патент
№ RU 2838288
МПК A61B6/51

Способ определения положения головки нижней челюсти по рентгеноанатомическим ориентирам

Авторы:
Самыкин Александр Сергеевич Беланов Вячеслав Геннадьевич Саргсян Карина Тиграновна
Все (6)
Номер заявки
2024121352
Дата подачи заявки
12.08.2024
Опубликовано
14.04.2025
Страна
RU
Как управлять
интеллектуальной собственностью
Чертежи 
4
Реферат

[110]

Изобретение относится к области медицины, а именно челюстно-лицевой хирургии. Выявляют рентгеноанатомические ориентиры краниометрических точек по изображению костей черепа в аксиальной проекции конусно-лучевой компьютерной томографии (КЛКТ). После этого определяют срединно-сагиттальную и фронтальную плоскости головки нижней челюсти (ГНЧ) и краниометрическую точку ГНЧ, образованную точкой пересечения этих плоскостей. Определяют краниометрическую точку венечного отростка нижней челюсти, сошника и клиновидной кости. Строят по краниометрическим точкам рентгеноанатомические плоскости. Определяют угловые зависимости и устойчивые рентгеноанатомические взаимосвязи между построенными плоскостями. В случае наличия ГНЧ срединно-сагиттальную плоскость ГНЧ строят через краниометрическую точку ГНЧ и подглазничное отверстие. В случае отсутствия ГНЧ срединно-сагиттальную плоскость ГНЧ строят через подглазничное отверстие и центр нижнечелюстной ямки височной кости, который определяют путем вписывания в проекцию её контуров окружности, центр которой принимают за центр ГНЧ. Затем определяют зависимости между углами, образованными при пересечении срединно-сагиттальных и фронтальных плоскостей, для определения истинного положения головки нижней челюсти по отношению к другим костям черепа. Способ позволяет на этапе планирования ортогнатической операции определить расположение головки нижней челюсти, в том числе при её отсутствии, проводить правильное позиционирование эндопротеза в пространстве нижнечелюстной ямки височной кости и последующую корректную его фиксацию к ветви нижней челюсти, устраняя при этом риски осложнения лечения и оптимизируя сроки реабилитации пациента, обеспечить предсказуемый клинический результат в реконструктивной хирургии, эндопротезировании ВНЧС и при тотальном замещении фрагментов нижней челюсти. 12 ил., 3 пр.

Формула изобретения

Способ определения положения головки нижней челюсти по рентгеноанатомическим ориентирам, заключающийся в том, что выявляют рентгеноанатомические ориентиры краниометрических точек по изображению костей черепа в аксиальной проекции конусно-лучевой компьютерной томографии (КЛКТ), после чего определяют срединно-сагиттальную и фронтальную плоскости головки нижней челюсти (ГНЧ) и краниометрическую точку ГНЧ, образованную точкой пересечения этих плоскостей; определяют краниометрическую точку венечного отростка нижней челюсти, сошника и клиновидной кости; строят по краниометрическим точкам рентгеноанатомические плоскости; определяют угловые зависимости и устойчивые рентгеноанатомические взаимосвязи между построенными плоскостями, в случае наличия ГНЧ срединно-сагиттальную плоскость ГНЧ строят через краниометрическую точку ГНЧ и подглазничное отверстие, а в случае отсутствия ГНЧ срединно-сагиттальную плоскость ГНЧ строят через подглазничное отверстие и центр нижнечелюстной ямки височной кости, который определяют путем вписывания в проекцию её контуров окружности, центр которой принимают за центр ГНЧ, после чего определяют зависимости между углами, образованными при пересечении срединно-сагиттальных и фронтальных плоскостей, для определения истинного положения головки нижней челюсти по отношению к другим костям черепа.

Описание

[1]

Изобретение относится к области медицины, а именно челюстно-лицевой хирургии, и направленно на определение положения головки нижней челюсти в пространстве нижнечелюстной ямки височной кости по краниометрическим ориентирам, полученным путем рентгеноанатомического анализа костей лицевого черепа.

[2]

Известен способ автоматической сегментации четырёх компонентов - твёрдых тканей черепа, верхнечелюстной пазухи, нижней челюсти и нижнечелюстных каналов - на конусно-лучевой компьютерной томографии (КЛКТ) лица с использованием архитектуры 3D U-Net (Ham, S. et al. Multi-structure segmentation of hard tissues, maxillary sinus, mandible, mandibular canals in cone beam CT of head and neck with 3d u-net. In 1st Conference on Medical Imaging with Deep Learning, MIDL, 2018).

[3]

Недостатком известного способа является то, что представленная модель сегментации нижней челюсти нацелена на всю нижнюю челюсть, и поэтому результатам сегментации не хватает точности в мыщелковой области для аналитических целей.

