патент
№ RU 2371099
МПК A61B10/00

СПОСОБ ДИФФЕРЕНЦИАЛЬНОЙ ДИАГНОСТИКИ ОПУХОЛЕЙ ИЗ ОБОЛОЧЕК ПЕРИФЕРИЧЕСКИХ НЕРВОВ

Авторы:
Шелехова Ксения Владимировна
Номер заявки
2008128730/14
Дата подачи заявки
14.07.2008
Опубликовано
27.10.2009
Страна
RU
Как управлять
интеллектуальной собственностью
Чертежи 
3
Реферат

Изобретение относится к медицине, а именно к онкологии, патоморфологии. Для дифференциальной диагностики опухолей из оболочек периферических нервов анализируют результаты патоморфологического исследования удаленной опухоли мягких тканей. Первоначально судят о принадлежности новообразования к опухолям из оболочек нервов по выделенным критериям и затем проводят дифференциальный диагноз между нозологическими формами, составляющими данную группу. Выбирают и суммируют значения, соответствующие таким морфологическим признакам, как размер опухоли, граница с окружающими тканями, опухолевый состав, гистологический рисунок, морфология клеток, признаки злокачественности, наличие аксонов, строма опухоли, вторичные изменения и иммуногистохимический профиль клеток. По большему количеству того или иного значения судят о диагнозе: «А» - нейрофиброма, «Б» - шваннома, «В» - периневриома, «Г» - злокачественная опухоль из оболочек периферических нервов, «А=Б» - гибрид нейрофибромы-шванномы, «А=В» - гибрид нейрофибромы-периневриомы, «Б=В» - гибрид шванномы-периневриомы. Способ повышает точность диагностики опухолей из оболочек периферических нервов и сокращение сроков патоморфологического заключения за счет детального целенаправленного морфологического анализа особенностей новообразования. 3 ил., 3 табл.

Формула изобретения

Способ дифференциальной диагностики опухолей из оболочек периферических нервов, включающий клинико-морфологическую, иммуногистохимическую характеристику новообразований, отличающийся тем, что на первом этапе определяют принадлежность исследуемого новообразования к группе опухолей из оболочек периферических нервов согласно определяющим условиям: наличие связи опухоли с нервом или нервным сплетением, наличие опухолевых клеток, имеющих характерные признаки основных клеточных компонентов оболочек нерва - шванновские, периневриальные или фибробластические клетки, наличие в анамнезе нейрофибросатоза 1, 2 типов или шванноматоза; при выполнении одного из условий на 2 этапе осуществляют дифференциальную диагностику опухолей из оболочек периферических нервов выбирая значения - А, Б, В, Г, соответстующие морфологическим признакам анализируемой опухоли: если размер опухоли ≤5 см характеризуют как А, Б, В, если >5 см характеризуют как А, Б, В, Г; граница с окружающими тканями: наличие фиброзной капсулы, состоящей из эпиневрия и единичных аксонов характеризуют как Б, наличие фиброзной псевдокапсулы характеризуют как А, В, Г, четкую границу без капсулы характеризуют как А, В, инвазию в окружающие ткани характеризуют как Г; состав опухоли: клетки, пучки коллагена и стромальный муцин характеризуют как А, клетки и миксоидные фокусы характеризуют как Б, В, Г, преимущественно клетки характеризуют как Б, В, Г, клетки и гиалинизированная строма характеризуют как В; гистологический рисунок: чередование клеточных и менее клеточных зон характеризуют как Б, Г, наличие телец Верокаи характеризуют как Б, наличие телец Вагнер-Мейснера характеризуют как А, наличие телец Пачини характеризуют как А, В, плексиформный гистологический рисунок характеризуют как А, Б, В, упорядоченные пучки с формированием завитков характеризуют как А, В, муаровый рисунок характеризуют как А, В, ретикулярный рисунок в виде сети характеризуют как В, чередующиеся пучки характеризуют как Б, В, Г, наличие железистых структур или розеток характеризуют как Б, Г; морфология клеток: мономорфную популяцию шванновских клеток характеризуют как Б, Г, мономорфную популяцию периневриальных клеток характеризуют как В, сочетание популяций шванновских, периневриальных и фибробластических клеток характеризуют как А, В, Г; признаки злокачественности: отсутствие митозов, клеточной и ядерной атипии характеризуют как А, Б, В, фокусы клеток с атипией ядер, отсутствие митозов и зон высокой клеточности характеризуют как А, Б, В, фокальную атипию ядер и высокую клеточность, отсутствие митозов характеризуют как А, Б, В, высокую клеточность, отсутствие митозов и атипии ядер характеризуют как А, Б, В, диффузную атипию ядер, высокую клеточность и митозы, >4 на 10 полей зрения ×40, Ki 67, МIВ>9% характеризуют как Г; наличие аксонов, NF+ при использовании иммуногистохимического метода: аксоны диффузно расположенные между опухолевыми клетками характеризуют как А, единичные аксоны в составе капсулы, на периферии опухоли характеризуют как Б; строма: крупные сосуды с гиалинизированными стенками характеризуют как Б, мелкие сосуды типа капилляров и венул характеризуют как А, В, Г, значительное количество проволокоподобных пучков коллагена характеризуют как А, выраженный миксоматоз характеризуют как А, В, Г; вторичные изменения: периваскулярное отложение гемосидерина характеризуют как Б, периваскулярные кровоизлияния, тромбоз сосудов характеризуют как Б, микрокисты характеризуют как Б, В, диффузные геморрагии, гемосидероз характеризуют как Г, некрозы характеризуют как Г, отсутствие вторичных изменений характеризуют как А, В; иммуногистохимический профиль клеток: S-100 распределенные диффузно и равномерно характеризуют как Б, S-100 распределенные фокально характеризуют как А, Г, CD34 + клетки характеризуют как А, ЕМА+, claudin 1 + клетки характеризуют как В, р53+клетки характеризуют как Г; при большем количестве значений А диагностируют нейрофиброму, при большем количестве значений Б диагностируют шванному, при большем количестве значений В диагностируют периневриому, при большем количестве значений Г диагностируют злокачественную опухоль из оболочек периферических нервов, если А=Б диагностируют гибрид нейрофибромы-шванномы, если А=В диагностируют гибрид нейрофибромы-периневриомы, если Б=В диагностируют гибрид шванномы-периневриомы.

