патент
№ RU 2810272
МПК A61B17/80

Способ последовательного минимально-инвазивного остеосинтеза плечевой кости в нижней трети пластиной при огнестрельных переломах

Авторы:
Фоос Иван Владимирович Шакун Дмитрий Анатольевич Щукин Алексей Вячеславович
Все (7)
Номер заявки
2023101527
Дата подачи заявки
23.01.2023
Опубликовано
25.12.2023
Страна
RU
Как управлять
интеллектуальной собственностью
Чертежи 
3
Реферат

[27]

Изобретение относится к медицине, а именно к травматологии и ортопедии, и может быть использовано для остеосинтеза плечевой кости в нижней трети пластиной при огнестрельных переломах. Выполняют проксимальный доступ через трехглавую мышцу плеча к задней поверхности средней трети плеча длиной 8 см. Мобилизуют лучевой нерв, проходящий в спиральном канале плечевой кости. Осуществляют доступ в нижней трети плечевой кости по задне-наружному краю плеча к наружному мыщелку длиной 5 см. Вводят пластину через дистальный доступ под трехглавой мышцей. Проводят ее эпипериостально над местом перелома и выводят проксимальный конец пластины в рану, при этом пластина должна находиться между плечевой костью и лучевым нервом. Устанавливают дистальный край ее по задней поверхности на наружном мыщелке, а проксимальный - по задней поверхности верхней трети диафиза плечевой кости. Выполняют окончательную репозицию плечевой кости под контролем электронно-оптического преобразователя и фиксируют пластину в проксимальном и дистальном фрагментах не менее чем тремя винтами с угловой стабильностью каждый. Способ обеспечивает эффективную и безопасную фиксацию костных отломков при огнестрельных переломах диафиза плечевой кости в нижней трети, и, как следствие, восстановление ее анатомии за счет визуализации и мобилизации лучевого нерва в спиральном канале плечевой кости. 4 ил., 1 пр.

Формула изобретения

Способ минимально-инвазивного остеосинтеза плечевой кости в нижней трети пластиной при огнестрельных переломах, отличающийся тем, что выполняют проксимальный доступ через трехглавую мышцу плеча к задней поверхности средней трети плеча длиной 8 см, при этом мобилизуют лучевой нерв, проходящий в спиральном канале плечевой кости; затем осуществляют доступ в нижней трети плечевой кости по задне-наружному краю плеча к наружному мыщелку длиной 5 см; далее вводят пластину через дистальный доступ под трехглавой мышцей; проводят ее эпипериостально над местом перелома и выводят проксимальный конец пластины в рану, при этом пластина должна находиться между плечевой костью и лучевым нервом, устанавливают дистальный край ее по задней поверхности на наружном мыщелке, а проксимальный - по задней поверхности верхней трети диафиза плечевой кости; после чего выполняют окончательную репозицию плечевой кости под контролем электронно-оптического преобразователя и фиксируют пластину в проксимальном и дистальном фрагментах не менее, чем тремя винтами с угловой стабильностью каждый.

Описание

[1]

Изобретение относится к области медицины, а именно к травматологии и ортопедии, и предназначено для оперативного лечения раненых с огнестрельными переломами диафиза плечевой кости в нижней трети.

[2]

Известно, что в локальных вооруженных конфликтах при огнестрельных переломах костей конечностей плечевая кость повреждается довольно часто и составляет 22,3% случаев. В настоящий момент, по мнению многих отечественных и зарубежных ученых, наиболее оптимальным вариантом лечения огнестрельных переломов является последовательный остеосинтез, а именно, первичная фиксация костей методом внешнего остеосинтеза (до улучшения состояния раненого, показателей крови, и заживания ран) с последующим переходом на внутреннею фиксацию. Использование внутренних фиксаторов позволяет наиболее эффективно восстанавливать функцию поврежденной конечности. Самым безопасным для пациента, с точки зрения возможных инфекционных осложнений, является минимально инвазивный остеосинтез. Эта методика предполагает имплантацию в поврежденный сегмент раненого внутреннего фиксатора через небольшие разрезы, которые не сообщаются непосредственно с зоной огнестрельного перелома.

[3]

В современной научной литературе, мы не нашли сведений о минимально инвазивной технике внутреннего остеосинтеза, используемой при переломах плечевой кости в нижний трети.

