заявка
№ US 20220289863
МПК C07K16/30

ANTIBODIES AGAINST MUC1 AND METHODS OF USE THEREOF

Авторы:
Wayne A. Marasco
Номер заявки
17618363
Дата подачи заявки
15.06.2020
Опубликовано
15.09.2022
Страна
US
Как управлять
интеллектуальной собственностью
Реферат

[0000]

MUC1 is overexpressed in many cancers, including those of the lung, colon, breast, ovary, and pancreas. Aspects of the invention are directed towards the discovery of monoclonal antibodies and fragments thereof, such as a human single chain variable fragment (scFv), that recognizes human MUC1-SEA.

[00000]

Формула изобретения

1. An isolated monoclonal antibody or antigen-binding fragment thereof that binds to a peptide corresponding to the MUC1-SEA domain (SEQ ID NO: 1) or an epitope thereon.

2. The antibody of claim 1, wherein the antibody comprises

a VHcorresponding to one or more amino acid sequences of SEQ ID NO: 12, 13, 14, 15, 16 or a portion thereof,

a VLcorresponding to one or more amino acid sequence of SEQ ID NO: 17, 18, 19, 20, 21 or a portion(s);

or any combination thereof.

3. The antibody of claim 1, wherein the antibody comprises one or more of the amino acid sequences as described in Table 1.

4. The antibody of claim 1, wherein the antibody corresponds to clone T4E3, G2-2-F8, G1-3-A3, G1-2-B10, G1-1-A1, or G3-1-D6.

5. The antibody of claim 1, wherein the CDR3 of the antibody comprises one or more of: the amino acid sequence GMDV at the end of VH-CDR3, a VH-CDR3 that is 15-20 amino acids, has a single amino acid insertion at the 3′ end of VLCDR3, or any combination thereof.

6. The antibody of claim 1, wherein the antibody is humanized or fully human.

7. The antibody of claim 1, wherein the antibody is monospecific or bispecific.

8. The antibody of claim 1, wherein said antibody is a single chain antibody.

9. The antibody of claim 1, wherein said antibody comprises a Fab fragment antibody.

10. The antibody of claim 1, wherein said antibody has a binding affinity within the range of 1 pM to 1 μM.

11. The antibody of according to any one of the preceding claims linked to a therapeutic agent.

12. The antibody of claim 10 wherein said therapeutic agent is a toxin, a radiolabel, a siRNA, a small molecule, or a cytokine.

13. The antibody of claim 11, wherein the therapeutic agent is MMAE.

14. A cell producing the antibody of any one of claims 1-13.

15. A pharmaceutical composition comprising the antibody according to any one of claims 1-13 and a pharmaceutically acceptable excipient.

16. A nucleic acid encoding the antibody according to any one of claims 1-13.

17. A nucleic acid encoding an isolated monoclonal antibody or antigen-binding fragment thereof that binds to a peptide corresponding to the MUC1-SEA domain (SEQ ID NO: 1) or an epitope thereon.

18. The nucleic acid of claim 17, wherein the nucleic acid comprises one or more nucleotide sequences according to SEQ ID NO: 23-32, a portion thereof, or any combination thereof.

19. A vector comprising the nucleic acid of claim 17.

20. A cell comprising the vector of claim 19.

21. A pharmaceutical composition comprising the cell of claim 20.

22. A chimeric antigen receptor (CAR) comprising the antibody of any one of claims 1-13 or an antigen-binding fragment thereof.

23. The CAR of claim 22, wherein the antigen-binding fragment comprises an scFv or a Fab.

24. The CAR of claim 22, wherein the CAR comprises a bispecific CAR or a dual-targeted CAR.

25. A cell comprising the CAR of claim 22-24.

26. The cell of claim 25, wherein the cell comprises a T cell.

27. The cell of claim 23, wherein the cell further secretes an antibody or fragment thereof.

28. The cell of claim 27, wherein the secreted antibody comprises a monoclonal antibody.

29. The cell of claim 27, wherein the secreted antibody comprises an immune checkpoint blockade antibody.

30. The cell of claim 27, wherein the secreted antibody modulates the immune system of a subject.

31. A pharmaceutical composition comprising the cell of claim 25 and a pharmaceutically acceptable excipient.

32. A nucleic acid encoding the CAR according to claim 22-24.

33. An engineered T-cell comprising a nucleic acid encoding a chimeric antigen receptor (CAR), wherein the chimeric antigen receptor is specific for MUC1-SEA domain.

34. The engineered T-cell of claim 33, wherein the CAR comprises an scFv or a Fab.

35. The engineered T-cell of claim 33, wherein the CAR comprises a bi-specific CAR.

36. The engineered T-cell of claim 33, wherein the nucleic acid further encodes a polypeptide, wherein the polypeptide comprises an antibody of fragment thereof that can be secreted from the engineered cell.

37. A pharmaceutical composition comprising the engineered T-cell according to any one of claims 33-36 and a pharmaceutically acceptable excipient.

38. A method for treating a subject afflicted with cancer, the method comprising administering to the subject afflicted with cancer a composition comprising an antibody according to any one of claims 1-13 or a cell according to any one of claims 33-36.

39. The method of claim 38, wherein said cancer expresses MUC1, mesothelin, and/or other tumor associated antigens.

40. The method of claim 38, wherein said cancer comprises an epithelial cancer.

41. The method of claim 40, wherein the epithelial cancer comprises breast cancer, basal cell carcinoma, adenocarcinoma, gastrointestinal cancer, lip cancer, mouth cancer, esophageal cancer, small bowel cancer and stomach cancer, colon cancer, liver cancer, bladder cancer, pancreas cancer, ovary cancer, cervical cancer, lung cancer, breast cancer and skin cancer, such as squamous cell and basal cell cancers, prostate cancer, renal cell carcinoma, and other known cancers that effect epithelial cells throughout the body.

42. The method of claim 38, further comprising administering to said subject a chemotherapeutic agent.

43. The method of claim 38, further comprising selecting a subject with a MUC1-expressing cancer.

44. The method of claim 38, wherein the antibody or cell induces apoptosis of a MUC1-expressing cancer cell.

45. A method for inducing apoptosis of a cancer cell, the method comprising contacting the cancer cell with an antibody according to any one of claims 1-13 or the CAR according to any one of claims 22-24.

46. The method of claim 45, wherein the cancer cell contains on its surface MUC1-SEA.

Описание

[0001]

This application claims priority from U.S. Provisional Patent Application No. 62/861,619, filed on Jun. 14, 2019, the contents of which are incorporated herein by reference in its entirety.

[0002]

All patents, patent applications and publications cited herein are hereby incorporated by reference in their entirety. The disclosures of these publications in their entireties are hereby incorporated by reference into this application in order to more fully describe the state of the art as known to those skilled therein as of the date of the invention described and claimed herein.

[0003]

This patent disclosure contains material that is subject to copyright protection. The copyright owner has no objection to the facsimile reproduction by anyone of the patent document or the patent disclosure as it appears in the U.S. Patent and Trademark Office patent file or records, but otherwise reserves any and all copyright rights.

GOVERNMENT INTERESTS

[0004]

This invention was made with government support under Grant No. 5T32CA207201 awarded by the National Institutes of Health. The government has certain rights in the invention.

FIELD OF THE INVENTION

[0005]

This invention is directed to antibodies against MUC1 and methods of use thereof.

BACKGROUND OF THE INVENTION

[0006]

Mucins line the apical surface of epithelial cells in the lungs, stomach, intestines, eyes, and several other organs, where they protect the body from infection by preventing the pathogen from reaching the cell surface. Mucin 1 (MUC1) is a glycoprotein encoded by the MUC1 gene that serves its protective function by binding to pathogens.

SUMMARY OF THE INVENTION

[0007]

The present invention provides an isolated monoclonal antibody or antigen-binding fragment thereof that binds to a peptide corresponding to the MUC1-SEA domain (SEQ ID NO: 1) or an epitope thereon.

[0008]

In embodiments, the antibody comprises a VH, wherein the VH corresponds to one or more amino acid sequences of SEQ ID NO: 12, 13, 14, 15, 16 or a portion thereof.

[0009]

In embodiments, the antibody comprises a VL, wherein the VL corresponds to one or more amino acid sequence of SEQ ID NO: 17, 18, 19, 20, 21 or a portion(s).

[0010]

In embodiments, the antibody comprises a VH and a VL, wherein the VH corresponds to one or more amino acid sequences of SEQ ID NO: 12, 13, 14, 15, 16 or a portion thereof, and wherein the VL corresponds to one or more amino acid sequence of SEQ ID NO: 17, 18, 19, 20, 21 or a portion(s), or any combination thereof.

[0011]

In embodiments, the antibody comprises one or more of the amino acid sequences as described in Table 1. For example, the antibody comprises one or more of the CDRs described in Table 1. For example, the antibody can correspond to clone T4E3, G2-2-F8, G1-3-A3, G1-2-B10, G1-1-A1, or G3-1-D6.

[0012]

In embodiments, the CDR3 of the antibody comprises one or more of: the amino acid sequence GMDV at the end of VH-CDR3, a VH-CDR3 that is 15-20 amino acids, has a single amino acid insertion at the 3′ end of VL CDR3, or any combination thereof.

[0013]

In embodiments, the antibody can be humanized or fully human.

[0014]

In embodiments, the antibody can be monospecific, bispecific, trispecific, or multispecific.

[0015]

In embodiments, the antibody can be a full chain antibody, a single chain antibody, or an Fab fragment antibody.

[0016]

In embodiments, the antibody has a binding affinity within the range of 1 pM to 1 μM.

[0017]

In embodiments, the antibody of according to any one of the preceding claims linked to a therapeutic agent. For example, the therapeutic agent can be a toxin, a radiolabel, a siRNA, a small molecule, or a cytokine. In a non-limiting example, the therapeutic agent is MMAE.

[0018]

In embodiments, the antibody can be produced by a cell.

[0019]

In embodiments, the antibody can be provided in a pharmaceutical composition comprising the antibody and a pharmaceutically acceptable excipient.

[0020]

The present invention further provides a cell producing an antibody as described herein.

[0021]

Still further, the present invention provides a pharmaceutical composition comprising an antibody described herein and a pharmaceutically acceptable excipient.

[0022]

The present invention also provides a nucleic acid encoding an antibody described herein. For example, the nucleic acid encodes an isolated monoclonal antibody or antigen-binding fragment thereof that binds to a peptide corresponding to the MUC1-SEA domain (SEQ ID NO: 1) or an epitope thereon. For example, the nucleic acid comprises one or more nucleotide sequences according to SEQ ID NO: 23-32, a portion thereof, or any combination thereof.

[0023]

In embodiments, the nucleic acid can be provided in a vector.

[0024]

Also provided herein is a vector comprising a nucleic acid described herein.

[0025]

In embodiments, the vector can be provided in a cell.

[0026]

The present invention provides a cell comprising a vector described herein.

[0027]

The cell can be provided in a pharmaceutical composition. For example, the pharmaceutical composition can comprise the cell and a pharmaceutically acceptable excipient.

[0028]

Still further, the present invention provides a chimeric antigen receptor (CAR) comprising an antibody described herein or an antigen-binding fragment thereof. In embodiments, the antigen-binding fragment of the CAR comprises an scFv or a Fab.

[0029]

In embodiments, the CAR comprises a bispecific CAR, a dual-targeted CAR, a tri-specific CAR, or a multi-specific CAR.

[0030]

In embodiments, the CAR can be provided in an engineered cell, such as an engineered T cell.

[0031]

In embodiments, the CAR is encoded by a nucleic acid.

[0032]

Aspects of the invention are also drawn to a nucleic acid encoding a chimeric antigen receptor, such as a CAR described herein.

[0033]

Aspects of the invention are also drawn to a cell comprising a chimeric antigen receptor, such as the chimeric antigen receptor described herein. In embodiments, the cell comprises a T cell.

[0034]

In embodiments, the cell can be further engineered to secrete an antibody or fragment thereof. For example, the secreted antibody comprises a monoclonal antibody.

[0035]

In embodiments, the secreted antibody comprises a monospecific antibody, a bispecific antibody, a trispecific antibody, or a multispecific antibody.

[0036]

In embodiments, the secreted antibody comprises an immune checkpoint blockade antibody. For example, the secreted antibody can modulate the immune system of a subject.

[0037]

Aspects of the invention are also drawn to a pharmaceutical composition a CAR T cell, such as a CAR T cell described herein, and a pharmaceutically acceptable excipient.

[0038]

In embodiments, the engineered T-cell comprises a nucleic acid encoding a chimeric antigen receptor (CAR), wherein the chimeric antigen receptor is specific for MUC1-SEA domain.

[0039]

In embodiments, the CAR of the engineered cell, such as an engineered T-cell, comprises an scFv or a Fab.

[0040]

In embodiments, the CAR of the engineered cell, such as an engineered T-cell, comprises a mono-specific CAR, a bi-specific CAR, a tri-specific CAR, or a multi-specific CAR.

[0041]

In embodiments, the engineered cell can comprise a nucleic acid that encodes the chimeric antigen receptor and, optionally, further encodes a polypeptide, wherein the polypeptide comprises an antibody of fragment thereof that can be secreted from the engineered cell.

[0042]

The present invention is also drawn to a pharmaceutical composition comprising the engineered T-cell as described herein and a pharmaceutically acceptable excipient.

[0043]

Aspects of the invention are also drawn towards methods for treating a subject afflicted with cancer. In embodiments, the method comprises administering to the subject afflicted with cancer a composition comprising an antibody or cell as described herein. In exemplary embodiments, the cancer comprises a cancer cell that expresses MUC1, mesothelin, and/or other tumor associated antigens. In embodiments, the antibody or cell induces apoptosis of the cancer cell, such as the MUC1-expressing cancer cell.

[0044]

In embodiments, the cancer comprises an epithelial cancer. Non-limiting examples of an epithelial cancer that can be treated by aspects of the invention comprise breast cancer, basal cell carcinoma, adenocarcinoma, gastrointestinal cancer, lip cancer, mouth cancer, esophageal cancer, small bowel cancer and stomach cancer, colon cancer, liver cancer, bladder cancer, pancreas cancer, ovary cancer, cervical cancer, lung cancer, breast cancer and skin cancer, such as squamous cell and basal cell cancers, prostate cancer, renal cell carcinoma, and other known cancers that effect epithelial cells throughout the body.

[0045]

In embodiments, the method can further comprise administering to said subject a chemotherapeutic agent.

[0046]

In embodiments, the method can further comprise a step of selecting a subject with a MUC1-expressing cancer.

[0047]

Still further, aspects of the invention are drawn towards a method for inducing apoptosis of a cancer cell. For example, the method comprises contacting the cancer cell with an antibody or a CAR as described herein.

[0048]

In embodiments, the cancer cell contains on its surface MUC1-SEA.

[0049]

Other objects and advantages of this invention will become readily apparent from the ensuing description.

BRIEF DESCRIPTION OF THE FIGURES

[0050]

The patent or application file contains at least one drawing executed in color. Copies of this patent or patent application publication with color drawing(s) will be provided by the Office upon request and payment of the necessary fee.

[0051]

FIG. 1 shows dose response curves of two anti-MUC1-C scFv-Fcs. T4E3 scFv-Fc exhibits a 6-fold lower EC50 than 3D1 scFv-Fc. Dose response curves were generated by incubating serial dilutions of scFv-Fcs with HCT116-MUC1 (MUC1-C+) or HCT116-v (MUC1−) colon carcinoma cell lines followed by incubation with a secondary anti-human Fc-FITC antibody, and detecting binding by flow cytometry.

[0052]

FIG. 2 shows tumor cell killing by anti-MUC1-C CAR T cells 3D1-ZsGreen and T4E3-ZsGreen. The cell killing assay utilizes a Celigo imaging cytometer to visualize cell killing. The cancer cell lines expressing the fluorescent protein: HCT116-v, HCT116-MUC1, and COV362 are plated in a 96 well plate (3000 cells/well) and incubated with T cells in effector to target (E:T) ratios of 10:1 or 2:1. The plates are imaged after 22 hours and 42 hours. Cell viability can be calculated by counting mCardinal+ cells. A loss of mCardinal signal suggests cancer cell death. The colon carcinoma cell line HCT116-v does not express MUC1-C, whereas HCT116-MUC1 and COV362 are 100% MUC1-C positive. X48-ZsGreen is a CAR T cell which targets CXCR4 which is not found on any of the cancer cell lines utilized. Note—T4E3-ZsGreen CAR T cells were not incubated with HCT116-MUC1 cancer cells due to availability of T cells.

[0053]

FIG. 3 shows T4E3 tumor cell killing experimental design. Cancer cells are plated at 3000 per well in 200 μL of RPMI-1640+10% FBS+20 mM HEPES. They are spun down for 5 minutes at 300 g and subsequently imaged on the Celigo imaging cytometer. 100 μL of media is removed from each of the wells, and T cells are added at E:T ratios of 10:1 or 2:1 according to the plate map below. Because of lack of T4E3 cells, T4E3 was only added to two wells of COV362 and one well of HCT116-v at the specified E:T ratios. IL-21 (30 ng/mL) was also added to the cultures to ensure T cell longevity. Immediately after addition of T cells, plates were imaged. Plates were also imaged 7 hours, 22 hours, and 42 hours after T cell addition. Included herein are plate maps where Xs indicate the wells that receive the indicated CAR T cells.

[0054]

FIG. 4 shows discovery of anti-MUC-1-SEA scFvs.

[0055]

FIG. 5 shows T4E3 scFv CAR T vs 3D1 scFv CAR T killing.

[0056]

FIG. 6 shows dose dependent killing.

[0057]

FIG. 7 shows genetic assignments.

[0058]

FIG. 8 shows annotated structure of MUC1-SEA.

[0059]

FIG. 9 shows alignment of anti-MUC1 antibody amino acid sequences.

[0060]

FIG. 10 shows analysis of anti-MUC1 antibody CDR3 regions.

[0061]

FIG. 11 shows epithelial ovarian cancer facts and figures. https://www.cancer.org/content/dam/cancer-org/research/cancer-facts-and-statistics/annual-cancer-facts-and-figures/2018/cancer-facts-and-figures-special-section-ovarian-cancer-2018.pdf.

[0062]

FIG. 12 shows treatments for epithelial ovarian cancer.

[0063]

FIG. 13 shows the immunosuppressive microenvironment of ovarian cancer hinders CAR T cell effectiveness.

[0064]

FIG. 14 shows Tregs in the ovarian cancer microenvironment hinder CAR T cell effectiveness. Tregs contribute to tumor progression in ovarian cancer by, for example, suppression of tumor-specific T cells and dendritic cells, blocking T cell proliferation by secretion of TGF-beta and IL-10, and high expression of CTLA-4 on Tregs, which leads to transmission of inhibitory signals to TILs.

[0065]

FIG. 15 shows CAR T cell factories for the treatment of solid tumors.

[0066]

FIG. 16 shows selection of ovarian cancer CAR T cell factory components. In one embodiment, the targeting component comprises an anti-MUC1-C-CAR and the payload comprises an anti-CCR4 antibody. Without wishing to be bound by theory, MUC1-C CAR T cell factories will traffic to MUC1+ tumors, reverse the immunosuppressive ovarian cancer tumor microenvironment, and lead to tumor cell death

[0067]

FIG. 17 shows the development of anti-CCR4 CAR T cells which can be used in conjunction with MUC1-C CAR T cell therapy.

[0068]

FIG. 18 shows a schematic of the MUC1-C terminal domain and binding epitope of anti-MUC1-C antibody h3D1 IgG (kindly provided by Kufe laboratory).

[0069]

FIG. 19 shows the effect of CAR affinity and the effect of the CAR epitope. For example, the affinity of CAR influences T cell activation, rate of killing, and CAR's ability to distinguish between healthy and cancerous tissues. Further, more efficient T cell activation occurs when CAR recognizes a membrane proximal epitope on the antigen even if membrane proximal CAR has lower binding efficiency.

[0070]

FIG. 20 shows reduction in affinity upon conversion of h3D1 IgG to scFv. Loss of affinity of scFv-Fc upon binding to cell lines hindered initial MUC-1C CAR T cell efforts. Quantification of affinities of 3D1 scFv-Fc and 3D1 IgG.

[0071]

FIG. 21 shows amino acid sequence of construct comprising MUC1-SEA.

[0072]

FIG. 22 shows full length MUC1, including MUC1-SEA domain. MUC1-SEA domain undergoes autoproteolytic self-cleavage at the conserved GVVS sequence. Cleavage occurs after the G and before the V, as indicated by the arrow.

[0073]

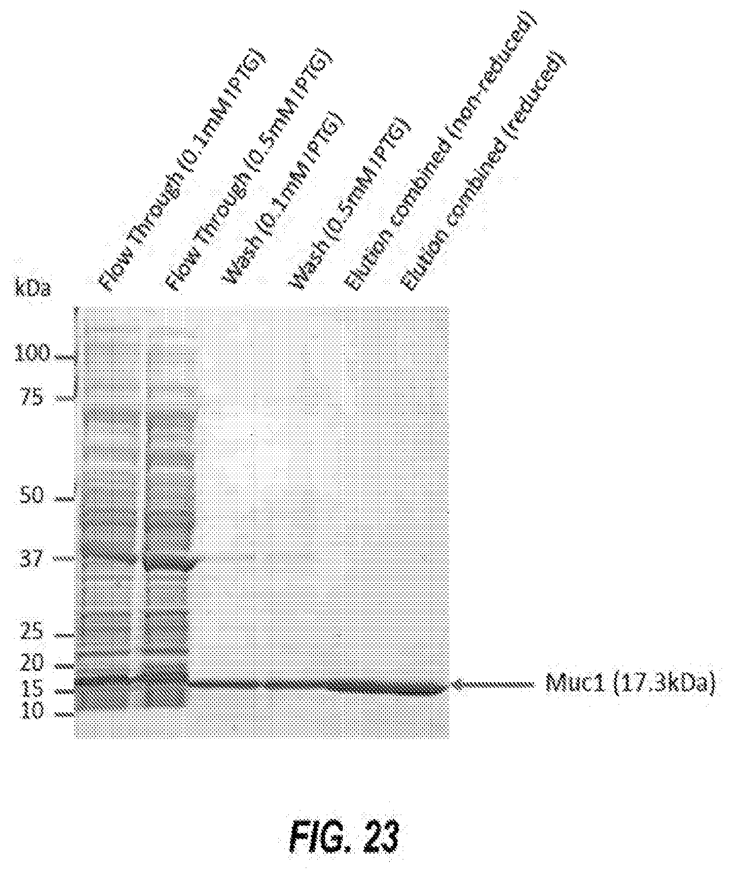
FIG. 23 shows Mucd-SEA purification. Mucd-SEA was expressed from a pET28a vector in BL21 (DE3) cells. The protein was purified via the N terminal His Tag (Ni-NTA resin). 125 ml of BL21(DE3) with pET28a-MUC1(sea) were subculture to OD 0.6 and induced with either 0.1 or 0.5 mM IPTG. Cultures were grown overnight at 30° C. and pelleted at 9000 rpm. The pellet was resuspended in 4 mL B-PER before sonicating for 15 min (30/59 sec on/off cycle). Lysed cells were spun down and the supernatant was diluted 50:50 with Ni-NTA binding buffer (20 mM imidazole) before incubating with Ni-NTA resin for 1 hour. Resin was collected and washed with binding buffer (20 mM imidazole) before eluting with 250 mM imidazole. Collected protein was buffer exchanged into PBS for long term storage. For visualization, all samples were prepared with 4×LDS loading dye. Samples 1-5 are not reduced; sample 6 is reduced with 10% BME.

[0074]

FIG. 24 shows Mucd-SEA autocleavage. 4-12% Bolt Gel ran in MES buffer. Samples are non-reduced unless specified (10% BME). Approximately 5 ug was loaded into each well, except MBP-Muc1 (˜4 ug). Very faint band at approximately 6 kDa may be cleavage product.

[0075]

FIG. 25 shows h3D1 binding. Nunc maxisorb plates were coated with 1 μg/ml Mucd-SEA in PBS overnight at 4° C. The next day the plates were blocked with 4% milk-PBS for 2 hours at 37° C. The blocking solution was then dumped out and replaced with the appropriate antibody dilutions in 2% milk-PBST. The antibody solutions were incubated for 1 hour at 37° C. before being washed 6× with PBST. Anti-human Fc-HRP secondary was used to detect 3D1 binding (1:100 k dilution in 2% milk-PBST). After 1 hour incubation at 37° C., the plate was washed 6× with PBST and the TMB substrate was added. The reaction was quenched by the addition of stop buffer and read at 450 nm.

[0076]

FIG. 26 shows MUC1 panning summary.

[0077]

FIG. 27 shows dose response curves of two anti-MUC1-C scFv-Fcs. T4E3 scFv-Fc exhibits a 6-fold lower EC50 than 3D1 scFv-Fc. Dose response curves were generated by incubating serial dilutions of scFv-Fcs with HCT116-MUC1 (MUC1-C+) or HCT116-v (MUC1-) colon carcinoma cell lines followed by incubation with a secondary anti-human Fc-FITC antibody, and detecting binding by flow cytometry

[0078]

FIG. 28 shows binding characteristics of anti-MUC1-SEA scFvs.

[0079]

FIG. 29 shows alignment of FRI-CDR2.

