Изобретение относится к области радиохимии, в частности к способам разделения лютеция и иттербия. Способ получения фармацевтической субстанции на основе лютеция-177 из облученного в ядерном реакторе иттербия-176 включает приготовление рабочего раствора разделяемых элементов в соляной кислоте. При пропускании рабочего раствора через колонку сорбируют иттербий и лютеций-177 в верхней части термостатируемой колонки при температуре 50-80°С, имеющей высоту слоя сорбента не менее 20 см. Для элюирования лютеция-177 и иттербия последовательно используют дистиллированную воду и раствор α-гидроксиизобутирата аммония концентрацией от 0,1 до 0,3 моль/л, с рН от 3,5 до 5,0, со скоростью фильтрации от 0,1 до 1,0 мл/(мин⋅см2). Из фракции лютеция-177 приготавливают рабочий раствор c pH от 2 до 5 и проводят разделение повторно. Раствор, содержащий лютеций-177, после второго разделения упаривают досуха и растворяют в соляной кислоте концентрацией от 0,01 до 0,1 моль/л, фасуют во флаконы по 10 ГБк. Изобретение позволяет получать фармацевтическую субстанцию на основе лютеция-177 без носителя для последующего синтеза радиофармацевтических препаратов. 7 ил., 2 табл.
Способ получения фармацевтической субстанции на основе лютеция-177 из облученного в ядерном реакторе иттербия-176, включающий приготовление рабочего раствора разделяемых элементов в соляной кислоте, сорбцию лютеция-177 и иттербия из рабочего раствора на колонке, содержащей в качестве сорбента аммонийную ионную форму сильнокислого сульфокатионита на основе сополимера стирола и дивинилбензола, объем сорбента в колонке устанавливают с учетом массы иттербия в рабочем растворе, размер частиц сорбента составляет 200-400 меш (38-75 мкм), промывку колонки дистиллированной водой, разделение лютеция-177 и иттербия посредством промывки колонки раствором α-гидроксиизобутирата аммония, порционный сбор (фракционирование) вытекающего из колонки раствора (элюата), а также повторное катионообменное разделение лютеция-177 и иттербия, отличающийся тем, что доводят pH рабочего раствора до значения в интервале от 2 до 5 с помощью раствора гидроксида аммония концентрацией 2 моль/л, при пропускании которого через колонку сорбируют иттербий и лютеций-177 в верхней части термостатируемой колонки при температуре 50-80°С, имеющей высоту слоя сорбента не менее 20 см, причем отношение высоты колонки к её диаметру составляет не менее 10, для элюирования лютеция-177 и иттербия последовательно используют дистиллированную воду и раствор α-гидроксиизобутирата аммония концентрацией от 0,1 до 0,3 моль/л, с рН от 3,5 до 5,0, со скоростью фильтрации от 0,1 до 1,0 мл/(мин⋅см2), непрерывную сорбцию лютеция и иттербия осуществляют в индивидуальные ионообменные колонки, содержащие в качестве сорбента H+-форму сильнокислого сульфокатионита на основе сополимера стирола и дивинилбензола,
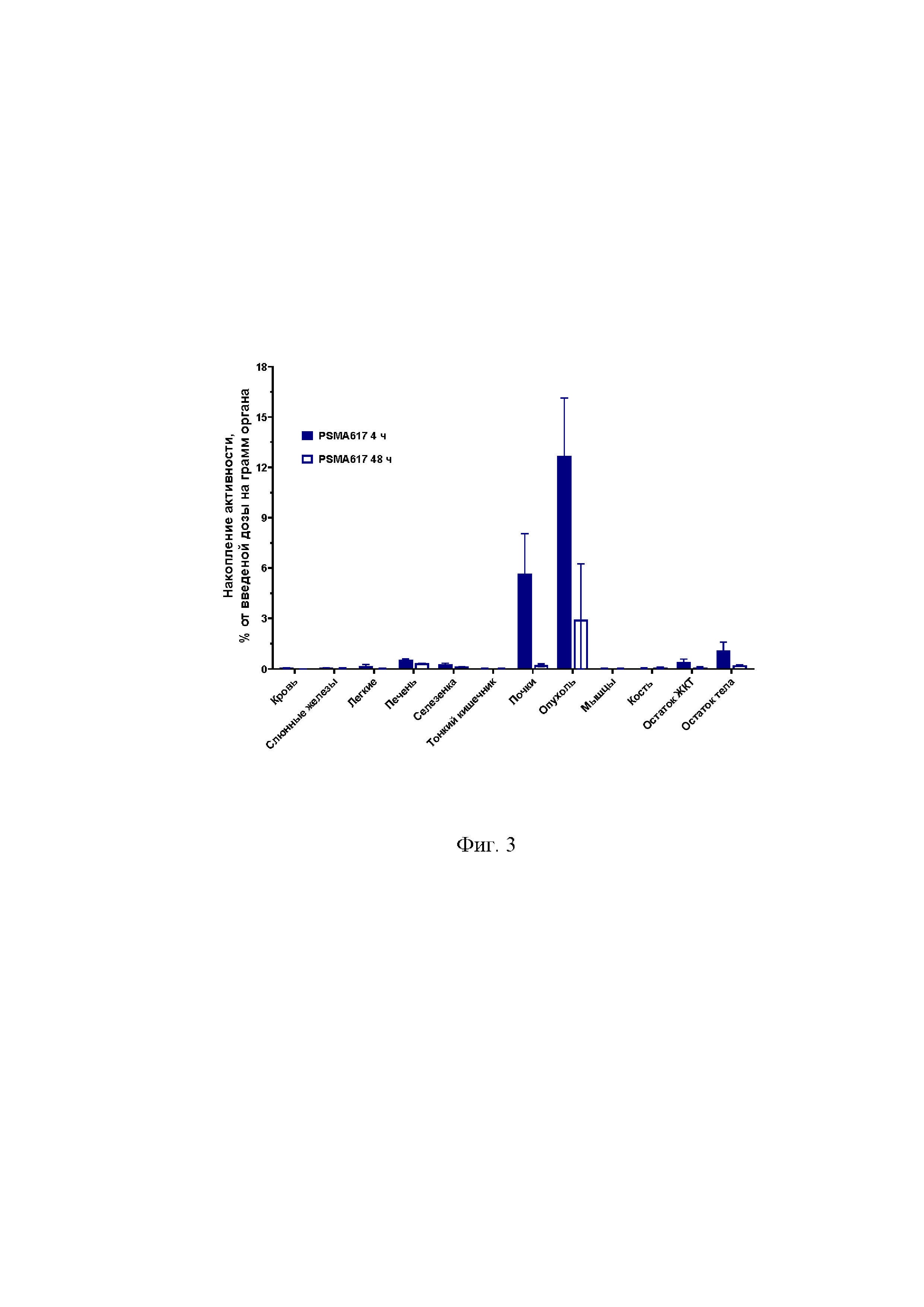
Изобретение относится к области радиохимии, в частности к способам разделения лютеция и иттербия при переработке облученной мишени иттербия-176 с получением фармацевтической субстанции на основе лютеция-177 без носителя для радионуклидной терапии. Известен способ получения радиоизотопа лютеций-177 [RU 2542733 С1, МПК G21G 1/10 (2006.01), опубл. 