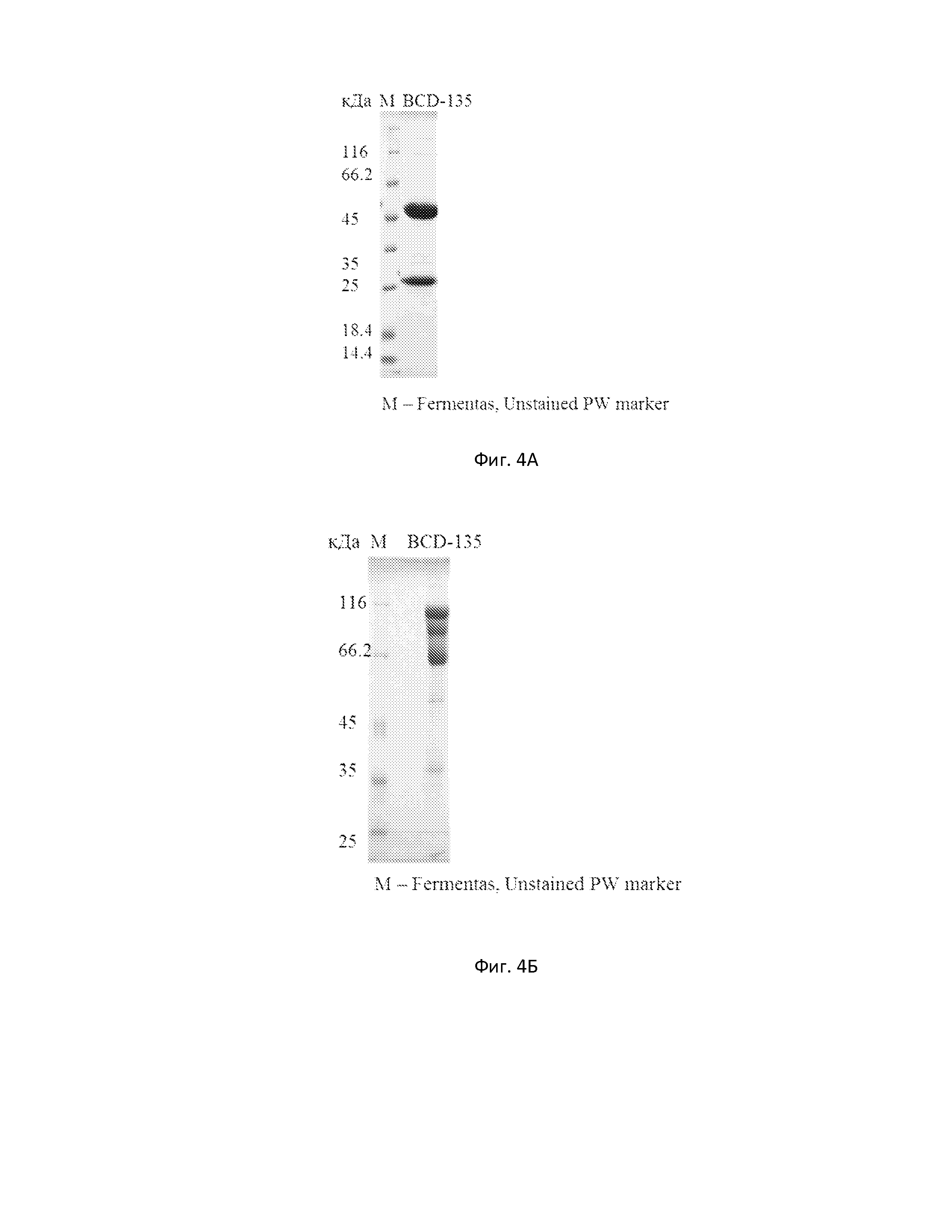
Настоящее изобретение относится к области иммунологии. Предложены антитело и его антигенсвязывающий фрагмент, способные к специфичному связыванию с PD-L1. Также рассмотрены фармацевтическая композиция, нуклеиновая кислота, кодирующая антитело или его антигенсвязывающий фрагмент, экспрессионный вектор, клетка-хозяин и способ ее получения. Кроме того, описан способ получения антитела или его антигенсвязывающего фрагмента, способ ингибирования биологической активности PD-L1, а также применение антитела или его антигенсвязывающего фрагмента или фармацевтической композиции. Данное изобретение может найти дальнейшее применение в терапии заболевания или нарушения, опосредованного PD-L1, в частности различных видов рака. 10 н. и 19 з.п. ф-лы, 19 ил., 3 табл., 18 пр.
1. Моноклональное антитело или его антигенсвязывающий фрагмент, которое специфично связывается с PD-L1, включающее: (a) вариабельный домен тяжелой цепи, содержащий: (i) CDR1 с аминокислотной последовательностью, выбранной из группы: DYAMS, NYAMS, SYAIS, TYAMS; (ii) CDR2 с аминокислотной последовательностью DISWSGSNTNYADSVKG; (iii) CDR3 с аминокислотной последовательностью, выбранной из группы: APLLLAMTFGVGS, APLLLATTFGVGS, APLPLATTFGVGS, APLMLAATFGVGS, APLVLAITFGVGS, APLPSAITFGVGS; и (b) вариабельный домен легкой цепи, содержащий: (i) CDR1 с аминокислотной последовательностью GLSSGTVTAINYPG; (ii) CDR2 с аминокислотной последовательностью NTNTRHS; (iii) CDR3 с аминокислотной последовательностью , выбранной из группы: ALYMGNGGHM, ALYVGTGSHM, ALYTGTGSHM, ALYYGTGSHM, ALYEGTGSHM. 2. Моноклональное антитело или его антигенсвязывающий фрагмент по п. 1, где вариабельный домен тяжелой цепи содержит CDR1-3 с аминокислотными последовательностями, представленными последовательностями SEQ ID NO: 1-3 соответственно. 3. Моноклональное антитело или его антигенсвязывающий фрагмент по п. 1, где вариабельный домен легкой цепи содержит CDR1-3 с аминокислотными последовательностями, представленными последовательностями SEQ ID NO: 5-7 соответственно. 4. Моноклональное антитело или его антигенсвязывающий фрагмент по п. 1, где - вариабельный домен тяжелой цепи содержит CDR1-3 с аминокислотными последовательностями, представленными последовательностями SEQ ID NO: 1-3 соответственно; - вариабельный домен легкой цепи содержит CDR1-3 с аминокислотными последовательностями, представленными последовательностями SEQ ID NO: 5-7 соответственно. 5. Моноклональное антитело или его антигенсвязывающий фрагмент по п. 1, где вариабельный домен тяжелой цепи содержит аминокислотную последовательность, по меньшей мере на 90% гомологичную аминокислотной последовательности SEQ ID NO: 4. 6. Моноклональное антитело или его антигенсвязывающий фрагмент по п. 5, где вариабельный домен тяжелой цепи содержит аминокислотную последовательность SEQ ID NO: 4. 7. Моноклональное антитело или его антигенсвязывающий фрагмент по п. 1, где вариабельный домен легкой цепи содержит аминокислотную последовательность, по меньшей мере на 90% гомологичную аминокислотной последовательности SEQ ID NO: 8. 8. Моноклональное антитело или его антигенсвязывающий фрагмент по п. 7, где вариабельный домен легкой цепи содержит аминокислотную последовательность SEQ ID NO: 8. 9. Моноклональное антитело или его антигенсвязывающий фрагмент по п. 1, где - вариабельный домен тяжелой цепи содержит аминокислотную последовательность, по меньшей мере на 90% гомологичную аминокислотной последовательности SEQ ID NO: 4; - вариабельный домен легкой цепи содержит аминокислотную последовательность, по меньшей мере на 90% гомологичную аминокислотной последовательности SEQ ID NO: 8. 10. Моноклональное антитело или его антигенсвязывающий фрагмент по п. 9, где - вариабельный домен тяжелой цепи содержит аминокислотную последовательность SEQ ID NO: 4; - вариабельный домен легкой цепи содержит аминокислотную последовательность SEQ ID NO: 8. 11. Моноклональное антитело по п. 1, включающее: - тяжелую цепь, содержащую аминокислотную последовательность, по меньшей мере на 90% гомологичную последовательности SEQ ID NO: 9; - легкую цепь, содержащую аминокислотную последовательность, по меньшей мере на 90% гомологичную последовательности SEQ ID NO: 10. 12. Моноклональное антитело по п. 11, включающее: - тяжелую цепь, содержащую аминокислотную последовательность SEQ ID NO: 9; - легкую цепь, содержащую аминокислотную последовательность SEQ ID NO: 10. 13. Моноклональное антитело по п. 1, где антитело, специфичное к PD-L1, представляет собой полноразмерное антитело IgG. 14. Моноклональное антитело по п. 13, где полноразмерное антитело IgG относится к изотипу IgG1, IgG2, IgG3, IgG4 человека. 15. Моноклональное антитело по п. 14, где полноразмерное антитело IgG относится к изотипу IgG1 человека. 16. Нуклеиновая кислота, которая кодирует антитело или его антигенсвязывающий фрагмент по любому из пп. 1-15. 17. Нуклеиновая кислота по п. 16, где нуклеиновая кислота представляет собой ДНК. 18. Экспрессионный вектор, содержащий нуклеиновую кислоту по любому из пп. 16, 17. 19. Способ получения клетки-хозяина для получения антитела или его антигенсвязывающего фрагмента по любому из пп. 1-15, включающий трансформирование клетки вектором по п. 18. 20. Клетка-хозяин для получения антитела или его антигенсвязывающего фрагмента по любому из пп. 1-15, содержащая нуклеиновую кислоту по любому из пп. 16, 17. 21. Способ получения антитела или его антигенсвязывающего фрагмента по любому из пп. 1-15, заключающийся в культивировании клетки-хозяина по п. 20 в культуральной среде в условиях, достаточных для получения указанного антитела, при необходимости, с последующим выделением и очисткой полученного антитела. 22. Фармацевтическая композиция для лечения заболевания или нарушения, опосредуемого PD-L1, содержащая антитело или его антигенсвязывающий фрагмент по любому из пп. 1-15 в терапевтически эффективном количестве, в сочетании с одним или несколькими фармацевтически приемлемыми эксципиентами. 23. Фармацевтическая композиция по п. 22, предназначенная для профилактики или лечения заболевания или нарушения, опосредуемого PD-L1, выбранного из группы: ПРГШ (плоскоклеточный рак головы и шеи), рак шейки матки, рак без выявленного первоисточника, глиобластома, рак пищевода, рак мочевого пузыря, ТНРМЖ (трижды негативный рак молочной железы), KPP (колоректальный рак), гепатоцеллюлярная карцинома, меланома, НМРЛ (Немелкоклеточный рак легкого), рак почки, рак яичника, лимфома Ходжкина, MSI KPP (Колоректальный рак с высокой микросателлитной нестабильностью). 24. Фармацевтическая композиция для лечения заболевания или нарушения, опосредуемого PD-L1, содержащая антитело или его антигенсвязывающий фрагмент по любому из пп. 1-15 в терапевтически эффективном количестве и по меньшей мере одно терапевтически активное противоопухолевое соединение в терапевтически эффективном количестве. 25. Фармацевтическая композиция по п. 24, предназначенная для профилактики или лечения заболевания или нарушения, опосредуемого PD-L1, выбранного из группы: ПРГШ (плоскоклеточный рак головы и шеи), рак шейки матки, рак без выявленного первоисточника, глиобластома, рак пищевода, рак мочевого пузыря, ТНРМЖ (трижды негативный рак молочной железы), KPP (колоректальный рак), гепатоцеллюлярная карцинома, меланома, НМРЛ (Немелкоклеточный рак легкого), рак почки, рак яичника, лимфома Ходжкина, MSI KPP (Колоректальный рак с высокой микросателлитной нестабильностью). 26. Фармацевтическая композиция по пп. 24, 25, где терапевтически активное противоопухолевое соединение выбирают из химиотерапевтического средства, антитела или противогормонального средства. 27. Способ ингибирования биологической активности PD-L1 у субъекта, нуждающегося в таком ингибировании, включающий введение субъекту эффективного количества антитела или его антигенсвязывающего фрагмента по любому из пп. 1-15. 28. Применение антитела или его антигенсвязывающего фрагмента по любому из пп. 1-15 или фармацевтической композиции по п. 22 для лечения у субъекта, нуждающегося в таком лечении, заболевания или нарушения, опосредуемого PD-L1. 29. Применение по п. 28, где заболевание или нарушение выбрано из группы: ПРГШ (плоскоклеточный рак головы и шеи), рак шейки матки, рак без выявленного первоисточника, глиобластома, рак пищевода, рак мочевого пузыря, ТНРМЖ (трижды негативный рак молочной железы), KPP (колоректальный рак), гепатоцеллюлярная карцинома, меланома, НМРЛ (Немелкоклеточный рак легкого), рак почки, рак яичника, лимфома Ходжкина, MSI KPP (Колоректальный рак с высокой микросателлитной нестабильностью).
Область техники Настоящее изобретение относится к области биотехнологии, а именно к антителам или их антигенсвязывающим фрагментам, а также их применению. Более конкретно, настоящее изобретение относится к моноклональному антителу, которое специфически связывается с PD-L1 (CD274, B7-H1, лиганд 1 рецептора программируемой гибели клеток). Изобретение также относится к нуклеиновой кислоте, кодирующей данное антитело или его антигенсвязывающий фрагмент, вектору экспрессии, способу получения антитела и применению антитела для усиления функции Т-клеток для повышающей регуляции клеточно-опосредованных иммунных реакций и для лечения связанных с дисфункцией Т-клеток нарушений, например, иммунитета опухоли и для лечения рака. Уровень техники Развитие и активация лимфоцитов Двумя основными типами лимфоцитов у человека являются Т-тип (тимоциты) и В-тип (костномозговые). Эти клетки образуются из гемопоэтических стволовых клеток в костном мозге и эмбриональной печени, которые запрограммированы на лимфоидный путь развития. Потомство этих стволовых клеток различными путями созревает до В- или Т-лимфоцитов. Развитие В-лимфоцитов человека происходит исключительно в костном мозге. Т-клетки, с другой стороны, развиваются из незрелых предшественников, которые покидают костный мозг и перемещаются через кровоток в тимус, где они размножаются и дифференцируются в зрелые Т-лимфоциты. Зрелые лимфоциты, источником которых является тимус или костный мозг, пребывают в неактивном или "покоящемся" состоянии, т. е., они являются митотически неактивными. Когда они рассредоточиваются в кровотоке, эти "необученные" или "наивные" лимфоциты перемещаются в различные вторичные или периферические лимфоидные органы, такие, как селезенка, лимфатические узлы или миндалины. Для большинства наивных лимфоцитов характерна короткая продолжительность жизни, и они погибают за несколько дней после того, как покидают костный мозг или тимус. Однако если такая клетка получает сигналы, указывающие на присутствие антигена, она может активироваться и претерпевать последовательные циклы деления клеток. Некоторые клетки из полученного в результате потомства затем возвращаются в покоящееся состояние и становятся лимфоцитами памяти - В- и Т-клетками, которые по сути обучены для следующей встречи со стимулирующим аллергеном. Другим потомством активированных наивных лимфоцитов являются эффекторные клетки, живущие лишь несколько дней, но выполняющие определенные виды защитной активности. Активация лимфоцитов представляет собой упорядоченную последовательность событий, которую проходит покоящийся лимфоцит после стимуляции к делению и производству потомства, из которого некоторые клетки становятся эффекторными клетками. Полный ответ включает как индукцию пролиферации клеток (митогенез), так и проявление иммунологических функций. Лимфоциты активируются, когда специфические лиганды связываются с рецепторами на их поверхностях. Лиганды отличаются от Т-клеток и В-клеток, однако конечные внутриклеточные физиологические механизмы сходны. Сами же некоторые инородные антигены могут вызывать активацию лимфоцитов, в частности, большие полимерные антигены, сшивающие поверхностные иммуноглобулины на В-клетках или другие гликопротеины на Т-клетках. Однако большинство антигенов не являются полимерными, и даже прямое связывание с В- клетками в больших количествах не обеспечивает активации. Эти более распространенные антигены активируют В-клетки, когда они стимулируются совместно с активированными поблизости хелперными Т-лимфоцитами. Такая стимуляция может происходить от лимфокинов, секретируемых Т-клеткой, однако наиболее эффективно она передается путем прямого контакта В-клетки с поверхностными белками Т-клеток, взаимодействующими с определенными поверхностными рецепторами В-клеток для создания вторичного сигнала. Т-клетки Т-лимфоциты не экспрессируют иммуноглобулины, однако обнаруживают присутствие инородных веществ при помощи поверхностных белков, называемых рецепторами Т-клеток (TCR). Эти рецепторы распознают антигены либо через прямой контакт, либо воздействуя на активность других иммунных клеток. Вместе с макрофагами Т-клетки являются основным типом клеток, вовлеченных в клеточно-опосредованный иммунитет. В отличие от В-клеток, Т-клетки могут обнаруживать инородные вещества только в конкретных условиях. В частности, Т-лимфоциты распознают инородный белок, только если он расщепляется на малые пептиды, которые затем выявляются на поверхности второй клетки-хозяина, называемой антигенпрезентирующей клеткой (АРС). Многие типы клеток-хозяев могут представлять антигены в некоторых условиях, однако определенные типы более специфично адаптированы для этой и являются особенно важными для регулирования активности Т-клеток, включая макрофаги и другие В-клетки. Представление антигена частично зависит от определенных белков, называемых белками главного комплекса гистосовместимости (МНС), на поверхности представляющих клеток. Таким образом, для стимуляции клеточно-опосредованного иммунитета инородные пептиды должны быть представлены Т-клеткам в комбинации с пептидами МНС, и эта комбинация должна распознаваться рецептором Т-клеток. Существует две значительных субпопуляции Т-клеток: цитотоксичные Т- лимфоциты (Тц-клетки или CTL) и хелперные Т-клетки (Тх), которые ориентировочно идентифицируются по экспрессии на клеточной поверхности маркера CD8 и CD4. Тц-клетки важны для защиты от вирусов и способны уничтожать вирусы непосредственно путем распознавания некоторых экспрессируемых на поверхности клеток вирусных пептидов. Тх-клетки способствуют пролиферации, созреванию и иммунологической функции других типов клеток, например, секреции лимфокинов для регулирования активности В-клеток, макрофагов и цитотоксичных Т-клеток. И наивные Т-лимфоциты, и Т-лимфоциты памяти обычно остаются в покоящемся состоянии, и в этом состоянии они не демонстрируют значительной хелперной или цитотоксичной активности. В активированном состоянии эти клетки претерпевают несколько циклов митотического деления для образования дочерних клеток. Некоторые из этих дочерних клеток возвращаются в покоящееся состояние как клетки памяти, а другие становятся эффекторными клетками, активно проявляющими хелперную или цитотоксичную активность. Эти дочерние клетки подобны их родительским клеткам: CD4+ клетки могут образовывать только CD4+ потомство, a CD8+ клетки дают только CD8+ потомство. Эффекторные Т-клетки экспрессируют маркеры поверхности клеток, которые не экспрессируются на покоящихся Т-клетках, таких, как CD25, CD28, CD29, CD40L, рецепторы трансферрина и белки МНС II класса. При устранении активирующих стимулов цитотоксичная или хелперная активность постепенно снижается в течение нескольких дней, поскольку эффекторные клетки либо отмирают, либо возвращаются в покоящееся состояние. Подобно активации В-клеток, реакция Т-лимфоцитов на большинство антигенов также требует двух типов одновременных стимулов. Первым является антиген, который, будучи соответствующим образом экспонированным белками МНС на антигенпрезентирующей клетке, может распознаваться и связываться рецепторами Т- клеток. Поскольку этот комплекс антиген-МНС не посылает сигнал внутрь клетки, он обычно бывает недостаточным для того, чтобы привести к активации Т-клетки. Полная активация, такая, как та, что происходит с хелперными Т-клетками, требует костимуляции другими специфическими лигандами, называемыми костимуляторами, которые экспрессируются на поверхности антигенпрезентирующей клетки. С другой стороны, активация цитотоксичной Т-клетки обычно требует IL-2 - цитокина, секретируемого активированными хелперными Т-клетками. Путь PD-1 Важные отрицательный костимулирующий сигнал, регулирующий активацию Т-клеток, обеспечивается рецептором запрограммированной гибели-1 (PD-1, CD279) и его партнерами по связыванию с лигандом PD-L1 (В7-Н1, CD274) и PD-L2 (B7-DC, CD273). Отрицательная регулирующая роль PD-1 была обнаружена при помощи нокаутов PD-1 (Pdcd1-/-), которые склонны к аутоиммунности. (Nishimura et al., Immunity JJ: 141 - 51 (1999); Nishimura et al., Science 291: 319 - 22 (2001)). PD-1 связан с CD28 и CTLA-4, но в нем отсутствует ближний к мембране цистеин, обеспечивающий возможность гомодимеризации. Цитоплазматический домен PD-1 содержит иммунорецепторный тирозинсвязывающий ингибирующий мотив (ITIM, V/IxYxxL/V). PD-1 связывается только с PD-L1 и PD-L2 (Freeman et al., J. Exp. Med. 192: 1 - 9 (2000); Dong et al., Nature Med. 5: 1365 - 1369 (1999); Latchman et al., Nature Immunol 2: 261 - 268 (2001); Tseng et al., J. Exp. Med. 193: 839 - 846 (2001)). PD-1 может экспрессироваться на Т-клетках, В-клетках, природных киллерных Т-клетках, активированных моноцитах и дендритных клетках (DC). PD-1 экспрессируется активированными, не нестимулированными человеческими Т- клетками CD4+ и CD8+, В-клетками и миелоидными клетками. В этом состоит отличие от более ограниченной экспрессии CD28 и CTLA-4 (Nishimura et al., Int. Immunol. 