[0080]

FIG. 30 shows alignment of FR3-FR4.

[0081]

FIG. 31 shows T4E3 scFv CAR T vs 3D1 scFv CAR T killing. Colon carcinoma cell line HCT116-v is the control, MUC1− cell line. COV362 is MUC1+ cell line. mAb2-3 is a control, anti-CCR4 antibody.

[0082]

FIG. 32 shows dose dependent killing. HCT116-v is the control, MUC1− cell line. COV362 is MUC1+ cell line. mAb2-3 is a control, anti-CCR4 antibody.

[0083]

FIG. 33 shows tumor cell killing by anti-MUC1-C CAR T cells 3D1-ZsGreen and T4E3-ZsGreen. The cell killing assay utilizes a Celigo imaging cytometer to visualize cell killing. The cancer cell lines expressing the fluorescent protein: HCT116-v, HCT116-MUC1, and COV362 are plated in a 96 well plate (3000 cells/well) and incubated with T cells in effector to target (E:T) ratios of 10:1 or 2:1. The plates are imaged after 22 hours and 42 hours. Cell viability can be calculated by counting mCardinal+ cells. A loss of mCardinal signal suggests cancer cell death. The colon carcinoma cell line HCT116-v does not express MUC1-C, whereas HCT116-MUC1 and COV362 are 100% MUC1-C positive. X48-ZsGreen is a CAR T cell which targets CXCR4 which is not found on any of the cancer cell lines utilized.

[0084]

FIG. 34 shows CAR insert map of MUC1-CCR4 dual target CAR to kill Tregs and tumor cells alike.

[0085]

FIG. 35 shows vector map of MUC1-CCR4 dual target CAR to kill Tregs and tumor cells alike.

[0086]

FIG. 36 shows utilization of F2A to generate Fab constructs.

[0087]

FIG. 37 shows analysis of initial design construct design.

[0088]

FIG. 38 shows strategy for Fab design using F105 leader. The leader sequence was changed in the construct based on the observation that the initial B cell receptor design used the F105 leader which is in the pHAGE vector instead of the VH leader for expression of the heavy chain. Additionally, the identity of the Fab was changed to the commercially available anti-hemagglutinin antibody Medi8852, which binds to the HA stem.

[0089]

FIG. 39 shows Medi8852 binds to HA-stem but not to MUC1-SEA.

[0090]

FIG. 40 shows mAb2-3 Fab and 3D1 Fabs cloned into Medi8852 Fab F105 construct and evaluated for binding and expression. It was observed that both mAb2-3 and 3D1 Fab have higher EC50s that their respective scFvs.

[0091]

FIG. 41 shows mAb2-3 Fab and 3D1 Fabs cloned into Medi8852 Fab F105 construct and evaluated by flow cytometry for binding and expression. Each value represents the average of three replicates.

[0092]

FIG. 42 shows Media8852 construct extended to generate a Fab with a lambda light chain (anti-Muc T4E3 Fab). Results show an example of Fab with less affinity than scFv.

[0093]

FIG. 43 shows Fab CAR T cell killing. Fab CAR T cells kill MUC1+ tumor cells less efficiently than scFv CAR T cells.

[0094]

FIG. 44 shows embodiment(s) of a bispecific crossover Fab. L1, L2, L3 and L4 refer to non-limiting examples of linkers.

[0095]

FIG. 45 shows embodiment(s) of a bispecific crossover Fab. All values are average of three replicates.

[0096]

FIG. 46 shows dose response curves for binding.

[0097]

FIG. 47 shows (A) lentiviral construct of monospecific anti-MUC1-C and (B) anti-mesothelin CAR T cell. (C) Lentiviral construct of bispecific anti-MUC1-C/mesothelin CAR T cell. (D) Lentiviral construct of bispecific anti-MUC1-C/mesothelin CAR T cell factory (E) Cartoon representation of anti-MUC1-C/mesothelin CAR T factory mechanism of action

[0098]

FIG. 48 shows (Top panel) flow cytometry histograms of Ovcar-4 and COV362 stained with anti-mesothelin APC (blue) compared to unstained controls (red) revealing that Ovcar-4 is 11.4% mesothelin+ and COV362 is 54.2% mesothelin+ (Bottom panel) Flow cytometry histograms of Ovcar-4 and COV362 stained with 233 nM anti-MUC1-C h3D1 IgG followed by staining with anti-human-Fc-FITC secondary revealing that Ovcar-4 is 46.1% MUC1-C+ and COV362 is 85.5% MUC1-C+

[0099]

FIG. 49 shows (A) cartoon representation of orthotopic mouse model of ovarian cancer, emphasizing its utility in showing ovarian cancer metastasis. (B) Tumors and ovaries obtained from five mice with orthotopic ovarian tumors. The tumor of the top mouse was generated from the high grade serous ovarian cancer (HGSC) cell line Ovcar-4 (350,000 cells/mouse), and the bottom four ovaries and tumors were generated from the HGSC cell line COV362 (500,000 cells/mouse).

[0100]

FIG. 50 shows (A) cartoon representation of orthotopic, humanized mouse model, which enables study of metastasis and the tumor microenvironment (B) t-SNE 2D scatter plot shows mapping of CD45+ leukocytes in a humanized NSG-SGM3 mouse model of renal cell carcinoma (C) Violin plot showing the presence of CCR4 within clusters 1 and 2, suggesting the presence of Tregs and Th2 cells.

[0101]

FIG. 51(A) and FIG. 51(B) show amino acid sequences of anti-MUC1 antibodies.

[0102]

FIG. 52(A) through FIG. 52(D) show nucleotide sequences of anti-MUC1 antibodies.

[0103]

FIG. 53(A) through FIG. 53(C) show amino acid sequences of anti-MUC1 antibodies.

DETAILED DESCRIPTION OF THE INVENTION

[0104]

MUC1 is a member of the mucin family and encodes a membrane bound, glycosylated phosphoprotein. MUC1 is a heterodimeric protein complex that is encoded by a single transcript. MUC1 has a core protein mass of 120-225 kDa which increases to 250-500 kDa with glycosylation. It extends 200-500 nm beyond the surface of the cell. The protein is anchored to the apical surface of many epithelia by a transmembrane domain. Beyond the transmembrane domain is a SEA domain that contains a cleavage site for release of the large extracellular domain.

[0105]

Following translation, the MUC1 polypeptide precursor undergoes autocleavage into two subunits that, in turn, form a stable noncovalent complex. The large MUC1 N-terminal subunit, designated MUC1-N, is the mucin component of the MUC1 dimer with the characteristic variable number of tandem repeats that are extensively decorated with O-linked glycans. MUC1-N extends well beyond the glycocalyx of the cell and is tethered to the cell surface through its association with the transmembrane MUC1 C-terminal subunit (MUC1-C). MUC1-N thereby contributes to a physical barrier that protects the epithelial cell layer from exposure to toxins, microorganisms and other forms of stress from the external environment. See Kufe, Donald W. “Targeting the human MUC1 oncoprotein: a tale of two proteins.” Cancer biology & therapy 7.1 (2008): 81-84.

[0106]

MUC1-C has a 58 amino acid extracellular domain, a 28 amino acid transmembrane domain and a 72 amino acid cytoplasmic tail. MUC1-C is involved in intracellular signaling. MUC1-C functions as an oncoprotein, especially considering the findings that MUC1-C is involved in diverse signaling pathways that have been linked to tumorigenesis. In this context, overexpression of MUC1-C blocks induction of apoptosis in the response to DNA damage, oxidative stress, and hypoxia. Overexpression of MUC1-C has been shown to confer anchorage-independent growth and tumorigenicity. MUC1-C stabilizes β-catenin and the interaction between MUC1-C and β-catenin contributes in part to MUC1-induced transformation. MUC1-C also confers constitutive activation of the anti-apoptotic IKKβ->NFκB pathway as found in diverse carcinomas and hematopoietic malignancies. Importantly, overexpression of the MUC1-C cytoplasmic domain is sufficient for inducing anchorage-independent growth and tumorigenicity, indicating that the shed MUC1-N mucin subunit is dispensable for transformation. See Kufe, Donald W. “Targeting the human MUC1 oncoprotein: a tale of two proteins.” Cancer biology & therapy 7.1 (2008): 81-84.

[0107]

MUC1 overexpression and aberrant glycosylation have been associated with many cancers, including human carcinomas and hematologic malignancies. See, for example, Sritama and Mukherjee. “MUC1: a multifaceted oncoprotein with a key role in cancer progression.” Trends in molecular medicine 20.6 (2014): 332-342. The ability of chemotherapeutic drugs to access the cancer cells is inhibited by the heavy glycosylation in the extracellular domain of MUC1. The glycosylation creates a highly hydrophilic region which prevents hydrophobic chemotherapeutic drugs from passing through. This prevents the drugs from reaching their targets which usually reside within the cell. Similarly, the glycosylation has been shown to bind to growth factors. This allows cancer cells which produce a large amount of MUC1 to concentrate growth factors near their receptors, increasing receptor activity and the growth of cancer cells. MUC1 also prevents the interaction of immune cells with receptors on the cancer cell surface through steric hindrance. This inhibits an anti-tumor immune response.

[0108]

MUC1 is cleaved within the SEA domain soon after synthesis. The SEA domain is a highly conserved domain of 120 amino acids. Cleavage of MUC1 within the SEA domain yields 2 unequal chains: a large extracellular N terminal domain containing the tandem repeat array specifically bound in a strong noncovalent interaction to a smaller C terminal domain containing the transmembrane and cytoplasmic domains of the molecule. The occurrence of MUC1 cleavage can render the target problematic to some degree, as the shed component can sequester many anti-MUC1 antibodies. For example, the shed domain has been shown to sequester circulating antitandem repeat antibodies, limiting their ability to reach MUC1+ tumor cells. However, a region termed the SEA domain remains tethered to the cell surface after MUC1 cleavage. The MUC1 SEA domain is formed by the interaction of the N-terminal subunit with the extracellular portion of C-terminal subunit following cleavage, and thus remains fixed to the cell surface. Significantly, the SEA domain comprises a stable target structure for anti-cancer antibodies.

[0109]

Aspects of the invention are directed towards the discovery of monoclonal antibodies and fragments thereof that recognize human MUC1-SEA. For example, embodiments can comprise fully human or humanized antibodies that recognize MUC1-SEA, but can also comprise antibody fragments, such as human single chain variable fragments (scFv). In the scFv-Fc format, for example, MUC1-SEA scFv T4E3 binds to MUC1+ cells with six-fold higher affinity than anti-MUC1-C antibody 3D1. The skilled artisan will recognize that the antibodies can be utilized in various forms and fashions, including in CAR T cells and CAR T factories, or as bispecific antibodies. When T4E3 is utilized as the targeting moiety of a CAR T cell, T4E3 CAR T cells preferentially kill MUC1+ tumor cells and do not kill MUC1− cells. Activated T cells from the same human white blood cell donor and CAR T cells that recognize CXCR4, do not kill either the MUC1+ or MUC1− tumor cell lines, which lack CXCR4.

[0110]

Detailed descriptions of one or more preferred embodiments are provided herein. It is to be understood, however, that the present invention may be embodied in various forms. Therefore, specific details disclosed herein are not to be interpreted as limiting, but rather as a basis for the claims and as a representative basis for teaching one skilled in the art to employ the present invention in any appropriate manner.

Abbreviations and Definitions

[0111]

The singular forms “a”, “an” and “the” include plural reference unless the context clearly dictates otherwise. The use of the word “a” or “an” when used in conjunction with the term “comprising” in the claims and/or the specification may mean “one,” but it is also consistent with the meaning of “one or more,” “at least one,” and “one or more than one.”

[0112]

Wherever any of the phrases “for example,” “such as,” “including” and the like are used herein, the phrase “and without limitation” is understood to follow unless explicitly stated otherwise. Similarly, “an example,” “exemplary” and the like are understood to be nonlimiting.

[0113]

The term “substantially” allows for deviations from the descriptor that do not negatively impact the intended purpose. Descriptive terms are understood to be modified by the term “substantially” even if the word “substantially” is not explicitly recited.

[0114]

The terms “comprising” and “including” and “having” and “involving” (and similarly “comprises”, “includes,” “has,” and “involves”) and the like are used interchangeably and have the same meaning. Specifically, each of the terms is defined consistent with the common United States patent law definition of “comprising” and is therefore interpreted to be an open term meaning “at least the following,” and is also interpreted not to exclude additional features, limitations, aspects, etc. Thus, for example, “a process involving steps a, b, and c” means that the process includes at least steps a, b and c. Wherever the terms “a” or “an” are used, “one or more” is understood, unless such interpretation is nonsensical in context.

[0115]

As used herein the term “about” is used herein to mean approximately, roughly, around, or in the region of. When the term “about” is used in conjunction with a numerical range, it modifies that range by extending the boundaries above and below the numerical values set forth. In general, the term “about” is used herein to modify a numerical value above and below the stated value by a variance of 20 percent up or down (higher or lower).

[0116]

The MUC1 gene encodes a single polypeptide chain which, due to conformational stress, is autoproteolytically cleaved immediately after translation at the GSVVV motif (see underline and bold below), located within the Sea urchin sperm protein enterokinase and agrin (SEA) domain, into two peptide fragments: the longer N-terminal subunit (MUC1-N) and the shorter C-terminal subunit (MUC1-C). Extracellularly, the two subunits remain associated through stable hydrogen bonds.

[0000]

MUC1-SEA amino acid sequence 
(SEQ ID NO: 1)
MGSSHHHHHHSSGLVPRGSHMASMTGGQQMGRDPLSTGVSFFFLSFHISN
LQFNSSLEDPSTDYYQELQRDISEMFLQIYKQGGFLGLSNIKFRPGGGGG
SVVVQLTLAFREGTINVHDVETQFNQYKTEAASRYNLTISDVSVSDVPFP
FSAQSGAG
MUC1-SEA Nucleotide sequence 
(SEQ ID NO: 22)
ATGGGCAGCAGCCATCATCATCATCATCACAGCAGCGGCCTGGTGCCGCG
CGGCAGCCATATGGCTAGCATGACTGGTGGACAGCAAATGGGTCGGGATC
CGTTGTCTACTGGGGTCTCTTTCTTTTTCCTGTCTTTTNACATTTCAAAC
CTCCAGTTTAATTCCTCTCTGGAAGATCCCAGCACCGACTACTACCAAGA
GCTGCAGAGAGACATTTCTGAAATGTTTTTGCAGATTTATAAACAAGGGG
GTTTTCTGGGCCTCTCCAATATTAAGTTCAGGCCAGGAGGAGGAGGAGGA
TCTGTGGTGGTACAATTGACTCTGGCCTTCCGAGAAGGTACCATCAATGT
CCACGACGTGGAGACACAGTTCAATCAGTATAAAACGGAAGCAGCCTCTC
GATATAACCTGACGATCTCAGACGTCAGCGTGAGTGATGTGCCATTTCCT
TTCTCTGCCCAGTCTGGGGCTGGGTAA

[0117]

MUC1-N is composed of the proline, threonine, and serine-rich (PTS) domain and the SEA domain. Aspects of the invention provide isolated monoclonal antibodies specific against MUC1, specifically against MUC1-SEA. Referring to FIG. 8, for example, see the annotated structure of MUC1-SEA.

[0118]

The MUC1 antibodies were identified through the use of a 27 billion human single-chain antibody (scFv) phage display library, by using soluble human MUC1 as a library selection target. These antibodies represent anew class of monoclonal antibodies against MUC1.

[0119]

For example, embodiments can comprise one or more nucleic acid and amino acid sequences as described herein:

[0120]

Heavy Chain Nucleotide Sequences:

[0000]

