патент
№ RU 2713982
МПК A61B17/00

Способ хирургического удаления острых, подострых и хронических субдуральных гематом через фрезевое отверстие с использованием ригидного эндоскопа с угловым направлением оптики

Авторы:
Серебренников Николай Алексеевич
Номер заявки
2018138514
Дата подачи заявки
01.11.2018
Опубликовано
11.02.2020
Страна
RU
Как управлять
интеллектуальной собственностью
Чертежи 
7
Реферат

Изобретение относится к медицине, а именно к нейрохирургии. Осуществляют удаление гематомы через фрезевое отверстие в своде черепа под визуальным контролем при помощи эндоскопа. При этом для визуального контроля используется ригидный эндоскоп с угловым направлением оптики. Удаление выполняется через отверстие менее 12 мм. Необходимая для обзора полость создается ретракцией мозга в области отверстия. Инструменты для удаления гематомы вводятся в отверстие рядом с эндоскопом. Способ исключает травму мозга эндоскопом, позволяет полностью удалить как жидкую гематому, так и содержащую сгустки крови, не требует применения дорогих гибких хирургических эндоскопов и инструментов к ним. 7 ил.

Формула изобретения

Способ хирургического удаления острых, подострых, хронических субдуральных и эпидуральных гематом, при котором удаление гематомы производится через фрезевое отверстие в своде черепа под визуальным контролем при помощи эндоскопа, отличающийся тем, что для визуального контроля используется ригидный эндоскоп с угловым направлением оптики, удаление выполняется через отверстие менее 12 мм, необходимая для обзора полость создается ретракцией мозга в области отверстия, инструменты для удаления гематомы вводятся в отверстие рядом с эндоскопом.

Описание

[1]

Изобретение относится к хирургии, а конкретно к нейрохирургии и нейротравматологии, и может быть использовано для улучшения клинических результатов оперативного лечения пациентов с наиболее часто встречающимися травматическими и спонтанными внутричерепными гематомами - субдуральными и эпидуральными гематомами. Способ позволяет удалить гематому из минимального доступа без необходимости выполнять трепанацию черепа. Способ может применятся для пациентов, которым не требуется широкая декомпрессивная трепанация черепа.

[2]

Прототипом заявленного изобретения являются способ лечения внутричерепных гематом, описанный в «Клинических рекомендациях по удалению субдуральных гематом» Ассоциации нейрохирургов России (утверждены решением XXXX пленума Правления Ассоциации нейрохирургов России, г. Санкт- Петербург, 16.04.2015 г.): «Эндоскопическое удаление ХСГ проводится с использованием гибких эндоскопов с диаметром трубки 4.0-6.0 мм. Эндоскопическое оборудование включает в себя щипцы, микрокоагулятор, диссекторы, а также дренажные трубки для промывания и аспирации. Для доступа обычно достаточно фре зевое отверстие диаметром 20-25 мм, накладываемое корончатой фрезой. После удаления жидкого содержимого гематомы осуществляют основные приемы эндоскопии: направленное вымывание рыхлых малоподвижных сгустков от центра к периферии гематомы, мобилизация пристеночных и вымывание крупных сгустков с периферии полости гематомы с последующим их измельчением и извлечением фрагментов под непосредственным визуальным контролем в области отверстия в черепе; рассечение внутриполостных мембран с переводом многокамерной полости в однокамерную, разъединение формирующихся сращений внутренней капсулы с паутинной оболочкой. По завершении основного этапа вмешательства выпиленный костный фрагмент устанавливается на место, а в полости гематомы оставляется дренаж».

[3]

Этот способ имеет ряд существенных недостатков, в частности:

[4]

необходимость использовать гибкий эндоскоп, стоимость которого превышает стоимость ригидного эндоскопа в 10 раз, кроме того, он существенно сложнее и дороже в обслуживании и больше подвержен поломкам;

[5]

необходимость использования специального гибкого эндоскопического оборудования: щипцы, микрокоагулятор, диссекторы, а также специальные дренажные трубки для промывания и аспирации;

[6]

так как гибкий эндоскоп имеет ограниченный радиус изгиба, диаметр необходимого отверстия в своде черепа составляет минимум 20-25 мм, что требует дополнительных действий и материалов для закрытия дефекта черепа после удаления гематомы;

[7]

диаметр рабочего канала гибкого эндоскопа слишком мал для удаления сгустков гематомы, поэтому этот способ применяется только для удаления хронических субдуральных гематом (давностью более 3-х недель), содержащих лизированную (жидкую) кровь;

[8]

Задачи предлагаемого изобретения:

[9]

возможность удаления не только хронических, но и острых и подострых гематом, содержащих плотные сгустки;

[10]

уменьшения объема вмешательства, минимизация травмы мягких тканей головы, свода черепа и оболочек мозга;

[11]

использование повсеместно распространенного и используемого при многих других оперативных вмешательствах оборудования.