8: 773 - 80 (1996); Boettler et al., J. Virol. 80: 3532 - 40 (2006)). Существует как минимум 4 варианта PD-1, которые были клонированы из активированных человеческих Т-клеток, включая транскрипты, в которых отсутствуют (i) экзон 2, (ii) экзон 3, (iii) экзоны 2 и 3 или (iv) экзоны с 2 по 4 (Nielsen et al., Cell. Immunol. 235: 109 - 16 (2005)). За исключением PD-1Δex3, все варианты экспрессируются в такой же мере, как и PD-1 полной длины в покоящихся мононуклеарных клетках периферической крови (РВМС). Экспрессия всех вариантов в значительной мере индуцируется после активации человеческих Т-клеток антителами против CD3 и против CD28. В вариантах PD-lΔex3 отсутствует трансмембранный домен, и они подобны растворимому CTLA-4, играющему важную роль в аутоиммунности (Ueda et al., Nature 423: 506 - 11 (2003)). Этим вариантом богата синовиальная жидкость и сыворотка пациентов с ревматоидным артритом (Wan et al., J. Immunol. 177: 8844 - 50 (2006)). Два лиганда PD-1 отличаются по характеру экспрессии. PD-L1 конститутивно экспрессируется на мышиных Т- и В-клетках, CD, макрофагах, мезенхимальных стволовых клетках и мастоцитах костного мозга (Yamazaki et al., J. Immunol. 169: 5538 - 45 (2002)). PD-L1 экспрессируется на многих различных негемопоэтических клетках (например, клетках роговицы, легких, сосудистого эпителия, непаренхиматозных клетках печени, мезенхимальных стволовых клетках, панкреатических островках, плацентарных синцитиотрофобластах, кератиноцитах и т. п.) [Keir et al., Annu. Rev. Immunol. 26: 677 - 704 (2008)] и подвергается повышенной регуляции на многих типах клеток после активации. Интерфероны IFN как типа I, так и типа II вызывают повышение PD-L1 (Eppihimer et al., Microcirculation 9: 133 - 45 (2002)); Schreiner et al., J. Neuroimmunol 155: 172 - 82 (2004). Экспрессия PD-L1 в линиях клеток снижается при ингибировании MyD88, TRAF6 и МЕК (Liu et al., Blood НО: 296 - 304 (2007)). JAK2 также участвует в 30 индукции PD-L1 (Lee et al., FEBS Lett, 580: 755 - 62 (2006); Liu et al., Blood HO: 296 - 304 (2007)). Потеря или ингибирование гомолога фосфатазы и тензина (PTEN), клеточной фосфатазы, которая модифицирует фосфатидилинозитол-3-киназу (PI3K) и сигнал Akt, повышала посттранскрипционную экспрессию PD-L1 при раке (Parsa et al., Nat. Med. 13: 84 - 88 (2007)). Экспрессия PD-L2 более ограничена по сравнению с PD-L1. PD-L2 индуцибельно экспрессируется на DC, макрофагах и мастоцитах костного мозга. PD-L2 также экспрессируется приблизительно на половине, а то и двух третях покоящихся брюшинных В1-клетках, но не на традиционных В2 В-клетках (Zhong et al., Eur. J. Immunol. 37: 2405 - 10 (2007)). PD-L2+ B1 клетки связывают фосфатидилхолин и могут быть важны для природного иммунного ответа на бактериальные антигены. Индукция PD-L2 со стороны IFN-γ частично зависит от NF -КВ (Liang et al., Eur. J. Immunol. 33_: 2706 - 16 (2003)). PD-L2 также может индуцироваться на моноцитах и макрофагах GM-CF, IL-4 и IFN-γ (Yamazaki et al., J. Immunol. 169: 5538 - 45 (2002); Loke et al., PNAS 100: 5336-41 (2003)). Сигнал PD-1, как правило, больше влияет на выработку цитокина, чем на пролиферацию клеток, со значительным влиянием на выработку IFN-γ, TNF-a и IL-2. Опосредованный PD-1 ингибиторный сигнал также зависит от силы сигнала TCR, причем большее ингибирование обеспечивается при более низких уровнях стимуляции TCR. Это снижение может быть преодолено путем костимуляции через CD28 [Freeman et al., J. Exp. Med. 192: 1027 - 34 (2000)] или присутствие IL-2 [Carter et al., Eur. J. Immunol. 32: 634 - 43 (2002)]. Появляется все больше свидетельств того, что сигнал через PD-L1 и PD-L2 может быть двунаправленным. То есть, помимо модификации сигнала TCR или BCR, сигнал также может доставляться обратно к клеткам, экспрессирующим PD-L1 и PD-L2. Хотя обработка дендритных клеток природным человеческим антителом против PD-L2, выделенным из организма пациента с макроглобулинемией Вальденстрема, не обнаружила повышающей регуляции МНС II или костимулирующих молекул В7, такие клетки вырабатывали большее количество провоспалительных цитокинов, в частности, TNF-a и IL-6, и стимулировали пролиферацию Т-клеток (Nguyen et al., J. Exp. Med. 196: 1393 - 98 (2002)). Лечение мышей этим антителом также (1) повышало сопротивление пересаженной меланоме b16 и быстро индуцировало опухолеспецифические CTL (Radhakrishnan et al., J. Immunol. 170: 1830 - 38 (2003); Radhakrishnan et al., Cancer Res. 64: 4965 - 72 (2004); Heckman et al., Eur. J. Immunol. 37: 1827 - 35 (2007)); (2) блокировало развитие воспалительной болезни дыхательных путей в мышиной модели аллергической астмы (Radhakrishnan et al., J. Immunol. 173: 1360 - 65 (2004); Radhakrishnan et al., J. Allergy Clin. Immunol. UJy. 668 - 74 (2005)). Еще одно свидетельство обратного сигнала в дендритные клетки ("DC") было получено по результатам исследований костномозговых DC, культивированных с растворимым PD-1 (домен PD-1 ЕС, слитый с константной областью Ig - "s-PD-1") (Kuipers et al., Eur. J. Immunol. 36: 2472 - 82 (2006)). Этот sPD-1 ингибировал активацию DC и повышал выработку IL-10 обратимым способом благодаря введению антитела против PD-1. Кроме того, некоторые исследования выявили рецептор для PD-L1 или PD-L2, независимый от PD-1. В7.1 уже был определен как партнер по связыванию для PD-L1 (Butte et al., Immunity 27: 111 - 22 (2007)). Исследования химического сшивания показывают, что PD-L1 и В7.1 могут взаимодействовать через их IgV-подобные домены. Взаимодействие В7.1 :PD-L1 может вызывать ингибиторный сигнал в Т- клетки. Сшивание PD-L1 на CD4+ Т-клетках при помощи В7.1 или сшивание В7.1 на CD4+ Т-клетках при помощи PD-L1 обеспечивает ингибиторный сигнал. Т-клетки с отсутствующими CD28 и CTLA-4 демонстрируют сниженную пролиферацию и выработку цитокинов при стимулировании шариками, покрытыми антителом против CD3 плюс В7.1. В Т-клетках с отсутствием всех рецепторов для В7.1 (т. е., CD28, CTLA-4 и PD-L1) ингибирование пролиферации Т-клеток и выработки цитокинов шариками, покрытыми антителом против CD3 плюс В7.1, прекращалось. Это указывает на то, что В7.1 специфично действует через PD-L1 на Т-клетку в отсутствие CD28 и CTLA-4. Подобным образом Т-клетки с отсутствующим PD-1 демонстрировали сниженную пролиферацию и выработку цитокинов при стимулировании в присутствии шариков, покрытых антителом против CD3 плюс PD-L1, демонстрируя ингибирующее воздействие сшивания PD-L1 на В7.1 на Т-клетки. При отсутствии в Т-клетках всех известных рецепторов для PD-L1 (т. е., при отсутствии PD-1 и В7.1) ослабление пролиферации Т-клеток шариками, покрытыми антителом против CD3 плюс PD-L1, прекращается. Таким образом, PD-L1 может оказывать ингибиторное воздействие на Т- клетки через В7.1 или PD-1. Прямое взаимодействие между В7.1 и PD-L1 указывает на то, что нынешнее понимание костимуляции является неполным и подчеркивает значение для экспрессии этих молекул на Т-клетках. Исследования PD-L1-/- Т-клеток показывают, что PD-L1 на Т-клетках может снижать выработку цитокинов Т-клеткой. (Latchman et al., Ргос. Natl. Acad. Sci. USA 101: 10691 - 96 (2004)). Поскольку и PD-L1, и B7.1 экспрессируются на Т-клетках, В-клетках, DC и макрофагах, существует потенциал для направленного взаимодействия между В7.1 и PD-L1 на этих типах клеток. Кроме того, PD-L1 на негемопоэтических клетках может взаимодействовать с В7.1, а также PD-1 на Т- клетках, что вызывает вопрос: участвует ли PD-L1 в их регуляции. Одним из возможных объяснений ингибиторного влияния взаимодействия В7.1:PD-L1 является то, что PD-L1 Т-клеток может улавливать или изолировать АРС В7.1 от взаимодействия с CD28. В результате антагонизм сигнала через PD-L1, включающий блокирование взаимодействия PD-L1 с PD-1, В7.1, или и с тем, и с другим, таким образом, не давая PD-L1 отправить отрицательный костимулирующий сигнал на Т-клетки и другие антиген-представляющие клетки, возможно, повышает иммунитет в ответ на инфекцию (например, острую или хроническую) и иммунитет опухоли. Кроме того, антитела против PD-L1 согласно настоящему изобретению могут комбинироваться с антагонистами других компонентов сигнала PD-1: PD-L1, например, антагониста антител против PD-1 и против PD-L2. В частности, ингибирование сигнала PD-L1 было предложено в качестве средства повышения иммунитета Т-клетки для лечения рака (например, иммунитета опухоли) и к инфекциям, включая как острые, так и хронические (например, устойчивые) инфекции. Ингибиторы, блокирующие взаимодействие PD-L1 : PD-1, известны, помимо прочих источников, из документов W0 2001014557, W0 2002086083, W0 2007005874, W0 2010036959, W0 2010077634 и WO 2011066389. В настоящее время на ранних стадиях клинических исследований находятся более 10 моно- и биспецифических препаратов с анти-PD-L1 компонентом. Одно моноспецифическое анти-PD-L1 антитело, MPDL3280A (atezolizumab, Roche), успешно прошло клинические испытания (КИ) и применяется в клинической практике. Атезолизумаб одобрен FDA к применению у пациентов с метастатическим уротелиальным раком, продолжаются КИ III фазы у пациентов с немелкоклеточный рак легких (НМРЛ), почечно-клеточным раком, колоректальный рак (КРР), раком молочной железы (РМЖ). Препарат представляет собой Ig1 антитело с модифицированным Fc-регионом (с целью элиминации ADCC - эффекта). Атезолизумаб описан в документе WO 2010077634. Другими анти-PD-L1 препаратами, находящимися на заключительной фазе КИ, являются препараты avelumab (Pfizer) и durvalumab (AZ). Дурвалумабом (Durvalumab, MEDI-4736) описан в документе WO2011066389. Авелумаб (Avelumab) описан в документе WO2013079174. Основным отличием препарата авелумаб является наличие у антитела ADCC-эффекта, более того, его можно усиливать с помощью IFNg или IL12 (NCT01772004). При этом профиль безопасности препарата авелумаб соответствует таковому других анти-PD-1/PD-L1 препаратов (Cancer Immunol Res; 3(10) October 2015; Antibody-Dependent Cellular Cytotoxicity Activity of a Novel Anti-PD-L1 Antibody Avelumab on Human Tumor Cells; Benjamin Boyerinas). Таким образом, существует необходимость в создание эффективного ингибитора PD-L1 (лиганда 1 рецептора программируемой гибели клеток) В связи с вышесказанным, актуальным является создание новых антител, которые эффективно связываются с PD-L1. Антитело BCD-135 селективно связывается с PD-L1 и является эффективным ингибитором лиганда 1 рецептора программируемой гибели клеток. Краткое описание изобретения Настоящее изобретение относится к связывающим молекулам, в частности антителам, направленным для связывания с PD-L1. Такие антитела могут быть использованы для лечения заболевания или нарушения, опосредуемого PD-L1. В одном из аспектов настоящее изобретение относится к моноклональному антителу или его антигенсвязывающему фрагменту, которое специфично связывается с PD-L1, включающее вариабельный домен тяжелой цепи, содержащий аминокислотную последовательность по меньшей мере на 90% гомологичную последовательности SEQ ID NO: 3 и вариабельный домен легкой цепи, содержащий аминокислотную последовательность по меньшей мере на 90% гомологичную последовательности SEQ ID NO: 7. В некоторых вариантах моноклональное антитело или его антигенсвязывающий фрагмент содержат вариабельный домен тяжелой цепи, который содержит аминокислотную последовательность SEQ ID NO: 3. В некоторых вариантах моноклональное антитело или его антигенсвязывающий фрагмент содержат вариабельный домен легкой цепи, который содержит аминокислотную последовательность SEQ ID NO: 7. В некоторых вариантах моноклональное антитело или его антигенсвязывающий фрагмент содержат вариабельный домен тяжелой цепи, который содержит аминокислотные последовательности по меньшей мере на 90% гомологичные последовательностям SEQ ID NO: 1-3. В некоторых вариантах моноклональное антитело или его антигенсвязывающий фрагмент содержат вариабельный домен тяжелой цепи, который содержит аминокислотные последовательности, представленные последовательностями SEQ ID NO: 1-3. В некоторых вариантах моноклональное антитело или его антигенсвязывающий фрагмент содержат вариабельный домен легкой цепи, который содержит аминокислотные последовательности по меньшей мере на 90% гомологичные последовательностям SEQ ID NO: 5-7. В некоторых вариантах моноклональное антитело или его антигенсвязывающий фрагмент содержат вариабельный домен легкой цепи, который содержит аминокислотные последовательности, представленные последовательностями SEQ ID NO: 5-7. В некоторых вариантах моноклональное антитело или его антигенсвязывающий фрагмент содержат вариабельный домен тяжелой цепи, который содержит аминокислотные последовательности по меньшей мере на 90% гомологичные последовательностям SEQ ID NO: 1-3, и вариабельный домен легкой цепи, который содержит аминокислотные последовательности по меньшей мере на 90% гомологичные последовательностям SEQ ID NO: 5-7. В некоторых вариантах моноклональное антитело или его антигенсвязывающий фрагмент содержат вариабельный домен тяжелой цепи, который содержит аминокислотные последовательности SEQ ID NO: 1-3, и вариабельный домен легкой цепи, который содержит аминокислотные последовательности SEQ ID NO: 5-7. В некоторых вариантах моноклональное антитело или его антигенсвязывающий фрагмент содержат вариабельный домен тяжелой цепи, который содержит аминокислотную последовательность по меньшей мере на 90% гомологичную аминокислотной последовательности SEQ ID NO: 4. В некоторых вариантах моноклональное антитело или его антигенсвязывающий фрагмент содержат вариабельный домен тяжелой цепи, который содержит аминокислотную последовательность SEQ ID NO: 4. В некоторых вариантах моноклональное антитело или его антигенсвязывающий фрагмент содержат вариабельный домен легкой цепи, который содержит аминокислотную последовательность по меньшей мере на 90% гомологичную аминокислотной последовательности SEQ ID NO: 8. В некоторых вариантах моноклональное антитело или его антигенсвязывающий фрагмент содержат вариабельный домен легкой цепи, который содержит аминокислотную последовательность SEQ ID NO: 8. В некоторых вариантах моноклональное антитело или его антигенсвязывающий фрагмент содержат вариабельный домен тяжелой цепи, который содержит аминокислотную последовательность по меньшей мере на 90% гомологичную аминокислотной последовательности SEQ ID NO: 4, и вариабельный домен легкой цепи, который содержит аминокислотную последовательность по меньшей