патент
№ RU 2727746
МПК A61B5/00

Способ прогнозирования ответной реакции головного мозга на удаление острой травматической внутричерепной гематомы

Авторы:
Крылов Владимир Викторович Михалевич Исай Моисеевич Сороковиков Владимир Алексеевич
Все (4)
Номер заявки
2019124916
Дата подачи заявки
05.08.2019
Опубликовано
23.07.2020
Страна
RU
Как управлять
интеллектуальной собственностью
Чертежи 
5
Реферат

[106]

Изобретение относится к медицине, а именно к нейрохирургии. Проводят МСКТ головного мозга. На МСКТ изображении измеряют диаметры оболочек правого и левого зрительных нервов в области увеосклерального кольца на расстоянии 3 мм кзади от оболочек глазного яблока и устанавливают их среднюю величину. Кроме этого измеряют минимальное расстояние между головками хвостатых ядер на уровне визуализируемых тел передних рогов боковых желудочков мозга. Величину оптико-вентрикулярного коэффициента (ОВК) устанавливают по заявленной формуле. При величине ОВК, равной и более 86,0%, прогнозируют гипертензивную реакцию мозга с его пролапсом. При величине ОВК от 54-85,9% - нормотензивную реакцию. При ОВК, равной 53,9% и менее, - гипотензивную реакцию мозга на удаление острой травматической внутричерепной гематомы. Способ позволяет осуществить прогнозирование реакции головного мозга на удаление острой внутричерепной гематомы объективно и независимо от клинического состояния пациента, места локализации гематомы и их количества за счет оценки комплекса наиболее значимых параметров. 13 ил., 3 табл., 5 пр.

Формула изобретения

Способ прогнозирования ответной реакции головного мозга на удаление острой травматической внутричерепной гематомы, включающий проведение МСКТ исследования головного мозга и измерение диаметров оболочек зрительных нервов, отличающийся тем, что диаметры оболочек правого и левого зрительных нервов на МСКТ изображении измеряют в области увеосклерального кольца на расстоянии 3 мм кзади от оболочек глазного яблока и устанавливают их среднюю величину, затем измеряют минимальное расстояние между головками хвостатых ядер на уровне визуализируемых тел передних рогов боковых желудочков мозга, после чего устанавливают величину оптико-вентрикулярного коэффициента по формуле:

ОВК=ДОЗНср.×100/РГХЯ, где

ОВК - оптико-вентрикулярный коэффициент;

ДОЗНср. - величина среднего диаметра оболочек правого и левого зрительных нервов, мм;

РГХЯ - расстояние между головками хвостатых ядер на уровне визуализируемых тел передних рогов боковых желудочков мозга, мм,

и при величине ОВК, равной и более 86,0%, прогнозируют гипертензивную реакцию мозга с его пролапсом; при величине ОВК от 54,0% до 85,9% - нормотензивную реакцию, при ОВК, равной 53,9% и менее, - гипотензивную реакцию мозга на удаление ОТВГ.

Описание

[1]

Предлагаемое изобретение относится к области медицины, а именно к нейрохирургии и может быть использовано как для предоперационного прогнозирования ответной реакции головного мозга на удаление острых травматических внутричерепных гематом (ОТВГ), так и для индивидуального выбора метода трепанации черепа при их удалении.

[2]

Известно, что удаление ОТВГ может быть проведено различными способами - костно-пластической трепанацией черепа (КПТ), декомпрессивной трепанацией черепа (ДТ) с пластикой твердой мозговой оболочки (ТМО), трефинацией черепа (ТЧ) с установкой дренажа и локальным фибиринолизом (ТЧЛФ).

[3]

При выборе способа удаления ОТВГ и метода трепанации черепа ведущими ориентирами являются 2 показателя - величина внутричерепного давления (ВЧД) и интраоперационная реакция мозга на удаление ОТВГ.

[4]

У пострадавших с тяжелой ЧМТ во время операции и раннем послеоперационном периоде выделяют 3 типа динамики ВЧД:

[5]

1. нормотензивный, при котором ВЧД снижается к концу операции ниже критического уровня (20 мм рт ст) и не превышает критического значения в раннем послеоперационном периоде;

[6]

2. с постепенным развитием внутричерепной гипертензии, при которой, снизившееся до нормальных значений ВЧД к концу операции постепенно повышается выше критического уровня, несмотря на мероприятия интенсивной терапии;

[7]

3. с острым развитием внутричерепной гипертензии, при которой происходит значительное повышение ВЧД к концу операции и сохраняется высоким в раннем послеоперационном периоде (Пурас Ю.В. Выбор метода трепанации черепа при травматических субдуральных, внутримозговых гематомах и очагах ушиба головного мозга / Автореферат диссертации на соискание ученой степени кандидата медицинских наук. Москва, 2007., стр. 6).

[8]

Показанием для КПТЧ являются одиночные конвекситальные ОТВГ малого объема, а противопоказанием - клиническая декомпенсация (глубокое угнетение сознания, нестабильность витальных функций, выраженная дислокация головного мозга), острый интраоперационный отек головного мозга в связи с высоким ВЧД.

