патент
№ RU 2558984
МПК A61B17/00
Номер заявки
2013152579/14
Дата подачи заявки
26.11.2013
Опубликовано
10.08.2015
Страна
RU
Как управлять
интеллектуальной собственностью
Чертежи 
2
Реферат

Изобретение относится к медицине, а именно к хирургии, урологии и андрологии. Выполняют лигирование и пересечение яичковой вены в забрюшинном пространстве. После хирургической операции больному проводят региональную лекарственную терапию в области яичка, заключающуюся в проведении блокады семенного канатика введением раствора мексидола в разовой дозе 100 мг и 0,5% новокаина с повторением манипуляции через сутки, общим курсом 3-4 процедуры. Способ позволяет улучшить кровообращение и морфофункциональное восстановления яичек в послеоперационном периоде. 2 ил., 3 табл., 1 пр.

Формула изобретения

Способ лечения варикоцеле, включающий выполнение лигирования и пересечения яичковой вены в забрюшинном пространстве и проведение лекарственной терапии, отличающийся тем, что после хирургической операции больному проводят региональную лекарственную терапию в области яичка, заключающуюся в проведении блокады семенного канатика введением раствора мексидола в разовой дозе 100 мг и 0,5% новокаина с повторением манипуляции через сутки, общим курсом 3-4 процедуры.

Описание

[1]

Изобретение относится к медицине, а именно к хирургии, урологи и андрологии, и может быть использовано при лечении варикоцеле.

[2]

Варикоцеле - варикозное расширение вен гроздъевидного сплетения встречается у 1-6% мужчин, в подавляющем большинстве оно наблюдается слева - 97%. Актуальность вопросов, связанных с лечением варикоцеле. обусловлена его негативным влиянием на сперматогенез. Наиболее эффективным методом лечения варикоцеле является операция - известно более 100 способов оперативного лечения. В настоящее время широко распространенным видом оперативного лечения является перевязка яичковых вен по методу Ivenissevich (Ivanissevich О. Left varicocele due to reflux: experience with 4470 operative cases in forty-two years / O. Ivanissevich // J. Int. Coll. Surg. - 1960. - Vol.34., №12. - P.742-755; Лопаткин H.A. Оперативная урология / H.A. Лопаткин - Л.: Медицина. 1986. - 479 с). Однако перевязка яичковой вены может приводить в послеоперационном периоде к длительному ухудшению паренхиматозного кровообращения в яичках и угнетению в них сперматогенеза на фоне уже имевшихся изначальных расстройств в дооперационном периоде. Нарушение паренхиматозного кровообращения, недостаток кислорода в клетках яичек приводит к прогрессированию процессов перекисного окисления липидов клеточных мембран и анаэробному циклу освобождения энергии. В последующем восстановление кровообращения в яичке и сперматогенеза происходит медленно, не во всех случаях. При этом возможен целый ряд осложнений послеоперационного периода, таких как отек мошонки, орхит, гидроцеле, развитие которых связано с имеющимися нарушениями крово- и лимфообращения в яичке.

[3]

С целью улучшения гемодинамики в яичках в послеоперационном периоде широко используется медикаментозная терапия с применением следующих групп препаратов: ангиопротекторы (троксевазин, эскузан, детралекс), дезагреганты (аспирин, трентал), спазмолитики (но-шпа, папаверин), мембраностабилзаторы (токоферол-ацетат, аскорутин, рибоксин). Так, известен способ лечения варикоцеле (патент RU 2146888, МПК A61B 17/00, опубликовано БИ 27.03.2000), включающий выполнение хирургической операции, при котором предварительно за 7-10 дней до операции проводят ультразвуковое исследование яичек методом доплерографии, осуществляют количественную оценку кровотока в дистальном отделе тестикулярной артерии по индексу резистентности и при изменении величины этого показателя относительно возрастной нормы проводят лекарственную терапию до и после операции с помощью препаратов спазмолитического, мембраностабилизирующего и антиоксидантного действия, при этом лекарственную терапию в послеоперационном периоде проводят под контролем ультразвукового исследования до стабилизации или нормализации индекса резистентности. Назначают препараты спазмолитического и сосудорасширяющего действия, например папазол, но-шпа, трентал; мембраностабилизаторы и антиоксиданты, например токоферол-ацетет, цитохром С, аскорутин. Лекарственную терапию в послеоперационном периоде проводят под контролем ультразвукового исследования до стабилизации или нормализации индекса резистентности на протяжении 6-12 месяцев послеоперационного периода, прерывистыми курсами длительностью 3 месяца с интервалами 3-4 недели. Адекватность ее оценивают на основании результатов повторной доплерографии. Положительная динамика падения периферического сопротивления сосудов системы тестикулярной артерии указывает на эффективность назначенных препаратов, которые подбираются индивидуально для каждого больного. При достижении индекса резистентности до нормальной величины (0,6) лечение прерывают. Отсутствие тенденции к снижению этого показателя свидетельствует о наличии некоррегируемых нарушений внутриорганного кровообращения и бесперспективности лечения.

