленности. – 2012. - № 6. - С. 68-76].

[5]

Полученные ранее патенты показывают, что одним из возможных биотехнологически значимых микроорганизмов может являться штамм P.canescens RN3-11-7 niaD(-), неоднократно успешно используемый как реципиент для получения продуцентов гомологичных и гетерологичных белков с использованием сильных промоторов гена ксиланазы и β-галактозидазы, например гетерологичной эндо-1,4-β-глюканазы III P.verruculosum с использованием сильных промоторов гена ксиланазы и β-галактозидазы [Рожкова А.М. Волков П.В., Кондратьева Е.А., Сатрутдинов А.Д. и др. Создание продуцентов биотехнологически важных ферментов на основе рекомбинантного штамма гриба Penicillium canescens. Хранение и переработка сельхозсырья. – 2010. - № 7. - С. 37-39, патент РФ2238974 (С2) опубл. 27.10.2004, ДНК-фрагмент мицелиального гриба Penicillium verruculosum, кодирующего синтез секретируемой эндоглюканазы и группа штаммов Penicillium сanescens, продуцирующих эндоглюканазу III Penicillium verruculosum, cконструированных методами трансформации и генетической инженерии, основываясь на этих фрагментах], α-галактозидазы и пектинлиазы А из P.canescens, целлобиогидролазы I, целлобиогидролазы II и ЭГ II из P.verruculosum [Бушина Е.В., Рожкова А.М., Зоров И.Н., Сатрутдинов А.Д., Беккаревич А.О., Кошелев А.В., Окунев О.Н., Синицын А.П. Создание комплексных ферментных препаратов пектиназ и целлюлаз для переработки свекловичного жома. // Прикладная биохимия и микробиология. – 2012. – T. 48. - № 5. - С. 543-549], β-глюкозидазы и инулиназ из A.niger [Волков П.В., Синицына О.А., Федорова Е.А., Рожкова А.М., Сатрутдинов А.Д., Зоров И.Н., Окунев О.Н., Гусаков А.В., Синицын А.П. Выделение и свойства рекомбинантных инулиназ Aspergillus sp. // Биохимия. – 2012. - Т. 77, - № 5. - С. 611-621]. В качестве примера, демонстрирующего потенциал гриба Penicillium canescens как реципиента для экспрессии гетерологичных генов, следует привести монографию [Sinitsyn AP and Rozhkova AM, Penicillium canescens host as the platform for development of a new recombinant strains producers of carbohydrases, Microbiology Monographs, «Mocroorganisms in Biorefineries», Ed. B.Kamm, Springer, 2015, p.1-19, ISSN 1862-5576, ISBN 978-3-662-45208-0, DOI 10.1007/978-3-662-45209-7, Springer].

[6]

Прототипом разработанного технического решения может служить патент РФ № 2378372 «Генетическая конструкция для обеспечения экспрессии целевых гомологичных и гетерологичных генов в клетках мицелиального гриба Penicillium verruculosum, используемого в качестве хозяина, способ получения штамма гриба Penicillium verruculosum и способ получения ферментного препарата».

[7]

Техническая задача, решаемая в результате применения группы разработанных технических решений, состоит в создании штамма-продуцента путем трансформации исходного штамма P.canescens RN3-11-7 niaD(-) плазмидой, несущей ген celL, кодирующей термостабильную целлюлазу Cel5L из Clostridium thermocellum, и подбор среды для культивирования полученного штамма-продуцента с целью получения полноразмерного белка Cel5L.

[8]

Техническим результатом, получаемым при реализации разработанных технических решений, является возможность эффективной продукции целлюлазы из Clostridium thermocellum в гетерологичном хозяине Penicillium canescens RN3-11-7 niaD(-).