27.02.2013], заключающийся в облучении нейтронами мишени176Yb, последующем ее растворении, сорбции на катионите КУ-2-8 в NH4+ форме, элюирование иттербия и177Lu с использованием 0,07N раствора α-изомасляной кислоты и последующей очистке на катионообменной колонке КУ-2-8 в H+ форме, десорбция177Lu с которой осуществлялась 0,5N соляной кислоте. Недостатком этого способа является неоптимальный выбор концентрации минеральной кислоты для десорбции177Lu со второй ионообменной колонки. Кроме того, в описании способа не определены диапазоны значений параметров, при которых достигается эффективное разделение лютеция и иттербия, а также не установлено влияние этих параметров на технологический выход целевого радионуклида лютеция-177 и степени его чистоты. Известен способ получения высокочистых соединений177Lu, свободных от носителя [п. 1 ф-лы RU 2573475 С2, МПК (2006.01) G21G 4/04, G21G 4/08, C01F 17/00, B01J 45/00, опубл. 20.01.2016], заключающийся в облучении тепловыми нейтронами мишени176Yb, последующем ее растворении в минеральной кислоте, сорбцию и элюирование177Lu и иттербия раствором комплексона, выбранного из α-гидроксиизобутирата [HIBA], лимонной кислоты, цитрата, масляной кислоты, бутирата, ЭДТА, ЭГТА смешанным с ионами аммония. Элюирование осуществляют при градиенте концентрации комплексона от 100% Н2О до 0,2 Μ. После сбора элюата177Lu путем определения уровня радиоактивного излучения его подкисляют и сорбируют на катионообменной смоле. Промывку от комплексона осуществляют минеральной кислотой с концентрацией менее 0,1 М, а от следов ионов других металлов - минеральной кислотой с концентрацией от 0,1-2,5 М. Элюирование осуществляют минеральной кислотой с концентрацией от 3 до 12 М с последующим выпариванием фракции177Lu. Недостатком данного способа является длительность процесса из-за его многостадийности. Известен способ катионообменного выделения радионуклида лютеция-177 из облученного в ядерном реакторе иттербия [RU 2763745 C1, МПК (2006.01) G21G 1/06, C22B 59/00, опубл. 10.01.2022], выбранный в качестве прототипа, включающий приготовление рабочего раствора разделяемых элементов в азотной или соляной кислоте с концентрацией в интервале 0,01-0,15 моль/л, сорбцию лютеция-177 и иттербия из рабочего раствора на колонке, содержащей в качестве сорбента аммонийную ионную форму сильнокислого сульфокатионита с микропористой структурой матрицы на основе сополимера стирола и дивинилбензола. Высота слоя сорбента составляет не менее 45см, а объем сорбента в колонке устанавливают с учетом массы иттербия в рабочем растворе, но не более 4 мг иттербия в расчете на 1 см3 сорбента, размер частиц сорбента составляет 200-400 меш (38-75 мкм). Осуществляют последовательную промывку колонки раствором минеральной кислоты (азотной или соляной) и деионизованной водой. Разделение лютеция-177 и иттербия осуществляют посредством промывки колонки раствором α-гидроксиизобутирата аммония с концентрацией в интервале от 0,065 до 0,075 моль/л, имеющие рН=5,0, а скорость фильтрации растворов через колонку устанавливают в интервале от 1,0 до 1,2 мл/(см2⋅мин). Осуществляют порционный сбор (фракционирование) вытекающего из колонки раствора (элюата), отбор фракций элюата, удовлетворяющих требованию по степени очистки содержащегося в них лютеция-177 от иттербия и очистки данных фракций от α-гидроксиизобутирата аммония, а также повторное катионообменное разделение лютеция-177 и иттербия, содержащихся во фракциях элюата, не удовлетворяющих требованиям по степени очистки содержащегося в них лютеция-177 от иттербия. Недостатком этого способа является использование колонок, в которых высота слоя сорбента составляет не менее 45 см, что увеличивает время элюирования готовой субстанции с лютецием-177 и объем