[4]

Известен способ сохранения сперматогенеза после оперативных вмешательств на яичках (патент RU №2099053, МПК А61K 31/185, опубликовано БИ 20.12.1997) путем введения в организм липоевой кислоты в суточной дозе 25 мг/кг сразу после травмы или за трое суток до плановой операции на яичках. В соответствии с патентом способ может применяться во всех случаях, когда имеет место механическая травма яичек, удаление части тестикулярной паренхимы или одного из яичек целиком.

[5]

Известно применение рибоксина для предотвращения атрофии яичка при оперативном лечении травм и опухолей яичка (патент RU №2019177, МПК А61K 35/17, опубликовано БИ 15.09.1994 г.).

[6]

Недостатком известных способов являются необходимость длительного применения перечисленных препаратов, иногда до нескольких месяцев до наступления ожидаемого терапевтического эффекта, а также то, что они воздействуют системно на весь организм, а не только на определенную, локальную область.

[7]

Известен способ восстановления гемодинамики в яичках после выполнения операций на органах мошонки у детей с крипторхизмом путем проведения блокады семенного канатика раствором 0,25-0,5% новокаина (патент RU №2301629.) в возрастных дозировках до нормализации показателя индекса резистентности в сосудах яичка. Блокада семенного канатика после выполнения операций на органах мошонки снимает спазм сосудов и улучшает кровоток в гонаде, что снижает риск развития гипоксической орхопатии. Способ позволяет отказаться от длительной лекарственной терапии, не оказывает системного действия на весь организм больного. Однако недостатком известного способа является то, что раствор новокаина обладает только анальгезирующим и спазмолитическим действием, но не обладает прямым антиоксидантным действием на клеточные структуры паренхимы яичка, не снижает уровень перекисного окисления липидов и тем самым не оказывает достаточно эффективного воздействия на процессы образования энергии в клетке и улучшения процессов микроциркуляции паренхимы.

[8]

Задачей изобретения является создание способа лечения варикоцеле, позволяющего уменьшить число возможных послеоперационных осложнений, за счет улучшения кровообращения и морфофункционального восстановления яичек в послеоперационном периоде.

[9]

Технический результат достигается за счет улучшения тканевой микроциркуляции, повышения реологических свойств крови, ликвидации нарушений лимфовенозного оттока в области мошонки.

[10]

Это достигается тем, что в известном способе лечения варикоцеле после выполнения хирургической операции больному назначают региональную терапию в области яичка, заключающуюся в проведении блокады семенного канатика введением раствора мексидола в разовой дозе 100 мг и 0,5% новокаина с повторением манипуляции через сутки, общим курсом 3-4 процедуры. В соответствии с заявленным способом лечения варикоцеле для осуществления блокады семенного канатика непосредственно перед введением готовят раствор из 2 мл 5% мексидола (100 мг) и 8 мл 0,5% новокаина.

