патент
№ RU 2551303
МПК A61B17/60

СПОСОБ ЛЕЧЕНИЯ СЛОЖНЫХ ПРОНАЦИОННО-ЭВЕРСИОННЫХ ПЕРЕЛОМОВ ДИСТАЛЬНОГО СУСТАВНОГО ОТДЕЛА КОСТЕЙ ГОЛЕНИ

Авторы:
Панков Игорь Олегович
Номер заявки
2013150656/14
Дата подачи заявки
13.11.2013
Опубликовано
20.05.2015
Страна
RU
Как управлять
интеллектуальной собственностью
Чертежи 
5
Реферат

Изобретение относится к травматологии и ортопедии и может быть применимо для лечения сложных пронационно-эверсионных переломов дистального суставного отдела костей голени. Проводят репозицию и фиксацию перелома малоберцовой и фиксацию пяточной кости, с восстановлением анатомии голеностопного сустава костными стержнями Шанца. Стержень, введенный в дистальный отломок малоберцовой кости снаружи кнутри и несколько сзади, с отклонением на 18-25° от фронтальной оси, закрепляют в кронштейне, установленном на кольцевой опоре. Стержень, введенный в пяточную кость, закрепляют на кронштейне, установленном на полукольцевой опоре аппарата, также с отклонением на 18-25° от фронтальной оси. Собирают аппарат внешней фиксации, соединяя проксимальную кольцевую и дистальную полукольцевую опоры. Способ позволяет уменьшить риск развития деформирующего артроза и контрактур. 2 з.п. ф-лы, 1 пр., 5 ил.

Формула изобретения

1. Способ лечения сложных пронационно-эверсионных переломов дистального суставного отдела костей голени, включающий предварительную репозицию перелома с устранением грубых смещений фрагментов лодыжек и подвывиха стопы кнаружи, фиксацию нижней трети и дистального метафиза большеберцовой кости костными стержнями Шанца на кольцевой опоре аппарата, фиксацию малоберцовой и пяточной кости в компрессионно-дистракционно аппарате, отличающийся тем, что репозицию и фиксацию перелома малоберцовой и фиксацию пяточной кости, с восстановлением анатомии голеностопного сустава, производят костными стержнями Шанца, причем стержень, введенный в дистальный отломок малоберцовой кости снаружи кнутри и несколько сзади, с отклонением на 18-25° от фронтальной оси, закрепляют в кронштейне, установленном на кольцевой опоре, а стержень, введенный в пяточную кость, - на кронштейне, установленном на полукольцевой опоре аппарата, также с отклонением на 18-25° от фронтальной оси, собирают аппарат внешней фиксации, соединяя проксимальную кольцевую и дистальную полукольцевую опоры.

2. Способ по п. 1, отличающийся тем, что после репозиции дистального отломка малоберцовой кости через него проводят спицу с упором в направлении сзади наперед, с закреплением в кронштейнах, установленных на полукольцевой опоре, или на дополнительной опоре аппарата.

3. Способ по п. 1, отличающийся тем, что репозицию внутренней лодыжки, при ее переломе, производят из доступа со стороны внутренней лодыжки, с фиксацией спицами, или компрессирующим винтом, в зависимости от величины поврежденного фрагмента.

Описание

[2]

Изобретение относится к медицине, а именно к травматологии и ортопедии, и предназначено для лечения сложных пронационно-эверсионных переломов дистального суставного отдела костей голени. Данный вид повреждений характеризуется переломом наружной лодыжки или малоберцовой кости на протяжении диафиза, внутренней лодыжки или разрывом дельтовидной связки, повреждением дистального межберцового синдесмоза, подвывихом или, реже, вывихом стопы кнаружи. Репозиция перелома с устранением всех видов смещений и восстановлением анатомии голеностопного сустава является ключевым моментом, обеспечивающим восстановление функции сустава и всей нижней конечности.

[3]

Известны способы остеосинтеза переломов дистального суставного отдела костей голени, включающие открытую репозицию перелома малоберцовой кости (наружной лодыжки), остеосинтез металлическими конструкциями [1, 2]. Несмотря на широкое применение в клинике данные способы предполагают дополнительную травматизацию тканей, в ряде случаев приводящую к их ишемии, что особенно нежелательно при оскольчатых переломах.