Описание

[2]

Изобретение относится к медицине, а именно к онкологии, патоморфологии.

[3]

Как хорошо известно практикующим патологоанатомам, диагностика опухолей мягких тканей чрезвычайно сложна. Это связано как с существованием большого количества нозологических форм, так с морфологическим сходством опухолей различных гистогенетических групп. Для установления корректного диагноза врач должен обладать способностью выделения главных, определяющих и диагностически значимых признаков из множества второстепенных, характеризующих новообразование. Данная способность, помимо таланта, напрямую зависит от профессионального стажа и, в связи с этим, диагностика опухолей мягких тканей нередко представляет для молодого патологоанатома трудновыполнимую задачу.

[4]

Среди опухолей мягких тканей особое место занимают опухоли из оболочек периферических нервов (ОПН). Эти новообразования достаточно часто встречаются в повседневной практике и имеют особенности, отличающие их от других групп опухолей мягких тканей. Считается, что ОПН имеют нейроэктодермальное происхождение в отличие от большинства мягкотканых образований, развивающихся из мезодермы. Для экземпляров ОПН, локализующихся в нерве, характерна истинная капсула, представленная фрагментами эпи- и периневрием, в то время как большинство других опухолей мягких тканей таковой не имеют либо ограничены фиброзной псевдокапсулой. И, наконец, среди доброкачественных ОПН подтвержден феномен злокачественной трансформации (в частности, в нейрофибромах). Также важное клиническое значение имеет ассоциация злокачественных и доброкачественных ОПН с нейрофиброматозами и шванноматозом.

[5]

