патент
№ RU 2732697
МПК A61B8/00

Способ определения жесткости костной мозоли ультразвуковой эластографией сдвиговой волны

Авторы:
Гарифуллов Гамиль Гакильевич
Номер заявки
2019134980
Дата подачи заявки
30.10.2019
Опубликовано
21.09.2020
Страна
RU
Как управлять
интеллектуальной собственностью
Чертежи 
4
Реферат

[49]

Изобретение относится к медицине, а именно, к ультразвуковой диагностике, и может быть использовано для определения жесткости костной мозоли ультразвуковой эластографией сдвиговой волны. Исследование проводят на ультразвуковых сканерах, снабженных опцией «Эластография сдвиговой волны», с использованием линейных датчиков частотой 2-15 МГц, в В-режиме, и режиме цветового доплеровского картирования (ЦДК). Ультразвуковой датчик устанавливают в проекции зоны интереса. Проводят активное полипозиционное сканирование. Неподвижно фиксируют положение датчика, включают режим ультразвуковой эластографии сдвиговой волны (УЭСВ), программу «мышечно-скелетная система». При этом участки различной жесткости картируются разными цветами, что отражается на цветовой шкале монитора. Вращая трекбол, подводят в зону интереса один или несколько контрольных объемов, свободно перемещаемых и изменяемых по размерам. При этом на мониторе отображаются количественные показатели жесткости в кПа. Способ обеспечивает определение жесткости костной мозоли за счет применения ультразвуковой эластографии сдвиговой волны. 2 пр., 7 ил.

Формула изобретения

Способ определения жесткости костной мозоли ультразвуковой эластографией сдвиговой волны, включающий визуализацию области перелома, отличающийся тем, что исследование проводят на ультразвуковых сканерах, снабженных опцией «Эластография сдвиговой волны», с использованием линейных датчиков частотой 2-15 МГц, в В-режиме, и режиме цветового доплеровского картирования (ЦДК), ультразвуковой датчик устанавливают в проекции зоны интереса, проводят активное полипозиционное сканирование, неподвижно фиксирует положение датчика, включают режим ультразвуковой эластографии сдвиговой волны (УЭСВ), программу «мышечно-скелетная система», при этом участки различной жесткости картируются разными цветами, что отражается на цветовой шкале монитора, вращая трекбол подводят в зону интереса один или несколько контрольных объемов, свободно перемещаемых и изменяемых по размерам, при этом на мониторе отображаются количественные показатели жесткости в кПа.

Описание

[1]

Изобретение относится к медицине, а именно, к ультразвуковой диагностике, и может быть использовано в травматологии и ортопедии для диагностики заживления костей при переломах, с применением ультразвуковой эластографии сдвиговой волны, позволяющей исследовать жесткость костной мозоли на разных сроках ее формирования.

[2]

Эластография - современная ультразвуковая технология, с помощью которой появилась возможность исследовать упругость, эластичность и жесткость тканей методом качественного и количественного анализа [1, 2]. Это исследование основано на поперечном акустическом импульсе, который используется для создания сдвиговых волн, измерив, скорость распространения которых специалист получает количественную оценку жесткости ткани. Исследование отличается неинвазивностью, высокой точностью, комфортно и безвредно для пациента.

[3]

При переломах костей актуальным являются своевременное и правильное формирование костной мозоли. В настоящее время контроль состояния костных отломков и костной мозоли осуществляется рентгенологическими методами (рентгенография, рентгеновская денситометрия, рентгеновская компьютерная томография), которые выявляют минеральную плотность костей и костной мозоли. Различают три стадии формирования костной мозоли: соединительнотканная стадия - наблюдается в течение 7-12 дней после перелома; остеоидная - на 12-20 день после перелома; и костная стадия - с 20-22 дня после перелома [3, 4, 5], причем первые две стадии формирования костной мозоли рентгенологически не определяются, обнаружить мозоль возможно лишь с началом ее обызвествления. Таким образом, в течение 3-4 недель после перелома контролировать формирование костной мозоли не удается и, соответственно, нет возможности корректировать тактику ведения пациента. Нормальной жесткости костная мозоль достигает в течение 2-6 месяцев, в зависимости от вида кости, и характера перелома. При этом зачастую, сроки иммобилизации передерживаются. Поскольку у травматологов нет способа точного определения жесткости костной мозоли, врачу легче перестраховаться, чем не додержать сроки иммобилизации. Рентгенологический способ определения минеральной плотности костей и костной мозоли взят нами за прототип.