[12]

Технический результат предлагаемого изобретения:

[13]

возможность удаления гематом, содержащих плотные сгустки (острых, подострых и эпидуральных гематом);

[14]

возможность более полного удаления гематомы;

[15]

меньшая травматизация тканей за счет уменьшения необходимого отверстия в черепе до 12 мм и отсутствия необходимости введения эндоскопа под кость;

[16]

уменьшение стоимости необходимого оборудования.

[17]

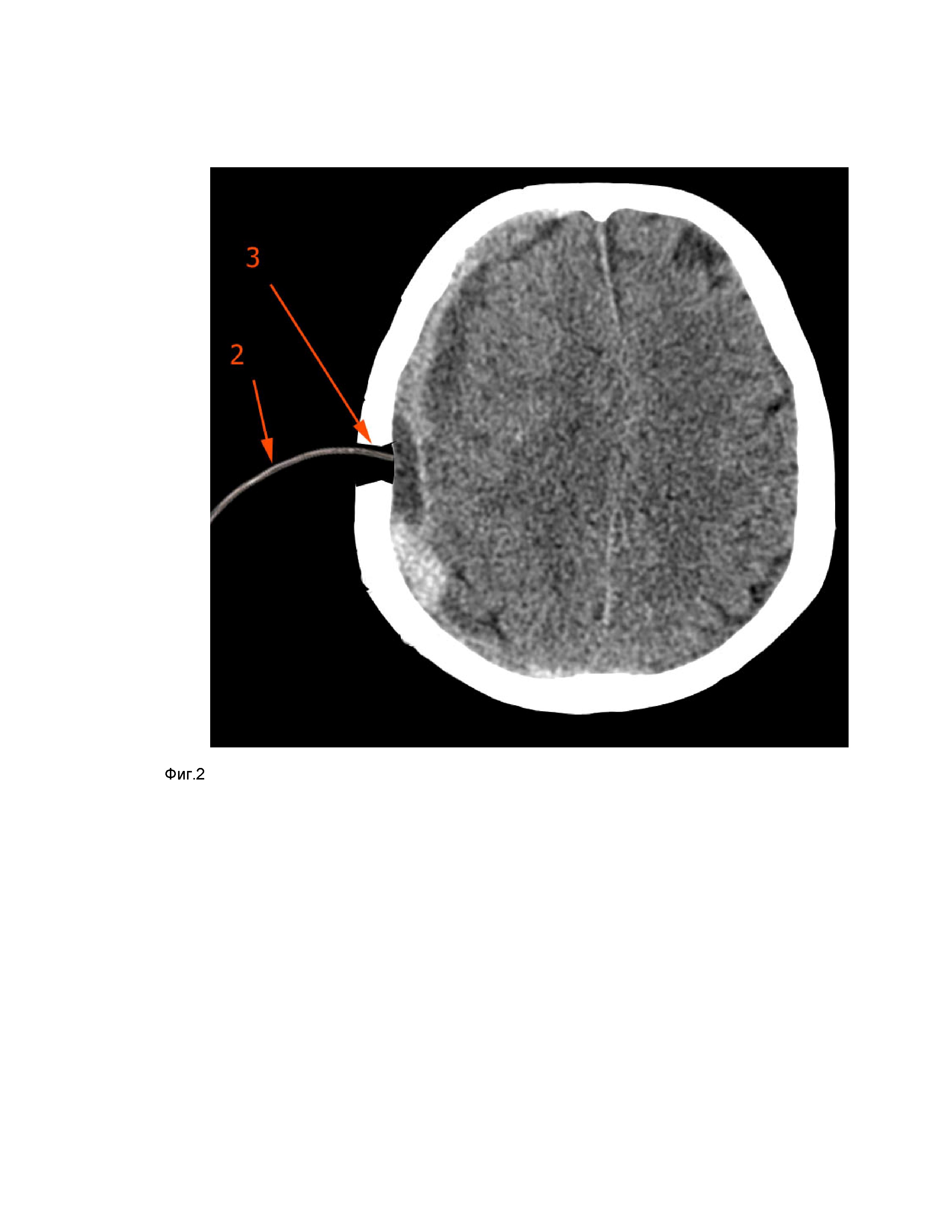
Указанные результаты в предлагаемом способе оперативного лечения субдуральных гематом достигается использованием жесткого эндоскопа с углом обзора 450 или 700. Такие эндоскопы широко распространены, производятся большинством производителей и используются в нейрохирургии и травматологии при целом ряде оперативных вмешательств. Пример расположения подострой субдуральной гематомы (1) показан на фиг.1. После обработки операционного поля выполняется разрез в проекции центра гематомы, длина его 3 см. Освобождается кость, фрезой накладывается отверстие в своде черепа диаметром менее 12 мм, при этом костная стружка сохраняется, временно удаляется из раны. Твердая мозговая оболочка вскрывается дугообразно, лоскут фиксируется швом. Если гематома имеет сформированную капсулу, она также вскрывается. В области отверстия (3) гематома выделяется самопроизвольно либо удаляется в отсос (2), что показано на фиг.2. В случае удаления острых и подострых гематом мозг обычно быстро расправляется и полость в области отверстия может закрыться, однако большая часть гематомы при этом останется. Такая ситуация показана на фиг.3, где расправившийся мозг (4) закрыл полость и значительная часть гематомы (1) не удалена. Чтобы этого не происходило, в полость гематомы проводится байонетный шпатель (7) шириной 6 мм, который обеспечивает ретракцию мозга для создания полости, расположение его показано на фиг.4, фиг.5. В случае удаления хронической гематомы мозг быстро не расправляется и установка шпателя не требуется. В отверстие вводится ригидный эндоскоп диаметром 4 мм с оптикой 45 градусов либо 700. Эндоскоп (6) устанавливается в отверстии под углом 450 (для эндоскопа 450) или 300 (для оптики 700), что обеспечивает обзор полости гематомы. Взаимное расположение шпателя (7), эндоскопа (6) и отсоса (2) показано на фиг.4. За счет угловой оптики обеспечивается хорошая визуализация полости без необходимости глубокого введения эндоскопа, что обеспечивает безопасность вмешательства. Эндоскоп является наименее контролируемым инструментом, так как хирург не видит его. Если использовать эндоскоп с меньшим углом обзора, то его будет необходимо горизонтально вводить под кость, что связано с риском