Изобретение относится к области медицины, а именно к травматологии и ортопедии и может быть использовано для хирургической коррекции посттравматической лучевой косорукости. Осуществляют корригирующую остеотомию лучевой кости с устранением её деформации и фиксированием достигнутого положения посредством металлоконструкции. Проводят резекцию фрагмента локтевой кости путем выполнения параллельных друг другу остеотомий в зоне шейки локтевой кости и проксимальнее с обеспечением удаления фрагмента локтевой кости протяженностью, равной величине укорочения лучевой кости. Затем головку локтевой кости транспонируют к её проксимальному фрагменту, сопоставляя их торцевые края, и фиксируют достигнутое положение посредством металлоконструкции. Изобретение обеспечивает восстановление анатомических взаимоотношений в лучезапястном суставе, минимизируя при этом возможность возникновения рецидива патологии и значительно снижая риск травмирования связочно-мышечного аппарата и сосудисто-нервных образований. 1 пр., 3 ил.
Способ хирургической коррекции посттравматической лучевой косорукости у взрослых, включающий осуществление корригирующей остеотомии лучевой кости с устранением её деформации и фиксированием достигнутого положения посредством металлоконструкции, а также проведение резекции фрагмента локтевой кости, отличающийся тем, что последнюю манипуляцию производят путем выполнения параллельных друг другу остеотомий в зоне шейки локтевой кости и проксимальнее с обеспечением удаления фрагмента локтевой кости протяженностью, равной величине укорочения лучевой кости, после чего головку локтевой кости транспонируют к её проксимальному фрагменту, сопоставляя их торцевые края, и фиксируют достигнутое положение посредством металлоконструкции.
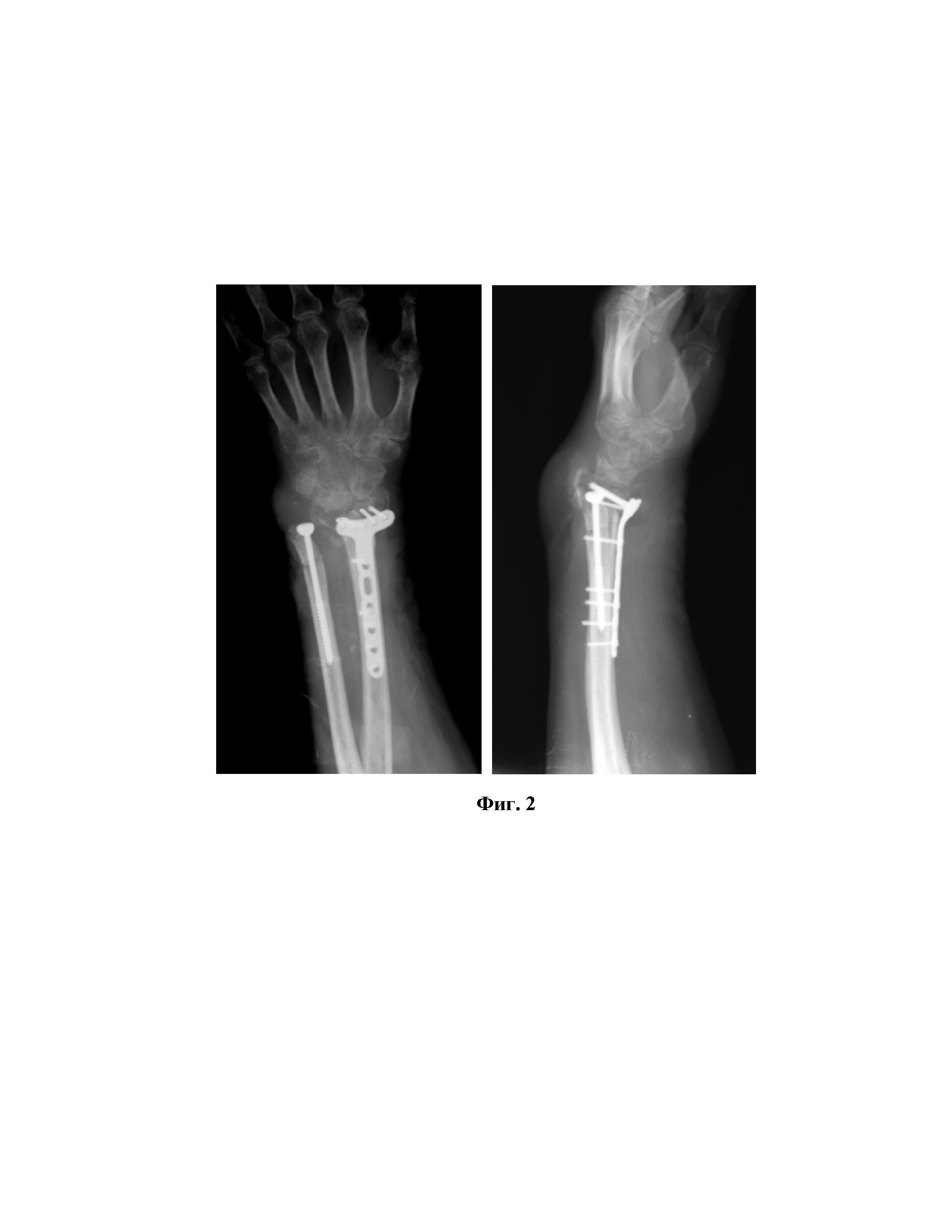
Изобретение относится к области медицины, а именно к травматологии и ортопедии для лечения посттравматической лучевой косорукости у взрослых с целью восстановления функциональных возможностей верхней конечности. При переломах лучевой кости в «типичном» месте, являющихся одним из наиболее встречаемых видов повреждений опорно-двигательного аппарата, часто происходит укорочение лучевой кости с формированием лучевой косорукости, коррекция которой возможна только оперативным путем. В настоящее время, несмотря на определенные успехи в лечении больных с данной патологий, при использовании любых существующих технологий хирургической коррекции лучевой косорукости, сроки лечения длительны, а количество случаев с положительным результатом колеблется в пределах 33,3-53,7%. Все способы коррекции посттравматической лучевой косорукости делятся на две группы, первая из которых ориентирована на восстановление длины лучевой кости и достижения, таким образом, косметического эффекта. Известны методики костно-пластической коррекции данной патологии, направленные на компенсацию укорочения посредством восполнения утраченной длины трансплантатом [Чрескостный остеосинтез при посттравматической лучевой косорукости/Пусева М.Э., Михайлов И.Н., Рудаков А.Н.//Сибирский медицинский журнал. 2009. №7. С. 107-110]. Одним из примеров данных методик является «Способ оперативного лечения приобретенной лучевой косорукости» [авторское свидетельство SU на изобретение №194249], направленный на постепенное растяжение латерального отдела предплечья до полного вправления головки локтевой кости с последующим замещением дефекта ауто- или гомотрансплантатом и фиксированием его компрессионным остеосинтезом. Однако устранение укорочения более 2,5 см методом аутопластики, в большинстве случаев невозможно, т.к. максимально вырастает риск отторжения трансплантата большого объема. При этом их длительная перестройка значительно удлиняет сроки лечения и реабилитации, а также сопровождается необходимостью иммоболизации конечности на долгий срок. Формирование аутотрансплантатов больших объемов затруднительно и сопряжено с дополнительной травматизацией. Известны также способы лечения укорочения лучевой кости методом дистракционного остеосинтеза с использованием различных модификаций аппаратов внешней фиксации [Бородин В.