[4]

Известны способы определения линейных размеров костных элементов сустава: ширины суставной щели, длины и ширины мыщелкового отростка нижней челюсти, высоты суставного бугорка височной кости (Рабухина Н.А., 1966; Ужумецкене И.И, 1965; Хватова В.А., 1996).

[5]

Ключевыми недостатками данных методов являются:

[6]

• Отсутствие возможности дать адекватную характеристику сочленения в статике и динамике;

[7]

• Угловые показатели, в отличие от линейных, наиболее достоверны для характеристики анатомо-функционального состояния сустава.

[8]

Известен «Способ послойной съемки височно-нижнечелюстного сустава» (патент №2177722). Сущность способа заключается в том, что методом цефалометрии определены доступные анатомические ориентиры проекции срединно-сагиттальной плоскости височно-нижнечелюстного сустава (ВНЧС), позволяющие рутинно устанавливать индивидуальную глубину предполагаемого томографического слоя при съемке ВНЧС методом прицельной линейной томографии. Выявлено, что срединно-сагиттальная цефалометрическая плоскость ВНЧС во всех случаях совпадает со срединно-сагиттальной плоскостью лобного отростка скуловой кости, который формирует передний отдел латеральной стенки глазницы. Следовательно, латеральную стенку глазницы используют в качестве цефалометрической точки и индивидуального анатомического ориентира уровня томографического среза при съемке ВНЧС методом прицельной линейной томографии.

[9]

Недостатком данного способа является оценка геометрического соотношения костных элементов ВНЧС в целом, без выделения частностей, а именно головки нижней челюсти.

[10]

Наиболее близким к заявляемому способу (прототипом) является методика 3D анализа анатомических параметров ВНЧС в программе Avantis 3D (ООО «Авантис 3Д», Россия).

[11]

Сущность прототипа заключается в том, что при компьютерной обработке данных КЛКТ с выделением контуров поверхности элементов ВНЧС получали автоматизированный отчет программы Avantis 3D, включающий измерения параметров ВНЧС (ширина суставной щели в переднем, верхнем и заднем отделах, высота и наклон суставного бугорка по отношению к окклюзионной плоскости, высота и ширина головки НЧ) по каждому из суставов. Таким образом, заявленное техническое решение разработано с целью определения реконструктивной позиции нижней челюсти.

[12]

Недостатки прототипа:

[13]

При автоматическом выделении контуров поверхности элементов ВНЧС в программе Avantis 3D из-за размытых контуров головок НЧ и суставных ямок на КЛКТ или особенностей анатомии зачастую полученные поверхности пользователю приходится корректировать вручную;

[14]

Существует погрешность измерения анатомических параметров ВНЧС, связанная с необходимостью ручной коррекции поверхностей элементов ВНЧС;

[15]

Производятся измерения самого сустава в целом и его элементов, точность их измерений зависит от оператора, в результате чего невозможно определить индивидуальное расположение головки не только в нижнечелюстной ямке височной кости, а главное в пространстве по отношению к ветви н/ч и костям черепа;

[16]

При изменении положения начала координат отсчета показатели ширины суставной щели изменяются весьма значительно, причем с большим разбросом данных;

[17]

Разный наклон секущей плоскости при повторном определении полюсов головок НЧ может привести к тому, что эти полюса могут оказаться на разных сечениях, что приводит к построению различно ориентированных осей головок НЧ и что безусловно отражается на искомых показателях ширины суставной щели;

[18]

Изменение положения оси головки НЧ в 3D-пространстве изменяет положение секторов измерения ширины переднего, верхнего и заднего отделов суставной щели и в силу неравномерности этой ширины может приводить к вариабельности получаемых результатов;

[19]

Метод учета соотношения резцов по высоте прикуса невозможен при их отсутствии или травме.

[20]

Сущность способа заключается в выделении по оптической плотности поверхности головок НЧ и суставных ямок и определения расстояний между ними не на конкретном срезе, а по всей их поверхности. Ключевым в предлагаемом анализе является определение оси каждой головки НЧ (от медиального до латерального полюсов). Эта ось является центром системы координат ВНЧС, в которой и производятся все измерения. По оптической плотности программа в автоматическом режиме выделяет поверхности суставных ямок и головки НЧ.

