заявка
№ US 20110020784
МПК C12Q1/00

RED FLUORESCENT PROTEINS WITH ENHANCED BACTERIAL EXPRESSION, INCREASED BRIGHTNESS AND REDUCED AGGREGATION

Авторы:
Benjamin S. Glick Daniel E. Strongin Robert Keenan
Все (5)
Номер заявки
12740019
Дата подачи заявки
03.11.2008
Опубликовано
27.01.2011
Страна
US
Как управлять
интеллектуальной собственностью
Реферат

[0000]

Polynucleotides encoding variant polypeptides of DsRed are provided herein. The DsRed variants have increased bacterial expression, reduced aggregation, increased solubility, shifted emission spectra or increased brightness relative to a wild-type DsRed.

[00000]

Формула изобретения

1-6. (canceled)

7. An isolated polynucleotide encoding a variant polypeptide of DsRed, the variant polypeptide having reduced aggregation relative to wild-type DsRed, the variant polypeptide comprising at least one amino acid substitution selected from the group consisting of E10P and Q188K.

8. The polynucleotide of claim 7, wherein the variant polypeptide further comprises the mutations of DsRed-max of SEQ ID NO:4.

9. The polynucleotide of claim 7, wherein the variant polypeptide further comprises the mutations of DsRed-Express2 of SEQ ID NO:5.

10. (canceled)

11. (canceled)

12. The polynucleotide of claim 7, wherein the variant polypeptide further comprises an A2D amino acid substitution and an S4T amino acid substitution.

13. (canceled)

14. The polynucleotide of claim 7, wherein the variant polypeptide further comprises at least one amino acid substitution selected from the group consisting of Q66M, V73T, V73A, H75K, H75C, H75R, V175C and G219A.

15. The polynucleotide of claim 7, wherein the variant polypeptide further comprises at least one amino acid substitution selected from the group consisting of D6N, R36K, K47Q, K121H, M141L, D169G, I210V, and L225Q.

16. The polynucleotide of claim 7, wherein the variant polypeptide further comprises at least one amino acid substitution selected from the group consisting of S117T, C117T, A145P, T217A and A217T.

17. The polynucleotide of claim 16, wherein the variant polypeptide further comprises the mutations A2D, S3N, S4T, D6N, E10P, R17H, R36K, K47Q, C117T, K121H, M141L, K168E, D169G, Q188K, I210V, G219A, and L225Q.

18. The polynucleotide of claim 7, wherein the variant polypeptide further comprises the mutations A2D, S4T, D6N, E10P, R17H, R36K, K47Q, K121H, M141L, K168E, D169G, Q188K, I210V, G219A, and L225Q.

19-48. (canceled)

49. The isolated polynucleotide of claim 7, wherein the polynucleotide further encodes a polypeptide of interest linked to the variant polypeptide, the polypeptide of interest and the variant polypeptide being expressed as a fusion protein.

50. A cell comprising the sequence of claim 7.

51. A construct comprising the polynucleotide of claim 7 operably connected to a promoter.

52. A vector comprising the construct of claim 51.

53. A variant polypeptide of DsRed.T3 polypeptide (SEQ ID NO:3) encoded by the polynucleotide of claim 7.

54. (canceled)

55. A method of obtaining expression of a variant polypeptide of DsRed.T3 comprising introducing the vector of claim 52 into a host cell under conditions that permit expression of the variant polypeptide.

56. The method of claim 55, wherein the vector comprises the polynucleotide of claim 49.

57. The method of claim 55, further comprising evaluating the expression of the variant polypeptide by detecting red fluorescence.

58. The method of claim 57, further comprising monitoring temporal or spatial changes in red fluorescence.

59. A method of obtaining expression of a variant polypeptide of wild-type DsRed comprising introducing the vector of claim 52 into a host cell under conditions that permit expression of the variant polypeptide.

60. The method of claim 59, wherein the vector comprises the polynucleotide of claim 49.

61. The method of claim 59, further comprising evaluating the expression of the variant polypeptide by detecting red fluorescence.

62. The method of claim 61, further comprising monitoring temporal or spatial changes in red fluorescence.

Описание

CROSS-REFERENCE TO RELATED APPLICATIONS

[0001]

This application claims priority to U.S. Provisional Patent Application Ser. No. 60/984,642, filed on Nov. 1, 2007, which is incorporated herein by reference in its entirety.

STATEMENT REGARDING FEDERALLY SPONSORED RESEARCH

[0002]

This invention was made with government support under National Institutes of Health grant numbers R01 GM65389 to Glick and R01 EB008087 to Glick and Keenan. The government has certain rights in the invention.

INTRODUCTION

[0003]

Fluorescent proteins, such as green fluorescent protein (GFP), are invaluable tools used in pure and applied research. Although fluorescent proteins have been widely available for a relatively short time, they have had an important impact on biomedical research, contributing to our understanding of basic cellular and developmental processes that underlie health and disease. GFP and its relatives are widely used for medically-oriented research. For example, GFP has been used to analyze bacterial gene expression during infection, to visualize tumor cell behavior during metastasis, and to monitor GFP fusion proteins in gene therapy studies. Fluorescent proteins are also useful in high-throughput screens for drug discovery.

[0004]

A red fluorescent protein produced by the coral Discosoma and designated DsRed (wild-type DsRed) is potentially useful, e.g., as a fluorescent reporter protein or as a fusion tag. DsRed features many properties that make it an ideal fluorescent marker. First, DsRed fluorescence is bright and can be excited and detected using commonly available filter sets or lasers. Second, DsRed is excited by lower energy light compared to GFP and its derivatives, so cells accrue less photodamage and experience less phototoxicity under DsRed imaging conditions. Third, light scattering makes it difficult to image thick tissue samples with conventional fluorescence microscopy, but the wavelengths of light for DsRed excitation and emission are scattered less than those for GFP. Finally, the DsRed excitation and emission spectra are well separated from those of GFP, permitting simple two-color imaging or FRET. However, wild-type DsRed suffers from certain drawbacks.

[0005]

First, the maturation process that yields the red fluorophore is slow, with a half-time of ˜12 h at 37° C. Second, wild-type DsRed occurs as a homotetramer, which makes its use as a fluorescent reporter in a fusion protein problematic. For example, tetramerization of the DsRed fusion protein may interfere with or perturb the function or localization of the protein. In addition, DsRed tetramers undergo higher-order aggregation. Fusion of DsRed to membrane proteins or to oligomeric proteins often produces large aggregates. Monomeric DsRed variants have been made, but are not as bright or as photostable as the DsRed tetramers. The available DsRed tetramer variants still form higher order aggregates and can cause cellular toxicity.

[0006]

There is, therefore, ongoing interest in developing new fluorescent protein labels with improved characteristics as experimental and clinical tools.

SUMMARY

[0007]

Isolated polynucleotides encoding variant polypeptides of DsRed are provided. The polynucleotides include an AGC codon encoding a serine at amino acid position 3 of the variant polypeptideand the variant polypeptide includes at least one amino acid substitution selected from the group consisting of A2D and S4T. The polynucleotides demonstrate increased bacterial expression relative to a wild-type DsRed.

[0008]

In another aspect, isolated polynucleotides encoding variant polypeptides of DsRed having reduced aggregation relative to wild-type DsRed are provided. The variant polypeptides include at least one amino acid substitution selected from the group consisting of E10P and Q188K.

[0009]

In yet another aspect, isolated polynucleotides encoding variant polypeptides of a monomeric DsRed having increased brightness relative to DsRed.M1 are provided. The variant polypeptides include amino acid substitution K121H.

[0010]

In still another aspect, isolated polynucleotides encoding variant polypeptides of DsRed, having increased brightness and reduced aggregation relative to wild-type DsRed or DsRed.M1 are described. The variant polypeptides include amino acid substitutions W58Y and I29V.

[0011]

In a further aspect, isolated polynucleotides encoding variant polypeptides of a DsRed having increased brightness and reduced aggregation relative to wild-type DsRed or DsRed.M1 are described. The variant polypeptides include amino acid substitutions D115G and G116D.

[0012]

In a still further aspect, isolated polynucleotides encoding variant polypeptides of DsRed having a blue-shifted emission spectra relative to wild-type DsRed are disclosed. The variant polypeptides include a substitution at amino acid 213. Alternatively, the variant polypeptides include a threonine substitution at amino acid 66.

[0013]

In yet another aspect, isolated polynucleotides encoding variant polypeptides of DsRed having increased solubility relative to the starting DsRed polypeptide are provided. The variant polypeptide comprises at least one amino acid substitution selected from L85Q, D128N, D128K, E160D, S162N, and K198E.

[0014]

In still another aspect, isolated polynucleotides encoding variant polypeptides of DsRed having increased brightness relative to a comparable polypeptide lacking the amino acid substitution are disclosed. The variant polypeptide includes an amino acid substitution selected from the group consisting of V73T, V73A, H75C, H75K, H75R, K83F, M83F, and V175C. Alternatively, the variant polypeptides may include amino acid substitutions F177V and Q66M. Alternatively, the variant polypeptide may include amino acid substitutions L150M, F177V, and S197I.

[0015]

In a further aspect, isolated polynucleotides encoding variant polypeptides of DsRed comprising an amino acid substitution of A44V are provided. The variant polypeptides have an emission spectra that is red-shifted as compared to the comparable polypeptide lacking the amino acid substitution.

BRIEF DESCRIPTION OF THE DRAWINGS

[0016]

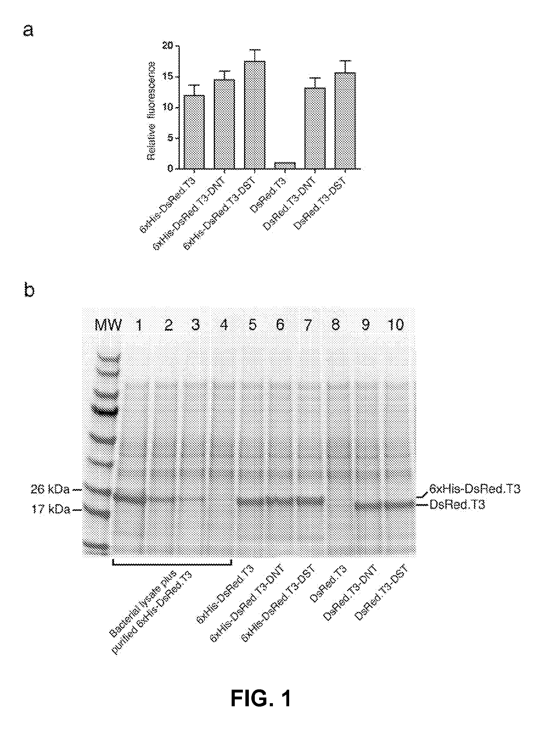
FIG. 1a is a bar graph comparing relative fluorescence of various DsRed variants.