мере на 90% гомологичную аминокислотной последовательности SEQ ID NO: 8. В некоторых вариантах моноклональное антитело или его антигенсвязывающий фрагмент содержат вариабельный домен тяжелой цепи, который содержит аминокислотную последовательность SEQ ID NO: 4, и вариабельный домен легкой цепи, который содержит аминокислотную последовательность SEQ ID NO: 8. В некоторых вариантах моноклональное антитело содержит тяжелую цепь, содержащую аминокислотную последовательность по меньшей мере на 90% гомологичную последовательности SEQ ID NO: 9, и легкую цепь, содержащую аминокислотную последовательность по меньшей мере на 90% гомологичную последовательности SEQ ID NO: 10. В некоторых вариантах моноклональное антитело включает тяжелую цепь, содержащую аминокислотную последовательность SEQ ID NO: 9, и легкую цепь, содержащую аминокислотную последовательность SEQ ID NO: 10. В некоторых вариантах моноклональное антитело, специфичное к PD-L1, представляет собой полноразмерное антитело IgG. В некоторых вариантах полноразмерное антитело IgG относится к изотипу IgG1, IgG2, IgG3, IgG4 человека. В некоторых вариантах моноклональное антитело относится к изотипу IgG1 человека. В одном из аспектов настоящее изобретение относится к нуклеиновой кислоты, которая кодирует любое вышеуказанное антитело или его антигенсвязывающий фрагмент. В некоторых вариантах нуклеиновая кислота представляет собой ДНК. В одном из аспектов настоящее изобретение относится к экспрессионному вектору содержащему любую вышеуказанную нуклеиновую кислоту. В одном из аспектов настоящее изобретение относится к способу получения клетки-хозяина для получения любого вышеуказанного антитела или его антигенсвязывающего фрагмента, который включает трансформирование клетки вышеуказанным вектором. В одном из аспектов настоящее изобретение относится к клетке-хозяину для получения любого вышеуказанного антитела или его антигенсвязывающего фрагмента, которая содержит любую вышеуказанную нуклеиновую кислоту. В одном из аспектов настоящее изобретение относится к способу получения любого вышеуказанного антитела или его антигенсвязывающего фрагмента, который заключается в культивировании вышеуказанной клетки-хозяина в культуральной среде в условиях, достаточных для получения указанного антитела, при необходимости, с последующим выделением и очисткой полученного антитела. В одном из аспектов настоящее изобретение относится к фармацевтической композиции для профилактики или лечения заболевания или нарушения, опосредуемого PD-L1, которая содержит любое вышеуказанное антитело или его антигенсвязывающий фрагмент в сочетании с одним или несколькими фармацевтически приемлемыми эксципиентами. В некоторых вариантах фармацевтическая композиция предназначена для профилактики или лечения заболевания или нарушения, опосредуемого PD-L1, выбранного из группы: ПРГШ, рак шейки матки, рак без выявленного первоисточника, глиобластома, рак пищевода, рак мочевого пузыря, ТНРМЖ, КРР, гепатоцеллюлярная карцинома, меланома, НМРЛ , рак почки, рак яичника, лимфома Ходжкина, MSI КРР . В одном из аспектов настоящее изобретение относится к фармацевтической комбинации для профилактики или лечения заболевания или нарушения, опосредуемого PD-L1, которая содержит любое вышеуказанное антитело или его антигенсвязывающий фрагмент и по меньшей мере одно терапевтически активное противоопухолевое соединение. В некоторых вариантах фармацевтическая комбинация предназначена для профилактики или лечения заболевания или нарушения, опосредуемого PD-L1, выбранного из группы: ПРГШ, рак шейки матки, рак без выявленного первоисточника, глиобластома, рак пищевода, рак мочевого пузыря, ТНРМЖ, КРР, гепатоцеллюлярная карцинома, меланома, НМРЛ, рак почки, рак яичника, лимфома Ходжкина, MSI КРР. В некоторых вариантах фармацевтическая комбинация содержит терапевтически активное противоопухолевое соединение, которое выбирают из химиотерапевтического средства, антитела или противогормонального средства. В одном из аспектов настоящее изобретение относится к способу ингибирования биологической активности PD-L1 у субъекта, нуждающемуся в таком ингибировании, который включает введение субъекту эффективного количества любого вышеуказанного антитела или его антигенсвязывающего фрагмента. В одном из аспектов настоящее изобретение относится к применению любого вышеуказанного антитела или его антигенсвязывающего фрагмента или вышеуказанной фармацевтической композиции для лечения у субъекта, нуждающегося в таком лечении, заболевания или нарушения, опосредуемого PD-L1. В некоторых вариантах изобретение относится к применению любого вышеуказанного антитела или его антигенсвязывающего фрагмента или вышеуказанной фармацевтической композиции для лечения заболевания или нарушения, выбранного из группы: ПРГШ, рак шейки матки, рак без выявленного первоисточника, глиобластома, рак пищевода, рак мочевого пузыря, ТНРМЖ, КРР, гепатоцеллюлярная карцинома, меланома, НМРЛ, рак почки, рак яичника, лимфома Ходжкина, MSI КРР. Краткое описание чертежей Фиг. 1. Схема синтеза комбинаторной наивной библиотеки человека. Фиг. 2. Карта фагмиды для клонирования Fab фаговых дисплейных библиотек. Фиг. 3. Карта экспрессионной плазмиды для наработки Fab. Фиг. 4. Электрофореграмма BCD-135 в восстанавливающих условиях (4А, 12% SDS-PAGE), в невосстанавливающих условиях (4B, 8% SDS-PAGE). Фиг. 5. Иммуноферментный анализ взаимодействия BCD-135 с PD-L1 и другими антигенами. Фиг. 6. Реактивация NFAT-сигналинга анти-PD-L1 антителами в репортерной клеточной линии Jurkat-NFAT-PD-1. Фиг. 7. Анализ взаимодействий BCD-135 с FcRn и Fcγ-рецепторами на приборе Octet RED 96. Фиг. 8. Иммуноферментный анализ взаимодействий BCD-135 с PD-L1 разных видов организмов. Фиг. 9. Анализ взаимодействий BCD-135 с PD-L1 человека и обезьяны циномолгуса на приборе Octet RED 96. Фиг. 10. Анализ конформационной стабильности BCD-135. Фиг. 11. Анализ коллоидной стабильности BCD-135. Фиг. 12. Анализ термической стабильности BCD-135 в фосфатном (A), ацетатном (Б) и гистидиновом (В) буферах. По оси Х - время, по оси Y - поглощение. Фиг. 13. Анализ стабильности BCD-135 в сыворотке крови человека. А- калибровочная кривая отражающую зависимость оптической плотности от концентрации добавленного в лунку BCD-135. Б - Результирующая таблица показывающая зависимость концентрации BCD-135 при инкубации в сыворотке человека от времени инкубации. Фиг. 14. 3D пространственная модель комплекса BCD-135 и N-terminus Ig домена PD-L1 антигена. A - общий вид 3D модели Б - Детализированная модель в районе прямых контактов антиген антитело (см. таб в примере 18). Описание изобретения Определения и общие методы Если иное не определено в настоящем документе, научные и технические термины, используемые в связи с настоящим изобретением, будут иметь значения, которые обычно понятны специалистам в данной области. Примерные способы и материалы описаны ниже, хотя на практике или при тестировании настоящего изобретения могут также использоваться способы и материалы, подобные или эквивалентные тем, что описаны в настоящем документе. Все публикации и другие ссылочные материалы, упомянутые в настоящем документе, включены во всей их полноте путем отсылки. В случае противоречий настоящее описание, включая определения, будет превалировать. Хотя в настоящем документе цитируется ряд документов, такое цитирование не является признанием того, что любой из этих документов образует часть общеизвестных знаний в данной области. Кроме того, если по контексту не требуется иное, термины в единственном числе включают в себя термины во множественном числе, и термины во множественном числе включают в себя термины в единственном числе. Как правило, используемая классификация и методы клеточной и тканевой культуры, молекулярной биологии, иммунологии, микробиологии, генетики, аналитической химии, химии органического синтеза, медицинской и фармацевтической химии, а также гибридизации и химии белка и нуклеиновых кислот, описанные в настоящем документе, хорошо известны специалистам и широко применяются в данной области. Ферментные реакции и способы очистки осуществляют в соответствии с инструкциями производителя, как это обычно осуществляется в данной области, или как описано в настоящем документе. В этом описании и вариантах осуществления изобретения слова «иметь» и «содержать» или их вариации, такие как «имеет», «имеющий», «содержит» или «содержащий», следует понимать как включение указанного целого или группы целых, но не исключение любого другого целого или группы целых. Определения, связанные с антителом PD-L1 (лиганд 1 рецептора программируемой гибели клеток), также известный как кластер дифференцировки 274 (CD274) или гомолог 1 B7 (B7-H1), является трансмембранным белком 1 типа, массой 40кДа. Состоит из 3 доменов: внеклеточного, представленного Ig V и C-подобными доменами (220), трансмембранного (21) и внутриклеточного (31). Он играет важную роль в супрессии иммунной системы в период беременности, при пересадке чужеродной ткани, некоторых заболеваниях, например, при гепатите. В нормальных условиях, в ответ на собственные антигены, в лимфатических узлах и селезенке аккумулируется некоторое количество антиген-специфичных CD8+ Т-эффекторных клеток, с целью предотвращения аутоиммунного процесса, формируются PD-1/PD-L1 или B7-1/PD-L1 комплексы, это приводит к передаче ингибиторного сигнала, снижающего пролиферацию данных CD8+ T - клеток в лимфоузлах. Таким образом PD-1/PD-L-взаимодействие является одним из ключевых в развитии иммунной толерантности. "Дисфункция" в контексте иммунной дисфункции означает состояние снижения иммунной реакции на антигенную стимуляцию. Термин включает общие элементы истощения и/или анергии, при которых может происходить распознавание антигена, однако вызываемая иммунная реакция неэффективна для контроля над инфекцией или ростом опухоли. "Усиление функции Т-клеток" означает индукцию, вызывание или стимулирование устойчивой или усиленной биологической функции Т-клетки или восстановление или реактивацию истощенных или неактивных Т-клеток. Примерами усиления функции Т-клеток являются: повышенная секреция γ-интерферона из CD8+ Т- клеток, повышенная пролиферация, повышенная реакция на антиген (например, элиминация вируса или патогена) относительно показателей до вмешательства. В одном варианте воплощения уровень усиления составляет как минимум 50%, в альтернативном варианте - 60%, 70%, 80%, 90%, 100%, 120%, 150%, 200%. Способ измерения этого усиления известен специалистам в данной области. "Связанное с дисфункцией Т-клеток нарушение" представляет собой нарушение или состояние Т-клеток, характеризующееся сниженной реакцией на антигенную стимуляцию. В конкретном варианте воплощения связанным с Т-клетками дисфункциональным нарушением является нарушение, конкретно связанное с неприемлемо повышенным сигналом через PD-1. В другом варианте воплощения связанным с дисфункцией Т-клеток нарушением является нарушение, при котором Т- клетки являются энергическими или обладают сниженной способностью к секретированию цитокинов, пролиферации или цитолитической активности. В конкретном аспекте снижение реакции приводит к неэффективности контроля над патогеном или опухолью, экспрессирующей иммуноген. Примерами связанных с дисфункцией Т-клеток нарушений, характеризующихся дисфункцией Т-клеток, могут быть неразрешенная острая инфекция, хроническая инфекция и иммунитет опухоли. "Иммунитет опухоли" означает процесс, при котором опухоли уклоняются от иммунного распознавания и элиминации. Таким образом, как терапевтическое понятие, иммунитет опухоли поддается "лечению", когда такое уклонение ослабляется, и опухоли распознаются и атакуются иммунной системой. Примерами распознавания опухолей являются связывание опухоли, уменьшение размеров опухоли и элиминация опухоли. Термин "вакцина" в контексте данного описания включает любой непатогенный иммуноген, который, будучи инокулированным в организм-хозяин, вызывает защитный иммунитет против конкретного патогена. Вакцины могут приобретать различные формы. Вакцины могут быть целыми организмами, имеющими общие антигены с патогеном, но сами не являются патогенными (например, коровья оспа). Вакцины также могут быть приготовлены из убитых (например, вакцина против полиомиелита Salk) или ослабленных (с потерей способности к вызыванию болезни - например, вакцина против полиомиелита Sabin). Вакцины также могут приготавливаться из очищенных макромолекул, выделенных из патогенного организма. Например, токсоидные вакцины (например, столбняка и дифтерии), содержащие неактивную форму растворимого бактериального токсина и обеспечивающие в результате выработку антител против токсина, но не иммунитет к интактной бактерии. Субъединичные вакцины (например, гепатит В) содержат только один иммуногенный белок, выделенный из нужного патогена. Гаптеновые конъюгатные вакцины присоединяют некоторые углеводные или полипептидные эпитопы, выделенные из нужного патогена, к иммуногенным носителям, таким, как столбнячный токсоид. Эти методики предусматривают главным образом применение эпитопов, таких, как гаптены, для индукции выработки антитела, которые затем распознают один эпитоп в природном патогене. Однако для максимальной эффективности такие вакцины должны включать В- и Т-клеточные эпитопы, и должны выбираться Т-клеточные для гарантии возможности их распознавания, презентации и реакции на них со стороны иммунных систем организмов-хозяев. В ДНК-вакцинах используется способность клеток-хозяев к захвату и экспрессии ДНК, кодирующей патогенные белки, которую вводят внутримышечно. Реакция хозяина на иммуногены может усиливаться при введении в форме смеси с адъювантами. Иммунные адъюванты функционируют одним или несколькими из следующих способов: (1) продления удерживания иммуногена, (2) увеличения эффективного размера иммуногена (и, следовательно, активации фагоцитоза и презентации макрофагам), (3) стимуляции притока макрофагов других иммунных клеток к месту инъекции или (4) активации местной выработки цитокинов и других видов иммунологической активности. Примерами адъювантов могут быть: полный адъювант Фрейнда (CFA), соли алюминия и белки на основе микобактерий, такие, как мурамилди- или трипептиды. Амплификация этого гена и/или сверхэкспрессия его белка были обнаружены при многих раковых заболеваниях, в том числе при ПРГШ, раке шейки матки, раке без выявленного первоисточника, глиобластома, раке пищевода, раке мочевого пузыря, ТНРМЖ, КРР, гепатоцеллюлярная карцинома, меланома, НМРЛ, раке почки, раке яичника, лимфомы Ходжкина, MSI КРР. Термин «связывающая молекула» включает в себя антитела и иммуноглобулины. Термин «антитело» или «иммуноглобулин» (Ig), как использовано в данном описании, включает целые антитела и любой антигенсвязывающий фрагмент (т.