Выделяют доброкачественные и злокачественные ОПН. Среди доброкачественных выделены три основные категории в зависимости от доминирующих и составляющих клеточных элементов: шванномы, нейрофибромы и периневриомы. В последние годы описаны так называемые опухоли-гибриды, имеющие бифазную гистологическую структуру, т.е. сочетающие участки нейрофибромы и шванномы, шванномы и периневриомы или нейрофибромы и периневриомы, подтверждаемые микроскопически, иммуногистохимически и ультраструктурно. Данная категория опухолей расширяет спектр новообразований из оболочек периферических нервов. Клиническая, морфологическая, иммуногистохимическая характеристика каждой из вышеперечисленных нозологических форм подробнейшим образом представлена в соответствующих руководствах и статьях (Enzinger&Weiss′s Soft Tissue Tumor. Fifth Edition. Ed. S.W.Weiss and J.R.Goldblum. - 2008; Feany M.B., Anthony D.C., Fletcher C.D.M, Nerve sheath tumors with hybrid features of neurofibroma and schwannoma: a conceptual challenge. - Histopathol. - 1998. - Vol.32. - P.405-410; Michal M. et al. A benign neoplasm with histopathological features of both schwannoma and retiform perineurioma (benign schwannoma-perineurioma): a report of six cases of a distinctive soft tissue tumors with predilection for the fingers. - Virch. Arch. - 2004. - Vol.445. - P.347-353; Bundock E.A., Fletcher CD. Nerve sheath tumors with hybrid features of perineurioma and schwannoma. - Mod Pathol. - 2004. - Vol.17. - P.12A; Kazakov D.V. et al. Hybrid peripheral nerve sheath tumors: schwannoma-perineurioma and neurofibroma-perineurioma. A report of three cases in extradigital locations. - Ann Diagn Pathol. - 2005. - Vol.9. - P.16-23; Shelekhova K.V. et al. Hybrid neurofibroma-permeurioma: an additional example of an extradigital tumor. - Ann Diagn Pathol. - 2008. - Vol.12. - P.233-234), выбранных в качестве прототипа. Однако провести дифференциальный диагноз как между опухолями периферических нервов, так и с новообразованиями других гистогенетических групп бывает очень сложно из-за перекрывающихся морфологических признаков. Учитывая это, мы акцентировали внимание на подборе морфологических деталей и/или их комбинаций, присущих каждой разновидности ОПН и позволяющих отличать от другой.

[6]

Предлагаемый «Способ дифференциальной диагностики опухолей из оболочек периферических нервов» основан на детальном анализе морфологии опухолей мягких тканей. Первоначально решается вопрос о принадлежности исследуемого новообразования к группе ОПН согласно определяющим условиям, представленным в таблицах 1 и 2.

[7]

Таблица 1.
I этап - определение принадлежности опухоли к группе опухолей из оболочек периферического нерва.
Условие
1Наличие связи опухоли с нервом или нервным сплетением.
2Опухолевые клетки имеют характерные признаки основных клеточных компонентов оболочек нерва (см табл.2)
3Наличие в анамнезе нейрофиброматоза 1, 2 типов или шванноматоза

[8]

При выполнении одного или нескольких условий опухоль можно отнести к группе опухолей из оболочек периферического нерва.

[9]

[10]

Затем согласно таблице 3 выбираются значения, соответствующие морфологическим признакам, характеризующим анализируемую опухоль, и по большему количеству того или иного значения диагностируют нейрофиброму, шванному, периневриому, опухоль-гибрид или злокачественную ОПН.

[11]

II этап - дифференциальная диагностика нейрофибромы, шванномы, периневриомы, опухолей гибридов и злокачественных опухолей из оболочек периферического нерва.

[12]

[13]

Выбрать значения признаков, характеризующих исследуемую опухоль, и сосчитать общее количество значений типа А, Б, В, Г. По большему количеству судить о диагнозе:

[14]

А - нейрофиброма,

[15]

Б - шваннома,

[16]

В - периневриома,

[17]

Г - злокачественная опухоль из оболочек периферических нервов,

[18]

А=Б - гибрид нейрофибромы-шванномы,

[19]

А=В - гибрид нейрофибромы-периневриомы,

[20]

Б=В - гибрид шванномы-периневриомы.

[21]

Технический результат предлагаемого способа состоит в объективизации, повышении точности диагностики опухолей из оболочек периферических нервов и сокращении сроков вынесения патоморфологического заключения за счет детального целенаправленного морфологического анализа особенностей данного новообразования.