[0017]

FIG. 1b is a photograph of a Coomassie stained gel comparing the protein expression of various DsRed variants.

[0018]

FIG. 2 is a bar graph of an aggregation assay comparing EGFP and several DsRed variants.

[0019]

FIG. 3 is set of graphs showing the excitation, emission, absorbance spectra and maturation kinetics for the DsRed tetramers.

[0020]

FIG. 4 is a set of graphs showing the photobleaching kinetics of the DsRed tetramers using a widefield microscope with a Texas Red filter (535-585 nm) and confocal microscope with a 543 excitation laser.

[0021]

FIG. 5 is a photograph of bacterial colonies expressing various DsRed variants.

[0022]

FIG. 6a is a set of graphs showing the cytotoxicity in HeLa cells associated with constitutive high level expression of the indicated fluorescent proteins. Cells were harvested and fluorescence measured by FACS daily, the strongest signal obtained for a given protein was defined as 100 units.

[0023]

FIG. 6b is a bar graph showing the percentage of the fluorescent protein found in the pellet of a bacterial lysate.

[0024]

FIG. 6c is a set of photographs showing that DsRedExpress2 and DsRed-Max are minimally cyctotoxic to the bacterial cells.

[0025]

FIG. 6d is a graph like that in FIG. 15a showing the relative amount of fluorescent protein expression over time in transiently transfected HeLa cells.

[0026]

FIG. 7 is a set of graphs showing the fluorescence intensity distributions of HeLa cells transiently transfected with the indicated fluorescent proteins.

[0027]

FIG. 8a is a bar graph showing HeLa cells transduced with lentiviruses encoding the indicated fluorescent proteins or a control lentivirus lacking a fluorescent protein gene. At days 3 and 10 post transduction, three wells of each transduction was harvested and detected using a 488-nm laser and a FITC filter set or a 543-nm laser and a PE filter set. The average fluorescent signals relative to control are plotted.

[0028]

FIG. 8b is a bar graph showing the percentage of viable cells that were fluorescent from FIG. 8a.

[0029]

FIG. 8c is a graph showing the that cells transduced with a lentiviral vector comprising a fluorescent protein are capable of replicating in culture.

[0030]

FIG. 9a is a set of flow cytometry graphs of mononuclear bone marrow derived cells retrovirally transduced with vectors comprising the indicated proteins and sorted after 87 hours.

[0031]

FIG. 9b is a graph depicting the number of transduced cells which are fluorescent over time in culture (shaded portion of bar) and the number of transduced cells which are not fluorescent (white portion of bar). The decrease in total cell number at day 10 is not fluorescent protein-related, but reflects senescence that is routinely observed under in vitro conditions.

[0032]

FIG. 10a is a bar graph showing E. coli cells expressing no fluorescent protein or the indicated fluorescent protein illuminated through a Texas Red (535-585 nm) filter gray bars or a GFP (470-510 nm) filter (light gray bars) for 15 minutes. Parallel samples were treated identically but not illuminated. Cells were plated and grown overnight. The graphs shows the percent survival calculated by the number of colonies from the illuminated sample divided by the number from the non-illuminated sample.

[0033]

FIG. 10b is a bar graph showing the same type of assay as in FIG. 10a with the TRITC (530-560 nm) filter used.

[0034]

FIG. 10c is a bar graph showing the same type of assay as in FIG. 10a, but S. cerevisiae cells and a nuclear targeted fluorescent protein were used. The cells were only illuminated with a Texas Red filter for 10 minutes in this assay. Percent survival was calculate after two days of growth.

[0035]

FIG. 11 is a schematic depiction of the funnel screening assay.

[0036]

FIG. 12 is a set of line graphs showing the excitation and emission spectra for mRed-555, mRed-580 and mRed-595.

[0037]

FIG. 13a is a schematic of the predicted structure of artificially tetramerized monomeric DsRed proteins.

[0038]

FIG. 13b is a bar graph showing the results of the monomeric protein aggregation assays.

[0039]

FIG. 14 is a bar graph showing the results of the monomeric protein aggregation assays with the mRed(sol)-595 variant.

[0040]

FIG. 15 is a set of graphs showing the absorbance and emission spectra of mRed(sol)-560 and mRed(sol)-595.

[0041]

FIG. 16 is a sequence alignment showing the amino acid sequences of several DsRed derived proteins. Conserved residues share a light gray shading.

DETAILED DESCRIPTION

[0042]

Polypeptide variants of wild-type Discosoma sp. red fluorescent protein (DsRed) are provided. Wild-type DsRed forms oligomers (e.g., dimers or tetramers) under physiologic conditions, which, in the native polypeptide, appears to play a role in its fluorescence activity. In addition, the tetramers aggregate to form higher order structures. A coding sequence for wild-type Discosoma sp. red fluorescent protein (DsRed) is shown in SEQ ID NO:11, and the amino acid sequence of wild-type DsRed is shown in SEQ ID NO:1. Monomeric DsRed polypeptides have been developed but suffer from reduced brightness and aggregation. The polypeptide variants provided herein have a reduced tendency to aggregate relative to wild-type DsRed and the previously characterized DsRed variants. Both monomeric and tetrameric variant DsRed polypeptides with reduced aggregation are provided. Reduced aggregation results in increased solubility. This reduced tendency to aggregate may be assessed by any suitable means, whether in vivo or in vitro. Several methods are described in the Examples below.

[0043]

Other polypeptide variants provided herein have increased expression and/or increased brightness and or shifted excitation, emission, or absorbance spectra as compared to the tetrameric or monomeric variants from which they were derived. Increased bacterial expression was assessed as described in the Examples below. Any suitable means may be used to measure expression levels of the polypeptides in bacteria, or in other cell types, such as HeLa cells or Bone marrow derived cells. Those of skill in the art will appreciate many different methods may be used. Brightness of the fluorescent proteins may also be measured in a variety of ways, including but not limited to the methods described in the Examples. Increased brightness includes, but is not limited to increased relative brightness as measured by FACS analysis, increased maturation rate, increased molar extinction coefficient, increased quantum yield, increased photostability, etc. Increased bacterial expression, increased brightness, and spectral shift may also be assessed by any suitable means, whether in vivo or in vitro. Those of skill in the art will appreciate that many methods, including those described in the Examples, may be used to measure the expression, brightness and spectrum of the proteins.

[0044]

Specific amino acid substitutions or combinations of substitutions are disclosed as reducing aggregation, increasing expression, increasing brightness, and/or altering the excitation emission or absorbance spectrum of DsRed variants. Those of skill in the art will appreciate that the various amino acid substitutions disclosed herein may be combined with each other or used with other amino acid substitutions to produce DsRed variants with reduced aggregation, increased brightness, increased expression in bacteria or other cells, and shifted excitation, emission, and/or absorbance spectra. For example FIG. 16 shows amino acid sequence alignments for several variant DsRed polypeptides. These polypeptides contain a variety of mutations. Those of skill in the art may use the information provided herein to generate DsRed variants comprising amino acid substitutions described herein in combination with amino acid substitutions known previously to generate DsRed variants with improved properties, i.e. improved expression, brightness, reduced aggregation. Amino acid substitutions demonstrated to reduce aggregation, increase brightness or increase expression in the tetrameric DsRed are expected to have similar effects in monomeric DsRed variants and vice versa, unless otherwise indicated. Such variants are also encompassed by the present invention.

[0045]

Polypeptide variants were genetically engineered, as described in detail below, by altering a sequence encoding a rapidly maturing tetrameric variant of wild-type DsRed, designated DsRed.T3 (SEQ ID NO:3) or a monomeric variant of wild-type DsRed designated DsRed.M1 (SEQ ID NO:6). DsRed.T3 is described in further detail in co-pending U.S. patent application Ser. No. 10/844,064, which is incorporated herein by reference in its entirety. DsRed.M1 is described in further detail in U.S. Pat. No. 7,250,298, which is incorporated herein by reference in its entirety. The amino acid substitutions described herein may be used with other DsRed variants, such as DsRed.T1, DsRed.T4, mCherry, DsRed.M1, etc. (See FIG. 16).

[0046]

The polypeptide variants described herein exhibit detectable fluorescence, suitably the fluorescence is within the red portion of the spectrum. By “detectable fluorescence” it is meant that the fluorescence at least partially overlaps the emission spectra of wild-type DsRed and is distinguishable over background. As indicated below, several of the variant DsRed polypeptides disclosed have maximal excitation and emission spectra that are shifted relative to the excitation and emission spectra of wild-type DsRed. Fluorescence may be detected by any suitable means including those known to persons of skill in the art, including, but not limited to, microscopy, spectroscopy, fluorescence activated cell sorting analysis (FACS).

[0047]

Variant DsRed polypeptides having increased expression relative to wild-type DsRed are disclosed. Increased expression is suitably observed in any cell type including, but not limited to bacterial cells, plant cells and animal cells. Suitable animal cells include mammalian cells such as mouse cells or human cells. Suitably increased bacterial expression relative to wild-type DsRed is observed. Increased bacterial expression may be measured by any suitable method, such as those methods known to persons of skill in the art and includes, but is not limited to, the methods used in Example 2 below. Increased bacterial expression indicates that bacterial expression of the variant is increased by at least 10%, at least 20%, at least 30%, at least 40%, at least 50%, at least 60%, at least 70% or more above expression of the sequence from which the variant was derived or the wild-type DsRed. Bacterial expression may be increased by 2 fold, 5 fold, 10 fold, 15 fold, 20 fold or more in variants as compared to the sequence from which the variant was derived or wild-type DsRed. Several mutations resulted in increased bacterial expression. The first was a silent mutation at position 3 in the context of at least one of two other amino acid substitutions at position 2 and 4. The amino acid substitutions incorporated were A2D, S3SAGC, and S4T. Alternatively, DsRed variants with amino acid substitutions A2D, S3N, and S4T also had increased bacterial expression. Two other silent mutations were also found to increase bacterial expression. The first is at amino acid position 164 in which the alanine is encoded by the nucleotide codon GCG in the variant polynucleotide to increase expression. In addition, when amino acid position 179 is encoded by the nucleotide codon TCA in the polynucleotide, mammalian expression of the variant polypeptide is increased.

