Disclosed are antibodies (immunoglobulins) and fragments thereof that hydrolyze or bind polypeptide antigens belonging to Staphyloccus aureus, hepatitis C virus, human immunodeficiency virus and Alzheimer's disease. Also disclosed are novel methods to improve the antigen reactivity of the immunoglobulins and to treat a pathophysiological condition using the immunoglobulins as therapeutics.
1. An immunoglobulin (Ig) variable (V) domain derived from a light chain subunit (VL) or heavy chain subunit (VH) of an immunoglobulin and having a defined antigenic-directed catalytic activity or binding activity. 2. The IgV domain of 3. The IgV domain of 4. The IGV domain of 5. The IgV domain of 6. The IgV domain of 7. The IgV domain of 8. The IgV domain of any of 9. The IgV domain of 10. The IgV domain of 11. The IgV domain of 12. The IgV domain of 13. The IgV domain of 14. The IgV domain of 15. The IgV domain of 16. The IgV domain of 17. The IgV domain of 18. The IgV domain of 19. The IgV domain of 20. A method for identifying the immunoglobulin variable (IgV) domain(s) of performing a random screening of a library containing a plurality of IgV domains or fractionating the library of IgV domains using antigen electrophilic analogs. 21. The method of 22. A method for prophylactically or therapeutically treating a pathophysiological condition in a patient, comprising:
administering to the patient a pharmacologically effective amount of the immunoglobulin variable (IgV) domain of 23. The method of 24. A monoclonal IgG, IgA or IgM antibody, comprising:
one or more immunoglobulin variable domains of 25. A method for prophylactically or therapeutically treating a pathophysiological condition in a patient, comprising:
administering to the patient a pharmacologically effective amount of the monoclonal IgG, IgA or IgM antibody of 26. The method of 27. An immunoglobulin variable (IgV) domain that is designated 2E6, 5D3, 1E4, 5H3, 1B4, 1BIO, 1G2, 1G5, 2B4, 2B6, 2C6, 2C7, GL2, GL59, GL1, JL683, JL651, JL606, JL678, JL427. 28. A method for prophylactically or therapeutically treating a pathophysiological condition in a patient, comprising:
administering to the patient a pharmacologically effective amount of the immunoglobulin variable (IgV) domain of 29. The method of 30. An immunoglobulin variable light chain domain that is designated SK18, SK45, SK2C2, or SK2F5 or a mutant thereof designated scFv GL2-FR1m, scFv GL2-FR3m, scFv GL2-CDR1m, scFv GL2-CDR2m, scFv GL2-VHm. 31. A method for prophylactically or therapeutically treating a pathophysiological condition in a patient, comprising:
administering to the patient a pharmacologically effective amount of the immunoglobulin variable light chain domain of 32. The method of 33. An isolated and purified pooled immunoglobulin preparation, comprising immunoglobulins IgA, IgM, IgG or a mixture or combination thereof derived from three or more human donors expressing immunoglobulins with an antigen-directed catalytic activity greater than an average catalytic activity. 34. The pooled immunoglobulin preparation of 35. The pooled immunoglobulin preparation of 36. The pooled immunoglobulin preparation of 37. A method for prophylactically or therapeutically treating a pathophysiological condition in a patient, comprising:
administering to the patient a pharmacologically effective amount of the pooled immunoglobulin preparation of 38. The method of 39. An isolated and purified pooled immunoglobulin preparation, comprising immunoglobulins IgA, IgM, IgG or a mixture or combination thereof derived from three or more human donors expressing immunoglobulins with an HIV neutralizing activity greater than an average neutralizing activity. 40. The pooled immunoglobulin preparation of 41. The pooled immunoglobulin preparation of 42. A method for prophylactically or therapeutically treating a pathophysiological condition in a patient, comprising:
administering to the patient a pharmacologically effective amount of the pooled immunoglobulin preparation of 43. The method of
This U.S. national application claims benefit of priority under 35 U.S.C. §120 of international application PCT/US2008/002343, filed Apr. 23, 2008 which claims benefit of priority of provisional application U.S. Ser. No. 61/913,335, filed Apr. 23, 2007, now abandoned, the entirety of both of which are hereby incorporated by reference. This invention was produced in part using funds obtained through grants AI058865, AI067020, AI071951, AI062455 and AG025304 from the National Institutes of Health. Consequently, the federal government has certain rights in this invention. 1. Field of the Invention This invention relates to the fields of biochemistry, immunology, molecular biology and medicine. More specifically, the invention relates to immunoglobulins and fragments thereof with the ability to hydrolyze or bind to bacterial, viral and endogenous polypeptides and to their preparation and to methods of use thereof. 2. Description of the Related Art Some immunoglobulins (Igs) have the ability to catalyze chemical reactions through the binding of an antigen, its chemical transformation and the conversion and release of one or more products. Transformation of the chemical structure of antigens by such Igs can induce permanent inactivation of antigens. A single catalytic Ig molecule can hydrolyze thousands of antigen molecules over its biological lifetime, which enhances the biological potency of the catalyst compared to a stoichiometrically binding antibody. Catalytic Igs, therefore, can be developed as potent therapeutic agents capable of removing harmful polypeptide and other classes of antigens. Some Igs contain catalytic sites in their variable (V) domains that have properties similar to the catalytic sites of conventional serine protease class of enzymes. Igs with esterolytic and proteolytic activity have been reported [1-5]. Similarly, some Igs hydrolyze nucleic acids [6,7]. An appreciation of the structural organization of Igs is helpful in understanding the scope of the present invention. A brief review of this aspect follows. Generally, Igs contain light (L) chain and heavy (H) chain subunits. The V domains of these subunits contain the antigen binding site (paratope). Contacts with conventional antigenic epitopes occur mainly at the complementarity determining regions (CDRs) and to a lesser extent the framework regions (FR) of the V domains. The human Ig repertoire, defined as the number of Igs with different antigen binding site structures is estimated at 1011-1012. V domain diversity is generated by the following processes: (a) inheritance of about 50 germline genes each encoding the V domains of L and H subunits; (b) combinatorial diversity brought about by assembly of different L and H chains within the quartenary structure of Igs; (c) junctional diversity generated during recombination of the V and joining (J) gene segments of the L chain, and the V, diversity (D) and J gene segments of the H chain; and (d) rapid mutation occurring in the CDRs over the course of B cell clonal selection, a process entailing antigen binding to Igs expressed as components of the B cell receptor (BCR), and resulting in stimulation of division of the B cells expressing BCRs with the highest binding affinity. An additional level of diversity is offered by the use of different constant domains by Igs, that is, the μ, δ, γ, and a regions of the H chain and the κ and λ chains of the L chain. Early in the ontogeny of the immune response, Igs contain μ or δ constant regions. Later, isotype switching occurs, and the μl_regions are replaced by γ/α/ε in more differentiated Igs. Various advances of technology in monoclonal and recombinant Ig techniques have accelerated the identification, selection and purification of catalytic Ig species. One approach to generating catalytic Igs involves immunizing an animal with a stable analog of the transition state of the reaction to be catalyzed and screening for Igs that bind more strongly to the transition state analog than to the corresponding substrate. The Igs, like enzymes, have a site that is complementary to the 3-D and ionic structure of the transition state analog. A large number of Igs synthesized in response to immunization with a transition state analog can bind the analog, but only a small minority will catalyze the reaction of interest. For example, only one catalytic Ig may be found for every 100-1,000 Igs screened. Another major challenge is that the catalytic activity of the Igs can be low compared to the naturally occurring enzymes, usually by a factor of 103or more. To be medically useful, the catalytic Ig must also be specific for the desired target antigen. While promiscuous catalytic Igs capable of hydrolyzing polypeptides are common [5,8-10], specific catalytic Igs directed to medically important target proteins are rare. Advances in the field of catalytic Igs, therefore, are dependent on identifying Igs that have high level catalytic activity and the correct epitope specificity enabling specific catalysis directed against the target antigen. The foregoing problems have been recognized for many years. Numerous solutions have been proposed, but none adequately address the problems that must be solved in isolating Igs that have the ability to specifically catalyze medically important biochemical reactions. Renewable and homogeneous sources of well-characterized catalytic Igs are needed for medical applications. A brief review of Ig technologies that may be useful in isolating catalytic Igs follows. Traditional methods to clone Igs from humans consist of immortalizing lymphocytes derived from peripheral blood (or lymphoid tissues obtained by surgery), for example by transformation with Epstein Barr virus followed by fusion with a myeloma cell lines. The resultant hybridoma cell lines are screened for production of the desired Abs, for example by measuring the binding to a specific antigen by ELISA. Methods are also available to clone the expressed Ig V domain repertoires in the form of libraries displayed on a suitable surface. The Ab fragments can be cloned as Fab fragments, single chain Fv (scFv) fragments or the L chain subunits. Fab and scFv constructs usually reproduce faithfully the binding activity of full-length Abs (e.g., [11]). Previous reports have documented the antigen binding activity of L chain subunit independent of its H