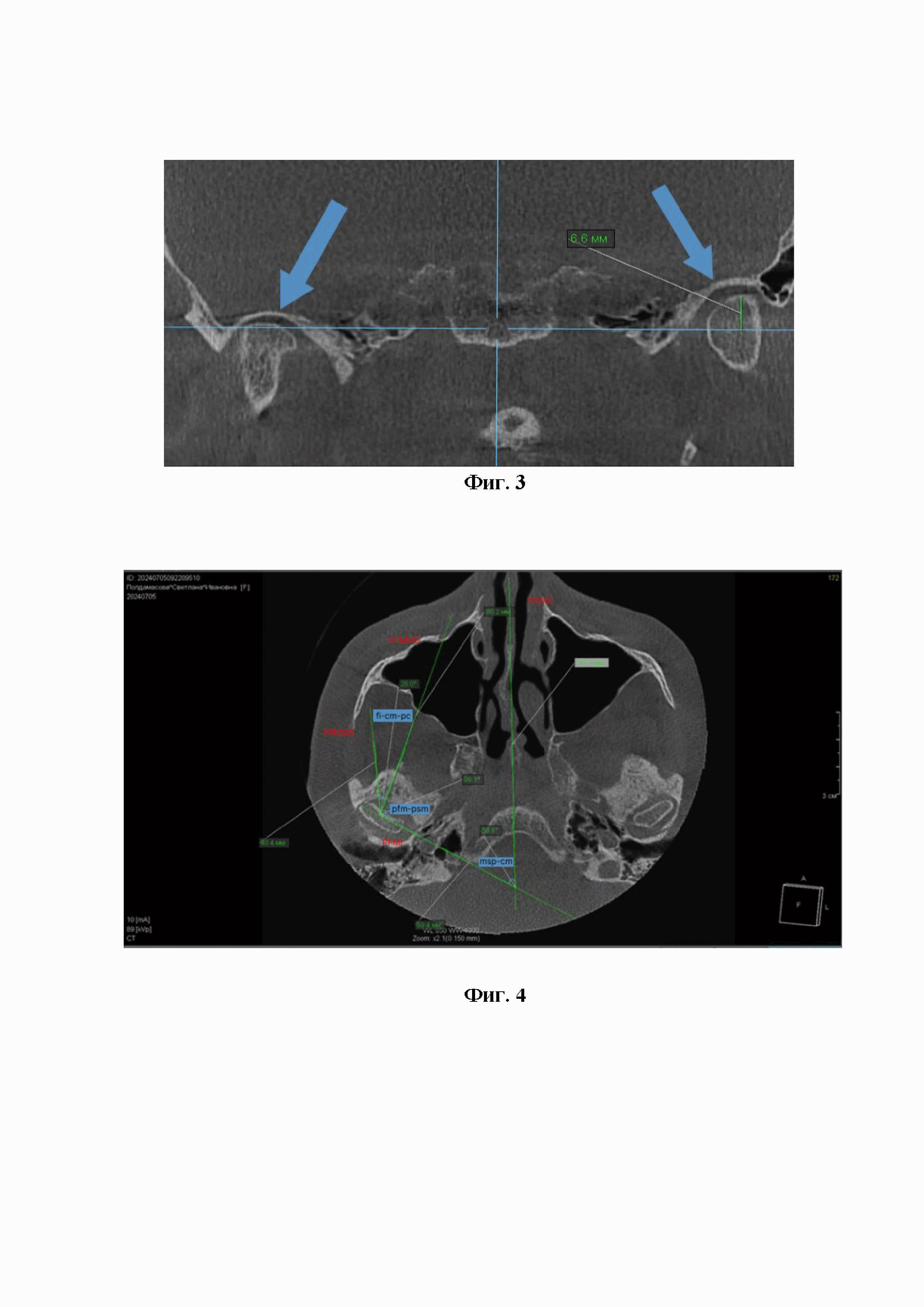
[21]

В заявленном техническом решении после виртуального позиционирования НЧ в программе Avantis 3D с учетом положения суставных головок в суставных ямках и соотношения резцов по высоте прикуса проводят планирование лечения с целью достижения правильного реконструктивного прикуса.

[22]

Задачей настоящего изобретения является устранение указанных недостатков.

[23]

Поставленная задача решается за счет того, что на КЛКТ в аксиальной проекции выявляют рентгеноанатомические ориентиры краниометрических точек, которые соответствуют критериям краниометрической точки. Алгоритм определения краниометрической точки по изображению костей черепа в аксиальной проекции КЛКТ включает: определение срединно-сагиттальной и фронтальной плоскостей головки нижней челюсти (ГНЧ) и краниометрической точки ГНЧ, образованной точкой пересечения этих плоскостей; определение краниометрической точки венечного отростка нижней челюсти, сошника и клиновидной кости; построение по краниометрическим точкам рентгеноанатомических плоскостей; определение угловых зависимостей и устойчивых рентгеноанатомических взаимосвязей между построенными плоскостями.

[24]

Способ реализуется в три этапа: 1. Расстановка краниометрических точек и построение по ним плоскостей по КЛКТ; 2. Расчет угловых зависимостей между построенными плоскостями; 3. Определение расположения головки нижней челюсти (ИЛИ Проектирование и позиционирование 3D-скульптуры эндопротеза головки нижней челюсти по выявленным показателям).