[9]

Показанием для ДТЧ являются: высокое ВЧД (более 35-40 мм. рт.ст. от 30 мин. до 48 ч.) резистентное к терапии; интраоперационное пролабирование и нарастающий отек и дислокация головного мозга, которые часто имеют место после удаления ОТВГ большого объема; множественные ОТВГ, сочетание ОТВГ с обширными очагами ушиба и размозжения мозга; стволовые симптомы. Противопоказанием для ДТЧ является изолированное первичное поражение ствола головного мозга (Крылов В.В. Лекции по черепно-мозговой травме // Москва, «Медицина», 2010 г. - С. 184-185).

[10]

Показанием для ТЧЛФ являются: травматические внутримозговые гематомы объемом 30-50 мл и очаги размозжения мозга у пострадавших с угнетением сознания не глубже сопора (9 и более баллов по шкале комы Глазго (ШКГ) и проявляющихся умеренной гипертензионной и дислокационной симптоматикой; острые и подострые субдуральные гематомы объемом до 60 мл, расположенные не более чем над двумя областями головного мозга при компенсированном состоянии пациентов (ШКГ 9 баллов и более, сохранность витальных функций), при наблюдении за которыми отмечается тенденция к нарастанию внутричерепной гипертензии и дислокации; травматические внутричерепные гематомы у пострадавших с сочетанной травмой и тяжелой сопутствующей патологией, которым объем хирургической агрессии средства наркоза необходимо минимизировать. Противопоказанием для ТЧЛФ является травматическая кома (ШКГ 8 и менее баллов), острые травматические гематомы: внутримозговые объемом более 50 мл; субдуральные - объемом более 60 мл, расположенные более чем над двумя областями головного мозга; выраженные повышение ВЧД и дислокация головного мозга (Крылов В.В. Лекции по черепно-мозговой травме // Москва, «Медицина», 2010 г. - С. 243-245).

[11]

Известен способ оценки выраженности отека головного мозга путем определения соотношения объемов желудочковой системы и паренхимы головного мозга по результатам МСКТ. Для оценки изменения такого соотношения применяют 4 вентрикуло-краниальных коэффициента (ВКК):

[12]

- ВКК-1 рассчитывают как отношение расстояния между самыми латеральными участками передних рогов боковых желудочков к максимальному расстоянию между внутренними пластинками костей свода черепа. В норме в возрастной группе до 60 лет ВКК-1 составляет 24-26,3%; старше 60 лет - 28,2-29,4%.

[13]

- ВКК-2 вычисляют как отношение расстояния на уровне тел передних рогов желудочков мозга между головками хвостатых ядер к расстоянию между конвекситальными поверхностями лобных долей на том же уровне. В норме для пациентов моложе 36 лет ВКК-2 составляет 16%, 36-45 лет - 17%, 46-55 лет - 18%, 56-65 лет - 19%, 66-75 лет - 20%, старше 76 лет - 21%.

[14]

- ВКК-3 - отношение максимальной ширины III желудочка к наибольшему расстоянию между внутренними пластинками костей свода черепа на этом же уровне. В норме ВКК-3 у пациентов моложе 30 лет составляет 2,7%, 31-40 лет - 2,9%, 41-60 лет - 3,5%, 61-70 лет - 3,9%, старше 70 лет - 4,3%.

[15]

- ВКК-4 рассчитывают как отношение максимальной ширины IV желудочка к наибольшему диаметру задней черепной ямы и в норме он составляет для всех возрастных групп 11,3-13%. (Крылов В.В. Лекции по черепно-мозговой травме // Москва, «Медицина», 2010 г. - С. 184-185).

[16]

К недостаткам этого способа следует отнести то, что он предназначен для оценки гидроцефалии и отека мозга у пациентов без ЧМТ и ОТВГ. При этом:

[17]

- к недостатку оценки по ВКК-1 следует отнести его зависимость от расположения и заполнения ликвором дистальных отделов передних рогов боковых желудочков, которые могут быть смещены, деформированы или находится в спавшемся состоянии за счет масс-эффекта ОТВГ при ЧМТ;

[18]

- к недостатку оценки по ВКК-2 относится необходимость измерения расстояния между конвекситальными поверхностями лобных долей, которые смещаются при ОТВГ, что будет причиной погрешностей измерения;

[19]

- к недостаткам ВКК-3 следует отнести малый диапазон цифровых значений коэффициента (2-3%), что повышает риск влияния погрешности измерения на результат оценки;

[20]

- недостатком ВКК-4 является его ориентированность на субтенториальные анатомические образования, тогда как большинство ОТВГ локализуются супратенториально.