[4]

Известен способ фиксации отломков диафиза плечевой кости спице-стержневым аппаратом, предложенным на кафедре военной травматологии и ортопедии ВМедА (Хоминец В.В. Лечение раненых в конечности в войнах и вооруженных конфликтах: монография / В.В. Хоминец, В.М. Шаповалов, С.В. Михайлов, Л.К. Брижань. - Санкт-Петербург: историческая иллюстрация, 2021. С. 138-144).

[5]

Недостатками применения этого способа являются риск повреждения сосудов и нервов, локальный («спицевой») остеомиелит, вторичное смещение отломков, перелом стержня или спицы, некроз кожи от давления частями аппарата, контактный дерматит, стойкие контрактуры суставов. По данным научной литературы, частота возникновения ложных суставов плечевой кости при лечении аппаратами внешней фиксации составляет 7-13%, сращений с деформацией 11-18%, замедленной консолидации 14-27%.

[6]

Известен также способ традиционного накостного остеосинтеза плечевой кости задним доступом (Томас П. Рюди, Ричард Е. Бакли, Кристофер Г. Моран АО - Принципы лечения переломов. Второе переработанное и дополненное издание. Перевод на русский язык Александра А. Ситника. Том 2 - частная травматология, 2013. С. 595-608.). Данный вид остеосинтеза выполняют только после ранней компенсации или субкомпенсации основных жизнеобеспечивающих систем при развитии травматической болезни у пострадавших с тяжелыми ранениями, сопровождающимися шоком, и коррекция кровопотери, неосложненного заживления ран (дефектов) покровных тканей, отсутствия воспалительных изменений ран и тканей вокруг элементов аппарата внешней фиксации, а также системных признаков воспаления.

[7]

Однако, недостатками применения вышеуказанного способа являются широкое обнажение зоны огнестрельного перелома плечевой кости через скомпрометированные мягкие ткани для осуществления открытой репозиции и внутренней фиксации. Это, в свою очередь, может привести к нарушению кровоснабжения и, как вследствие, увеличению риска несращения и инфекционных осложнений.

[8]

Целью изобретения является создание эффективного и безопасного способа фиксации костных отломков при огнестрельных переломах диафиза плечевой кости в нижней трети.

[9]

Достижение поставленной цели осуществляют путем минимально инвазивного, последовательного остеосинтеза плечевой кости. Для этого пациента укладывают на бок, руку располагают на смягченном валике диаметром около 4 см с возможностью сгибания предплечья до 120°. Выполняют проксимальный доступ через трехглавую мышцу плеча к задней поверхности средней трети плеча длиной 8 см; При этом необходимо ревизовать и мобилизовать лучевой нерв, проходящий в спиральном канале плечевой кости. Затем осуществляют доступ в нижней трети плечевой кости по задне-наружному краю плеча к наружному мыщелку длиной 5 см; далее вводим пластину через дистальный доступ под трехглавой мышцей; проводим ее эпипериостально над местом перелома и выводим проксимальный конец пластины в рану. При этом важно, чтобы пластина находилась между плечевой костью и лучевым нервом (нерв над пластиной). Устанавливают дистальный край пластины по задней поверхности на наружном мыщелке, а проксимальный - по задней поверхности верхней трети диафиза плечевой кости; после чего выполняют окончательную репозицию плечевой кости под контролем электронно-оптического преобразователя и фиксируют пластину в проксимальном и дистальном фрагментах не менее чем 3-мя винтами с угловой стабильностью каждый.

[10]

Применение данного способа фиксации отломков плечевой кости позволяет обеспечить ее надежную и стойкую стабилизацию без ограничения подвижности в прилежащих суставах, что улучшает результат лечения.

[11]

Изобретение поясняется следующими фигурами.

[12]

Фиг. 1. Рентгенограммы левого плеча, на котором определяется многооскольчатый перелом плечевой кости в нижней трети со смещением отломков. Левая плечевая кость фиксирована внешним аппаратом из комплекта стержневого военно-полевого (КСВП) на 4-х стержнях.

[13]

Фиг. 2. Представлены хирургические доступы к плечевой кости: проксимальный, визуализирован лучевой нерв. (2) и дистальный (3). Края проксимальной раны разведены ранорасширителем (1).

[14]

Фиг. 3. Показана установленная пластина с угловой стабильностью винтов по задней поверхности плечевой кости через минимально инвазивные доступы (4).