элюирующего раствора, что в свою очередь снижает объемную активность лютеция-177 в готовой субстанции. Техническим результатом изобретения является разработка способа получения фармацевтической субстанции на основе лютеция-177 без носителя для синтеза радиофармацевтических препаратов. Предложенный способ получения фармацевтической субстанции на основе лютеция-177 из облученного в ядерном реакторе иттербия-176, также как в прототипе, включает приготовление рабочего раствора разделяемых элементов в соляной кислоте, сорбцию лютеция-177 и иттербия из рабочего раствора на колонке, содержащей в качестве сорбента аммонийную ионную форму сильнокислого сульфокатионита на основе сополимера стирола и дивинилбензола, объем сорбента в колонке устанавливают с учетом массы иттербия в рабочем растворе, размер частиц сорбента составляет 200-400 меш (38-75 мкм), промывку колонки дистиллированной водой, разделение лютеция-177 и иттербия посредством промывки колонки раствором α-гидроксиизобутирата аммония, порционный сбор (фракционирование) вытекающего из колонки раствора (элюата), а также повторное катионообменное разделение лютеция-177 и иттербия. Согласно изобретению, доводят pH рабочего раствора до значения в интервале от 2 до 5 с помощью раствора гидроксида аммония концентрацией 2 моль/л,при пропускании которого через колонку сорбируют иттербий и лютеций-177 в верхней частитермостатируемой колонки при температуре 50-80°С, имеющей высоту слоя сорбента не менее 20 см. Причем отношение высоты колонки к ее диаметру составляет не менее 10. Для элюирования лютеция-177 и иттербия последовательно используют дистиллированную воду и раствор α-гидроксиизобутирата аммония концентрацией от 0,1 до 0,3 моль/л, с рН от 3,5 до 5,0, со скоростью фильтрации от 0,1 до 1,0 мл/(мин⋅см2). Непрерывную сорбцию лютеция и иттербия осуществляют в индивидуальные ионообменные колонки, содержащие в качестве сорбента H+-форму сильнокислого сульфокатионита на основе сополимера стирола и дивинилбензола. Технический результат достигается за счет проведения разделения иттербия от лютеция-177 при повышенной температуре. Температура колонки является одним из основных параметров, определяющих продолжительность разделения, селективность сорбента, а также размывание хроматографических полос. Изменение температуры влияет на кинетику процесса, то есть на скорость установления равновесия, и на реакцию комплексообразования в растворе. Увеличение температуры аналогично увеличению дисперсности фазы ионообменника, что приводит к заметному улучшению качества разделения благодаря сужению пиков. Изменение температуры сказывается на комплексообразовании, которое протекает в зависимости от свойств и взаимных соотношений форм комплексных соединений, образующихся в растворе. Также технический результат достигается при использовании колонок с меньшей высотой слоя сорбента, что снижает количество неактивных химических примесей, содержащихся в используемых растворах, которые в свою очередь загрязняют фармацевтическую субстанцию. Важным техническим результатом является снижение времени упаривания раствора с лютецием-177 после второго разделения и упрощение процедуры упаривания меньшего объема элюирующего раствора. Снижение высоты слоя сорбента в колонке, в совокупности со снижением объема элюирующего раствора существенно уменьшает габариты установки, что позволяет размещать ее в меньших боксах. На фиг. 1 приведена элюационная кривая после 1-й разделительной колонки. На фиг. 2 приведены