[21]

Наиболее близким по технической сущности к предлагаемому способу является способ прогнозирования ответной реакции головного мозга на удаление острой травматической внутричерепной гематомы, включающий проведение МСКТ исследования головного мозга и измерение диаметров оболочек зрительных нервов (ДОЗН) на МСКТ изображении. Так как оболочки зрительного нерва являются непосредственным продолжением оболочек головного мозга, то и рост ВЧД приводит к отеку зрительного нерва и увеличению его диаметра в поперечном сечении. МСКТ-оценка ДОЗН показала достоверную зависимость его среднего размера (правого и левого ДОЗН) от ВЧД, тяжести повреждения головного мозга по КТ-классификации Маршала (Marshall L., Gautille Т., Klauver М., et al. A new classification of head injury based on computerized tomography. J Neurosurg. 1991; 75: s28-s35), уровня сознания при поступлении, результатов лечения, летальности. Так, в норме ВЧД составляет 5,1±0,7 мм., при повышении ВЧД более 20 мм. рт.ст. средняя величина ДОЗН (ДОЗНср.) составляет 6,3±0,6 мм., а при тяжелых вариантах ЧМТ, сопровождающихся высоким внутричерепным давлением, ДОЗНср увеличивается более 7,0 мм ( Legrand, Patrick Jeanjean et al. Estimation of optic nerve sheath on an initial brain computed tomography scan can contribute prognostic information in traumatic brain injury patients. Crit Care. 2013; 17(2): R61 Published online 2013 March 27.doi: 10.1186/cc12589).

[22]

К недостатку известного способа следует отнести риск влияния погрешности измерения на результаты исследования, т.к. крайние отклонения цифровых значений ДОЗН от нормы составляют ±2,5 мм.

[23]

Задачей заявляемого изобретения является разработка способа прогнозирования ответной реакции головного мозга на удаление острой травматической внутричерепной гематомы и способа объективизации показаний к выбору метода трепанации черепа для ее удаления.

[24]

Техническим результатом предлагаемого изобретения является обеспечение возможности предоперационного прогноза реакции головного мозга на удаление острой внутричерепной гематомы, объективизация выбора метода трепанации черепа при любой локализации гематомы и независимо от клинического состояния пациента.

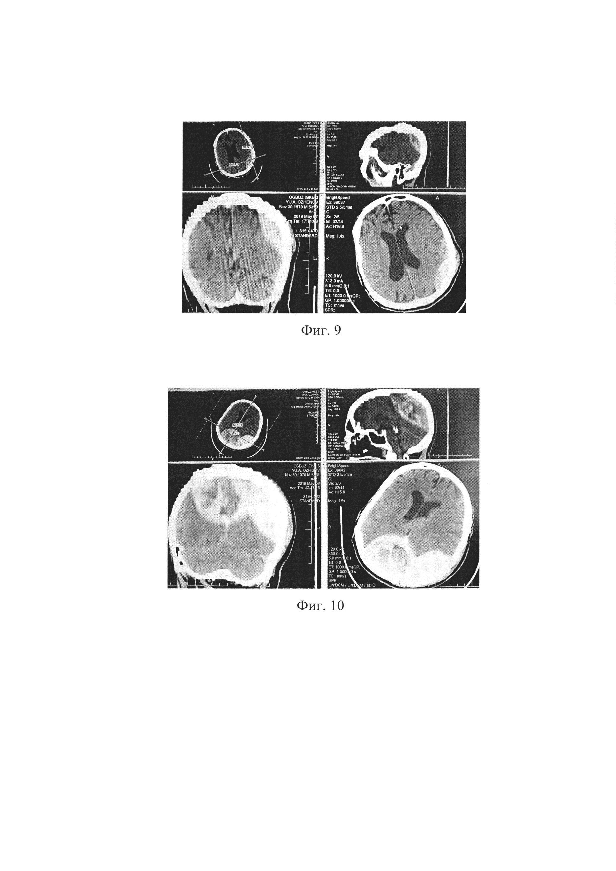
[25]

Технический результат заявляемого способа прогнозирования ответной реакции головного мозга на удаление острой травматической внутричерепной гематомы включает проведение МСКТ исследования головного мозга и измерение диаметров оболочек зрительных нервов.

[26]

Отличительные приемы предлагаемого способа заключаются в том, что диаметры оболочек правого и левого зрительных нервов на МСКТ изображении измеряют в области увеосклерального кольца на расстоянии 3 мм кзади от оболочек глазного яблока, после чего определяют их среднюю величину.

[27]

Отличием в заявляемом способе также является и то, что измеряют минимальное расстояние между головками хвостатых ядер на уровне визуализируемых тел передних рогов боковых желудочков мозга.

[28]

Отличительный прием заявляемого способа также заключается в том, что величину оптико-вентрикулярного коэффициента устанавливают по формуле:

[29]

ОВК=ДОЗНср.×100/РГХЯ, где

[30]

ОВК - оптико-вентрикулярный коэффициент;

[31]

ДОЗНср. - величина среднего диаметра оболочек правого и левого зрительных нервов, мм;

[32]

РГХЯ - минимальное расстояние между головками хвостатых ядер на уровне визуализируемых тел передних рогов боковых желудочков мозга, мм.