[4]

Ультразвуковая эластография сдвиговой волны (УЭСВ) обеспечивает статистически значимое определение жесткости костной мозоли на разных сроках ее формирования после перелома, в том числе, на ранних сроках, начиная с 5-7 дня после перелома. Поскольку ионизирующая доза облучения отсутствует, то есть возможность многократного повторения исследования, как в условиях стационара, так и амбулаторно, и получения точной оценки формирования костной мозоли по количественным результатам в режиме реального времени.

[5]

Целью изобретения является создание информативного способа определения жесткости костной мозоли ультразвуковой эластографией сдвиговой волны на разных сроках после перелома.

[6]

Сущность изобретения состоит в совокупности существенных признаков, достаточной для достижения искомого технического результата, состоящего в повышении чувствительности и точности диагностики формирования костной мозоли способом, не причиняющим вреда здоровью пациента, с применением новых критериев ее оценки, с использованием ультразвуковой эластографии сдвиговой волны.

[7]

Физической основой эластографии является способность материалов по-разному сопротивляться растяжению-сжатию при упругой деформации, которая характеризуется модулем Юнга, выражающим в числах свойства конкретной материи, и определяется по формуле:

[8]

Е=3рС2 где:

[9]

Е - модуль упругости Юнга (Ра);

[10]

С - скорость сдвиговой волны (см/сек);

[11]

р - плотность вещества (кг/м3).

[12]

Из уравнения Юнга мы видим, что скорость С прямо пропорциональна упругости ткани Е, то есть чем выше скорость, тем выше упругость и жесткость.

[13]

Сдвиговая волна представляет собой упругую поперечную волну, отличающуюся от продольной ультразвуковой волны [6, 7, 8], смещения частиц среды при этом перпендикулярны направлению распространения волны. Сам принцип действия способа основан на генерации в тканях сдвиговой волны и последующей оценке скорости ее продвижения, которая в ультразвуковом аппарате картируется цветом. Красным цветом, или синим, в зависимости от производителя ультразвуковых аппаратов, чаще всего окрашиваются более упругие, жесткие структуры. Вслед за изучением цветовых эластограмм, проводят эластометрию с помощью одного, или нескольких, пробных объемов, свободно перемещаемых, и изменяемых по размерам. Цифровые данные могут быть представлены либо в виде показателей скорости сдвиговых волн (м/с), либо в единицах упругости (кРа). Наши многочисленные исследования показали, что в зависимости от вида кости, и степени нагрузки на нее, в норме жесткость костной ткани, у взрослых составляет 380-500 кПа. Например, в норме большеберцовая кость имеет жесткость до 480-500 кПа, а малоберцовая кость - до 400-450 кПа. Эти количественные показатели позволяют делать заключения о состоянии костной мозоли в процессе заживления перелома.

[14]

Сущность способа определения жесткости костной мозоли ультразвуковой эластографией сдвиговой волны включает визуализацию области перелома. Исследование проводят на ультразвуковых сканерах, снабженных опцией «Эластография сдвиговой волны», с использованием линейных датчиков частотой 2-15 МГц, в В-режиме, и режиме цветового доплеровского картирования (ЦДК). Ультразвуковой датчик устанавливают в проекции зоны интереса, проводят активное полипозиционное сканирование, неподвижно фиксируют положение датчика, включают режим УЭСВ, программу «мышечно-скелетная система». Участки различной жесткости картируются разными цветами, что отражается на цветовой шкале монитора. Вращая трекбол, подводят в зону интереса один, или несколько, контрольных объемов, свободно перемещаемых, и изменяемых по размерам, при этом на мониторе отображаются количественные показатели жесткости в кПа.

[15]

Ультразвуковые сканеры, снабженные опцией «Эластография сдвиговой волны», и линейные датчики с частотой 2-15 МГц - необходимое оборудование для осуществления предложенного способа, с применением поперечных ультразвуковых волн.

[16]

Работа в В-режиме позволяет точно определить границы костных отломков и мозоли, а в режиме ЦДК - исключить интерпозицию - внедрение каких-либо тканей между отломками кости, что препятствует репозиции и консолидации этих отломков.

[17]

Ультразвуковой датчик устанавливают в проекции зоны интереса, проводят активное полипозиционное сканирование, неподвижно фиксируют положение датчика для получения корректных поперечных волн.

[18]

Включение режима УЭСВ, программы «мышечно-скелетная система» - позволяет определить качество мозоли - участки различной жесткости будут картироваться разными цветами, что отражается на цветной шкале монитора.