[0048]

Variant DsRed polypeptides having reduced aggregation are also disclosed. Reduced aggregation indicates that the variant DsRed has reduced interaction between the exposed surfaces of one polypeptide with another. Reduced aggregation in variant DsRed polypeptides that form tetramers means that the tetramers are less likely to form higher order aggregates. Reduced aggregation in variant monomer DsRed polypeptides means that the monomers are less likely to form dimers, tetramers or other higher order aggregates. The tendency of DsRed variants to aggregate may be measured by any suitable assay including those known to persons of skill in art. In the Examples, methods of assessing aggregation in tetramers and monomers are disclosed. The variants with reduced aggregation show less than about 90%, less than about 80%, less than about 70%, less than about 60%, less than about 50%, less than about 40%, less than about 30%, less than about 25%, less than about 20%, less than about 15%, less than about 10%, or less than about 5% of the aggregation shown by its corresponding aggregating analogue under the same conditions.

[0049]

The following amino acid substitutions were identified as reducing aggregation in the tetramer either singly or in combinations: D6N, E10P, R17H, R36K, K47Q, K121H, M141L, D169G, Q188K, I210V, or L225Q. These amino acid substitutions also reduce aggregation of monomers of DsRed. Several of these amino acid substitutions are already present in DsRed.M1. In particular, the amino acid substitutions E10P and Q188K are each independently capable of reducing aggregation as compared to the corresponding polypeptide lacking the substitution. The following amino acid substitutions were identified as reducing aggregation in the monomer: L85Q, S96T, N98T, D115G, G116D, D128N, D128K, E160D, S162N, D176N, and K198E. In particular, the combination of D115G and G116D reduces aggregation. The amino acid substitutions E160D and S162N were also shown in the Examples to reduce aggregation. In addition, the amino acid substitutions W58Y and I29V in combination may also reduce aggregation.

[0050]

Variant DsRed polypeptides having increased brightness are also disclosed. Increased brightness is a generic term and includes optimization of the excitation spectra, increasing the molar extinction coefficient and/or increasing the quantum yield. Brightness may be measured by any suitable means including those known to persons of skill in the art. Brightness was measured using several assays in the Examples. Brightness may be increased by 2 fold, 5 fold, 10 fold, 15 fold, 20 fold, 25 fold or more in the variants as compared to the corresponding analogue under the same conditions.

[0051]

The following amino acid substitutions were identified as increasing brightness in the tetramer: Q66M, V73T, V175C and G219A. The following amino acid substitutions were identified as increasing brightness in the monomer: D6N, R17Y, A44V, Q66M, V73A, V73S, V73T, H75R, M83L, M83F, D115G, G116D, K121H, F124V, M141L, L150M, H163M, K168E, D169G, T174N, F177V, S197I, N203S, Q213L, A217S, Notably, several of these substitutions were identified above as reducing aggregation as well. These amino acid substitutions identified as increasing brightness in the monomer are likely to have a similar effect in tetramers and vice versa due to the conserved nature of the chromophore in the monomer and tetramer.

[0052]

Several other amino acid substitutions that improve the functionality of the variant DsRed polypeptides are also disclosed. T217A and T217S provide stability. K83 can be substituted with any large hydrophobic amino acid and is needed to stabilize the monomer. Q213L and M66T are blue-shifting substitutions and could be used to produce an orange fluorescent protein that is photostable.

[0053]

The amino acid substitutions indicated above are all exemplified in the Examples below. Those of skill in the art will appreciate that other amino acids similar to the substituted amino acids could be used at the amino acid positions indicated above and that those substitutions would be expected to have a similar effect on the resulting DsRed protein. For example, if a hydrophobic amino acid was substituted with a hydrophilic amino acid and demonstrated to reduce aggregation of the resulting protein, then one of skill in the art would expect that substitution with a different hydrophilic amino acid would also result in reduced aggregation.

[0054]

The variant polypeptides provided herein are variants of wild-type DsRed and the previously characterized DsRed mutant proteins including, but not limited to, DsRed.T1, DsRed.T3 and DsRed.M1. Suitably, the variant polypeptides have the characteristics conferred by the mutation (e.g., increased bacterial expression, increased brightness or reduced aggregation) and have at least 60% amino acid identity to the wild-type or previously characterized DsRed proteins. Suitably the percent amino acid identity is at least 65%, at least 70%, at least 75%, at least 80%, at least 85%, at least 90%, or at least 95%. The polynucleotides encoding the polypeptides described herein may have a much lower percent identity due to the degeneracy of the genetic code. As shown in FIG. 16, DsRed proteins comprising a wide variety of amino acid substitutions have been identified and thus those skilled in the art will understand that Dsred proteins tolerate a significant number of substitutions.

[0055]

Methods of using fluorescent proteins and the polynucleotides encoding these proteins are well known to persons of skill in the art. Several methods are described in the Examples. For example, the DsRed variants may be used to monitor expression of the variant polypeptide from a promoter of interest or as part of a fusion protein. The variant polypeptides may be used to monitor the location of the variant within a cell or within an animal. The variant polypeptide may be used to monitor the timing of expression within a cell or animal. Many additional uses are known to persons skilled in the art.

[0056]

Also provided are fusion proteins encoded by the disclosed polynucleotides, which encode variant DsRed polypeptides linked to polynucleotides encoding polypeptides of interest. The polynucleotides are linked in such a way that the resulting proteins are co-expressed as a fusion protein and the polypeptide of interest is tagged with the fluorescent variant DsRed polypeptide. For example, the polynucleotides may be directly linked by a phosphodiester bond or they may be linked via a spacer region which keeps the polynucleotides in frame with each other such that the polypeptides are translated correctly. Fusion proteins may be used for any purpose, including but not limited to those uses currently known to those of skill in the art.

[0057]

The polynucleotides disclosed herein may be used to make constructs in which the polynucleotides are operably connected to a promoter functional in a cell, such that when the construct is introduced into a cell, the polynucleotide is expressed and the variant polypeptides are produced. Also disclosed are cells comprising these polynucleotides and constructs, as well as vectors comprising the constructs. The cells may be prokaryotic cells or eukaryotic cells. Vectors include, but are not limited to, plasmids, viruses, phage, transposons, YACs, and BACs.

[0058]

Also provided are methods of obtaining expression of the variant polypeptides of DsRed by introducing the vectors and constructs comprising the disclosed variants into cells under conditions that permit expression of the variant polypeptide. The vector or construct may contain a polynucleotide encoding a variant polypeptide of DsRed linked to a polypeptide of interest as a fusion protein.

[0059]

All references cited herein are incorporated by reference in their entireties. The following examples are meant only to be illustrative and are not meant as limitations on the scope of the invention or of the appended claims.

EXAMPLES

Example 1

Materials and Methods

[0060]

The materials and methods described here were used throughout the following Examples unless otherwise indicated.

Expression Optimization

[0061]

To screen for the optimal codon usage, all synonymous substitutions encoding residues 2-5 (Asp-Ser-Thr-Glu) were varied by annealing two sets of phosphorylated oligonucleotides (5′-CATGGAYTCNACNGARAACGT (SEQ ID NO:12)/5′-TYTCNGTNGARTC (SEQ ID NO:13) and (5′-CATGGAYAGYACNGARAACGT (SEQ ID NO:14)/5′-TYTCNGTNGARTC (SEQ ID NO:15)) subcloned into the DsRed.T3 gene using NcoI and AatII restriction sites. The mutant library was transformed into E. coli strain DH10B and ˜4,000 colonies were screened using the previously described slide projector assay (Cronin and Hampton, 1999 Trends Cell Biol 9:36; Bevis and Glick, 2002 Nat Biotechnol 20:83-87). Briefly, fluorescence excitation was achieved by placing a 520+/−20 nm bandpass filter over the lens of a slide projector, and fluorescence emission was detected visually using laboratory goggles covered with a Kodak Wratten filter #22, which passes wavelengths>550 nm. Screening was performed in bacteria expressing the fluorescent proteins from a modified version of the pQE60 vector (Qiagen, USA) in which the hexahistidine tag coding region was removed in order to avoid any contribution of the tag to expression. The brightest clones were collected and sequenced.

[0062]

To characterize expression, DsRed.T3 variants with sequences at codons 2-4 of GCC/TCC/TCC or GAC/AAC/ACC or GAT/AGC/ACT were transformed into DH10B cells carrying the pREP4 repressor plasmid (Qiagen). Cells were grown in Luria Broth (LB) to OD600 of 0.5-0.6 and then induced with 1 mM isopropyl-β-D-thiogalactosidase (IPTG) for 2 h at 37° C. Translation was inhibited by addition of 30 μg/ml tetracycline and 170 μg/ml chloramphenicol and the proteins were chased for 6 h at 37° C. to allow for complete maturation. Cells density was normalized to OD600 of 1.0 in LB and whole cell fluorescence was measured using a Tecan Safire II Microplate reader (Tecan Grp., Ltd.). Proteins were excited at 550±10 nm and emission was measured at 595±10 nm. Data were normalized to DsRed.T3. Controls for high expression from an exogenous start codon employed the pQE31 vector (Qiagen), which contains an N-terminal hexahistidine tag. Experiments were performed in triplicate.

[0063]

To characterize protein expression, one OD600 unit of each sample was centrifuged and resuspended in 400 μA SDS-polyacrylamide gel electrophoresis loading buffer, boiled for 10 minutes, and centrifuged again at 16,000×g for 5 minutes. 20 μl of supernatant was loaded per lane of an 8-12% polyacrylamide gel. As a control, 0-2 μg of purified hexahistidine-tagged DsRed.T3 was spiked into a lysate from cells containing an empty vector.

PISA Analysis

[0064]

Crystal contacts in WT DsRed and DsRed.T4 crystal structures were examined using Protein interfaces, surfaces and assemblies service (PISA) at European Bioinformatics Institute (http://www.ebi.ac.uk/msd-sry/prot_int/pistart.html) to identify potential aggregation prone residues. Structures with the following PDB Ids were analyzed: 1GGX, 1G7K, 1ZGO, and 2VAE.