[33]

Отличием заявляемого способа является и то, что при величине ОВК равной и более 86,0% прогнозируют гипертензивную реакцию мозга с его пролапсом; при величине ОВК от 54,0% до 85,9% - нормотензивную реакцию, при ОВК равной 53,9% и менее - гипотензивную реакцию мозга на удаление острой травматической внутричерепной гематомы.

[34]

Отличительные приемы способа по выбору метода трепанации черепа для удаления острой травматической внутричерепной гематомы, заключаются в том, что при величине ОВК 86,0% и более выбирают декомпрессивную трепанацию черепа, при величине ОВК от 54% до 85,9% - костно-пластическую трепанацию, при величине ОВК равной 53,9% и менее - трефинацию черепа с локальным фибринолизом гематомы или костно-пластическую трепанацию черепа.

[35]

Проведенный сопоставительный анализ с прототипом показал, что предлагаемый способ отличается от известного вышеперечисленными приемами и, следовательно, соответствует критерию изобретения «новизна».

[36]

При анализе известных способов прогнозирования ответной реакции головного мозга на удаление острой травматической внутричерепной гематомы было выявлено в них отсутствие сведений о влиянии отличительных признаков заявляемого способа на достижение технического результата.

[37]

Так, авторами заявляемого способа предложены и клинически обоснованы следующие измерения на МСКТ изображении:

[38]

1. диаметры оболочек правого и левого зрительных нервов в области увеосклерального кольца на расстоянии 3 мм кзади от оболочек глазного яблока;

[39]

2. минимальное расстояние между головками хвостатых ядер на уровне визуализируемых тел передних рогов боковых желудочков мозга.

[40]

Особенностью первого анатомического ориентира является доказанная прямая корреляционная связь между его размером и величиной ВЧД при ЧМТ ( Legrand, Patrick Jeanjean et al. Estimation of optic nerve sheath on an initial brain computed tomography scan can contribute prognostic information in traumatic brain injury patients. Crit Care. 2013; 17(2): R61 Published online 2013 March 27.doi: 10.1186/cc12589).

[41]

Особенностью второго анатомического ориентира является обратная корреляционная связь между его размером и величиной ВЧД при ЧМТ (Крылов В.В., Талыпов А.Э., Пурас Ю.В. Выбор трепанации в хирургиии тяжелой черепно-мозговой травмы // Вопросы нейрохирургии - 2007 - №1, С. 11-16).

[42]

Предлагаемое авторами заявляемого способа использование этих 2-х «разнонаправленных» по отношению к ВЧД анатомических ориентиров, измеряемых в миллиметрах, обеспечивает усиление чувствительности и специфичности способа, что и позволяет прогнозировать реакцию головного мозга на удаление острой травматической внутричерепной гематомы.

[43]

Авторами предлагаемого способа в практической работе зафиксировано 3 варианта интраоперационной реакции головного мозга на удаление острой внутричерепной гематомы: 1. гипертензивная с образованием пролапса мозговой ткани; 2. гипотензивная с коллапсом мозговой ткани (ее западением) и образованием пневмоцефалии; 3. нормотензивная без пролапса и коллапса мозга.

[44]

Клиническими исследованиями авторов заявляемого способа установлено, что величина оптико-вентрикулярного коэффициента позволяет прогнозировать реакцию головного мозга на удаление ОТВГ, что и дает возможность обоснованно осуществить выбор метода трепанации черепа.

[45]

Тем самым, заявляемый способ обеспечивает достижение усматриваемого заявителем технического результата, а именно - осуществить прогнозирование интраоперационного отека мозга на удаление острой внутричерепной гематомы и объективизировать выбор метода трепанации черепа независимо от клинического состояния пациента и места локализации гематомы.

[46]

Изложенное позволяет сделать вывод о соответствии заявляемого технического решения критерию «изобретательский уровень».

[47]

Способ прогнозирования ответной реакции головного мозга на удаление острой травматической внутричерепной гематомы и способ выбора метода трепанации черепа для ее удаления, составляющие заявляемое изобретение, предназначены для использования в здравоохранении. Возможность их осуществления подтверждена описанными в заявке приемами и средствами, следовательно, заявляемое изобретение соответствует условию патентоспособности «промышленная применимость».

[48]

Предлагаемый способ прогнозирования ответной реакции головного мозга на удаление острой травматической внутричерепной гематомы и способ выбора метода трепанации черепа для ее удаления осуществляют следующим образом.

[49]

При поступлении в стационар пациенту с травмой головы проводят МСКТ исследование головного мозга и определяют его состояние. При выявлении хирургически значимой ОТВГ проводят измерение минимального расстояния между головками хвостатых ядер (РГХЯ) на уровне тел передних рогов боковых желудочков мозга (фиг. 1), а также измеряют диаметры оболочек правого и левого зрительных нервов в области увеосклерального кольца на расстоянии 3 мм кзади от оболочек глазного яблока (фиг. 2), после чего определяют среднюю величину диаметра оболочек зрительных нервов (ДОЗНср.).

