Изобретение относится к области медицины, а именно к травматологии и ортопедии, и может быть использовано для лечения когтевидной деформации ногтевых фаланг пальцев кисти. Сущность способа состоит в восстановлении длины ногтевой фаланги за счет костного трансплантата, являющегося опорой для растущего ногтя и пластике торцевого дефекта кожи пальца перемещенным ладонным кожно-жировым лоскутом. При этом в качестве костного аутотрансплантата используют кортикальный фрагмент из нижней трети лучевой кости одноименной конечности, который внедряют в сформированный в основании ногтевой фаланги костно-мозговой канал. Дефект кожи по ладонной поверхности ногтевой фаланги пальца замещают посредством перемещения островкового кожно-жирового лоскута на двух собственных сосудисто-нервных пучках в виде V-Y пластики. Причем все реконструктивные задачи решают в ходе одной операции. Использование данного изобретения позволяет исключить травматизацию дополнительного донорского участка на соседнем пальце для замещения дефекта кожи ладонной поверхности ногтевой фаланги, предотвратить развитие недостаточности трофики и иннервации дистальных отделов пальца, а также контрактур проксимального межфалангового сустава оперируемого пальца, добиться хорошего косметического и функционального результатов. 15 ил.
Способ реконструкции ногтевой фаланги пальца кисти при когтевидной деформации, который включает в себя восстановление длины ногтевой фаланги за счет костного трансплантата, являющегося опорой для растущего ногтя и пластику торцевого дефекта кожи пальца перемещенным ладонным кожно-жировым лоскутом, отличающийся тем, что в качестве костного аутотрансплантата используют кортикальный фрагмент из нижней трети лучевой кости одноименной конечности, который внедряют в сформированный в основании ногтевой фаланги костно-мозговой канал, а дефект кожи по ладонной поверхности ногтевой фаланги пальца замещают посредством перемещения островкового кожно-жирового лоскута на двух собственных сосудисто-нервных пучках в виде V-Y пластики, причем все реконструктивные задачи решают в ходе одной операции.
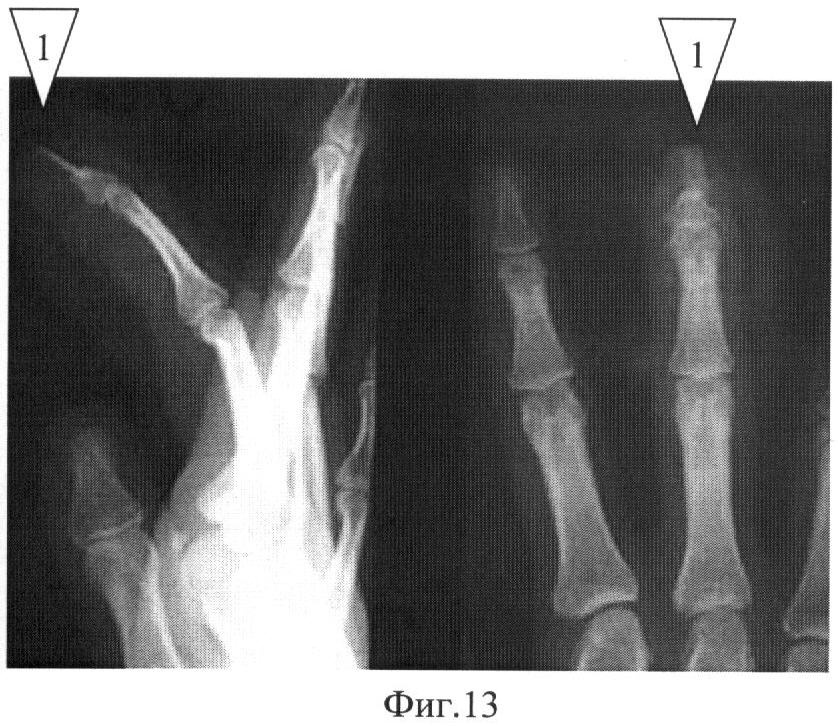
Изобретение относится к области медицины, а именно к травматологии и ортопедии, и может быть использовано для лечения пациентов с когтевидной деформацией ногтевых фаланг пальцев кисти. Для ликвидации когтевидной деформации, возникающей вследствие утраты дистальной части кости ногтевой фаланги, являющейся опорной основой для растущего ногтя при сохранении проксимального отдела ногтевого ложа, предложены различные способы оперативного лечения. Так, одним из способов является перемещение ногтевого комплекса в проксимальном направлении (Белоусов А.Е. // Пластическая, реконструктивная и эстетическая хирургия. - СПб.: Гиппократ, 1998, стр.411-412; Verdan C.E., Egloff D.V. // Fingertip injuries // Surg. Clin. N. Amer. - 1981. - Vol. 61, №2. - P.237-266). Ноготь с небольшим ладонным лоскутом приподнимают и сформированный длинный тыльный лоскут перемещают в проксимальном направлении. На ладонную поверхность пальца пересаживают перекрестный лоскут с соседнего пальца. После заживления раны удаляют избыток мягких тканей на тыле пальца. Недостатками данного метода являются: относительное укорочение длины пальца, донорский дефект на соседнем пальце, нарушение кожной чувствительности в месте пластики перемещенным лоскутом, необходимость повторных оперативных вмешательств для отсечения ножки лоскута и удаления избытка мягких тканей. Данная операция является аналогом предлагаемого нами способа. Известен способ коррекции когтевидной деформации ногтя путем остеопластического удлинения дистальной фаланги пальца. На ладонно-торцевой поверхности культи формируют и приподнимают кожный лоскут, включающий ткани ногтевого ложа и ногтевую пластинку; с помощью тонкой спицы фиксируют к костной культе дистальной фаланги пальца предварительно взятый некровоснабжаемый костный трансплантат, функция которого состоит в обеспечении последующей поддержки растущего ногтя. Затем ладонный дефект тканей закрывают скользящим ладонным пальцевым лоскутом (Белоусов А.