[4]

Известен также способ лечения сложных переломов дистального отдела костей голени, с применением аппарата Илизарова [3]. Недостатком указанного способа лечения являются громоздкость аппарата, а также, нередко, насильственное устранение разрывов в дистальном межберцовом сочленении и, как следствие этого, развитие деформирующего артроза и контрактур голеностопного сустава.

[5]

Наиболее близким заявляемому является способ лечения переломов дистального суставного отдела костей голени, с применением спице-стержневых аппаратов внешней фиксации [4]. Преимуществом данного способа является закрытая репозиция перелома, с восстановлением конгруэнтности суставных поверхностей надтаранного сустава, а также ненасильственное устранение избыточного диастаза в межберцовом сочленении, путем перемещения по спице в опоре репозиционого узла аппарата. Недостатком данного способа лечения является репозиция перелома малоберцовой кости без учета анатомии и биомеханических особенностей голеностопного сустава и, как следствие этого, развитие возможных осложнений в виде деформирующего артроза и контрактуры сустава.

[6]

Известно, что в нормально функционирующей нижней конечности имеет место наружная торсия костей голени на величину 18-25°, при этом наружная лодыжка располагается несколько кзади, а внутренняя - выдвигается кпереди от фронтальной оси. При переломе происходит нарушение напряженного состояния в дистальных отделах костей голени с раскручиванием (деторсией) костей кнутри. При этом малоберцовая кость смещается кзади и кнаружи, нередко с «запрокидыванием кзади» дистального отломка (фиг.1).

[7]

Сущность изобретения заключается в совокупности существенных признаков, достаточной для достижения искомого технического результата, состоящей в адекватном устранении смещения дистального отломка малоберцовой кости, устранении разрыва дистального межберцового синдесмоза и подвывиха стопы кнаружи, с учетом биомеханических особенностей дистального отдела костей голени, и состоит в улучшении исходов лечения, снижении числа осложнений.

[8]

Сущность изобретения состоит в том, что заявляемый способ лечения сложных пронационно-эверсионных переломов дистального суставного отдела костей голени включает предварительную репозицию перелома с устранением грубых смещений фрагментов лодыжек и подвывиха стопы кнаружи, фиксацию нижней трети и дистального метафиза большеберцовой кости костными стержнями Шанца на кольцевой опоре аппарата, фиксацию малоберцовой и пяточной кости в компрессионно-дистракционно аппарате. Репозицию и фиксацию перелома малоберцовой и фиксацию пяточной кости, с восстановлением анатомии голеностопного сустава, производят костными стержнями Шанца. Стержень, введенный в дистальный отломок малоберцовой кости снаружи-кнутри и несколько сзади, с отклонением на 18-25° от фронтальной оси, закрепляют в кронштейне, установленном на кольцевой опоре. Стержень, введенный в пяточную кость, - на кронштейне, установленном на полукольцевой опоре аппарата, также с учетом величины торсии дистальных отделов голени.

[9]

После репозиции дистального отломка малоберцовой кости через него может быть проведена спица с упором, в направлении сзади-наперед, с закреплением в кронштейнах, установленных на полукольцевой опоре, или на дополнительной опоре аппарата.

[10]

Репозицию внутренней лодыжки, при ее переломе, производят из доступа со стороны внутренней лодыжки, с фиксацией спицами, или компрессирующим винтом, в зависимости от величины поврежденного фрагмента.

[11]

Введение костного стержня Шанца в дистальный отломок наружной лодыжки, с учетом величины торсии костей голени, снаружи-кнутри, и несколько сзади, с отклонением на 18-25° от фронтальной оси и закреплением последнего на кронштейне кольцевой опоры аппарата, обеспечивает анатомически и биомеханически обоснованную репозицию перелома малоберцовой кости (наружной лодыжки), а также щадящее устранение разрыва в межберцовом сочленении. При этом репозиция малоберцовой кости, устранение вывиха или подвывиха стопы, а также разрыва в межберцовом сочленении осуществляется закрыто, без дополнительного нанесения операционной травмы поврежденному участку сегмента конечности.

[12]

Введение костного стержня Шанца в пяточную кость снаружи-кнутри, и несколько сзади, с отклонением от оси на 18-25°, с учетом торсии костей голени, обеспечивает адекватное, с учетом биомеханики голеностопного сустава, устранение подвывиха (вывиха) стопы кнаружи.

[13]

Крепление костных стержней Шанца в опорах аппарата внешней фиксации обеспечивает биомеханически обоснованную фиксацию поврежденного участка сегмента конечности на период консолидации перелома с адекватным сохранением анатомии голеностопного сустава.