[25]

Сущность способа заключается в следующем. С целью определения положения головки нижней челюсти в пространстве нижнечелюстной ямки височной кости по краниометрическим показателям, выявляемыми методом конусно-лучевой компьютерной томографии костей черепа. Для определения рентгеноанатомических ориентиров положения ГНЧ в нижнечелюстной ямке височной кости используют метод КЛКТ костей черепа.

[26]

1. Определение краниометрических точек (фиг. 1)

[27]

В аксиальной проекции выявляют рентгеноанатомические ориентиры краниометрических точек. Алгоритм определения краниометрической точки по изображению костей черепа в аксиальной проекции КЛКТ включает: определение срединно-сагиттальной и фронтальной плоскостей ГНЧ и краниометрической точки ГНЧ, образованной точкой пересечения этих плоскостей; определение краниометрической точки венечного отростка нижней челюсти, сошника и клиновидной кости; построение по краниометрическим точкам рентгеноанатомических плоскостей; определение угловых зависимостей и устойчивых рентгеноанатомических взаимосвязей между построенными плоскостями. Таким образом, определяют топографию пяти краниометрических точек в аксиальной проекции черепа:

[28]

1.1. Краниометрическая точка ГНЧ (cáput mandibuláre - cm) - определяют топографию контуров ГНЧ в нижнечелюстной ямке височной кости. Затем с медиальной и латеральной стороны ГНЧ на поверхности выявляют вершины, максимально выступающие в полость нижнечелюстной ямки, отмечают их маркером. Соединяют прямой полученные точки и строят фронтальную ось ГНЧ. Фронтальную ось ГНЧ делят пополам и получают первую краниометрическую точку, являющуюся рентгенологической серединой фронтальной оси ГНЧ.

[29]

1.2. Краниометрическая точка (foramen infraorbitale - fi) - подглазничное отверстие: определяется в аксиальной проекции открывающимся устьем канала f. infraorbitale. на передней стенке верхнечелюстного синуса.

[30]

1.3. Краниометрическая точка (processus coronoideus - pc) - вершина венечного отростка нижней челюсти. Определяется в аксиальной проекции КЛКТ черепа.

[31]

1.4. Краниометрическая точка (pars cuneiformis vomeris - pcv) - клиновидная часть сошника, максимально выступающая вершина с латеральной поверхности в аксиальной проекции КЛКТ черепа.

[32]

1.5. Краниометрическая точка (corpus sphenoidale - cs) - тело клиновидной кости, максимально выступающая вершина с латеральной поверхности в аксиальной проекции КЛКТ черепа.

[33]

2. Построение рентгеноанатомических плоскостей по КЛКТ черепа в аксиальной проекции:

[34]

2.1. Срединно-сагиттальная плоскость ГНЧ (Planum cáput mandibuláre mid sagittalis - PCMMS) - строится через точки: cm - fi.

[35]

2.2. Срединно-сагиттальная плоскость ветви нижней челюсти (Planum ramus mandibulae mid sagittalis - PRMMS) - строится через точки: cm - pc. Венечный отросток (processus coronoideus - pc) и ветвь нижней челюсти располагаются в одной срединно-сагиттальной плоскости, в отличие от срединно-сагиттальной плоскости ГНЧ.

[36]

2.3. Срединно-сагиттальная плоскость черепа (Planum cranii mid sagittalis - PCMS) - строится через точки: латеральный край сошника - тело клиновидной кости. Для этого отмечают латеральный и медиальный края сошника, соединяют эти точки прямой и получают срединно-сагиттальную плоскость черепа.

[37]

2.4. Фронтальная плоскость головки нижней челюсти (Planum frontale mandibulae inferioris - PFMI) -с медиальной и латеральной стороны ГНЧ на поверхности выявляют вершины, максимально выступающие в полость нижнечелюстной ямки, отмечают их маркером и соединяют между собой.

[38]

Таким образом, для построения срединно-сагиттальной плоскости ГНЧ необходимо использовать подглазничное отверстие и найти вторую стабильную точку, которая бы определялась так же в аксиальной проекции на КЛКТ. При наличии ГНЧ таким ориентиром является точка пересечения срединно-сагиттальной и фронтальной плоскостей ГНЧ. Данное обстоятельство является решающим фактором при определении срединно-сагиттальной плоскости ГНЧ в клинических ситуациях, когда определение центра ГНЧ затруднительно, либо возможно только по средне-анатомическим параметрам при переломе мыщелкового отростка нижней челюсти со смещением ГНЧ или её отсутствием по другим причинам. В таких случаях в качестве краниометрической точки необходимо принять центр нижнечелюстной ямки височной кости. Для его определения на изображении КЛКТ черепа в аксиальной проекции выявляется стабильное неподвижное образование ВНЧС - нижнечелюстная ямка височной кости, в проекцию её контуров вписывается окружность, центр которой принимается за центр ГНЧ. Таким образом, используя наш способ срединно-сагиттальную плоскость ГНЧ возможно определить в как при наличии ГНЧ, так и при её отсутствии.