[50]

Величину оптико-вентрикулярного коэффициента (ОВК) устанавливают по формуле: ОВК=ДОЗНср.×100/РГХЯ. При величине ОВК равной и более 86,0% прогнозируют гипертензивную реакцию мозга с его пролапсом; при величине ОВК от 54,0% до 85,9% - нормотензивную реакцию, при ОВК равной 53,9% и менее - гипотензивную реакцию мозга на удаление ОТВГ.

[51]

Установленную величину ОВК используют для определения выбора метода трепанации черепа для удаления ОТВГ. При ОВК более 86% показана декомпрессивная трепанация черепа (ДТ), при ОВК от 54,0% до 85,9% - костно-пластическая трепанацию (КПТ) черепа с интраоперационным принятием решения о целесообразности удаления костного лоскута, расширением краниотомии и пластики твердой мозговой оболочки; при величине ОВК равной 53,9% и менее - трефинацию черепа с установкой дренажа и локальным фибиринолизом (ТЧЛФ) или КПТ.

[52]

Предложенный способ прогнозирования интраоперационного отека головного мозга при удалении острых внутричерепных гематом и определения показаний к хирургическому лечению пациентов с острыми ТВГ поясняется примерами конкретного выполнения.

[53]

Пример №1. Пациент Ф., 50 лет, поступил в Областное государственное бюджетное учреждение здравоохранение г. Иркутска - городскую клиническую больницу №3 (ОГБУЗ ИГКБ №3) 01.01.2019 г. через 1-2 часа после травмы. Механизм травмы не известен.

[54]

При поступлении состояние пациента оценено как крайне тяжелое, сознание - умеренная кома, по шкале комы Глазго (ШКГ) 7 баллов, артериальное давление 130/90 мм. рт.ст., пульс - 90 ударов в минуту. В неврологическом статусе: зрачки равные, фотореакция сохранена, сухожильные рефлексы сохранены без асимметрии, реакция на боль вялая без локализации, менингеальные симптомы присутствуют; рвано-ушибленная рана мягких тканей головы.

[55]

Клинический диагноз: комбинированная травма; открытая черепно-мозговая травма (ОЧМТ), ушиб головного мозга тяжелой степени со сдавлением острой субдуральной гематомой (ОСГ) в лобно-височно-теменной области слева; перелом свода черепа; ушибленная рана головы; дислокация срединных структур; отморожение обеих кистей I-II ст.; общее переохлаждение. Осложнение - отек-набухание и дислокация головного мозга; сердечно-легочная недостаточность.

[56]

Через 2 часа после травмы на томографе GE Bright Speed выполнена МСКТ головного мозга (фиг. 3).

[57]

Заключение МСКТ: субдуральная гематома левого полушария головного мозга. Субарахноидальное кровоизлияние лобных долей обеих сторон, теменной и височной долей слева. Латеральная дислокация срединных структур. Перелом затылочной кости справа.

[58]

При анализе МСКТ исследования установлено: объем гематомы - 150 мл; РГХЯ=4 мм; ДОЗН справа равен 6 мм, ДОЗН слева равен 6 мм, ДОЗНср.=6+6/2=6 мм; ОВК=6×100/4=150% (т.е. больше 86%) - риск развития гипертензивной реакции головного мозга по типу острого интраоперационного отека головного мозга (ОИОГМ) и его пролапса в операционную рану.

[59]

Пациенту по жизненным показаниям выполнена ДТ (ОВК больше 86%), удалена ОСГ, во время операции развился острый интраоперационный отек головного мозга (ОИОГМ) в виде пролапса (фиг. 4).

[60]

В послеоперационном периоде пациент был госпитализирован в отделение анестезиологии и реанимации для проведения интенсивной терапии. Состояние пациента оставалось тяжелым и, несмотря на лечение, 04.01.2019 летальный исход.

[61]

По результатам судебно-медицинской экспертизы (СМЭ) расхождения диагнозов стационара и СМЭ не выявлено.

[62]

Пример №2. Пациент В., 47 лет, поступил в ОГБУЗ ИГКБ №3 17.11.2018 примерно через 4 часа после травмы - падение с высоты роста (?) в помещении.

[63]

При поступлении состояние пациента оценено как крайне тяжелое, глубокая кома; зрачки равны, фотореакция сохранена; рефлексы снижены с обеих сторон, реакция на боль снижена без локализации; ушиб мягких тканей головы; артериальное давление 160/80 мм. рт.ст.

[64]

При поступлении выполнена МСКТ головного мозга. Заключение: линейный перелом левой теменной кости; множественные острые внутримозговые гематомы (ОВМГ) в лобных долях и правой височной доле; субдуральная гематома в теменно-височной области справа (фиг. 5).