В. Лечение по Илизарову приобретенной лучевой косорукости: Автореф… дис. канд. мед. наук. Пермь. 1992. 23с.]. Однако при использовании данных технологий лечения были отмечены частые рецидивы, развитие контрактур, в том числе «когтеобразной кисти», ишемии мягких тканей, сосудистых и неврологических нарушений, обусловленных длительной дистракцией, и возникновение инфекционных осложнений, в частности в местах введения чрескостных элементов: спиц, стержней и т.д. Ко второй группе методик коррекции посттравматической косорукости относятся способы, направленные на восстановление нормальных анатомических межсегментарных пропорций путем укорочения локтевой кости. Одной из таких методик является проведение корригирующей остеотомии лучевой кости с резекцией дистального конца локтевой кости [Чрескостный остеосинтез при посттравматической лучевой косорукости/Пусева М.Э., Михайлов И.Н., Рудаков А.Н.//Сибирский медицинский журнал. 2009. №7. С. 107-110]. Однако при использовании данного способа выполняют удаление суставной поверхности локтевой кости, нарушая взаимоотношение суставных концов, снижая мышечную силу кисти вследствие сближения точек прикрепления мышц предплечья и значительно травмируя их в месте прикрепления к суставному концу локтевой кости во время выполнения резекции её фрагмента. Известно также упоминание о намерении лечения посттравматической косорукости путем укорочения локтевой кости Т.А. Бровкиной. Однако данное предложение было отвергнуто в связи с тем, что было направлено на лечение детской категории больных. По мнению ряда авторов, данные операции у детей не восстанавливают полностью функцию конечности и нарушают её дальнейший рост. Таким образом, существующие в настоящее время методики лечения посттравматической косорукости позволяют лишь частично улучшить анатомию верхней конечности, но не позволяют достичь максимально возможного функционального эффекта. Кроме того, данные литературы свидетельствуют о высокой частоте рецидивирования косорукости, ухудшении функции конечности в случаях применения известных оперативных методов лечения данной патологии. При лечении посттравматической деформации лучезапястного сустава у взрослых, обусловленной укорочением лучевой кости, следует руководствоваться совсем другими приоритетами. Первостепенное внимание должно уделяться снижению сроков нетрудоспособности, восстановлению функции, устранению болевого синдрома. Тем более, что в категорию больных с данной патологией зачастую входят люди трудоспособного возраста, а для верхней конечности в функциональном и косметическом плане допустимы укорочения до 8 см [Остеосинтез. Руководство для врачей. Ткаченко С.С. 1987]. Из всего вышесказанного можно сделать вывод, что потребность в разработке новой технологии лечения посттравматической косорукости, направленной на восстановление анатомических пропорций с минимизацией риска повреждения связочно-мышечного аппарата и сосудисто-нервных образований, высока, а наиболее близким аналогом к заявляемому изобретению можно считать любой из вышеуказанных аналогов, направленных на укорочение локтевой кости. Задачей заявляемого изобретения является разработка способа хирургической коррекции посттравматической лучевой косорукости у взрослых, позволяющего достичь полноценного функционального эффекта в наиболее короткие сроки с обеспечением восстановления анатомических взаимоотношений в лучезапястном суставе, минимизируя при этом возможность возникновения рецидива патологии и значительно снижая риск травмирования связочно-мышечного аппарата и сосудисто-нервных образований. Сущность заявляемого изобретения заключается в том, что в способе хирургической коррекции посттравматической лучевой косорукости у взрослых, включающем осуществление корригирующей остеотомии лучевой кости с устранением её деформации и фиксированием достигнутого положения посредством металлоконструкции, а также проведение резекции фрагмента локтевой кости, последнюю манипуляцию производят путем выполнения параллельных друг другу остеотомий в зоне шейки локтевой кости и проксимальнее с обеспечением удаления фрагмента локтевой кости протяженностью, равной