Mutagenic Library Construction and Screening

[0065]

Combinatorial libraries for targeted aggregation and brightening screens were built using overlap-extension PCR (Ho et al., 1989 Gene 77:51-59) and DNA shuffling, using primers encoding the desired target substitutions. Error-prone PCR was used to generate libraries with random mutations (Cadwell and Joyce, 1995 in PCR Primer. A Laboratory Manual (eds. Dieffenbach and Dvekster) 583-589 Cold Spring Harbor Laboratory Press).

[0066]

The generated libraries were subcloned using NcoI/NotI into the modified version of pQE60 lacking an N-terminal hexahistine tag. For the aggregation studies, the mutant libraries were transformed into the E. coli strain DH5α. For the brightening screens, libraries were transformed into the E. coli strain DH10B.

[0067]

To assay for decreased aggregation, bacterial colonies expressing DsRed variants were collected into 96-well round-bottom plates containing 175 μl Terrific Broth (TB) or LB. Cultures were grown for 2-4 hrs and induced with 2 mM IPTG for 6-12 hrs, centrifuged, and resuspended in 100 μl BPER II reagent (Pierce, Rockford, Ill.) for 15 min at 37° C. to lyse the cells. Lysates were centrifuged for 5 min at 5,000 rpm and the supernatants were transferred to black 96-well plates. The pellet was then resuspended in 100 μl BPER II and transferred to another black 96-well plate. Fluorescence in each fraction was measured on a Tecan Safire II Microplate reader with 550±10 nm excitation and emission at 595±10 nm emission. The percentage of total fluorescence in the pellet was determined. Approximately 2,000 colonies from the targeted mutants were screened. For the random screen, 30,000 colonies were pre-screened for fluorescence using the slide projector assay (see above) and approximately 3,000 of the fluorescent clones were screened for aggregation.

[0068]

Screens for fluorescence brightness were carried out using the slide projector assay (see above). Approximately 60,000 colonies were screened from the targeted mutant library and approximately 120,000 colonies were screened from the random mutant library.

Purification and Spectral Analysis

[0069]

Hexahistidine tagged DsRed variants were purified from bacteria as previously described. Briefly fluorescent proteins were expressed from the pQE81 vector (Qiagen). Plasmids were transformed into E. coli strain DH10B, grown in 50 ml cultures to OD600 ˜0.6, and induced with 1 mM IPTG for ˜10 h. Cells were lysed in 2 ml BPER II for 15 min at 25° C. Protein was bound to Ni2+-NTA agarose (Novagen), washed and eluted with 750 μl 0.3 M NaCl, 0.3 M imidazole-HCl, pH 7.4, and 0.1% sodium azide. Purified protein was then dialyzed against 50 mM HEPES, pH 7.4, 100 mM NaCl, and 1 mM EDTA in the dark.

[0070]

Corrected excitation and emission spectra of DsRed variants were obtained on a Horiba Fluoromax-3 spectrofluorometer as previously described (Bevis and Glick, 2002 Nat biotechnol 20:83-87; Strongin et al., 2007 Protein Eng Des Sel 20:525-534). Molar extinction coefficients were determined at Absmax using a Spectronic Unicam GENESYS10 UV spectrophotometer. Protein concentrations were determined by amino acid analysis at the Molecular Structure Facility, University of California, Davis. Quantum yields were determined as described (Lakowicz, 1999 Principles of Fluorescence Spectroscopt 2nd Ed Kluwer Academic New York; Baird et al., 2000 PNAS 97:11984-11989) using ethanolic rhodamine 101 as a reference. For quantum yield determination, excitation was at 535 nm and fluorescence emission was integrated from 550-800 nm.

Crystallographic Analysis

[0071]

DsRed-Max hosted in a modified version of pQE31 encoding a TEV cleavage site between the start codon and hexahistine tag was expressed and purified as described above. After elution the protein sample was simultaneously buffer exchanged and concentrated to 12 mg/ml into 5 mM HEPES, pH 8.0, 100 mM NaCl, and 1 mM Tris(2-carboxyethyl)-phosphine hydrochloride (TCEP HCl) for crystallization trials using an Amicon Ultra centrifugal filter device (Millipore Corp., Billerica, Mass.). Protein crystals were grown at room temperature using the hanging drop method by mixing 2 μL1 reservoir solution with 2 μA sample.

[0072]

Diffraction data were indexed using HKL2000, and molecular replacement was carried out using DsRed.T4 (PDB code 2VAE) as a search model in Phaser.

[0000]

Photobleaching Experiments in E. coli

[0073]

Photobleaching experiments were carried out using an AxioPlan 2 light microscope (Carl Zeiss, Inc) with a 100 W mercury arc lamp. Fluorescent proteins were bleached using a 40× (0.75 NA) objective and the Texas Red filter set (Chroma). Before bleaching, DH10B/pREP4 transformed with the fluorescent proteins were grown to an OD600 of ˜0.5 and induced with 2 mM IPTG. After a 2-h induction, translation was inhibited by addition of 30 μg/ml tetracycline and 170 μg/ml chloramphenicol and the proteins were chased for 4 h at 37° C. 1 OD unit of cells were then pelleted and resuspended in 500 μl 0.5% low-melt agarose in phosphate buffered saline (PBS), pre-warmed to 37° C. 1.5 μl of cell-agarose mixture were placed on a glass slide and coverslipped. Cells were continuously illuminated for 10 min and images were collected every 2 sec. Bleaching experiments were carried out in triplicate. Data were analyzed using AxioVision 4.6 software (Carl Zeiss, Inc).

Light-Induced Cell Death

[0074]

To determine phototoxicity, E. coli strain DH10B was transformed with the pQE81 plasmid containing GFP or DsRed variants or a modified version of pQE60 with no hexahistidine tag and no insert. Cells were grown to an OD600 of ˜0.5 and induced with 2 mM IPTG for precisely 4 h. A 1:104 dilution of each culture (OD600 ˜2.0) was made in LB immediately before light treatment yielding solutions with 150-200 cells/μl. For light treatment, a 2 μl drop of cells was added to a coverslip situated in a Petri dish assembly. This assembly included 2 wetted kimwipes to maintain humidity and a lid with a 3-4 mm diameter hole for the microscope objective. Light treated samples were exposed to 15 min of illumination from a 100 W mercury arc lamp passed through either the Texas Red, TRITC, or GFP filter and 5× (0.16 NA) objective on an AxioPlan 2 microscope. Untreated controls were placed on a coverslip in a second Petri dish assembly, but not exposed to fluorescence illumination.

Bacterial Cytotoxicity Assay.

[0075]

Fluorescent proteins in the modified pQE60 vector were transformed into E. coli strain DH10B and the cells were grown for 13 h at 37° C. To enhance colony color, the plates were stored at 4° C. for 2 days before the photo was taken.

Hematopoietic Stem and Progenitor Cell Growth Assay

[0076]

This assay was carried out essentially as described (Tao et al. 2007 Stem Cells 25:670-678). Briefly, murine stem cell virus-based bicistronic retroviral constructs encoding EGFP, DsRed-Express, or DsRed-Express2 were transfected into the Phoenix-Eco packaging cell line to make ecotropic retroviral vectors. Low-density bone marrow mononuclear cells isolated from 8- to 12-week-old female C57BL/6J mice were cultured for 2 days with a cytokine cocktail (100 ng/ml murine stem cell factor, 100 ng/ml murine FLT3-ligand, and 100 ng/ml murine thrombopoietin) and then transduced with the retroviral vectors. At 87 h after transduction, the cells were sorted by flow cytometry. For each fluorescent protein, three wells with 20,000 fluorescent cells each were cultured in the presence of the cytokine cocktail. At selected time points, an aliquot from each well was analyzed by flow cytometry to determine total cell number and the percentage of fluorescent cells.

Example 2

Enhancement of Bacterial Expression

[0077]

WT DsRed expresses poorly when translated from its endogenous start codon in prokaryotic cells. Previous work showed that mutating amino acids near the start codon could increase protein expression in bacteria. The S4T substitution was expanded upon to add A2D and S3N substitutions for maximal expression. However, the N3S reversion was selected in a screen to identify variants with increased solubility (see below).

[0078]

In order to maintain both elevated protein expression due to suppression of mRNA secondary structure and protein solubility, a screen was performed in which all synonymous mutations were made in the codons corresponding to Asp2, Ser3, Thr4, and Glu5 in the fast maturing tetramer, DsRed.T3. Screening for the brightest variants using the slide projector assay as described above revealed the optimized sequence GAT/AGC/ACT/GAG (SEQ ID NO:16). To quantitate the observed increase in brightness, the fluorescence from bacterial cells expressing DsRed.T3, DsRed.T3-A2D/S3N/S4T (DsRed.T3-DNT), and DsRed.T3-A2DGAT/SerAGC3/S4TACT (DsRed.T3-DST) was measured. DsRed.T3-DST yielded slightly brighter fluorescence than DsRed.T3-DNT and a 15-fold increase in fluorescence relative to DsRed.T3 (FIG. 1A).

[0079]

To demonstrate that the increase in fluorescence was due to increased protein expression rather than to a change in the intrinsic fluorescence of DsRed.T3, the DsRed protein concentration in the same samples used in the whole-cell fluorescence measurements was examined by Coomassie staining of an SDS-PAGE gel (FIG. 1B). As predicted, there is a large increase in the intensity of the band corresponding to DsRed, suggesting the 15-fold increased brightness observed with DsRed.T3-DST is due to increased protein expression relative to DsRed.T3.

Example 3

Modification of Surface Residues

[0080]

Wild-type DsRed forms aggregates when expressed in cells. Eliminating a cluster of basic residues at the amino terminus decreased but did not eliminate this higher-order aggregation in the fast maturing tetramers. Recent work showed that expression of DsRed.T1 caused cytotoxicity in mouse hematopoietic stem cells (HSC). Because protein aggregation is thought to be responsible for several human diseases, we reasoned that the cytotoxicity in HSC might be the result of DsRed.T1 aggregation. We therefore modified the surface of the fast maturing tetramers to eliminate higher order aggregation. Both site-directed and random mutagenesis were performed and mutant variants were screened with a quantitative assay to measure aggregation.

[0081]

This “aggregation assay” is a modification of the one used by Bevis and Glick (2002 Nat Biotechnol 20:83-87) to reduce higher order aggregation during the engineering of the fast-maturing variants. Briefly, bacterial cells grown in 96-well plates were made to over-express a fluorescent protein. These cells were then lysed, separated into supernatant and pellet fractions, and fluorescence associated with each fraction was determined. Aggregating fluorescent proteins associate with the pellet. A detailed description of this assay as well as details of the screens described below can be found in Example 1. Using this assay, 45% of the DsRed.T3 fluorescence was in the pellet, whereas EGFP has only 3-6% of its fluorescence in the pellet (FIG. 2).