T4E3 VH
(SEQ ID NO: 23)
caggtgcagctggtgcagtctgggggaggcttggtccagcctggggggtccctgagactctcctgtgcagcctctggattcacctttg 
atgattatgccatgcactgggtccggcaagctccagggaagggcctggagtgggtctcaggtattagttggaatagtggtagcatagg 
ctatgcggactctgtgaagggccgattcaccatctccagagacaacgccaagaactccctgtatctgcaaatgaacagtctgagagct 
gaggacacggccttgtattactgtgcaaaagatatcggttcagggagttattataactactactacggtatggacgtctggggccaggg 
gaccacggccaccatctcctca 
G2-2-F8 VH
(SEQ ID NO: 24)
caggtgcagctggtgcagtctgggggaggcttggtacagcctggcaggtccctgagactctcctgtgcagcctctggattcacctttga 
tgattatgccatgcactgggtccggcaagctccagggaagggcctggagtgggtctcaggtattagttggaatagtggtagcataggc 
tatgcggactctgtgaagggccgattcaccatctccagagacaacgccaagaactccctgtatctgcaaatgaacagtctgagagctg 
aggacacggccttgtattactgtgcaaaagatatgggaagtggctacgattggtactactacggtatggacgtctggggccaagggac 
cacggtcaccgtctcctca 
G1-3-A3 VH
(SEQ ID NO: 25)
caggtgcagctggtgcagtctgggggaggcttcgtacagcctggcaggtccctgagactctcctgtgcagcct 
ctggattcacctttgatgattatgccatgcactgggtccggcaagctccagggaagggcctggagtgggtctcaggtattagttggaata 
gtaataacataggctatgcggactctgtgaagggccgattcaccatctccagagagaacgcgaagaactccctgtatctgcaaatgaa 
cagcctgagagccgaggacacggctgtgtattactgtgcgagagttagtccgggttactatgatagtagtggccaagggactgatgctt 
ttgatatctggggccaagggaccacggtcaccgtctcctca 
G1-2-B10 VH
(SEQ ID NO: 26)
caggtgcagctggtgcagtctgggggaggcttggtacagcctggcaggtccctgagactctcctgtgcagcct 
ctggattcacctttgatgattatgccatgcactgggtccggcaagctccagggaagggcctggagtgggtctcaggtattagttggaata 
gtggtagcataggctatgcggactctgtgaagggccgattcaccatctccagagacaacgccaagaactccctgtatctgcaaatgaa 
cagtctgagagctgaggacacggccttgtattactgtgcaaaagatattagcagtggctggtaccctgatgclittgatatctggggcca 
aggcaccctggtcaccgtctcctca 
G1-1-A1 VH
(SEQ ID NO: 27)
caggtgcagctggtgcagtctggagctgaggtgaagaagcctggggcctcagtgaaggtctcctgcaaggctt 
ctggttacacctttaccagctatggtatcagctgggtgcgacaggcccctggacaagggcttgagtggatgggatggatcagcgctta 
caatggtaacacaaactatgcacagaaggtccagggcagagtcaccatgaccacagacacatccacgagcacagcctacatggagc 
tgaggagcctgagatctgacgacacggccgtgtattactgtgcgagagatccgcatcttagcagtggctggtacaagggaaacggtat 
ggacgtctggggccaaggaaccctggtcaccgtctcctca 
Muc1-R3-T4-D1 
(SEQ ID NO: [ ])
caggtgcagctggtgcagtctgggggaggcttggtccagcctggggggtccctgagactctcctgtgcagcct 
ctggattcacctttgatgattatgccatgcactgggtccggcaagctccagggaagggcctggagtgggtctcaggtattagttggaat. 
agtggtagcataggctatgcggactctgtgaagggccgattcaccatctccagagacaacgccaagaactccctgtatctgcaaatga 
acagtctgagagctgaggacacggccttgtattactgtgcaaaagatatcggttcagggagttattataactactactacggtatggacgt
ctggggccaggggaccacggtcaccgtctcctca 
Muc1-R3-T2-B1 
(SEQ ID NO: [ ])
caggtgcagctggtgcagtctgggggaggcttggtacagcctggcaggtccctgagactctcctgtgcagcct 
ctggattcacctttgatgattatgccatgcactgggtccggcaagctccagggaagggcctggagtgggtctcaggtattagttggaata 
gtggtagcataggctatgcggactctgtgaagggccgattcaccatctccagagacaacgccaagaactccctgtatctgcaaatgaa 
cagtctgagagctgaggacacggccttgtattactgtgcaaaagatattagcagtggctggtaccctgatgcttttgatatctggggcca 
aggcaccctggtcaccgtctcctcag 
Muc1-R3-T4-B5 
(SEQ ID NO: [ ])
caggtgcagctggtgcagtctgggggaggcttggtacagcctggcaggtccctgagactctcctgtgcagcct 
ctggattcacctttgatgattatgccatgcactgggtccggcaagctccagggaagggcctggagtgggtctcaggtattagttggaata 
gtggtagcataggctatgcggactctgtgaagggccgattcaccatctccagagacaacgccaagaactccctgtatctgcaaatgaa 
cagtctgagagctgaggacacggccttgtattactgtgcaaaagatatgggaagtggctacgattggtactactacggtatggacgtct 
ggggccaagggaccacggtcaccgtctcctca 
Muc1-R3-E4-B12 
(SEQ ID NO: [ ])
caggtgcagctggtgcagtctggagccgaggtgaagaggcccggggcctcagtgaaggictcctgcaaggct 
tctggttacacttttagcacctacgctatcaactgggtgcgacaggcccctggacaagggcctgagtggatgggatggatcagcggtta 
caatggtaacacaaaatatgcacagaaggtccagggtagagtcatcatgaccacagacacatccacgaccacagcctacatggagtt 
gaggagcctgacatctgacgacacggccgtgtattactgtgcgagagatggagtgggagctgcctttgactactggggccagggaac 
cctggtcaccgtctcctcag 
Muc1-R3-T3-H9 
(SEQ ID NO: [ ])
caggagcagctggtgcagtctggagctgaggtgaagaagcctggggcctcagtgaaggictcctgcaaggct 
tctggttacacctttaccagctatggtatcagctgggtgcgacaggcccctggacaagggcttgagtggatgggatggatcagcgctta 
caatggtaacacaaattatgcacagaaggtccagggcagagtcaccatgcccacagacacattcacgagcacagcctacatggagct 
gaggagcctgagatctgacgacacggccgtgtattactgtgcgagagatccgcatcttagcagtggctggtgcaagggaaacggtat 
ggacgtctggggccaaggaaccctggtctccgtctcctca 
Muc1-R3-T3-H3 
(SEQ ID NO: [ ])
caggtgcagttggtgcagtttggaggtgaggtgaagaagcctggggcctcagtgaaggtctcctgcacagcttc 
tggttacacctataccagctatggtatcagctgggtgcgacaggcccctggacaagggcttgagtggatgggatggatcagcgcttac 
aatggtaacacaaactatgcacagaaggtccagggcagagtcaccatgaccacagacacatccacgagcacagcctacatggagct 
gaggagcctgagatctgacgacacggccgtgtattactgtgcgagagatccgcatgttagcagtggctggtacaagggaaacggtat 
ggacgtctggggccaaggaaccctggtcaccgtctcctca 
Muc1-R3-T4-D5 
(SEQ ID NO: [ ])
gaggtgcagctggtgcagtctggggctgaggtgaagaagcctgggtcctcagtgaaggtctcctgcaaggctt 
ctggatacaccttctccaattatgatatcaactgggtgcgacaggccactggacacgggcttgagtggatggggagaatgaatcctaac 
agtggaaacacaggctatgcagagaagttccagggcagagtcatcatgaccagtgacacctccatagacacagcctacatggacctg 
agcagccttagatctgaggacacggccgtctattattgtgcgagggaaatacgtggtgcttttgatatctggggccaagggacaatggt 
caccgtctcttcag 
Muc1-R3-T3-B9 
(SEQ ID NO: [ ])
gatgtgcagctggtgcagtctgggggtgaggcgaagaagcctgggtcctcagtgaaggtctcctgcaaggctt 
ctggatacaccttctgcaattatgatatcaactgggtgggacaggacactggacacgggcttgagtggatggggagaatgaatccttac 
agtggaaacacaggctatgcagagaagttccagggcagagtcatcatgaccagtgacacctccatagacacagcctacatggacctg 
agcagccttagatatgaggacacggccgtctattattgtgcgagggaaatacgtggtgcttttgatatgtggggccaagggccaatggt 
caccgtctcttcag 
Muc1-R3-E4-G10 
(SEQ ID NO: [ ])
cagctgcagctggtgcagtatgggggaggattcgtacagcatggcaggtccttgaggctcttctgtgcagcatct 
ggattcacctctgatgattatgacatgcactgggtccggcaagctccagggaagagcctggagtgggtgtcaggtattagttggaatag 
taataacatagggtatgcggaatatgtgaagggccgattcaccatctccagagagaccgcgaagaactccctgtatatgcaaatgaac 
agcctgagagccgaggacacggctgtgtattactgtgcgagagttagtccgggttactatgatagtagtggccaagggagtgatgcttt 
tgatatctggggccaagggaccacggtcgccgtctcctcag 
Muc1-R3-T2-A3 
(SEQ ID NO: [ ])
caggtgcagctggtgcagtctgggggaggcgtggtccagcctgggaggtccctgagactctcctgtgcagcct 
ctggattcaccttcagtagctatggcatgcactgggtccgccaggctccaggcaaggggctggagtgggtggcagttatatcatatgat 
ggaagtaataaatactatgcagactccgtgaagggccgattcaccatctccagagacaattccaagaacacgctgtatctgcaaatgaa 
cagtctgagagtcgaggacacggctatgtattactgtgcaagtggtaacccatactactcttatgctatggacgtctggggccaaggga 
caatggtcaccgtctcttcag 
Muc1-R3-T3-B6 
(SEQ ID NO: [ ])
gaggtgcagctggtgcagtctgggggtgaggcgaagaagcctgggtcctcagtgaaggtctcctgcaaggctt 
ctggatacaccatctccaattatgatatcaactgggtgggacaggccactggacacgggcttgagtggatggagagaatgaatcctaa 
cagtggaaacacagggtatgcagagaagttgcagggcagagtcatcatgaccagtgcctcctccatagacacagcctacatgtacgt 
gagcagccttagatatgagggcgcggccgtttattattgtgggagggaaatgtgtggtggttttgatatgtgggtccaagggccaatggt 
caccgtctcttcag 
Muc1-R3-T4-E8 
(SEQ ID NO: [ ])
caggtgcagctgcaggagtcggggggaggcttggtacagcctggggggtccctgagactctcctgtgcagcg 
tctggactcagttttagtaagcatgccatgaactgggtccgccaggctccagggaaggggctggagtgggtctcaactatcagtggca 
gtggtactagaacatactacgcagactccgtgaagggccggttcaccatctccagagacaataccagggacaccctctatctgcaaat 
gaacagactgagagccgaagacacggccatatattactgtgtaaaaggagaagagggaccttactactactactacggtttggacgtc 
tggggccaagggaccacggtcaccgtctcctca 
Muc1-R3-E4-E1 
ccaggtgcgctggtgcaatctgggggaggcttggtccagcctggggggtccctgagactctcctgtgcagcct 
ctggattcacatttagtgacaattggatgagctgggtccgccaggctccagtgaaggggctggagtgggtggccaacataaagcaag 
atggaagtgagaaatactttgtggactctgtgaagggccgattcaccatttccagagacaacgccaagaagtcactgtatctgcagatg 
aacaacctgagagccgaagacacggccgtgtattactgtgtgcgcgagtttgtcggtgcttatgatatctggggccaagggacaatgg 
tcaccgtctcttcag 
Heavy Chain Amino AcidSequences (CDR1 indicated by bold, CDR2 
indicated by underline, and CDR3 indicated by bold and underline) 
T4E3 VH
(SEQ ID NO: 12)
QVQLVQSGGGLVQPGGSLRLSCAASGFTFDDYAMHWVRQAPGKGLEWVSGISWNS
GSIGYADSVKGRFTISRDNAKNSLYLQMNSLRAEDTALYYC
WGQGTTATISS
G2-2-F8 VH
(SEQ ID NO: 13)
QVQLVQSGGGLVQPGRSLRLSCAASGFTFDDYAMHWVRQAPGKGLEWVSGISWNS
GSIGYADSVKGRFTISRDNAKNSLYLQMNSLRAEDTALYYCAKDMGSGYDWYYY
GMDVWGQGTTVTVSS
G1-3-A3 VH
(SEQ ID NO: 14)
QVQLVQSGGGFVQPGRSLRLSCAASGFTFDDYAMHWVRQAPGKGLEWVSGISWNS
NNIGYADSVKGRFTISRENAKNSLYLQMNSLRAEDTAVYYCARVSPGYYDSSGQGT
DAFDIWGQGTTVTVSS
G1-2-B10 VH
(SEQ ID NO: 15)
QVQLVQSGGGLVQPGRSLRLSCAASGFTFDDYAMHWVRQAPGKGLEWVSGISWNS
GSIGYADSVKGRFTISRDNAKNSLYLQMNSLRAEDTALYYCAKDISSGWYPDAFDI 
WGQGTLVTVSS
G1-1-A1 VH
(SEQ ID NO: 16)
QVQLVQSGAEVKKPGASVKVSCKASGYTFTSYGISWVRQAPGQGLEWMGWISAY 
NGNTNYAQKVQGRVTMTTDTSTSTAYMELRSLRSDDTAVYYCARDPHLSSGWYK
GNGMDVWGQGTLVTVSS
Muc1-R3-T4-D1 
(SEQ ID NO: [ ])
QVQLVQSGG.GLVQPGGSLRLSCAASGFTFDDYAMHWVRQAPGKGL 
EWVSGISWNSGSIGYADSVK.GRFTISRDNAKNSLYLQMNSLRAEDTALYYCAKDIG
SGSYYNYYYGMDVWGQGTTVTVSS
Muc1-R3-T2-B1 
(SEQ ID NO: [ ])
QVQLVQSGG.GLVQPGRSLRLSCAASGFTFDDYAMHWVRQAPGKGL 
EWVSGISWNSGSIGYADSVK.GRFTISRDNAKNSLYLQMNSLRAEDTALYYCAKDIS
SGWYPDAFDIWGQGTLVTVSS
Muc1-R3-T4-B5 
(SEQ ID NO: [ ])
QVQLVQSGG.GLVQPGRSLRLSCAASGFTFDDYAMHWVRQAPGKGL 
EWVSGISWNSGSIGYADSVK.GRFTISRDNAKNSLYLQMNSLRAEDTALYYCAKDM
GSGYDWYYYGMDVWGQGTTVTVSS
Muc1-R3-E4-B12 
(SEQ ID NO: [ ])
QVQLVQSGA.EVKRPGASVKVSCKASGYTFSTYAINWVRQAPGQGPE 
WMGWISGYNGNTKYAQKVQ.GRVIMTTDTSTTTAYMELRSLTSDDTAVYYCARDG
VGAAFDYWGQGTLVTVSS
Muc1-R3-T3-H9 
(SEQ ID NO: [ ])
QEQLVQSGA.EVKKPGASVKVSCKASGYTFTSYGISWVRQAPGQGLE 
WMGWISAYNGNTNYAQKVQGRVTMPTDTFTSTAYMELRSLRSDDTAVYYCARDP
HLSSGWCKGNGMDVWGQGTLVSVSS
Muc1-R3-T3-H3 
(SEQ ID NO: [ ])
QVQLVQFGG.EVKKPGASVKVSCTASGYTYTSYGISWVRQAPGQGLE 
WMGWISAYNGNTNYAQKVQGRVTMTTDTSTSTAYMELRSLRSDDTAVYYCARDP
HVSSGWYKGNGMDVWGQGTLVTVSS
Muc1-R3-T4-D5 
(SEQ ID NO: [ ])
EVQLVQSGA.EVKKPGSSVKVSCKASGYTFSNYDINWVRQATGHGLE 
WMGRMNPNSGNTGYAEKFQ.GRVIMTSDTSIDTAYMDLSSLRSEDTAVYYCAREIR
GAFDIWGQGTMVTVSS
Muc1-R3-T3-B9 
(SEQ ID NO: [ ])
DVQLVQSGG.EAKKPGSSVKVSCKASGYTFCNYDINWVGQDTGHGLE 
WMGRMNPYSGNTGYAEKFQ.GRVIMTSDTSIDTAYMDLSSLRYEDTAVYYCAREIR
GAFDMWGQGPMVTVSS
Muc1-R3-E4-G10 
(SEQ ID NO: [ ])
QLQLVQYGG.GFVQHGRSLRLFCAASGFTSDDYDMHWVRQAPGKSL 
EWVSGISWNSNNIGYAEYVK.GRFTISRETAKNSLYMQMNSLRAEDTAVYYCARVS
PGYYDSSGGIGSDAFDIWGQ GTTVAVSS
Muc1-R3-T2-A3 
(SEQ ID NO: [ ])
QVQLVQSGG.GVVQPGRSLRLSCAASGFTFSSYGMHWVRQAPGKGLE 
WVAVISYDGSNKYYADSVKGRFTISRDNSKNTLYLQMNSLRVEDTAMYYCASGNP
YYSYAMDVWGQGTMVTVSS
Muc1-R3-T3-B6 
(SEQ ID NO: [ ])
EVQLVQSGG.EAKKPGSSVKVSCKASGYTISNYDINWVGQATGHGLE 
WMERMNPNSGNTGYAEKLQ.GRVIMTSASSIDTAYMYVSSLRYEGAAVYYCGREM
CGGFDMWVQGPMVTVSS
Muc1-R3-T4-E8 
(SEQ ID NO: [ ])
QVQLQESGG.GLVQPGGSLRLSCAASGLSFSKHAMNWVRQAPGKGLE 
WVSTISGSGTRTYYADSVKGRFTISRDNTRDTLYLQMNRLRAEDTAIYYCVKGEEG
PYYYYYGLDVWGQGTTVTVSS
Muc1-R3-E4-E1 
(SEQ ID NO: [ ])
PGALVQSGG.GLVQPGGSLRLSCAASGFTFSDNWMSWVRQAPVKGLEWVANIKQD 
GSEKYFVDSVKGRFTISRDNAKKSLYLQMNNLRAEDTAVYYCVREFVGAYDIWGQ 
GTMVTVSS
Muc1-R3-E2-D12-PelB.ab1 
(SEQ ID NO: [ ])
QVQLVQSGA.EVKKPGASVKVSCKASGYTFTSYGISWVRQAPGQGLE 
WMGWISAYNGNTNYAQKVQGRVTMTTDTSTSTAYMELRSLRSDDTAVYYCARDP
HLSSGWYKGNGMDVWGQGTLVTVSS
Muc1-R3-E2-F8-PelB.ab1 
(SEQ ID NO: [ ])
QVQLVQSGG.GLVQPGRSLRLSCAASGFTFDDYAMHWVRQAPGKGL 
EWVSGIS*NSGSIGYADSVK.GRFTISRDNTKNLLYLQMNSLRVEDTAVYYCARDGG
YCDSTGCYDALDIWGQGTTVTVSS
Muc1-R3-E2-F11-PelB.ab1 
(SEQ ID NO: [ ])
EVQLVQSGA.EVKKPGSSVKVSCKASGYTFSNYDINWVRQATGHGLE 
WMGRMNPNSGNTGYAEKFQGRVIMTSDTSIDTAYMDLSSLRSEDTAVYYCAREIR
GAFDIWGQGTMVTVSS
Muc1-R3-E2-B4-PelB.ab1 
(SEQ ID NO: [ ])
QVQLVQSGG.GFVQPGRSLRLSCAASGFTFDDYAMHWVRQAPGKGL 
EWVSGISWNSNNIGYADSVKGRFTISRENAKNSLYLQMNSLRAEDTAVYYCARVSP
GYYDSSGQGTDAFDIWGQGTTVTVSS
Muc1-R3-E2-B2-PelB.ab1 
(SEQ ID NO: [ ])
QVQLVQSGA.EVKRPGASVKVSCKASGYTFSTYAINWVRQAPGQGPE 
WMGWISGYNGNTKYAQKVQGRVIMTTDTSTTTAYMELRSLTSDDTAVYYCARDG
VGAAFDYWGQGTLVTVSS
Muc1-R3-T1-F11-PelB.ab 1 
(SEQ ID NO: [ ])
QVQLVQSGG.GFIQPGXSLXLSCAASGFTFDDYAMHWVRQAPGKGLE 
WVSCISWNXNNIGYADSVKGQFTISRKNAKNSLYLQMNSLKAEDTAVYYCAKVSP
GYYDSSGQGTDAFDIWGQGTTVTVSS
Muc1-R3-T1-H8-PelB.ab1 
(SEQ ID NO: [ ])
QVQLVQSGA.EVKKPGASVKVSCKASGYTFTSYGISWVRQAPGQGLE 
WMGWISTYNGNTKYAQKLQGRVTMTTDTSTSTAYMELRSLRSDDTAVYYCARDR
ATIDAFDIWGQGTTVTVSS

[0121]

Light Chain Nucleotide Sequences

[0000]

T4E3 VL
(SEQ ID NO: 28)
tcttctgagctgactcaggaccctgctgtgtctgtggccttgggacagacagtcaggatcacatgccaaggagacagcctcagaagct 
attatgcaagctggtaccagcagaagccaggacaggcccctgtacttgtcatctatggtaaaaatagccggccctcggggatcccaga 
ccgattctctggctccaactcaggaagcacagcttccttgaccatcactggggctcaggcggaagatgaggctgactattactgtaact
cccgggacaggtatggtaattcccttgtgatattcggcggagggaccaagctgaccgtccta 
G2-2-F8 VL
(SEQ ID NO: 29)
tcttctgagctgactcaggaccctgctgtgtctgtggccttgggacagacagtcaggatcacatgccgaggagacagcctcagaagct 
attatgcaagctggtaccagcagaagccaggacaggcccctgtacttgtcatttatggtaaaaacaaccggccctcagggatcccaga 
ccgattctctggctccagctcaggaaacacagcttccttgaccatcactggggctcaggcggaagatgaggctgactattactgtaact 
cccgggacagcagtggtaaccatctggtgttcggcggagggaccaagctgaccgtccta 
G1-3-A3 VL
(SEQ ID NO: 30)
gaaacgacactcacgcagtctccagccaccctgtctgtgtctccaggggaaagggccaccctctcctgcagggccagtcagagtgtt 
cgccgcaacgtagcctggtaccagcagaaacctggccaggctcccaggctcctcatctatggtgcatccttcagggccgctggcgtc 
ccagacaggttcagtggaagtgggtctgggacagacttcactctcaccatcaccagactggagcctgaagattttgcagtgtattactgt 
cagcagtatggtagctcacctcggacgttcggccaagggaccaaggtggaaatcaaa 
G1-2-B10 VL
(SEQ ID NO: 31)
tcttctgagctgactcaggaccctgctgtgtctgtggccttgggacagacagtcaggatcacatgccaaggagacagcctcagaagct 
attatgcaagctggtaccagcagaagccaggacaggcccctgtacttgtcatctatggtaaaaacaaccggccctcagggatcccaga 
ccgattctctggctccaactcaggaaacacagcttccttgaccatcactggggctcaggcggaagatgaggctgactattactgtaact 
cccgggacttcagtggtcttcagctggtattcggcggagggaccagactgaccgtcctg 
G1-1-A1 VL
(SEQ ID NO: 32)
tcttctgagctgactcaggaccctgctgtgtctgtggccttgggacagacagtcaggatcacatgccaaggagacagcctcagaaggt 
attatgcaagttggtaccagcagaagccaggacaggcccctgtacttgtcttctatgggaaaaacactcggccctcagggatcccaga 
ccgaatctctggctccagctctggaaacacagcttccttgaccatcactggggctcaggcggaagatgaggctgactattattgtaactc
ccgggacagcagtggtaaccctgtggtattcggcggagggaccaagctgaccgtccta 
R3-T4-D1 
(SEQ ID NO: [ ])
tcttctgagctgactcaggaccctgctgtgtctgtggccttgggacagacagtcaggatcacatgccaaggaga 
cagcctcagaagctattatgcaagctggtaccagcagaagccaggacaggcccctgtacttgtcatctatggtaaaaatagccggccc 
tcggggatcccagaccgattctctggctccaactcaggaagcacagcttccttgaccatcactggggctcaggcggaagatgaggct 
gactattactgtaactcccgggacaggtatggtaatccccttgtgatattcggcggagggaccaagctgaccgtcctag 
R3-T2-B1 
(SEQ ID NO: [ ])
tcttctgagctgactcaggaccctgctgtgtctgtggccttgggacagacagtcaggatcacatgccaaggaga 
cagcctcagaagctattatgcaagctggtaccagcagaagccaggacaggcccctgtacttgtcatctatggtaaaaacaaccggccc 
tcagggatcccagaccgattctctggctccaactcaggaaacacagcttccttgaccatcactggggctcaggcggaagatgaggctg 
actattactgtaactcccgggacttcagtggtcttcagctggtattcggcggagggaccagactgaccgtcctgg 
R3-T4-B5 
(SEQ ID NO: [ ])
tcttctgagctgactcaggaccctgctgtgtctgtggccttgggacagacagtcaggatcacatgccgaggaga 
cagcctcagaagctattatgcaagctggtaccagcagaagccaggacaggcccctgtacttgtcatttatggtaaaaacaaccggccc 
tcagggatcccagaccgattctctggctccagctcaggaaacacagcttccttgaccatcactggggctcaggcggaagatgaggct 
gactattactgtaactcccgggacagcagtggtaaccatctggtgttcggcggagggaccaagctgaccgtcctag 
R3-E4-B12 
(SEQ ID NO: [ ])
gaaacgacactcacgcagtctccagccaccctgtctgtgtctccaggggaaagagccaccctctcctgcaggg 
ccagtcagagtgttggcagcaacttagcctggtaccagcaaaaacctggccaggctcccaggctcctcatctacggtgcatccaccag 
ggccactggtatcccagccaggttcagtggcagtgggtctgggacagaattcactctcaccatcagcagcctagagcctgaagattttg 
cagtttattactgtcagcagcgtagcaactggcctccgacgttcggccaagggaccaaggtggagagcaaac 
R3-T3-H9 
(SEQ ID NO: [ ])
tcttctgagctgactcaggaccctgct . . . gtgtctgtggccttgggacagacagtcaggatcacatgccaaggag 
acagcctcagaaggtattatgcaagttggtaccagcagaagccaggacaggcccctgtacttgtcttctatgggaaaaacagtcggcc 
ctcagggatcccagaccgaatctctggctccagctctggaaacacagcttccttgaccatcactgggggtcaggcggaagatgaggc 
tgactattattgtaactcccgggacagcagtggtaaccctgtggtattcggcggagggaccaagctgaccgtcctag 
R3-T3-H3 
(SEQ ID NO: [ ])
tcttctgagctgactcaggaccctgctgtgtctgtggccttgggacagacagtcaggatcacatgccaaggaga 
cagcctcagaaggtattatgcaagttggtaccagcagaagccaggacaggcccctgtacttgtcttctatgggaaaaacactcggccct 
cagggatcccagaccgaatctttggctccagctctggaaacacagcttccttgaccatcactggggctcaggcggaagatgaggctg 
actattattgtaactcccgggacagcagtggtaaccctgtggtattcggcggagggaccaagctgaccgtcctag 
R3-T4-D5 
(SEQ ID NO: [ ])
cagtctgccctgactcagcctccctccgtgtccgggtctcctggacagtcagtcaccatctcctgcactggaacc 
agcagtgacgttggtggttataaccgtgtctcctggtaccaacagccccccggcacagcccccaaactcatgattcatgacgtcagtag 
tcggccctcaggggtccctgatcgcttctctgggtccaagtctggcaacacggcctccctgaccatctctgggctccaggctgacgac 
gaggctgattattactgcagctcatatacaagcagcagccctcgggtgttcggcggagggaccaagctgaccgtcctag 
R3-T3-B9 
(SEQ ID NO: [ ])
cagtctgccctgactcagcctccctccgtgtccgggtctcctggacagtcagtcaccatctcctgcactggaacc 
agcagtgacgttggtggttataaccgtgtctcctggtaccaacagccccccggcacagcccccaaactcatgattcatgacgtcagtag 
tcggccctcaggggtccctgatcgcttctctgggtccaagtctggcaacacggcctccctgaccatctgggggctccaggaagacga 
ggaggctgattattgttgcagctcatatacaagcagcagccctcgggtgttcggcggagggaccaagctgaccgtcctag 
R3-E4-G10 
(SEQ ID NO: [ ])
gaaacgacactcacgcagtcttcagccgcccagtgggtgtctccaggggaaagggccaccctctcctgcagg 
gccagtcagagtgttcgccgcaacgtagcctggtaccagcagaaacctggccaggctcccaggctcctcatttatggtgcatccttca 
gggcctctggcgtcccagacaggttcagtggaagtgggtctgggacagacttcactctcaccatcaccagcctggagcctgaagattt 
tgcagtgtattactgtcagcagtatggtagctcacctcggacgttcggccaagggaccaaggtggaaatcaaac 
R3-T2-A3 
(SEQ ID NO: [ ])
aattttatgctgactcagccccactct . . . gtgtcggagtctccggggaagacggtaaccatctcctgcacccgca 
gcagtggcagcattgccaacaactatgtgcagtggtaccagcagcgcccgggcagttcccccaccactgtgatctatgaggataacc 
aaagaccctctggggtccctgatcggttctctggctccatcgacagctcctccaactctgcctccctcaccatctctggactgaagactg
aggacgaggctgactactactgtcagtcttatgatagcatcaatcatcatgtggttttcggcggagggaccaagctgaccgtcctag 
R3-T3-B6 
(SEQ ID NO: [ ])
cagtctgccctgactcagcctccctccgtgtccgggtctcctggacagtcagtcaccatctcctgcactggaacc 
agcagtgacgttggtggttataaccgtgtgtcctggtaccaacagccccccggcacagcccccaaactcatgattcagaaagtcagta 
gtcggccctcaggggtccctgatcgcttctctgggtccaagtctggcaacacggcctccctgatcatctgggggctccaggaagacga 
ggaggctgattattgttgcagctcatacacaagcagcagccctcgggtgttcggcggagggaccaagctgaccgtcctag 
R3-T4-E8 
(SEQ ID NO: [ ])
tcctatgagctgactcagccaccctcggtgtcagtggccccaggacagacggccaggattacctgtggggcaa 
acaacattggaagtaaaagtgtgcactggtaccagcagaagccaggccaggcccctgtgctggtcgtctatgatgatagcgaccggc 
cctcagggatccctgagcgattctctggctccaactctgggaacacggccaccctgaccatcagcagggtcgaagccggggatgag 
gccgactattactgtcaggtgtgggatagtagtactgatcatcaggttttcggcggagggaccaagctgaccgtcctag 
R3-E4-E1 
(SEQ ID NO: [ ])
aattttatgctgactcagccccactctgtgtcggagtctccggggaagacggtaatcatctcctgcacccgcagc 
agcggcagcattgccaaccaccgtgtgcagtggctccagcagcgcccgggcagtgcccccctcactgtgatctatgaggaaaaccg 
aagaccctctggggtccctgatcggttctctggctccatcgacacgtcctccaactctgcctccctcaccatctctggactgaagcctga
ggacgaggctgactactactgtcagtctttggatggcgtcactcattatgtcttcggaagtggggccaaggtcaccgtcctag 

[0122]

Light Chains Amino Acid Sequences (CDR1 indicated by bold, CDR2 indicated by underline, and CDR3 indicated by bold and underline)

[0000]