[22]

Способ дифференциальной диагностики опухолей из оболочек периферических нервов разработан на архивном материале НИИ онкологии имени Н.Н.Петрова. Было пересмотрено около 2,5 тыс опухолей мягких тканей, среди которых было отобрано 1370 новообразований, относящихся к периферической нервной системе. Согласно современным критериям были выделены шванномы, нейрофибромы, периневриомы, опухоли-гибриды и злокачественные ОПН. В сомнительных случаях были применены дополнительные методы исследования (иммуногистохимия и просвечивающая электронная микроскопия), а также консультация более опытных патологов (не менее двух: при расхождении диагнозов случай исключался из исследования). Далее по каждому случаю было выполнено тщательное морфологическое описание. На основании проведенного анализа эмпирическим путем были выделены наиболее значимые признаки, позволяющие отнести опухоль к группе ОПН (см табл.1 и 2), а также отличительные признаки, характеризующие ту или иную группу опухолей, и были присвоены соответствующие значения (см. табл.3). Значение «А» характеризует нейрофиброму, «Б» - шванному, «В» - периневриому, «Г» - злокачественную опухоль из оболочек периферических нервов, «А=Б» - гибрид нейрофибромы-шванномы, «А=В» - гибрид нейрофибромы-периневриомы, «Б=В» - гибрид шванномы-периневриомы. Для определения диагноза необходимо суммировать количество тех или иных значений и по большему выносить заключение.

[23]

Пример 1 (рис.1).

[24]

Образование поверхностных мягких тканей правого предплечья у пациента Н., 36 лет (нейрофиброматоза 1 или 2 типов, шванноматоза нет в анамнезе). При удалении опухоли связи с периферическими нервами не отмечено. Макропрепарат: фрагмент мягких тканей с четко очерченным неинкапсулированным узлом размером 1,7 см. При микроскопическом исследовании преобладают мелкие и средних размеров клетки с эозинофильной плохо различимой цитоплазмой и веретеновидным волнистым ядром с заостренными концами и плотным равномерно распределенным хроматином, что указывает на шванновскую дифференцировку. Таким образом, опухоль можно отнести к группе ОПН.

[25]

Далее при помощи таблицы 3 отмечаем детали данной опухоли:

[26]

1) размер образования менее 5 см - А Б В;

[27]

2) опухоль окружена тонкой фиброзной псевдокапсулой, в составе которой определяются клетки с фибробластической и периневральной дифференцировкой - А В Г;

[28]

3) опухоль включает клетки + коллаген + муцин - А;

[29]

4) клетки формируют короткие пучки и муар - А В;

[30]

5) наряду с преобладающей шванновской популяцией клеток встречаются клетки с периневральной дифференцировкой (вокруг сосудов и в составе псевдокапсулы), а также клетки с фибробластической дифференцировкой - А В Г;

[31]

6) отсутствует клеточный, ядерный полиморфизм и митозы - А Б В;

[32]

7) среди опухолевых клеток имеются диффузно расположенные NF+ волокна - А;

[33]

8) выраженный миксоматоз стромы - А В Г, мелкие сосуды типа капилляров и венул - А В Г;

[34]

9) вторичные изменения отсутствуют - А В;

[35]

10) при ИГХ исследовании имеет место фокальная реакция с белком S-100-А Г,

[36]

и CD 34-A.

[37]

Производим подсчет количества значений: А-12, Б-2, В-8, Г-5.

[38]

Заключение: - нейрофиброма.

[39]

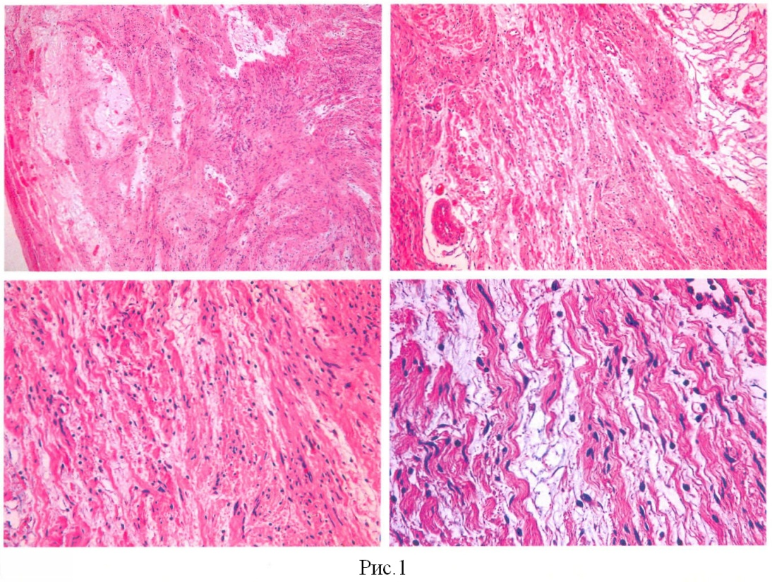
Пример 2 (рис.2).