[65]

Диагноз клинический: закрытая черепно-мозговая травма (ЗЧМТ), ушиб головного мозга тяжелой степени с формированием множественных очагов ушиба и внутримозговых гематом в лобной, теменной, височной долях справа, пластинчатой субдуральной гематомы в лобно-височно-теменной области справа; травматическое субарахноидальное кровоизлияние; отек, вклинение и дислокация головного мозга.

[66]

При анализе МСКТ исследования установлен общий объем гематом - 90 мл; РГХЯ=7 мм; ДОЗНср.=4,5+5,5/2=5 мм;

[67]

ОВК=5×100/7=71,4% (т.е. в диапазоне 54,0%-85,9%) - прогнозируется нормотензивная реакция головного мозга на удаление ОТВГ. Пациенту выполнена ДТ, удалены ОСГ и ОВМГ, при этом зафиксирована «нормотензивная» реакция мозга (фиг. 6).

[68]

В послеоперационном периоде пациент был госпитализирован в отделение анестезиологии и реанимации (ОАиР) для проведения интенсивной терапии. Состояние пациента оставалось тяжелым, несмотря на лечение 17.11.2018 констатирована смерть. По результатам судебно-медицинской экспертизы (СМЭ) расхождения диагнозов стационара и СМЭ не выявлено.

[69]

Пример №3. Пациентка П., 34 года, поступила в ОГБУЗ ИГКБ №3 15.04.2019 примерно через 4 часа после травмы - падение в квартире с высоты роста (?). Длительно злоупотребляла алкоголем.

[70]

При поступлении состояние пациентки оценено как крайне тяжелое, умеренная-глубокая кома; зрачки равны, фотореакции угнетены, «плавающие» движения глазных яблок; гипертонус сгибателей рук, разгибателей ног, симптом Бабинского положительный с обеих сторон, вялая реакция на боль без локализации; ушиб мягких тканей в области верхнего века слева.

[71]

При поступлении выполнена МСКТ головного мозга. Заключение: острая эпидуральная гематома (ОЭГ) правой лобно-теменной области; выраженная дислокация срединных структур с признаками вклинения; контузионные очаги левой лобной доли 3 типа, левой височной доли 2 типа; субарахноидальное кровоизлияние лобных и височных долей с обеих сторон, левой теменной доли; кровоизлияние по намету мозжечка слева; деформация желудочковой системы (фиг. 7).

[72]

Диагноз клинический: ЗЧМТ, ушиб головного мозга тяжелой степени со сдавлением ОЭГ справа; субарахноидальное кровоизлияние; дислокационный синдром.

[73]

При анализе МСКТ исследования установлен объем гематомы - 200 мл; РГХЯ=9 мм; ДОЗН справа равен 4 мм, ДОЗН слева равен 4 мм, ДОЗНср.=4+4/2=4 мм;

[74]

ОВИ=4×100/9=44,4% (т.е. меньше 53,9%) - риск развития гипотензивной реакции головного мозга по типу коллапса. Пациентке по жизненным показаниям выполнена КПТ, удалена ОЭГ. Во время операции ревизия эпи- и субдурального пространств, отмечена «гипотензивная» реакция мозга в виде его «западения». На 2 сутки после КПТ и удаления ОЭГ у пациентки П. отмечена «гипотензивная» реакция мозга по типу коллапса с образованием пневмоцефалии (фиг. 8).

[75]

В послеоперационном периоде пациентка с положительной динамикой, на 5 сутки переведена в отделение нейрохирурги с регрессом неврологической симптоматики. Выписана на амбулаторное лечение в удовлетворительном состоянии.

[76]

Пример №4. Пациент О., 48 лет, поступил в ОГБУЗ ИГКБ №3 07.05.2019 примерно через 3 часа после травмы - падение на улице с высоты роста, возможно, был избит (?). В анамнезе жизни - повторные черепно-мозговые травмы.

[77]

При поступлении состояние пациента средней тяжести, на сидячей каталке, соматически без особой патологии, артериальное давление 120/80 мм. рт.ст., пульс 78 в минуту; умеренное оглушение (ШКГ - 14 баллов); зрачки равные, фотореакции живые с обеих сторон, парезов и параличей не выявлено, менингеальные симптомы умеренные, расстройств чувствительности не выявлено; в затылочной области слева ссадина, параорбитальная гематома слева.

[78]

При поступлении выполнена МСКТ головного мозга. Заключение: острая эпидуральная гематома теменной области слева объемом около 22 мл; киста правой лобной доли, не исключается субарахноидальное кровоизлияние справа в лобной области. Киста левой височной доли. Наружная и внутренняя гидроцефалия. Двусторонние послеоперационные изменения свода черепа - состояние после декомпрессионной краниотомии и пластики свода черепа титановой пластиной справа, состояние после костно-пластической трепанации справа (фиг. 9).

[79]

Диагноз при поступлении: ЗЧМТ, ушиб головного мозга легкой степени; ОЭГ в теменной области слева без сдавления головного мозга; ушибы и ссадины мягких тканей головы.