[11]

Использование лекарственного препарата «Мексидол» (Химическое рациональное название 2-этил-6-метил-3-гидроксипиридшш сукцинат) обусловлено механизмом его действия и объясняется его дезагрегантным, антигипоксантным, антиоксидантным и мембранопротекторным действием. Благодаря своим свойствам раствор мексидола уменьшает агрегацию тромбоцитов, стабилизирует мембранные структуры клеток крови эритроцитов и тромбоцитов, в первую очередь способствует улучшению тканевой микроциркуляции, повышая реологические свойства крови. Улучшая тканевой метаболизм, препарат повышает резистентность организма к тканевой гипоксии, возникающей в яичке при варикоцеле и усугубляющейся после оперативного лечения. На клеточном уровне, стабилизируя мембранные структуры клеток и уменьшая вязкость мембран, раствор мексидола помогает сохранению структурно-функциональной организации биомембран, вызывая при этом усиление компенсаторной активности аэробного гликолиза и снижение степени угнетения окислительных процессов в цикле Кребса.

[12]

Авторам не известно введение мексидола в область мошонки при лечении урологических заболеваний. Поэтому для изучения действия раствора мексидола при варикоцеле проведен эксперимент на 10 кроликах самцах породы «Серый великан», сходных по возрасту и весу. Оперативным путем у них создавалось нарушение лимфовенозного оттока левого яичка как при варикоцеле, для чего лигатурой производилось сужение левой почечной вены на ½ ее диаметра - между нижней полой веной и местом впадения левой яичковой вены (способ описан в патенте РФ №2299477 от 11.05.2005. «Способ моделирования варикоцеле»). В результате к 10 дню от начала исследования происходило увеличение размеров левого яичка - максимально в 18 раз от исходного размера. При УЗИ определялся отек, зернистость структуры паренхимы и утолщение оболочки левого яичка, расширенные и рефлюксирующие стволы яичковой вены. Начиная с 10 дня проводилась лекарственная терапия, направленная на улучшение процессов микроциркуляции и лимфовенозного оттока левого яичка. Основным действующим препаратом являлся 5% раствор мексидола - его доза составляла 10 мг на килограмм массы тела кролика, вводился в смеси с 0,5% раствором новокаина с целью аналгезии и сосудорасширяющего действия в пропорции: 1 мл 5% раствора мексидола на 4 мл 0,5% раствора новокаина. Раствор мексидола вводился в подкожную клетчатку возле левого яичка и семенного канатика через день в течение 10 дней, всего на курс проводилось 5 инъекций. По истечении 10-дневного курса консервативной терапии раствором мексидола в 0,5% новокаине отмечено улучшение кровообращения в левом яичке. Улучшение лимфовенозного оттока после завершения курса регионарной медикаментозной терапии приблизило размеры яичек к норме (табл.1).

[13]

Таблица 1
Средний объем левого яичка кроликов на этапах исследования
Единица измеренияперед началом исследованияпосле создания модели варикоцелепосле окончания 10 дневного курса леченияна 10 день после окончания курса лечения
см31,82±0,3013,62±1,53**2,59±0,64*1,85±0.33*
Примечание: достоверность различий по критерию Стьюдента по отношению к результатам первой серии исследований: * - (p>0,05); ** - (p<0,05)

[14]

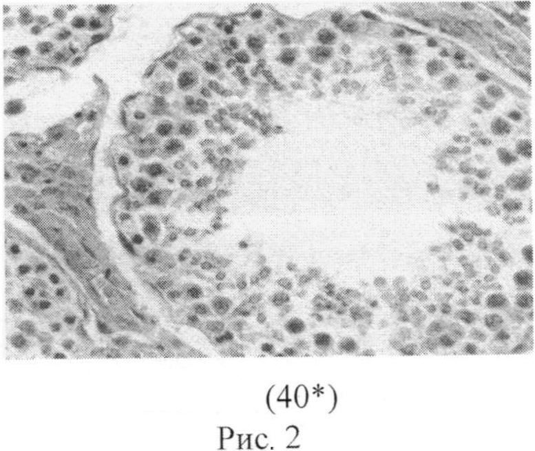
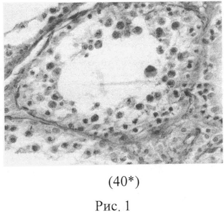
Эффективность применения раствора мексидола прослежена рентгеноконтрастным методом исследования при подкожном введении 1 мл 76% раствора урографина в область левого яичка кроликов с последующей рентгенографией - в норме рассасывание контрастного вещества происходило к 100-120 минуте после введения 76% раствора урографина. В условиях эксперименально созданной регионарной лимфовенозной недостаточности левого яичка изменение объема депо урографина в течение 120 минут не отмечено. А после 10-дневного курса медикаментозной терапии раствором мексидола лимфовенозный отток левого яичка восстановился и рассасывание тени контрастного вещества происходило соответственно с результатами нормы. По результатам морфологического исследования нарушение лимфовенозного оттока левого яичка и тканевая гипоксия привела к утолщению эластичной мембраны извитых семенных канальцев, значительному снижению количества интерстициальных клеток и уменьшению числа слоев клеток сперматогенного эпителия по сравнению с правым яичком, где представлена морфологическая картина после создания модели левостороннего варикоцеле: рис 1 - левого яичка; рис 2 - правого яичка (см рис.1 и рис 2 - кратность увеличения объектива микроскопа 40*).