T4E3 VL
(SEQ ID NO: 17)
SSELTQDPAVSVALGQTVRITCQGDSLRSYYASWYQQKPGQAPVLVIYGKNSRPSGI 
PDRFSGSNSGSTASLTITGAQAEDEADYYCNSRDRYGNSLVIFGGGTKLTVL 
G2-2-F8 VL
(SEQ ID NO: 18)
SSELTQDPAVSVALGQTVRITCRGDSLRSYYASWYQQKPGQAPVLVIYGKNNRPSGI 
PDRFSGSSSGNTASLTITGAQAEDEADYYCNSRDSSGNHLVFGGGTKLTVL 
G1-3-A3 VL
(SEQ ID NO: 19)
ETTLTQSPATLSVSPGERATLSCRASQSVRRNVAWYQQKPGQAPRLLIYGASFRAAG 
VPDRFSGSGSGTDFTLTITRLEPEDFAVYYCQQYGSSPRTFGOGTKVEIK
G1-2-B10 VL
(SEQ ID NO: 20)
SSELTQDPAVSVALGQTVRITCQGDSLRSYYASWYQQKPGQAPVLVIYGKNNRPSGI 
PDRFSGSNSGNTASLTITGAQAEDEADYYCNSRDFSGLQLVFGGGTRLTVL 
G1-1-A1 VL
(SEQ ID NO: 21)
SSELTQDPAVSVALGQTVRITCQGDSLRRYYASWYQQKPGQAPVLVFYGKNTRPSG 
IPDRISGSSSGNTASLTITGAQAEDEADYYCNSRDSSGNPVVFGGGTKLTVL 
R3-T4-D1 
(SEQ ID NO: [ ])
SSELTQDPA.VSVALGQTVRITCQGDSLRSYYASWYQQKPGQAPVLVI 
YGKNSRPSGIPDRFSGSNSGSTASLTITGAQAEDEADYYCNSRDRYGNPLVIFGGGT 
KLTVL 
R3-T2-B1 
(SEQ ID NO: [ ])
SSELTQDPA.VSVALGQTVRITCQGDSLRSYYASWYQQKPGQAPVLVI 
YGKNNRPSGIP.DRFSGSNSGNTASLTITGAQAEDEADYYCNSRDFSGLQLVFGGGT 
RLTVL 
R3-T4-B5 
(SEQ ID NO: [ ])
SSELTQDPAVSVALGQTVRITCRGDSLRSYYASWYQQKPGQAPVLVI 
YGKNNRPSGIP.DRFSGSSSGNTASLTITGAQAEDEADYYCNSRDSSGNHLVFGGGTK 
LTVL 
R3-E4-B12 
(SEQ ID NO: [ ])
ETTLTQSPATLSVSPGERATLSCRASQSVGSNLAWYQQKPGQAPRLLI 
YGASTRATGIPARFSGSGSGTEFTLTISSLEPEDFAVYYCQQRSNWPPTFGQGTKVES
K 
R3-T3-H9 
(SEQ ID NO: [ ])
SSELTQDPAVSVALGQTVRITCQGDSLRRYYASWYQQKPGQAPVLVF 
YGKNSRPSGIPDRISGSSSGNTASLTITGGQAEDEADYYCNSRDSSGNPVVFGGGTKL 
TVL 
R3-T3-H3 
(SEQ ID NO: [ ])
SSELTQDPAVSVALGQTVRITCQGDSLRRYYASWYQQKPGQAPVLVF 
YGKNTRPSGIPDRIFGSSSGNTASLTITGAQAEDEADYYCNSRDSSGNPVVFGGGTKL 
TVL 
R3-T4-D5 
(SEQ ID NO: [ ])
QSALTQPPS.VSGSPGQSVTISCTGTSSDVGGYNRVSWYQQPPGTAPKL 
MIHDVSSRPSGVPDRFSGSKSGNTASLTISGLQADDEADYYCSSYTSSSPRVFGGGTK 
LTVL 
R3-T3-B9 
(SEQ ID NO: [ ])
QSALTQPPS.VSGSPGQSVTISCTGTSSDVGGYNRVSWYQQPPGTAPKL 
MIHDVSSRPSGVPDRFSGSKSGNTASLTIWGLQEDEEADYCCSSYTSSSPRVFGGGTK 
LTVL 
R3-E4-G10 
(SEQ ID NO: [ ])
ETTLTQSSAAQWVSPGERATLSCRASQSVRRNVAWYQQKPGQAPRL 
LIYGASFRASGVPDRFSGSGSGTDFTLTITSLEPEDFAVYYCQQYGSSPRTFGQGTKV 
EIK 
R3-T2-A3 
(SEQ ID NO: [ ])
NFMLTQPHS.VSESPGKTVTISCTRSSGSIANNYVQWYQQRPGSSPTTVI 
YEDNQRPSGVPDRFSGSIDSSSNSASLTISGLKTEDEADYYCQSYDSINHHVVFGGGT 
KLTVL 
R3-T3-B6 
(SEQ ID NO: [ ])
QSALTQPPS.VSGSPGQSVTISCTGTSSDVGGYNRVSWYQQPPGTAPKL 
MIQKVSSRPSGVPDRFSGSKSGNTASLIIWGLQEDEEADYCCSSYTSSSPRVFGGGTK 
LTVL 
R3-T4-E8 
(SEQ ID NO: [ ])
SYELTQPPS.VSVAPGQTARITCGANNIGSKSVHWYQQKPGQAPVLVV 
YDDSDRPSGIPERFSGSNSGNTATLTISRVEAGDEADYYCQVWDSSTDHQVFGGGT 
KLTVL 
R3-E4-E1 
(SEQ ID NO: [ ])
NFMLTQPHSVSESPGKTVHSCTRSSGSIANHRVQWLQQRPGSAPLTVI 
YEENRRPSGVPDRFSGSIDTSSNSASLTISGLKPEDEADYYCQSLDGVTHYVFGSGAK 
VTVL 
R3-E2-D12-PelB.ab1 
(SEQ ID NO: [ ])
SSELTQDPA.VSVALGQTVRITCQGDSLRRYYASWYQQKPGQAPVLVF 
YGKNTRPSGIPDRISGSSSGNTASLTITGAQAEDEADYYCNSRDSSGNPVVFGGGTKL 
TVL 
R3-E2-F8-PelB.ab1 
(SEQ ID NO: [ ])
SYELTQPPSVSKGLRQTATLTCSGNSNNVGHEGAAWLQQHQGHPPKL 
LSYRNNNRPSGISERFSASRSGNTASLTITGLQPEDEADYYCATWDGSLRGWVFGG 
GSKLTVL 
R3-E2-F11-PelB.ab1 
(SEQ ID NO: [ ])
QSALTQPPS.VSGSPGQSVTISCTGTSSDVGGYNRVSWYQQPPGTAPKL 
MIHDVSSRPSGVPDRFSGSKSGNTASLTISGLQADDEADYYCSSYTSSSTRVFGGGTK 
LTVL 
R3-E2-B4-PelB.ab1 
(SEQ ID NO: [ ])
ETTLTQSPATLSVSPGERATLSCRASQSVRRNVAWYQQKPGQAPRLLI 
YGASFRAAGVP.DRFSGSGSGTDFTLTITRLEPEDFAVYYCQQYGSSPRTFGQGTKVE 
IK 
R3-E2-B2-PelB.ab1
(SEQ ID NO: [ ])
ETTLTQSPATLSVSPGERATLSCRASQSVGSNLAWYQQKPGQAPRLLI 
YGASTRATGIPARFSGSGSGTEFTLTISSLEPEDFAVYYCQQRSNWPPTFGQGTKVES
K 
R3-T1-F11-PelB.ab1 
(SEQ ID NO: [ ])
KTTLTQSPATLSVSPGERATLSCXAXXIVRRNVX*YQXKPGQAPSLLI 
YGASFXAAXVSHXXSXSGSGTYFSLTITXLXPXILQCITVXSMVXHLXFGXXTXVEI 
X 
R3-T1-H8-PelB.ab1 
(SEQ ID NO: [ ])
QSALTQPAS.VSGSPGQSITISCTGTSSDFGGYNYVSWYQQHPGKAPKL 
MIYDVSNRPSGISNRFSGSKSGNTASLTITGLQSEDEADYYCSGWDRSLSAWVVGG 
XTKLTVL 

[0123]

In sequences included herein, asterisks “*” can represent amber/stop codons. For example, the TG1 bacterial cells can be mutated such that the TAG stop codon is read as a Q (glutamine). When IMGT is used to break the DNA sequence down into FW and CDR regions, the TG1 bacterial cells do not know that there is an amber suppressor so the cells assume it is a stop codon while in the phage it reads as a Q. In embodiments, those sequences can be re-cloned such that the TAG is changed to the codons for Q.

[0124]

Embodiments also feature antibodies that have a specified percentage identity or similarity to the amino acid or nucleotide sequences of the anti-MUC1 antibodies described herein. For example, the antibodies can have 60%, 70%, 75%, 80%, 85%, 90%, 91%, 92%, 93%, 94%, 95%, 96%, 97%, 98%, 99%, or higher identity when compared a specified region or the full length of any one of the anti-MUC1 antibodies described herein. Sequence identity or similarity to the nucleic acids and proteins of the present invention can be determined by sequence comparison and/or alignment by methods known in the art. For example, sequence comparison algorithms (i.e. BLAST or BLAST 2.0), manual alignment or visual inspection can be utilized to determine percent sequence identity or similarity for the nucleic acids and proteins of the present invention.

[0125]

As to amino acid sequences, one of skill in the art will readily recognize that individual substitutions, deletions or additions to a nucleic acid, peptide, polypeptide, or protein sequence which alters, adds, deletes, or substitutes a single amino acid or a small percentage of amino acids in the encoded sequence is collectively referred to herein as a “conservatively modified variant”. In some embodiments the alteration results in the substitution of an amino acid with a chemically similar amino acid. Conservative substitution tables providing functionally similar amino acids are well known in the art. Such conservatively modified variants of the anti-MUC1 antibodies disclosed herein can exhibit increased cross-reactivity to MUC1 in comparison to an unmodified MUC1 antibody.

[0126]

As used herein, the term “antibody” can refer to an immunoglobulin molecule and immunologically active portions of an immunoglobulin (Ig) molecule, i.e., a molecule that contains an antigen binding site that specifically binds (immunoreacts with) an antigen. The term “antibody” herein is used in the broadest sense and encompasses various antibody structures, including but not limited to monoclonal antibodies, polyclonal antibodies, multispecific antibodies (e.g., bispecific antibodies), multivalent antibodies, monovalent antibodies, humanized antibodies, fully human antibodies, and antibody fragments so long as they exhibit the desired antigen-binding activity. By “specifically binds” or “immunoreacts with” is meant that the antibody reacts with one or more antigenic determinants of the desired antigen more readily than with other polypeptides. Antibodies include, but are not limited to, polyclonal, monoclonal, chimeric, dAb (domain antibody), single chain, Fab, Fab′ and F(ab′)2fragments, scFvs, and Fabexpression libraries.

[0127]

The terms “antigen” or “antigen molecule” can be used interchangeable and can refer to all molecules that can be specifically bound by an antibody. The term “antigens” as used herein include e.g. proteins, different epitopes on proteins (as different antigens within the meaning of the invention), and polysaccharides. This mainly includes parts (coats, capsules, cell walls, flagella, fimbrae, and toxins) of bacteria, viruses, and other microorganisms. Lipids and nucleic acids are antigenic only when combined with proteins and polysaccharides. Non-microbial exogenous (non-self) antigens can include pollen, egg white, and proteins from transplanted tissues and organs or on the surface of transfused blood cells. Preferably the antigen is selected from the group consisting of cytokines, cell surface proteins, enzymes and receptors cytokines, cell surface proteins, enzymes and receptors.

[0128]

The term “chimeric antibody” can refer to an antibody comprising a variable region, i.e., binding region, from one source or species and at least a portion of a constant region derived from a different source or species, usually prepared by recombinant DNA techniques. For example, chimeric antibodies can comprise a murine variable region and a human constant region. Other non-limiting forms of “chimeric antibodies” encompassed by the present invention are those in which the constant region has been modified or changed from that of the original antibody to generate specific properties, such as in regard to Fc receptor (FcR) binding. Such chimeric antibodies are also referred to as “class-switched antibodies.” Chimeric antibodies are the product of expressed immunoglobulin genes comprising DNA segments encoding immunoglobulin variable regions and DNA segments encoding immunoglobulin constant regions. Methods for producing chimeric antibodies involve conventional recombinant DNA and gene transfection techniques are well known in the art. See, e.g., Morrison, S. L., et al., Proc. Natl. Acad. Sci. USA 81 (1984) 6851-6855; U.S. Pat. Nos. 5,202,238 and 5,204,244.

[0129]

The term “humanized antibody” can refer to antibodies in which the framework or “complementarity determining regions” (CDR) have been modified to comprise the CDR of an immunoglobulin of different specificity as compared to that of the parent immunoglobulin. In one embodiment, a murine CDR is grafted into the framework region of a human antibody to prepare the “humanized antibody.” See, e.g., Riechmann, L., et al., Nature 332 (1988) 323-327; and Neuberger, M. S., et al., Nature 314 (1985) 268-270. Particularly preferred CDRs correspond to those representing sequences recognizing the antigens noted herein. Other forms of “humanized antibodies” encompassed by the present invention are those in which the constant region has been additionally modified or changed from that of the original antibody to generate specific properties according to the invention, such as Fc receptor (FcR) binding.

[0130]

The term “human antibody”, as used herein, can include antibodies having variable and constant regions derived from human germ line immunoglobulin sequences. Human antibodies are well-known in the state of the art (van Dijk, M. A., and van de Winkel, J. G., Curr. Opin. Chem. Biol. 5 (2001) 368-374). Human antibodies can also be produced in transgenic animals (e.g., mice) that are capable, upon immunization, of producing a full repertoire or a selection of human antibodies in the absence of endogenous immunoglobulin production. Transfer of the human germ-line immunoglobulin gene array in such germ-line mutant mice will result in the production of human antibodies upon antigen challenge (see, e.g., Jakobovits, A., et al., Proc. Natl. Acad. Sci. USA 90 (1993) 2551-2555; Jakobovits, A., et al., Nature 362 (1993) 255-258; Bruggemann, M., et al., Year Immunol. 7 (1993) 33-40). Human antibodies can also be produced in phage display libraries (Hoogenboom, H. R., and Winter, G., J. Mol. Biol. 227 (1992) 381-388; Marks, J. D., et al., J. Mol. Biol. 222 (1991) 581-597). The techniques of Cole, et al., and Boerner, et al. are also available for the preparation of human monoclonal antibodies (Cole, et al., Monoclonal Antibodies and Cancer Therapy, Alan R. Liss, p. 77 (1985); and Boemer, P., et al., J. Immunol. 147 (1991) 86-95). As already mentioned for chimeric and humanized antibodies according to the invention the term “human antibody” as used herein also comprises such antibodies which are modified in the constant region to generate specific properties, such as in regard to FcR binding, e.g. by “class switching” i.e. change or mutation of Fc parts (e.g. from IgG1 to IgG4 and/or IgG1/IgG4 mutation.)

[0131]

The term “recombinant human antibody”, as used herein, can include all human antibodies that are prepared, expressed, created or isolated by recombinant means, such as antibodies isolated from a host cell such as a NS0 or CHO cell or from an animal (e.g. a mouse) that is transgenic for human immunoglobulin genes or antibodies expressed using a recombinant expression vector transfected into a host cell. Such recombinant human antibodies have variable and constant regions in a rearranged form. The recombinant human antibodies according to the invention have been subjected to in vivo somatic hypermutation. Thus, the amino acid sequences of the VH and VL regions of the recombinant antibodies are sequences that, while derived from and related to human germ line VH and VL sequences, may not naturally exist within the human antibody germ line repertoire in vivo.

[0132]

A single chain Fv (“scFv”) polypeptide molecule is a covalently linked VH:VLheterodimer, which can be expressed from a gene fusion including VH- and VL-encoding genes linked by a peptide-encoding linker. (See Huston et al. (1988) Proc Nat Acad Sci USA 85(16):5879-5883). Referring to FIG. 9, for example, an embodiment can comprise the T4E3 VH(SEQ ID NO: ______) amino acid sequence described herein linked to the T4E3 VL (SEQ ID NO: ______) amino acid sequence.

[0133]

A number of methods have been described to discern chemical structures for converting the naturally aggregated, but chemically separated, light and heavy polypeptide chains from an antibody V region into an scFv molecule, which will fold into a three-dimensional structure substantially similar to the structure of an antigen-binding site. See, e.g., U.S. Pat. Nos. 5,091,513; 5, 132,405; and 4,946,778.

[0134]

Very large naive human scFv libraries have been and can be created to offer a large source of rearranged antibody genes against a plethora of target molecules. Smaller libraries can be constructed from individuals with infectious diseases in order to isolate disease-specific antibodies. (See Barbas et al., Proc. Natl. Acad. Sci. USA 89:9339-43 (1992); Zebedee et al, Proc. Natl. Acad. Sci. USA 89:3 175-79 (1992)).

[0135]

In general, antibody molecules obtained from humans relate to any of the classes IgG, IgM, IgA, IgE and IgD, which differ from one another by the nature of the heavy chain present in the molecule. Certain classes have subclasses as well, such as IgG1, IgG2, IgG3and IgG4and others. Furthermore, in humans, the light chain can be a kappa chain or a lambda chain. Referring to FIG. 7, for example, the light chain of embodiments herein can be kappa chain or lamda chain. The “antibodies” according to the invention can be of any class (e.g. IgA, IgD, IgE, IgG, and IgM, preferably IgG or IgE), or subclass (e.g., IgG1, IgG2, IgG3, IgG4, IgA1 and IgA2, preferably IgG1),

[0136]

The term “antigen-binding site,” or “binding portion” can refer to the part of the immunoglobulin molecule that participates in antigen binding. The antigen binding site is formed by amino acid residues of the N-terminal variable (“V”) regions of the heavy (“H”) and light (“L”) chains. Three highly divergent stretches within the V regions of the heavy and light chains, referred to as “hypervariable regions,” are interposed between more conserved flanking stretches known as “framework regions,” or “FRs”. Thus, the term “FR” can refer to amino acid sequences which are naturally found between, and adjacent to, hypervariable regions in immunoglobulins. In an antibody molecule, the three hypervariable regions of a light chain and the three hypervariable regions of a heavy chain are disposed relative to each other in three-dimensional space to form an antigen-binding surface. The antigen-binding surface is complementary to the three-dimensional surface of a bound antigen, and the three hypervariable regions of each of the heavy and light chains are referred to as “complementarity-determining regions,” or “CDRs.” For example, VHand VLregions, which contain the CDRs, of exemplary antibodies are shown in FIG. 9.

[0000]

VH
T4E3GFTFDDYAISWNSGSIAKDIGSGSYYNYYYGMDV 2
G2-2-F8GFTFDDYAISWNSGSIAKDMGSGYDWYYYGMDV 3
G1-3-A3GFTFDDYAISWNSNNIARVSPGYYDSSGQGTDA 4
G1-2-B10GFTFDDYAISWNSGSIAKDISSGWYPDA 5
G1-1-A1GYTFTSYGISAYNGNTARDPHLSSGWYKGNGMDV 6
R3-T4-D1GFTFDDYAISWNSGSIAKDIGSGSYYNYYYGMDV[ ]
R3-T2-B1GFTFDDYAISWNSGSIAKDISSGWYPDAFDI[ ]
R3-T4-B5GFTFDDYAISWNSGSIAKDMGSGYDWYYYGMDV[ ]
R3-E4-B12GYTFSTYAISGYNGNTARDGVGAAFDY[ ]
R3-T3-H9GYTFTSYGISAYNGNTARDPHLSSGWCKGNGMDV[ ]
R3-T3-H3GYTYTSYGISAYNGNTARDPHVSSGWYKGNGMDV[ ]
R3-E2-GYTFTSYGISAYNGNTARDPHLSSGWYKGNGMDV[ ]
D12-
PelB.ab1
R3-E2-F8-GFTFDDYAIS*NSGSIARDGGYCDSTGCYDALDI[ ]
PelB.ab1
R3-E2-GYTFSNYDMNPNSGNTAREIRGAFDI[ ]
F11-
PelB.ab1
R3-E2-64-GFTFDDYAISWNSNNIARVSPGYYDSSGQGTDAFDI[ ]
PelB.ab1
R3-E2-62-GYTFSTYAISGYNGNTARDGVGAAFDY[ ]
PelB.ab1
R3-T1-GFTFDDYAISWNXNNIAKVSPGYYDSSGQGTDAFDI[ ]
F11-
PelB.ab1
R3-T1-H8-GYTFTSYGISTYNGNTARDRATIDAFDI[ ]
PelB.ab1
VL
T4E3SLRSYYGKNNSRDRYGNSLVIFGGGTK 7
G2-2-F8SLRSYYGKNNSRDSSGNHLVFGGGTK 8
G1-3-A3QSVRRNGASQQYGSSPRTFGQGTKVEIK 9
G1-2-B10SLRSYYGKNNSRDFSGLQLVFGGGTR10
G1-1-A1SLRRYYGKNNSRDSSGNPVVFGGGTK11
R3-T4-D1SLRSYYGKNNSRDRYGNPLVI[ ]
R3-T2-B1SLRSYYGKNNSRDFSGLQLV[ ]
R3-T4-B5SLRSYYGKNNSRDSSGNHLV[ ]
R3-E4-B12QSVGSNGASQQRSNWPPT[ ]
R3-T3-H9SLRRYYGKNNSRDSSGNPVV[ ]
R3-E2-SLRRYYGKNNSRDSSGNPVV[ ]
D12-
PelB.ab1
R3-E2-F8-SNNVGHEGRNNATWDGSLRGWV[ ]
PelB.ab1
R3-E2-SSDVGGYNRDVSSSYTSSSTRV[ ]
F11-
PelB.ab1
R3-E2-64-QSVRRNGASQQYGSSPRT[ ]
PelB.ab1
R3-E2-62-QSVGSNGASQQRSNWPPT[ ]
PelB.ab1
R3-T1-XIVRRNGASXSMVXHLX[ ]
F11-
PelB.ab1
R3-T1-H8-SSDFGGYNYDVSSGWDRSLSAWV[ ]
PelB.ab1

[0137]

As used herein, the term “epitope” can include any protein determinant capable of specific binding to an immunoglobulin, a scFv, or a T-cell receptor. The variable region allows the antibody to selectively recognize and specifically bind epitopes on antigens. For example, the VL domain and VH domain, or subset of the complementarity determining regions (CDRs), of an antibody combine to form the variable region that defines a three-dimensional antigen-binding site. This quaternary antibody structure forms the antigen-binding site present at the end of each arm of the Y. Epitopic determinants usually consist of chemically active surface groupings of molecules such as amino acids or sugar side chains and usually have specific three-dimensional structural characteristics, as well as specific charge characteristics. For example, antibodies can be raised against N-terminal or C-terminal peptides of a polypeptide. As another example, the epitope of the antibodies can be within the MUC1 of the panning antigen, as described herein. Further as described herein, anti-MUC1-antibodies can be directed towards the SEA domain of MUC1.

[0138]

As used herein, the terms “immunological binding,” and “immunological binding properties” can refer to the non-covalent interactions of the type which occur between an immunoglobulin molecule and an antigen for which the immunoglobulin is specific. The strength, or affinity of immunological binding interactions can be expressed in terms of the dissociation constant (KD) the interaction, wherein a smaller (KD) presents a greater affinity. Immunological binding properties of selected polypeptides can be quantified using methods well known in the art. One such method entails measuring the rates of antigen-binding site/antigen complex formation and dissociation, wherein those rates depend on the concentrations of the complex partners, the affinity of the interaction, and geometric parameters that equally influence the rate in both directions. Thus, both the “on rate constant” (Kon) and the “off rate constant” (Koff) can be determined by calculation of the concentrations and the actual rates of association and dissociation. (See Nature 361: 186-87 (1993)). The ratio of Koff/Konenables the cancellation of all parameters not related to affinity, and is equal to the dissociation constant %. (See, generally, Davies et al. (1990) Annual Rev Biochem 59:439-473). An antibody of the present invention is said to specifically bind to a MUC1 epitope when the equilibrium binding constant sufficient to induce a therapeutic effect. In many instances, the equilibrium binding constant is ≤10 μM, preferably ≤10 nM, and most preferably ≤100 pM to about 1 pM, as measured by assays such as radioligand binding assays or similar assays known to those skilled in the art, such as a BIAcore. Alternatively, moderate affinity is sufficient to induce a therapeutic effect.

[0139]

“Specifically binds” or “has specificity to,” can refer to an antibody that binds to an epitope via its antigen-binding domain, and that the binding entails some complementarity between the antigen-binding domain and the epitope. For example, an antibody is said to “specifically bind” to an epitope when it binds to that epitope, via its antigen-binding domain more readily than it would bind to a random, unrelated epitope.

[0140]

Functionally, the binding affinity of the anti-MUC1 antibody is within the range of 10−5M to 10−12M. For example, the binding affinity of the anti-MUC1 antibody is from 10−6M to 10−12M, from 10−7M to 10−12M, from 10−8M to 10−12M, from 10−9M to 10−12M, from 10−5M to 10−11M, from 10−6M to 10−11M, from 10−7M to 10−11M, from 10−8M to 10−11M, from 10−9M to 10−11M, from 10−10M to 10−11M, from 10−5M to 10−10M, from 10−6M to 10−10M, from 10−7M to 10−10M, from 10−8M to 10−10M, from 10−9M to 10−10M, from 10−5M to 10−9M, from 10−6M to 10−9M, from 10−7M to 10−9M, from 10−8M to 10−9M, from 10−5M to 10−8M, from 10−6M to 10−8M, from 10−7M to 10−8M, from 10−5M to 10−7M, from 10−6M to 10−7M, or from 10−5M to 10−6M.

[0141]

For example, the anti-MUC1 antibody1 antibody can be monovalent or bivalent, and comprises a single or double chain. For example, a monovalent antibody has an affinity for one antigen and/or one epitope, such as the MUC1-SEA peptide or fragment thereof.

[0142]

The term “bivalent” or “bispecific” antibody can refer to an antibody that is capable of specifically binding to two different antigens at the same time. For example, a bivalent antibody can comprise two pairs of heavy chain and light chain (HC/LC) specifically binding to a different antigen, i.e. the first heavy and the first light chain (originating from an antibody against a first antigen) are specifically binding together to a first antigen, and, the second heavy and the second light chain (originating from an antibody against a second antigen) are specifically binding together to a second antigen. Such bivalent, bispecific antibodies are capable of specifically binding to two different antigens at the same time, and not to more than two antigens, in contrary to, on the one hand a monospecific, monovalent antibody capable of binding only to one antigen, and on the other hand e.g. a tetravalent, tetraspecific antibody which can bind to four antigen molecules at the same time.

[0143]

A MUC1 protein, MUC1-SEA peptide, or a derivative, fragment, analog, homolog or ortholog thereof, can be utilized as an immunogen in the generation of antibodies that immunospecifically bind these protein components. A MUC1 protein, MUC1-SEA peptide or a derivative, fragment, analog, homolog, or ortholog thereof, coupled to a proteoliposome can be utilized as an immunogen in the generation of antibodies that immunospecifically bind these protein components.

[0144]

Those skilled in the art will recognize that it is possible to determine, without undue experimentation, if a human monoclonal antibody has the same specificity as a human monoclonal antibody of the invention by ascertaining whether the former prevents the latter from binding to MUC1. If the human monoclonal antibody being tested competes with the human monoclonal antibody of the invention, as shown by a decrease in binding by the human monoclonal antibody of the invention, then it is likely that the two monoclonal antibodies bind to the same, or to a closely related, epitope.

[0145]

Another way to determine whether a human monoclonal antibody has the specificity of a human monoclonal antibody of the invention is to pre-incubate the human monoclonal antibody of the invention with the MUC1 protein or MUC1-SEA peptide, with which it is normally reactive, and then add the human monoclonal antibody being tested to determine if the human monoclonal antibody being tested is inhibited in its ability to bind MUC1. If the human monoclonal antibody being tested is inhibited then, in all likelihood, it has the same, or functionally equivalent, epitopic specificity as the monoclonal antibody of the invention. Screening of human monoclonal antibodies of the invention can be also carried out by utilizing MUC1 and/or MUC1-SEA and determining whether the test monoclonal antibody is able to neutralize MUC1 and/or MUC1-SEA.