Engineering of DsRed-Express2

[0082]

DsRed-Express was modified in an effort to reduce the higher-order aggregation (DsRed.T1). As a preliminary step, amino acids 2-4 were modified to boost expression in E. coli (see above). Ten additional substitutions were introduced to stabilize the protein and eliminate potentially interactive surface residues (Table 1). The Round 1 variant showed a small but reproducible decrease in aggregation in the bacterial extraction assay.

[0000]

Residues differing from DsRed.T3
Round 1A2D, S3N, S4T, D6N, R36K, K47Q, C117T, K121H, M141L, K168E,
D169G, I210V, G219A, L225Q
Round 2A2D, S3N, S4T, D6N, E10P, R17H, R36K, K47Q, C117T, K121H,
M141L, K168E, D169G, Q188K, I210V, G219A, L225Q
Round 3A2D, S4T, D6N, E10P, R17H, R36K, K47Q, C117T, K121H, M141L,
D169G, Q188K, I210V, G219A, L225Q
DsRed-Express2A2D, S4T, D6N, E10P, R17H, R36K, K47Q, C117T, K121H, M141L,
D169G, Q188K, I210V, T217A, G219A, L225Q
DsRed-MaxA2D, S4T, D6N, E10P, R17H, R36K, K47Q, Q66M, V73T, C117T,
K121H, M141L, D169G, V175C, Q188K, I210V, G219A, L225Q
Residues differing from DsRed-Express
DsRed-Express2A2D, S4T, D6N, E10P, R17H, R36K, K47Q, S117T, K121H, M141L,
A145P, D169G, Q188K, I210V, G219A, L225Q
DsRed-MaxA2D, S4T, D6N, E10P, R17H, R36K, K47Q, Q66M, V73T, S117T,
K121H, M141L, A145P, D169G, V175C, Q188K, I210V, A217T,
G219A, L225Q
aThe initial optimization started with DsRed.T3 rather than DsRed-Express because DsRed.T3 is the brightest of the rapidly maturing DsRed tetramers. Based on subsequent analysis, we mutated the interior of the improved protein to match that of DsRed-Express.

[0083]

To identify additional residues that promote aggregation, we reasoned that inter-tetramer interactions might be visible in the high-concentration environment of a protein crystal. Packing interactions in published DsRed crystal structures (See Strongin et al. 2007 Protein Eng Des Sel 20:525-534) were analyzed with the Protein Interfaces, Surfaces and Assemblies (PISA) server as described above. Certain residues were consistently found to make inter-tetramer contacts. An example of a candidate residue is Gln188, which makes a symmetric hydrogen bond to the Gly155 backbone on the contacting molecule. If a lysine were substituted at position 188, the crystal contact might then be disrupted by a charge-charge-repulsion. Sixteen residues identified using PISA (Table 2) were mutagenized combinatorially with Round 1 as the template. The substitutions E10P, R17H, and Q188K reduced aggregation. These three substitutions were combined to create the Round 2 variant, which had ˜15% of its fluorescence in the pellet.

[0000]

Residues targeted from crystal packing analysis
Wild-typeOther aminoDsRed-Express2
Residueamino acidacids testedaamino acid
 9KAK
 10EPP
 13RQR
 17RH, YH
 29bIVI
 58bWF, YW
 77AEA
 85LQL
115DGD
116GDG
166KE, L, TK
188QE, KK
198KE, S, TK
203SK, E, DS
206EA, SE
209TST
aThe amino acids tested were chosen based on the physical properties of the side chains and homology alignments with other fluorescent proteins. The wild-type residue was also tested in all cases.
bResidues 29 and 58 are internal, but seem to be important for creating a prominent cleft in the protein.

[0084]

Round 2 was then subjected to random mutagenesis followed by screening with the bacterial extraction assay. This screen led to the substitutions N3S and E168K, both of which reverted mutations that had been introduced into Round 1. The resulting variant was termed DsRed-Express2. Compared to DsRed-Express, DsRed-Express2 showed almost identical brightness and photostability, marginally slower maturation, and less contaminating blue absorbance and green emission (Table 3, FIGS. 3 and 4).

[0000]

Properties of red fluorescent proteins
Excitation/EmissionExtinctionQuantumRelativeMaturationPhotobleaching
Variantmaximacoefficientyieldbrightnessahalf-time (h)half-time (s)b
Wild-type DsRedc558/58351,5000.71111
DsRed-Express554/58633,8000.440.410.671 ± 3
TurboRFPd550/5731.532 ± 1
Katushka584/63176,3000.320.670.615 ± 1
RFP611555/606109,7000.61.82.7 7 ± 2
DsRed-Monomere557/59227,3000.140.101.315 ± 1
mCherryf585/60966,4000.230.420.618 ± 1
tdTomatof553/58185,7000.691.62.0 5 ± 1
TagRFP554/58277,0000.470.981.5 8 ± 4
TagRFP-S158T554/58467,8000.400.731.620 ± 2
mKate584/63245,5000.330.411.315 ± 2
mKO2549/56354,3000.821.21.8 5 ± 1
DsRed-Express2554/59135,6000.420.410.764 ± 4
DsRed-Max560/58948,0000.410.541.2 9 ± 1
Unless otherwise indicated, all measurements were obtained during the present study using standardized procedures.
aBrightness was calculated as the product of extinction coefficient and quantum yield, and was normalized to a value of 1 for wild-type DsRed.
bPhotobleaching half-times during widefield illumination are listed as mean ± s.e.m. for three independent experiments.
cThe maturation rate of wild-type DsRed was taken from Bevis and Glick 2002 Nat Biotechnol 20: 83-87. Photobleaching of wild-type DsRed in vivo could not be reliably measured due to slow maturation.
dBecause TurboRFP showed very poor solubility during extraction from bacteria, we were unable to perform brightness measurements for this protein.
eFor DsRed-Monomer, all of the data except the photobleaching half-time were taken from Strongin et al. 2007 Protein Eng Des Sel 20: 525-534.
fThe initial report describing mCherry and tdTomato listed substantially faster maturation rates (Shaner et al. 2005 Nat Biotechnol 22: 1567-1572. Our measurement for mCherry is more consistent with a subsequent paper (Merzylak et al. 2007 nat Methods 4: 555-557.

Example 4

Modification of Chromophore Facing Residues

[0085]

DsRed-Express2 is less bright than wild-type DsRed (Table 3). The Q66M substitution has been shown to decrease or eliminate the proportion of chromophores exhibiting 480 nm absorbance and/or green fluorescence. This “green” chromophore species has been estimated to represent 40-60% of the WT DsRed chromophores and that percentage is increased in the fast-maturing variants. Therefore, introduction of the Q66M substitution increases the molar extinction coefficient by increasing the proportion of 558 nm absorbing “red” chromophores. Targeted mutagenesis of key residues led to the brighter variant DsRed-Max, which contained the substitutions Q66M, V73T, and V175C. Unfortunately, the Q66M substitution rendered DsRed-Max much less photostable than DsRed-Express2 during widefield imaging, although this problem was less pronounced during confocal imaging (Table 3 and FIG. 4). DsRed-Max is vividly colored, making it useful as a marker for directly visualizing labeled cells. DsRed-Max is an optimized DsRed.T3 variant containing the expression and solubility optimizing substitutions (Ala2AspGAT, Ser3SerAGC, Ser4ThrACT, Glu10Pro, Arg17His, Gln188Lys) and brightness optimized substitutions (Gln66Met, Val73Thr, Val175Cys) (Table 1). DsRed-Max, is ˜30% brighter than DsRed-Express2. Compared to DsRed-Express2, DsRed-Max has even lower green emission (FIG. 3), but is slower to mature and more photolabile (FIG. 4 and Table 3). DsRed-Max should be useful when brightness and/or pure red emission are of paramount importance.

Example 5

Crystallization of DsRed-Max

[0086]

A DsRed variant with reduced aggregation might be expected to show fewer crystal contacts. This prediction was confirmed by solving a crystal structure of DsRed-Max to 2.4 Å resolution (Table 4). When compared to the previously analyzed crystals of wild-type DsRed and DsRed.T4, the DsRed-Max crystal showed a higher solvent content and about a 50% decrease in surface area of inter-tetramer contacts (Table 5). Table 6 shows the amino acid substitutions in DsRed-Max and DsRed-Express2.

[0000]

Data collection
Space groupP21212
Unit cell dimensionsa = 115.5, b = 122.6,
c = 164.9 Å
α = β = γ = 90.0°
Molecules per asymmetric unit8
X-ray sourceAPS 14-BM-C
Wavelength (Å)0.900
Resolution range (Å)50-2.40
(2.49-2.40)
Total/unique observations597,626/91,172
Completeness (%)98.0 (84.8)a
<I/sigl>14.3 (2.2)
Rsym (%)14.2 (61.4)
Refinement and model statistics
Rcryst (%)22.3
Rfree (%)27.1
Non-hydrogen atoms (solvent)14,710 (491)
Average B-factor (Å2)35.3
RMS Bond lengths (Å)0.011
RMS Bond angles (°)1.4
aValues in parentheses are for the high-resolution shell.

[0000]

Protein crystal statistics for DsRed tetramers
Protein (PDB code)Solvent content (%)Buried surface area (Å2)a
Wild-type DsRed354,900
(1ZGO)
Wild-type DsRed392,900
(1G7K)
Wild-type DsRed383,500
(1GGX)
DsRed.T4 (2VAE)473,400b
DsRed-Max (2V4E)581,700 b
aFor a given tetramer, the total buried surface area of inter-tetramer interfaces was calculated from PISA analysis as the sum of all packing interfaces larger than 100 Å2. Intra-tetramer interfaces were excluded.
bThe average buried surface area per tetramer is listed for structures with two tetramers per asymmetric unit.