[39]

3. Определение зависимостей между углами, образованными при пересечении срединно-сагиттальных и фронтальных плоскостей (фиг. 2):

[40]

3.1. Угол msp-cm. Образован срединно-сагиттальной плоскостью черепа и фронтальной плоскостью ГНЧ. Данный угол показывает отношение положения головки нижней челюсти к костям мозгового отдела черепа.

[41]

3.2. Угол fi-cm-pc. Угол fi-cm-pc, образован пересечением срединно-сагиттальных плоскостей ГНЧ и ветви нижней челюсти. Значение этого угла позволяет определить угол отклонения срединно-сагиттальной плоскости ГНЧ от срединно-сагиттальной плоскости ветви нижней челюсти.

[42]

3.3. Угол pfm-psm, образованный срединно-сагиттальной и фронтальной плоскостями ГНЧ.

[43]

Предлагаемое изобретение реализовано в клинических примерах.

[44]

Клинический пример 1. Способ определения положения головки нижней челюсти в пространстве нижнечелюстной ямки височной кости по краниометрическим показателям, выявляемые методом конусно-лучевой компьютерной томографии костей черепа.

[45]

Пациентка К., 32 лет, обратилась с жалобами на эстетический дефект челюстно-лицевой области, выступание подбородочного отдела нижней челюсти. Диагноз: скелетный класс III по Энглю, истинная прогения.

[46]

Для реализации плана лечения необходимо проведение планирования плоскостной остеотомии нижней челюсти, с постановкой зубных рядов в ортогнатическое соотношение. Перед проведением операции, на этапе планирования необходимо рассчитать анатомически адекватное положение головки нижней челюсти в пространстве нижнечелюстной ямки височной кости. Для этого по изображениям КЛКТ в аксиальной проекции необходимо выбрать стабильные краниометрические точки.

[47]

1.6. Краниометрическая точка головка нижней челюсти (ГНЧ) (cáput mandibuláre - cm) - определяют топографию контуров ГНЧ в нижнечелюстной ямке височной кости. Затем с медиальной и латеральной стороны ГНЧ на поверхности выявляют вершины, максимально выступающие в полость нижнечелюстной ямки, отмечают их маркером. Соединяют прямой полученные точки и строят фронтальную ось ГНЧ. Фронтальную ось ГНЧ делят пополам и получают первую краниометрическую точку, являющуюся рентгенологической серединой фронтальной оси ГНЧ.

[48]

1.7. Краниометрическая точка (foramen infraorbitale - fi) - подглазничное отверстие: определяется в аксиальной проекции открывающимся устьем канала f. infraorbitale. на передней стенке верхнечелюстного синуса.

[49]

1.8. Краниометрическая точка (processus coronoideus - pc) - вершина венечного отростка нижней челюсти. Определяется в аксиальной проекции КЛКТ черепа.

[50]

1.9. Краниометрическая точка (pars cuneiformis vomeris - pcv) - клиновидная часть сошника, максимально выступающая вершина с латеральной поверхности в аксиальной проекции КЛКТ черепа.

[51]

1.10. Краниометрическая точка (corpus sphenoidale - cs) - тело клиновидной кости, максимально выступающая вершина с латеральной поверхности в аксиальной проекции КЛКТ черепа.

[52]

После чего проводят построение рентгеноанатомических плоскостей по указанным точкам.

[53]

• Срединно-сагиттальная плоскость ГНЧ (Planum cáput mandibuláre mid sagittalis - PCMMS) - строится через точки: cm - fi.

[54]

• Срединно-сагиттальная плоскость ветви нижней челюсти (Planum ramus mandibulae mid sagittalis - PRMMS) - строится через точки: cm - pc. Венечный отросток (processus coronoideus - pc) и ветвь нижней челюсти располагаются в одной срединно-сагиттальной плоскости, в отличие от срединно-сагиттальной плоскости ГНЧ.

[55]

• Срединно-сагиттальная плоскость черепа (Planum cranii mid sagittalis - PCMS) - строится через точки: латеральный край сошника - тело клиновидной кости. Для этого отмечают латеральный и медиальный края сошника, соединяют эти точки прямой и получают срединно-сагиттальную плоскость черепа.

[56]

• Фронтальная плоскость головки нижней челюсти (Planum frontale mandibulae inferioris - PFMI) - с медиальной и латеральной стороны ГНЧ на поверхности выявляют вершины, максимально выступающие в полость нижнечелюстной ямки, отмечают их маркером и соединяют между собой.

[57]

Далее определяем углы, образованные при пересечении срединно-сагиттальных и фронтальных плоскостей (фиг.1).