[0146]

Various procedures known within the art can be used for the production of polyclonal or monoclonal antibodies directed against a protein of the invention, or against derivatives, fragments, analogs homologs or orthologs thereof (see, for example, Antibodies: A Laboratory Manual, Harlow E, and Lane D, 1988, Cold Spring Harbor Laboratory Press, Cold Spring Harbor, N.Y., incorporated herein by reference).

[0147]

Antibodies can be purified by well-known techniques, such as affinity chromatography using protein A or protein G, which provide primarily the IgG fraction of immune serum. Subsequently, or alternatively, the specific antigen which is the target of the immunoglobulin sought, or an epitope thereof, can be immobilized on a column to purify the immune specific antibody by immunoaffinity chromatography. Purification of immunoglobulins is discussed, for example, by D. Wilkinson (The Scientist, published by The Scientist, Inc., Philadelphia Pa., Vol. 14, No. 8 (Apr. 17, 2000), pp. 25-28).

[0148]

The term “monoclonal antibody” or “MAb” or “monoclonal antibody composition”, as used herein, can refer to a population of antibody molecules that contain only one molecular species of antibody molecule consisting of a unique light chain gene product and a unique heavy chain gene product. In particular, the complementarity determining regions (CDRs) of the monoclonal antibody are identical in all the molecules of the population. MAbs contain an antigen binding site capable of immunoreacting with a particular epitope of the antigen characterized by a unique binding affinity for it.

[0149]

Monoclonal antibodies can be prepared using hybridoma methods, such as those described by Kohler and Milstein, Nature, 256:495 (1975). In a hybridoma method, a mouse, hamster, or other appropriate host animal, is typically immunized with an immunizing agent to elicit lymphocytes that produce or are capable of producing antibodies that will specifically bind to the immunizing agent. Alternatively, the lymphocytes can be immunized in vitro.

[0150]

The immunizing agent will typically include the protein antigen, a fragment thereof or a fusion protein thereof. Generally, either peripheral blood lymphocytes are used if cells of human origin are desired, or spleen cells or lymph node cells are used if non-human mammalian sources are desired. The lymphocytes are then fused with an immortalized cell line using a suitable fusing agent, such as polyethylene glycol, to form a hybridoma cell (Goding, Monoclonal Antibodies: Principles and Practice, Academic Press, (1986) pp. 59-103). Immortalized cell lines are usually transformed mammalian cells, particularly myeloma cells of rodent, bovine and human origin. Usually, rat or mouse myeloma cell lines are employed. The hybridoma cells can be cultured in a suitable culture medium that preferably contains one or more substances that inhibit the growth or survival of the unfused, immortalized cells. For example, if the parental cells lack the enzyme hypoxanthine guanine phosphoribosyl transferase (HGPRT or HPRT), the culture medium for the hybridomas typically will include hypoxanthine, aminopterin, and thymidine (“HAT medium”), which substances prevent the growth of HGPRT-deficient cells.

[0151]

Preferred immortalized cell lines are those that fuse efficiently, support stable high-level expression of antibody by the selected antibody-producing cells, and are sensitive to a medium such as HAT medium. More preferred immortalized cell lines are murine myeloma lines, which can be obtained, for instance, from the Salk Institute Cell Distribution Center, San Diego, Calif. and the American Type Culture Collection, Manassas, Va. Human myeloma and mouse-human heteromyeloma cell lines also have been described for the production of human monoclonal antibodies. (See Kozbor, J. Immunol, 133:3001 (1984); Brodeur et al, Monoclonal Antibody Production Techniques and Applications, Marcel Dekker, Inc., New York, (1987) pp. 51-63)).

[0152]

The culture medium in which the hybridoma cells are cultured can then be assayed for the presence of monoclonal antibodies directed against the antigen. Preferably, the binding specificity of monoclonal antibodies produced by the hybridoma cells is determined by immunoprecipitation or by an in vitro binding assay, such as radioimmunoassay (RIA) or enzyme-linked immunoabsorbent assay (ELISA). Such techniques and assays are known in the art. The binding affinity of the monoclonal antibody can, for example, be determined by the Scatchard analysis of Munson and Pollard, Anal. Biochem., 107:220 (1980). Moreover, in therapeutic applications of monoclonal antibodies, it is important to identify antibodies having a high degree of specificity and a high binding affinity for the target antigen.

[0153]

After the desired hybridoma cells are identified, the clones can be subcloned by limiting dilution procedures and grown by standard methods. (See Goding, Monoclonal Antibodies: Principles and Practice, Academic Press, (1986) pp. 59-103). Suitable culture media for this purpose include, for example, Dulbecco's Modified Eagle's Medium and RPMI-1640 medium. Alternatively, the hybridoma cells can be grown in vivo as ascites in a mammal.

[0154]

The monoclonal antibodies secreted by the subclones can be isolated or purified from the culture medium or ascites fluid by conventional immunoglobulin purification procedures such as, for example, protein A-Sepharose, hydroxylapatite chromatography, gel electrophoresis, dialysis, or affinity chromatography.

[0155]

Monoclonal antibodies can also be made by recombinant DNA methods, such as those described in U.S. Pat. No. 4,816,567. DNA encoding the monoclonal antibodies of the invention can be readily isolated and sequenced using conventional procedures (e.g., by using oligonucleotide probes that are capable of binding specifically to genes encoding the heavy and light chains of murine antibodies). The hybridoma cells of the invention serve as a preferred source of such DNA. Once isolated, the DNA can be placed into expression vectors, which are then transfected into host cells such as simian COS cells, Chinese hamster ovary (CHO) cells, or myeloma cells that do not otherwise produce immunoglobulin protein, to obtain the synthesis of monoclonal antibodies in the recombinant host cells. The DNA also can be modified, for example, by substituting the coding sequence for human heavy and light chain constant domains in place of the homologous murine sequences (see U.S. Pat. No. 4,816,567; Morrison, Nature 368, 812-13 (1994)) or by covalently joining to the immunoglobulin coding sequence all or part of the coding sequence for a non-immunoglobulin polypeptide. Such a non-immunoglobulin polypeptide can be substituted for the constant domains of an antibody of the invention, or can be substituted for the variable domains of one antigen-combining site of an antibody of the invention to create a chimeric bivalent antibody.

[0156]

Fully human antibodies are antibody molecules in which the entire sequence of both the light chain and the heavy chain, including the CDRs, arise from human genes. Such antibodies are termed “humanized antibodies”, “human antibodies”, or “fully human antibodies” herein. Human monoclonal antibodies can be prepared by using trioma technique; the human B-cell hybridoma technique (see Kozbor, et al, 1983 Immunol Today 4: 72); and the EBV hybridoma technique to produce human monoclonal antibodies (see Cole, et al, 1985 In: MONOCLONAL ANTIBODIES AND CANCER THERAPY, Alan R. Liss, Inc., pp. 77-96). Human monoclonal antibodies can be utilized and can be produced by using human hybridomas (see Cote, et al, 1983. Proc Natl Acad Sci USA 80: 2026-2030) or by transforming human B-cells with Epstein Barr Virus in vitro (see Cole, et al., 1985 In: MONOCLONAL ANTIBODIES AND CANCER THERAPY, Alan R. Liss, Inc., pp. 77-96).

[0157]

In addition, human antibodies can also be produced using other techniques, including phage display libraries. (See Hoogenboom and Winter, J. Mol. Biol, 227:381 (1991); Marks et al., J. Mol. Biol, 222:581 (1991)). Similarly, human antibodies can be made by introducing human immunoglobulin loci into transgenic animals, e.g., mice in which the endogenous immunoglobulin genes have been partially or completely inactivated. Upon challenge, human antibody production is observed, which closely resembles that seen in humans in all respects, including gene rearrangement, assembly, and antibody repertoire. This approach is described, for example, in U.S. Pat. Nos. 5,545,807; 5,545,806; 5,569,825; 5,625, 126; 5,633,425; 5,661,016, and in Marks et al, Bio/Technology 10, 779-783 (1992); Lonberg et al, Nature 368 856-859 (1994); Morrison, Nature 368, 812-13 (1994); Fishwild et al, Nature Biotechnology 14, 845-51 (1996); Neuberger, Nature Biotechnology 14, 826 (1996); and Lonberg and Huszar, Intern. Rev. Immunol. 13 65-93 (1995).

[0158]

Human antibodies can additionally be produced using transgenic nonhuman animals which are modified so as to produce fully human antibodies rather than the animal's endogenous antibodies in response to challenge by an antigen. (See PCT publication WO94/02602). The endogenous genes encoding the heavy and light immunoglobulin chains in the nonhuman host have been incapacitated, and active loci encoding human heavy and light chain immunoglobulins are inserted into the host's genome. The human genes are incorporated, for example, using yeast artificial chromosomes containing the requisite human DNA segments. An animal which provides all the desired modifications is then obtained as progeny by crossbreeding intermediate transgenic animals containing fewer than the full complement of the modifications. The preferred embodiment of such a nonhuman animal is a mouse, and is termed the Xenomouse™ as disclosed in PCT publications WO 96/33735 and WO 96/34096. This animal produces B cells which secrete fully human immunoglobulins. The antibodies can be obtained directly from the animal after immunization with an immunogen of interest, as, for example, a preparation of a polyclonal antibody, or alternatively from immortalized B cells derived from the animal, such as hybridomas producing monoclonal antibodies. Additionally, the genes encoding the immunoglobulins with human variable regions can be recovered and expressed to obtain the antibodies directly, or can be further modified to obtain analogs of antibodies such as, for example, single chain Fv (scFv) molecules.

[0159]

An example of a method of producing a nonhuman host, exemplified as a mouse, lacking expression of an endogenous immunoglobulin heavy chain is disclosed in U.S. Pat. No. 5,939,598. It can be obtained by a method, which includes deleting the J segment genes from at least one endogenous heavy chain locus in an embryonic stem cell to prevent rearrangement of the locus and to prevent formation of a transcript of a rearranged immunoglobulin heavy chain locus, the deletion being effected by a targeting vector containing a gene encoding a selectable marker; and producing from the embryonic stem cell a transgenic mouse whose somatic and germ cells contain the gene encoding the selectable marker.

[0160]

One method for producing an antibody of interest, such as a human antibody, is disclosed in U.S. Pat. No. 5,916,771. This method includes introducing an expression vector that contains a nucleotide sequence encoding a heavy chain into one mammalian host cell in culture, introducing an expression vector containing a nucleotide sequence encoding a light chain into another mammalian host cell, and fusing the two cells to form a hybrid cell. The hybrid cell expresses an antibody containing the heavy chain and the light chain.

[0161]

In a further improvement on this procedure, a method for identifying a clinically relevant epitope on an immunogen and a correlative method for selecting an antibody that binds immunospecifically to the relevant epitope with high affinity, are disclosed in PCT publication WO 99/53049.

[0162]

The antibody can be expressed by a vector containing a DNA segment encoding the single chain antibody described above. For example, the vector can comprise one or more of SEQ ID NOs: ______ (see herein) ______.

[0163]

In embodiments, the antibody or fragment thereof can be provided as a nucleic acid construct encoding the antibody or fragment. See, for example, U.S. application Ser. No. 15/537,779, which is incorporated by reference herein in its entirety.

[0164]

These can include vectors, liposomes, naked DNA, adjuvant-assisted DNA, gene gun, catheters, etc. Vectors include chemical conjugates such as described in WO 93/64701, which has targeting moiety (e.g. a ligand to a cellular surface receptor), and a nucleic acid binding moiety (e.g. polylysine), viral vector (e.g. a DNA or RNA viral vector), fusion proteins such as described in PCT/US 95/02140 (WO 95/22618) which is a fusion protein containing a target moiety (e.g. an antibody specific for a target cell) and a nucleic acid binding moiety (e.g. a protamine), plasmids, phage, etc. The vectors can be chromosomal, non-chromosomal or synthetic.

[0165]

Preferred vectors include viral vectors, fusion proteins and chemical conjugates. Retroviral vectors include moloney murine leukemia viruses. DNA viral vectors are preferred. These vectors include pox vectors such as orthopox or avipox vectors, herpesvirus vectors such as a herpes simplex I virus (HSV) vector (see Geller, A. I. et al, J. Neurochem, 64:487 (1995); Lim, F., et al, in DNA Cloning: Mammalian Systems, D. Glover, Ed. (Oxford Univ. Press, Oxford England) (1995); Geller, A. I. et al, Proc Natl. Acad. Sci.: U.S.A. 90:7603 (1993); Geller, A. I., et al, Proc Natl. Acad. Sci USA 87: 1149 (1990), Adenovirus Vectors (see LeGal LaSalle et al, Science, 259:988 (1993); Davidson, et al, Nat. Genet 3:219 (1993); Yang, et al, J. Virol. 69:2004 (1995) and Adeno-associated Virus Vectors (see Kaplitt, M. G., et al, Nat. Genet. 8: 148 (1994).

[0166]

Pox viral vectors introduce the gene into the cell's cytoplasm. Avipox virus vectors result in only a short-term expression of the nucleic acid. Adenovirus vectors, adeno-associated virus vectors and herpes simplex virus (HSV) vectors are preferred for introducing the nucleic acid into neural cells. The adenovirus vector results in a shorter-term expression (about 2 months) than adeno-associated virus (about 4 months), which in turn is shorter than HSV vectors. The particular vector chosen will depend upon the target cell and the condition being treated. The introduction can be by standard techniques, e.g. infection, transfection, transduction or transformation. Examples of modes of gene transfer include e.g., naked DNA, CaPO4precipitation, DEAE dextran, electroporation, protoplast fusion, lipofection, cell microinjection, and viral vectors.

[0167]

The vector can be employed to target essentially any desired target cell. For example, stereotaxic injection can be used to direct the vectors (e.g. adenovirus, HSV) to a desired location. Additionally, the particles can be delivered by intracerebroventricular (icv) infusion using a minipump infusion system, such as a SynchroMed Infusion System. A method based on bulk flow, termed convection, has also proven effective at delivering large molecules to extended areas of the brain and can be useful in delivering the vector to the target cell. (See Bobo et al, Proc. Natl. Acad. Sci. USA 91:2076-2080 (1994); Morrison et al, Am. J. Physiol. 266:292-305 (1994)). Other methods that can be used include catheters, intravenous, parenteral, intraperitoneal and subcutaneous injection, and oral or other known routes of administration.

[0168]

These vectors can be used to express large quantities of antibodies that can be used in a variety of ways. For example, to detect the presence of MUC1 in a sample. The antibody can also be used to try to bind to and disrupt a MUC1 activity.

[0169]

Techniques can be adapted for the production of single-chain antibodies specific to an antigenic protein of the invention (see e.g., U.S. Pat. No. 4,946,778). In addition, methods can be adapted for the construction of Fab expression libraries (see e.g., Huse, et al, 1989 Science 246: 1275-1281) to allow rapid and effective identification of monoclonal Fab fragments with the desired specificity for a protein or derivatives, fragments, analogs or homologs thereof. Antibody fragments that contain the idiotypes to a protein antigen can be produced by techniques known in the art including, but not limited to: (i) an F(ab′)2 fragment produced by pepsin digestion of an antibody molecule; (ii) an Fabfragment generated by reducing the disulfide bridges of an F(ab′)2 fragment; (iii) an Fabfragment generated by the treatment of the antibody molecule with papain and a reducing agent and (iv) Fv fragments.

[0170]

Heteroconjugate antibodies are also within the scope of the present invention. Heteroconjugate antibodies are composed of two covalently joined antibodies. Such antibodies have, for example, been proposed to target immune system cells to unwanted cells (see U.S. Pat. No. 4,676,980), and for treatment of HIV infection (see WO 91/00360; WO 92/200373; EP 03089). It is contemplated that the antibodies can be prepared in vitro using known methods in synthetic protein chemistry, including those involving crosslinking agents. For example, immunotoxins can be constructed using a disulfide exchange reaction or by forming a thioether bond. Examples of suitable reagents for this purpose include iminothiolate and methyl-4-mercaptobutyrimidate and those disclosed, for example, in U.S. Pat. No. 4,676,980.

[0171]

In certain embodiments, the antibody is engineered or modified with respect to alter the function of an antibody for clinical use. For example, the antibody's effector function can be the focus of such engineering efforts, so as to enhance the effectiveness of the antibody in treating cancer. The skilled artisan will recognize that whether or not such modifications are employed depends on the use of the antibody. The Fc domain in particular is critical to the functioning of an antibody and has been the focus of many engineering efforts. These efforts to alter the function of an antibody can generally be broken down into efforts to increase effector function, decrease effector function, and/or extending serum half-life of the antibody. If the antibody or fragments thereof are utilized for targeting CART cells, then the Fc is not involved and such Fc modifications are not utilized. On the other hand, for soluble antibodies, it can be desired to enhance Fc effector functions using mutations.

[0172]

One of the key mechanisms of action for anti-cancer antibodies is the targeted killing of tumor cells through recruitment of components of the immune system. This activity is achieved through interaction of the Fc domain of the anti-cancer antibody with the complement component C1q or Fcγ receptors. However, many anti-cancer antibodies have failed in clinical trials due to insufficient efficacy. This has, therefore, lead to efforts to increase the potency of antibodies through enhancement of the antibody's ability to mediate cellular cytotoxicity functions such as antibody dependent cell mediated cytotoxicity (ADCC) and antibody dependent cell mediated phagocytosis (ADCP).

[0173]

For example, such engineering efforts have focused on increasing the affinity of the Fc domain of the anticancer antibody for the low affinity receptor FcγIIIa. A number of mutations within the Fc domain have been identified that either directly or indirectly enhance binding of Fc receptors and through this significantly enhance cellular cytotoxicity (see, for example, Lazar, G. A., et al. (2006) PNAS 103, 4005-4010; Shields, R. L. et al. (2001) J. Biol. Chem. 276, 6591-6604; Stewart, R. et al. (2011) Protein Engineering, Design and Selection 24, 671-678; and Richards, J. O. et al. (2008) Mol Cancer Ther 7, 2517-2527). For example, such mutations include the mutations S239D/A330L/I332E (dubbed 3M), F243L and G236A.

[0174]

An alternative approach has focused on glycosylation of the Fe domain. FcγRs interact with the carbohydrates on the CH2 domain and that the composition of these glycans has a substantial effect on effector function activity. One example of this is afucosylated (non-fucosylated) antibodies, which exhibit greatly enhanced ADCC activity through increased binding to FcγRIIIa.

[0175]

In other embodiments, it is desirable to provide an antibody unable to activate effector functions. For these purposes IgG4 has commonly been used. Furthermore, Fc engineering approaches have been used to determine the key interaction sites for the Fc domain with Fcγ receptors and C1q and then mutate these positions to reduce or abolish binding. Through alanine scanning the binding site of C1q was isolated to a region covering the hinge and upper CH2 of the Fc domain. Mutations such as K322A, L234A and L235A in combination are sufficient to almost completely abolish FcγR and C1q binding. Similarly, a set of three mutations, L234F/L235E/P331S (dubbed TM), have a very similar effect.

[0176]

An alternative approach is modification of the glycosylation on asparagine 297 of the Fc domain, which is known to be required for optimal FcR interaction. A loss of binding to FcRs has been observed in N297 point mutations, enzymatically degylcosylated Fc domains, recombinantly expressed antibodies in the presence of a glycosylation inhibitor and the expression of Fc domains in bacteria.

[0177]

Embodiments of the invention can further comprise antibodies or fragments that have enhanced serum half-life of IgG through Fc engineering. IgG naturally persists for a prolonged period in the serum due to FcRn-mediated recycling, giving it a typical half-life of approximately 21 days. Despite this there have been a number of efforts to engineer the pH dependent interaction of the Fc domain with FcRn to increase affinity at pH 6.0 while retaining minimal binding at pH 7.4. For example, the mutations T250Q/M428L resulted in an approximate 2-fold increase in IgG half-life in rhesus monkeys, and the mutations M252Y/S254T/T256E (dubbed YTE) resulted in an approximate 4-fold increase in IgG half-life in cynomolgus monkeys.

[0178]

As will be apparent to the skilled artisan, any number of such mutations can be made to provide an engineered antibody or fragment thereof with altered function and/or half-life. For example, cysteine residue(s) can be introduced into the Fc region, thereby allowing interchain disulfide bond formation in this region. The homodimeric antibody thus generated can have improved internalization capability and/or increased complement-mediated cell killing and antibody-dependent cellular cytotoxicity (ADCC). (See Caron et al, J. Exp Med., 176: 1 191-1 195 (1992) and Shopes, J. Immunol., 148: 2918-2922 (1992)). Alternatively, an antibody can be engineered that has dual Fc regions and can thereby have enhanced complement lysis and ADCC capabilities. (See Stevenson et al, Anti-Cancer Drug Design, 3: 219-230 (1989)).

[0179]

In certain embodiments, an antibody of the invention can comprise an Fc variant comprising an amino acid substitution which alters the antigen-independent effector functions of the antibody, in particular the circulating half-life of the antibody. Such antibodies exhibit either increased or decreased binding to FcRn when compared to antibodies lacking these substitutions, therefore, have an increased or decreased half-life in serum, respectively. Fc variants with improved affinity for FcRn are anticipated to have longer serum half-lives, and such molecules have useful applications in methods of treating mammals where long half-life of the administered antibody is desired, e.g., to treat a chronic disease or disorder. In contrast, Fc variants with decreased FcRn binding affinity are expected to have shorter half-lives, and such molecules are also useful, for example, for administration to a mammal where a shortened circulation time can be advantageous, e.g. for in vivo diagnostic imaging or in situations where the starting antibody has toxic side effects when present in the circulation for prolonged periods. Fc variants with decreased FcRn binding affinity are also less likely to cross the placenta and, thus, are also useful in the treatment of diseases or disorders in pregnant women. In addition, other applications in which reduced FcRn binding affinity can be desired include those applications in which localization to the brain, kidney, and/or liver is desired. In one exemplary embodiment, the altered antibodies of the invention exhibit reduced transport across the epithelium of kidney glomeruli from the vasculature. In another embodiment, the altered antibodies of the invention exhibit reduced transport across the blood brain barrier (BBB) from the brain, into the vascular space. In one embodiment, an antibody with altered FcRn binding comprises an Fc domain having one or more amino acid substitutions within the “FcRn binding loop” of an Fc domain. The FcRn binding loop is comprised of amino acid residues 280-299 (according to EU numbering). Exemplary amino acid substitutions which altered FcRn binding activity are disclosed in International PCT Publication No. WG05/047327 which is incorporated by reference herein. In certain exemplary embodiments, the antibodies, or fragments thereof, of the invention comprise an Fc domain having one or more of the following substitutions: V284E, H285E, N286D, K290E and S304D (EU numbering).

[0180]

In some embodiments, mutations are introduced to the constant regions of the mAb such that the antibody dependent cell-mediated cytotoxicity (ADCC) activity of the mAb is altered. For example, the mutation is an LALA mutation in the CH2 domain. In one aspect, the bsAb contains mutations on one scFv unit of the heterodimeric mAb, which reduces the ADCC activity. In another aspect, the mAb contains mutations on both chains of the heterodimeric mAb, which completely ablates the ADCC activity. For example, the mutations introduced one or both scFv units of the mAb are LALA mutations in the CH2 domain. These mAbs with variable ADCC activity can be optimized such that the mAbs exhibits maximal selective killing towards cells that express one antigen that is recognized by the mAb, however exhibits minimal killing towards the second antigen that is recognized by the mAb.

[0181]

In other embodiments, antibodies, for use in the diagnostic and treatment methods described herein have a constant region, e.g., an IgG1 or IgG4 heavy chain constant region, which is altered to reduce or eliminate glycosylation. For example, an antibody of the invention can also comprise an Fc variant comprising an amino acid substitution which alters the glycosylation of the antibody. For example, said Fc variant can have reduced glycosylation (e.g., N- or O-linked glycosylation).

[0182]

Exemplary amino acid substitutions which confer reduced or altered glycosylation are disclosed in International PCT Publication No, WO05/018572, which is incorporated by reference herein. In preferred embodiments, the antibodies, or fragments thereof of the invention are modified to eliminate glycosylation. Such antibodies, or fragments thereof, can be referred to as “agly” antibodies, or fragments thereof, (e.g. “agly” antibodies). While not being bound by theory, it is believed that “agly” antibodies, or fragments thereof, can have an improved safety and stability profile in vivo. Exemplary agly antibodies, or fragments thereof, comprise an aglycosylated Fc region of an IgG4 antibody which is devoid of Fc-effector function thereby eliminating the potential for Fc mediated toxicity to the normal vital organs that express MUC1. In yet other embodiments, antibodies, or fragments thereof, of the invention comprise an altered glycan. For example, the antibody can have a reduced number of fucose residues on an N-glycan at Asn297 of the Fc region, i.e., is afucosylated. In another embodiment, the antibody can have an altered number of sialic acid residues on the N-glycan at Asn297 of the Fc region.

[0183]

The invention also pertains to immunoconjugates comprising an antibody conjugated to a cytotoxic agent such as a toxin (e.g., an enzymatically active toxin of bacterial, fungal, plant, or animal origin, or fragments thereof), or a radioactive isotope (i.e., a radioconjugate).