[80]

При анализе МСКТ исследования установлен объем гематомы - 33 мл; РГХЯ=21 мм; ДОЗН справа равен 5 мм, ДОЗН слева равен 5 мм, ДОЗНср. 5+5/2=5 мм; ОВК=5×100/21=23,8% (т.е. меньше 53,9%) - высокий риск гипотензивной реакции головного мозга в виде коллапса. Пациент госпитализирован в палату интенсивной терапии под наблюдение.

[81]

Через 7 часов состояние пациента с отрицательной динамикой, артериальное давление 120/90 мм. рт.ст., пульс 47 в минуту (брадикардия); расстройство сознания - умеренная кома (ШКГ - 8 баллов), зрачки узкие справа шире чем слева, корнеальные рефлексы угнетены, гипертонус разгибателей ног и сгибателей рук, вялая реакция на боль. Экстренно выполнена МСКТ головного мозга (через 7,5 часов после поступления). Заключение: ОЭГ справа и слева в теменно затылочной области 120×115×55 мм (объем около 380 мл); признаки латеральной и аксиальной дислокации; киста правой лобной доли; киста левой височной доли; субарахноидальное кровоизлияние в височной области; двусторонние послеоперационные изменения свода черепа (фиг. 10).

[82]

Диагноз клинический: ЗЧМТ, ушиб головного мозга тяжелой степени, гигантская ОЭГ в теменно-затылочной области с двух сторон с отслойкой ТМО в проекции верхнего продольного синуса; перелом свода черепа в теменно-височной области слева; ушибы и ссадины мягких тканей лица; дислокационный синдром.

[83]

При анализе МСКТ исследования установлен объем гематомы - 380 мл; РГХЯ=16 мм; ДОЗН справа равен 6 мм, ДОЗН слева равен 7 мм, ДОЗНср.=6+7/2=6,5 мм; ОВК=6,5×100/16=40,6% (т.е. меньше 53,9%) - прогнозируют гипотензивную реакцию головного мозга в виде коллапса.

[84]

По жизненным показаниям и в связи с эпидуральной локализацией гематомы выполнена операция: КПТ в теменно-затылочной области с обеих сторон; удаление ОЭГ. Во время операции ревизия эпи- и субдурального пространств, отмечена выраженная «гипотензивная» реакция мозга в виде его «западения». Отсроченное кровоизлияние интрапаренхиматозно в левой височной доле диагностировано на 3 сутки после хирургического лечения (фиг. 11). В послеоперационном периоде пациент с положительной динамикой, выписан на амбулаторное лечение через 1 месяц после госпитализации.

[85]

Пример №5. Пациент Ш., 77 лет, поступил в ОГБУЗ ИГКБ №3 19.12.2018 г. примерно через 20 часов после травмы - падение в квартире с высоты роста.

[86]

При поступлении состояние пациента оценено как крайне тяжелое, сопор; зрачки равны, фотореакция снижена справа, окулоцефалические рефлексы сохранены; гипертонус в нижних конечностях; сухожильные рефлексы выше справа, симптом Бабинского положительный с обеих сторон; менингеальные симптомы положительные; повреждений мягких тканей головы не выявлено.

[87]

При поступлении выполнена МСКТ головного мозга. Заключение: внутримозговая гематома правой лобно-теменной области; субдуральная гематома левой лобно-теменно-височной области; контузионные очаги левой теменной области I вида; линейный перелом лобной и левой теменной костей; латеральная дислокация срединных структур (фиг. 12).

[88]

Диагноз клинический: ЗЧМТ, ушиб головного мозга тяжелой степени со сдавлением ОСГ слева, ОВМГ в лобной доле справа; субарахноидальное кровоизлияние, внутрижелудочковое кровоизлияние; линейный перелом костей свода черепа; дислокационный синдром.

[89]

При анализе МСКТ исследования установлен объем ОСГ слева 60 мл, объем ОВМГ справа - 40 мл; РГХЯ=15 мм; ДОЗН справа равен 5 мм, ДОЗН слева равен 5 мм, ДОЗНср.=5+5/2=5 мм;

[90]

ОВИ=5×100/15=33,3% (т.е. меньше 53,9%) - риск развития гипотензивной реакции головного мозга по типу коллапса. Пациенту по жизненным показаниям выполнена КПТ слева в связи с широким распространением гематомы, удалена ОСГ, а также ТЧ справа, дренирование ОВМГ. Во время операции отмечена «гипотензивная» реакция мозга в виде его «западения». На 2 сутки после операции по результатам МСКТ у пациента Ш. подтверждена «гипотензивная» реакция мозга по типу коллапса с образованием пневмоцефалии (фиг. 13).

[91]

В послеоперационном периоде пациент с положительной динамикой, на 11 сутки переведен из ОАиР в отделение нейрохирурги с регрессом неврологической симптоматики; переведен в неврологический стационар на реабилитационное лечение на 33 сутки после госпитализации.