[58]

3.4. Угол msp-cm равен слева 68.3°, справа 66.4°. Данный угол образован срединно-сагиттальной плоскостью черепа и фронтальной плоскостью ГНЧ. Данный угол показывает отношение положения головки нижней челюсти к костям мозгового отдела черепа.

[59]

3.5. Угол fi-cm-pc равен слева 12.5°, справа 15.6°. Данный угол образован пересечением срединно-сагиттальных плоскостей ГНЧ и ветви нижней челюсти. Значение этого угла позволяет определить угол отклонения срединно-сагиттальной плоскости ГНЧ от срединно-сагиттальной плоскости ветви нижней челюсти.

[60]

3.6. Угол pfm-psm, образованный срединно-сагиттальной и фронтальной плоскостями ГНЧ равен слева 90.8°, справа 91.5°.

[61]

На этапе оперативного вмешательства, нижняя челюсть была разъединена на три фрагмента, два из которых правый и левый ВНЧС. Для сохранения физиологичного положения головок, после фиксации фрагментов в новое положение, должно сохраниться физиологичное залегание головок в суставных впадинах. Провели определение этого физиологичного положения для планирования позиционирования разъединённых фрагментов по отношению друг к другу и их корректной фиксации.

[62]

Результат: во время проведения оперативного вмешательства плоскостная остеотомия нижней челюсти смогли установить в правильное индивидуальное положение головки нижней челюсти в пространстве.

[63]

Клинический пример 2. Способ определения положения головки нижней челюсти в пространстве нижнечелюстной ямки височной кости по краниометрическим показателям, выявляемые методом конусно-лучевой компьютерной томографии костей черепа и построение вписанных в анатомическое образование окружностей для определения мезио-дистальных размеров головки.

[64]

Пациентка П., 67 лет, обратилась с жалобами на болезненность в области ВНЧС справа, невозможность открывания полости рта. Диагноз: дистальное положение головок нижней челюсти, не вправляемый вывих диска ВНЧС.

[65]

На КЛКТ нижней челюсти в сагиттальной проекции видно дистальное положение головки в нижнечелюстной ямке височной кости справа, сдавление сосудисто-нервного пучка (фиг. 2). Дистализация правой головки нижней челюсти составляет 6.6 мм (фиг. 3).

[66]

Для реализации плана лечения на этапе планирования необходимо рассчитать индивидуальные угловые показатели положения головки нижней челюсти в пространстве нижнечелюстной ямки височной кости. Для этого по изображениям КЛКТ в аксиальной проекции необходимо выбрать стабильные краниометрические точки.

[67]

1. Краниометрическая точка головка нижней челюсти (ГНЧ) (cáput mandibuláre - cm) - определяют топографию контуров ГНЧ в нижнечелюстной ямке височной кости. Затем с медиальной и латеральной стороны ГНЧ на поверхности выявляют вершины, максимально выступающие в полость нижнечелюстной ямки, отмечают их маркером. Соединяют прямой полученные точки и строят фронтальную ось ГНЧ. Фронтальную ось ГНЧ делят пополам и получают первую краниометрическую точку, являющуюся рентгенологической серединой фронтальной оси ГНЧ.

[68]

2. Краниометрическая точка (foramen infraorbitale - fi) - подглазничное отверстие: определяется в аксиальной проекции открывающимся устьем канала f. infraorbitale. на передней стенке верхнечелюстного синуса.

[69]

3. Краниометрическая точка (processus coronoideus - pc) - вершина венечного отростка нижней челюсти. Определяется в аксиальной проекции КЛКТ черепа.

[70]

4. Краниометрическая точка (pars cuneiformis vomeris - pcv) - клиновидная часть сошника, максимально выступающая вершина с латеральной поверхности в аксиальной проекции КЛКТ черепа.

[71]

5. Краниометрическая точка (corpus sphenoidale - cs) - тело клиновидной кости, максимально выступающая вершина с латеральной поверхности в аксиальной проекции КЛКТ черепа.

[72]

После чего проводят построение рентгеноанатомических плоскостей по указанным точкам.

[73]

• Срединно-сагиттальная плоскость ГНЧ (Planum cáput mandibuláre mid sagittalis - PCMMS) - строится через точки: cm - fi.

[74]

• Срединно-сагиттальная плоскость ветви нижней челюсти (Planum ramus mandibulae mid sagittalis - PRMMS) - строится через точки: cm - pc. Венечный отросток (processus coronoideus - pc) и ветвь нижней челюсти располагаются в одной срединно-сагиттальной плоскости, в отличие от срединно-сагиттальной плоскости ГНЧ.

[75]

• Срединно-сагиттальная плоскость черепа (Planum cranii mid sagittalis - PCMS) - строится через точки: латеральный край сошника - тело клиновидной кости. Для этого отмечают латеральный и медиальный края сошника, соединяют эти точки прямой и получают срединно-сагиттальную плоскость черепа.