[0184]

Enzymatically active toxins and fragments thereof that can be used include diphtheria A chain, nonbinding active fragments of diphtheria toxin, exotoxin A chain (from Pseudomonas aeruginosa), ricin A chain, abrin A chain, modeccin A chain, alpha-sarcin, Aleurites fordii proteins, dianthin proteins, Phytolaca americana proteins (PAPI, PAPII, and PAP-S), Momordica charantia inhibitor, curcin, crotin, Sapaonaria officinalis inhibitor, gelonin, mitogellin, restrictocin, phenomycin, enomycin, and the tricothecenes. A variety of radionuclides are available for the production of radioconjugated antibodies. Examples include212Bi,131I,131In,90Y, and186Re.

[0185]

Conjugates of the antibody and cytotoxic agent are made using a variety of bifunctional protein-coupling agents such as N-succinimidyl-3-(2-pyridyldithiol) propionate (SPDP), iminothiolane (IT), bifunctional derivatives of imidoesters (such as dimethyl adipimidate HCL), active esters (such as disuccinimidyl suberate), aldehydes (such as glutareldehyde), bis-azido compounds (such as bis (p-azidobenzoyl) hexanediamine), bis-diazonium derivatives (such as bis-(p-diazoniumbenzoyl)-ethylenediamine), diisocyanates (such as tolyene 2,6-diisocyanate), and bis-active fluorine compounds (such as 1,5-difluoro-2,4-dinitrobenzene). For example, a ricin immunotoxin can be prepared as described in Vitetta et al, Science 238: 1098 (1987). Carbon-14-labeled 1-isothiocyanatobenzyl-3-methyldiethylene triaminepentaacetic acid (MX-DTPA) is an exemplary chelating agent for conjugation of radionucleotide to the antibody. (See WO94/11026).

[0186]

Those of ordinary skill in the art will recognize that a large variety of possible moieties can be coupled to the resultant antibodies or to other molecules of the invention. (See, for example, “Conjugate Vaccines”, Contributions to Microbiology and Immunology, J. M. Cruse and R. E. Lewis, Jr (eds), Carger Press, New York, (1989), the entire contents of which are incorporated herein by reference).

[0187]

Coupling can be accomplished by any chemical reaction that will bind the two molecules so long as the antibody and the other moiety retain their respective activities. This linkage can include many chemical mechanisms, for instance covalent binding, affinity binding, intercalation, coordinate binding and complexation. The preferred binding is, however, covalent binding. Covalent binding can be achieved either by direct condensation of existing side chains or by the incorporation of external bridging molecules. Many bivalent or polyvalent linking agents are useful in coupling protein molecules, such as the antibodies of the present invention, to other molecules. For example, representative coupling agents can include organic compounds such as thioesters, carbodiimides, succinimide esters, diisocyanates, glutaraldehyde, diazobenzenes and hexamethylene diamines. This listing is not intended to be exhaustive of the various classes of coupling agents known in the art but, rather, is exemplary of the more common coupling agents. (See Killen and Lindstrom, Jour. Immun. 133: 1335-2549 (1984); Jansen et al., Immunological Reviews 62: 185-216 (1982); and Vitetta et al, Science 238: 1098 (1987)). Preferred linkers are described in the literature. (See, for example, Ramakrishnan, S. et al., Cancer Res. 44:201-208 (1984) describing use of MBS (M-maleimidobenzoyl-N-hydroxysuccinimide ester). See also, U.S. Pat. No. 5,030,719, describing use of halogenated acetyl hydrazide derivative coupled to an antibody by way of an oligopeptide linker. Particularly preferred linkers include: (i) EDC (1-ethyl-3-(3-dimethylamino-propyl) carbodiimide hydrochloride; (ii) SMPT (4-succinimidyloxycarbonyl-alpha-methyl-alpha-(2-pridyl-dithio)-toluene (Pierce Chem. Co., Cat. (21558G); (iii) SPDP (succinimidyl-6 [3-(2-pyridyldithio) propionamido]hexanoate (Pierce Chem. Co., Cat #21651G); (iv) Sulfo-LC-SPDP (sulfosuccinimidyl 6 [3-(2-pyridyldithio)-propianamide] hexanoate (Pierce Chem. Co. Cat. #2165-G); and (v) sulfo-NHS (-hydroxysulfo-succinimide: Pierce Chem. Co., Cat. #24510) conjugated to EDC.

[0188]

The linkers described above contain components that have different attributes, thus leading to conjugates with differing physio-chemical properties. For example, sulfo-NHS esters of alkyl carboxylates are more stable than sulfo-NHS esters of aromatic carboxylates. NHS-ester containing linkers are less soluble than sulfo-NHS esters. Further, the linker SMPT contains a sterically hindered disulfide bond, and can form conjugates with increased stability. Disulfide linkages, are in general, less stable than other linkages because the disulfide linkage is cleaved in vitro, resulting in less conjugate available. Sulfo-NHS, in particular, can enhance the stability of carbodimide couplings. Carbodimide couplings (such as EDC) when used in conjunction with sulfo-NHS, forms esters that are more resistant to hydrolysis than the carbodimide coupling reaction alone.

[0189]

The antibodies disclosed herein can also be formulated as immunoliposomes.

[0190]

Liposomes containing the antibody are prepared by methods known in the art, such as described in Epstein et al, Proc. Natl. Acad. Sci. USA, 82: 3688 (1985); Hwang et al, Proc. Natl Acad. Sci. USA, 77: 4030 (1980); and U.S. Pat. Nos. 4,485,045 and 4,544,545.

[0191]

Liposomes with enhanced circulation time are disclosed in U.S. Pat. No. 5,013,556.

[0192]

Particularly useful liposomes can be generated by the reverse-phase evaporation method with a lipid composition comprising phosphatidylcholine, cholesterol, and PEG-derivatized phosphatidylethanolamine (PEG-PE). Liposomes are extruded through filters of defined pore size to yield liposomes with the desired diameter. Fab′ fragments of the antibody of the present invention can be conjugated to the liposomes as described in Martin et al, J. Biol. Chem., 257: 286-288 (1982) via a disulfide-interchange reaction.

[0193]

Bi-Specific Antibodies

[0194]

A bi-specific antibody (bsAb) is an antibody comprising two variable domains or scFv units such that the resulting antibody recognizes two different antigens. The present invention provides for bi-specific antibodies that recognize MUC1-SEA and a second antigen. Exemplary second antigens include tumor associated antigens (e.g., Mesothelin, LINGO1), cytokines (e.g., IL-12, IL-15) and cell surface receptors. Different format of bispecific antibodies are also provided herein. In some embodiments, each of the anti-MUC1 fragment and the second fragment is each independently selected from a Fab fragment, a single-chain variable fragment (scFv), or a single-domain antibody. In some embodiments, the bispecific antibody further includes a Fc fragment. A bi-specific antibody of the present invention comprises a heavy chain and a light chain combination or scFv of the MUC1 antibodies disclosed herein. See, for example, SEQ ID NO: __(see herein)__.

[0195]

In some embodiments, the second antigen of the bispecific antibody is mesothelin. Mesothelin is so named because of its expression in mesothelial cells. Mesothelin is a glycophosphatidylinositol (GPI)-linked cell-surface glycoprotein synthesized as a 71-kD precursor protein. After synthesis, the precursor protein is then cleaved by the endoprotease furin to release the secreted N-terminal region, called megakaryocyte potentiating factor (MPF), whereas the 41-kD mature MSLN remains attached to the membrane.

[0196]

Mesothelin expression is normally limited to mesothelial cells lining the pleura, peritoneum, and pericardium, but is also highly expressed in many cancers and solid tumors, including malignant mesothelioma, pancreatic cancer, ovarian cancer, lung adenocarcinoma, endometrial cancer, biliary cancer, gastric cancer, and pediatric acute myeloid leukemia. Higher expression of MSLN has been correlated with poorer prognosis for patients with ovarian cancer, cholangiocarcinoma, lung adenocarcinoma, triple-negative breast cancer, and resectable pancreatic adenocarcinoma. See Hassan, Raffit, et al. “Mesothelin immunotherapy for cancer: ready for prime time?.” Journal of Clinical Oncology 34.34 (2016): 4171.

[0197]

Thus, the bispecific antibody can comprise a first antibody targeted to MUC1, and a second antibody targeted to mesothelin.

[0198]

In other embodiments, the second antigen of the bispecific antibody is CCR4. Chemokines are a family of secreted proteins known primarily for their roles in leukocyte activation and chemotaxis. Their specific interaction with chemokine receptors on target cells trigger signaling cascades that result in inflammatory mediator release, changes in cell shape, and cellular migration. The CC chemokine receptor 4 (CCR4) is the cognate receptor for the CC chemokines CCL17 and CCL22, and is expressed on functionally distinct subsets of T cells, including T helper type 2 cells (Th2), and the majority of regulatory T cells (Tregs) (Iellem et al, 2001; and Imai et al, 1999). Growing evidence indicate that CCL 17/22 secretion promotes increased numbers of tumor-infiltrating Tregs by malignant entities such as colorectal, ovarian, Hodgkin's lymphoma and glioblastoma (Curiel et al, 2004; Wagsater et al, 2008; Niens et al, 2008; Jacobs et al, 2010; Hiraoka et al, 2006). Increased levels of Treg in tumors hinder efficient antitumor immune responses (Wood et al, 2003; and Levings et al, 2001) and are often associated with poor clinical outcome and tumor progression (Hiraoka et al, 2006; and Woo et al, 2001). Accordingly, one major obstacle of successful cancer therapies might be caused by migration of Treg into tumors and their suppression of antitumor immune responses in the tumor microenvironment (Zou et al, 2006; and Yu et al, 2005).

[0199]

Thus, the bispecific antibody can comprise a first antibody targeted to MUC1, and a second antibody targeted to CCR4. The skilled artisan will recognize that any second antibody targeted to CCR4 or fragment thereof can be utilized in the invention, including those included in PCT/US2008/088435, PCT/US2013/039744, PCT/US2015/054202, and PCT/US2016/026232, which are incorporated herein by reference in their entireties.

[0200]

Aspects of the invention comprise multi-valent antibody and antigen-binding fragments that bind MUC1 and one or more additional antigens For example, the multivalent antibody or antigen-binding fragment can be specific for MUC1 and Mesothelin. A multivalent antigen-binding protein has more than one antigen-binding site. For the purposes of this application, “valent” can refer to the numerosity of antigen binding sites. Thus, a bivalent antibody can refer to an antibody with two binding sites; a trivalent antibody can refer to an antibody with three binding sites, and so on. The term “multivalent” can refer to any assemblage, covalently or non-covalently joined, of two or more antigen-binding proteins, the assemblage having more than one antigen-binding site. The term “multivalent” encompasses bivalent, trivalent, tetravalent, etc.

[0201]

Bi-specific antibodies of the present invention can be constructed using methods known art. In some embodiments, the bi-specific antibody is a single polypeptide wherein the two scFv fragments are joined by a long linker polypeptide, of sufficient length to allow intramolecular association between the two scFv units to form an antibody. In other embodiments, the bi-specific antibody is more than one polypeptide linked by covalent or non-covalent bonds.

[0202]

In another embodiment, the bi-specific antibody is constructed using the “knob into hole” method (Ridgway et al, Protein Eng 7:617-621 (1996)). In this method, the Ig heavy chains of the two different variable domains are reduced to selectively break the heavy chain pairing while retaining the heavy-light chain pairing. The two heavy-light chain heterodimers that recognize two different antigens are mixed to promote heteroligation pairing, which is mediated through the engineered “knob into holes” of the CH3 domains.

[0203]

In another embodiment, the bi-specific antibody can be constructed through exchange of heavy-light chain dimers from two or more different antibodies to generate a hybrid antibody where the first heavy-light chain dimer recognizes MUC1 and the second heavy-light chain dimer recognizes a second antigen. The mechanism for heavy-light chain dimer is similar to the formation of human IgG4, which also functions as a bispecific molecule. Dimerization of IgG heavy chains is driven by intramolecular force, such as the pairing the CH3 domain of each heavy chain and disulfide bridges. Presence of a specific amino acid in the CH3 domain (R409) has been shown to promote dimer exchange and construction of the IgG4 molecules. Heavy chain pairing is also stabilized further by interheavy chain disulfide bridges in the hinge region of the antibody. Specifically, in IgG4, the hinge region contains the amino acid sequence Cys-Pro-Ser-Cys (in comparison to the stable IgG1 hinge region which contains the sequence Cys-Pro-Pro-Cys) at amino acids 226-230. This sequence difference of Serine at position 229 has been linked to the tendency of IgG4 to form novel intrachain disulfides in the hinge region (Van der Neut Kolfschoten, M. et al, 2007, Science 317: 1554-1557 and Labrijn, A. F. et al, 2011, Journal of Immunol 187:3238-3246).

[0204]

Therefore, bi-specific antibodies of the present invention can be created through introduction of the R409 residue in the CH3 domain and the Cys-Pro-Ser-Cys sequence in the hinge region of antibodies that recognize MUC1 or a second antigen, so that the heavy-light chain dimers exchange to produce an antibody molecule with one heavy-light chain dimer recognizing MUC1 and the second heavy-light chain dimer recognizing a second antigen, wherein the second antigen is any antigen disclosed herein. Known IgG4 molecules can also be altered such that the heavy and light chains recognize MUC1 or a second antigen, as disclosed herein. Use of this method for constructing the bi-specific antibodies of the present invention can be beneficial due to the intrinsic characteristic of IgG4 molecules wherein the Fc region differs from other IgG subtypes in that it interacts poorly with effector systems of the immune response, such as complement and Fc receptors expressed by certain white blood cells. This specific property makes these IgG4-based bi-specific antibodies attractive for therapeutic applications, in which the antibody is required to bind the target(s) and functionally alter the signaling pathways associated with the target(s), however not trigger effector activities.

[0205]

In some embodiments, mutations are introduced to the constant regions of the bsAb such that the antibody dependent cell-mediated cytotoxicity (ADCC) activity of the bsAb is altered. For example, the mutation is an LALA mutation in the CH2 domain. In one aspect, the bsAb contains mutations on one scFv unit of the heterodimeric bsAb, which reduces the ADCC activity. In another aspect, the bsAb contains mutations on both chains of the heterodimeric bsAb, which completely ablates the ADCC activity. For example, the mutations introduced one or both scFv units of the bsAb are LALA mutations in the CH2 domain. These bsAbs with variable ADCC activity can be optimized such that the bsAbs exhibits maximal selective killing towards cells that express one antigen that is recognized by the bsAb, however exhibits minimal killing towards the second antigen that is recognized by the bsAb.

[0206]

The bi-specific antibodies disclosed herein can be useful in treatment of diseases or medical conditions, for example, cancer.

[0207]

Chimeric Antigen Receptor (CAR) T-Cell Therapies

[0208]

Cellular therapies, such as chimeric antigen receptor (CAR) T-cell therapies, are also provided herein. CAR T-cell therapies redirect a patient's T-cells to kill tumor cells by the exogenous expression of a CAR. A CAR can be a membrane spanning fusion protein that links the antigen recognition domain of an antibody to the intracellular signaling domains of the T-cell receptor and co-receptor. A suitable cell can be used, that is put in contact with an anti-MUC1 antibody of the present invention (or alternatively engineered to express an anti-MUC1 antibody as described herein). Solid tumors offer unique challenges for CAR-T therapies. Unlike blood cancers, tumor-associated target proteins are overexpressed between the tumor and healthy tissue resulting in on-target/off-tumor T-cell killing of healthy tissues. Furthermore, immune repression in the tumor microenvironment (TME) limits the activation of CAR-T cells towards killing the tumor. Upon such contact or engineering, the cell can then be introduced to a cancer patient in need of a treatment. The cancer patient may have a cancer of any of the types as disclosed herein. The cell (e.g., a T cell) can be, for instance, a tumor-infiltrating T lymphocyte, a CD4+ T cell, a CD8+ T cell, or the combination thereof, without limitation. Exemplary CARS useful in aspects of the invention include those disclosed in, for example, PCT/US2015/067225 and PCT/US2019/022272, each of which are hereby incorporated by reference in their entireties.

[0209]

In particular cases, the lymphocytes include a receptor that is chimeric, non-natural and engineered at least in part by the hand of man. In particular cases, the engineered chimeric antigen receptor (CAR) has one, two, three, four, or more components, and in some embodiments the one or more components facilitate targeting or binding of the lymphocyte to one or more tumor antigen-comprising cancer cells.

[0210]

The CAR according to the invention generally comprises at least one transmembrane polypeptide comprising at least one extracellular ligand-biding domain and; one transmembrane polypeptide comprising at least one intracellular signaling domain; such that the polypeptides assemble together to form a Chimeric Antigen Receptor.

[0211]

The term “extracellular ligand-binding domain” as used herein is defined as an oligo- or polypeptide that is capable of binding a ligand. Preferably, the domain will be capable of interacting with a cell surface molecule. For example, the extracellular ligand-binding domain may be chosen to recognize a ligand that acts as a cell surface marker on target cells associated with a particular disease state.

[0212]

In particular, the extracellular ligand-binding domain can comprise an antigen binding domain derived from an antibody against an antigen of the target.

[0213]

In a preferred embodiment, said extracellular ligand-binding domain is a single chain antibody fragment (scFv) comprising the light (VL) and the heavy (VH) variable fragment of a target antigen specific monoclonal antibody joined by a flexible linker.

[0214]

Other binding domain than scFv can also be used for predefined targeting of lymphocytes, such as camelid single-domain antibody fragments or receptor ligands, antibody binding domains, antibody hypervariable loops or CDRs as non-limiting examples.

[0215]

In a preferred embodiment said transmembrane domain further comprises a stalk region between said extracellular ligand-binding domain and said transmembrane domain. The term “stalk region” used herein generally means any oligo- or polypeptide that functions to link the transmembrane domain to the extracellular ligand-binding domain. In particular, stalk region are used to provide more flexibility and accessibility for the extracellular ligand-binding domain. A stalk region may comprise up to 300 amino acids, preferably 10 to 100 amino acids and most preferably 25 to 50 amino acids. Stalk region may be derived from all or part of naturally occurring molecules, such as from all or part of the extracellular region of CD8, CD4 or CD28, or from all or part of an antibody constant region. Alternatively the stalk region may be a synthetic sequence that corresponds to a naturally occurring stalk sequence, or may be an entirely synthetic stalk sequence. In a preferred embodiment said stalk region is a part of human CD8 alpha chain.

[0216]

The signal transducing domain or intracellular signaling domain of the CAR of the invention is responsible for intracellular signaling following the binding of extracellular ligand binding domain to the target resulting in the activation of the immune cell and immune response. In other words, the signal transducing domain is responsible for the activation of at least one of the normal effector functions of the immune cell in which the CAR is expressed. For example, the effector function of a T cell can be a cytolytic activity or helper activity including the secretion of cytokines. Thus, the term “signal transducing domain” refers to the portion of a protein which transduces the effector signal function signal and directs the cell to perform a specialized function.

[0217]

Signal transduction domain comprises two distinct classes of cytoplasmic signaling sequence, those that initiate antigen-dependent primary activation, and those that act in an antigen-independent manner to provide a secondary or co-stimulatory signal. Primary cytoplasmic signaling sequence can comprise signaling motifs which are known as immunoreceptor tyrosine-based activation motifs of ITAMs. ITAMs are well defined signaling motifs found in the intracytoplasmic tail of a variety of receptors that serve as binding sites for syk/zap70 class tyrosine kinases. Examples of ITAM used in the invention can include as non-limiting examples those derived from TCR zeta, FcR gamma, FcR beta, FcR epsilon, CD3 gamma, CD3 delta, CD3 epsilon, CD5, CD22, CD79a, CD79b and CD66d. In a preferred embodiment, the signaling transducing domain of the CAR can comprise the CD3 zeta signaling domain, or the intracytoplasmic domain of the Fc epsilon RI beta or gamma chains. In another preferred embodiment, the signaling is provided by CD3 zeta together with co-stimulation provided by CD28 and a tumor necrosis factor receptor (TNFr), such as 4-1BB or OX40), for example.

[0218]

In particular embodiment the intracellular signaling domain of the CAR of the present invention comprises a co-stimulatory signal molecule. In some embodiments the intracellular signaling domain contains 2, 3, 4 or more co-stimulatory molecules in tandem. A co-stimulatory molecule is a cell surface molecule other than an antigen receptor or their ligands that is required for an efficient immune response.

[0219]

“Co-stimulatory ligand” refers to a molecule on an antigen presenting cell that specifically binds a cognate co-stimulatory molecule on a T-cell, thereby providing a signal which, in addition to the primary signal provided by, for instance, binding of a TCR/CD3 complex with an MHC molecule loaded with peptide, mediates a T cell response, including, but not limited to, proliferation activation, differentiation and the like. A co-stimulatory ligand can include but is not limited to CD7, B7-1 (CD80), B7-2 (CD86), PD-L1, PD-L2, 4-1BBL, OX40L, inducible costimulatory ligand (ICOS-L), intercellular adhesion molecule (ICAM, CD30L, CD40, CD70, CD83, HLA-G, MICA, M1CB, HVEM, lymphotoxin beta receptor, 3/TR6, ILT3, ILT4, an agonist or antibody that binds Toll ligand receptor and a ligand that specifically binds with B7-H3. A co-stimulatory ligand also encompasses, inter alia, an antibody that specifically binds with a co-stimulatory molecule present on a T cell, such as but not limited to, CD27, CD28, 4-IBB, OX40, CD30, CD40, PD-1, ICOS, lymphocyte function-associated antigen-1 (LFA-1), CD2, CD7, LTGHT, NKG2C, B7-H3, a ligand that specifically binds with CD83.

[0220]

A “co-stimulatory molecule” refers to the cognate binding partner on a T-cell that specifically binds with a co-stimulatory ligand, thereby mediating a co-stimulatory response by the cell, such as, but not limited to proliferation. Co-stimulatory molecules include, but are not limited to an MHC class 1 molecule, BTLA and Toll ligand receptor. Examples of costimulatory molecules include CD27, CD28, CD8, 4-1BB (CD137), OX40, CD30, CD40, PD-1, ICOS, lymphocyte function-associated antigen-1 (LFA-1), CD2, CD7, LIGHT, NKG2C, B7-H3 and a ligand that specifically binds with CD83 and the like.

[0221]

In another particular embodiment, said signal transducing domain is a TNFR-associated Factor 2 (TRAF2) binding motifs, intracytoplasmic tail of costimulatory TNFR member family. Cytoplasmic tail of costimulatory TNFR family member contains TRAF2 binding motifs consisting of the major conserved motif (P/S/A)X(Q/E)E) or the minor motif (PXQXXD), wherein X is any amino acid. TRAF proteins are recruited to the intracellular tails of many TNFRs in response to receptor trimerization.

[0222]

The distinguishing features of appropriate transmembrane polypeptides comprise the ability to be expressed at the surface of an immune cell, in particular lymphocyte cells or Natural killer (NK) cells, and to interact together for directing cellular response of immune cell against a predefined target cell. The different transmembrane polypeptides of the CAR of the present invention comprising an extracellular ligand-biding domain and/or a signal transducing domain interact together to take part in signal transduction following the binding with a target ligand and induce an immune response. The transmembrane domain can be derived either from a natural or from a synthetic source. The transmembrane domain can be derived from any membrane-bound or transmembrane protein.

[0223]

The term “a part of” used herein refers to any subset of the molecule, that is a shorter peptide. Alternatively, amino acid sequence functional variants of the polypeptide can be prepared by mutations in the DNA which encodes the polypeptide. Such variants or functional variants include, for example, deletions from, or insertions or substitutions of, residues within the amino acid sequence. Any combination of deletion, insertion, and substitution may also be made to arrive at the final construct, provided that the final construct possesses the desired activity, especially to exhibit a specific anti-target cellular immune activity. The functionality of the CAR of the invention within a host cell is detectable in an assay suitable for demonstrating the signaling potential of said CAR upon binding of a particular target. Such assays are available to the skilled person in the art. For example, this assay allows the detection of a signaling pathway, triggered upon binding of the target, such as an assay involving measurement of the increase of calcium ion release, intracellular tyrosine phosphorylation, inositol phosphate turnover, or interleukin (IL) 2, interferon .gamma., GM-CSF, IL-3, IL-4 production thus effected.

[0224]

Aspects of the invention are also directed towards methods and embodiments that comprise CAR T cells which target more than one antigen. This can be accomplished by different approaches: (a) generate 2 or more cell populations expressing different CARs and administer them to a subject together or sequentially (coadministration); (b) use a bicistronic vector that encodes 2 different CARs on the same cell; (c) simultaneously engineer T cells with 2 different CAR constructs (cotransduction), which may generate three CAR-T subsets consisting of dual and single CAR-expressing cells; or (d) encode 2 CARs on the same chimeric protein using a single vector (i.e., bi-specific or tandem CARs).

[0225]

In embodiments, the dual targeted CART cells can target MUC1 and one or more additional antigens. In embodiments, the one or more additional antigens can comprise targets on a tumor cell, such as Mesothelin, or targets on a non-tumor cell, such as a Treg. For example, the dual targeted CAR T cell can target MUC1 on a tumor cell and CCR4 on Tregs that have been recruited to the tumor microenvironment. Such dual-targeted CAR T cell can be referred to as a “dual target cell bispecific CAR”.