е. «антигенсвязывающую часть») или его отдельные цепи. Термин “антитело" относится к гликопротеину, содержащему по меньшей мере две тяжелые (H) цепи и две легкие (L) цепи, взаимосвязанные дисульфидными связями, или его антигенсвязывающей части. Каждая тяжелая цепь содержит вариабельную область тяжелой цепи (сокращенно называемую в данном описании как VH) и константную область тяжелой цепи. Константная область тяжелой цепи состоит из трех доменов, CH1, CH2 и CH 3. Каждая легкая цепь состоит из вариабельной области легкой цепи (сокращенно называемой в данном описании как VL) и константной области легкой цепи. Константная область легкой цепи состоит из одного домена, CL. Области VH и VL могут быть дополнительно подразделены на области гипервариабельности, называемые определяющими комплементарность областями (CDR), разбросанные между областями, которые являются более консервативными, называемыми каркасными областями (FR). Каждая VH и VL состоит из трех CDR и четырех FR, расположенных от амино-конца к карбокси-концу в следующем порядке: FR1, CDR1, FR2, CDR2, FR3, CDR3, FR4. Вариабельные области тяжелой и легкой цепей содержат домен связывания, который взаимодействует с антигеном. Константные области антител могут опосредовать связывание иммуноглобулина с тканями хозяина или факторами, включая различные клетки иммунной системы (например, эффекторными клетками), и первый компонент (Clq) классической системы комплемента. Термин «антигенсвязывающая часть» антитела или «антигенсвязывающий фрагмент» (или просто «часть антитела» или «фрагмент антитела»), как использовано в данном описании, относится к одному или нескольким фрагментам антитела, которые сохраняют способность специфически связываться с антигеном. Было показано, что антигенсвязывающая функция антитела может выполняться фрагментами полноразмерного антитела. Примеры связывающих фрагментов, включенных в термин “антигенсвязывающая часть" антитела включают (i) Fab-фрагмент, одновалентный фрагмент, состоящий из доменов VL, VH, CL и CH 1; (ii) F(ab')2-фрагмент, двухвалентный фрагмент, содержащий два Fab-фрагмента, связанных дисульфидным мостиком в шарнирной области; (iii) Fd- фрагмент, состоящий из доменов VH и CH 1; (iv) Fv-фрагмент, состоящий из доменов VL и VH в едином плече антитела, (v) dAb-фрагмент (Ward et al., (1989) Nature 341:544-546), который состоит из домена VH/VHH; и (vi) выделенная определяющая комплементарность область (CDR). Кроме того, две области Fv-фрагмента, VL и VH, кодируются разными генами, они могут быть соединены при помощи рекомбинантных способов с использованием синтетического линкера, который дает возможность получать их в виде единой белковой цепи, в которой области VL и VH спариваются с образованием одновалентных молекул (известных как одноцепочечный Fv (scFv); см., например, Bird et al. (1988) Science 242:423-426; и Huston et al. (1988) Proc. Natl. Acad. Sci. USA 85:5879-5883). Предполагается, что такие одноцепочечные молекулы также включены в термин “антигенсвязывающая часть" антитела. Такие фрагменты антител получают с использованием общепринятых способов, известных специалистам в данной области, и эти фрагменты подвергают скринингу таким же образом, как и интактные антитела. Предпочтительно CDR антигенсвязывающего участка или весь антигенсвязывающий участок антител по изобретению имеет происхождение из мыши, ламы или донорской человеческой библиотеки или по существу человеческое происхождение с определенными аминокислотными остатками, измененными, например, замещенными разными аминокислотными остатками с тем, чтобы оптимизировать конкретные свойства антитела, например KD, koff, IC50, EC50, ED50. Предпочтительно каркасные участки антитела по изобретению имеют человеческое происхождение или по существу человеческое происхождение (по крайней мере на 80, 85, 90, 95, 96, 97, 98 или 99% человеческое происхождение). В других вариантах осуществления антигенсвязывающий участок антитела по изобретению может происходить из других нечеловеческих видов, включая мыши, ламы, кролика, крысу или хомяка, но не ограничиваясь ими. Альтернативно, антигенсвязывающий участок может происходить из человеческих видов. Термин «вариабельный» относится к тому факту, что определенные сегменты вариабельных доменов широко отличаются в последовательности среди антител. Домен V опосредует связывание антигена и определяет специфичность конкретного антитела к его конкретному антигену. Однако вариабельность неравномерно распределяется на участке вариабельных доменов из 110 аминокислот. Напротив, V области состоят из инвариантных фрагментов, называемых каркасными областями (FR) из 15-30 аминокислот, разделенных более короткими участками чрезвычайной вариабельности, называемых "гипервариабельными областями" или CDR или "HVR" или "HV". Каждый вариабельный домен нативных тяжелых и легких цепей содержит четыре FR, в основном принимающих конфигурацию бета-листов, связанных тремя гипервариабельными областями, которые образуют петли, связывающие, и в некоторых случаях являющиеся частью бета-складчатой структуры. Гипервариабельные области в каждой цепи удерживаются вместе в тесной близости с помощью FR и с гипервариабельными областями другой цепи вносят вклад в образование антигенсвязывающего сайта антител (см. Kabat et al., Sequences of Proteins of Immunological Interest. 5 th Ed. Public Health Service, National Institutes of Health, Bethesda, MD. (1991)). Константные домены не принимают непосредственного участия в связывании антитела с антигеном, но проявляют различные эффекторные функции, такие как участие антитела в антителозависимой клеточной цитотоксичности (АЗКЦ, ADCC). Термин "гипервариабельная область" ("HVR" или "HV") по данному описанию относится к аминокислотным остаткам антитела, которые отвечают за связывание антигена. Обычно гипервариабельная область содержит аминокислотные остатки из "области, определяющей комплементарность" или "CDR", и/или такие остатки из "гипервариабельной петли". В некоторых случаях может также быть предпочтительным изменение одного или более остатков аминокислот CDR-участков с целью повышения аффинности связывания с целевым эпитопом. Это известно как «созревание аффиности» и в некоторых случаях может выполняться в связи с гуманизацией, например, в ситуациях, когда гуманизация антитела приводит к снижению специфичности или аффинности связывания, и не представляется возможным в достаточной степени улучшить специфичность или аффинность связывания с помощью только обратных мутаций. Различные методы созревания аффинности известны в данной области техники, например, способ in vitro сканирующего насыщающего мутагенеза, описанный Burks et al., Proc Natl Acad Sci USA, 94:412-417 (1997), и способ пошагового in vitro созревания аффинности, предложенный Wu et al., Proc Natl Acad Sci USA 95:6037 6042 (1998). "Каркасные области" (FR) представляют собой остатки вариабельного домена, отличные от CDR остатков. Обычно каждый вариабельный домен имеет четыре FR, определяемые как FR1, FR2, FR3 и FR4. Если CDR определяются согласно Kabat, FR остатки легкой цепи локализуются, приблизительно, в области остатков 1-23 (LCFR1), 35-49 (LCFR2), 57-88 (LCFR3) и 98-107 (LCFR4), а остатки FR тяжелой цепи локализуются, приблизительно, в области остатков 1-30 (HCFR1), 36-49 (HCFR2), 66-94 (HCFR3) и 103- 113 (HCFR4) в тяжелой цепи. Если участки CDR содержат аминокислотные остатки из гипервариабельных петель, FR остатки легкой цепи локализуются, приблизительно, в остатках 1-25 (LCFR1), 33-49 (LCFR2), 53-90 (LCFR3) и 97-107 (LCFR4) в легкой цепи, а FR остатки тяжелой цепи локализуются, примерно, в остатках 1-25 (HCFRI), 33-52 (HCFR2), 56-95 (HCFR3) и 102-113 (HCFR4) в остатках тяжелой цепи. В некоторых примерах, когда CDR содержит аминокислоты как из CDR по Kabat, так и аминокислоты из гипервариабельной петли, FR соответствующим образом корректируются. Например, когда CDRH1 включает аминокислоты Н26-Н35, остатки FR1 тяжелой цепи находятся в положениях 1-25, а остатки FR2 находятся в положениях 36-49. Антитело по данному изобретению, "которое связывает" целевой антиген, представляет собой антитело, которое связывает антиген с достаточной аффинностью так, что антитело можно применять в качестве диагностического и/или терапевтического агента при нацеливании на белок или клетку или ткань, экспрессирующую антиген, и в незначительной степени перекрестно реагирует с другими белками. По данным аналитических методов: сортинга флуоресцентно-активированных клеток (FACS), радиоиммунопреципитации (RIA) или ИФА (ELISA), в таких вариантах изобретения степень связывания антитела с белком, не являющимся "мишенью" (с "нецелевым белком"), составляет менее 10% от связывания антитела с конкретным белком-мишенью. По отношению к связыванию антитела с молекулой-мишенью термин "специфическое связывание" или выражения "специфически связывается с" или "специфический к" конкретному полипептиду или эпитопу на конкретном полипептиде-мишени означает связывание, которое заметно (измеримо) отличается от неспецифического взаимодействия (например, в случае bH1-44 или bH1-81 неспецифическое взаимодействие представляет собой связывание с бычьим сывороточным альбумином, казеином, фетальной бычьей сывороткой или нейтравидином). Специфическое связывание можно определять количественно, например, определяя связывание молекулы по сравнению со связыванием контрольной молекулы. Например, специфическое связывание можно определять конкурентной реакцией с другой молекулой, аналогичной мишени, например, с избытком немеченой мишени. В этом случае специфическое связывание указывается, если связывание меченой мишени с зондом конкурентно ингибируется избытком немеченой мишени. В данном описании термин "специфическое связывание" или выражения "специфически связывается с" или "специфический к" конкретному полипептиду или эпитопу на конкретном полипептиде-мишени можно характеризовать на примере молекулы, имеющей Kd к мишени по меньшей мере около 200 нМ, или же по меньшей мере около 150 нМ, или же по меньшей мере около 100 нМ, или же по меньшей мере около 60 нМ, или же по меньшей мере около 50 нМ, или же по меньшей мере около 40 нМ, или же по меньшей мере около 30 нМ, или же по меньшей мере около 20 нМ, или же по меньшей мере около 10 нМ, или же по меньшей мере около 8 нМ, или же по меньшей мере около 6 нМ, или же по меньшей мере около 4 нМ, или же по меньшей мере около 2 нМ, или же по меньшей мере около 1 нМ или выше. В одном варианте изобретения термин "специфическое связывание" относится к связыванию, при котором молекула связывается с конкретным полипептидом или эпитопом на конкретном полипептиде, практически не связываясь с каким-либо другим полипептидом или эпитопом на полипептиде. Термин «Ka», как использовано в данном описании, относится к скорости ассоциации конкретного взаимодействия антитело-антиген, тогда как термин или «Kd» относится к скорости диссоциации конкретного взаимодействия антитело-антиген. "Аффинность связывания" обычно относится к силе совокупных нековалентных взаимодействий между единичным сайтом связывания молекулы (например, антитела) и ее партнером по связыванию (например, антигеном). Если не указано иначе, "аффинность связывания" относится к внутренней (характерной, истинной) аффинности связывания, которая отражает 1:1 взаимодействие между членами пары связывания (например, антителом и антигеном). Аффинность молекулы Х к своему партнеру Y обычно можно представить константной диссоциации (Kd). Желательно, чтобы величина Kd составляла, примерно, 200 нМ, 150 нМ, 100 нМ, 60 нМ, 50 нМ, 40 нМ, 30 нМ, 20 нМ, 10 нМ, 8 нМ, 6 нМ, 4 нМ, 2 нМ, 1 нМ или менее. Аффинность можно измерять обычными методами, известными в уровне техники, включая методы по данному описанию. Низкоаффинные антитела обычно медленно связываются с антигеном и имеют тенденцию легко диссоциировать, тогда как высокоаффинные антитела обычно быстрее связывают антиген и имеют тенденцию дольше оставаться в связанном состоянии. В уровне техники известны различные методы измерения аффинности связывания, любой из этих методов можно использовать для целей настоящего изобретения. В одном варианте изобретения "Kd" или "величину Kd" по данному изобретению измеряют методами поверхностного плазменного резонанса на приборе BIAcore™-2000 или BIAcore™-3000 (BIAcore, Inc., Piscataway, NJ) при 25°C, используя чипы с иммобилизованным антигеном СМ5 при ~10 относительных единицах (единицах отклика, RU). Коротко говоря, биосенсорные чипы с карбоксиметилдекстраном (СМ5, BIAcore Inc.) активируют гидрохлоридом N-этил-N'-(3-диметиламинопропил)-карбодиимида (EDC) и N-гидроксисукцинимидом (NHS) в соответствии с инструкциями производителя. Антиген разводят 10 мМ раствором ацетата натрия, рН 4.8, до концентрации 5 мкг/мл (~0.2 мкМ), а затем вводят (инжекция) при скорости потока 5 мкл/минута до достижения, примерно, 10 относительных единиц (RU) связанного белка. После введения антигена вводят 1 М раствор этаноламина, чтобы блокировать непрореагировавшие группы. Для кинетических измерений двукратные серийные разведения Fab (например, от 0.78 нМ до 500 нМ) вводят в PBS с 0.05% Tween 20 (PBST) при 25°C при скорости потока, примерно, 25 мкл/мин. Величины скорости ассоциации (kon) и скорости ассоциации (koff) рассчитывают, применяя простую модель Ленгмюра для связывания один-плюс-один (BIAcore Evaluation Software версия 3.2), с помощью одновременного получения сенсограммы ассоциации и диссоциации. Константу равновесной диссоциации (Kd) рассчитывают как отношение koff/kon. См., например, Chen, Y., et al., (1999) J. Mol. Biol. 293: 865-881. Если по данным вышеуказанного метода поверхностного плазмонного резонанса скорость ассоциации превышает 106 М-1 сек-1, тогда ее можно определять методом тушения флуоресценции, который измеряет увеличение или уменьшение интенсивности флуоресцентной эмиссии (возбуждение=295 нм; эмиссия (излучение)=340 нм, полоса 16 нм) при 25°C раствора антитела против антигена (Fab форма) с концентрацией 20 нМ в PBS, рН 7.2, в присутствии увеличивающихся концентраций антигена, измеряемых с помощью спектрометра, такого как спектрофотометр остановленного потока (Aviv Instruments) или спектрофотометр SLM-Aminco (ThermoSpectronie) серии 8000 с кюветой с перемешиванием. Термин «koff» относится к константе скорости диссоциации конкретного взаимодействия связывающей молекулы и антигена. Константу скорости диссоциации koff +можно измерить посредством биослойной интерферометрии, например, с помощью системы Octet™. "Скорость ассоциации" ("on-rate") или "kon" по данному изобретению можно также определять тем же самым описанным выше методом поверхностного плазменного резонанса на приборе BIAcore™-2000 или BIAcore™-3000 (BIAcore, Inc., Piscataway, NJ) при 25°C, используя чипы с иммобилизованным антигеном СМ5 при ~10 относительных единицах (единицах отклика, RU). Коротко говоря, биосенсорные чипы с карбоксиметилдекстраном (СМ5, BIAcore Inc.) активируют гидрохлоридом N-этил-N'-(3-диметиламино пропил)-карбодиимида (EDC) и N-гидроксисукцинимидом (NHS) в соответствии с инструкциями производителя. Антиген разводят 10 мМ раствором ацетата натрия, рН 4.8, до концентрации 5 мкг/мл (~0.2 мкМ), а затем вводят (инжекция) при скорости потока 5 мкл/минута до достижения, примерно, 10 относительных единиц (RU) связанного белка. После введения антигена вводят 1 М раствор этаноламина, чтобы блокировать непрореагировавшие группы. Для кинетических измерений двукратные серийные разведения Fab (например, от 0.78 нМ до 500 нМ) вводят в PBS с 0.05% Tween 20 (PBST) при 25°C при скорости потока, примерно, 25 мкл/мин. Величины скорости ассоциации (kon) и скорости ассоциации (koff) рассчитывают, применяя простую модель Ленгмюра для связывания один-плюс-один (BIAcore Evaluation Software версия 3.2), одновременно получая сенсограммы ассоциации и диссоциации. Константу равновесной диссоциации (Kd) рассчитывают как отношение koff/kon. См., например, Chen, Y., et al., (1999) J. Mol. Biol. 293: 865-881. Однако, если по данным вышеуказанного метода поверхностного плазменного резонанса скорость ассоциации превышает 106 М-1 сек-1, тогда ее можно определять методом тушения флуоресценции, который измеряет увеличение или уменьшение интенсивности флуоресцентной эмиссии (возбуждение=295 нм; эмиссия (излучение)=340 нм, полоса 16 нм) при 25°C раствора антитела против антигена (Fab форма) с концентрацией 20 нМ в PBS, рН 7.2, в присутствии увеличивающихся концентраций антигена, измеряемых с помощью спектрометра, такого как спектрофотометр остановленного потока (Aviv Instruments) или спектрофотометр SLM-Aminco (ThermoSpectronic) серии 8000 с кюветой с перемешиванием. Если специально не указано иначе, выражения "биологически активный", и "биологическая активность", и "биологические характеристики", по отношению к полипептиду по данному изобретению, означают обладание способностью связываться с биологической молекулой. Выражение "биологическая молекула" относится к нуклеиновой кислоте, белку, углеводу, липиду и их комбинации. В одном варианте изобретения биологическая молекула существует в природе. Участки антител, такие как Fab- и F(ab')2-фрагменты, могут быть получены из