[0000]

Amino acid substitutions in the new tetrameric variants
PositionDsRed.T3DsRed-MaxDsRed-Express2
2AlaAspGATAspGAT
3SerTCCSerAGCSerAGC
4SerThrACTThrACT
6AspAsnAsn
10GluProPro
17ArgHisHis
36ArgLysLys
47LysGlnGln
66GlnMetGln
73ValThrVal
117CysThrThr
121LysHisHis
141MetLeuLeu
169AspGlyGly
175ValCysVal
188GlnLysLys
210IleValVal
217ThrThrAla
219GlyAlaAla
225LeuGlnGln
The amino acids present at potentially substituted positions are listed for DsRed-Max and DsRed-Express2. Substitutions relative to DsRed.T3 are highlighted in bold. Superscripts following an amino acid indicate the codon used if different than the Clontech, human optimized codon.

Example 6

Cytotoxicity in Bacteria

[0087]

The surface of the fast-maturing DsRed tetramers was modified in an attempt to decrease the toxicity of these proteins to cells. To test the hypothesis that the new variants with increased solubility are also less cytotoxic, DsRed.T1 modified with DST to normalize expression, the monomeric DsRed variant called mCherry (Shaner et al., 2005 Nat Biotechnol 22: 1567-1572), and DsRed-Express2 (tRed-Stable) were constitutively over-expressed in E. coli and the colony sizes of these strains were compared (FIG. 5). Bacteria expressing DsRed-Express2 had the largest colonies suggesting that DsRed-Express2 exhibited the least cytotoxicity. Bacterial cells expressing DsRed-Max had the same sized colonies as those expressing DsRed-Express2.

Example 7

HeLa Cell Cytotoxicity and Growth Assays

[0088]

To assess cytotoxicity in HeLa cells, we expressed fluorescent proteins by transient transfection with a standard plasmid containing the strong CMV promoter. Viable fluorescent cells were analyzed by flow cytometry at daily intervals after transfection. For mEGFP, average cellular fluorescence remained nearly constant from 24 h to 120 h (FIG. 6a). By contrast, all of the red fluorescent proteins showed progressive declines in average fluorescence (FIG. 6a) due to preferential loss of the most highly expressing cells (FIG. 7). Expression of red fluorescent proteins caused many cells to detach from the growth surface, further indicating cytotoxicity.

[0089]

For transient transfection assays, the fluorescent protein genes were subcloned into pDsRed1-N1 (Clontech). Identical wells of HeLa cells at ˜50% confluence were transfected using Lipofectamine 2000 (Invitrogen). At intervals of 24 h after transfection, three wells for each fluorescent protein were analyzed with an LSR II flow cytometer (BD Biosciences), using either a 488-nm laser for mEGFP or a 543-nm laser for the red fluorescent proteins. Between 20-50% of the viable cells were detectably fluorescent at 24 h after transfection. Data were processed using FlowJo software (Treestar Inc.).

[0090]

For lentiviral expression assays, HeLa cells expressing the desired fluorescent protein were generated by lentiviral gene transfer using the Lenti-X HT Packaging System with associated vectors (Clontech). A fluorescent protein gene with a Kozak sequence upstream of the start codon was subcloned into pLVX-DsRed-Monomer between BamHI and NotI. pLVX-Puro was used as a no-insert control. To generate viral particles, HEK 293T/17 cells (ATCC No. CRL-11268) in a 10-cm dish at 50% confluence were transfected with ˜6 μg of the appropriate vector. Viral particles were collected 48-72 h post-transfection and frozen in aliquots at −80° C. Viral particle concentration was determined using the QuickTiter Lentivirus Quantitation Kit (Cell Biolabs). HeLa cells at 50% confluence in a 10-cm dish were transduced by adding 3.5×1010 viral particles to the medium together with polybrene (4 μg/ml final concentration). The medium was changed after 24 h, and cells were grown in the absence of drug selection. Viable fluorescent cells were analyzed at 3 or 10 days post-transduction using an LSR II flow cytometer (BD Biosciences) with 488-nm excitation and a FITC (525/15 nm) filter (green fluorescence) or 543-nm excitation and a PE (585/15 nm) filter (red fluorescence).

[0091]

To measure the growth of cells expressing a given fluorescent protein after lentiviral transduction, 3000 fluorescent HeLa cells were cultured in each of 12 wells in a 96-well plate. On Days 1, 2, 3, and 4, cells from three wells were trypsinized and counted with a hemocytometer. As a control, viable cells were cultured and counted after transduction with lentiviral particles generated using pLVX-Puro.

[0092]

Transiently transfected HeLa cells expressing DsRed-Express2 or DsRed-Max maintained nearly constant average fluorescence (FIG. 6d), and the highly expressing cells remained viable (FIG. 7). Thus, with both bacterial and mammalian plasmid expression vectors, DsRed-Express2 and DsRed-Max are tolerated better than any of the other red fluorescent proteins tested.

Example 8

Retroviral Transduction

[0093]

For mammalian cells, an alternative to plasmid-based expression is retroviral transduction, which yields long-term expression at moderately high levels. We used a commercial lentiviral system to compare DsRed-Express2 with five other red fluorescent proteins plus mEGFP. HeLa cells were transduced using the same lentiviral titer for each fluorescent protein, and then viable fluorescent cells were analyzed by flow cytometry after 3 or 10 days. At Day 3, the fluorescence signal over background was stronger for DsRed-Express2 than for any other red fluorescent protein (FIG. 8a). At Day 10, the average fluorescence intensity was nearly unchanged for mEGFP and DsRed-Express2, but had dropped substantially for the other fluorescent proteins, presumably due to loss of the most highly expressing cells. This interpretation was supported by counting the percentage of viable cells that were fluorescent. Between Day 3 and Day 10, this percentage was nearly unchanged for mEGFP and DsRed-Express2, but dropped substantially for the other fluorescent proteins (FIG. 8b). Even at Day 3, relatively few fluorescent cells were observed with DsRed-Monomer, TagRFP, and TurboRFP, possibly reflecting cytotoxicity at early stages of expression. In a separate experiment, lentivirally transduced HeLa cells containing DsRed-Express showed a lag in growth compared to cells containing DsRed-Express2 or mEGFP (FIG. 8c). Our data confirm that with standard cell culture expression vectors, fluorescent protein cytotoxicity is an important problem that can be overcome by using DsRed-Express2.

Example 9

Cytotoxicity in Murine Hematopoietic Stem Cells (HSC)

[0094]

In a previous report murine HSC expressing EGFP or DsRed.T1 were transplanted into mice, and while EGFP expressing cells continued to grow over time, the DsRed.T1 expressing cells were lost from the population. Similarly, when a mixed population of HSC expressing EGFP or DsRed.T1 were co-plated and challenged in an in vitro competition assay under culture conditions promoting the preservation and growth of stem and primitive progenitor cells, EGFP positive cells grew robustly while DsRed.T1 expressing cells did not.

[0095]

Here, murine bone marrow cells were retrovirally transduced with DsRed-Express, DsRed-Express2, or EGFP. Viable fluorescent cells were collected by flow cytometry at 87 h post-transduction (Day 0), and then individual cultures were started with 20,000 cells. For each culture we recorded the total cell number and the number of fluorescent cells after 3, 6, and 10 days. At Day 0, the cells containing DsRed-Express2 were more abundant, and were on average twice as bright as those containing DsRed-Express (FIG. 9a). The cells containing DsRed-Express2 proliferated to the same degree as those containing EGFP, but the cells containing DsRed-Express proliferated much less (FIG. 9b). These data are similar to the results with HeLa cells. We conclude that DsRed-Express2 is minimally cytotoxic in a variety of cell types.

Example 10

Phototoxicity

[0096]

Excitation of fluorescent proteins in vivo can cause phototoxicity. To quantify this effect, E. coli cells expressing a fluorescent protein were illuminated for 15 min with an epifluorescence microscope using a low-power objective, and the percent survival was measured relative to a non-illuminated sample. When the excitation light was passed through a Texas Red (535-585 nm) filter, no phototoxicity was seen with control cells containing an empty vector, but some cytotoxicity was seen with DsRed-Express (78% survival), DsRed-Monomer (71% survival), DsRed-Express2 (81% survival), and DsRed-Max (75% survival) (FIG. 10a). A direct comparison with green fluorescent proteins is difficult, but the phototoxicity of variants such as DsRed-Express2 appears to be similar to that of EGFP (FIG. 10a). mCherry was considerably more phototoxic (7% survival). The greater phototoxicity of mCherry was not due to higher protein expression, nor was it due to stronger excitation because similar results were obtained with a TRITC (530-560 nm) filter (FIG. 10b), which should give more efficient excitation of the non-red-shifted DsRed variants than of the red-shifted mCherry.

[0097]

To test phototoxicity in a eukaryotic system, we labeled the yeast Saccharomyces cerevisiae by using the constitutive TPI1 promoter to drive expression of nuclear-localized DsRed-Express, or DsRed-Express2, or mCherry. Nuclear localization enhanced fluorescent protein phototoxicity, presumably by facilitating DNA damage. Relatively low phototoxicity was seen with DsRed-Express (81% survival) and DsRed-Express2 (91% survival), whereas mCherry showed higher phototoxicity (47% survival) (FIG. 10c). The combined data imply that phototoxicity is of practical importance and that DsRed-Express2 is a good choice in this regard.

Example 11

Homology Guided Mutagenesis

[0098]

We devised a method to efficiently screen amino acid variation at several positions, which we term homology guided mutagenesis. The principle of this method is that if all 20 amino acids were screened in combination at multiple positions, the mutagenic library would be too diverse to comprehensively screen. If however the number of amino acids at each of those multiple positions were reduced, the mutagenic library could be comprehensively screened. We reduce the diversity at any given position by only including those amino acids that are favored in the evolutionary history of fluorescent proteins, i.e. DsRed homologues. We therefore assume that the evolutionary process has eliminated unfavorable amino acid substitutions and retained those substitutions that are either neutral or beneficial. Generally the homology guided mutagenesis strategy presents a diversity of 2-5 amino acids at a given position eliminating the need to screen 20 amino acids at every position.

Example 12

Brightening DsRed.M1

[0099]

The initial goal was to make DsRed.M1 brighter by increasing the molar extinction coefficient and quantum yield. The homology guided approach was used and several screens performed with the goal of further stabilizing the surface of DsRed.M1 and introducing novel intramolecular interactions. These screens divided the surface of DsRed into distinct regions of adjacent residues and introduced variability at those positions with only limited overlap between the regions. For instance the “surface cluster #1” screen targeted Lys158, Ser162, Asp176, and Lys178. The “surface cluster #2” screen targeted Glu30, Glu32, Lys45, and Gln47. The “charge cluster” screen also targeted Glu30, but in combination with Gln13, Arg17, and Lys121. The “loops” screen targeted Asp115, Gly116, and Met141, Lys168, and Asp169. To address the question of whether the DsRed had been over mutagenized, a “reversion” screen was performed to test reversions at many of the positions mutated in earlier screens, including some positions leading to DsRed.M1.