[0226]

The antigen recognition domain of the CAR can be an antibody as described herein, including an antibody fragment. An “antibody fragment” can be a molecule other than an intact antibody that comprises a portion of an intact antibody that binds the antigen to which the intact antibody binds. Examples of antibody fragments include but are not limited to Fv, Fab, Fab′, Fab′-SH, F(ab′)2; diabodies; linear antibodies; single-chain antibody molecules (e.g. scFv); and multispecific antibodies formed from antibody fragments.

[0227]

The antigen recognition domain can be directed towards any antigen target of interest. In embodiments, the antigen target of interest is on the surface of a cell, such as the surface of a cancer cell. Non-limiting examples of antigen targets comprise Muc1 and/or Mesothelin.

[0228]

The antigen recognition domain useful in constructing the CAR-Ts, for example scFVs directed toward Muc and/or mesothelin, can be synthesized, engineered, and/or produced using nucleic acids (e.g., DNA). The DNA encoding the antigen recognition domain can be cloned in frame to DNA encoding necessary CAR-T elements such as, but not limited to, CD8 hinge regions, transmembrane domains, co-stimulatory domains of molecules of immunological interest such as, but not limited to, CD28 and 41BB and CD3-zeta intracellular signaling domains.

[0229]

Chimeric antigen receptors fuse antigen-recognition domains to signaling domains (also referred to as stimulatory domains) that modulate (i.e., stimulate) cell signaling. Non-limiting examples of such stimulatory domains comprise those of CD28, 41BB, and/or CD3-zeta intracellular signaling domains.

[0230]

DNA constructs, which can also be referred to as “DNA vectors”, as described herein can be cloned into a vector which will be used to transduce and produce chimeric-antigen receptor T-cells, including those that secrete polypeptides and/or fragments thereof. In one embodiment, DNA constructs can be cloned into a lentiviral vector for production of lentivirus, which will be used to transduce and produce chimeric-antigen receptor T-cells, including those that secrete a mono, bi- or tri-specific immune-modulating antibody/minibody and/or antibody-fusion protein at the tumor site.

[0231]

As used herein, the term “engineered” or “recombinant” cell can refer to a cell into which a recombinant gene, such as a gene encoding a chimeric antigen receptor, has been introduced. Therefore, engineered cells are distinguishable from naturally occurring cells which do not contain a recombinantly introduced gene. Engineered cells are thus cells having a gene or genes introduced through the hand of man. Recombinantly introduced genes will either be in the form of a cDNA gene (i.e., they will not contain introns), a copy of a genomic gene, or will include genes positioned adjacent to a promoter not naturally associated with the particular introduced gene.

[0232]

In embodiments, it will be more convenient to employ as the recombinant gene a cDNA version of the gene as the use of a cDNA version will provide advantages in that the size of the gene will generally be much smaller and more readily employed to transfect the targeted cell than will a genomic gene, which will typically be up to an order of magnitude larger than the cDNA gene. However, the possibility of employing a genomic version of a particular gene where desired is not excluded.

[0233]

In embodiments, the antigen recognition domain can be linked to signaling domains to form a CAR on the surface of a cell of any kind, including immune cells capable of expressing the antibody fragment for cancer therapy or a cell, such as a bacterial cell, that harbors an expression vector that encodes the CAR. As used herein, the terms “cell,” “cell line,” and “cell culture” may be used interchangeably. All of these terms also include their progeny, which is any and all subsequent generations. Without being bound by theory, all progeny may not be identical due to deliberate or inadvertent mutations. In the context of expressing a heterologous nucleic acid sequence, “host cell” refers to a eukaryotic cell that is capable of replicating a vector and/or expressing a heterologous gene encoded by a vector. A host cell can, and has been, used as a recipient for vectors. A host cell may be “transfected” or “transformed,” which refers to a process by which exogenous nucleic acid is transferred or introduced into the host cell. A transformed cell includes the primary subject cell and its progeny. As used herein, the terms “engineered” and “recombinant” cells or host cells can refer to a cell into which an exogenous nucleic acid sequence, such as, for example, a vector, has been introduced. Therefore, recombinant cells are distinguishable from naturally occurring cells which do not contain a recombinantly introduced nucleic acid.

[0234]

The cells can be autologous cells, syngeneic cells, allogenic cells and even in some cases, xenogeneic cells.

[0235]

In embodiments of the invention, a host cell is a T cell, including (but not limited to) a cytotoxic T cell (also known as TC, Cytotoxic T Lymphocyte, CTL, T-Killer cell, cytolytic T cell, CD8+ T-cells or killer T cell); CD4+ T cells; NK cells; and NKT cells.

[0236]

For example, chimeric-antigen receptor (CAR) T-cell therapies redirect a patient's T-cells to kill tumor cells by the exogenous expression of a CAR. A CAR is a membrane spanning fusion protein that links the antigen recognition domain of an antibody or fragment to the intracellular signaling domains of the T-cell receptor and co-receptor. For example, chimeric antigen receptors fuse antigen-specific antibody fragments to T-cell co-stimulatory domains and the CD3 zeta intracellular signaling domain, allowing for the re-direction of T-cells towards an antigen presented on a cell of interest, for example, onto tumor cells.

[0237]

An emerging mechanism associated with the progression of tumors is the immune checkpoint pathway, which consists in cellular interactions that prevent excessive activation of T cells under normal conditions, allowing T cell function in a self-limited manner. As an evasion mechanism, many tumors are able to stimulate the expression of immune checkpoint molecules, resulting in an anergic phenotype of T cells that cannot restrain tumor progression. Emerging clinical data highlight the importance of one inhibitory ligand and receptor pair as an immune checkpoint: the programmed death-ligand 1 (PD-L1; B7-H1 and CD274) and programmed death receptor-1 (PD-1; CD279), in preventing killing of cancer cells by cytotoxic T-lymphocytes. PD1 receptor is expressed by many cell types like T cells, B cells, Natural Killer cells (NK) and host tissues. Tumors and Antigen-presenting cells (APC) expressing PD-L1 can block T cell receptor (TCR) signaling of cytotoxic T-lymphocytes through binding to receptor PD-1, decreasing the production of cytokines and T cell proliferation. PD-L1 overexpression can be found in many tumor types and may also mediate an immunosuppressive function through its interaction with other proteins, including CD80 (B7.1), blocking its ability to activate T cells through binding to CD28.

[0238]

Genetic engineering of human lymphocytes to express tumor-directed chimeric antigen receptors (CAR) can produce antitumor effector cells that bypass tumor immune escape mechanisms that are due to abnormalities in protein-antigen processing and presentation. Moreover, these transgenic receptors can be directed to tumor-associated antigens that are not protein-derived. In certain embodiments of the invention there are lymphocytes (CARTS) that are modified to comprise at least a CAR, and in particular embodiments of the invention a single CAR targets two or more antigens. In preferred embodiments, the CARTS are further modified to express and secrete one or more polypeptides, such as for example an antibody or a cytokine. Such CARTS are referred to herein as armed CARTS. Armed CARTS allow for simultaneous secretion of the polypeptide locally at the targeted site (i.e., tumor site). For example, an anti-MUC1 antibody can be the targeting moiety of an engineered CART cell, and an anti-CCR4 antibody can be the payload of the engineered CAR T cell. This exemplary embodiment is not to be limiting, however, as the skilled artisan will recognize that any of a number of antibodies can be utilized as the payload.

[0239]

The polypeptide can be, for example, an antibody or fragment thereof as described herein. For example, a second expression construct, which can be in the same DNA vector as that which encodes the CAR (e.g. the antigen-recognition domain) or in a second separate vector, can be used to encode a mini body (scFv-Fc) or antibody, or a fragment thereof, that is directed against a single or multiple antigens of interest, and can be cloned after an internal ribosomal entry site (IRES). For example, the second expression cassette comprises either a fluorescent molecule or an immune-modulating minibody.

[0240]

In embodiments, the engineered cell can secrete mono, bi-, or tri-specific minibody, antibody or minibody/antibody fusion protein at the tumor site so to provide additional benefit by altering (i.e., modulating) the immune-repressive tumor microenvironment. For example, the secreted antibody can be an anti-CCR4 antibody.

[0241]

In cancer, the normal intercellular interactions in tissues are disrupted, and the tumor microenvironment evolves to accommodate the growing tumor. The tumor microenvironment (TME) refers to the cellular environment in which a tumor exists, including components such as surrounding blood vessels, immune cells, fibroblasts, bone marrow-derived inflammatory cells, lymphocytes, signaling molecules and the extracellular matrix (ECM). Tumor microenvironment is complex and is heavily influenced by immune system.

[0242]

Aspects of the invention are further drawn to antibody-drug conjugates (or ADCs). ADCs, which can also be referred to as immunoconjugates, combine the targeting capabilities of antibodies or antigen-binding fragments, such as those described herein, with the cancer-killing ability of cytotoxic drugs. Thus, ADCs are a targeted therapy for the treatment of people with cancer. Unlike chemotherapy, ADCs are intended to target and kill only the cancer cells and spare healthy cells. For example, Referring to FIG. 18, for example, 3D1-MMAE antibody conjugates regress tumor growth of MUC1-C+ tumors but not MUC1-C− tumors. Monomethyl auristatin E (or MMAE) is a potent and highly toxic antimicrotubule agent. Because of its high toxicity MMAE, which inhibits cell division by blocking the polymerization of tubulin, cannot be used as a single-agent chemotherapeutic drug. The skilled artisan will recognize that MMAE can be replaced with one or more of various chemicals known to kill tumor cells, such as MUC1+ tumor cells. For example, the antibody-drug conjugates of the invention can comprise various chemicals (i.e., chemotherapies) known to the skilled artisan to kill MUC1+ tumor cells, in addition to MMAE.

[0243]

ADCs are complex molecules composed of an antibody linked to a biologically active cytotoxic (anticancer) payload or drug. Antibody-drug conjugates can also be referred to as bioconjugates or immunoconjugates. In developing antibody-drug conjugates, an anticancer drug is coupled to an antibody that specifically targets a certain tumor marker (e.g. a protein that, ideally, is only to be found in or on tumor cells). In embodiments, the tumor marker comprises, for example, MUC1. As desired, the tumor marker can further comprise mesothelin. Antibodies track these proteins down in the body and attach themselves to the surface of cancer cells. The biochemical reaction between the antibody and the target protein triggers a signal in the tumor cell, which then absorbs or internalizes the antibody together with the cytotoxin. After the ADC is internalized, the cytotoxic drug is released and kills the cancer. Due to this targeting, ideally the drug has lower side effects and gives a wider therapeutic window than other chemotherapeutic agents.

[0244]

A stable link between the antibody and cytotoxic (anti-cancer) agent is a crucial aspect of an ADC. A highly stable ADC linker will ensure that less of the cytotoxic payload falls off in circulation, driving an improved safety profile, and will also ensure that more of the payload arrives at the cancer cell, driving enhanced efficacy. In embodiments, linkers utilized herein can comprise those based on chemical motifs including disulfides, hydrazones or peptides (cleavable), or thioethers (noncleavable) and control the distribution and delivery of the cytotoxic agent to the target cell. Cleavable and noncleavable types of linkers have been proven to be safe in preclinical and clinical trials.

[0245]

The availability of better and more stable linkers has changed the function of the chemical bond. The type of linker, cleavable or noncleavable, lends specific properties to the cytotoxic (anti-cancer) drug. For example, a non-cleavable linker keeps the drug within the cell. As a result, the entire antibody, linker and cytotoxic (anti-cancer) agent enter the targeted cancer cell where the antibody is degraded to the level of an amino acid. The resulting complex—amino acid, linker and cytotoxic agent—now becomes the active drug. In contrast, cleavable linkers are catalyzed by enzymes in the cancer cell where it releases the cytotoxic agent. The difference is that the cytotoxic payload delivered via a cleavable linker can escape from the targeted cell and, in a process called “bystander killing”, attack neighboring cancer cells.

[0246]

Other linkers, such as those that add an extra molecule between the cytotoxic drug and the cleavage site, allows for the development of ADCs with more flexibility without worrying about changing cleavage kinetics.

[0247]

Non-limiting examples of linkers are described in the literature. (See, for example, Ramakrishnan, S. et al., Cancer Res. 44:201-208 (1984) describing use of MBS (M-maleimidobenzoyl-N-hydroxysuccinimide ester). See also, U.S. Pat. No. 5,030,719, describing use of halogenated acetyl hydrazide derivative coupled to an antibody by way of an oligopeptide linker. Non-limiting examples of useful linkers that can be used with the antibodies of the invention include: (i) EDC (1-ethyl-3-(3-dimethylamino-propyl) carbodiimide hydrochloride; (ii) SMPT (4-succinimidyloxycarbonyl-alpha-methyl-alpha-(2-pridyl-dithio)-toluene (Pierce Chem. Co., Cat. (21558G); (iii) SPDP (succinimidyl-6 [3-(2-pyridyldithio) propionamido]hexanoate (Pierce Chem. Co., Cat #21651G); (iv) Sulfo-LC-SPDP (sulfosuccinimidyl 6 [3-(2-pyridyldithio)-propianamide] hexanoate (Pierce Chem. Co. Cat. #2165-G); and (v) sulfo-NHS (-hydroxysulfo-succinimide: Pierce Chem. Co., Cat. #24510) conjugated to EDC.

[0248]

The linkers described herein contain components that have different attributes, thus leading to conjugates with differing physio-chemical properties. For example, sulfo-NHS esters of alkyl carboxylates are more stable than sulfo-NHS esters of aromatic carboxylates. NHS-ester containing linkers are less soluble than sulfo-NHS esters. Further, the linker SMPT contains a sterically hindered disulfide bond, and can form conjugates with increased stability. Disulfide linkages, are in general, less stable than other linkages because the disulfide linkage is cleaved in vitro, resulting in less conjugate available. Sulfo-NHS, in particular, can enhance the stability of carbodimide couplings. Carbodimide couplings (such as EDC) when used in conjunction with sulfo-NHS, forms esters that are more resistant to hydrolysis than the carbodimide coupling reaction alone.

[0249]

Pharmaceutical Compositions

[0250]

Antibodies specifically binding a MUC1 protein or fragment thereof of the invention can be administered for the treatment of a cancer in the form of pharmaceutical compositions. Principles and considerations involved in preparing therapeutic compositions comprising the antibody, as well as guidance in the choice of components are provided, for example, in Remington: The Science And Practice Of Pharmacy 19th ed. (Alfonso R. Gennaro, et al, editors) Mack Pub. Co., Easton, Pa., 1995; Drug Absorption Enhancement: Concepts, Possibilities, Limitations, And Trends, Harwood Academic Publishers, Langhorne, Pa., 1994; and Peptide And Protein Drug Delivery (Advances In Parenteral Sciences, Vol. 4), 1991, M. Dekker, New York.

[0251]

A therapeutically effective amount of an antibody of the invention can relate to generally to the amount needed to achieve a therapeutic objective. As noted above, this can be a binding interaction between the antibody and its target antigen that, in certain cases, interferes with the functioning of the target. The amount required to be administered will furthermore depend on the binding affinity of the antibody for its specific antigen, and will also depend on the rate at which an administered antibody is depleted from the free volume other subject to which it is administered. Common ranges for therapeutically effective dosing of an antibody or antibody fragment of the invention can be, by way of nonlimiting example, from about 0.1 mg/kg body weight to about 50 mg/kg body weight. Common dosing frequencies can range, for example, from twice daily to once a week.

[0252]

Where antibody fragments are used, the smallest inhibitory fragment that specifically binds to the binding domain of the target protein is preferred. For example, based upon the variable-region sequences of an antibody, peptide molecules can be designed that retain the ability to bind the target protein sequence. Such peptides can be synthesized chemically and/or produced by recombinant DNA technology. (See, e.g., Marasco et al, Proc. Natl. Acad. Sci. USA, 90: 7889-7893 (1993)). The formulation can also contain more than one active compound as necessary for the particular indication being treated, preferably those with complementary activities that do not adversely affect each other. Alternatively, or in addition, the composition can comprise an agent that enhances its function, such as, for example, a cytotoxic agent, cytokine (e.g. IL-15), chemotherapeutic agent, or growth-inhibitory agent. Such molecules are suitably present in combination in amounts that are effective for the purpose intended.

[0253]

The active ingredients can also be entrapped in microcapsules prepared, for example, by coacervation techniques or by interfacial polymerization, for example, hydroxymethylcellulose or gelatin-microcapsules and poly-(methylmethacrylate) microcapsules, respectively, in colloidal drug delivery systems (for example, liposomes, albumin microspheres, microemulsions, nano-particles, and nanocapsules) or in macroemulsions.

[0254]

The formulations to be used for in vivo administration must be sterile. This is readily accomplished by filtration through sterile filtration membranes.

[0255]

Sustained-release preparations can be prepared. Suitable examples of sustained-release preparations include semipermeable matrices of solid hydrophobic polymers containing the antibody, which matrices are in the form of shaped articles, e.g., films, or microcapsules. Examples of sustained-release matrices include polyesters, hydrogels (for example, poly(2-hydroxyethyl-methacrylate), or poly(vinylalcohol)), polylactides (U.S. Pat. No. 3,773,919), copolymers of L-glutamic acid and γ ethyl-L-glutamate, non-degradable ethylene-vinyl acetate, degradable lactic acid-glycolic acid copolymers such as the LUPRON DEPOT™ (injectable microspheres composed of lactic acid-glycolic acid copolymer and leuprolide acetate), and poly-D-(−)-3-hydroxybutyric acid. While polymers such as ethylene-vinyl acetate and lactic acid-glycolic acid enable release of molecules for over 100 days, certain hydrogels release proteins for shorter time periods.

[0256]

The antibodies or agents of the invention (also referred to herein as “active compounds”), and derivatives, fragments, analogs and homologs thereof, can be incorporated into pharmaceutical compositions suitable for administration. Such compositions typically comprise the antibody or agent and a pharmaceutically acceptable carrier. As used herein, the term “pharmaceutically acceptable carrier” can include any and all solvents, dispersion media, coatings, antibacterial and antifungal agents, isotonic and absorption delaying agents, and the like, compatible with pharmaceutical administration. Suitable carriers are described in the most recent edition of Remington's Pharmaceutical Sciences, a standard reference text in the field, which is incorporated herein by reference. Preferred examples of such carriers or diluents include, but are not limited to, water, saline, ringer's solutions, dextrose solution, and 5% human serum albumin. Liposomes and non-aqueous vehicles such as fixed oils can also be used. The use of such media and agents for pharmaceutically active substances is well known in the art. Except insofar as any conventional media or agent is incompatible with the active compound, use thereof in the compositions is contemplated. Supplementary active compounds can also be incorporated into the compositions.

[0257]

A pharmaceutical composition of the invention is formulated to be compatible with its intended route of administration. Examples of routes of administration include parenteral, e.g., intravenous, intradermal, subcutaneous, oral (e.g., inhalation), transdermal (i.e., topical), transmucosal, and rectal administration. Solutions or suspensions used for parenteral, intradermal, or subcutaneous application can include the following components: a sterile diluent such as water for injection, saline solution, fixed oils, polyethylene glycols, glycerine, propylene glycol or other synthetic solvents; antibacterial agents such as benzyl alcohol or methyl parabens; antioxidants such as ascorbic acid or sodium bisulfite; chelating agents such as ethylenediaminetetraacetic acid (EDTA); buffers such as acetates, citrates or phosphates, and agents for the adjustment of tonicity such as sodium chloride or dextrose. The pH can be adjusted with acids or bases, such as hydrochloric acid or sodium hydroxide. The parenteral preparation can be enclosed in ampoules, disposable syringes or multiple dose vials made of glass or plastic.

[0258]

Pharmaceutical compositions suitable for injectable use can include sterile aqueous solutions (where water soluble) or dispersions and sterile powders for the extemporaneous preparation of sterile injectable solutions or dispersion. For intravenous administration, suitable carriers include physiological saline, bacteriostatic water, Cremophor EL™ (BASF, Parsippany, N.J.) or phosphate buffered saline (PBS). In embodiments, the composition is sterile and is fluid to the extent that easy syringeability exists. It can be stable under the conditions of manufacture and storage and can be preserved against the contaminating action of microorganisms such as bacteria and fungi. The carrier can be a solvent or dispersion medium containing, for example, water, ethanol, polyol (for example, glycerol, propylene glycol, and liquid polyethylene glycol, and the like), and suitable mixtures thereof. The proper fluidity can be maintained, for example, by the use of a coating such as lecithin, by the maintenance of the required particle size in the case of dispersion and by the use of surfactants. Prevention of the action of microorganisms can be achieved by various antibacterial and antifungal agents, for example, parabens, chlorobutanol, phenol, ascorbic acid, thimerosal, and the like. In many cases, it will be preferable to include isotonic agents, for example, sugars, polyalcohols such as manitol, sorbitol, sodium chloride in the composition. Prolonged absorption of the injectable compositions can be brought about by including in the composition an agent which delays absorption, for example, aluminum monostearate and gelatin.

[0259]

Sterile injectable solutions can be prepared by incorporating the active compound in the required amount in an appropriate solvent with one or a combination of ingredients enumerated above, as required, followed by filtered sterilization. Generally, dispersions are prepared by incorporating the active compound into a sterile vehicle that contains a basic dispersion medium and the required other ingredients from those enumerated above. In the case of sterile powders for the preparation of sterile injectable solutions, methods of preparation are vacuum drying and freeze-drying that yields a powder of the active ingredient plus any additional desired ingredient from a previously sterile-filtered solution thereof.

[0260]

Oral compositions generally include an inert diluent or an edible carrier. They can be enclosed in gelatin capsules or compressed into tablets. For the purpose of oral therapeutic administration, the active compound can be incorporated with excipients and used in the form of tablets, troches, or capsules. Oral compositions can also be prepared using a fluid carrier for use as a mouthwash, wherein the compound in the fluid carrier is applied orally and swished and expectorated or swallowed. Pharmaceutically compatible binding agents, and/or adjuvant materials can be included as part of the composition. The tablets, pills, capsules, troches and the like can contain any of the following ingredients, or compounds of a similar nature: a binder such as microcrystalline cellulose, gum tragacanth or gelatin; an excipient such as starch or lactose, a disintegrating agent such as alginic acid, Primogel, or corn starch; a lubricant such as magnesium stearate or Sterotes; a glidant such as colloidal silicon dioxide; a sweetening agent such as sucrose or saccharin; or a flavoring agent such as peppermint, methyl salicylate, or orange flavoring.

[0261]

For administration by inhalation, the compounds are delivered in the form of an aerosol spray from pressured container or dispenser which contains a suitable propellant, e.g., a gas such as carbon dioxide, or a nebulizer.

[0262]

Systemic administration can also be by transmucosal or transdermal means.

[0263]

For transmucosal or transdermal administration, penetrants appropriate to the barrier to be permeated are used in the formulation. Such penetrants are generally known in the art, and include, for example, for transmucosal administration, detergents, bile salts, and fusidic acid derivatives. Transmucosal administration can be accomplished through the use of nasal sprays or suppositories. For transdermal administration, the active compounds are formulated into ointments, salves, gels, or creams as generally known in the art.

[0264]

The compounds can also be prepared in the form of suppositories (e.g., with conventional suppository bases such as cocoa butter and other glycerides) or retention enemas for rectal delivery.

[0265]

In one embodiment, the active compounds are prepared with carriers that will protect the compound against rapid elimination from the body, such as a controlled release formulation, including implants and microencapsulated delivery systems. Biodegradable, biocompatible polymers can be used, such as ethylene vinyl acetate, polyanhydrides, polyglycolic acid, collagen, polyorthoesters, and polylactic acid. Methods for preparation of such formulations will be apparent to those skilled in the art. The materials can also be obtained commercially from Alza Corporation and Nova Pharmaceuticals, Inc. Liposomal suspensions (including liposomes targeted to infected cells with monoclonal antibodies to viral antigens) can also be used as pharmaceutically acceptable carriers. These can be prepared according to methods known to those skilled in the art, for example, as described in U.S. Pat. No. 4,522,811.

[0266]

It is especially advantageous to formulate oral or parenteral compositions in dosage unit form for ease of administration and uniformity of dosage. Dosage unit form as used herein refers to physically discrete units suited as unitary dosages for the subject to be treated; each unit containing a predetermined quantity of active compound calculated to produce the desired therapeutic effect in association with the required pharmaceutical carrier. The specification for the dosage unit forms of the invention are dictated by and directly dependent on the unique characteristics of the active compound and the particular therapeutic effect to be achieved, and the limitations inherent in the art of compounding such an active compound for the treatment of individuals.

[0267]

The pharmaceutical compositions can be included in a container, pack, or dispenser together with instructions for administration.

[0268]

Methods of Treatment

[0269]

Antibodies or fragments specifically binding a MUC1 protein or a fragment thereof, such as MUC1-SEA, can be administered for the treatment of a MUC1-associated disease or disorder. A “MUC1-associated disease or disorder” includes disease states and/or symptoms associated with a disease state where increased levels of MUC1 gene expression or protein levels, such as on the surface of a cancer cell, and/or activation of cellular signaling pathways involving MUC1 are found. MUC1-associated diseases and disorders may also be characterized by diseases wherein MUC1 is aberrantly glycosylated. See, for example, Nath, S., & Mukherjee, P. (2014). MUC1: a multifaceted oncoprotein with a key role in cancer progression. Trends in molecular medicine, 20(6), 332-342, and Horm, T. M., & Schroeder, J. A. (2013). MUC1 and metastatic cancer: expression, function and therapeutic targeting. Cell adhesion & migration, 7(2), 187-198, each of which are incorporated by reference herein in their entireties. Exemplary MUC1-associated disease or disorder include, but are not limited to, cancer, such as epithelial cancer.