целых антител с использованием традиционных методов, таких как папаиновый или пепсиновый гидролиз целых антител. Более того, антитела, части антител и молекулы иммуноадгезии могут быть получены с использованием стандартных методов рекомбинантной ДНК, например, как описано в настоящем документе. Термин «рекомбинантное антитело» означает антитело, которое экспрессируется из клетки или клеточной линии, содержащей нуклеотидную последовательность (нуклеотидные последовательности), которая кодирует антитела, при этом указанная нуклеотидная последовательность (нуклеотидные последовательности) не ассоциирована с клеткой в природе. Термин «вариантное» антитело, используемый в данном документе, относится к антителу, имеющему аминокислотную последовательность, которая отличается от аминокислотной последовательности его «родительского» антитела путем добавления, удаления и/или замены одного или более аминокислотных остатков относительно последовательности родительского антитела. В предпочтительном варианте осуществления изобретения вариантное антитело содержит по меньшей мере одно или более (например, от одного до двенадцати, например, два, три, четыре, пять, шесть, семь, восемь или девять, десять, одиннадцать или двенадцать; и в некоторых вариантах осуществления изобретения от одного до примерно десяти) добавлений, делеций и/или замен аминокислот относительно родительского антитела. В некоторых вариантах осуществления изобретение добавления, делеции и/или замены осуществляются на CDR-участках вариантного антитела. Идентичность или гомология по отношению к последовательности вариантного антитела определяется в настоящем документе как процент аминокислотных остатков в последовательности вариантного антитела, которые идентичны остаткам родительского антитела, после выравнивания последовательностей и введения гэпов, если это необходимо, для достижения максимального процента идентичности последовательности. Вариантное антитело сохраняет способность связываться с тем же антигеном, и предпочтительно эпитопом, с которым связывается родительское антитело, и в некоторых вариантах осуществления изобретения по меньшей мере одно свойство или биологическая активность превосходит аналогичные свойства родительского антитела. Например, вариантное антитело может иметь, например, более выраженную аффинность связывания, более длительный период полувыведения, более низкое значение ИК50 или повышенную способность подавлять биологическую активность антигена по сравнению с родительским антителом. Особый интерес в настоящем документе представляет вариантное антитело, показывающее биологическую активность, превышающую по меньшей мере в 2 раза (предпочтительно, по меньшей мере в 5 раз, 10 раз или 20 раз) биологическую активность родительского антитела. Термин «биспецифичное антитело» означает антитело, содержащее антигенсвязывающий домен или антигенсвязывающие домены, которые способны к специфическому связыванию с двумя различными эпитопами на одной биологической молекуле или способны к специфическому связыванию с эпитопами на двух различных биологических молекулах. Биспецифичное антитело также упоминается в настоящем документе, как обладающее «двойной специфичностью» или как являющееся антителом с «двойной специфичностью». Термин «химерное антитело» относится в широком смысле к антителу, которое содержит одну или более областей из одного антитела, и одну или более областей из одного или нескольких других антител, как правило, антитело, частично человеческого происхождения и частично нечеловеческого происхождения, то есть полученное частично из не относящегося к человеку животного, например, мыши, крысы или другого грызуна или верблюдовых, таких как лама или альпака. Химерные антитела являются предпочтительными по сравнению с нечеловеческими антителами для того, чтобы снизить риск иммунного ответа, направленного против антител у человека, например, ответа, направленного против мышиных тел у человека в случае мышиного антитела. Примером типичного химерного антитела является то, в котором последовательности вариабельного участка являются мышиными, в то время как последовательности константного участка являются человеческими. В случае химерного антитела нечеловеческие части могут быть подвергнуты дальнейшему изменению с целью гуманизации антитела. Термин «гуманизация» относится к факту, что когда антитело имеет полностью или частично нечеловеческое происхождение, например, антитело мыши или ламы, полученное при иммунизации мышей или лам, соответственно, с представляющим интерес антигеном, или является химерным антителом на основе такого антитела мыши или ламы, можно заменить некоторые аминокислоты, в частности, в каркасных областях и константных доменах тяжелой и легкой цепей, с тем чтобы избежать или свести к минимуму иммунный ответ у человека. Специфичность взаимодействия антитела с антигеном-мишенью присуща главным образом аминокислотным остаткам, расположенных в шести CDR-участках тяжелой и легкой цепи. Поэтому аминокислотные последовательности внутри CDR-участков, являются гораздо более вариабельными между отдельными антителами, по сравнению с последовательностями вне CDR-участков. Поскольку последовательности CDR участков отвечают за большинство антитело-антиген взаимодействий, можно экспрессировать рекомбинантные антитела, которые имитируют свойства специфического природного антитела, или в более общем плане какого-либо специфического антитела с данной аминокислотной последовательностью, например, путем конструирования экспрессионных векторов, которые экспрессируют последовательности CDR-участков из специфического антитела в каркасные последовательности другого антитела. В результате, можно «гуманизировать» нечеловеческое антитело и в значительной степени сохранить специфичность связывания и аффинность исходного антитела. Несмотря на то, что невозможно точно предсказать иммуногенность и тем самым иммунный ответ, направленный против антитела у человека, на конкретное антитело, нечеловеческие антитела, как правило, более иммуногенны, чем человеческие антитела. Химерные антитела, у которых инородные (например, грызуна или верблюда) константные участки были заменены последовательностями человеческого происхождения, показали в целом более низкую иммуногенность, чем антитела полностью инородного происхождения, и существует тенденция использовать в терапевтических антителах гуманизированные или полностью человеческие антитела. Химерные антитела или другие антитела нечеловеческого происхождения, таким образом, могут быть гуманизированы, чтобы снизить риск иммунного ответа, направленного против антитела, у человека. Для химерных антител, гуманизация обычно включает в себя модификацию каркасных участков последовательностей вариабельного участка. Аминокислотные остатки, которые являются частью участков, определяющих комплементарность (CDR участков), чаще всего не будут изменяться в связи с гуманизацией, хотя в некоторых случаях это может быть желательным, чтобы изменить отдельные аминокислотные остатки CDR-участка, например, чтобы удалить участок гликозилирования, участок дезамидирования, участок изомеризации аспартата или нежелательный остаток цистеина или метионина. N-связанное гликозилирование происходит путем присоединения олигосахаридной цепи к остатку аспарагина в трипептидной последовательности Asn-X-Ser или Asn-X-Thr, где Х может быть любой аминокислотой, кроме Pro. Удаление участка N-гликозилирования может быть достигнуто путем мутирования Asn или Ser/Thr остатка другим остатком, предпочтительно путем консервативной замены. Дезамидирование остатков аспарагина и глутамина может происходить в зависимости от таких факторов, как рН и обнажение поверхности. Остатки аспарагина особенно восприимчивы к дезамидированию, прежде всего, если они присутствуют в последовательности Asn Gly, и в меньшей степени в других дипептидных последовательностях, таких как Asn-Ala. При наличии такого дезамидированного участка, в частности, Asn-Gly в последовательности CDR-участка, может быть предпочтительным удалить этот участок, как правило, путем консервативной замены для удаления одного из вовлеченных остатков. В данной области техники известны многочисленные способы гуманизации последовательности антитела; см., например, обзор Almagro & Fransson, Front Biosci. 13:1619-1633 (2008). Одним из наиболее часто используемых методов является трансплантация CDR-участков, например, когда химерные антитела мышиного происхождения задействуют идентификацию человеческих зародышевых генных эквивалентов к мышиным генам вариабельного участка и трансплантацию последовательностей мышиных CDR-участков в этот каркас. Трансплантация CDR участка может быть основана на определениях CDR-участков по Kabat, хотя в более поздней публикации (Magdelaine-Beuzelin et al., Crit Rev.Oncol Hematol. 64:210 225 (2007)) предполагается, что определение по IMGT® (the international ImMunoGeneTics information system®, www.imgt.org) может улучшить результат гуманизации (см Lefranc et al., Dev. Comp Immunol. 27:55-77 (2003)). В некоторых случаях, трансплантация CDR-участкка может уменьшить специфичность и аффинность связывания, и, следовательно, биологическую активность, в CDR трансплантированном нечеловеческом антителе, по сравнению с родительским антителом, из которого получены CDR-участки. Обратные мутации (иногда именуемые «ремонт каркасного участка»), могут применяться в выбранных положениях CDR трансплантированного антитела, как правило, в каркасных участках, для того, чтобы восстановить специфичность и аффинность связывания родительского антитела. Определение позиций для возможных обратных мутаций может быть выполнено с использованием информации, имеющейся в литературе и в базах данных антител. Аминокислотные остатки, которые являются кандидатами для обратных мутаций, как правило, расположены на поверхности молекулы антитела, в то время как остатки, которые углублены или имеют низкую степень обнажения поверхности обычно не будут подвержены изменениям. Метод гуманизации, альтернативный трансплантации CDR-участка и обратной мутации, представляет собой изменение поверхности, при котором неэкспонированные на поверхности остатки нечеловеческого происхождения, сохраняются, в то время как экспонированные на поверхности остатки изменяются в человеческие остатки. Существует две технологии получения полностью человеческих антител: с использованием in vitro собранных фаговых библиотек или in vivo иммунизацией гуманизированных животных (мышей, крыс и т.д.). Фаговый дисплей является первой и самой широко распространенной in vitro технологией для поиска антител. В 1985 году Смит обнаружил, что последовательности чужеродной ДНК могут быть клонированы в нитевидный бактериофаг M13 таким образом, что клонированные последовательности генов экспрессируются на поверхности фаговых частиц как слитые белки (Smith GP: Filamentous fusion phage: novel expression vectors that display cloned antigens on the virion surface. Science 1985, 228:1315-1317.). Таким образом, можно проводить селекцю интересующих нас слитых белков на основе их способности связывать другие белки. Это открытие было скомбинировано с методами ПЦР-амплификации, что позволило клонировать кДНК репертуар генов иммуноглобулинов для создания разнообразных фаговых библиотек, содержащих вариабельные домены, которые могут быть использованы для быстрого поиска мишень-специфичных моноклональных антител. Репертуар фаговых библиотек отражает репертуар антител B-лимфоцитов каждого человека или животного, кровь которого была использована при создании библиотеки.В 1995 году две статьи сообщили о создании генетически сконструированных мышей, которые экспрессировали полностью человеческие антитела, репертуар которых может быть соспоставим с полученных гибридомной технологией (Lonberg N, Taylor LD, Harding FA, Trounstine M, Higgins KM, Schramm SR, Kuo CC, Mashayekh R, Wymore K, McCabe JG et al.: Antigen-specific human antibodies from mice comprising four distinct genetic modifications. Nature 1994, 368:856-859; Green LL, Hardy MC, Maynard-Currie CE, Tsuda H, Louie DM, Mendez MJ, Abderrahim H, Noguchi M, Smith DH, Zeng Y et al.:Antigen-specific human monoclonal antibodies from mice engineered with human Ig heavy and light chain YACs. Nat Genet 1994, 7:13-21.) У этих животных были целенаправленно разрушены гены своих собственных эндогенных тяжелых и k легких цепей иммунноглобулинов и введены трансгены, представляющие собой сегменты генов тяжелых и k легких цепей человека.Оказалось, что репертуар генов человека может быть использован мышиной иммунной системой для создания высокоспецифичных и высокоаффинных антител ко большему разнообразию антигенов. Несмотря на то, что трансгенные мыши экспрессируют B-клеточные рецепторы, которые по существу являются гибридными мышиных и человеческих (человеческий иммуноглобулин, мышиные Igα, Igβ и другие сигнальные молекулы), их B-клетки нормально развиваются и созревают. В некоторых случаях может также быть предпочтительным изменение одного или более остатков аминокислот CDR-участков с целью повышения аффинности связывания с целевым эпитопом. Это известно как «созревание аффиности» и в некоторых случаях может выполняться в связи с гуманизацией, например, в ситуациях, когда гуманизация антитела приводит к снижению специфичности или аффинности связывания, и не представляется возможным в достаточной степени улучшить специфичность или аффинность связывания с помощью только обратных мутаций. Различные методы созревания аффинности известны в данной области техники, например, способ in vitro сканирующего насыщающего мутагенеза, описанный Burks et al., Proc Natl Acad Sci USA, 94:412-417 (1997), и способ пошагового in vitro созревания аффинности, предложенный Wu et al., Proc Natl Acad Sci USA 95:6037 6042 (1998). Термин «моноклональное антитело» или «mAb» относится к антителу, которые синтезировано и выделено отдельной клональной популяцией клеток. Клональная популяция может быть клональной популяцией иммортализованных клеток. В некоторых вариантах осуществления изобретения иммортализованные клетки в клональной популяции являются гибридными клетками, гибридомами, которые обычно получают путем слияния отдельных В-лимфоцитов от иммунизированных животных с отдельными клетками лимфоцитарной опухоли. Гибридомы представляют собой тип сконструированных клеток и не встречаются в природе. "Нативные антитела" обычно являются гетеротетрамерными гликопротеидами с молекулярной массой примерно 150000 дальтон, состоящие из двух идентичных легких (L) цепей и двух идентичных тяжелых (H) цепей. Каждая легкая цепь связана с тяжелой цепью одной ковалентной дисульфидной связью, тогда как количество дисульфидных связей между тяжелыми цепями варьирует в разных изотипах иммуноглобулинов. Каждая тяжелая и легкая цепь также имеет равномерно расположенные внутрицепочечные дисульфидные мостики. Каждая тяжелая цепь имеет на одном конце вариабельный домен (VH), за которым следует несколько константных доменов. Каждая легкая цепь имеет вариабельный домен на одном конце (VL) и константный домен на другом конце. Константный домен легкой цепи выровнен с первым константным доменом тяжелой цепи, и вариабельный домен легкой цепи выровнен с вариабельным доменом тяжелой цепи. Полагают, что конкретные аминокислотные остатки образуют поверхность раздела между вариабельными доменами легкой цепи и тяжелой цепи. Определение "выделенный" ("изолированный"), применяемое для описания различных антител по данному описанию, означает антитело, идентифицированное и выделенное и/или регенерированное из клетки или клеточной культуры, в которой оно экспрессируется. Примеси (загрязняющие компоненты) из природной среды представляют собой материалы, которые, как правило, мешают диагностическому или терапевтическому применению полипептида, и могут включать ферменты, гормоны и другие белковые или небелковые растворенные вещества. В предпочтительных вариантах изобретения антитело очищают (1) до