[19]

Вращение трекбола, подведение в зону интереса одного, или несколько, контрольных объемов, свободно перемещаемых, и изменяемых по размерам, позволяет получить на мониторе количественные показатели жесткости мозоли в кПа.

[20]

Способ поясняют иллюстрации.

[21]

На фиг. 1 - фиг. 4 приведены иллюстрации к клиническому примеру №1, где: на фиг. 1 - Эхограмма зоны перелома левой большеберцовой кости пациентки Н. через 2 месяца после остеосинтеза в режиме ЦДК, на которой видна хорошая васкуляризация в зоне костной мозоли;

[22]

На фиг. 2 - Эластограмма зоны перелома левой большеберцовой кости пациентки Н. через 2 месяца после остеосинтеза в режиме УЭСВ. Жесткость костной мозоли 340,3 кПа.

[23]

На фиг. 3 - Эхограмма зоны перелома левой большеберцовой кости через 4 месяца после остеосинтеза в режиме ЦДК. Количество сосудов в зоне костной мозоли значительно уменьшилось на фоне увеличения жесткости.

[24]

На Фиг. 4 - Эластограмма зоны перелома левой большеберцовой кости через 4 месяца в режиме УЭСВ. Жесткость костной мозоли 542,2 кПа (норма), жесткость мягких тканей 44 кПа (норма).

[25]

На фиг. №5 - фиг. №7 - иллюстрации к клиническому примеру №2, где:

[26]

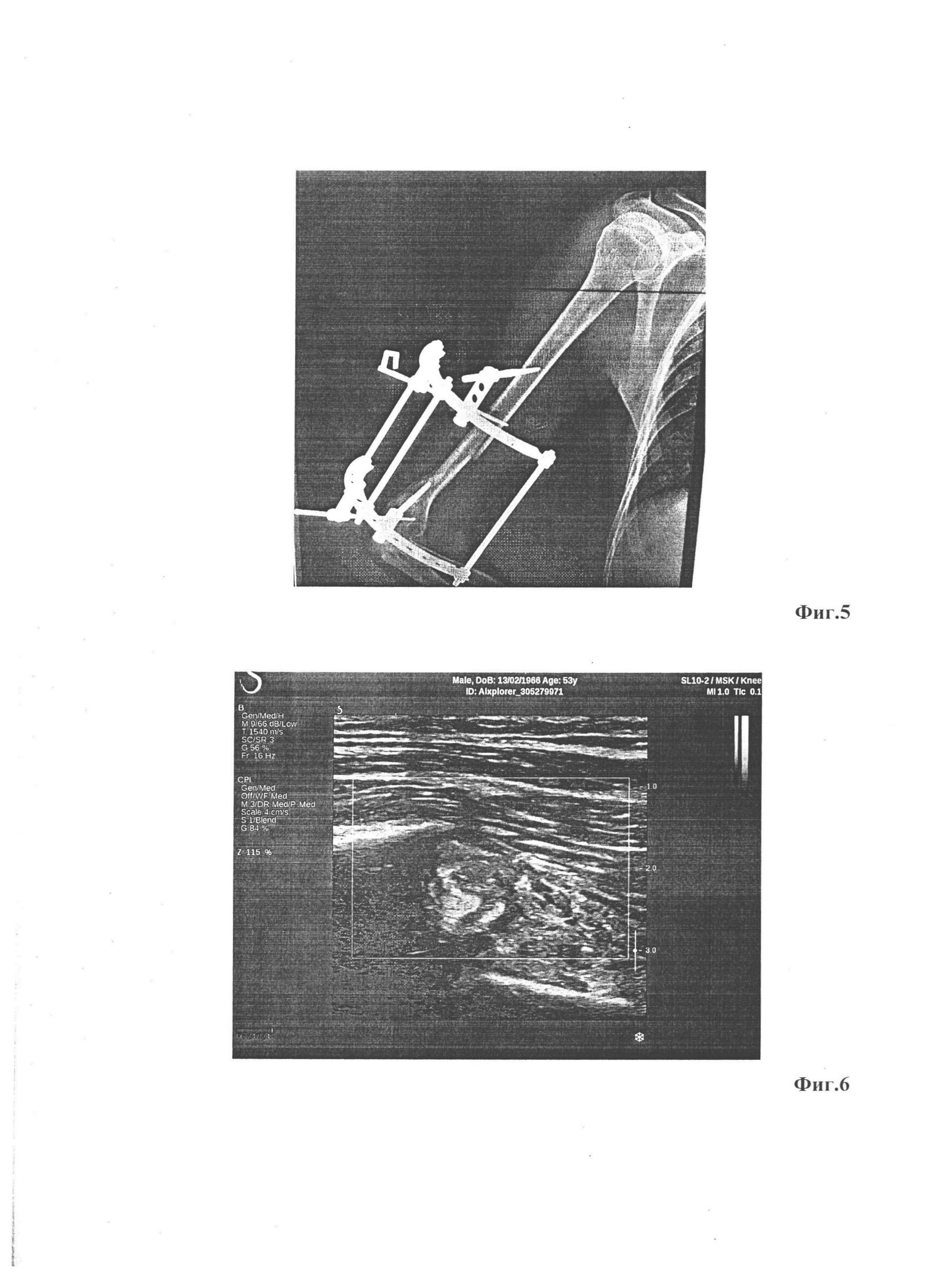
На фиг. 5 - Рентгенограмма пациента М. Закрытый винтообразный перелом нижней трети правой плечевой кости со смещением. Проведена операция: фиксация костных отломков металлической конструкцией.