[15]

Тканевая гипоксия левого яичка, вызванная лимфовенозным отеком при создании модели варикоцеле у кроликов, привела к угнетению выработки тестостерона клетками Лейдига. а также к нарушению сперматогенеза в клетках Сертоли, что «по типу обратной связи» привело к выбросу большого количества гонадотропных гормонов гипофиза - лютеинизирующий гормон (ЛГ) и фолликулстимулирующий гормон (ФСГ) (табл.2.).

[16]

Таблица 2
Уровень половых гормонов в сыворотке крови кроликов на этапах исследования
Наименование№1№2№3№4№5
Тестостерон9,49±2,8011,11±3,93*45,45±9,13**48,76±10,08**55,38±9,57**
ЛГ0,801±0,363,469±2,431*32,54±10,42**16,37±5,09**2,48±0,67**
ФСГ0,293±0,081,617±0,92*4,54±1,96**8,67±3,57**6,19±1,6**
Примечание: 1) Тестостерон (нмоль/л), ЛГ - лютеинизирующий гормон (Мед/л), ФСГ - фолликулстимулирующий гормон (МЕ/л); 2) достоверность различий по критерию Стьюдента по отношению к результатам первой серии исследований: * - (р>0,05); ** - (р<0,05); 3) этапы исследования: №1 - исходное значение до операции; №2 - после создания модели варикоцеле; №3 - после проведенного 10-дневного курса консервативной терапии; №4 - через 10 дней после завершения курса консервативной терапии; №5 - через 20 дней после завершения курса консервативной терапии

[17]

Проведенная регионарная терапия раствором мексидола и 0,5% раствора новокаина привела к улучшению процессов микроциркуляции паренхимы левого яичка кроликов, гипертрофии оставшихся половых клеток левого яичка, их функциональной активности. Значительное повышение уровня тестостерона в крови кроликов самцов приводит к снижению содержания в сыворотке крови содержания ЛГ. Длительно сохраняющееся повышение уровня ФСГ в крови объясняется более значительным повреждением клеток сперматогенного эпителия левого яичка в результате гипоксии, вызванной лимфовенозной недостаточностью, что было видно по результатам морфологического исследования, а лечение мексидолом приводит, хотя и медленно, к постепенному восстановлению выработки сперматогенным эпителием половых клеток.

[18]

Авторами сделаны следующие выводы по результатам исследования морфофункционального состояния яичек кроликов самцов в эксперименте:

[19]

1. Венозная гипертензия и тканевая гипоксия левого яичка приводит к повреждению половых клеток с развитием их функциональной недостаточности, что подтверждается данными объективного осмотра, рентгенологического, ультразвукового, морфологического и гормонального исследований.

[20]

2. Регионарная терапия раствором мексидола в 0,5% растворе новокаина, направленная на ликвидацию возникшей лимфовенозной недостаточности левого яичка, приводит к нормализации кровотока и улучшению микроциркуляции в ткани левого яичка.

[21]

3. После консервативного лечения раствором мексидола восстановление функциональной активности клеток Лейдига происходит быстрее, в результате чего наблюдается стабильно высокое содержание уровня тестостерона в крови кроликов.