[9]

Для получения указанного технического результата используют полинуклеотидную последовательность гена целевого белка. Целевая плазмида содержит кодирующую последовательность гена celL и функционально связанные с ним регуляторные элементы, промотор и терминатор гена ксиланазы А (xylA) из P.canescens. При реализации указанного способа получают штамм гриба Penicillium canescens CL14 ВКМ F- F-4706D, мультикопийный по гену celL из C.thermocellum.

[10]

Кроме того, для получения указанного технического результата предложен способ культивирования полученного штамма-продуцента P.canescens, секретирующего целевой белок Cel5L, на среде, состав которой существенно отличается от стандартной среды для культивирования гриба P.canescens. Одним из ключевых изменений в составе среды является добавление дополнительного количества хлорида кальция и замена дрожжевого экстракта на соевую муку, обеспечивающего стабильность секретируемого целевого белка Cel5L.

[11]

Указанные варианты не исчерпывают возможности разработанного способа получения рекомбинантных штаммов P.canescens, экспрессирующих гетерологичные гены из C.thermocellum.

[12]

Схема разработки способа получения каждого из рекомбинантных штаммов, секретирующих целлюлосомальные ферменты из C.thermocellum, состоит из трех типовых этапов.

[13]

Этап 1. Амплифицируют целевой ген целлюлосомального фермента из C.thermocellum – celL, а также промоторную и терминаторную область гена xylA из P.canescens. Конструируют плазмиду pCelL, представляющую собой полинуклеотидную последовательность, состоящую из промоторной области гена xylA, сигнального пептида, целевого гена celL и терминаторной области гена xylA.

[14]

Этап 2. Проводят трансформацию реципиентного высокопродуктивного штамма P.canescens RN3-11-7 niaD(-) целевой плазмидой pCelL, полученной на Этапе 1, в условиях котрансформации вместе с плазмидой, несущей последовательность niaD гена, как маркера селекции, и осуществляют отбор трансформантов, секретирующих в культуральную жидкость целевой фермент. Проводят ферментацию отобранных трансформантов в качалочных колбах и среди них выбирают наиболее продуктивные варианты штаммов-продуцентов.

[15]

Этап 3. Подбирают оптимальные условия культивирования наиболее продуктивного варианта штаммов-продуцентов, обеспечивающих стабильность целевого белка во время культивирования и его максимальную продуктивность.

[16]

Изобретение иллюстрируется следующими примерами.

[17]

Пример 1

[18]

Получение целевой плазмиды pCelL заключалось в клонировании гена сelL [https://www.ncbi.nlm.nih.gov/genome/?term=Clostridium+thermocellum] в универсальный вектор, обеспечивающий экспрессию целевого гена под контролем промотора и терминатора гена xylA из P.canescens.

[19]

Амплификацию гена celL из C.thermocellum проводили с использованием праймеров соответствующего состава:

[20]

CLU 5' GCACAGGCAGCAGGAGCTTCGCCCACTGTTGCTGCTGATC 3'

[21]

CLL 5' AGAGCAAGCCGAGCAGGTTACTCCAGAATAGGAATCTTC 3'

[22]

Методом секвенирования по Сэнгеру были определены нуклеотидные последовательности полученных фрагментов. Схематическое изображение структуры экспрессионных кассет показано на Рис. 1. Косым штрихом на Рис.1 обозначена промоторная область гена ксиланазы А (xylA) из P.canescens, черным цветом – сигнальный пептид (bgaS SS), прямым штрихом - целевой ген из C.thermocellum (celL), квадратным штрихом – терминаторная область гена ксиланазы А (xylA) из P.canescens.

[23]

Аминокислотная последовательность целевого фермента CEL5L представлена на Рис.2, где подчеркнут сигнальный пептид β-галактозидазы.

[24]

Пример 2. Трансформация высокопродуктивного штамма-реципиента P.canescens RN3-11-7 niaD(-) плазмидами, указанными в Примере 1, для получения набора рекомбинантных штаммов, секретирующих целлюлосомальный фермент Cel5L из C.thermocellum.