величине укорочения лучевой кости, после чего головку локтевой кости транспонируют к её проксимальному фрагменту, сопоставляя их торцевые края, и фиксируют достигнутое положение посредством металлоконструкции. Технический результат заявляемого изобретения Такой технический прием, как выполнение укорочения локтевой кости путем удаления её фрагмента с обеспечением транспозиции головки локтевой кости, не резецируя последнюю, позволяет сохранить анатомические взаимоотношения в лучезапястном суставе, в том числе нормализуя радиоульнарный угол и не травмируя коллатеральную локтевую связку. Такой подход исключает возможность перерастяжения сухожилий и сосудисто-нервных образований, а, следовательно, снижает риск возникновения рецидива, например, по типу «когтеобразной кисти». В связи с отсутствием необходимости резекции головки локтевой кости данное изобретение позволяет значительно минимизировать травматичность тканей, улучшив функциональные результаты и сократив сроки реабилитации. При использовании данного способа лечения уже через 4-6 недель можно начинать разработку движений в суставе посредством ЛФК, также минимизируя возможность развития осложнений. Способ хирургической коррекции посттравматической лучевой косорукости у взрослых поясняется с помощью Фиг. 1-3, на которых изображено: на Фиг. 1 – рентгенограмма лучезапястного сустава больной К. при поступлении в стационар (прямая проекция); на Фиг. 2 – рентгенограмма лучезапястного сустава больной К. в раннем послеоперационном периоде (прямая и боковая проекции); на Фиг. 3 – рентгенограмма лучезапястного сустава больной К. через 3 месяца после проведенного хирургического вмешательства (прямая и боковая проекции). Способ хирургической коррекции посттравматической лучевой косорукости у взрослых осуществляют следующим образом. Посредством волярного разреза осуществляют хирургический доступ к лучезапястному суставу. Производят корригирующую остетомию лучевой кости в зоне деформации, после чего деформацию устраняют и достигнутое положение фрагментов кости фиксируют металлоконструкцией, в частности пластиной с блокирующими винтами. Затем производят разрез со стороны латерального края локтевой кости. Выполняют остеотомию в зоне шейки локтевой кости, в большинстве случаев на 1,5-2 см проксимальнее её головки. Проводят вторую остеотомию проксимальнее линии проведенной ранее остеотомии и параллельно ей, обеспечивая при этом удаление фрагмента локтевой кости протяженностью, равной величине укорочения лучевой кости. После головку локтевой кости транспонируют к её проксимальному фрагменту, сопоставляя их торцевые края. Фиксируют достигнутое положение посредством металлоконструкции. Пример Больная К. 62 лет поступила в НИИТОН СГМУ спустя 6 месяцев после получения травмы с диагнозом: «Посттравматическая деформация левого предплечья, неправильно сросшийся перелом дистального метаэпифиза левой лучевой кости, сгибательно-разгибательная контрактура левого лучезапястного сустава». После выполнения дополнительного обследования и предоперационной подготовки было проведено хирургическое вмешательство: корригирующая остеотомия левой лучевой кости на вершине деформации, укорачивающая остеотомия левой локтевой кости. После устранения деформации положение фрагментов лучевой кости было фиксировано пластиной с угловой стабильностью. Локтевая кость была укорочена на 2,5 см. Головка локтевой кости соединена с её проксимальным отломком, достигнутое положение фрагментов было зафиксировано посредством кортикального винта. При этом радиоульнарный угол после хирургического вмешательства составил 20 градусов. В послеоперационном периоде проводилась дополнительная иммобилизация в виде наложения жесткого ортеза на лучезапястный сустав. Проведение разработки движений в суставе с помощью ЛФК начали через 1 месяц после хирургического вмешательства. При проведении рентген-контроля через три месяца после хирургического вмешательства отмечали консолидацию перелома и восстановление функции лучезапястного сустава на 90%. Через год после хирургического вмешательства объем движений в лучезапястном суставе восстановился полностью.