[0100]

Application of the homology guided approach reduced the diversity present in these mutagenic libraries substantially. For example, the “surface cluster #1” screen had the most complexity of the above screens with 576 possible combinations in the mutagenic library. However, if the four targeted residues had been randomized there would have been 160,000 possible combinations. To screen a 576 combination library with five-fold over-sampling, two Petri plates with approximately 2,000 bacterial colonies each needed to be screened using the slide projector assay. It took five to ten minutes to screen these plates. By contrast, a 160,000 combination library with the same degree of over-sampling would require at least 30 hours to screen 400 Petri plates.

[0101]

The above screens as well as many subsequent attempts at combining their various substitutions resulted in a variant called DsRed.M1*, which contains additional amino acid substitutions as follows: D6N, K121H, M141L, K168E, and D169G. Interestingly, the “reversion” screen indicated that none of the substitutions tested should be reverted to their WT amino acid.

Example 13

The Funnel Screen

[0102]

Fourteen residues surrounding the chromophore were mutated in combination with one another in an attempt to significantly increase brightness in a single step. Once again, the homology guided approach was essential. Randomization of each of the fourteen positions would result in 1.6×1018 combinations in the library, but because we minimized the library using homology as a guide there were only 3×106 combinations. Unfortunately though, 3×106 combinations were still too many to screen, so another trick was needed to make the screen possible. The solution was to do the screen in two parts. In the first half of the screen, approximately half of the positions were mutated. Instead of applying a stringent selection, all colonies that exhibited any fluorescence were selected into the wells of a 96-well plate. Those cells were grown to saturation, and DNA was prepared from a mixture of each well. This first round library then became the template for the second half of the screen in which the remaining residues were mutated. The second round variants were also screened with the slide projector assay and a stringent selection was applied to choose the brightest clones (FIG. 11). Because this screen collects the diversity from a large library and funnels it into reasonably sized groupings, it was named the “funnel” screen. The variants collected from the first round screen all retained some fluorescence and those that did not fluoresce at all were not collected. Therefore, one caveat to the “funnel” screen is that it assumes the evolutionary path towards “ultimate” brightness always goes through a fluorescent intermediate. Based on our experience, we believe this to be a reasonable assumption. Further, dim variants were collected, so although we assume that there is never a non-fluorescent intermediate, we did not assume that each evolutionary step improves brightness.

[0103]

In the first half of the screen Ala44, Ser62, Gln66, Met83, His163, Ser197, Leu199, Gln213, and Ala217 were mutated. The library had a diversity of 10,368 combinations. Approximately 50,000 colonies were screened with the slide projector assay and 1,000 clones were collected, representing approximately 2% of the library, into the 96-well plates. This library was used as the template into which mutations at Phe91, Gln109, Phe124, Leu150, and Phe177 were added. The combined diversity was then 288 new combinations added to the approximately 200 combinations in the first round library for a total diversity of approximately 60,000 combinations in the second round. We screened 150,000 colonies from that library and selected the 59 brightest, which were then re-screened. Finally, the 14 brightest colonies were selected and sequenced (FIG. 11).

[0104]

During the screening process many of the colonies exhibited a much deeper red fluorescence than usual, so these were collected and purified. These colonies contained DsRed variants with far-red fluorescence spectra and were therefore an important discovery. A bright far-red fluorescent protein is highly desirable because of further decreased light scattering in tissues and even lower phototoxicity compared to red fluorescent proteins (Shcherbo et al. 2007 Nat Methods 4: 741-746). We therefore used the far-red color variant as the base construct for further mutagenesis including solubility optimization (see below). However, proteins with DsRed-like spectra are also desirable because their spectra align well with common laser lines and because they can be FRET acceptors for GFP. In order to create an optimized variant with DsRed-like excitation and emission spectra, we mutagenized the optimized far-red variant and screened for new variants with wild-type like spectra. During the funnel screen we also identified a variant with spectra intermediate between WT-DsRed and the far red variant. These color variants with greatly improved brightness compared to DsRed.M1 were named mRed-xxx where xxx represents the approximate excitation maximum in nanometers, e.g. mRed-555, mRed-580 and mRed-595. mRed-555 is twice as bright as DsRed.M1. Both mRed-580 and mRed-595 are four times as bright as DsRed.M1, and better than mCherry (FIG. 12/Table 7). mRed-595 was further enhanced to create mRed(sol)-595 (below), and blue shifted to create mRed(sol)-560 (below).

[0105]

mRed-595 contains the following brightening and spectral shifting substitutions relative to DsRed.M1: D6N, R17Y, A44V, Q66M, M83F, D115G, G116D, K121H, A141L, L150M, H163M, K168E, D169G, T174N, F177V, S197I, N203S, and A217S (Table 7).

[0106]

mRed-580 contains the following brightening and spectral shifting substitutions relative to DsRed.M1: D6N, R17Y, Q66M, M83L, D115G, G116D, K121H, F124V, A141L, L150M, H163M, K168E, D169G, T174N, F177V, S197I, N203S, and Q213L (Table 7).

[0107]

mRed-555 contains the following brightening substitutions relative to DsRed.M1: D6N, R17Y, Q66M, M83L, D115G, G116D, K121H, M141L, K168E, D169G, N203S and A217S. His163 was substituted with methionine in many of the isolates but ultimately His 163 remained unchanged in mRed-555 (Table 7).

[0000]

Amino acid substitutions in the mRed variants
ResidueDsRed.M1mRed-555mRed-580mRed-595
6AspAsnAsnAsn
17ArgTyrTyrTyr
44AlaAlaAlaVal
66GlnMetMetMet
83MetLeuLeuPhe
115AspGlyGlyGly
116GlyAspAspAsp
121LysHisHisHis
124PhePheValPhe
141AlaLeuLeuLeu
150LeuLeuMetMet
163HisHisMetMet
168LysGluGluGlu
169AspGlyGlyGly
174ThrAsnAsnAsn
177PhePheValVal
197SerSerIleIle
203AsnSerSerSer
213GlnGlnLeuGln
217AlaSerAlaSer
The amino acids present at potentially substituted positions are listed for mRed-555, mRed-580, and mRed-595. Substitutions relative to DsRed.M1 are highlighted in bold.

[0000]

Summary of mRed spectral and biophysical properties
EmissionMolar
ExcitationMaxExtinctionQuantumRelative
ProteinMax (nm)(nm)CoefficientYieldBrightness
WT55858358,0000.681.00
DsRed
DsRed.M155959225,2000.170.11
mRed-55555458873,7000.120.22
mRed-58058060548,8000.360.44
mRed-59559461752,2000.310.41

Example 14

Effects of Select Substitutions

[0108]

The Q66M mutation eliminates most of the green chromophore species and thereby increases the molar extinction coefficient. Interestingly, the F177V substitution reintroduces this green species. However, the F177V substitution also increases the quantum yield. The increase in quantum yield is greater than the decrease in molar extinction coefficient, so F177V contributes a net increase to brightness.

[0109]

Q213L is another interesting substitution which is only present in mRed-580. When this residue is reverted to leucine, the mRed-580 spectra red-shift. In other words, this is a blue shifting substitution. We and others have identified very few blue-shifting substitutions in DsRed and it is potentially interesting because there is no fast maturing and photostable, true orange monmeric fluorescent protein. Y193H was identified during the development of DsRed.M1 because it brightened and blue shifted variants with K83M. However, it seems that this effect can be better described as a suppression of the K83M red-shift, because it does not cause a blue shift in other backgrounds (not shown). A44V and F124L are additional differences between mRed-580 and mRed-595. A44V is assumed to contribute to the red shift seen in mRed-595. Reverting Leu124 to phenylalanine in mRed-580 resulted in less brightness but no color shift.

[0110]

The M66T substitution creates a significant blue-shift rendering the far-red protein red-orange. This likely occurs because through the formation of a second heterocycle formed in the chromophore between the hydroxyl of the Thr66 sidechain and the carbonyl carbon of Thr66. This chemistry has been observed in crystal structures of mOrange and OFP from Corynactis californica. Similarly the lysine sidechain at position 66 in zFP538 forms a second heterocycle. In the above examples formation of a second heterocycle prevents formation of the DsRed acylimine and thus restricts electron delocalization and the resulting red-shift. Substitution of position 66 with a threonine represents a novel strategy to create a red fluorescent protein from a far-red fluorescent protein.

[0111]

Large hydrophobic amino acids at position 83 seem to greatly stabilize the DsRed monomers. K83M was crucial for developing DsRed.M1 and all of the current monomers still require a hydrophobic amino acid at that position for fluorescence. It seems that the larger the sidechain, the more stable the protein. Upon alkaline lysis of bacterial cultures expressing mRed-595 (containing M83F) for minipreps, there is a spectral shift (from purple to cherry red) but most of the color remains through the first several steps of the miniprep procedure, indicating that mRed-595 is not denatured to the same extent as other fluorescent proteins. Just like the original K83M substitution, K83F containing mRed-595 confers improved tolerance for other substitutions. However, a hydrophobic residue at position 83 causes Lys70 to swing away from the chromophore and therefore decreases quantum yield. Position 73 faces Lys70 and substitutions at those positions may exert their brightening effects by repositioning Lys70 over the chromophore. The substitutions V73A, V73T, H75C, H75K, and H75R also increase brightness likely through a similar mechanism, and these may be incorporated into any variant including mRed-595, mRed(sol)-595, and mRed(sol)-560.

[0112]

Finally, position 217 is a serine in mRed-595 and mRed(sol)-560 but it is an alanine in mRed-580. It is likely that position 213, which is a leucine only in mRed-580, influences the nearby position 217, so mRed-580 differs from the other two mRed variants. Thr217Ala is a maturation-enhancing but brightness-decreasing substitution in the tetramers, and the optimal amino acid for that position is context dependent and variable among alanine, serine, and threonine.