chain partner, albeit at reduced strengths compared to native Abs [12,13]. The V domains of the scFv fragments are usually linked by flexible peptide linkers. Cloning of V domain repertoires is usually accomplished by recovering mRNA from lymphocytes and amplification by the reverse transcriptase-polymerase chain reaction. Mixtures of primers are employed to capture as large a proportion of the expressed repertoire as possible. The primers anneal to comparatively conserved FR1 and FR4 nucleotide stretches located at the 5′ and 3′ ends of the V domains, respectively, allowing amplification of V domains belonging diverse V gene families. To obtain expressible scFv constructs, the VL and VH domains are cloned into a suitable vector containing a short flexible peptide and an inducible promoter. Peptide tags such as the his6 tag are incorporated into the protein to enable rapid purification by metal affinity chromatography. The length and constitution of the peptide linker is an important variable in ensuring the appropriate intramolecular VL-VH interactions. The next task is to isolate the minority of individual antigen combining sites with the desired antigen recognition characteristics. This can be accomplished using display technologies [14]. Vectors permitting display of recombinant proteins on the surfaces of phages, retroviruses, bacteria and yeast have been developed. For example, fusion proteins composed of Ig fragments linked to a phage coat protein are expressed from phagemid or phage vectors in bacteria. The recombinant phages display Ig fragments on their surface. The packaged phages contain single stranded DNA encoding the Ig fusion protein. Fractionation of phages based on binding to immobilized antigen yields, therefore, the VL/VH genes of Abs with the desired specificity. Phagemid vectors are useful because a codon at the junction of the Ab and phage coat protein genes is read as a sense codon by bacteria employed to package phages and as a stop codon by bacteria employed to obtain soluble Ab fragments free of the phage coat protein sequence. Immunotherapeutic agents should preferably have a long half-life to avoid repeated infusions. The half-life of full-length IgG in human circulation is 2-3 weeks, compared to half-lives on the order of minutes for scFv constructs and free Ig L chain subunits. Therefore, various strategies have been developed to increase the stability of Ig fragments in vivo. Examples are the inclusion of a polyethylene glycol molecule at the Ig fragment terminus [15,16] or linkage to the constant region of Igs (Fc) [17]. The V domains can also be routinely recloned in vectors containing the constant domains of heavy and light chains. Expression of these vectors in suitable mammalian cells yields full-length Igs with increased half-life in vivo [18]. The properties of the target antigen are important in the success of medical applications of catalytic Igs. The targeted antigen can be chosen for Ig targeting based on the principles. First, the antigen should fulfill a pathogenic role. For example, the targeted antigen may interfere in some essential endogenous cellular or metabolic function. Alternatively, in the case of microbial antigens, the antigen should be important for growth of the microbe or it may be important in diverting host immune responses away from protection against the microbe. Second, removal of the antigen by Igs should not be associated with a deleterious side effect. This is particularly important in targeting of an endogenous antigen by Igs, e.g., amyloid _ peptide in Alzheimer disease, as most endogenous antigens fulfill useful biological functions. In the case of microbial antigens, the danger of cross-reaction with endogenous antigens should be minimized. Immune complexes of antigens with Igs containing Fc regions have the potential of reacting with Fc receptors expressed on inflammatory cells and inducing undesirable inflammatory reactions. This danger is minimized if the Ig has catalytic activity, as the longevity of the immune complexes is reduced due to antigen chemical transformation and product release. Examples of antigens suitable for Ig targeting are presented below. A β is the target of conventional non-catalytic Igs in ongoing clinical trials for the treatment of Alzheimer disease. A monoclonal IgG [19] and pooled polyclonal IgG from healthy humans [20] are under trial. The rationale for Aβ targeting is as follows. In 1907 that the first pathological lesion associated with dementia, the cerebral plaque, was reported by Alzheimer [21]. The cerebral lesion was called an “amyloid” plaque because iodine, which stained the cerebral plaque, also stains starch. The true chemical composition of the “amyloid” plaque was elusive until 1984 when Glenner and Wang discovered a means to solubilize the cerebral plaques in Alzheimer's disease (AD) and showed that they are composed principally of peptides Aβ1-40 and Aβ1-42. These peptides are identical but for the two additional amino acids, Ile and Ala, at the C-terminus of Aβ1-42 [22]. Both peptides are derived by proteolytic processing of the larger amyloid precursor protein (APP), which is composed of 770 amino acids and has the characteristics of a transmembrane protein [23]. APP is cleaved by β and γ secretases, releasing the Aβ peptides [24,25]. The role of Aβ peptides in the pathogenesis of AD is supported by findings that: (a) Familial AD is associated with mutations in the APP gene or the secretase genes; (b) Transgenic mice, expressing mutant human, APP genes develop an age-associated increase in cerebral Aβ peptides and amyloid plaques as well as cognitive decline [26,27]; (c) Mutant, human APP-tg mice that do not process APP to Aβ show no cognitive decline, suggesting that increased Aβ peptides and not the mutant APP is responsible for cognitive decline [28,29]; and (d) Synthetic Aβ peptides and their oligomers are neurotoxic in vitro [30,31]. HIV gp120 Igs directed to the HIV coat glycoprotein gp120 have been under consideration for immunotherapy of HIV infection. A key step in HIV infection is the binding of gp120 to host cell CD4 receptors. Additionally, gp120 plays a significant role in viral propagation and demonstrates a toxic effect on cells that are not infected with HIV [32,33]. gp120 is toxic for neurons, it facilitates lyses of lympocytes by an antibody-dependent mechanism, and it increases the binding of complement components to cells [34-39]. It has been shown that monoclonal Igs can bind the CD4 binding site (e.g., [40,41]). However, gp120 expresses many antigenic epitopes, and the immunodominant epitopes are located in the variable regions of gp120. Igs to the immunodominant epitopes do not neutralize diverse strains with varying sequence of the variable gp120 regions. Igs to the conserved gp120 sequences are necessary for therapy of HIV infection. Such Igs can also be used as topical microbicides to prevent vaginal and rectal transmission of HIV via sexual intercourse. gp120 contains a B cell superantigenic epitopes, defined as an antigenic epitope to which Igs are present in the preimmune repertoire without the requirement of adaptive immune specialization [42]. Residues 421-433 of this epitope are also important in CD4 host receptor binding [43,44]. Igs to the superantigenic epitope hold the potential of neutralizing HIV broadly. However, superantigens are thought to be recognized mainly by conserved regions of Ig V domains, including the conserved regions of the FRs and CDRs. Adaptive improvement of the superantigen recognition function appears to be difficult. No monoclonal or polyclonal Igs with the ability to neutralize the entire range of HIV strains belonging to various clades are available. This bacterium is an opportunistic pathogen that colonizes the skin (primarily the anterior nasal vestibule) of approximately 30-50% (with 20-30% persistently colonized) of the population without causing clinical disease symptoms [45,46]. Persistently colonized individuals are designated ‘carriers’. Certain antibiotics are available for the treatment of It is estimated that over 170 million people worldwide are infected with HCV [50]. HCV genotypes 1a, 1b, 2a and 2b are common in the United States. The mainstay of current therapy is a combination of interferon and ribavirin, which leads to clinical improvement in a subpopulation of patients with chronic HCV infection. Clearly, more strategies are needed for treatment and prevention of HCV infection [51]. The E2 coat protein expressed by HCV is thought to be essential for viral infection by virtue of its role in host cell binding [52]. E2 contains hypervariable regions and comparatively conserved regions. Igs to the hypervariable regions are frequent in infected individuals [53]. Conventional non-catalytic Igs to E2 may be important in control of virus infection [53]. Certain monoclonal Igs to E2 neutralize the virus and [54] are under consideration for therapy of HCV infection. Thus, there is a recognized need in the art for improved immunoglobulins that hydrolyze or bind to bacterial, viral and endogenous polypeptides. More specifically, the prior art is deficient in immunoglobulins and monoclonal antibodies derived therefrom comprising one or two immunoglobulin variable chain domains with an enhanced antigen-defined catalytic or binding ability. The present invention fulfills this long-standing need and desire in the art. The present invention describes several classes of Ig fragments that display high level catalytic and binding activities and the desired bioactivity profiles. Thereby, the invention addresses the need for improved compositions and methods for the preparation of antibodies that can be used for medical applications. One class of Ig fragments in the present invention consists of single domain VL constructs (IgVLconstructs) that contain a peptide tag (designated t) at their termini. The structure of the terminal t region can be varied without loss of IgVLfunction). The purpose of including the t region is to interfere with noncovalent V domain association and maintenance in monomeric form. The invention discloses the unanticipated finding that the monomeric form of the VL domains expresses superior catalytic activity compared to physiological Ig combining sites composed of paired VL domain-VH domain structures. Another class of Ig fragments in the present