результаты оценки специфичности связывания 177Lu-PSMA617 в клеточных линиях с высокой экспрессией ПСМА (LnCap) и низкой экспрессией (РС-3). На фиг. 3 приведены результаты биораспределения 177Lu-PSMA617 в мышах Nu/j с ПСМА-экспрессируемыми LnCap ксенографтами. На фиг. 4 приведен гамма-спектр рабочего раствора до разделения, полученный с использованием метода гамма-спектрометрии. На фиг. 5 приведен гамма-спектр фракции лютеция-177 после разделения. На фиг. 6 приведен гамма-спектр фракции иттербия после разделения. На фиг. 7 приведена элюационная кривая после 2-й разделительной колонки. В таблице 1 представлены результаты получения доз фармацевтической субстанции на основе лютеция-177 активностью 10 ГБк при использовании термостатируемой колонки с высотой слоя сорбента 20 см в зависимости от изменяемых параметров процесса разделения. В таблице 2 представлены результаты анализа качества готовой фармацевтической субстанции на основе лютеция-177. Пример 1. 10 мг облученного в потоке нейтронов оксида иттербия, обогащенного по изотопу иттербий-176 до 99,59%, растворили в 6М соляной кислоте объемом 2 мл и доводили до рН 3,5 раствором гидроксида аммония 2М. Получили рабочий раствор. Измеряли активность лютеция-177 в рабочем растворм гамма спектрометрическим методом. Активность составила 11,56 ГБк. Рабочий раствор пропускали через термостатируемую разделительную колонку, содержащую 20 см по высоте колонки ионообменной смолы Dowex50WX8 с размером частиц 200-400 меш в NH4+форме при температуре 65°С, при этом лютеций-177 и иттербий сорбировали в верхней ее части. Отношение высоты колонки к ее диаметру составляло 10. После сорбции через колонку последовательно пропускали 20 мл дистиллированной воды и раствор α-гидроксиизобутирата аммония с концентрацией 0,125 моль/л и рН 4,2 со скоростью 0,45 мл/(мин⋅см2). При этом на выходе из колонки элюат непрерывно анализировали с помощью гамма-счетчика и направляли лютеций-177 и иттербий на непрерывную сорбцию в индивидуальные ионообменные колонки, заполненные ионообменной смолой Dowex50WX8 (200-400 меш) в H+форме, для очистки от α-гидроксиизобутирата аммония и концентрирования, а раствор, не содержащий лютеций-177 и иттербий направляли в отходы. Строили элюационную кривую разделения радионуклидов на первой разделительной колонке, представленной на фиг. 1 После сорбции лютеция-177 и иттербия каждую колонку последовательно промывали 10мл раствором соляной кислоты с концентрацией 0,5 моль/л, а затем лютеций-177 и иттербий элюировали 2 мл 6М раствора соляной кислоты. Каждую фракцию лютеция-177 и иттербия собирали в отдельные флаконы измеряли их активности спектрометрически. Активность лютеция-177 составила 11,32 ГБк в пересчете на дату и время начала процесса. Фракцию лютеция-177 объемом 2 мл в растворе соляной кислоты концентрацией 6 моль/л доводили до рН 3,5 раствором гидроксида аммония 2М и выполняли процедуру очистки лютеция-177 от примесей иттербия аналогично описанной выше процедуре с рабочим раствором Активность лютеция-177 составила 11,21 ГБк в пересчете на дату и время начала процесса. Суммарные потери лютеция-177 рассчитывали относительно активности в рабочем растворе и во фракции после второго разделения, которые составили 3,01%. Очищенную фракцию лютеция-177 упаривали досуха и растворяли в 270 мкл 0,05 М соляной кислоте. Отбирали 10 ГБк (1 доза) во флакон, закрывали резиновой пробкой, укупоривали алюминиевым колпачком и стерилизовали влажным паром при температуре 120°C, давлении 120 