Example 15

Reducing Aggregation in mRed Variants

[0113]

The problem of higher order aggregation in DsRed is not limited to tetrameric variants. When present at high local concentrations, monomeric DsRed variants also tend to aggregate. This phenotype has been observed by our lab when DsRed.M1 is fused to the yeast transmembrane Golgi SNARE protein, Gos1. It has also been seen by many other labs when DsRed.M1 and/or mCherry are fused to proteins including a yeast amino acid transporter called Can1, and the mammalian proteins ERGIC-53, VSV-G, integrins, actin, and caveolin. Surprisingly when the exact same fusions are made to GFP instead of the red monomers, they “work”. Because the above proteins are all present at high local concentrations in cells, it is reasonable to assume that the artifacts seen with fusions to red fluorescent proteins are the result of concentration dependent higher order aggregation. Further, these problems are seen both with our monomers and more commonly with mCherry. It should also be noted that GFP is a weak dimer (Kd of approximately 100 μM) and will self-associate at high local concentrations in cells. For example, GFP has been shown to drive proteins into plasma membrane microdomains or to rearrange endomembranes. However, addition of a monomerizing mutation abrogates these artifacts. Thus, proteins do achieve high local concentrations, and the fusion tag that is added to a native protein can significantly impact localization if it has a tendency to self-associate.

[0114]

The residues involved in aggregation in the DsRed tetramer (described above) are solvent exposed, so those same residues are solvent exposed in the monomer. The surface substitutions incorporated in the tRed variants thus became the starting point for improving the aggregation properties of the mRed variants. Unfortunately however, the bacterial aggregation assay employed for the tetramer is not a viable assay for the monomers because they are comparably soluble to monomeric GFP even though the red monomers and monomeric GFP behave differently in cells.

[0115]

We needed either to devise a new assay or modify the existing assay so that the dynamic range would be sufficient to assay DsRed monomers. Any interactive surface on a tetramer is tetravalent simply because of the quaternary structure of the molecule. Perhaps the reason the original assay worked is that the tetravalent tetramer is better able to cross-link into insoluble aggregates than the monovalent monomer. It would follow then, that if the monomer were re-tetramerized with some artificial tetramerization domain, the aggregation assay might be made to work with DsRed monomers. To test this hypothesis we fused the GCN4-LI coiled-coil domain or the p53 transcription factor tetramerization domain to GFP, monomeric GFP, and various mRed variants (e.g. FIG. 13A). These tetramerization domains are small, fewer than 30 amino acids, and have been used previously to tetramerize heterologous proteins. As predicted, re-tetramerizing mReds or GFP brought the solubilities into a range where changes could be detected by the assay. Furthermore, GFP and monomeric GFP could be distinguished from one another (FIG. 13B). As a technical note, there was poor fluorescent protein expression when the tetramerization domains were fused to EGFP but robust expression when they were fused to a recently described GFP variant called Superfolder GFP (SF-GFP), which folds better in bacteria. Expression was not a problem with the mRed variants. Both GCN4-LI and p53 gave similar results, but because there is an antibody available for p53 and because the data were more consistent with p53, we moved forward with that domain.

Example 16

Identifying Aggregation Prone Residues

[0116]

Once we had an assay, the next step was to identify residues that could be targets for mutagenesis. We chose to use mRed-595 as the template for further mutagenesis and not the other color variants because (1) proceeding with multiple variants lowers speed and efficiency, (2) mRed-595 and its derivatives are the most stable mRed variants, (3) if any one of the mRed variants were to make a substantial impact on the biomedical research community, it would be the far-red mRed-595, and (4) any additional surface substitutions identified could be incorporated into the other color variants at a later time.

[0117]

DsRed has a unique structural feature in that two of the β-sheets composing the 11-stranded β-barrel partially splay apart to form what is referred to as “the canyon.” The edges of β-sheets are often “sticky” so closing the canyon might reduce aggregation. There is a tryptophan residue (Trp58) positioned on the central β-helix that appears to be holding the canyon open. We fixed Trp58 as a smaller tyrosine or phenylalanine and then mutated surrounding residues to identify substitutions that could pair with the substitutions at position 58. Using the slide projector assay we identified the combination Trp58Tyr and Ile29Val as improving brightness and likely closing the canyon. We have been unable to crystallize a variant with the Trp58Tyr and Ile29Val substitutions, so it is not clear if the canyon was in fact closed. Regardless, this combination of substitutions increases brightness and is likely to decrease aggregation.

[0118]

All of the solubility enhancing surface substitutions present in the tRed variants were introduced into the mRed-595. This includes the following substitutions: A2DGAT, STCC3SAGC, S4TACT (see above for codon optimization), E10P, Y17H, G115D, D116G, E168K, and Q188K (Table 9). Note that the substitutions at Asn3, Gly115, Asp116, and Glu168 are reversions to the WT residue. The substituted mRed variant was named mRedB-595. mRedB-595 is several percent more soluble than mRed-595 when each is fused to the p53 tetramerization domain (FIG. 13B). Thus the modified aggregation assay can identify changes in mRed variants, and knowledge from mutagenesis of the tetramer can inform mutagenesis of the monomer.

[0000]

Aggregation reducing substitutions in mRed variants
ResiduemRed-595mRedB-595mRedX-595
2AspGACAspGATAspGAT
3AsnAACSerAGCSerAGC
4ThrACCThrACTThrACT
10GluProPro
17TyrHisHis
29IleValVal
58TrpTyrTyr
85LeuLeuGln?
115GlyAspGly?
116AspGlyAsp?
128AsnAspAsn?
160GluGluAsp?
162SerSerAsn?
168GluLysLys
188GlnLysLys
198LysLysGlu?
The amino acids present at potentially substituted positions are listed for mRed-595, mRedB-595, and mRedX-595. mRedX-595 is the theoretical best variant after combination of all the site-directed aggregation-reducing substitutions. Superscripts indicate the codon used for residues 2-4. Undecided substitutions are indicated with a “?”. Substitutions relative to mRed-595 are highlighted in bold.

[0119]

Despite the increased solubility in mRedB-595, it is not as soluble as monomeric SF-GFP. The DsRed.M1 crystal structure was examined using PISA and a similar analysis to the one used for DsRed tetramers (see above) was performed. PISA demonstrated that Asp115 sits in a pocket on the adjoining monomer, but Gly116 points away from this pocket. Positions 115/116 are typically as Gly/Asp or Gly/Asn in the homologues, so the screen we performed included D115G and G116D or G116N (see below). A manual inspection of DsRed.M1 to identify candidate residues was also performed. These analyses collectively suggested: Glu19, Glu39, Lys50, Asp78, Leu85, Asp115, Gly116, Asp128, Lys158, Glu160, Ser162, Asn192, and Lys198 as the best candidates for mutagenesis. Homology was used as a guide to choose which amino acids to sample. Because the number of samples was small, each substitution was performed individually rather than as a screen, and then solubility was assessed using the modified aggregation assay (FIG. 13B).

[0120]

Several substitutions resulted in increased solubility and increased brightness, notably: L85Q, DS115G/G116D, D128N, E160D, S162N, and K198E (FIG. 13B, Table 9; mRedx-595). Interestingly, when all of these substitutions are combined into a single variant, solubility actually decreased. Because the greatest single improvement came from the Asp115Gly/Gly116Asp substitutions, those changes were added to mRedB-595 to created mRedC-595.

[0121]

We then screened for the best combination of these substitutions and identified E160D and S162N as the best combination, i.e. better than Asp115Gly/Gly116Asp. Subsequent random and targeted mutagenesis added the substitutions N6S, Q13R, H17Y, S96T, N98T, D128K, and D176N. H17Y is a reversion to the DsRed.M1 amino acid. The N98T substitution increases photostability. D128R and D128H also increase solubility.

[0122]

The substitution Q64H was identified previously in a screen for increased photostability. The Q64H substitution on its own had no effect but conferred photostability in combination with F99Y. In the mRed-595 context, Q64H alone increases both solubility and photostability. Further, the F99Y substitution is detrimental to solubility and has no effect on photostability. However, Q64H does not confer added photostability in mRed(sol)-595 or mRed(sol)-560 (below) and the combined effect of Q64H and F99Y in these variants is unknown, but may confer photostability since F99 is close to residues S96 and N98 which have been mutated.

[0123]

The final variant is called mRed(sol)-595 and is as soluble as mSF-GFP in the aggregation assay when fused to the p53 tetramerization domain. mRed(sol)-595 contains the following substitutions relative to mRed-595: N6S, E10P, Q13R, I29V, W58Y, S96T, N98T, G115D, D116G, D128K, E160D, S162N, E168K, D176N, and Q188K. See Table 10. As shown in FIG. 14, mRed(sol)-595 is about as soluble in the p53 aggregation assay as SF-GFP. mRed(sol)-595 is now undergoing in vivo testing to evaluate its function as a fusion tag on “difficult” proteins in both yeast and mammalian cells.

[0000]

Substitutions relative to DsRed.M1
Each variant in the table except mRed-595 is derived from the one to its left. mRed-595 is derived from DsRed.M1. A substitution relative to the parental variant is indicated by shading.

Example 17

Blue-shifting mRed(sol)-595 to Create mRed(sol)-560

[0124]

An extremely soluble red monomer with excitation and emission spectra similar to WT DsRed was also a goal. We decided that blue shifting an optimized far-red variant (i.e. mRed(sol)-595) was the best strategy. A series of WT-like red variants were unintentionally identified during random mutagenesis of mRed-595 for solubility enhancement. These variants all contained the M66T substitution. We then used random and directed mutagenesis of mRed(sol)-595+M66T to create a bright red soluble monomer. The resulting variant called mRed(sol)-560 has WT-like excitation and emission spectra as well as the enhanced solubility of mRed(sol)-595. mRed(sol)-560 contains the following substitutions relative to mRed(sol)-595: M66T, V73S, and K182R. Table 10. As described above V73 can also be substituted with Ala, Ile, or Thr, and H75 may be substituted with Arg or Cys and likely Lys. The Arg substitution at position 75 greatly increases brightness but adds a component of green fluorescence. Blue-shifting a red-shifted chromophore by altering the chromophore structure represents a novel approach to generating WT-like spectral properties. In this way we were able to take advantage of the optimal biochemical properties of mRed(sol)-595 while regaining the spectral position of WT-DsRed as shown in FIG. 15. The mRed-580 substitutions relative to mRed-595, namely V44A, F83L, F124V, Q213L, and S217A, might also be added to mRed(sol)-595 to create a variant that would be called mRed(sol)-580.

Как компенсировать расходы
на инновационную разработку
Похожие патенты