invention consists of two domain VL-VLconstructs (IgVL2constructs) expressing superior catalytic activity compared to physiological Ig combining sites. Evidently, pairing of two VL domains is more permissive for expression of catalytic activity compared to pairing of a VL domain with a VH domain. Optionally, the t region can contain peptide or non-peptide structures that direct the IgV to the desired target anatomic site. For example, inclusion of polyanionic compound such as a putrescine in the t region can facilitate passage of the IgV across the blood-brain-barrier. In another embodiment, the present invention describes the composition and properties of IgVs directed to amyloid β peptide (A_β), Another embodiment of the invention concerns recognition of B cell superantigens by the V domains, which is thought to occur mainly at conserved V domain residues. Swapping of the framework regions (FRs) or complementarity determining regions (CDRs) of the VH domains by corresponding FRs or CDRs drawn from other V domains is shown to improve B cell superantigen recognition capability. Similarly, mutations introduced at individual amino acids in the FRs or CDRs can be employed to improve the ability of IgVs to recognize B cell superantigens. The IgVs can be engineered further to improve their stability in vascular circulation and other anatomic sites, for example by linkage to a polyethylene glycol molecule or the Fc region of Igs. Also disclosed are novel full-length catalytic IgGL and IgML molecules containing antigen combining sites composed of 2 VL domains instead of one VL domain and one VH domain. These molecules contain a VL domain is grafted in place of the VH domain within the heavy chain subunit, along with the VL domain contained in the light chain subunit. Another embodiment of the invention consists of identifying polyclonal Igs from blood and mucosal secretions with enriched catalytic activity. The catalytic activity is directed to one or more protein, e.g., an So that the matter in which the above-recited features, advantages and objects of the invention, as well as others which will become clear, are attained and can be understood in detail, more particular descriptions of the invention briefly summarized above may be had by reference to certain embodiments thereof which are illustrated in the appended drawings. These drawings form a part of the specification. It is to be noted, however, that the appended drawings illustrate preferred embodiments of the invention and therefore are not to be considered limiting in their scope. As used herein, the term “a” or “an”, when used in conjunction with the term “comprising” in the claims and/or the specification, may refer to “one”, but it is also consistent with the meaning of “one or more”, “at least one”, and “one or more than one”. Some embodiments of the invention may consist of or consist essentially of one or more elements, method steps, and/or methods of the invention. It is contemplated that any compound, composition, or method described herein can be implemented with respect to any other device, compound, composition, or method described herein. As used herein, the term “or” in the claims refers to “and/or” unless explicitly indicated to refer to alternatives only or the alternatives are mutually exclusive, although the disclosure supports a definition that refers to only alternatives and “and/or”. As used herein, the term “Ig” in the claims refers to any immunoglobulin of the IgM, IgG and classes. As used herein, the term “IgV” in the claims refers to any variable domain of the light cand heavy chain Ig subunits with and without incorporation of additional sequences at the termini of the V domains. As used herein, the term “tag” in the claims refers to any polypeptide or non-peptide incorporated at the terminus or within the V domain or combination of V domains. As used herein, the term “single domain IgV” refers to a V domain that can fulfill the antigen recognition function in the absence of a second full-length V domain. As used herein, the term “two domain IgV” in the claims refers to a combination of two V domains that can recognize the antigen. As used herein, the term “antigen recognition” refers to the ability to bind the antigen by noncovalent means or covalent means or the ability to catalyze the chemical transformation of the antigen. As used herein, “biologically acceptable medium” includes any and all solvents, dispersion media and the like which may be appropriate for the desired route of administration of the pharmaceutical preparation, as exemplified in the preceding paragraph. The use of such media for pharmaceutically active substances is known in the art. Except insofar as any conventional media or agent is incompatible with the catalytic antibody to be administered, its use in the pharmaceutical preparation is contemplated. In one embodiment of the present invention, there are provided classes of IgVs with high level catalytic and binding activities and the desired bioactivity profiles. The structure and properties of the IgVs are exemplified by their reactivities with various antigens of medical interest. Optionally, the IgVs can be isolated from humans with the autoimmune disease systemic lupus erythematosus. Other suitable sources of the IgVs are humans without disease and humans with Alzheimer disease, The invention discloses several IgVs that catalyze the hydrolysis of Aβ isolated from a library of IgVs derived from lupus patients. The library consists mostly of two domain IgVs containing paired VL-VH antigen combining sites. However, a minority of clones are structurally aberrant because of imprecision of cloning methods used for generating the library. The aberrant structures include IgVs containing two VL domains (designated IgVL2-t constructs wherein t denotes a short peptide tag included in the IgVs to help identify and purify the recombinant proteins) and IgVs with a single VL domain linked to non-natural polypeptides at the C terminus, e.g., short VH domain sequences containing large internal deletions (designated IgVL-t′ wherein t′ denotes the tag region encompassing the aberrant structure at the terminus the VL domain). Random screening methods along with the use of an electrophilic Aβ analog to isolate IgVs with greatest nucleophilic reactivity permitted isolation of catalytic IgVs. Unexpectedly, IgVs with rare IgVL2-t and IgVL-t′ structures expressed the greatest catalytic activity directed to Aβ. The invention also discloses single chain Fv constructs (scFvs) obtained by repairing the aberrant VH domain contained in the IgVL-t′ construct. Such repaired scFvs displayed reduced catalytic activity, indicating that the VH domain generally suppresses VL domain catalytic activity. The use of electrophilic antigen analogs in the present invention is based on the principle that nucleophilic sites located in the V domains imparts to some Igs the ability to catalyze chemical reactions. The nucleophilicity derives from activation of certain amino acid side chains. In serine proteases, precise spatial positioning of the Ser-His-Asp triad allows formation of a hydrogen bonded network that imparts nucleophilic reactivity to the Ser oxygen. Similar sites are present in catalytic V domains [55]. Previous studies have shown that V domain nucleophilic sites bind covalently to phosphonate esters incorporated within antigenic epitopes [56,57]. The electrophilic antigen analogs are designed based on the split site model of catalytic Igs, in which the Ig paratope and nucleophilic sites are treated as two distinct subsites. The analogs are derivatives of polypeptides in which one or more amino acid side chains are linked to the electrophilic phosphonate group as described in US Patent application 20070105092. Examples of other suitable electrophiles are the carbon atom in carbonyl esters, carbonyl amides, carbonates, aldehydes, ketones and aliphatic and aromatic carbonyl compounds; the boron atom in boronates and the vanadium atom in vanadates. Electron withdrawing and donating groups are linked directly to the electrophilic atom or via spacer groups to enhance and decrease the covalent reactivity with IgV nucleophiles. Optionally, a positive charge or a negative charge is placed in the vicinity of the electrophilic atom to mimic the basic residue and acidic residue specificity of catalytic Igs. The catalytic sites of the IgVs disclosed in the present invention can be produced as a result of innate as well as adaptive immune processes. Previous studies have indicated that Ig nucleophilic and proteolytic activities are heritable traits, encoded by germline V domains [58]. Because the catalytic activity is germline-encoded, in principle, the immune system is capable of mounting catalytic Ig V domains directed to any polypeptide antigen. Adaptive specialization for recognition and cleavage of the polypeptide antigen can occur by processes such as V-D-J/V-J junctional diversification and somatic hypermutation of the V domains. In another embodiment, the invention discloses improved catalytic mutants of an IgVL2-t obtained by random mutagenesis of the VL domains, display of the mutant proteins on phage surface and isolated mutant IgVL2-t clones by covalent phage selection using the electrophilic Aβ analog. Additional embodiments of the inventions disclose IgVs directed to proteins belonging to infectious microbes. One such embodiment is isolation of catalytic IgVs to The invention also discloses the composition of catalytic IgVs directed to the HIV coat protein gp120. These IgVs can be obtained from human IgV libraries as described above. Selection of the IgVs displayed on phage surface can be accomplished using gp120, an electrophilic analog of gp120 or peptides corresponding to the antigenic epitope recognized by the IgVs. HIV gp120 is a B cell superantigen recognized by IgVs from humans without infection. The invention discloses IgVs that recognize the superantigenic peptide epitope composed of gp120 amino acid residues 421-433 or 416-433 and neutralize HIV infection of lymphocytes. Certain IgVs that catalyze the hydrolysis of gp120 are described. As the IgVs neutralize diverse HIV strains they can be applied for immunotherapy of HIV infection. In addition, they can be used as topical microbicides for prevention of heterosexual HIV transmission. Another embodiment of the