[22]

4. При возникновении тканевой гипоксии происходит выраженное угнетение сперматогенеза в клетках Сертоли, а его нормализация после восстановления микроциркуляции паренхимы яичка протекает медленно. Это подтверждается длительно сохраняющимся в крови высоким уровнем ФСГ, снижение которого отмечено только на 20-й день после окончания курса консервативной терапии.

[23]

Таким образом, проведенные на лабораторных животных исследования показали, что регионарная терапия раствором мексидола в 0,5% растворе новокаина улучшает микроциркуляцию и лимфовенозный отток яичка, поэтому может быть применено для восстановления кровотока в яичках больных варикоцеле после оперативного лечения.

[24]

В соответствии с заявленным способом лечения варикоцеле на следующий день после операции больным производится блокада семенного канатика раствором, приготовленным из смеси 2 мл 5% раствора мексидола в дозе 100 мг и 8 мл 0,5% новокаина. Манипуляция проводится по известной методике Ю.М. Лорин-Эпштейну, разработанной для блокады семенного канатика (описание техники выполнения на сайте магистров экстренной медицинской помощи-практические навыки http://vvww.drdima03.narod.ru/navik/praktichnavik2.htm). В положении больного на спине, после удаления волос на лобке и обработки кожи антисептиком, между мошонкой и наружным паховым кольцом пальпаторно определяют семенной канатик. Семенной канатик зажимают между большим и указательным пальцем одной руки и после анестезии кожи мошонки 0,5% раствором новокаина между ними производится подкожно вкол тонкой иглы с коротким срезом в проксимальном направлении на 1-1,5 см, после чего производится введение приготовленного раствора мексидола и новокаина. Всего в послеоперационном периоде проводится 3-4 процедуры с интервалом через сутки в одних и тех же дозировках.

[25]

Пример

[26]

Больной С. поступил на оперативное лечение с диагнозом: варикоцеле III степени слева. При ультразвуковом исследовании органов мошонки до операции: слева определяются множественные переплетающиеся значительно расширенные венозные стволы, объем левого яичка на 75% был меньше объема правого. Проведена операция - забрюшинная перевязка яичковой вены слева. После операции трижды с интервалом через сутки произведена блокада семенного канатика раствором, приготовленным из 2 мл 5% мексидола в дозе 100 мг и 8 мл 0,5% новокаина по вышеописанной технике. Послеоперационный период гладкий, осложнений не было. Выписан на 7 сутки в удовлетворительном состоянии. Осмотрен через 3 месяца - жалоб не предъявлял: при ульразвуковом исследовании органов мошонки вены гроздъевидного сплетения не определяются, объем левого яичка увеличился и был на 57% меньше объема правого. При осмотре через один год после операции жалоб не предъявляет, при ульразвуковом исследовании органов мошонки объем левого яичка увеличился и сравнялся с правым. Признаков рецидива заболевания и осложнений нет.

[27]

Всего после операции забрюшинной перевязки яичковой вены прошли курс лечения с использованием вышеописанной региональной терапии 5 больных левосторонним варикоцеле. Для оценки эффективности заявленного способа определялся индекс резистентности сосудов паренхимы левого яичка (в норме этот показатель не ниже 0,60) (табл.3).

[28]

Таблица 3
Показатели индекса резистентности сосудов паренхимы левого яичка после забрюшинной перевязки яичковой вены
ПоказателиТолько операция (n-6)Операция + региональная терапия мексидолом (n=5)Р
До операции0,480,50р>0,05
Через 6 дней после операции0,430,62р<0,05
Через 1 месяц после операции0,560,64р<0,05

[29]

Из результатов таблицы видно, что в группе больных, получавших только оперативное лечение, восстановление паренхиматозного кровотока в левом яичке до нормы не отмечено.

[30]

По группе больных, которым проводилась регионарная терапия в области семенного канатика по заявленному способу лечения варикоцеле отмечено повышение до нормы индекса резистентности сосудов, что говорит о восстановлении кровотока паренхимы левого яичка в послеоперационном периоде.

[31]

Полученные результаты исследования свидетельствуют об эффективности заявленного способа лечения варикоцеле.

Как компенсировать расходы
на инновационную разработку
Похожие патенты