[25]

К смеси двух плазмид (1 мкг котрансформационной плазмиды PSTA10, несущей ген niaD из A.niger, и 10 мкг плазмиды pCelL, несущей ген celL из C.thermocellum) объемом 20 мкл добавляют 200 мкл раствора протопластов штамма P.canescens RN3-11-7 niaD(-), полученных по методике, описанной в статье [A. Y. Aleksenko, N. A. Makarova, I. V. Nikolaev, A. J. Clutterbuck Integrative and replicative transformation of Penicillium canescens with a heterologous nitrate-reductase gene, Curr. Genet. - 1995. - V. 28. - P. 474-477] и 50 мкл буфера PCT1, содержащего: 50 %-ный ПЭГ 4000 (по объему)+ 0.01M трис-HCl pH 7.5 + 0.02M CaCl2. Смесь аккуратно перемешивают и оставляют на 20 мин во льду. Затем добавляют 500 мкл буфера PCT1 и оставляют на 5 мин при комнатной температуре. Параллельно проводят эксперимент с контрольными протопластами без добавления ДНК. Далее пробирки со смесью протопластов и ДНК центрифугируют при 5000 об/мин в течение 20 мин. Супернатант сливают, а осадок ресуспендируют в 200 мкл стерильного раствора сорбитола (182,2 г/л). Трансформационную смесь стерильно переносят над пламенем горелки в 5 мл верхнего агара (для приготовления 100 мл верхнего агара берут 21,86 г 1,2 М сорбитола, 0,7 г агара, 0,8 г глюкозы, 1 мл 1 М источника азота) перемешивают и распределяют агар по поверхности предварительно подготовленных чашек с нижним агаром (для приготовления 100 мл нижнего агара берут 21,86 г 1,2 М сорбитола, 2 г агара, 0,8 г глюкозы, 1 мл 1М источника азота). Так же переносят и контрольные смеси.

[26]

Готовят три чашки Петри с нижним агаром, две с селективной средой (источник азота: NaNO3 10 мM) и одна – с неселективной (источник азота: NH4Cl 10 мM). Чашки Петри помещают в инкубатор на 30°С и оставляют там на 6 дней. На шестой день роста трансформанты переносят на селективную минимальную среду (источник азота: NaNO3 10 мM). В результате трансформации реципиентного штамма P.canescens RN3-11-7 смесью плазмид получают около от 90 до 170 трансформантов на 10 мкг введенной целевой ДНК, что соответствует стандартной частоте трансформации грибных штаммов.

[27]

Чтобы среди полученных трансформантов отобрать штаммы, в хромосоме которых содержится встроенный ген целевого белка, проводят первичный скрининг трансформантов методом ПЦР-реакции. Скрининг трансформантов pCELL осуществляли с использованием пары праймеров CLU и CLL. Размер полученного ПЦР-продукта ~1500 п.н. соответствует размеру полинуклеотидной последовательности гена celL из C.thermocellum (Рис. 3, РС – штамм-реципиент, 1-23 – трансформанты, PR – плазмида pCELL, отобранные для культивирования клоны подчеркнуты).

[28]

Пример 3. Получение рекомбинантных штаммов P.canescens CL14, мультикопийного по гену celL из C.thermocellum (5-е семейство гликозид-гидролаз, теоретическая молекулярная масса 50 кДа).

[29]

Полученные в Примере 2 позитивные по целевому гену celL трансформанты пересевают на чашки с минимальной средой и источником азота NaNO3и инкубируют при 28ºС в течение 140 часов до образования конидий. Затем трансформанты ферментируют в качалочных колбах, используя ферментационную среду следующего состава, в г/л: соевая шелуха – 45, кукурузный экстракт – 50, KH24 – 25. Колбы инкубируют на качалке при 30оС и 220 об/мин в течение 144 ч. Далее отбирают рекомбинантные штаммы, ферментный комплекс которых содержит целевой белок.