invention concerns recognition of B cell superantigens by the V domains, which is thought to occur mainly at conserved V domain residues. IgVs obtained by mutagenesis methods with improved recognition of the HIV gp120 superantigenic site are disclosed. The approach for obtaining the mutants consists of replacing entire FRs or CDRs of the VH domains by corresponding FRs or CDRs drawn from other V domains. In addition, the ability of the VL domain to recognize the HIV gp120 superantigenic site is disclosed. Improved superantigen recognition can also be readily attained by pairing of two V domains that can independently recognize the superantigenic site. Similarly, mutations introduced at individual amino acids in the FRs or CDRs can be employed to improve IgV recognition of the superantigens. Also disclosed are the novel B cell superantigenic properties of the The IgVs can be engineered further to improve their stability in vascular circulation and other anatomic sites, for example by linkage to a polyethylene glycol molecule or the Fc region of Igs. Also disclosed are novel full-length catalytic IgGL and IgML molecules containing antigen combining sites composed of 2 VL domains instead of one VL domain and one VH domain. Also disclosed are two novel bivalent Fc-containing derivatives of an IgVL2-t: (a) an IgGL construct in which one of the VLdomain was cloned into the light chain subunit (K) and the second VLdomain into the heavy chain subunit (in place of the VHdomain); and (b) an Fcγ-(IgVL2)2construct containing two IgVL2components attached to the N terminii of the Fc fragment. The novel IgGL and Fcγ-(IgVL2)2expressed catalytic activity, indicating that the integrity of catalytic site is unaffected by inclusion of the Fc fragment. Such engineering strategies can be used to prepare long-lived Ig catalysts as immunotherapeutic agents. The invention discloses that variations in the structure of the terminal t′ region that do not influence of the single domain IgVL-t′ function. The t′ region interferes with noncovalent V domain association and maintains the IgVL-t′ in monomeric form with high level catalytic activity. Optionally, the t′ region can contain peptide or non-peptide structures that direct the IgV to the desired target anatomic site. For example, inclusion of the polyanionic compound putrescine or the TAT peptide in the t′ region can facilitate passage of the IgV across the blood-brain-barrier. Similarly, the t′ region can include an scFv directed to an antigen expressed at the blood-brain-barrier to facilitate transport across the blood-rain-barrier, for example an scFv to the insulin receptor known in the art to transport drugs across the barrier. Another aspect of the present invention consists of identifying polyclonal Igs from blood and mucosal secretions with enriched catalytic activity. This can be accomplished by screening Ig preparations from individual human donors and identifying those immunoglobulin preparations that express catalytic activity greater than the average catalytic activity of Ig preparations. Optionally, the Igs can be obtained from human blood. Alternatively, the present invention also discloses IgG, IgA and IgM preparations obtained from mucosal fluids such as saliva. The catalytic activity is directed to one or more protein, e.g., an To one skilled in the art, it is evident that protective monoclonal Abs can readily be cloned from the catalytic Ig producing subjects by procedures such as lymphocyte immortalization by Epstein-Barr virus or antibody repertoire cloning and phage display by molecular biology methods. Similarly, the present invention conceives preparation of IgVs from the catalytic Ig producing subjects. The monoclonal and recombinant Igs disclosed in the present invention can be readily improved by various protein engineering methods familiar to persons skilled in the art. Examples of the engineering techniques are as follows. The IgVs can be recloned as full-length IgG, IgM and IgA to provide for increased half-life in vivo and increased avidity of protein recognition. When administered to animals, Fv constructs display half-lives in blood on the order of hours. In comparison, the half-life of full-length Abs in blood can be as large as 2-3 weeks. Therefore, to achieve persistent neutralization of the antigen, the preferred reagents are the full-length Igs. On the other hand, the smaller IgV constructs may offer tissue penetration capabilities superior to full-length Igs. Recloning monovalent IgVs as IgG, IgM and IgA provides for increased antigen binding valencies, respectively. This is useful in some instances. Multivalent binding improves the apparent antigen binding strength, known in the art by the term avidity. In addition, the constant domains imparts important effector functions to Igs, for example, the ability to fix complement, mediate Ig-dependent cellular cytotoxicity and bind Fc receptors. Full-length Igs are readily obtained from IgVs by cloning the V domains into appropriate mammalian cell expression vectors. The vectors contain cDNA encoding the constant domains of the desired Ig class and subclass. The vectors are available commercially, for example, from Lonza. The vectors contain human Ig constant domains flanked by restriction sites for insertion of foreign V domains. Increased avidity of antigen recognition can also be obtained by forming IgV multimers. For example, tetravalent antibody fragments are generated by placing a 33-amino acid self-aggregating peptide derived from the GNC4 protein at the C terminus of an scFv construct. The peptide associates noncovalently into a 4-helix bundle, permitting expression of multiple valencies. The sequences of VL, VH and linker domains can be varied by mutagenesis to improve their biological activity. The mutants expressed on the surface of a display vector as described above are allowed to bind the target antigen. This allows separation of the mutants with the highest antigen recognition capability, which in turn can be anticipated to result in improved neutralization capacity. Mutagenesis of the linker peptide that joins the VL and VH domains is designed to improve the interfacial contacts of the VL and VH domains, which allows these domains to form superior antigen binding cavities. To obtain IgVs with improved catalytic activity, mutations are introduced into the FRs or CDRs using mutagenic primers, the mutant molecules are expressed on the surface of phages, and the phages are allowed to bind covalently to the electrophilic antigen analogs. The process is repeated several times, with additional mutations introduced at each cycle followed by the phage separation by antigen binding. In addition to the strategy described above, favorable mutations can also be introduced in the V domains on a rational basis to improve the catalytic activity. For instance, candidate amino acids suitable for mutagenesis can be identified by molecular modeling or X-ray crystallography information. The ligand can be positioned in the hypothetical binding site to identify candidate residues suitable for rational mutagenesis. For instance, replacement of a small neutral amino acid with a similarly sized charged residue can be attempted as a means to introduce an additional electrostatic stabilizing interaction. The catalytic VL domain can be paired with the VH domain of other Igs with specific target antigen binding activity. This can improve the binding strength to the target antigen and also result in changes in epitope specificity that can improve antigen neutralizing activity. The catalytic Igs described herein are generally administered to a patient as a pharmaceutical preparation. The pharmaceutical preparations of the invention are conveniently formulated for administration with a acceptable medium such as water, buffered saline, ethanol, polyol (for example, glycerol, propylene glycol, liquid polyethylene glycol and the like), dimethyl sulfoxide (DMSO), oils, detergents, suspending agents or suitable mixtures thereof. The concentration of the Abs in the chosen medium will depend on the hydrophobic or hydrophilic nature of the medium, as well as the other properties of the catalytic antibodies. Solubility limits may be easily determined by one skilled in the art. In one preferred embodiment, the catalytic Igs can be infused intravenously into the patient. For treatment of certain medical disorders, steps must be taken to ensure that sufficient amounts of the molecules reach their target cells to exert a biological effect. The lipophilicity of the molecules, or the pharmaceutical preparation in which they are delivered may have to be increased so that the molecules can arrive at their target locations. Furthermore, the Igs of the invention may have to be delivered in a cell-targeted carrier so that sufficient numbers of molecules will reach the target cells. Methods for increasing the lipophilicity and targeting of therapeutic molecules, which include capsulation of the Igs of the invention into liposomes, are known in the art. The IgVs and Igs or pharmaceutical compositions thereof of the present invention can also be used as topical microbicides, for example as a vaginal cream, foam or film. Alternatively, the IgVs and Igs or pharmaceutical compositions thereof may be administered intranasally, topically, interperitoneally, intrarectally, or intracerebrally as is known in the art. The pharmaceutical IgV or Ig preparation is formulated in dosage unit form for ease of administration and uniformity of dosage. Dosage unit form, as used herein, refers to a physically discrete unit of the pharmaceutical preparation appropriate for the patient undergoing treatment. Each dosage should contain a quantity of active ingredient calculated to produce the desired effect in association with the selected pharmaceutical carrier. Procedures for determining the appropriate dosage unit are well known to those skilled in the art. For example, the half-life of syngeneic IgG in the human is about 20 days. Over this period, 60,480 antigen molecules will be cleaved by one molecule of an antibody with a turnover of 2.1/min. It can be seen, therefore, that the peptidase antibodies can express considerably more potent antigen neutralizing activity than stoichiometric, reversibly-binding molecules. As is well-known and standard in the art the pharmaceutical preparation or composition