Е. Пластическая, реконструктивная и эстетическая хирургия. - СПб.: Гиппократ, 1998, стр.411-412). Этот метод имеет существенные недостатки. В частности, необходимость выделения сосудисто-нервных пучков на протяжении всего пальца приводит к выраженному отеку и лимфостазу в лоскуте в послеоперационном периоде, что часто сопровождается нарушением чувствительности и трофики дистальных отделов пальца. Также ладонный пальцевой скользящий лоскут возможно сместить в область реконструкции только при сгибании пальца в проксимальном межфаланговом суставе. Это неизбежно приводит к сгибательной контрактуре последнего за период послеоперационной иммобилизации. Данный вид оперативного лечения является прототипом предлагаемого нами способа. Техническим результатом изобретения является: отсутствие травматизации дополнительного донорского участка на соседнем пальце для замещения дефекта кожи ногтевой фаланги; предотвращение развития недостаточности трофики и иннервации дистальных отделов пальца; отсутствие сгибательной контрактуры проксимального межфалангового сустава оперируемого пальца; возможность устранения подобных деформаций на любом пальце; хороший косметический результат и удовлетворение высоких требований пациента к качеству жизни. Результат изобретения достигается за счет того, что в качестве костного аутотрансплантата используют кортикальный трансплантат прямоугольной формы из нижней трети лучевой кости одноименной конечности, размерами около 1,0×0,5×0,3 см (в случае дефекта ногтевой фаланги 1п. - до 1,5×0,5×0,3 см), что позволяет выполнять оперативное вмешательство на одном сегменте без дополнительной анестезии. Дефект кожи ногтевой фаланги пальца восстанавливают посредством несвободной пластики островковым перемещенным кожно-жировым лоскутом на двух собственных сосудисто-нервных пучках. Данный лоскут возможно смещать в дистальном направлении на расстояние до 1,5 см и восстанавливать дефекты площадью до 2,5 см. «Подушечку» пальца формируют по типу «капюшона» при сведении дистальных краев трансплантата, а проксимальный отдел раны ушивают в линию без образования дефекта кожи, что обеспечивает хорошие функциональный и косметический результаты (V-Y пластика) (Furlow L.T. Journal of hand surgery - Ediburg, Scotland - 9(3); 253-6, 1984 Oct.). Реконструктивное вмешательство осуществляют в ходе одной операции. На чертежах изображены: Фиг.1 - формирование и подъем кожного лоскута на торце ногтевой фаланги, включающего ткани ногтевого ложа и ногтевую пластинку; Фиг.2 - подготовка костномозгового канала в сохранившейся костной части ногтевой фаланги, где 2 - это канал в костной части основания ногтевой фаланги; Фиг.3 - взятие костного аутотрансплантата из кортикальной пластинки дистального метаэпифиза лучевой кости, размерами около 1,0×0,5×0,3 см, где 1 - это костный аутотрансплантат из кортикальной пластинки дистального метаэпифиза лучевой кости; Фиг.4 - внедрение костного аутотрансплантата в подготовленный канал основания ногтевой фаланги, где 1 - это костный аутотрансплантат из кортикальной пластинки дистального метаэпифиза лучевой кости; Фиг.5 - формирование островкового несвободного кожно-жирового лоскута эллипсовидной формы с V-образным дистальным отделом на двух собственных сосудисто-нервных питающих ножках и смещение его в дистальном направлении, где 3 - это две собственные