кПа в течение 8 минут. Получили стерильную фармацевтическую субстанцию. Общий выход с учетом потерь лютеция-177 при разделении и радиоактивного распада лютеция-177 составил 89,5%. Результаты получения лютеция-177 активностью 10 ГБк приведены в таблице 1. Анализ качества фармацевтической субстанции проводили по показателям, перечисленным в таблице 2. Подлинность определяли спектрометрически по линиям 208 и 113 кэВ и периоду полураспада лютеция-177 (6,7 дн.). на гамма-спектрометрическом детекторе GS2018, Canberra. Радиохимическую чистоту определяли методом тонкослойной хроматографии на хроматографической бумаге ITLC-SG, Agilent. Химические примеси определяли на спектрометре эмиссионном с индуктивно связанной плазмой ICPE 9000, Shimadzu. Радионуклидную чистоту и удельную активность лютеция-177 определяли на гамма-спектрометрическом детекторе GS2018, Canberra. Также определяли бактериальные эндотоксины и стерильность. Результаты анализа качества фармацевтической субстанции представлены в таблице 2. Оценку специфичности связывания и биораспределения осуществляли путем синтеза полученной активной фармацевтической субстанции на основе лютеция-177 с PSMA-617 и последующими экспериментами на клеточных линиях и мышах. Результаты представлены на фиг. 2 и 3. Примеры 2-9. Получение фармацевтической субстанции и анализ ее качества проводили аналогично примеру 1 с параметрами и результатами проведения процессов, указанных в таблицах 1 и 2. Результаты сравнения полученных спектров рабочего раствора (фиг. 4) и фракций с лютецием-177 (фиг. 5) и иттербием (фиг. 6) после второго разделения показывают, что общий выход лютеция-177 после двух разделений составляет более 88,9%. Из фиг. 5 видно, что во фракции лютеция-177 отсутствуют пики169Yb,175Yb, а из фиг. 6 видно, что во фракции иттербия отсутствует пик177Lu, что свидетельствует об эффективном разделении. Элюационная кривая после первого разделения лютеция-177 и иттербия, приведенная на фиг. 1, показывает, что пики лютеция-177 и иттербия имеют незначительное перекрытие между собой, что свидетельствует о неполном разделении. После второго разделения лютеция-177 и иттербия (фиг. 7) пики симметричны, имеют форму гаусовской кривой и не перекрывают друг друга, что говорит о полном разделении лютеция-177 и иттербия. Результаты оценки специфичности связывания177Lu-PSMA617 в клеточных линиях с высокой экспрессией ПСМА (LnCap) и низкой экспрессией (РС-3) представлены на фиг. 2. Данные представлены как среднее значение ± стандартное отклонение (n=3). Концентрация177Lu-PSMA617 составляла 1 нмоль/л. Блокирование ПСМА на поверхности клеток проводили путем добавления 500 нмоль/л немеченого PSMA617. Рассматривали биораспределение в мышах после 4 ч и 48 ч после инъекции, 160 кБк (80 пмоль пептида)/мышь. Результаты биораспределения177Lu-PSMA617 в мышах Nu/j с ПСМА-экспрессируемыми LnCap ксенографтами представлены на фиг. 3. Поглощение представлено как % ВД/г ± SD (среднее значение % введенной дозы на грамм органа ± стандартное отклонение (n=4)). В почках наблюдается накопление в связи с тем, что они являются выводящим органом. Полученные данные говорят о достаточном накоплении в опухоли препарата177Lu-PSMA617, полученного из фармацевтической субстанции на основе лютеция-177 из облученного нейтронами иттербия. Таким образом, полученная фармацевтическая субстанция на основе лютеция-177 может быть использована как субстанция для синтеза с векторными молекулами, применяемыми для лечения онкозаболеваний.