may comprise standard adjuvants and/or diluents as are known in the art. The pharmaceutical preparation comprising the catalytic Igs may be administered at appropriate intervals, for example, twice a week until the pathological symptoms are reduced or alleviated, after which the dosage may be reduced to a maintenance level. The appropriate interval in a particular case would normally depend on the condition and the pathogenic state sought to be treated in the patient. Standard criteria for acceptable prophylactic or therapeutic agents are employed as follows: (1) Discussions of how such criteria are established for the acceptability of prophylactic or therapeutic agents are common in the art can can be found in such texts as While certain of the preferred embodiments of the present invention have been described and specifically exemplified above, it is not intended that the invention be limited to such embodiments. Various modifications may be made thereto without departing from the scope and spirit of the present invention. The following examples are provided to facilitate an understanding of the present invention. The following examples are given for the purpose of illustrating various embodiments of the invention and are not meant to limit the present invention in any fashion. Accumulation of amyloid β peptide (Aβ) aggregates in the brain is thought to be a central event leading to neurodegenerative changes observed in Alzheimer disease (AD). There is consensus that immunoglobulins (Igs) with specific Aβ binding activity are viable candidates for AD therapy. Monoclonal and polyclonal candidate Igs are under consideration for this purpose. The polyclonal Igs consist of pooled IgG class antibodies from normal humans that contain a small amount of Aβ binding IgGs (commonly referred to as intravenously infused IgG, IVIG [59]. The monoclonal Igs were raised by immunization of mice with Aβ and ‘humanized’ by protein engineering to reduce undesirable human anti-mouse Ig responses. Studies using murine AD models have indicated that peripherally administered monoclonal Igs and polyclonal IVIG with Aβ binding activity can clear Aβ from the brain [60-62]. Phase III trials of a monoclonal Aβ binding IgG for AD therapy are ongoing (Wyeth-Elan). Baxter has announced its intent to start a Phase III IVIG trial. It was observed that electrophoretically homogeneous IgMs from the sera of elderly healthy subjects without dementia (>65 years) hydrolyzed Aβ at levels greater than non-elderly adults (<35 years; P=0.035; Student's t-test for unpaired observations [63]. To evaluate disease association, the hydrolysis of125I-Aβ40 by IgM preparations from 25 non-demented elderly individuals and 23 AD patients were compared. Excess albumin was present as an alternate substrate in the assays, minimizing the contribution of promiscuous antigen recognition. Intact Aβ was separated from product peptides by 5% trichloroacetic acid (TCA) precipitation. Alternatively, reversed-phase high performance liquid chromatography was employed to separate intact and fragmented Aβ using a Novapak C18 column with 0.05% trifluoroacetic acid in acetonitrile for elution. Observed values of hydrolysis measured by the TCA precipitation method and RP-HPLC were highly correlated (r20.96). Twenty two of the 25 IgM preparations from undemented elderly humans studied displayed detectable125I-Aβ40 hydrolytic activity varying over a 118-fold range. This suggests that the catalytic IgM response is polymorphic and varies in different individuals. IgMs from the AD group displayed superior hydrolytic activity (P<0.0001; two-tailed Mann-Whitney U test and Student's t-test; To exclude the possibility of trace protease contaminants, pooled polyclonal IgM previously purified by affinity chromatography using anti-IgM antibody was subjected to 2 cycles of sequential gel filtration in a solvent that dissociates noncovalently associated protein-protein complexes (6 mol/L guanidine hydrochloride). The highly purified 900 kDa IgM fraction from the second chromatography cycle displayed detectable Aβ40 hydrolytic activity determined by RP-HPLC (68 μmol/h/mg IgM), and the product profile was essentially identical to the starting IgM preparation. To our knowledge, there are no known conventional proteases with mass 900 kDa. The denaturing column conditions preclude the possibility of smaller adventitious proteases. Aβ40 Hydrolyzing IgVs A human library composed of ˜107clones was searched for Aβ40 hydrolyzing recombinant IgVs. The library was constructed as described in (64). A majority of the clones in the library are scFv-t constructs with the domain organization VL-Li-VH-t, where Li denotes the 16-residue peptide SS(GGGGS)2GGSA (SEQ ID NO: 51) joining the VLdomain C terminus to the VHdomain N terminus and t denotes the 26 residues C terminal peptide containing the c-myc peptide and his6tags [64]. The library also contains a minority of IgV clones with unnatural structures generated by cloning errors (see below). Sixty three IgVs purified from the periplasmic extracts of randomly picked clones by his6 tag binding to Ni-affinity columns were tested for125I-Aβ40 hydrolyzing recombinant IgVs 40 hydrolyzing activity. Concentrations of the IgV in these extracts are variable and depend on the expression level from bacteria. Generally, the concentration vary from 1-10 μg/ml in the hydrolysis assay. Two IgVs displayed with activity distinctly greater than the remaining clones were identified ( Previous studies have suggested catalytic Ig nucleophilic sites recognize polypeptide antigens containing electrophilic phosphonates by noncovalent peptide epitope binding coordinated with covalent bonding to the phosphonate group [57]. To isolate Aβ40 hydrolyzing recombinant IgVs 40-selective nucleophilic IgVs, a biotinylated Aβ40 hydrolyzing recombinant IgVs 40 analog (Bt-E-Aβ40; Phages displaying the IgVs as p3-fusion proteins were packaged from TG1 Phage IgVs obtained by treatment with excess A Aβ40 hydrolyzing recombinant IgVs 40 were designated noncovalently selected IgVs. Residual irreversible phage IgV immune complexes eluted by acid disruption of the biotin-anti-biotin antibody complexes were designated covalently selected IgVs. The noncovalently selected IgVs displayed no or minimal125I-Aβ40 hydrolyzing recombinant IgVs 40 hydrolyzing activity ( IgV Primary Structure and Activity Validation IgV clone 2E6 obtained without phage selection and 3 covalently selected IgVs with the greatest Aβ40-hydrolyzing activity (clones 5D3, 1E4 and 5H3) were studied further. Identical cDNA sequences were obtained for each clone by sequencing from the 5′ to 3′ direction and the 3′ to 5′ direction. IgV 2E6 is a single chain heterodimer of two different VLdomains (designated heterodimeric Two clones were studied further, IgVL2-t 2E6 and IgVL-t′ 5D3. Their deduced protein masses predicted from the cDNA sequences, are respectively, 27 and 17 kD. Denaturing electrophoresis and silver staining of the proteins purified by 2 cycles of his6binding to Ni columns revealed proteins close to the predicted mass of the monomer IgVs (IgVL2-t 2E6, 30 kD; IgVL-t′ 5D3, 18 kD; Sequencing of 26 randomly picked clones from the library indicated that the majority of the IgVs in the library are scFv constructs (83.3%) and a minority are IgVL2-t constructs (12.5%) or IgV-t′ (4.2%) structures. The cumulative probability of identifying 4 high activity A—40-hydrolyzing clones from the library with the rarely represented IgVL2-t or IgVL-t′ structures by random chance alone is very small (P=0.92×10−5; computed as 0.125×0.0423). As none of the high activity clones contain the archetypal VL-VHpaired structure of physiological Ab combining sites, it may be concluded that expression of Aβ hydrolyzing activity by the rare VLdomain IgV structures is a favored event It was reported recently that the Aβ40 hydrolyzing activity of polyclonal human IgM preparations, a monoclonal IgM from a patient with Waldenstrom's macroglobulinemia [63], and the cross-reactive light chain subunit of an Ig directed to the antigen VIP [8]. IgVL2-t 2E6 and IgVL-t′ 5 D3 hydrolyzed125I-Aβ40 with potency superior to the previously identified IgM and light chain preparations by 1-4 orders of magnitude ( To further improve the catalytic activity, a phage library of randomly mutated IgVL2-t 2E6 clones (˜4 mutations/molecule; 7×106clones) was prepared and isolated mutant IgVL2-t clones were isolated by covalent phage selection. The library was produced by a standard error-prone PCR method known to a person skilled in the art using a commercially available kit (Mutazyme II, Stratagene; template clone 2E6 in pHEN2; concentration adjusted to yield the desired number of mutations; verified by sequencing of 15 clones). Mutant IgVL2-t phages were selected by covalent binding to E-Bt-Aβ40 (0.1 nM) as described above. Soluble IgVL2-t mutants secreted into culture supernatants were screened for Aβ hydrolytic activity along with empty vector controls and wildtype supernatants. Several mutants with substantially improved Aβ hydrolyzing activity have been isolated ( Repaired IgV 5D3 The aberrant t′ region of IgVL-t′ 5D3 contains 7 residue VHFR1 and 8 residue CH1peptides with deletion of VHresidues 8-115 (Kabat numbering; The125I-Aβ40-hydrolyzing activity of the scFv-t constructs was consistently lower than the parent IgVL-t′ (by ˜82-167 fold; IgVL2-t 2E6 was recloned as an IgGL using immunoglobulin expression vector cassettes containing human γ1 constant and λ constant domains described in (McLean et al.; Molec. Immunol. 