степени, достаточной для получения по меньшей мере 15 остатков N-концевой или внутренней аминокислотной последовательности, при использовании секвенатора с вращающейся стеклянной чашечкой (секвенатора Эдмана), или (2) до гомогенности методом SDS-PAGE в невосстанавливающих или восстанавливающих условиях с применением окрашивания Кумасси бриллиантовым голубым или, предпочтительно, серебром. Выделенное антитело включает антитела in situ внутри рекомбинантных клеток, так как по меньшей мере один компонент природной среды полипептида отсутствует. Обычно выделенный полипептид получают в результате по меньшей мере одной стадии очистки. «Выделенная» молекула нуклеиновой кислоты представляет собой молекулу нуклеиновой кислоты, которая идентифицирована и отделена от по меньшей мере одной молекулы нуклеиновой кислоты-примеси, с которой она обычно связана в естественном источнике нуклеиновой кислоты антитела. Выделенная молекула нуклеиновой кислоты отличается от той формы или набора, в которых она находится в естественных условиях. Таким образом, выделенная молекула нуклеиновой кислоты отличается от молекулы нуклеиновой кислоты, существующей в клетках в естественных условиях. Однако выделенная молекула нуклеиновой кислоты включает молекулу нуклеиновой кислоты, находящуюся в клетках, в которых в норме происходит экспрессия антитела, например, в случае, если молекула нуклеиновой кислоты имеет локализацию в хромосоме, отличную от ее локализации в клетках в естественных условиях. Термин «эпитоп» при использовании в данном документе относится к части (детерминанте) антигена, который специфически связывается со связывающей молекулой (например, и антитело или родственная молекула, такие как биспецифичная связывающая молекула). Эпитопные детерминанты обычно состоят из химически активных поверхностных групп молекул, таких как аминокислоты или углеводы, или боковые цепи сахаров, и, как правило, имеют специфические трехмерные структурные характеристики, а также специфические характеристики зарядов. Эпитоп может быть «линейным» или «конформационным.» В линейном эпитопе, все точки взаимодействия между белком (например, антиген) и взаимодействующей молекулой (такой как антитело) происходит линейно вдоль первичной аминокислотной последовательности белка. В конформационном эпитопе, точки взаимодействия происходят через аминокислотные остатки на белке, отделенные друг от друга в первичной аминокислотной последовательности. Когда желаемый эпитоп антигена определен, можно генерировать антитела к этому эпитопу с использованием методик, хорошо известных в данной области техники. Кроме того, генерация и характеристика антител или других связывающих молекул могут пролить свет на информацию о желательных эпитопах. Основываясь на этой информации, можно затем конкурентно скринировать связывающие молекулы для связывания с теми же или аналогичными эпитопами, например, путем проведения исследований конкуренции, чтобы найти связывающие молекулы, которые конкурируют за связывание с антигеном. Термин «пептидный линкер» в настоящем документе означает любой пептид с возможностью соединения доменов с длиной в зависимости от доменов, которые он связывает между собой, содержащий любую аминокислотную последовательность. Предпочтительно пептидный линкер имеет длину более 5 аминокислот и состоит из любого набора аминокислот, выбранного из G, A, S, P, E, T, D, K. Понятие «эффекторная функция» антитела относится к видам биологической активности, связанным с Fc-областью (нативной последовательностью Fc-области или с вариантами аминокислотной последовательности Fc-области) антитела, и варьируют в зависимости от изотипа антитела. Примерами эффекторных функций антитела являются: Clq- связывание; комплементзависимая цитотоксичность; связывание Fc-рецептора; антитело-обусловленная клеточнозависимая цитотоксичность (ADCC); фагоцитоз; понижающая регуляция рецепторов клеточной поверхности (например, В-клеточного рецептора, BCR) и В-клеточная активация. "Зависимая от антител опосредованная клетками цитотоксичность" и "ADCC" относятся к опосредованному клетками ответу, при котором неспецифичные цитотоксические клетки, которые экспрессируют рецепторы Fc (FcR) (например, природные клетки-киллеры (NK), нейтрофилы и макрофаги), узнают связанное антитело на клетке-мишени и затем вызывают лизис клетки-мишени. Первичные клетки для опосредования ADCC, NK-клетки, экспрессируют только FcγRIII, тогда как моноциты экспрессируют FcγRI, FcγRII и FcγRIII. Экспрессия FcR на гематопоэтических клетках суммирована в таблице 3 на странице 464 в публикации Ravetch and Kinet, Annu. Rev. Immunol 9: 457-92 (1991). Чтобы оценить активность в ADCC представляющей интерес молекулы можно осуществить анализы ADCC in vitro, такие как анализы, описанные в патентах США № 5500362 или 5821337. Применимые эффекторные клетки для таких анализов включают мононуклеарные клетки периферической крови (PBMC) и природные клетки-киллеры (NK). Альтернативно или дополнительно ADCC-активность представляющей интерес молекулы можно оценить in vivo, например, в животной модели, такой как модель, описанная в Clynes et al. PNAS (USA) 95: 652-656 (1998). "Эффекторными клетками человека" являются лейкоциты, которые экспрессируют один или несколько FcR и осуществляют эффекторные функции. Предпочтительно клетки экспрессируют, по меньшей мере, FcγRIII и осуществляют ADCC-эффекторную функцию. Примеры лейкоцитов человека, которые опосредуют ADCC, включают мононуклеарные клетки периферической крови (PBMC), природные клетки-киллеры (NK), моноциты, цитотоксические T-клетки и нейтрофилы; при этом предпочтительны PBMC и NK-клетки. Эффекторные клетки могут быть выделены из их природного источника, например, из крови или PBMC, как описано в настоящей публикации. Термины "Fc-рецептор" и "FcR" используют для описания рецептора, который связывается с Fc-областью антитела. Предпочтительным FcR является FcR человека с нативной последовательностью. Кроме того, предпочтительным FcR является FcR, который связывает IgG-антитело (гамма-рецептор), и к предпочтительным рецепторам относятся рецепторы подклассов FcγRI, FcγRII и FcγRIII, включая аллельные варианты и альтернативно сплайсируемые формы указанных рецепторов. Рецепторы FcγRII включают FcγRIIA ("активирующий рецептор") и FcγRIIB ("ингибирующий рецептор"), которые имеют сходные аминокислотные последовательности, которые отличаются главным образом своими цитоплазматическими доменами. Активирующий рецептор FcγRIIA содержит в своем цитоплазматическом домене основанный на тирозине мотив активации иммунорецептора (ITAM). Ингибирующий рецептор FcγRIIB содержит в своем цитоплазматическом домене основанный на тирозине мотив ингибирования иммунорецептора (ITIM) (см. обзор в Daëron, Annu. Rev. Immunol. 15: 203-234 (1997)). Обзор, посвященный FcR, представлен в Ravetch and Kinet, Annu. Rev. Immunol 9: 457-92 (1991); Capel et al., Immunomethods 4: 25-34 (1994); и de Haas et al., J. Lab. Clin. Med. 126: 330-41 (1995). Другие FcR, включая FcR, которые будут идентифицированы в будущем, включены в настоящем описании в термин "FcR". Термин также включает неонатальный рецептор, FcRn, который отвечает за перенос материнских IgG в плод (Guyer et al., J. Immunol. 117: 587 (1976) и Kim et al., J. Immunol. 24: 249 (1994)). "Комплемент-зависимая цитотоксичность" и "CDC" относятся к способности молекулы лизировать мишень в присутствии комплемента. Путь активации комплемента инициируется связыванием первого компонента системы комплемента (C1q) с молекулой (например, антителом) в комплексе со своим антигеном. Чтобы оценить активацию комплемента можно осуществить анализ CDC, например, как описано в Gazzano-Santoro et al., J. Immunol. Methods 202: 163 (1996). Термин “идентичность” или “гомологичность” следует толковать как означающее процентное содержание остатков аминокислот в кандидатной последовательности, которые идентичны остаткам соответствующей последовательности, с которой ее сравнивают, после сравнения последовательностей и введения “брешей”, если необходимо достичь максимального процента идентичности для полной последовательности и не учитывая любые консервативные замещения как часть идентичности последовательности. Ни N- или С-концевой удлиняющей, ни инсерционные сегменты не следует толковать как уменьшающие идентичность или гомологичность. Методы и компьютерные программы для сравнения хорошо известны. Идентичность последовательности можно определить, используя программное обеспечение для анализа последовательности (например, Sequence Analysis Software Package, Genetics Computer Group, University of Wisconsin Biotechnology Center, 1710 University Ave., Madison, WI 53705). Данное программное обеспечение подходит для подобных последовательностей путем определения степени гомологичности для разнообразных замещений, делеций (элиминирований) и других модификаций. Фразу “гомологичный”, что касается полипептидной последовательности антитела, следует толковать как антитело, проявляющее по крайней мере, 70%-ную, предпочтительно 80%-ную, более предпочтительно 90%-ную и наиболее предпочтительно 95%-ную идентичность последовательности относительно полипептидной последовательности. Термин в отношении последовательности нуклеиновой кислоты следует толковать как последовательность нуклеотидов, проявляющих, по крайней мере, 85%-ную, предпочтительно 90%-ную, более предпочтительно 95%-ную и наиболее предпочтительно 97%-ную идентичность последовательности относительно последовательности нуклеиновой кислоты. Предлагается модификация(и) аминокислотных последовательностей антител, описанных в настоящей публикации. Например, может быть желательным улучшение аффинности связывания и/или других биологических свойств антитела. Варианты аминокислотной последовательности антитела получают введением соответствующих изменений нуклеотидов в нуклеиновую кислоту антитела или пептидным синтезом. Такие модификации включают, например, делеции, и/или инсерции, и/или замены остатков в аминокислотных последовательностях антитела. Осуществляют любое сочетание делеции, инсерции и замены, чтобы получить конечную конструкцию, при условии, что конечная конструкция обладает требуемыми характеристиками. Изменения аминокислот также могут изменять посттрансляционные процессы в антителе, такие как изменение количества или положения сайтов гликозилирования. Вариант модификации аминокислотных последовательностей антител с помощью аминокислотных замен. Такой вариант представляет собой замену, по меньшей мере, одного аминокислотного остатка в молекуле антитела на другой остаток. Места, представляющие наибольший интерес для мутагенеза путем замен, включают гипервариабельные области или CDR, но также предполагаются изменения и в области FR или Fc. Консервативные замены показаны в таблице 1 под заголовком "предпочтительные замены". Если такие замены приводят к изменению биологической активности, то могут быть введены дополнительные существенные изменения, названные "примерами заменам" в таблице А, или изменения, дополнительно описанные ниже при описании классов аминокислот, и может быть проведен скрининг продуктов. Термины «нуклеиновая кислота», «нуклеиновая последовательность» или «нуклеиновокислотная последовательность», «полинуклеотид», «олигонуклеотид», «полинуклеотидная последовательность» и «нуклеотидная последовательность», которые используются равнозначно в данном описании, обозначают четкую последовательность нуклеотидов, модифицированных или не модифицированных, определяющую фрагмент или участок нуклеиновой кислоты, содержащую или не содержащую неприродные нуклеотиды и являющуюся либо двуцепочечной ДНК или РНК, либо одноцепочечной ДНК или РНК, либо продуктами транскрипции указанных ДНК. Здесь также следует упомянуть, что данное изобретение не относится к нуклеотидным последовательностям в их природной хромосомной среде, т.е. в природном состоянии. Последовательности данного изобретения были выделены и/или очищены, т.е. были взяты прямо или косвенно, например путем копирования, при этом их среда была по меньшей мере частично модифицирована. Таким образом, также здесь следует подразумевать изолированные нуклеиновые кислоты, полученные путем генетической рекомбинации, например с помощью принимающих клеток (клеток-хозяев), или полученные путем химического синтеза. Ссылка на нуклеотидную последовательность, охватывает его комплимент, если не указано иное. Таким образом, ссылка на нуклеиновую кислоту, имеющую определенную последовательность следует понимать как охватывающие ее комплементарную цепь с ее комплементарной последовательностью. Выражение «контролирующие последовательности» относится к последовательностям ДНК, необходимым для экспрессии функционально связанной кодирующей последовательности в определенном организме-хозяине. Пригодные для прокариот контролирующие последовательности представляют собой, например, промотор, необязательно оператор и сайт связывания рибосомы. Как известно, в эукариотических клетках присутствуют промоторы, сигналы полиаденилирования и энхансеры. Нуклеиновая кислота «функционально связана», если она находится в функциональной связи с другой нуклеотидной последовательностью. Например, ДНК предпоследовательности или секреторной лидерной последовательности функционально связывают с ДНК полипептида, если он экспрессируется в виде предпротеина, который принимает участие в секреции полипептида; промотор или энхансер функционально связавают с кодирующей последовательностью, если он оказывает воздействие на транскрипцию последовательности; сайт связывания рибосомы функционально связывают с кодирующей последовательностью, если он расположен так, что может облегчать трансляцию. Как правило, «функционально связан» обозначает, что связанные последовательности ДНК являются смежными, а в случае секреторной лидерной последовательности являются смежными и находятся в фазе считывания. Однако энхансеры не обязательно должны быть смежными. Связывание осуществляется путем встраивания лигированием в существующие сайты рестрикции. Если такие сайты не существуют, то согласно известной практике применяют синтетические олигонуклеотидные адаптеры или линкеры. Термин «вектор» при использовании в настоящем документе означает молекулу нуклеиновой кислоты, способную транспортировать другую нуклеиновую кислоту, с которой она соединена. В некоторых вариантах осуществления изобретения вектор представляет собой плазмиду, т.