[76]

• Фронтальная плоскость головки нижней челюсти (Planum frontale mandibulae inferioris - PFMI) -с медиальной и латеральной стороны ГНЧ на поверхности выявляют вершины, максимально выступающие в полость нижнечелюстной ямки, отмечают их маркером и соединяют между собой.

[77]

Далее определяем углы, образованные при пересечении срединно-сагиттальных и фронтальных плоскостей (фиг.4).

[78]

3.7. Угол msp-cm равен справа 58.8°. Данный угол образован срединно-сагиттальной плоскостью черепа и фронтальной плоскостью ГНЧ. Данный угол показывает отношение положения головки нижней челюсти к костям мозгового отдела черепа.

[79]

3.8. Угол fi-cm-pc равен справа 26. Данный угол образован пересечением срединно-сагиттальных плоскостей ГНЧ и ветви нижней челюсти. Значение этого угла позволяет определить угол отклонения срединно-сагиттальной плоскости ГНЧ от срединно-сагиттальной плоскости ветви нижней челюсти.

[80]

3.9. Угол pfm-psm, образованный срединно-сагиттальной и фронтальной плоскостями ГНЧ равен справа 99.1°.

[81]

Необходимо определить правильное положение головки нижней челюсти для моделирования позиционирующей окклюзионной шины. Для этого в программе для ЭВМ по 3D-рентгенологическому изображению нижней челюсти в сагиттальной проекции по контору анатомического образования расставляли маркеры, по которым вписывается окружность. После расстановки 9 маркеров по объектам сравнения строится треугольник, с вершинами в центрах окружностей, с выявляемыми и подписанными углами (фиг. 5). Угол альфа - показатель дистализации головки в межбугорковом положении зубных рядов, он равен 168.795°. Угол бетта-показатель положения головки относительно суставного бугорка, он равен 6.4917°.

[82]

Результат: правильно спозиционировали головку нижней челюсти в определенном положении в пространстве височно-нижнечелюстного сустава и зафиксировали с помощью индивидуальной позиционирующей окклюзионной шины.

[83]

Клинический пример 3. Способ определения положения головки нижней челюсти в пространстве нижнечелюстной ямки височной кости по краниометрическим показателям, выявляемые методом конусно-лучевой компьютерной томографии костей черепа и построение вписанных в анатомическое образование окружностей для определения положения головки по отношению к ветви нижней челюсти.

[84]

Пациентка Б., 41 год, обратилась с жалобами на деформацию нижней челюсти, нарушение прикуса, нарушение открывания рта. Диагноз: посттравматическая деформация нижней челюсти.

[85]

Для реализации плана лечения необходимо проведение планирования скульптуры для первичного эндопротезирования нижней челюсти. Замещение дефекта происходит посредством установки индивидуального имплантата на планируемый участок области интереса и фиксацией его винтами по антропометрическим данным пациента. Проводим расчет индивидуальных угловых показателей положения головки нижней челюсти в пространстве нижнечелюстной ямки височной кости в исходном положении. Для этого по изображениям КЛКТ в аксиальной проекции необходимо выбрать стабильные краниометрические точки.

[86]

5.1. Краниометрическая точка головка нижней челюсти (ГНЧ) (cáput mandibuláre - cm) - определяют топографию контуров ГНЧ в нижнечелюстной ямке височной кости. Затем с медиальной и латеральной стороны ГНЧ на поверхности выявляют вершины, максимально выступающие в полость нижнечелюстной ямки, отмечают их маркером. Соединяют прямой полученные точки и строят фронтальную ось ГНЧ. Фронтальную ось ГНЧ делят пополам и получают первую краниометрическую точку, являющуюся рентгенологической серединой фронтальной оси ГНЧ.

[87]

5.2. Краниометрическая точка (foramen infraorbitale - fi) - подглазничное отверстие: определяется в аксиальной проекции открывающимся устьем канала f. infraorbitale. на передней стенке верхнечелюстного синуса.

[88]

5.3. Краниометрическая точка (processus coronoideus - pc) - вершина венечного отростка нижней челюсти. Определяется в аксиальной проекции КЛКТ черепа.

[89]

5.4.Краниометрическая точка (pars cuneiformis vomeris - pcv) - клиновидная часть сошника, максимально выступающая вершина с латеральной поверхности в аксиальной проекции КЛКТ черепа.

[90]

5.5. Краниометрическая точка (corpus sphenoidale - cs) - тело клиновидной кости, максимально выступающая вершина с латеральной поверхности в аксиальной проекции КЛКТ черепа.

[91]

После чего проводят построение рентгеноанатомических плоскостей по указанным точкам.

[92]

• Срединно-сагиттальная плоскость ГНЧ (Planum cáput mandibuláre mid sagittalis - PCMMS) - строится через точки: cm - fi.