37, 837-845, 2000). The two VL domains were PCR amplified using primers containing appropriate restriction sites (taagatctCAGTCTGCCCTGACTCAGCCT, SEQ ID NO: 3; tagcggccgcgggctgacc TAAAACGGTGAG, SEQ ID NO: 4; contain NcoI/XhoI sites and BglII/NotI sites, respectively; taGAATTCCAGTTGACCCAGTCTCC, SEQ ID NO: 5 and taaagcttgcACGTTTGATTTCCAGCTT, SEQ ID NO: 6; contain ApaLI/NotI sites and EcoRI/HindIII), followed by cloning into similarly digested pHC-huCγ1 and pLC-huCλ vectors. Essentially similar methods were used to prepare the Fcγ-(IgVL2)22E6 construct containing two IgVL2components attached to the N terminus of the γ1 Fc fragment using the pHC-huCγ1 vector in which the CH1 domain of the heavy chain subunit had been removed. After sequence verification, the recombinant proteins were expressed in HEK293 cells by transient transfection using Lipofectamine (Invitrogen) using standard protocols. The proteins were purified by protein G affinity chromatography as described previously. The three versions of the 2E6 clone [IgGL, Fcγ-(IgVL2)2and IgVL2-t] hydrolyzed Aβ with comparable potency ( The hydrolytic activity of both IgV clones was saturable with increasing Aβ40 concentration (1 nM-100 μM nonradioactive Aβ40 mixed with 0.1 nM125I-Aβ40). Kinetic parameters are reported in Table 3. MALDI-MS of nonradioactive A—40 treated with IgVL2-t 2E6 or IgVL-t′ 5D3 indicated similar product profiles. The deduced peptide that are hydrolyzed are shown in As MALDI-MS does not enable accurate quantification of the reaction products, RP -HPLC of Aβ40 treated with IgVL2-t 2E6 also was conducted. This indicated depletion of the intact Aβ40 peak, accompanied by appearance of a major peptide product absent in control chromatograms of the IgVs alone or Aβ40 alone ( Previous studies have indicated that naturally occurring proteolytic Igs frequently utilize a serine protease catalytic mechanism entailing nucleophilic attack on the electrophilic carbonyl of peptide bonds [9]. This was the basis for covalent phage IgV selection with the electrophilic A—β40 analog reported in Particularly, amyloid β peptide is specifically hydrolyzed by catalytic IgVL2-t 2E6 ( The noncovalent binding determinant for IgVL2-t 2E6 was determined by screening synthetic Aβ peptide fragments for the ability to inhibit IgV-mediated125I-Aβ40 hydrolysis competitively ( In the present invention, polyclonal Ig preparations were purified from serum of 12 adult humans without clinical symptom of Under identical conditions, several non- Four classes of proteases are known: serine proteases, thiol proteases, acid proteases and metalloproteases. E-hapten 2 (structure shown in Efb hydrolysis was tested by purified IgV constructs from 42 randomly picked clones from our human IgV library (˜107clones). The majority of clones in this library (83%) are scFv constructs mimicking the physiological structures of Ig combining sites. A minority (17%) of clones are IgVs with aberrant structures including IgVL2-t and IgVL-t′ (see Example 1). Efb-hydrolysis was studied by the SDS-electrophoresis method using the Bt-Efb substrate (0.1 μM) incubated with IgVs for 20 hours as described above. Blots of the gels were stained with streptavidin-peroxidase. Substrate consumption was measured by densitometry of the intact Bt-Efb band compared to the control incubation conducted in the absence of IgV under otherwise the identical conditions. IgVs displayed >20% cleavage were considered positive ( Two catalytic clones (1C7, 1B4) were subjected to di-deoxy nucleotide sequencing, revealing one to be an scFv construct (clone 1C7) and the other to be a IgVL2-t construct (1B4) ( Complement activation and deposition of C3b on the surface of The virulence factors can be classified as adhesions, toxic factors and immunomodulators. Adhesins are attractive targets of Igs for the purpose of impeding bacterial colonization [82]. Several bacterial adhesions are characterized by an LPXTG motif, such as Sdr family adhesins. The transpeptidases Sortase A and B covalently link the threonine of this sequence to cell wall-associated pentaglycine, anchoring the proteins to the cell wall. The important role of these adhesins is supported by evidence that Panton Valentine Leukocidin (PVL), a bi-component exotoxin assembled from two polypeptides (LukS-PV and LukF-PV) is an important The ability of Igs from adult humans with no evidence of clinical The hydrolysis of Map19 and SdrE by Igs from pooled sera from pediatric subjects without These observations suggest that catalytic Igs to These results also suggest that Efb, Map19 and SdrE may have B cell superantigenic characters, i.e., they are recognized by catalytic Igs without requirement for antigen-specific stimulation. The reduction of catalytic Igs in children with clinical Efb Hydrolyzing Activity of IgG in Humans and Mice with and without Polyclonal antibody donors were identified among healthy children and children hospitalized for an Selective Efb (Bt-Efb) hydrolysis by IgG from aseptic mice (pool of 10) compared to Bt-sEGFR, BT-OVA and BT-BSA over a period of 24 hours also was demonstrated ( The E2 coat protein expressed by HCV is thought to be essential for viral infection by virtue of its role in host cell binding [101]. Proposed cellular receptors for HCV E2 are CD81 and the LDL receptor. E2 contains hypervariable regions and comparatively conserved regions. Igs to the hypervariable regions are frequent in infected individuals [53]. Conventional non-catalytic Igs to E2 have been suggested to be important in control of virus infection [53]. Certain monoclonal Igs to E2 neutralize the virus and are under consideration for therapy of HCV infection [54]. A pooled Ig preparation consisting of IgM class antibody was obtained from serum of 10 human subjects with asymptomatic HCV infection. These subjects were positive for the NS3, NS4 HCV antigen determined by a commercially available kit (Abbott laboratories). Sera were subjected to affinity chromatography on immobilized anti-human IgM antibody as described previously [9]. The Ig preparation obtained was electrophoretically homogeneous as determined by SDS-electrophoresis of Coomassie-stained gels and immunoblotting using anti-μ antibodies. HCV E2 hydrolysis by the Ig preparation was studied using two recombinant E2 preparations as substrates: commercially available E2 containing the 26 kD glutathione-S-transferase tag (E2-GST; baculovirus expression system), and recombinant E2 containing the 8-residue Flag tag (E2-FL; expressed in HEK293 cells; see ref [102]). The latter substrate was purified partially by affinity chromatography using immobilized anti-FL antibody by methods known to one skilled in the art. Hydrolysis of these substrates was determined by SDS-electrophoresis followed by staining of the gels with commercially available anti-GST antibody, anti-FL antibody or anti-E2 antibody. The pooled IgM from HCV+ subjects hydrolyzed E2-GST, evident from time-dependent disappearance of the intact substrate band and appearance of the multiple anti-GST stainable bands with mass values smaller than E2-GST ( Next, the E2 hydrolyzing activities of IgM preparations obtained from individual serum samples from HCV-infected (n=10) and uninfected (n=9) subjects were determined ( To validate the catalytic activity, the hydrolysis of E2-GST by 9 monoclonal IgM preparations obtained from humans with Waldenstrom's macroglobulinemia was tested as described [103]. Several IgMs displayed detectable E2-GST hydrolyzing activity ( Homogeneous recombinant IgVs to E2 can be readily obtained by covalent selection of the phage displayed IgV libraries using an electrophilic E2 analog as demonstrated for other antigens in EXAMPLES 1 and 4. For this purpose an electrophilic analog of biotinylated E2-GST (E-E2-GST) was prepared. The E-E2-GST was obtained by successive acylation of exposed amino groups with N-hydroxysuccinimide esters of 6-biotinamidohexanoic acid and diphenyl N-suberoylamino(4-amidinophenyl)methanephosphonate, followed by gel filtration purification at each step by methods described in refs [56,104]. MALDI-TOF MS of the biotinylated E2-GST, E-E2-GST product and the starting E2-GST protein indicated a mass increase of 700.4 for the biotin containing protein and 6900.1 for the phosphonate containing protein, corresponding to 2 biotin and 13 phosphonate groups per E2-GST molecule ( Neutralizing Igs from Non-Infected Humans Over 33 million humans are infected with HIV. No effective vaccine for HIV is available. Progression to AIDS occurs at variable rates in infected subjects. Without treatment, ˜50% of infected subjects die in 10 years [105]. There is consensus that the variable rates of disease progression derive at least in part from discrete immunological factors. Innate and adaptive immune responses help protect against the virus (e.g., [106-108]). Knowledge of resistance factors to HIV can help guide improved treatment and development of a preventive vaccine. Effective control of HIV by the immune system is thwarted by: (a) rapid sequence diversification of the immunogenic epitopes in its coat protein gp120; and (b) the lack of robust adaptive responses to conserved epitopes of viral protein important in virus-host cell interactions. The immune system generally fails to produce Igs to conserved gp120 epitopes with sufficient neutralization potency and breadth to control HIV fully. Ig epitope specificity is an important property governing neutralization. Although rare, neutralizing monoclonal antibodies (MAbs) to gp120 and gp41 have been identified. The best known are: MAb b12 directed to a gp120 determinant overlapping the CD4bs [109]; MAb 2G12 to a mannose-dependent gp120 epitope [110,111]; and MAb 2F5 to a gp41 epitope involved in forming the fusogenic gp41 intermediate [112]. These MAbs neutralize many clade B strains and they protect macaques against challenge with clade B SHIV strains (SIV engineered to express HIV env) [113-115]. However, they are often ineffective against HIV belonging to other clades, e.g., clade C strains responsible for >50% of all infections [113]. Igs with epitope specificity similar to MAbs b12, 2G12 or 2F5 are usually not detected in chronically infected HIV subjects. Most Igs in infected individuals are directed to epitopes that mutate rapidly or are inaccessible sterically, allowing infection to progress. Often, the Igs recognize the immunodominant, hypermutable epitopes located within V3 residues 306-325 [116,117]. These Igs usually do not neutralize CCR5-dependent strains or strains with divergent V3 sequences. gp120 contains a B cell superantigen site recognized by preimmune Igs without requirement for adaptive B cell maturation [43]. B cell superantigen recognition is mediated mostly by contacts at Ig V domain FR residues [118,119]. Most conventional Ig-antigen contacts, in contrast, occur at the CDRs. Peptide mapping studies suggest that the gp120 superantigen site is discontinuous determinant, composed of residues 241-250, 341-350 and 421-440 [44]. It was observed that IgMs [120] and IgAs [121] from non-infected humans catalyze the hydrolysis of gp120. From initial rate data, the average turnover number (kcat) for