е. кольцевую двухцепочечную часть ДНК, в которую могут быть лигированы дополнительные сегменты ДНК. В некоторых вариантах осуществления изобретения вектор представляет собой вирусный вектор, в котором дополнительные сегменты ДНК могут быть лигированы в вирусный геном. В некоторых вариантах осуществления изобретения векторы способны к автономной репликации в клетке-хозяине, в которую они введены (например, бактериальные векторы, имеющие бактериальный сайт инициации репликации и эписомные векторы млекопитающих). В других вариантах осуществления изобретения векторы (например, неэписомальные векторы млекопитающих) могут быть интегрированы в геном клетки-хозяина при введении в клетку-хозяина, и таким образом реплицируются вместе с геном хозяина. Более того, некоторые векторы способны направлять экспрессию генов, с которыми они функционально соединены. Такие векторы упоминаются в данном документе как «рекомбинантные экспрессирующие векторы» (или просто «экспрессирующие векторы»). Термин «рекомбинантная клетка-хозяин» (или просто «клетка-хозяин») при использовании в данном документе означает клетку, в которую введен рекомбинантный экспрессионный вектор. Настоящее изобретение относится к клеткам-хозяевам, которые могут включать, например, вектор в соответствии с настоящим изобретением, описанным выше. Настоящее изобретение относится также к клеткам-хозяевам, которые включают, например, нуклеотидную последовательность, кодирующую тяжелую цепь или ее антигенсвязывающие части, нуклеотидную последовательность, кодирующую легкую цепь или ее антигенсвязывающие части, или обе из них, первого связывающего домена и/или второго связывающего домена триспецифичной связывающей молекулы по данному изобретению. Следует понимать, что «рекомбинантная клетка-хозяин» и «клетка-хозяин» означают не только конкретную заявленную клетку, но также и потомство такой клетки. Поскольку модификации могут проходить в последующих поколениях вследствие мутации или воздействий окружающей среды, такое потомство не может, на самом деле, быть идентичным родительской клетке, но такие клетки по-прежнему включены в объем термина «клетка-хозяин» при использовании в настоящем документе. Термин «эксципиент» используется в данном документе для описания любого ингредиента, отличающегося от соединения(-ий) по данному изобретению. «Фармацевтическая композиция» обозначает композицию, включающую в себя антитело согласно изобретению и, по крайней мере, один из компонентов, выбранных из группы, состоящей из фармацевтически приемлемых и фармакологически совместимых наполнителей, растворителей, разбавителей, носителей, вспомогательных, распределяющих и воспринимающих средств, средств доставки, таких как консерванты, стабилизаторы, наполнители, измельчители, увлажнители, эмульгаторы, суспендирующие агенты, загустители, подсластители, отдушки, ароматизаторы, антибактериальные агенты, фунгициды, лубриканты, регуляторы пролонгированной доставки, выбор и соотношение которых зависит от природы и способа назначения и дозировки. Примерами суспендирующих агентов являются этоксилированный изостеариловый спирт, полиоксиэтилен, сорбитол и сорбитовый эфир, микрокристаллическая целлюлоза, метагидроксид алюминия, бентонит, агар-агар и трагакант, а также смеси этих веществ. Защита от действия микроорганизмов может быть обеспечена с помощью разнообразных антибактериальных и противогрибковых агентов, например, таких как парабены, хлорбутанол, сорбиновая кислота и подобные им соединения. Композиция может включать также изотонические агенты, например, сахара, хлористый натрий и им подобные. Пролонгированное действие композиции может быть обеспечено с помощью агентов, замедляющих абсорбцию активного начала, например, моностеарат алюминия и желатин. Примерами подходящих носителей, растворителей, разбавителей и средств доставки являются вода, этанол, полиспирты, а также их смеси, растительные масла (такие, как оливковое масло) и инъекционные органические сложные эфиры (такие, как этилолеат). Примерами наполнителей являются лактоза, молочный сахар, цитрат натрия, карбонат кальция, фосфат кальция и им подобные. Примерами измельчителей и распределяющих средств являются крахмал, альгиновая кислота и ее соли, силикаты. Примерами лубрикантов являются стеарат магния, лаурилсульфат натрия, тальк, а также полиэтиленгликоль с высоким молекулярным весом. Фармацевтическая композиция для перорального, сублингвального, трансдермального, внутримышечного, внутривенного, подкожного, местного или ректального введения активного начала, одного или в комбинации с другим активным началом, может быть введена животным и людям в стандартной форме введения в виде смеси с традиционными фармацевтическими носителями. Пригодные стандартные формы введения включают пероральные формы, такие как таблетки, желатиновые капсулы, пилюли, порошки, гранулы, жевательные резинки и пероральные растворы или суспензии, сублингвальные и трансбуккальные формы введения, аэрозоли, имплантаты, местные, трансдермальные, подкожные, внутримышечные, внутривенные, интраназальные или внутриглазные формы введения и ректальные формы введения. «Лекарственное средство (препарат)» - вещество (или смесь веществ в виде фармацевтической композиции) в виде таблеток, капсул, инъекций, мазей и др. готовых форм, предназначенное для восстановления, исправления или изменения физиологических функций у человека и животных, а также для лечения и профилактики болезней, диагностики, анестезии, контрацепции, косметологии и прочего. Термин «заболевание или нарушение, опосредованное PD-L1» подразумевает все заболевания или нарушения, которые либо прямо, либо косвенно связаны с PD-L1, включая этиологию, развитие, прогресс, персистентность или патологию заболевания или нарушения. «Лечить», «лечение» и «терапия» относятся к методу смягчения или устранения биологического расстройства и/или по меньшей мере одного из сопутствующих ему симптомов. Используемый в данном документе, чтобы «облегчить» болезнь, заболевание или состояние, означает уменьшение тяжести и/или частоты возникновения симптомов заболевания, расстройства или состояния. Кроме того, содержащиеся в данном документе ссылки на «лечение» включает ссылки на лечебную, паллиативную и профилактическую терапию. В одном аспекте субъект лечения или пациент является млекопитающим, предпочтительно человеческим субъектом. Вышеупомянутый субъект может быть мужского или женского возраста любого возраста. Термин "нарушение" означает любое состояние, которое можно улучшить в результате лечения по настоящему изобретению. В определение данного термина входят хронические и острые нарушения или заболевания, включающие в себя патологические состояния, которые вызывают предрасположенность млекопитающего к возникновению данного нарушения. Неограничивающие примеры подлежащих лечению заболеваний включают в себя доброкачественные и злокачественные опухоли; лейкозы и лимфоидные злокачественные новообразования, в частности рак молочной железы, яичника, желудка, эндометрия, слюнной железы, легкого, почки, ободочной кишки, щитовидной железы, поджелудочной железы, предстательной железы или мочевого пузыря; нейронные, глиальные, астроцитальные, гипоталамусные и другие гландулярные, макрофаговые, эпителиальные, стромальные и бластоцельные нарушения; воспалительные, ангиогенные и иммунологические нарушения. Предпочтительным подлежащим лечению нарушением согласно изобретению являются рак. Термины "рак" или "раковый" относятся к физиологическому состоянию или описывают физиологическое состояние у млекопитающих, которое, как правило, характеризуется нерегулируемым(/-ой) ростом/пролиферацией клеток. Это определение охватывает доброкачественные и злокачественные раковые заболевания. Примеры раковых заболеваний включают, но без ограничения, карциному, лимфому, бластому, саркому и лейкоз. Более конкретные примеры таких раковых заболеваний включают плоскоклеточный рак, мелкоклеточный рак легкого, немелкоклеточный рак легкого, аденокарциному легкого, плоскоклеточную карциному легкого, рак брюшины, печеночноклеточный рак, рак желудка, включая рак ЖКТ, рак поджелудочной железы, глиобластому, глиому, цервикальный рак, рак яичника, рак печени, рак мочевого пузыря, рак молочной железы, рак толстой кишки, колоректальный рак, карциному эндометрия и матки, карциному слюнных желез, рак почки (почечноклеточную карциному), рак предстательной железы (рак простаты), рак наружных женских половых органов, рак щитовидной железы, печеночную карциному, карциному анального канала, карциному пениса, меланому и различные типы рака головы и шеи. Термины «иммунный ответ», «аутоиммунная реакция», «аутоиммунное воспаление» относятся, например, к действию лимфоцитов, антиген-представляющих клеток, фагоцитирующих клеток, гранулоцитов и растворимых макромолекул, вырабатываемых указанными клетками или клетками печени (включая антитела, цитокины и комплемент, образующиеся в результате селективного повреждения, разрушения или элиминации из человеческого организма инвазивных патогенов, клеток или тканей, инфицированных патогенами, раковых клеток или, в случаях аутоиммунитета или патологического воспаления, нормальных человеческих клеток или тканей). «Терапевтически эффективным количеством» считается количество вводимого в процессе лечения терапевтического агента, которое избавит в определенной степени от одного или нескольких симптомов заболевания, по поводу которого проводится лечение. Понятие «хроническое» применение относится к непрерывному (продолжительному) применению агента(ов) в противоположность острому (кратковременному) пути введения, так чтобы поддерживать первоначальное терапевтическое действие (активность) в течение длительного периода времени. «Прерывистое» применение обозначает лечение, которое не осуществляют последовательно без перерывов, но которое скорее по своей природе является периодическим. В настоящем описании и в последующей формуле изобретения, если контекстом не предусмотрено иное, слова «иметь», «включать» и «содержать» или их вариации, такие как «имеет», «имеющий», «включает», «включающий», «содержит» или «содержащий», следует понимать как включение указанного целого или группы целых, но не исключение любого другого целого или группы целых. Подробное описание изобретения Антитело Настоящее изобретение относится к антителам или антигенсвязывающему фрагменту, которые связывают PD-L1 (лиганд 1 протеина программируемой смерти). В одном из вариантов осуществления настоящее изобретение относится к выделенному антителу или его антигенсвязывающему фрагменту, которые связывают PD-L1, и содержат: (a) вариабельную область тяжелой цепи, содержащую CDR3 с аминокислотной последовательностью по меньшей мере на 90%, 91%, 92%, 93%, 94%, 95%, 96%, 97%, 98% или 99% гомологичной или идентичной последовательности APLLLAMTFGVGS (SEQ ID NO: 3), и (b) вариабельную область легкой цепи, содержащую CDR3 с аминокислотной последовательностью по меньшей мере на 90%, 91%, 92%, 93%, 94%, 95%, 96%, 97%, 98% или 99% гомологичной или идентичной последовательности ALYMGNGGHM (SEQ ID NO:7). В одном из вариантов осуществления настоящее изобретение относится к выделенному антителу или его антигенсвязывающему фрагменту, которые связывают PD-L1, и содержат: (a) вариабельную область тяжелой цепи, содержащую CDR3 с аминокислотной последовательностью APLLLAMTFGVGS (SEQ ID NO: 3), и (b) вариабельную область легкой цепи, содержащую CDR3 с аминокислотной последовательностью ALYMGNGGHM (SEQ ID NO:7). В одном из вариантов осуществления настоящее изобретение относится к выделенному антителу или его антигенсвязывающему фрагменту, которые связывают PD-L1, и содержат: (a) вариабельную область тяжелой цепи, содержащую: (i) CDR1 с аминокислотной последовательностью по меньшей мере на 90%, 91%, 92%, 93%, 94%, 95%, 96%, 97%, 98% или 99% гомологичной или идентичной последовательности DYAMS (SEQ ID NO: 1), (ii) CDR2 с аминокислотной последовательностью по меньшей мере на 90%, 91%, 92%, 93%, 94%, 95%, 96%, 97%, 98% или 99% гомологичной или идентичной последовательности DISWSGSNTNYADSVKG (SEQ ID NO: 2), (iii) CDR3 с аминокислотной последовательностью по меньшей мере на 90%, 91%, 92%, 93%, 94%, 95%, 96%, 97%, 98% или 99% гомологичной или идентичной последовательности APLLLAMTFGVGS (SEQ ID NO: 3), и (b) вариабельную область легкой цепи, содержащую: (i) CDR1 с аминокислотной последовательностью по меньшей мере на 90%, 91%, 92%, 93%, 94%, 95%, 96%, 97%, 98% или 99% гомологичной или идентичной последовательности GLSSGTVTAINYPG (SEQ ID NO: 5), (ii) CDR2 с аминокислотной последовательностью по меньшей мере на 90%, 91%, 92%, 93%, 94%, 95%, 96%, 97%, 98% или 99% гомологичной или идентичной последовательности NTNTRHS (SEQ ID NO: 6), (iii) CDR3 с аминокислотной последовательностью по меньшей мере на 90%, 91%, 92%, 93%, 94%, 95%, 96%, 97%, 98% или 99% гомологичной или идентичной последовательности ALYMGNGGHM (SEQ ID NO:7). В одном из вариантов осуществления настоящее изобретение относится к выделенному антителу или его антигенсвязывающему фрагменту, которые связывают PD-L1, и содержат: (a) вариабельную область тяжелой цепи, содержащую: (i) CDR1 с аминокислотной последовательностью DYAMS (SEQ ID NO: 1), (ii) CDR2 с аминокислотной последовательностью DISWSGSNTNYADSVKG (SEQ ID NO: 2), (iii) CDR3 с аминокислотной последовательностью APLLLAMTFGVGS (SEQ ID NO: 3), и (b) вариабельную область легкой цепи, содержащую: (i) CDR1 с аминокислотной последовательностью GLSSGTVTAINYPG (SEQ ID NO: 5), (ii) CDR2 с аминокислотной последовательностью NTNTRHS (SEQ ID NO: 6), (iii) CDR3 с аминокислотной последовательностью ALYMGNGGHM (SEQ ID NO:7). В одном из вариантов осуществления настоящее изобретение относится к выделенному антителу или его антигенсвязывающему фрагменту, которые связывают PD-L1, и содержат: (a) вариабельную область тяжелой цепи с аминокислотной последовательностью по меньшей мере на 90%, 91%, 92%, 93%, 94%, 95%, 96%, 97%, 98% или 99% гомологичной или идентичной последовательности EVQLVESGGGVVRPGGSLRLSCAASGFTFDDYAMSWVRQAPGKGLEWVSDISWSGSNTNYADSVKGRFTISRDNAKNSLYLQMNSLRAEDTALYHCARAPLLLAMTFGVGSWGQGTLVTVSS (SEQ ID NO: 4), и (b) вариабельную область легкой цепи с аминокислотной последовательностью по меньшей мере на 90%, 91%, 92%, 93%, 94%, 95%, 96%, 97%, 98% или 99% гомологичной или идентичной последовательности QTVVTQEPSLSVSPGGTVTLTCGLSSGTVTAINYPGWYQQTPGQAPRTLIYNTNTRHSGVPDRFSGSISGNKAALTITGAQAEDEADYYCALYMGNGGHMFGGGTK (SEQ ID NO: 8). В одном из вариантов осуществления настоящее изобретение относится к выделенному антителу или его антигенсвязывающему фрагменту, которые связывают PD-L1, и содержат: (a) вариабельную область тяжелой цепи с аминокислотной последовательностью EVQLVESGGGVVRPGGSLRLSCAASGFTFDDYAMSWVRQAPGKGLEWVSDISWSGSNTNYADSVKGRFTISRDNAKNSLYLQMNSLRAEDTALYHCARAPLLLAMTFGVGSWGQGTLVTVSS (SEQ ID NO: 4), и (b) вариабельную область легкой цепи с аминокислотной последовательностью QTVVTQEPSLSVSPGGTVTLTCGLSSGTVTAINYPGWYQQTPGQAPRTLIYNTNTRHSGVPDRFSGSISGNKAALTITGAQAEDEADYYCALYMGNGGHMFGGGTK (SEQ ID NO: 8). В одном из вариантов осуществления настоящее изобретение относится к выделенному антителу, которое связывает PD-L1, и содержат: (a) тяжелую цепь с аминокислотной последовательностью по меньшей мере на 90%, 91%, 92%, 93%, 94%, 95%, 96%, 97%, 98% или 99% гомологичной или идентичной последовательности EVQLVESGGGVVRPGGSLRLSCAASGFTFDDYAMSWVRQAPGKGLEWVSDISWSGSNTNYADSVKGRFTISRDNAKNSLYLQMNSLRAEDTALYHCARAPLLLAMTFGVGSWGQGTLVTVSSASTKGPSVFPLAPSSKSTSGGTAALGCLVKDYFPEPVTVSWNSGALTSGVHTFPAVLQSSGLYSLSSVVTVPSSSLGTQTYICNVNHKPSNTKVDKRVEPKSCDKTHTCPPCPAPEAAGGPSVFLFPPKPKDTLMISRTPEVTCVVVDVSHEDPEVKFNWYVDGVEVHNAKTKPREEQYNSTYRVVSVLTVLHQDWLNGKEYKCKVSNKALPAPIEKTISKAKGQPREPQVYTLPPSRDELTKNQVSLTCLVKGFYPSDIAVEWESNGQPENNYKTTPPVLDSDGSFFLYSKLTVDKSRWQQGNVFSCSVMHEALHNHYTQKSLSLSPGK (SEQ ID NO: 9), и (b) легкую цепь с аминокислотной последовательностью по меньшей мере на 90%, 91%, 92%, 93%, 94%, 95%, 96%, 97%, 98% или 99% гомологичной или идентичной последовательности QTVVTQEPSLSVSPGGTVTLTCGLSSGTVTAINYPGWYQQTPGQAPRTLIYNTNTRHSGVPDRFSGSISGNKAALTITGAQAEDEADYYCALYMGNGGHMFGGGTKLTVLGQPKAAPSVTLFPPSSEELQANKATLVCLISDFYPGAVTVAWKADSSPVKAGVETTTPSKQSNNKYAASSYLSLTPEQWKSHRSYSCQVTHEGSTVEKTVAPTECS (SEQ ID NO: 10). В одном из вариантов осуществления настоящее изобретение относится к выделенному антителу, которое связывает PD-L1, и содержат: (a) тяжелую цепь с аминокислотной последовательностью EVQLVESGGGVVRPGGSLRLSCAASGFTFDDYAMSWVRQAPGKGLEWVSDISWSGSNTNYADSVKGRFTISRDNAKNSLYLQMNSLRAEDTALYHCARAPLLLAMTFGVGSWGQGTLVTVSSASTKGPSVFPLAPSSKSTSGGTAALGCLVKDYFPEPVTVSWNSGALTSGVHTFPAVLQSSGLYSLSSVVTVPSSSLGTQTYICNVNHKPSNTKVDKRVEPKSCDKTHTCPPCPAPEAAGGPSVFLFPPKPKDTLMISRTPEVTCVVVDVSHEDPEVKFNWYVDGVEVHNAKTKPREEQYNSTYRVVSVLTVLHQDWLNGKEYKCKVSNKALPAPIEKTISKAKGQPREPQVYTLPPSRDELTKNQVSLTCLVKGFYPSDIAVEWESNGQPENNYKTTPPVLDSDGSFFLYSKLTVDKSRWQQGNVFSCSVMHEALHNHYTQKSLSLSPGK (SEQ ID NO: 9), и (b) легкую цепь с аминокислотной последовательностью QTVVTQEPSLSVSPGGTVTLTCGLSSGTVTAINYPGWYQQTPGQAPRTLIYNTNTRHSGVPDRFSGSISGNKAALTITGAQAEDEADYYCALYMGNGGHMFGGGTKLTVLGQPKAAPSVTLFPPSSEELQANKATLVCLISDFYPGAVTVAWKADSSPVKAGVETTTPSKQSNNKYAASSYLSLTPEQWKSHRSYSCQVTHEGSTVEKTVAPTECS (SEQ ID NO: 10). В одном из вариантов осуществления настоящего изобретения выделенное антитело, которое связывает PD-L1, представляет собой моноклональное антитело. В одном из вариантов осуществления настоящего изобретения моноклональное антитело, которое связывает PD-L1, представляет собой полноразмерное антитело IgG. В одном из вариантов осуществления настоящего