[93]

• Срединно-сагиттальная плоскость ветви нижней челюсти (Planum ramus mandibulae mid sagittalis - PRMMS) - строится через точки: cm - pc. Венечный отросток (processus coronoideus - pc) и ветвь нижней челюсти располагаются в одной срединно-сагиттальной плоскости, в отличие от срединно-сагиттальной плоскости ГНЧ.

[94]

• Срединно-сагиттальная плоскость черепа (Planum cranii mid sagittalis - PCMS) - строится через точки: латеральный край сошника - тело клиновидной кости. Для этого отмечают латеральный и медиальный края сошника, соединяют эти точки прямой и получают срединно-сагиттальную плоскость черепа.

[95]

• Фронтальная плоскость головки нижней челюсти (Planum frontale mandibulae inferioris - PFMI) -с медиальной и латеральной стороны ГНЧ на поверхности выявляют вершины, максимально выступающие в полость нижнечелюстной ямки, отмечают их маркером и соединяют между собой.

[96]

Далее определяем углы, образованные при пересечении срединно-сагиттальных и фронтальных плоскостей (фиг.6).

[97]

3.10. Угол msp-cm равен слева 55.1°, справа 47.2°. Данный угол образован срединно-сагиттальной плоскостью черепа и фронтальной плоскостью ГНЧ. Данный угол показывает отношение положения головки нижней челюсти к костям мозгового отдела черепа.

[98]

3.11. Угол fi-cm-pc равен слева 37.8°, справа 34.4°. Данный угол образован пересечением срединно-сагиттальных плоскостей ГНЧ и ветви нижней челюсти. Значение этого угла позволяет определить угол отклонения срединно-сагиттальной плоскости ГНЧ от срединно-сагиттальной плоскости ветви нижней челюсти.

[99]

3.12. Угол pfm-psm, образованный срединно-сагиттальной и фронтальной плоскостями ГНЧ равен слева 113°, справа 115.6°.

[100]

Для определения области наложения пластины необходимо определить физиологичное положение головок нижней челюсти для правильного позиционирования пластины относительно ветви нижней челюсти. Для этого в программе для ЭВМ по 3D-рентгенологическому изображению нижней челюсти в сагиттальной проекции по контору анатомического образования расставляли маркеры, по которым вписывается окружность. После расстановки 9 маркеров по объектам сравнения строится треугольник, с вершинами в центрах окружностей, с выявляемыми и подписанными углами (фиг. 7). Угол альфа - показатель дистализации головки в межбугорковом положении зубных рядов, он равен 25.5278°. Угол бетта-показатель положения головки относительно суставного бугорка, он равен 129.8683°.

[101]

На фиг. 8 визуализация индивидуального имплантата на планируемый участок левого и правого височно-нижнечелюстного сустава.

[102]

Результат: успешное проведение оперативного вмешательства первичного эндопротезирования нижней челюсти с установкой головок нижней челюсти в адекватное физиологичное положение относительно ветви нижней челюсти.

[103]

Таким образом, для корректного проектирования и позиционирования 3D-скульптуры эндопротеза головки нижней челюсти выявлены стабильные краниометрические координаты срединно-сагиттальной и фронтальной плоскостей головки нижней челюсти. Это позволяет на этапе планирования ортогнатической операции определять расположение головки нижней челюсти, в том числе при её отсутствии, проводить правильное позиционирование эндопротеза в пространстве нижнечелюстной ямки височной кости и последующую корректную его фиксацию к ветви нижней челюсти, устраняя при этом риски осложнения лечения и оптимизируя сроки реабилитации пациента.

[104]

Технологическими и клиническими результатами использования предлагаемого способа являются:

[105]

1. Определены краниометрические точки, по которым производится расчет краниометрических показателей в трех плоскостях для использования при 3D-моделировании биоинженерной конструкции головки и ветви нижней челюсти.

[106]

2. Выявлены устойчивые взаимосвязи между краниометрическими показателями, позволяющими определить расположение головки нижней челюсти в пространстве нижнечелюстной ямки височной кости, в том числе при её отсутствии.

[107]

3. При моделировании головки нижней челюсти необходимо учитывать, что её срединно-сагиттальная плоскость откланяется в диапазоне от 2,5 до 4,4 градусов от срединно-сагиттальной плоскости ветви нижней челюсти.

[108]

4. Предлагаемый способ предотвращает некорректное проектирования и позиционирования 3D-скульптуры эндопротеза головки нижней челюсти в пространстве нижнечелюстной ямки височной кости и последующую корректную его фиксацию к ветви нижней челюсти.

[109]

5. Обеспечивает предсказуемый клинический результат в реконструктивной хирургии, эндопротезировании ВНЧС и при тотальном замещении фрагментов нижней челюсти.

Как компенсировать расходы
на инновационную разработку
Похожие патенты