[30]

Для культуральной жидкости отобранных штаммов проводят ДДС-электрофорез в денатурирующих условиях, чтобы идентифицировать полосу, соответствующую целевому белку Cel5L (см. Рис. 4, соответствующая полоса обведена овалом). Для доказательства принадлежности экспрессированного белка к целлюлазе CEL5L был проведен масс-спектрометрический анализ образцов полос, вырезанных из гелей, молекулярная масса которых соответствовала искомой - 45-50 кДа. Результаты MALDI-TOF спектрометрии подтвердили наличие ожидаемого CEL5L белка (см. Рис. 5, совпадающие пептиды обозначены подчеркиванием).

[31]

Таким образом, среди полученных трансформантов был выбран штамм Penicillium canescens CL14, который был депонирован в Всероссийскую коллекцию микроорганизмов под номером ВКМ F-4706 D.

[32]

Пример 4. Оптимизация условий культивирования рекомбинантного штамма P.canescens CL14, мультикопийного по гену celL из C.thermocellum.

[33]

Поскольку стандартная среда для культивирования гриба P.canescens содержит 25 г/л дигидрофосфата калия, то в процессе культивирования в среде должен наблюдаться дефицит ионов кальция, выпадающего в осадок в виде фосфата. В отсутствие ионов кальция в среде для культивирования целлюлосомальный белок Cel5L из C.thermocellum нестабилен, что приводит к деформации белковой глобулы фермента и доступности сайтов протеолиза. Поэтому при формировании состава сред, представленных в Таблице 1, был учтен предыдущий опыт работы с бактериальными целлюлазами, экспрессированными в грибном реципиенте (Среды 1-4, с постепенным снижением количества фосфат-ионов и введением ионов кальция). Основной особенностью сред 5-8 является полная замена соевой шелухи на соевую муку с постепенным снижением концентрации соевой муки в среде и введением стабилизирующих компонентов, взятых на основании предыдущих экспериментов с экспрессией другой целлюлазы Cel48S в грибном штамме Penicillium canescens.

[34]