a polyclonal IgM preparation was 2.8/min. Salivary IgAs, and to a lesser extent, serum IgAs from uninfected humans hydrolyzed gp120 ( Specificity was evident from lack of hydrolysis of albumin, soluble epidermal growth factor receptor, FVIII C2 domain and Tat. The catalytic reactions were inhibited completely by an electrophilic analog of gp120 residues 421-433 (E-421-433) [120,121]. IgMs and IgAs formed covalent adducts with E-421-433 stable to boiling and SDS ( Neutralizing Igs from Long-Term Survivors of HIV Infection Adaptive synthesis of specific Igs to microbial antigens usually entails sequence diversification at the CDRs of the B cell receptor (BCR), guided by selection pressures enabling proliferation of B cells with the highest affinity BCRs. Adaptive improvement of Igs to superantigenic epitopes is thought to be proscribed by B cell down-regulatory signals generated upon superantigen interactions at BCR FRs [125]. IgA preparations from the blood of three subjects who have survived for 18-20 years following infection by presumptive clade B HIV strains despite little or no anti-retroviral therapy (designated survivor “S18” subjects; CD4 cell counts 178-426/μl were studied. Serum IgA preparations from the S18subjects displayed readily detectable gp120 hydrolyzing activity. Identical fragmentation profiles were observed by treating biotinylated gp120 with IgA from HIV infected and non-infected humans. Diverse clade B and heterologous clade C strains were neutralized with exceptional potency by the S18IgAs ( The structure of E-416-433 used for covalent affinity chromatography is shown in Ig L Chain Subunits Directed to gp120 Residues 421-433 Previously, increased polyclonal Igs that bind the 421-436 region were observed in lupus sera [126]. It was reported that increased catalytic Igs in autoimmune diseases. Several reports have noted that HIV infection is infrequent in lupus patients [127-131]. The mechanism of increased Igs to the 421-433 region in lupus is not clear. One possibility is Ig synthesis driven by a homologous antigen. By searching the sequence databases, nucleotide sequence homology between the 421-433 region and a human endogenous retroviral sequence (HERV) was found [132]. HERV expression is increased in lupus [133]. To isolate nucleophilic antibody L chain subunits that recognize gp120 residues 421-433, a phage-displayed light chain library from lupus patients was prepared. The library was fractionated by the following two methods: (a) a two step procedure entailing covalent selection using an electrophilic hapten as described in [134] followed by non-covalent selection using the peptide corresponding to gp120 residues 421-436; and (b) a one step, affinity-driven covalent selection using the electrophilic analog of gp120 421-433 containing the phosphonate group at the C-terminus (E-421-433; Thirty-one L chains selected using the 421-436 peptide and 22 L chains selected using E-421-433 were studied for gp120 hydrolyzing activity. The proteolysis assay was conducted using biotinylated gp120 (Bt-gp120; prepared from recombinant gp120 of MN strain; baculovirus expression system) as substrate followed by SDS-electrophoresis and densitometry of streptavidin-peroxidase stained blots. The group of L chains selected using E-421-433 displayed significantly greater proteolytic activity than the 421-436 selected L chains ( Two L chains each from the 421-436 selected group (clones SK18 and SK45) and the E-421-433 selected group (clones SK2C2 and SK2F5) were assessed for their ability to neutralize a clade C HIV primary isolate (97ZA009) using peripheral blood mononuclear cells (PBMCs) as hosts. All four light chains neutralized this HIV isolate (IC50/IC80values: SK18, 0.6/2.1; SK45, 0.6/3.9; SK2C2, <0.01/0.13; SK2F5, <0.01/0.07 μg/mL). The cDNAs encoding the 421-436-selected L chains SK18 and SK45 and E-421-433 selected L chain SKL6 were sequenced. Their deduced VLdomain amino acid sequences are shown in IgV Fragments Isolated by Covalent Phage Selection with gp120 and E-gp120 To isolate nucleophilic IgV fragments, the phage-displayed IgV library derived from lupus patients was fractionated for binding to gp120 or E-gp120 ( Sixty two IgVs obtained by E-gp120 selection were assayed for gp120 hydrolysis activity along with a random collection of 61 IgVs from the source library obtained without selection. The proteolysis assay was conducted using biotinylated gp120 as in the preceding section. The E-gp120 selected group displayed significantly greater proteolytic activity than the unselected group ( About 50% of the IgV clones selected using gp120 and 100% of the clones selected using E-gp120 neutralized the clade C strain ZA009 using PBMC hosts (Table 5). The neutralizing potency of the E-gp120 selected clones was markedly superior to the gp120 selected clones, suggesting the functional advantage gained due to greater nucleophilicity (Table 5). The neutralizing potency of example IgV clones GL2, GL59 and JL427 are shown in By nucleotide sequencing, the E-gp120 selected IgVs GL2 and GL59 were identified as scFv constructs that mimic the structure of physiological Ig combining sites. The gp120 selected IgV clones JL606, JL678 and JL427 were also scFvs. As in the E-Aβ selection studies (Example 1), certain selected IgV clones contained aberrant structures. These are the heterodimeric IgVL2clone GL1, the single domain IgVH-t clone JL683 without a VL domain partner but with the expected tag at the C terminus, and the single domain IgVL-t′ clone JL651 containing a VH domain with a large internal deletion. Tag t refers to the 27 residue c-myc/his6 sequence at the C terminus, and the designation t′ is used to denote the unexpected VH peptide with tag t at the C terminus in IgVL-t′ JL651. Schematic representations of the structures and amino acid sequences of these clones are in scFv clones GL2 and JL427 neutralized diverse R5-dependent HIV strains (clades A, B, C; Table 7). Another intriguing finding is that scFv clone JL427 neutralized primary HIV strains in the PBMC assay strains but not the corresponding pseudovirions assayed in reporter cell lines. This implies that the 421-433 region may be expressed on native virions and pseudovirions in Ig-recognizable and non-recognizable conformations, respectively. Another Ig that neutralizes primary HIV isolates but not pseudovirions is reported [138]. Importantly, a recent study indicates that neutralization of primary HIV strains by Igs from certain infected subjects correlates with lack of progression whereas neutralization of pseudovirions does not [139]. For these reasons, it is appropriate to rely on infection assays using primary HIV isolates. In these assays, the 421-433 recognizing Igs surpass the potency and breadth of neutralization of other known Igs. Antigen-specific Igs are usually synthesized adaptively by mutations occurring in the CDRs. In comparison, the superantigenic site of gp120 is thought to be recognized by Igs via contacts at conserved residues located mainly in VH3 domain FR1 and FR3 with additional contributions provided by CDR 1 and CDR2 [118,119]. Conventional Igs that bind the gp120 superantigenic site predominantly utilize VH3 family genes [43], suggesting that conserved VH3 family gene elements preferentially recognize the superantigenic site by noncovalent means. Replacement of the individual FRs and CDRs in a gp120 binding VH3 family Fab by the corresponding FRs and CDRs of a non-VH3 family, non-gp120 binding Fab resulted in loss of the gp120 binding activity of the former Fab [118]. The present invention discloses FR and CDR swapping as a novel means to improve recognition of the gp120 superantigenic site by Igs. The neutralizing scFv GL2 contains a VH4 family VH domain and the neutralizing scFv JL427 contains a VH3 family VH domain. FR1, FR3, CDR1 or CDR2 of the scFv GL2 VH domain were replaced individually by the corresponding regions of the VH3 family scFv JL427. This was done by a PCR-based substitution method using mutagenic primers coding for the aforementioned scFv JL427 regions and scFv GL2 in pHEN2 plasmid as template. PCR products were treated with T4 polynucleotide kinase, DpnI to remove the methylated template DNA, and the purified mutant DNA was circularized by ligation. The DNA was sequenced to confirm the presence of the desired mutations, and mutant scFv mutants were expressed and purified by metal affinity chromatography as described [134]. ELISAs using plates coated with E-gp120 or KLH conjugated to E-416-433 were employed to determine recognition of the gp120 superantigenic site. Preparation of E-gp120 and study of its binding by the scFv constructs was as in [136]. Preparation of E-416-433 was as in [140]. This peptide analog displays improved reactivity to Igs that recognize the gp120 superantigenic site compared to E-421-433, a finding consistent with the report that inclusion of the N terminal 416-420 residues induces a conformational change in the 421-433 region [141]. E-416-433 contains phosphonates at Lys422 and Lys432. Its identity was verified by electrospray ionization-mass spectrometry. Conjugation of the peptide analog to KLH was as in [142]. The nonhydrolyzable E-antigen probes were employed (instead of unmodified gp120 and unmodified 416-433 peptide) to preclude possible hydrolysis by scFv GL2, which has the ability to catalyze gp120 degradation. The mutant scFv constructs GL2-FR1m, GL2-FR3m displayed markedly increased binding to E-gp120 and E-416-433 compared to wildtype (unmutated) scFv GL2 ( Reversibly binding IgG injected into peripheral blood can enter the brain in small amounts and help clear Aβ by mechanisms described herein ( Hydrolysis of Aβ by peripheral IgM increases the Aβ brain-periphery concentration difference and thereby enhances Aβ efflux from the brain (new Aβ hydrolyzing IgGL Sufficient amounts of the IgGL catalysts administered into peripheral blood can enter the brain and hydrolyze the brain Aβ deposits and soluble oligomers, reducing the brain Aβ burden ( Brain Aβ depletion by IgVL2-t 2E6 as potential treatment Catalytic IgVL2-t 2E6 (1 μg) was injected into the cortex of the right hemispheres of 5XFAD APP/PS1 mice (n=7). Seven days later, brain sections were stained with anti-Aβ antibody 6E10 and 4G8 and Aβ plaques were quantified relative to the total area examined ( The following references are cited herein.