повреждения вещества мозга и поломкой эндоскопа в узком отверстии. После обеспечения визуализации в полость вводится отсос и удаляется видимая при данном положении эндоскопа часть гематомы. Гематома удаляется отсосом, имеющим прогрессивный изгиб - прямой у основания и с радиусом на конце 50 мм, наружным диаметром до 4 мм. Трубка отсоса может быть изогнута дополнительно непосредственно во время вмешательства. Отсос вводится через фрезевое отверстие параллельно эндоскопу и ширины отверстия хватает для перемещения трубки отсоса в полости гематомы в пределах обзора. Введение отсоса рядом с эндоскопом, а не через рабочий канал, позволяет использовать больший диаметр трубки, при этом удаляются не только жидкая часть гематомы, но и сгустки. Все движения отсоса в полости производятся строго под визуальным контролем. Каждый раз удаляется сектор гематомы около 30 градусов, после чего шпатель и эндоскоп переставляется в следующий сектор гематомы. Последовательность удаления секторов гематомы показана на фиг.6. Пример результата удаления гематомы показан на фиг.7. Перегородки, обычные для хронических гематом, легко разрушаются отсосом. При обнаружении источника кровотечения выполняется гемостаз монополярной либо биполярной коагуляцией, а также обычными гемостатическими материалами. При удалении эпидуральной гематомы, расположенной поверх твердой мозговой оболочки оперативное вмешательство выполняется подобным образом без вскрытия твердой мозговой оболочки. После удаления эпидуральной гематомы твердая мозговая оболочка может подтягиваться швом в области отверстия для предотвращения рецидива гематомы. После удаления гематомы в полость под контролем эндоскопа устанавливается трубчатый дренаж, который проводится под апоневрозом и выводится на кожу в 3-5 см от раны. Лоскут твердой мозговой оболочки фиксируется швами, фрезевое отверстие закрывается сохраненной костной стружкой. Дренаж удаляется через 1-2 суток после операции.

[18]

Способ позволяет расширить лечебные возможности при оперативном лечении субдуральных гематом, минимизирует травматизацию тканей и может быть применен у пациентов, не требующих широкой декомпрессивной трепанации черепа. Заявленный способ менее травматичен по сравнению с описанными ранее способами, так как вмешательство проводят через отверстие диаметром менее 12 мм, и одновременно имеет более широкие возможности, так как позволяет удалить не только жидкие (хронические) гематомы, но и подострые, острые и эпидуральные. Кроме того, предлагаемый способ не требует применения дорогих и малораспространенных гибких хирургических эндоскопов.

Как компенсировать расходы
на инновационную разработку
Похожие патенты