сосудисто-нервные питающие ножки; Фиг.6 - сведение двух дистальных точек кожного лоскута между собой с образованием чаши, необходимой для формирования контура подушечки ногтевой фаланги, где 3 - это две собственные сосудисто-нервные питающие ножки; Фиг.7 - вид пальца сбоку после ушивания послеоперационной раны; Фиг.8 - вид пальца с ладонной стороны после ушивания послеоперационной раны; Фиг.9 - клинический пример: вид пальца сбоку до операции; Фиг.10 - вид с тыла кисти до операции; Фиг.11 - вид пальца сбоку после снятия швов; Фиг.12 - вид с ладонной поверхности после снятия швов; Фиг.13 - рентгенологическая картина кисти в двух проекциях через 6 месяцев после операции, где 1 - это костный аутотрансплантат из кортикальной пластинки дистального метаэпифиза лучевой кости, внедренный в основание ногтевой фаланги; Фиг.14 - вид пальца с ладонной поверхности (6 месяцев после операции); Фиг.15 - вид пальца сбоку (6 месяцев после операции). Способ осуществляется следующим образом. Оперативное вмешательство производится под проводниковой анестезией в аксиллярной области, положение больного на спине, рука укладывается на приставной столик. Первым моментом является формирование и подъем кожного лоскута на торце ногтевой фаланги, включающий ткани ногтевого ложа и ногтевую пластинку; иссечение патологического рубца на подушечке пальца (Фиг.1). Вторым моментом производится формирование канала в сохраненной костной части ногтевой фаланги (Фиг.2). Третьим - взятие костного трансплантата из кортикальной пластинки дистального метаэпифиза лучевой кости одноименной конечности размерами около 1,0×0,5 см прямоугольной формы (Фиг.3). Четвертым - внедрение костного трансплантата в сформированный канал в основании ногтевой фаланги (Фиг.4). Пятым - формирование островкового кожно-жирового лоскута эллипсовидной формы с V-образным дистальным отделом на двух собственных сосудисто-нервных питающих ножках путем разрезов по нейтральным линиям пальца от кончика в проксимальном направлении до уровня дистального межфалангового сустава и затем по ладонной поверхности пальца к кожной складке до проксимального межфалангового сустава. Лоскут отслаивается от оболочки сухожилия сгибателя, образуя островок на двух сосудисто-нервных ножках (Фиг.5). Шестым моментом - сшивание двух дистальных точек кожного лоскута между собой с образованием чаши, необходимой для формирования контура «подушечки» ногтевой фаланги. Лоскут перемещается в зону дефекта, подшивается к ногтевой пластинке (части ногтевой пластинки или ногтевому ложу); образующийся дефект на средней фаланге ушивается с формированием Y-образной раны (V-Y пластика) (Фиг.6, 7, 8). Иммобилизация шиной до основания средней фаланги на срок до 8 недель (костного сращения по результатам контрольной рентгенографии). Клиническое наблюдение (Фиг.9-15). Больная К., 20 лет, № истории болезни 5192, ДЗ: Порочная культя 3 пальца правой кисти. Операция 26.04.07: Костная аутопластика ногтевой фаланги 3 пальца правой кисти трансплантатом из правой лучевой кости, несвободная пластика кожи ногтевой фаланги перемещенным островковым кожно-жировым лоскутом на двух собственных сосудисто-нервных пучках (V-Y пластика по Фурлоу). Время операции составило 1 час. Послеоперационный период протекал гладко, раны зажили первичным натяжением. Швы сняты на 14 сутки. Прирост длины ногтевой фаланги составил около 0,5 см. Иммобилизация гипсовой лонгетой осуществлялась 8 недель (до признаков консолидации по результатам контрольной рентгенографии). После снятия иммобилизации проведен курс реабилитационного лечения (ЛФК, ФТЛ). Достигнут хороший эстетический и функциональный результат (после проведенного курса реабилитационной терапии). Пациентка довольна результатом лечения.