CROSS-REFERENCE TO RELATED APPLICATIONS
FEDERAL FUNDING LEGEND
BACKGROUND OF THE INVENTION
Amyloid β Peptide (Aβ)
Example Function Efb Immune Impairment Protein A Immune Evasion Map19 (Eap) Immune Impairment ClfA229-54 Fibrinogen/Fibronectin Adhesin ClfB201-542 Fibrinogen/Cytokeratin Adhesin FnbpA Fibronectin Adhesin CAN Collagen Adhesin SdrE51-606 Potential Adhsin Alpha toxin Toxin LukF Toxin LukS Toxin Hepatitis C Virus (HCV)
SUMMARY OF THE INVENTION
BRIEF DESCRIPTION OF THE DRAWINGS
DETAILED DESCRIPTION OF THE INVENTION
Example 1
Catalytic Igs to Amyloid Peptide
Aβ Hydrolyzing Polyclonal IgMs
125I-Aβ1-40 hydrolyzing activity of different IgV preparations. Specific activity, fmol/h/mg protein IgV (mean ± SD) Ig MA1 MA2 AEQ IgVL2-t 2E6 380 ± 73 368 ± 40 1158 ± 285 IgVL-t′ 5D3 543 ± 270 552 ± 127 17239 ± 1481 The recombinant IgV preparations purified by one round of metal-affinity chromatography on Ni agarose (preparation “MA1”) were subjected to either another round of Ni chromatography (“MA2”) or anion exchange chromatography on MonoQ (“AEQ”). Hydrolysis assay conditions are as in FIGS. 3A-3C. Shown are specific activities expressed in fmol/h/mg protein unit (mean ± SD). Catalytic Properties
Apparent kinetic parameters for Aβ40 hydrolysis by recombinant antibody fragments. kcat/Km Catalyst Km (M) kcat(min−1) (M−1min−1) IgVL2-t 2E6 8.0 × 10−5 3.0 × 10−1 3.7 × 103 IgVL-t′ 5D3 1.7 × 10−5 1.0 5.9 × 104 Reaction rates were measured by TCA precipitation following incubation of increasing Aβ40 (0.001-40 μM) containing constant amount of125I-Aβ40 (~300000 cpm) with IgVL2-t 2E6 (3.75 μg/ml) or IgVL-t′ 5D3 (0.15 μg/ml). Kinetic constants were obtained from non-linear regression fits to the Michaelis-Menten equation (r2for IgVL2-t 2E6 and IgVL-t′ 5D3, respectively, 0.99 and 0.99. Example 2
Catalytic Igs to
Polyclonal IgG-Catalyzed Hydrolysis of Efb
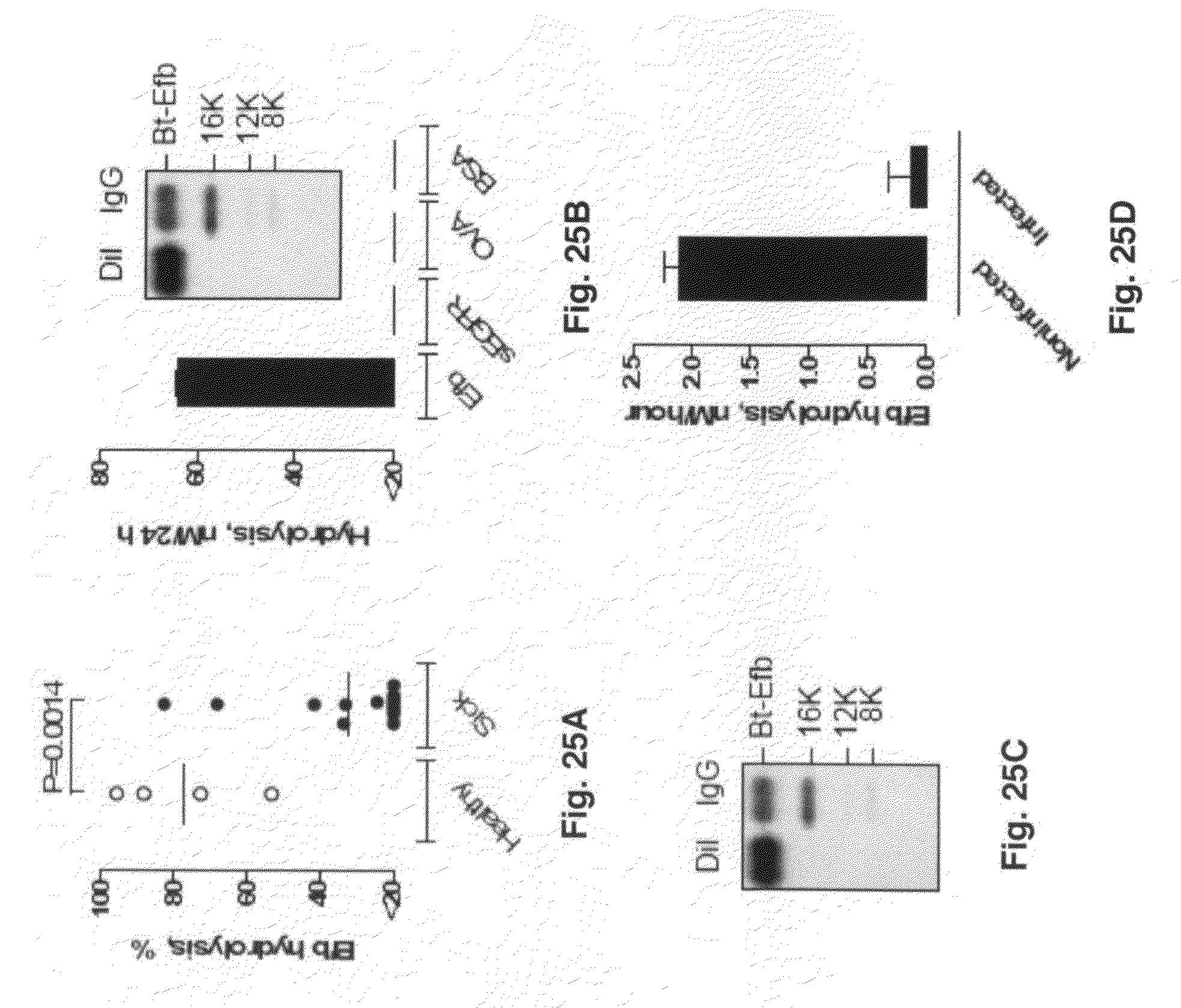
Identification of Efb-Hydrolysing IgVs
Catalytic Neutralization of the
Catalytic Igs to Additional
Example 3
Polyclonal Catalytic IgMs to Hepatitis C Virus Coat Protein E2
Hepatitis C Virus (HCV)
Example 4
Catalytic and Neutralizing Igs to HIV gp120
Heterologous clade C HIV and diverse clade B strain neutralization by IgAs from 3 S18subjects. Number of strains neutralized/Number of strains tested (IC50range; mean ± S.D, μg/ml) clade B clade C IgA 2857 3/3 (0.08-0.20; 0.12 ± 0.07) 6/6 (0.01-2.70; 0.9 ± 1.3) IgA 2866 3/3 (0.002-1.000; 0.37 ± 0.55) 7/7 (0.008-1.960; 0.5 ± 1.0) IgA 2886 3/3 (0.20-0.80; 0.53 ± 0.33) 7/7 (0.10-10.70; 2.4 ± 3.8) IgG B12 3/4 (0.90-10.00; 3.96 ± 5.22) 3/8 (4.10-10.50; 6.1 ± 3.5) Clade C strains: 97ZA009, 98TZ013, 98TZ017, Du123, Du156, Du172, Du422. Clade B strains: ADA, PAVO and QH0692. All CCR5-dependent. PBMC hosts, p24 assays. Dose-dependent HIV neutralization was evident in all assays. HIV Neutralization by Specific IgAs to 416-433 Epitope
HIV neutralization (clade C, R5, ZA009) by lupus scFv fragments selected using gp120 or E-gp120. The characteristics of the lupus library are as in ref [32]. The scFv were purified by Ni-NTA chromatography and tested for neutralization using ZA009 (clade C, R5) [35]. # of Selecting clones, # of clones, Potency (EC50, μg/ml) Antigen tested neutralized 0.25-2.5 0.025-0.25 0.0025-0.025 gp120 52 25 17 8 0 E-gp120 14 14 0 6 8 E-gp 120 selected scFv GL2 scFv GL59 IgVL2-t GL1 IC50, ng/mL 8.8 ± 5.3 (3) 2.5 ± 0.9 (6) 8.1 ± 5.8 (2) gp 120 selected IgVH-tJL683 IgVL-t′ JL651 scFv JL606 scFv JL678 scFv JL427 3.7 29.3 82.5 141.0 300 ± 350 (24) HIV, 97ZA009; host, PBMC. IC50values are in ng/mL units, and mean ± SEM are shown for clones tested in multiple independent assays (numbers in parenthesis represents the number of assays). Cross-clade HIV neutralization by lupus scFvs GL2 and JL427. Number of strains neutralized/Number of strains tested HIV (IC50 range, mean ± S.D.; μg/ml) clade scFv GL2 scFv JL427 A 2/2 (0.8-4.2; 2.5 ± 2.4) 1/1 (0.2; N/A) B 5/6 (0.007-3.7; 1.5 ± 1.9) 6/8 (0.03-5.1; 1.3 ± 2.0) C 5/5 (0.015-2.7; 0.9 ± 1.3) 6/6 (0.007-4.8; 0.9 ± 1.9) D 0/3 0/4 PBMC assays. HIV strains (clade/coreceptor strain names): A/R5 92RW008; A/X4 92USNG17; B/R5 SF162, 92BR014, BAL, PVO, TRO, ADA; B/X4 92HT599, Tybe; B/R5X4 BZ167, 92BR014; C/R5 98BR004, 97ZA009, 98TZ013, 98TZ017, Du123, Du422, Du172; D/R5 92UG266; D/X4 92UG001, 92UG266, 92UG046. Dose dependent HIV neutralization was evident in all cases. IgV FR/CDR Swapping
Example 5
Passive Immunotherapy of Alzheimer Disease with Aβ Binding and Aβ Hydrolyzing Igs
Aβ Binding IgG
Aβ Hydrolyzing IgM