[15]

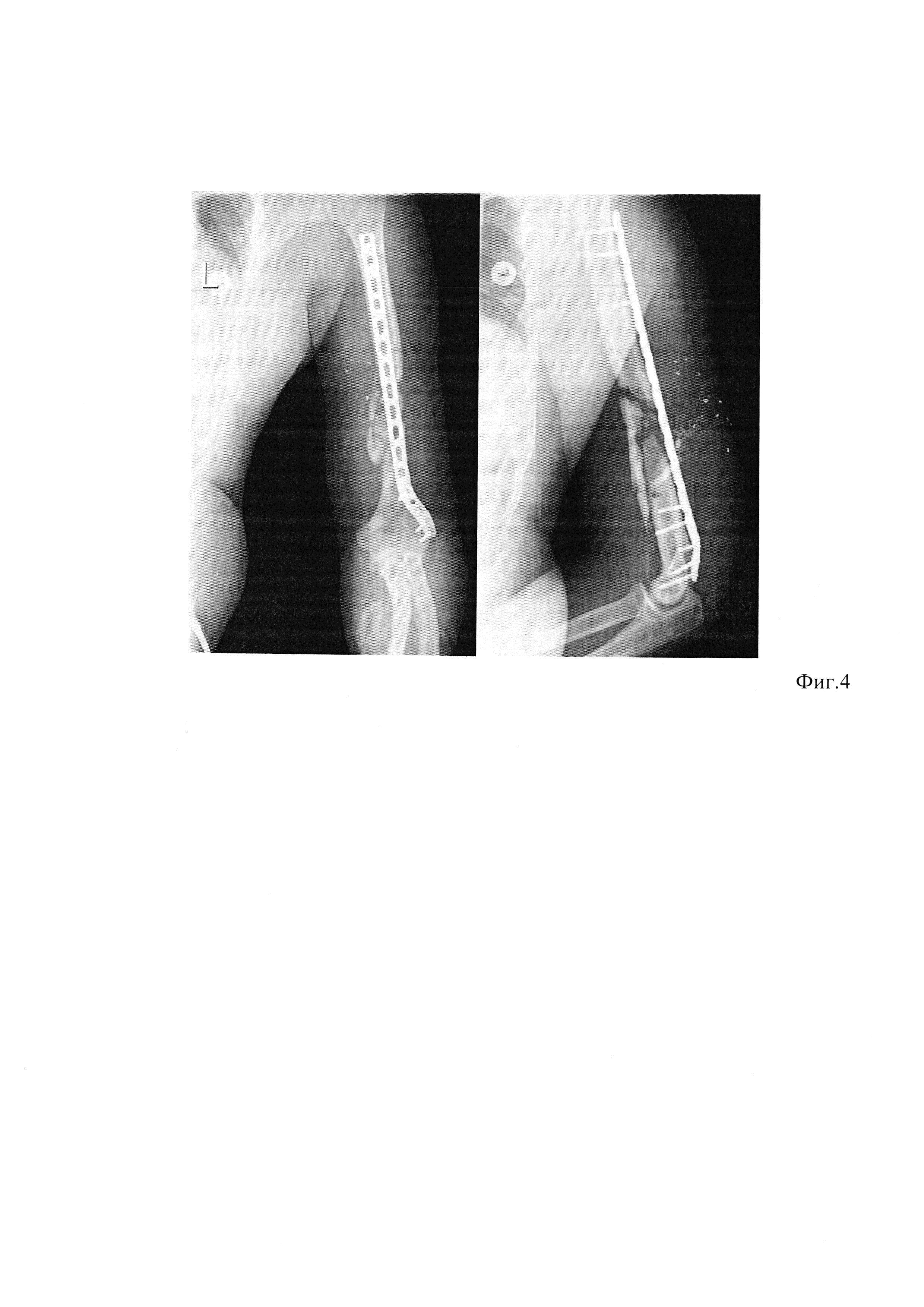
Фиг. 4. Рентгенограмма левого плеча на 1-е сутки после операции, на которой плечевая кость фиксирована пластиной с угловой стабильностью винтов, при этом проксимальный отломок фиксирован 3-мя винтами, а дистальный - 5-мя винтами. Проксимальный конец пластины прилежит к задней поверхности верхней трети диафиза, дистальный конец - к задней поверхности наружного мыщелка плечевой кости.