[92]

Клиническая апробация заявляемого способа проведена на базе Областного государственного бюджетного учреждения здравоохранения г. Иркутска - Городской клинической больнице №3. Проведено ретроспективное исследование результатов МСКТ диагностики и хирургического лечения 48 пациентов с ОТВГ за 2017-2019 годы.

[93]

Критерии отбора пациентов в исследование: 1) соответствие диагноза российской классификации ЧМТ; 2) достоверная информация о наличии ЧМТ; 3) возраст пациентов старше 20 лет; 4) первичная МСКТ головного мозга не позже 72 часов после травмы с признаками ОТВГ; 5) хирургическое лечение ОТВГ в соответствии с современными рекомендациями; 6) наличие в протоколе операции описания интраоперационной реакции головного мозга на удаление ОТВГ. Критерии исключения: 1) детский возраст; 2) пациенты с подострыми и хроническими ТВГ.

[94]

Средний возраст пациентов составил 51,9±2,3 лет, мужчин - 37, женщин - 6. Исходно рассматривался набор из 12 учетных признаков. Из них 4 описательных признака: пол, локализация ОТВГ, метод трепанации черепа, реакция головного мозга на удаление ОТВГ. Также рассмотрено 8 количественных признаков: возраст пострадавших, временной интервал между травмой и МСКТ головного мозга в часах, балл шкалы Роттердам травматических повреждений мозга (ШР), объем ОТВГ (Vгем.) в миллилитрах (при множественных гематомах - их общий объем подсчитывался с помощью МСКТ и программы постобработки Volume Measurement), минимальное расстояние между головками хвостатых ядер (РГХЯ) на уровне визуализируемых тел передних рогов желудочков мозга в миллиметрах, смещение срединных структур (ССС) от середины в сторону в миллиметрах, вентрикуло-краниальный коэффициент №2 (ВКК-2) в процентах (или доля), диаметр оболочек зрительных нервов (ДОЗНср.) средний в миллиметрах, оптико-вентрикулярный коэффициент (ОВК) в процентах.

[95]

Пациенты разделены на 3 группы в зависимости от реакции головного мозга на удаление ОТВГ. Группа 1-13 пациентов с «гипертензивной» реакцией мозга на удаление ОТВГ по типу пролапса, у которых в протоколе хирургического лечения описан ОИОГМ, подтвержденный послеоперационным МСКТ. Группа 2-11 пациентов с «нормотензивной» реакцией мозга на удаление ОТВГ, у которых во время операции и после нее отсутствовали и пролапс головного мозга и его коллапс, в виде западения мозговой ткани и пневмоцефалии, даже при наличии вторичных паренхиматозных кровоизлияний. Группа 3-19 пациентов с «гипотензивной» реакцией мозга на удаление ОТВГ, у которых во время операции и после нее наблюдался коллапс мозговой ткани (резкое ее «западение») с образованием пневмоцефалии, в том числе и с вторичными паренхиматозными кровоизлияниями (9 случаев - 47,4%).

[96]

Для построения модели прогнозирования использовался модуль «Дискриминантый анализ» статистического пакета «STATISTICA 10», анализировалась вся выборка - 43 пациента. При исследовании неинформативными признаками оказались РГХЯ, ССС, ВКК-2, ДОЗНср. Наиболее информативными признаками, использованными для построения модели, явились ОВК, ШР, Vгем. Оценка информативности признаков, выбранных для анализа, представлена в таблице 1.

[97]

[98]

Из таблицы видно, что представленные в ней переменные являются информативными параметрами с уровнями значимости от 0,00003 до 0,007682. Наиболее информативный признак - ОВК (F=18,44).

[99]

Для оценки «различимости» групп дополнительно использовали оценку «Расстояния между группами» через таблицу квадрата расстояния Махалонобиса (таблица 2).

[100]

[101]

Из данных таблицы следует что, распределение признаков по группам соответствует заявленному. Авторами установлено, что распределение пациентов по группам статистически значимо, при этом ведущим признаком такого распределения является значение ОВК.

[102]

Вычисленные в результате статистического анализа чувствительность и специфичность значения ОВК при прогнозировании реакции головного мозга на удаление ОТВГ представлены в таблице 3.

[103]

[104]

Проведенное статистическое исследование показало достоверность различия значений ОВК для прогнозирования реакции мозга на удаление ОТВГ, что позволило на дооперационном этапе спланировать хирургическую тактику и применить разные методы трепанаций пациентам с ОТВГ: ДТЧ - 17 пациентов, КПТ - 11 пациентов, ТЧ - 9 пациентов.

[105]

Таким образом, предлагаемый способ позволяет осуществить прогнозирование реакции головного мозга на удаление острой внутричерепной гематомы и объективно провести индивидуальный выбор метода трепанации черепа независимо от клинического состояния пациента, места локализации гематомы и их количества. Способ не сложен в выполнении и может быть использован в любом нейрохирургическом отделении, оснащенным мультиспиральным компьютерным томографом.

Как компенсировать расходы
на инновационную разработку
Похожие патенты