[27]

На фиг. 6. - Эхограмма пациента М. на 7-й день после перелома правой плечевой кости. В зоне соединительнотканной мозоли появились единичные сосуды.

[28]

На фиг. 7 - Эластограмма пациента М. на 7-й день после перелома правой плечевой кости. Жесткость соединительнотканной мозоли 56,3 кПа.

[29]

Способ применяют следующим образом.

[30]

Исследование проводят на ультразвуковых сканерах, снабженных опцией «Эластография сдвиговой волны», с использованием линейных датчиков частотой 2-15 МГц, с применением поперечных ультразвуковых волн. Сканируют зону перелома, окружающие мягкие ткани и кости. Вначале, для точного определения границ перелома костей, проводят ультразвуковое исследование в В-режиме, далее, для точной визуализации зоны костной мозоли, и с целью дифференцировки от окружающих мягких тканей, а также для исключения интерпозиции, проводят исследование в режиме ЦДК. На ранних сроках после перелома (до 5-7 дней) сосуды в соединительнотканной мозоли не визуализируются, а в окружающих тканях сосуды визуализируются четко. Ультразвуковой датчик устанавливают на поверхность кожи в проекции зоны интереса, Вначале проводят активное полипозиционное сканирование, затем, после определения границ костных отломков и мозоли, в В и ЦДК режимах, рука оператора неподвижно фиксирует положение датчика, выполняют включение режима УЭСВ и программы «мышечно-скелетная система», что позволяет получить изображение зоны интереса - костной мозоли. Участки различной жесткости картируются разными цветами, что отражается на цветовой шкале монитора. Цветовая шкала, окрашенная в разные цвета, в зависимости от уровня жесткости ткани, и ультразвуковой срез зоны интереса, позволяют определить участки различной жесткости костной мозоли качественно. Для количественной оценки жесткости костной мозоли в зону интереса подводят, с помощью трекбола, один, или несколько, контрольных объемов, свободно перемещаемых и изменяемых по размерам, при этом на мониторе будут изображены количественные показатели жесткости в кПа.

[31]

Таким образом, в заявленном способе определение жесткости костной мозоли реализуется с использованием совершенно нового подхода к оценке -с применением ультразвуковой эластографии сдвиговой волны.

[32]

Клинический пример 1.

[33]

Пациентка Н., 1959 г.р., после закрытого перелома обеих костей левой голени, интрамедуллярного блокируемого остеосинтеза, находилась на амбулаторном наблюдении. Через 2 месяца обратилась в ГАУЗ «РКБ МЗ РТ» с жалобами на боли в левой голени, усиливающиеся при физической нагрузке. После осмотра травматологом, и контрольных рентгеновских снимков, пациентка направлена на УЗИ зоны перелома для исключения интерпозиции, «ложного сустава», и определения жесткости костных мозолей.

[34]

Ультразвуковое исследование проводили на ультразвуковом сканере SuperSonic Aixplorer с опцией «Эластография сдвиговой волной», с использованием линейных датчиков частотой 2-15 МГц. Сканировали зону перелома, костных мозолей, окружающие мягкие ткани и сосуды. Для точного определения границ перелома костей и костных мозолей проводили ультразвуковое исследование в обычном В-режиме. Для более точной визуализации зоны костных мозолей, и с целью дифференцировки от окружающих мягких тканей, а также для исключения интерпозиции, проводили исследование в режиме ЦДК. Для изучения жесткости костных мозолей в обеих костях включили режим УЭСВ, программу «мышечно-скелетная система». Окрашенные в разные цвета зоны костных мозолей сопоставляли с цветовой шкалой на мониторе и, таким образом, качественно определили участки различной жесткости костных мозолей обеих костей. Для количественной оценки жесткости костных мозолей в зону интереса подвели 3 контрольных объема, свободно перемещаемых, и изменяемых, по размерам, количественные показатели жесткости которых, в кПа, отразились на мониторе. Результаты представлены на фиг. 1 - фиг. 2.