[16]

На фиг. 2 приняты следующие обозначения:

[17]

1 - ранорасширитель, установленный в проксимальную рану;

[18]

2 - проксимальный доступ к плечевой кости по задней поверхности;

[19]

3 - задне-наружный доступ к плечевой кости в нижней трети. На фиг. 3 приняты следующие обозначения:

[20]

4 - установлена пластина с угловой стабильностью винтов по задней поверхности плечевой кости через минимально инвазивные доступы.

[21]

Способ осуществляем следующим образом.

[22]

Способ последовательного минимально-инвазивного остеосинтеза плечевой кости в нижней трети пластиной при огнестрельных переломах выполняем в несколько последовательных этапа. Положение пациента на здоровом боку, поврежденную верхнюю конечность укладываем на приставку или валик, при этом предплечье устанавливаем в среднее положение между супинацией и пронацией. Первым этапом выполняем проксимальный доступ через трехглавую мышцу плеча 2 длиной 8 см до задней поверхности средней трети плечевой кости (фиг. 2). При этом, в процессе выполнения доступа выполняем визуализацию и мобилизацию лучевого нерва из спирального канала, при необходимости, невролиз. Вторым этапом выполняем доступ в нижней трети плечевой кости по задне-наружному краю плеча и на 1,5-2 см проксимальнее наружного мыщелка 3 длиной 5 см (фиг. 2). Рассекаем трехглавую мышцу плеча по ходу мышечных волокон до наружного мыщелка плечевой кости. Следующим этапом вводим пластину с угловой стабильностью винтов в сформированном подмышечном тоннеле, скользя по задней поверхности плечевой кости (фиг. 3). При этом направитель сверла для винтов с угловой стабильностью вводят в одно из отверстий и используют его как рукоятку. Затем ассистент под контролем ЭОП выполняет закрытую репозицию костных отломков плечевой кости, а хирург, при этом, аккуратно продолжает вводить пластину эпипериостально, проходя снизу-вверх над зоной перелома. Через дистальный доступ на плече дистальный край пластины укладываем по задней поверхности наружного мыщелка. Далее проксимальный конец пластины временно фиксируем к диафизу плечевой кости спицей Киршнера. Под контролем ЭОП окончательно выполняем закрытую репозицию костных отломков плечевой кости (ось, длину и ротацию) и дистальный конец пластины, корректно сориентированной на наружном мыщелке плечевой кости, фиксируем винтами. Производим фиксацию проксимального конца пластины к плечевой кости винтами с угловой стабильностью, (фиг. 4). В области хирургических доступов устанавливаем дренаж. Послойно ушиваем операционные раны.

[23]

Пример практического использования способа.

[24]

Раненый Р., 32 лет, получил огнестрельное осколочное сквозное ранение левого плеча с огнестрельным многооскольчатым переломом плечевой кости в нижней трети со смещением отломков.

[25]

На одном из этапах медицинской эвакуации пострадавшему выполнена операция: первичная хирургическая обработка ран левого плеча, фиксация левого плеча аппаратом КСВП (фиг. 1 А, Б). Через 2 суток после ранения пациент доставлен в клинику военной травматологии и ортопедии ВМедА. При обследовании выявлено огнестрельное осколочное сквозное ранение левого плеча с огнестрельным многооскольчатым переломом плечевой кости в нижней трети со смещением отломков (фиг. 1 А, Б). В клинике раненому ежедневно выполняли перевязки ран правого плеча с мазью левомеколь, получал комплексное консервативное лечение, а именно: антибактериальную терапию широкого спектра действия, анальгетики. Пострадавшему на 6 сутки после поступления выполнен первично отсроченный шов ран левого плеча. На 18-е сутки после поступления в клинику отмечено заживление огнестрельных ран мягкотканого покрова левого плеча. Через 3 недели от момента ранения выполнена операция: демонтаж аппарата КСВП, закрытая репозиция, минимально-инвазивный остеосинтез левой плечевой кости пластиной с угловой стабильностью винтов (фиг. 3, 4). В послеоперационном периоде на протяжении трех недель проводили иммобилизацию оперированной конечности косыночной повязкой. Активные движения в плечевом и локтевом суставах начинали со вторых-третьих суток после операции по стиханию болевого синдрома.

[26]

По разработанной методике прооперированы четыре пациента. У всех получены удовлетворительные анатомические и функциональные результаты.

Как компенсировать расходы
на инновационную разработку
Похожие патенты