[0270]

MUC1 overexpression and aberrant glycosylation have been associated with many cancers, including most human epithelial cancers. As used herein, “epithelial cancer” can refer to any cancer that arise from epithelial cells which include, but are not limited to, breast cancer, basal cell carcinoma, adenocarcinoma, gastrointestinal cancer, lip cancer, mouth cancer, esophageal cancer, small bowel cancer and stomach cancer, colon cancer, liver cancer, bladder cancer, pancreas cancer, ovary cancer, cervical cancer, lung cancer, breast cancer and skin cancer, such as squamous cell and basal cell cancers, prostate cancer, renal cell carcinoma, and other known cancers that effect epithelial cells throughout the body.

[0271]

Known risk factors for epithelial cancers include, but are not limited to, family history, genetic predisposition (i.e., mutations in BRCA1 and BRCA2, BRIP1, MSH6, RAD15C), personal history of an epithelial cancer, physical inactivity or obesity.

[0272]

Epithelial cancers can be diagnosed by methods known in the art, including testing for tumor markers (such as CA125), imaging via CT scan, MRI, or TVU, or fine needle biopsy.

[0273]

Epithelial cancers may be treated by debulking surgery (such as, removal of both ovaries and fallopian tubes), the uterus, the omentum, biopsies of the peritoneum (lining of abdominal cavity), chemotherapy (such as platinum and taxane based chemotherapy).

[0274]

Referring to the Examples, aspects of the invention are particularly useful for the treatment of ovarian cancer and colon cancer.

[0275]

Ovarian cancer is responsible for significant morbidity and mortality in populations around the world. Ovarian cancer is a type of cancer that begins in the ovaries. The female reproductive system contains two ovaries, one on each side of the uterus. The ovaries—each about the size of an almond—produce eggs (ova) as well as the hormones estrogen and progesterone. Ovarian cancer often goes undetected until it has spread within the pelvis and abdomen. At this late stage, ovarian cancer is more difficult to treat. Early-stage ovarian cancer, in which the disease is confined to the ovary, is more likely to be treated successfully. Surgery and chemotherapy are generally used to treat ovarian cancer.

[0276]

Early-stage ovarian cancer rarely causes any symptoms. Advanced-stage ovarian cancer may cause few and nonspecific symptoms that are often mistaken for more common benign conditions. Signs and symptoms of ovarian cancer may include abdominal bloating or swelling; quickly feeling full when eating; weight loss; discomfort in the pelvis area; changes in bowel habits, such as constipation; and a frequent need to urinate.

[0277]

Tests and procedures used to diagnose ovarian cancer include pelvic exam, imaging tests (such as ultrasound or CT scans), blood tests (such as for organ function and/or for tumor markers), surgery and/or biopsy.

[0278]

Once ovarian cancer is diagnosed, the doctor will use information from such tests and procedures to assign the cancer a stage. The stages of ovarian cancer are indicated using Roman numerals ranging from I to IV, with the lowest stage indicating that the cancer is confined to the ovaries. By stage IV, the cancer has spread to distant areas of the body.

[0279]

Current treatment of ovarian cancer usually involves a combination of surgery and chemotherapy.

[0280]

Surgical operations to remove ovarian cancer include surgery to remove one ovary, surgery to remove both ovaries and/or fallopian tubes, surgery to remove both ovaries and the uterus, or, if cancer is advanced, chemotherapy followed by surgery to remove as much of the cancer as possible.

[0281]

Chemotherapy can refer to a drug treatment that uses chemicals to kill fast-growing cells in the body, including cancer cells. Chemotherapy drugs can be injected into a vein or taken by mouth. Sometimes the drugs are injected directly into the abdomen (intraperitoneal chemotherapy). Chemotherapy is often used after surgery to kill any cancer cells that might remain. It can also be used before surgery.

[0282]

Colon cancer is a type of cancer that begins in the large intestine (colon). The colon is the final part of the digestive tract. Colon cancer typically affects older adults, though it can happen at any age. It usually begins as small, noncancerous (benign) clumps of cells called polyps that form on the inside of the colon. Over time some of these polyps can become colon cancers. Polyps may be small and produce few, if any, symptoms. For this reason, doctors recommend regular screening tests to help prevent colon cancer by identifying and removing polyps before they turn into cancer. If colon cancer develops, many treatments are available to help control it, including surgery, radiation therapy and drug treatments, such as chemotherapy, targeted therapy and immunotherapy. Colon cancer can be referred to as colorectal cancer, which is a term that combines colon cancer and rectal cancer, which begins in the rectum.

[0283]

Signs and symptoms of colon cancer include a persistent change in your bowel habits, including diarrhea or constipation or a change in the consistency of your stool; rectal bleeding or blood in your stool; persistent abdominal discomfort, such as cramps, gas or pain; a feeling that your bowel doesn't empty completely; weakness or fatigue; unexplained weight loss.

[0284]

Many people with colon cancer experience no symptoms in the early stages of the disease. When symptoms appear, they'll likely vary, depending on the cancer's size and location in your large intestine. Doctors recommend certain screening tests for healthy people with no signs or symptoms in order to look for signs of colon cancer or noncancerous colon polyps. Finding colon cancer at its earliest stage provides the greatest chance for a cure. Screening has been shown to reduce your risk of dying of colon cancer.

[0285]

Several screening options exist, such as blood tests or colonoscopy.

[0286]

The stages of colon cancer are indicated by Roman numerals that range from 0 to IV, with the lowest stages indicating cancer that is limited to the lining of the inside of the colon. By stage IV, the cancer is considered advanced and has spread (metastasized) to other areas of the body.

[0287]

Treatment for colon cancer usually involves surgery to remove the cancer. Other treatments, such as radiation therapy and chemotherapy, might also be recommended.

[0288]

Aspects of the invention are directed towards methods of treating cancer, including epithelial cancer, such as colon cancer or ovarian cancer, by administering compositions as described herein to a subject afflicted with a cancer. Antibodies of the invention, including fragments, bi-specific, polyclonal, monoclonal, humanized and fully human antibodies, and CAR-T cells, can be used as therapeutic agents. Such agents will generally be employed to treat or prevent cancer in a subject, increase vaccine efficiency or augment a natural immune response. An antibody preparation, preferably one having high specificity and high affinity for its target antigen, is administered to the subject and will generally have an effect due to its binding with the target. Administration of the antibody can abrogate or inhibit or interfere with an activity of the MUC1 protein. Administration of the antibody may also be used to target a therapeutic to a specific cell, such as a cancer cell, and/or sensitize a cancer cell to an anti-cancer treatment.

[0289]

The invention provides for both prophylactic and therapeutic methods of treating a subject at risk of (or susceptible to) a cancer, or other cell proliferation-related diseases or disorders. Such diseases or disorders include but are not limited to, e.g., those diseases or disorders associated with aberrant expression of MUC1 and/or aberrant glycosylation of MUC1. For example, the methods are used to treat, prevent or alleviate a symptom cancer. Non-limiting examples of cancers that can be treated by embodiments herein comprise lung cancer, ovarian cancer, prostate cancer, colon cancer, cervical cancer, brain cancer, skin cancer, liver cancer, pancreatic cancer or stomach cancer. Additionally, the methods of the invention can be used to treat hematologic cancers such as leukemia and lymphoma. Alternatively, the methods can be used to treat, prevent or alleviate a symptom of a cancer that has metastasized.

[0290]

Accordingly, in one aspect, the invention provides methods for preventing, treating or alleviating a symptom cancer or a cell proliferative disease or disorder in a subject by administering to the subject a monoclonal antibody, scFv antibody of the invention or bi-specific antibody of the invention. For example, an anti-MUC1 antibody can be administered in therapeutically effective amounts.

[0291]

Subjects at risk for cancer or cell proliferation-related diseases or disorders can include patients who have a family history of cancer or a subject exposed to a known or suspected cancer-causing agent. Administration of a prophylactic agent can occur prior to the manifestation of cancer such that the disease is prevented or, alternatively, delayed in its progression.

[0292]

In one aspect, tumor cell viability can be inhibited by contacting a cell with an anti-MUC1 antibody of the invention. Referring to FIG. 2, for example, colon carcinoma cell lines expressing MUC1 show reduced viability (or increased cell killing) by anti-MUC1 CAR T cells. Further, FIG. 5 and FIG. 6 further demonstrate tumor cell killing activity of anti-MUC1 scFv CAR T cells.

[0293]

In another aspect, tumor cell growth can be inhibited by contacting a cell with an anti-MUC1 antibody of the invention. The cell can be any cell that expresses MUC1.

[0294]

Also included in the invention are methods of increasing or enhancing an immune response to an antigen. An immune response is increased or enhanced by administering to the subject a monoclonal antibody, scFv antibody, or bi-specific antibody of the invention. The immune response is augmented for example by augmenting antigen specific T effector function. The antigen is a viral (e.g. HIV), bacterial, parasitic or tumor antigen. The immune response is a natural immune response. By natural immune response is meant an immune response that is a result of an infection. The infection is a chronic infection. Increasing or enhancing an immune response to an antigen can be measured by a number of methods known in the art. For example, an immune response can be measured by measuring any one of the following: T cell activity, T cell proliferation, T cell activation, production of effector cytokines, and T cell transcriptional profile.

[0295]

Alternatively, the immune response is a response induced due to a vaccination.

[0296]

Accordingly, in another aspect the invention provides a method of increasing vaccine efficiency by administering to the subject a monoclonal antibody or scFv antibody of the invention and a vaccine. The antibody and the vaccine are administered sequentially or concurrently. The vaccine is a tumor vaccine a bacterial vaccine or a viral vaccine.

[0297]

In another aspect, the invention provides treating cancer in a patient by administering two antibodies that bind to the same epitope of the MUC1 protein or, alternatively, two different epitopes of the MUC1 protein. Alternatively, the cancer is treated by administering a first antibody that binds to MUC1 and a second antibody that binds to a protein other than MUC1. For example, the other protein other than MUC1 can include, but is not limited to, LIGO1 and/or mesothelin. For example, the other protein other than MUC1 is a tumor-associated antigen.

[0298]

In some embodiments, the invention provides administration of an anti-MUC1 antibody alone or with an additional antibody that recognizes another protein other than MUC1, with cells that are capable of effecting or augmenting an immune response. For example, these cells can be peripheral blood mononuclear cells (PBMC), or any cell type that is found in PBMC, e.g., cytotoxic T cells, macrophages, and natural killer (NK) cells.

[0299]

Additionally, the invention provides administration of an antibody that binds to the MUC1 protein and an anti-neoplastic agent, such a small molecule, a growth factor, a cytokine or other therapeutics including biomolecules such as peptides, peptidomimetics, peptoids, polynucleotides, lipid-derived mediators, small biogenic amines, hormones, neuropeptides, and proteases. Small molecules include, but are not limited to, inorganic molecules and small organic molecules. Suitable growth factors or cytokines include an IL-2, GM-CSF, IL-12, and TNF-alpha. Small molecule libraries are known in the art. (See, Lam, Anticancer Drug Des., 12: 145, 1997.)

[0300]

Diagnostic Assays

[0301]

The anti-MUC1 antibodies can be used diagnostically to, for example, monitor the development or progression of cancer as part of a clinical testing procedure to, e.g., determine the efficacy of a given treatment and/or prevention regimen.

[0302]

In some aspects, for diagnostic purposes the anti-MUC1 antibody of the invention is linked to a detectable moiety, for example, so as to provide a method for detecting a cancer cell in a subject at risk of or suffering from a cancer.

[0303]

The detectable moieties can be conjugated directly to the antibodies or fragments, or indirectly by using, for example, a fluorescent secondary antibody. Direct conjugation can be accomplished by standard chemical coupling of, for example, a fluorophore to the antibody or antibody fragment, or through genetic engineering. Chimeras, or fusion proteins can be constructed which contain an antibody or antibody fragment coupled to a fluorescent or bioluminescent protein. For example, Casadei, et al, describe a method of making a vector construct capable of expressing a fusion protein of aequorin and an antibody gene in mammalian cells.

[0304]

As used herein, the term “labeled”, with regard to the probe or antibody, can encompass direct labeling of the probe or antibody by coupling (i.e., physically linking) a detectable substance to the probe or antibody, as well as indirect labeling of the probe or antibody by reactivity with another reagent that is directly labeled. Examples of indirect labeling include detection of a primary antibody using a fluorescently-labeled secondary antibody and end-labeling of a DNA probe with biotin such that it can be detected with fluorescently-labeled streptavidin. The term “biological sample” is intended to include tissues, cells and biological fluids isolated from a subject (such as a biopsy), as well as tissues, cells and fluids present within a subject. That is, the detection method of the invention can be used to detect cells that express MUC1 in a biological sample in vitro as well as in vivo. For example, in vitro techniques for detection of MUC1 include enzyme linked immunosorbent assays (ELISAs), Western blots, immunoprecipitations, and immunofluorescence. Furthermore, in vivo techniques for detection of MUC1 include introducing into a subject a labeled anti-MUC1 antibody. For example, the antibody can be labeled with a radioactive marker whose presence and location in a subject can be detected by standard imaging techniques. In the case of “targeted” conjugates, that is, conjugates which contain a targeting moiety—a molecule or feature designed to localize the conjugate within a subject or animal at a particular site or sites, localization can refer to a state when an equilibrium between bound, “localized”, and unbound, “free” entities within a subject has been essentially achieved. The rate at which such equilibrium is achieved depends upon the route of administration. For example, a conjugate administered by intravenous injection can achieve localization within minutes of injection. On the other hand, a conjugate administered orally can take hours to achieve localization. Alternatively, localization can simply refer to the location of the entity within the subject or animal at selected time periods after the entity is administered. By way of another example, localization is achieved when an moiety becomes distributed following administration.

[0305]

It is understood that a reasonable estimate of the time to achieve localization can be made by one skilled in the art. Furthermore, the state of localization as a function of time can be followed by imaging the detectable moiety (e.g., a light-emitting conjugate) according to the methods of the invention, such as with a photodetector device. The “photodetector device” used should have a high enough sensitivity to enable the imaging of faint light from within a mammal in a reasonable amount of time, and to use the signal from such a device to construct an image.

[0306]

In cases where it is possible to use light-generating moieties which are extremely bright, and/or to detect light-generating fusion proteins localized near the surface of the subject or animal being imaged, a pair of “night-vision” goggles or a standard high-sensitivity video camera, such as a Silicon Intensified Tube (SIT) camera (e.g., from Hammamatsu Photonic Systems, Bridgewater, N.J.), can be used. More typically, however, a more sensitive method of light detection is required.

[0307]

In extremely low light levels the photon flux per unit area becomes so low that the scene being imaged no longer appears continuous. Instead, it is represented by individual photons which are both temporally and spatially distinct form one another. Viewed on a monitor, such an image appears as scintillating points of light, each representing a single detected photon. By accumulating these detected photons in a digital image processor over time, an image can be acquired and constructed. In contrast to conventional cameras where the signal at each image point is assigned an intensity value, in photon counting imaging the amplitude of the signal carries no significance. The objective is to simply detect the presence of a signal (photon) and to count the occurrence of the signal with respect to its position over time.

[0308]

At least two types of photodetector devices, described below, can detect individual photons and generate a signal which can be analyzed by an image processor. Reduced-Noise Photodetection devices achieve sensitivity by reducing the background noise in the photon detector, as opposed to amplifying the photon signal. Noise is reduced primarily by cooling the detector array. The devices include charge coupled device (CCD) cameras referred to as “backthinned”, cooled CCD cameras. In the more sensitive instruments, the cooling is achieved using, for example, liquid nitrogen, which brings the temperature of the CCD array to approximately −120° C. “Backthinned” refers to an ultra-thin backplate that reduces the path length that a photon follows to be detected, thereby increasing the quantum efficiency. A particularly sensitive backthinned cryogenic CCD camera is the “TECH 512”, a series 200 camera available from Photometries, Ltd. (Tucson, Ariz.). [00120] “Photon amplification devices” amplify photons before they hit the detection screen. This class includes CCD cameras with intensifiers, such as microchannel intensifiers. A microchannel intensifier typically contains a metal array of channels perpendicular to and co-extensive with the detection screen of the camera. The microchannel array is placed between the sample, subject, or animal to be imaged, and the camera. Most of the photons entering the channels of the array contact a side of a channel before exiting. A voltage applied across the array results in the release of many electrons from each photon collision. The electrons from such a collision exit their channel of origin in a “shotgun” pattern, and are detected by the camera.

[0309]

Even greater sensitivity can be achieved by placing intensifying microchannel arrays in series, so that electrons generated in the first stage in turn result in an amplified signal of electrons at the second stage. Increases in sensitivity, however, are achieved at the expense of spatial resolution, which decreases with each additional stage of amplification. An exemplary microchannel intensifier-based single-photon detection device is the C2400 series, available from Hamamatsu.

[0310]

Image processors process signals generated by photodetector devices which count photons in order to construct an image which can be, for example, displayed on a monitor or printed on a video printer. Such image processors are typically sold as part of systems which include the sensitive photon-counting cameras described above, and accordingly, are available from the same sources. The image processors are usually connected to a personal computer, such as an IBM-compatible PC or an Apple Macintosh (Apple Computer, Cupertino, Calif.), which may or may not be included as part of a purchased imaging system. Once the images are in the form of digital files, they can be manipulated by a variety of image processing programs (such as “ADOBE PHOTOSHOP”, Adobe Systems, Adobe Systems, Mt. View, Calif.) and printed.

[0311]

In an embodiment, the biological sample contains protein molecules from the test subject. Exemplary biological samples comprise a peripheral blood leukocyte sample isolated by conventional means from a subject, or a sample comprising one of more cancer cells isolated by conventional means from a subject. The skilled artisan will recognize that any biological sample can be utilized in such embodiments, non-limiting examples of which include ascites, pleural effusions, urine, saliva, bronchial alveolar lavages, and the like.

[0312]

The invention also encompasses kits for detecting the presence of MUC1 or a MUC1-expressing cell in a biological sample. For example, the kit can comprise: a labeled compound or agent capable of detecting a cancer or tumor cell (e.g., an anti-MUC1 scFv or monoclonal antibody) in a biological sample; means for determining the amount of MUC1 in the sample; and means for comparing the amount of MUC1 in the sample with a standard. The standard is, in some embodiments, a non-cancer cell or cell extract thereof. The compound or agent can be packaged in a suitable container. The kit can further comprise instructions for using the kit to detect cancer in a sample.

[0313]

An antibody according to the invention can be used as an agent for detecting the presence of MUC1 (or a protein or a protein fragment thereof) in a sample. Preferably, the antibody contains a detectable label. Antibodies can be polyclonal or monoclonal. An intact antibody, or a fragment thereof (e.g., Fab, scFv, or F(ab)2) can be used. The term “labeled”, with regard to the probe or antibody, can encompass direct labeling of the probe or antibody by coupling (i.e., physically linking) a detectable substance to the probe or antibody, as well as indirect labeling of the probe or antibody by reactivity with another reagent that is directly labeled. Examples of indirect labeling include detection of a primary antibody using a fluorescently-labeled secondary antibody and end-labeling of a DNA probe with biotin such that it can be detected with fluorescently-labeled streptavidin. The term “biological sample” can include tissues, cells and biological fluids isolated from a subject, as well as tissues, cells and fluids present within a subject. Included within the usage of the term “biological sample”, therefore, is blood and a fraction or component of blood including blood serum, blood plasma, or lymph. That is, the detection method of the invention can be used to detect an analyte mRNA, protein, or genomic DNA in a biological sample in vitro as well as in vivo. For example, in vitro techniques for detection of an analyte mRNA includes Northern hybridizations and in situ hybridizations. In vitro techniques for detection of an analyte protein include enzyme linked immunosorbent assays (ELISAs), Western blots, immunoprecipitations, and immunofluorescence. In vitro techniques for detection of an analyte genomic DNA include Southern hybridizations.

[0314]

Procedures for conducting immunoassays are described, for example in “ELISA: Theory and Practice: Methods in Molecular Biology”, Vol. 42, J. R. Crowther (Ed.) Human Press, Totowa, N.J., 1995; “Immunoassay”, E. Diamandis and T. Christopoulus, Academic Press, Inc., San Diego, Calif., 1996; and “Practice and Theory of Enzyme Immunoassays”, P. Tijssen, Elsevier Science Publishers, Amsterdam, 1985. Furthermore, in vivo techniques for detection of an analyte protein include introducing into a subject a labeled anti-analyte protein antibody. For example, the antibody can be labeled with a radioactive marker whose presence and location in a subject can be detected by standard imaging techniques.

[0315]

Antibodies directed against a MUC1 protein (or a fragment thereof) can be used in methods known within the art relating to the localization and/or quantitation of a MUC1 protein (e.g., for use in measuring levels of the MUC1 protein within appropriate physiological samples, for use in diagnostic methods, for use in imaging the protein, and the like). In a given embodiment, antibodies specific to a MUC1 protein, or derivative, fragment, analog or homolog thereof, that contain the antibody derived antigen binding domain, are utilized as pharmacologically active compounds (referred to hereinafter as “Therapeutics”).

[0316]

An antibody specific for a MUC1 protein of the invention can be used to isolate a MUC1 polypeptide by standard techniques, such as immunoaffinity, chromatography or immunoprecipitation. Antibodies directed against a MUC1 protein (or a fragment thereof) can be used diagnostically to monitor protein levels in tissue as part of a clinical testing procedure, e.g., to, for example, determine the efficacy of a given treatment regimen.

[0317]

Detection can be facilitated by coupling (i.e., physically linking) the antibody to a detectable substance. Examples of detectable substances include various enzymes, prosthetic groups, fluorescent materials, luminescent materials, bioluminescent materials, and radioactive materials. Examples of suitable enzymes include horseradish peroxidase, alkaline phosphatase, 0-galactosidase, or acetylcholinesterase; examples of suitable prosthetic group complexes include streptavidin/biotin and avidin/biotin; examples of suitable fluorescent materials include umbelliferone, fluorescein, fluorescein isothiocyanate, rhodamine, dichlorotriazinylamine fluorescein, dansyl chloride or phycoerythrin; an example of a luminescent material includes luminol; examples of bioluminescent materials include luciferase, luciferin, and aequorin, and examples of suitable radioactive material include125I,131I,35S or3H.

Other Embodiments

[0318]

While the invention has been described in conjunction with the detailed description thereof, the foregoing description is intended to illustrate and not limit the scope of the invention, which is defined by the scope of the appended claims. Other aspects, advantages, and modifications are within the scope of the following claims.

[0319]

The invention will be further described in the following examples, which do not limit the scope of the invention described in the claims.

EXAMPLES

[0320]

Examples are provided below to facilitate a more complete understanding of the invention. The following examples illustrate the exemplary modes of making and practicing the invention. However, the scope of the invention is not limited to specific embodiments disclosed in these Examples, which are for purposes of illustration only, since alternative methods can be utilized to obtain similar results.

Example 1

[0321]

Discovery of Human Anti-MUC1 Antibody that Targets MUC1-SEA Domain

[0322]

We report here the discovery of a human single chain variable fragment (scFv), called T4E3, that recognizes human MUC1-SEA. In the scFv-Fc format, T4E3 binds to MUC1+ cells with six fold higher affinity than the anti-MUC1-C antibody 3D1 (FIG. 1). When T4E3 is utilized as the targeting moiety of a CAR T cell, T4E3 CAR T cells preferentially kill MUC1+ tumor cells and do not kill MUC1− cells. Activated T cells from the same human white blood cell donor and CAR T cells that recognize CXCR4, do not kill either the MUC1+ or MUC1− tumor cell lines, which lack CXCR4 (FIG. 2).

Example 2

[0323]

Observations from CDR3 Analysis

    • G1-1-A1 VHhas more similarities to T4E3 and G2-2-F8 in VHthan G1-3-A3 and G1-2-B10 even though it has a different VGene assignment.
    • G1-3-A3 has a completely different VLgene and has such a different VHgene from T4E3 it abrogates binding.
    • The GMDV at the end of the VH-CDR3 appears to be critical for binding to MUC1 (T4E3, G2-2-F8, and G1-1-A1, the highest affinity binders share this motif).
    • 17-18 amino acids are the lengths of the VHCDR3s that have highest binding. G1-3-A3 and G1-2-B10 have 20 and 15, respectively.
    • The T4E3 VLCDR3 has an insertion at the 3′ that none of the low affinity hits have. Additionally, two consecutive serines are mutated from germline to arginine and tyrosine, respectively, within the interior of CDR3-VL, and histidine at the 3′ in germline is mutated to serine. None of the low affinity hits maintain these mutations.

EQUIVALENTS

[0329]

Those skilled in the art will recognize, or be able to ascertain, using no more than routine experimentation, numerous equivalents to the specific substances and procedures described herein. Such equivalents are considered to be within the scope of this invention, and are covered by the following claims.

Как компенсировать расходы
на инновационную разработку
Похожие патенты