[14]

Способ поясняется приведенными иллюстрациями, где:

[15]

на фиг.1 показано смещение кзади и кнаружи, с «запрокидыванием кзади», дистального отломка малоберцовой кости при переломе;

[16]

на фиг.2 показан общий вид аппарата, с помощью которого осуществляется способ;

[17]

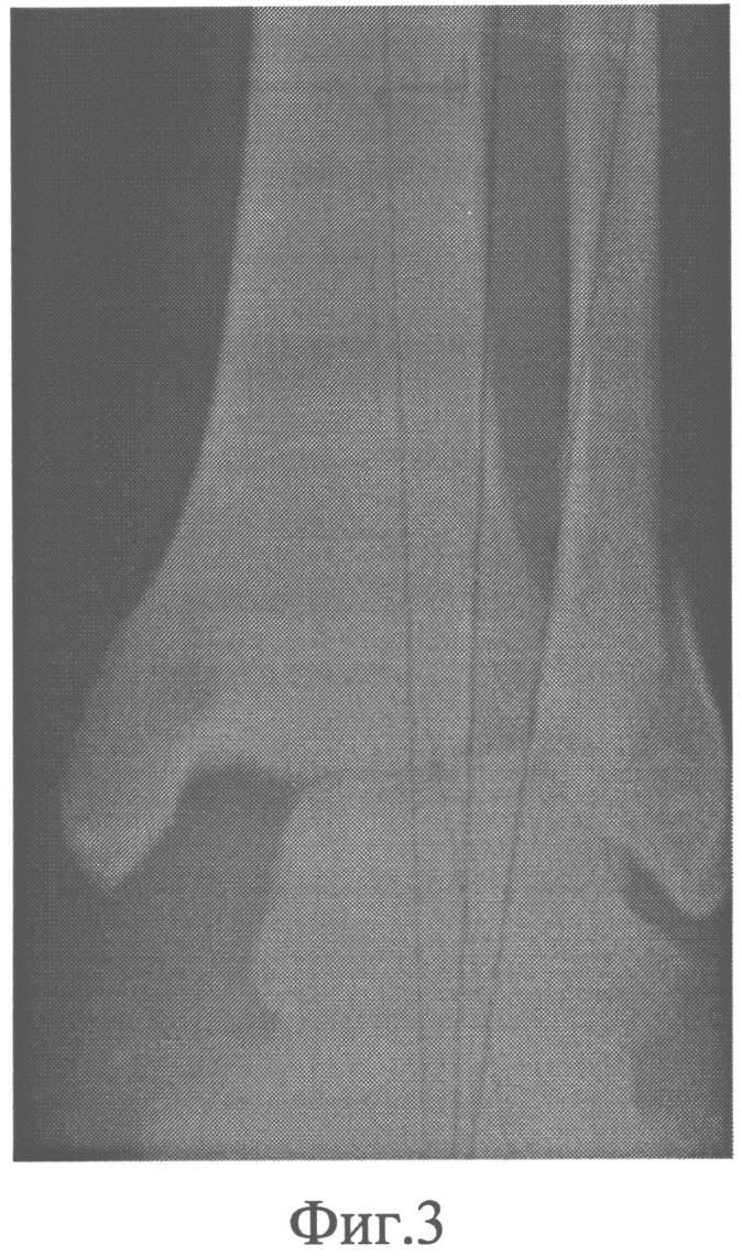
на фиг.3 - первичная рентгенограмма голени больного при поступлении;

[18]

на фиг.4 - вид голени с установленным аппаратом внешней фиксации;

[19]

на фиг.5 - вид голени после снятия аппарата.

[20]

Аппарат (фиг.2) содержит проксимальную кольцевую 1 и дистальную полукольцевую 2 базовые опоры, на которых установлены кронштейны 3, с закрепленными в них 2-мя костными стержнями Шанца 4, введенными в нижнюю треть и дистальный метафиз большеберцовой кости. Стержень 5, введенный в дистальный отломок малоберцовой кости, закрепляют на кронштейне 6, установленном на кольцевой опоре 1, а стержень 7 фиксирует дистальную полукольцевую 2 базовую опору кронштейном 8 к пяточной кости.

[21]

Способ осуществляют следующим образом.