[40]

Опухоль мягких тканей правого надплечья у пациента В., 47 лет (нейрофиброматоза 1 или 2 типов, шванноматоза нет в анамнезе). При хирургическом иссечении образования отмечена связь с нервным плечевым сплетением. Макропрепарат: опухоль размером 6,5 см, частично окружена капсулой. При микроскопическом исследовании преобладают мелкие и средних размеров округлые или веретеновидные клетки с эозинофильной плохо различимой цитоплазмой. Ядра асимметричные, некоторые волнистые с заостренными концами и плотным равномерно распределенным хроматином, без ядрышек. Вышеперечисленное, а также связь с нервом указывает на шванновскую дифференцировку. Таким образом, опухоль можно отнести к группе ОПН.

[41]

Далее при помощи таблицы 3 отмечаем детали данной опухоли:

[42]

1) размер опухоли 6,5 см - А Б В Г;

[43]

2) имеется фиброзная псевдокапсула - А В Г;

[44]

3) опухоль включает преимущественно клетки - Б В Г;

[45]

4) клетки формируют чередующиеся пучки - Б В Г;

[46]

5) преобладает мономорфная популяция клеток со шванновской дифференцировкой - Б Г;

[47]

6) отмечается диффузная ядерная атипия в сочетании с высокой клеточностью и митотической активностью (5/10 полей зрения х40) - Г;

[48]

7) - не исследовались;

[49]

8) мелкие сосуды типа капилляров и венул - А В Г;

[50]

9) встречаются мелкие фокусы некрозов - Г;

[51]

10) ИГХ не проводилось.

[52]

Производим подсчет количества значений: А-3, Б-3, В-5, Г-8.

[53]

Заключение: злокачественная опухоль из оболочек периферических нервов.

[54]

Пример 3 (рис.3).

[55]

Пациентка К., 23 года. Опухоль, 1,5 см, располагается в дерме и поверхностных мягких тканях большого пальца левой кисти. Связи с периферическим нервом не отмечено, анамнез не известен. При микроскопическом исследовании опухоль состоит из нодулей, центральную часть которых составляют клетки с веретеновидным, вытянутым ядром и равномерно распределенным хроматином. Они имеют либо длинные узкие биполярные или мультиполярные цитоплазматические отростки и бледно-эозинофильную цитоплазму. Клетки экспрессируют эпителиальный мемебранный антиген. Вышеописанное указывает на периневральную дифференцировку.

[56]

Периферию нодулей составляют мелкие веретеновидные клетки с волнистыми или овальными ядрами с заостренными концами и плотным равномерно распределенным хроматином. Как правило, ядра имеют подчеркнуто несимметричные контуры. Цитоплазма - бледно-эозинофильная и плохо различимая. Клетки экспрессируют белок S-100. Эта популяция клеток имеет шванновскую дифференцировку.

[57]

Далее при помощи таблицы 3 отмечаем детали данной опухоли:

[58]

1) размер опухоли менее 5 см - А Б В;

[59]

2) опухоль четко очерчена, но не имеет капсулы/псевдокапсулы - А В;

[60]

3) клетки + миксоидные фокусы - Б В Г;

[61]

4) клетки центральной части нодулей формируют ретикулярный рисунок - В,

[62]

клетки периферии нодулей формируют пучки - Б В Г,

[63]

имеет место чередование клеточных и менее клеточных зон - Б Г;

[64]

5) в опухоли присутствуют участки с мономорфной шванновской популяцией (по периферии нодулей) - Б Г,

[65]

в центре нодулей - мономорфная популяция клеток с периневралыюй дифференцировкой - В;

[66]

6) нет клеточной и ядерной атипии, митозов - А Б В;

[67]

7) имеются единичные аксоны (NF+) по периферии опухоли - Б;

[68]

8) выраженный миксоматоз - А В Г;

[69]

9) имеется сладж и тромбоз в опухолевых сосудах - Б;

[70]

10) S-100+ (диффузно и равномерно) по периферии нодулей - Б,

[71]

ЕМА+ в центре нодулей - В.

[72]

Производим подсчет количества значений: А-4, Б-9, В-9, Г-5.

[73]

Заключение: гибрид шванномы-периневриомы.

Как компенсировать расходы
на инновационную разработку
Похожие патенты