[35]

Заключение: интерпозиции между отломками нет, «ложных» суставов нет. Жесткость костной мозоли большеберцовой кости достигает до 340 кПа, малоберцовой кости - до 193 кПа, что ниже нормы. Рекомендовано продолжить иммобилизацию.

[36]

Повторное УЗИ зоны переломов пациентке Н. провели через 4 месяца после перелома по вышеописанной методике. Результаты этих исследований представлены на фиг. 3 - фиг. 4.

[37]

Заключение: жесткость костной мозоли левой большеберцовой кости через 4 месяца после перелома достигла 542,2 кПа, малоберцовой кости - до 403 кПа, что соответствует норме. Иммобилизацию можно снять.

[38]

Клинический пример 2.

[39]

Пациент М., 1966 г.р., доставлен в травматологическое отделение ГАУЗ «РКБ МЗ РТ» машиной скорой помощи, с жалобами на боли в нижней трети правой плечевой кости. После обследования поставлен диагноз: закрытый винтообразный перелом нижней трети правой плечевой кости со смещением. Проведена операция: фиксация костных отломков аппаратом внешней фиксации (фиг. 5). На 7-й день после операции, для контроля зоны перелома, исследования окружающих мягких тканей и сосудов, и исключения интерпозиции мышечными тканями, пациент направлен на УЗИ.

[40]

Ультразвуковое исследование проводили на ультразвуковом сканере SuperSonic Aixplorer с опцией «Эластография сдвиговой волной», с использованием линейных датчиков частотой 2-15 МГц. Сканировали зону перелома, костной мозоли, окружающие мягкие ткани и сосуды. Для точного определения границ перелома костей и костной мозоли проводили ультразвуковое исследование в обычном В-режиме, далее, для более точной визуализации зоны костной мозоли, и с целью дифференцировки от окружающих мягких тканей, а также для исключения интерпозиции, проводили исследование в режиме ЦДК. Для изучения жесткости костной мозоли включили режим УЭСВ, программу «мышечно-скелетная система». Окрашенные в разные цвета зоны костной мозоли сопоставляли с цветовой шкалой на мониторе, что позволило качественно определить участки различной жесткости. Для количественной оценки жесткости костной мозоли в зону интереса подводили 2 контрольных объема, свободно перемещаемых, и изменяемых, по размерам, количественные показатели жесткости которых, в кПа, отразились на мониторе. Результаты представлены на фиг. 6 - фиг. 7.

[41]

При проведении УЗИ с ЦДК и ультразвуковой эластографии сдвиговой волны зоны перелома, выявлено следующее: в зоне перелома жесткость мозоли 56,3 кПа, появились единичные сосуды, интерпозиции нет, что означает начало нормального формирования соединительнотканной мозоли (фиг. 6-фиг. 7). Рекомендовано продолжить иммобилизацию.

[42]

Источник информации:

[43]

1. Дуглас С. Кац, Кевин Р. Мас, Стюарт А. Гроскин. Секреты рентгенологии / Пер. с англ. - М-СПб.:"Издательство БИНОМ" - "Издательство" Диалект", 2003. - 704 с., ил.

[44]

2. Михайлов М.К., Тухбатуллин М.Г. Эхография в диагностике цирроза печени - Москва: МЕДпресс - информ, 2003. - 96 с.

[45]

3. Лучевая анатомия человека / Под ред. Т.Н. Трофимовой. - СПб.: Издательский дом СПбМАПО, 2005. - 496 с., ил.

[46]

4. Лучевая диагностика: Учебник Т. 1. / под ред. Труфанова Г.Е. - М.: ГЭО-ТАР - Медиа, 2007. - 416 с.: ил.

[47]

5. Применение ультразвука в медицине: Физические основы: П75 Пер. с англ. / Под ред. К. Хилла. - М.: Мир, 1989. - 568 с., ил.

[48]

6. Зыкин Б.И., Постнова Н.А., Медведев М.Е. Эластография: анатомия метода // - 2012.- №2-3. - С. 107-113.

Как компенсировать расходы
на инновационную разработку
Похожие патенты