[22]

На операционном столе производят предварительную репозицию перелома, с устранением грубых смещений фрагментов лодыжек и подвывиха (вывиха) стопы кнаружи. В нижнюю треть и дистальный метафиз большеберцовой кости вводят два костных стержня Шанца 4, которые закрепляют на кронштейнах 3, установленных на кольцевой опоре 1 аппарата. В пяточную кость вводят аналогичный стержень 7, или проводят спицу с упором, снаружи-кнутри, и несколько сзади, с отклонением от фронтальной оси на 18-25°, с учетом торсии костей голени, и закрепляют на кронштейне 8, установленном на полукольцевой опоре 2 аппарата. Опоры соединяют с помощью резьбовых стержней. С целью репозиции перелома малоберцовой кости и устранения разрыва в дистальном межберцовом сочленении в дистальный ее отломок вводят костный стержень Шанца 5, также с учетом величины торсии костей голени снаружи-кнутри, и несколько сзади, с отклонением от фронтальной оси на 18-25°, и закрепляют на кронштейне 6, установленном на кольцевой опоре 1 аппарата внешней фиксации. Перемещением по винту-стержню в сторону большеберцовой кости достигается щадящая репозиция малоберцовой кости (наружной лодыжки), коаптация по плоскости перелома, устранение избыточного диастаза в межберцовом сочленении. С целью обеспечения стабильной фиксации дистального отломка малоберцовой кости после его репозиции через него может быть проведена спица с упором сзади-наперед и закреплена на кронштейнах или дополнительной дуговой опоре аппарата. Репозицию внутренней лодыжки, при ее переломе, производят из доступа со стороны внутренней лодыжки, с фиксацией спицами, или компрессирующим винтом, в зависимости от величины поврежденного фрагмента. В случаях повреждения дельтовидной связки последнюю восстанавливают оперативным путем по обычной методике.

[23]

Клинический пример.

[24]

Пациент Т., 1967 г.р., ист./б. №902, находился на лечении в отделении травматологии с 28.02. по 09.03.2009 г. с диагнозом: закрытый перелом наружной лодыжки, повреждение дельтовидной связки, дистального межберцового синдесмоза справа, подвывих стопы кнаружи. На рентгенограмме (фиг.3) имеет место перелом наружной лодыжки со смещением, повреждение дистального межберцового синдесмоза, подвывих стопы кнаружи. Операция: закрытый ЧКОС перелома дистального суставного отдела костей голени аппаратом внешней фиксации 04.03.2009 г. В нижнюю треть и дистальный метафиз большеберцовой кости и пяточную кость введены костные стержни Шанца, закреплены на кронштейнах кольцевой и дуговой опор аппарата внешней фиксации, в дистальный отломок наружной лодыжки введен аналогичный стержень, закреплен на кронштейне, установленном на кольцевой опоре аппарата (фиг.4). Аппарат демонтирован, снят 28.04.2009 г. Курс восстановительного лечения в стационаре. Контрольный осмотр 04.10.2010 г., 16.10.2012 г. Пациент жалоб не предъявляет. Трудоспособность восстановлена. Нагрузка на стопу полная. Движения в голеностопном суставе в полном объеме. Исход лечения оценен как отличный (фиг.5).

[25]

Источники информации

[26]

1. Антониади Ю.В. Лечение переломов лодыжек с применением современных технологий АО / Ю.В. Антониади, К.А. Бердюгин, А.Ф. Галяутдинов // Травматология и ортопедия XXI века. Материалы VIII съезда травматологов-ортопедов России. - Самара, 2006. - С.125-126.

[27]

2. Кавалерский Г.М. К вопросу о тактике лечения закрытых переломов лодыжек / Г.М.Кавалерский, Н.В. Петров, А.Д. Ченский, П.В. Доценко [и др.] // Сборник тезисов IX съезда травматологов-ортопедов России. - Саратов, 2010. - Т.1. - С.156-157.

[28]

3. Катаев И.А. Основные принципы чрескостного остеосинтеза при лечении переломов голеностопного сустава / И.А. Катаев // Сборник тезисов 1-й медико-биологической конференции молодых ученых Кургана. - Курган, 1976. - С.21-23.

[29]

4. Панков И.О. Современные методы лечения тяжелых пронационно-эверсионных переломов дистального суставного конца костей голени: Метод. рекомендации / И.О. Панков. - Казань, 2006. - 22 с.

Как компенсировать расходы
на инновационную разработку
Похожие патенты