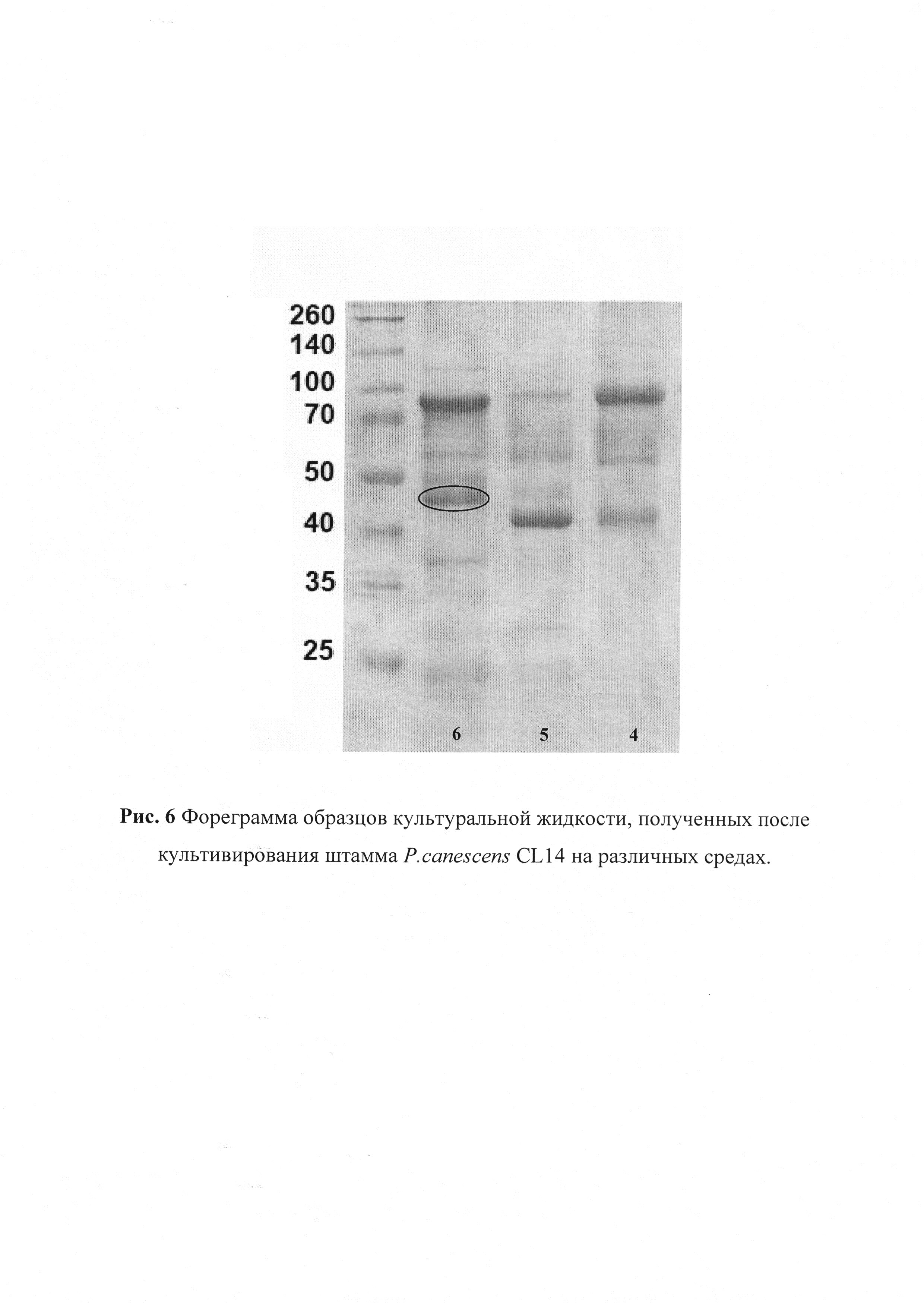
На фореграммах образцов культуральной жидкости рекомбинантных штаммов P.canescens CL14 в 12%-ном ПААГ на 6-е сутки культивирования (Рис. 6) видно, что при использовании сред 1-4 с соевой шелухой молекулярная масса целлюлазы Cel5L ниже теоретически посчитанной (трек 4, Рис. 6, примерно 43-44 кДа), что может быть связано с протеолитическим отщеплением С-конца белка. При замене соевой шелухи на соевую муку в случае использования среды 6 (трек 6, Рис.6, обведено овалом) наблюдалось изменение положения полосы, соответствующей целлюлазе Cel5L. Молекулярная масса Cel5L в случае использования среды 6 составляла 48 кДа, что соответствует теоретической. Следует отметить, что среда 5 (трек 5, Рис.6) без добавления стабилизирующих агентов приводила к увеличению экспрессии целевого, но неполноразмерного белка, а среды 7 и 8 со сниженным содержанием соевой муки приводили к низкой экспрессии Сel5L (данные не приведены).

[35]

Таким образом, целевой белок, Cel5L, был стабилизирован в результате снижения концентрации дигидрофосфата калия до 6 г/л, добавления 0,23 г/л хлорида кальция и замене соевой шелухи на соевую муку в концентрации 45 г/л.

[36]

Анализируя полученные данные, можно заключить, что состав среды № 6 является оптимальным для культивирования рекомбинантного штамма P.canescens CL14 ВКМ F-4706D.

[37]

Таблица 1

[38]

Состав сред для культивирования продуцента P.canescens CL14

[39]

Компоненты, г/лНомер среды
12345678
Соевая шелуха45454545
Соевая мука45453535
Кукурузный экстракт5050504040405050
KH2PO42512,5666666
CaCl2---0,23-0,23-0,23
MgSO4×7H2O---0,3-0,3-
Дрожжевой экстракт---10-10-
Пшеничные отруби---10-10-

Как компенсировать расходы
на инновационную разработку
Похожие патенты