изобретения полноразмерное антитело IgG относится к изотипу IgG1, IgG2, IgG3, IgG4 человека. В одном из вариантов осуществления настоящего изобретения полноразмерное антитело IgG относится к изотипу IgG1. В одном из вариантов осуществления настоящего изобретения выделенное антитело представляет собой антитело BCD135, которое связывает PD-L1, и содержит вариабельную область тяжелой цепи, содержащую CDR3 с аминокислотной последовательностью SEQ ID NO: 3, и вариабельную область легкой цепи, содержащую CDR3 с аминокислотной последовательностью SEQ ID NO:7. В одном из вариантов осуществления настоящего изобретения выделенное антитело представляет собой антитело BCD135, которое связывает PD-L1, и содержит вариабельную область тяжелой цепи, содержащую CDR 1-3 с соответствующими аминокислотными последовательностями SEQ ID NO: 1-3, и вариабельную область легкой цепи, содержащую CDR 1-3 с соответствующими аминокислотными последовательностями SEQ ID NO: 5-7. В одном из вариантов осуществления настоящего изобретения выделенное антитело представляет собой антитело BCD135, которое связывает PD-L1, и содержит вариабельную область тяжелой цепи с аминокислотной последовательностью SEQ ID NO: 4 и вариабельную область легкой цепи с аминокислотной последовательностью SEQ ID NO: 8. В одном из вариантов осуществления настоящего изобретения выделенное антитело представляет собой антитело BCD135, которое связывает PD-L1, и содержит тяжелую цепь с аминокислотной последовательностью SEQ ID NO: 9 и легкую цепь с аминокислотной последовательностью SEQ ID NO: 10. Молекулы нуклеиновых кислот Настоящее изобретение также относится к молекулам нуклеиновых кислот, и последовательностям, кодирующим антитело к PD-L1 по данному изобретению, описанным в данном документе. В некоторых вариантах осуществления изобретения различные молекулы нуклеиновых кислот кодируют первый домен и второй домен аминокислотной последовательности антитела к PD-L1. Там, где первый домен и/или второй домен содержит тяжелую цепь и легкую цепь, в некоторых вариантах осуществления изобретения различные нуклеиновые кислоты кодируют тяжелую цепь и аминокислотные последовательности легкой цепи. В других вариантах осуществления изобретения та же молекула нуклеиновой кислоты кодирует последовательность тяжелой цепи и аминокислот легкой цепи. В определенных вариантах осуществления изобретения молекула нуклеиновой кислоты может кодировать любую комбинацию из аминокислотных последовательностей (например, последовательности тяжелой и легкой цепи) первого и второго домена. В конкретной варианте осуществления изобретения молекула нуклеиновой кислоты может кодировать аминокислотную последовательность первого связывающего домена и аминокислотную последовательность легкой цепи второго связывающего домена, необязательно включающей любую последовательность соединяющего их пептидного линкера. Ссылка на нуклеотидную последовательность, охватывает его комплимент, если не указано иное. Таким образом, ссылка на нуклеиновую кислоту, имеющую определенную последовательность следует понимать как охватывающие ее комплементарную цепь с ее комплементарной последовательностью. Термин «полинуклеотид», упоминаемое в данном документе, означает полимерную форму нуклеотидов, по меньшей мере 10 оснований в длину, либо рибонуклеотидов, либо дезоксинуклеотидов или модифицированную форму любого типа нуклеотида. Термин включает в себя одно- и двухцепочечные формы. Настоящее изобретение также относится к нуклеотидным последовательностям, которые по меньшей мере на 75%, 80%, 85%, 90%, 95%, 97%, 98% или 99% гомологичны или идентичны одной или нескольким нуклеотидным последовательностям, кодирующим аминокислотную последовательность, выбранную из группы, состоящую из SEQ ID NO: 1-3, 5-7. В определенных вариантах осуществления нуклеотидные последовательности по меньшей мере на 90%, 91%, 92%, 93%, 94%, 95%, 96%, 97%, 98% или 99% гомологичны или идентичны нуклеотидной последовательности, кодирующей аминокислотную последовательность SEQ ID NO: 4 или 8. Настоящее изобретение также относится к нуклеотидным последовательностям, которые по меньшей мере на 80%, 85%, 90%, 95%, 97%, 98% или 99% идентичны одной или нескольким из вышеупомянутых нуклеотидных последовательностей, кодирующих аминокислотную последовательность, выбранную из группы, состоящей из SEQ ID NO: 9-10. В одном из аспектов настоящее изобретение относится к молекуле нуклеиновой кислоты, содержащей нуклеотидную последовательность, которая кодирует аминокислотную последовательность, выбранную из SEQ ID NO: 1-10. Молекула нуклеиновой кислоты может также содержать любую комбинацию указанных нуклеотидных последовательностей. В одном варианте осуществления изобретения молекула нуклеиновой кислоты содержит нуклеотидную последовательность, кодирующую аминокислотную последовательность SEQ ID NO: 3 и нуклеотидную последовательность, кодирующую аминокислотную последовательность SEQ ID NO: 7. В другом варианте осуществления изобретения молекула нуклеиновой кислоты содержит нуклеотидные последовательности, кодирующие аминокислотную последовательность SEQ ID NO: 1-3 и нуклеотидные последовательности, кодирующие аминокислотную последовательность SEQ ID NO: 5-7. В одном варианте осуществления изобретения молекула нуклеиновой кислоты содержит нуклеотидную последовательность, кодирующую аминокислотную последовательность SEQ ID NO: 4 и нуклеотидную последовательность, кодирующую аминокислотную последовательность SEQ ID NO: 8. В одном варианте осуществления изобретения молекула нуклеиновой кислоты содержит нуклеотидную последовательность, кодирующую аминокислотную последовательность SEQ ID NO: 9 и нуклеотидную последовательность, кодирующую аминокислотную последовательность SEQ ID NO: 10. В любом из указанных выше вариантах осуществления изобретения молекулы нуклеиновых кислот могут быть выделенными. Молекула нуклеиновой кислоты по данному изобретению может быть выделена из любого источника, который продуцирует антитело к PD-L1 или ее часть. В определенных вариантах осуществления изобретения молекула нуклеиновой кислоты данному изобретению может быть синтезирована, а не выделена. В некоторых вариантах осуществления изобретения молекула нуклеиновой кислоты по данному изобретению может содержать нуклеотидную последовательность, кодирующую VH домен из первого или второго домена антитела к PD-L1 по данному изобретению, соединенного в рамках считывания с нуклеотидной последовательности, кодирующей константный домен тяжелой цепи из любого источника. Аналогичным образом, молекула нуклеиновой кислоты по данному изобретению может содержать нуклеотидную последовательность, кодирующую VL домен из первой или второй области антитела к PD-L1 по данному изобретению, объединенной в рамках считывания с нуклеотидной последовательностью, кодирующей константный домен легкой цепи из любого источника. В еще одном аспекте настоящего изобретения молекулы нуклеиновой кислоты, кодирующие вариабельный домен тяжелой (VH) и/или легкой (VL) цепей первого или второго связывающего домена, могут «преобразовываться» по всей длине генов антитела. В одном варианте осуществления изобретения молекулы нуклеиновых кислот, кодирующие домены VH или VL преобразуются в гены антитела по всей длине путем вставки в экспрессионный вектор, уже кодирующей константные домены тяжелой цепи (СН) или легкой цепи (CL), соответственно, так что VH сегмент функционально соединен с CH сегментом(-ами) в векторе и/или VL сегмент оперативно соединен с CL сегментом в векторе. В другом варианте осуществления изобретения молекулы нуклеиновых кислот, кодирующие VH и/или VL домены преобразуются в гены по всей длине антитела путем соединения, например, лигирования, молекулы нуклеиновой кислоты, кодирующей VH и/или VL домены, к молекуле нуклеиновой кислоты, кодирующей CH и/или CL домены с использованием стандартных молекулярно-биологических методов. Молекулы нуклеиновых кислот, кодирующие по всей длине тяжелую и/или легкую цепи, могут затем экспрессироваться из клетки, в которую они были введены. Молекулы нуклеиновой кислоты могут использоваться для экспрессии большого количества рекомбинантных антител к PD-L1. Молекулы нуклеиновой кислоты могут использоваться для получения человеческих антител, гуманизированных антител, химерных антител, биспецифических антител, одноцепочечных антител, иммуноадгезинов, диател, мутированных антител и производных антител, как описано в настоящем документе. Вектор В еще одном аспекте настоящее изобретение относится к вектору, подходящему для экспрессии любой из нуклеотидных последовательностей, описанных в настоящем документе. Настоящее изобретение относится к векторам, содержащим молекулы нуклеиновых кислот, которые кодируют любую из аминокислотных последовательностей антител к PD-L1 или их частей (например, последовательностей тяжелой цепи первого и/или тяжелой и/или легкой цепи второго связывающих доменов) как описано в настоящем документе. Настоящее изобретение далее относится к векторам, содержащим молекулы нуклеиновых кислот, кодирующих слитые белки, модифицированные антитела, фрагменты антител. В другом варианте осуществления изобретения молекулы нуклеиновых кислот и векторы могут быть использованы для изготовления мутировавших антител к PD-L1. Антитела могут мутировать в вариабельных доменах тяжелой и/или легкой цепей первого и/или тяжелой и/или легкой цепей второго связывающего домена, например, для изменения связывающей способности антител к PD-L1. Например, мутация может произойти в одном или нескольких CDR-участках, чтобы увеличить или уменьшить KD антител к PD-L1, чтобы увеличить или уменьшить koffили изменить специфичность связывания антитела в отношении к PD-L1. В другом варианте осуществления изобретения одной или более мутациям подвергнут аминокислотный остаток, который, как известно, изменен по сравнению с зародышевой линией в антителе, соответствующем первому или второму связывающему домену антитела к PD-L1 по данному изобретению. Эти мутации могут быть сделаны в CDR-участке или каркасном участке вариабельного домена, или в константном домене. В предпочтительном варианте осуществления изобретения мутации произведены в вариабельном домене. В другой варианте осуществления изобретения одной или нескольким мутациям подвергнут аминокислотный остаток, который, как известно, изменен по сравнению с зародышевой линией в CDR-участке или каркасном участке вариабельного домена антитела к PD-L1 по данному изобретению. В некоторых вариантах осуществления изобретения, антитела к PD-L1 по данному изобретению экспрессируются путем вставки ДНК, кодирующей частично или полностью последовательность первого и второго связывающего домена (например, последовательности тяжелой и легкой цепи, где связывающий домен содержит последовательности тяжелой и легкой цепи), полученный, как описано выше, в экспрессионных векторах таким образом, что гены функционально соединены с необходимыми последовательностями, контролирующими экспрессию, такими как транскрипционные и трансляционные контрольные последовательности. Экспрессионные векторы включают плазмиды, ретровирусы, аденовирусы, адено-ассоциированные вирусы (AAV), вирусы растений, такие как вирус мозаики цветной капусты, вирусы табачной мозаики, космиды, YAC, EBV полученные эписомы и тому подобное. Молекулы ДНК могут быть лигированы в вектор таким образом, что последовательности, контролирующие транскрипцию и трансляцию в векторе, выполняют предусмотренную функцию регуляции транскрипции и трансляции ДНК. Экспрессионный вектор и последовательности контроля экспрессии могут быть выбраны таким образом, чтобы быть совместимыми с используемой экспрессирующей клеткой-хозяином. Молекулы ДНК, кодирующие частично или по всей длине последовательности первого и второго связывающих доменов (например, последовательности тяжелой и легкой цепи, где связывающий домен содержит последовательность тяжелой и легкой цепи) могут быть введены в отдельные векторы. В одном варианте осуществления изобретения любая комбинация указанных выше молекул ДНК вводится в тот же экспрессионный вектор. Молекулы ДНК могут быть введены в экспрессионный вектор стандартными способами (например, лигированием комплементарных сайтов рестрикции на фрагменте гена антитела и вектора или лигированием тупых концов, если сайты рестрикции отсутствуют). Подходящим вектором является тот, который кодирует функционально законченные последовательности CH или CL человеческого иммуноглобулина с конструированием соответствующего места рестрикции так, что любая последовательность VH или VL может быть легко включена и экспрессирована, как описано выше. HC - и LC-кодирование генов в таких векторах может содержать интронные последовательности, что приводит к общему увеличению белковых продуктов антитела путем стабилизации соответствующей мРНК. Интронные последовательности находятся в окружении сплайс-донора и сплайс-акцептора сайтов, которые определяют, где будет происходить сплайсинг РНК. Расположение интронных последовательностей может быть либо в вариабельных или константных участках цепей антитела, или как в вариабельных, так и константных участках, когда используются несколько интронов. Прекращение полиаденилирования и транскрипции может произойти вниз по ходу сайта нативной хромосомы кодируемых участков. Рекомбинантный экспрессионный вектор также может кодировать сигнальный пептид, который облегчает выработку цепочки антитела клеткой-хозяином. Ген цепочки антитела может быть клонирован в вектор таким образом, что сигнальный пептид соединен с рамкой считывания аминоконца цепи иммуноглобулина. Сигнальным пептидом может быть сигнальный пептид иммуноглобулина или гетерологичный сигнальный пептид (то есть, сигнальный пептид белка не иммуноглобулиновой природы). Помимо цепочки генов антител, рекомбинантная экспрессия векторов по данному изобретению может нести регулирующие последовательности, которые контролируют экспрессию генов цепи антител в клетке-хозяине. Специалистам в этой области будет понятно, что дизайн экспрессионного вектора, включая выбор регулирующих последовательностей, может зависеть от таких факторов, как селекция клетки-хозяина для трансформации, уровень экспрессии желаемого белка, и т.д. Предпочтительные регулирующие последовательности для экспрессирующей клетки-хозяина млекопитающих включают вирусные элементы обеспечивающие высокий уровень экспрессии белков в клетках млекопитающих, таких как промотеры и/или энхансеры полученные из ретровирусной LTR, цитомегаловируса (CMV) (например, CMV промотера/энхансера), обезьяньего вируса 40 (SV40) (например, SV40 промотера/энхансера), аденовируса, (например, аденовирус большого позднего промотора (AdMLP)), вирус полиомы, а также сильных промотеров млекопитающих, таких как нативный иммуноглобулин и актин промотеров. Для дальнейшего описания вирусных регулирующих элементов и их последовательностей см., например, патенты США 5,168,062, 4,510,245 и 4,968,615. Способы экспрессии связывающих молекул, таких как антитела растений, в том числе описание промотеров и векторов, а также трансформация растений, известны в данной области техники. См., например, патент США 6,517,529. Методы экспрессии полипептидов в бактериальных клетках или клетках грибов, например, дрожжевых клетках, также хорошо известны в данной области техники. В дополнение к генам цепи антитела и регулирующим последовательностям, рекомбинантные векторы экспрессии изобретения могут нести дополнительные последовательности, такие как последовательности, которые регулируют репликацию вектора в клетках-хозяевах (например, точки начала репликации) и гены селектируемого маркера. Ген селектируемого маркера облегчает селекцию клеток-хозяев, в которые был введен вектор (см., например, патенты США 4,399,216, 4,634,665 и 5,179,017). Например, обычно ген селектируемого маркера придает устойчивость к лекарственным средствам, таким как G418, гигромицин или метотрексат, клетке-хозяину, в которую вектор введен. Например, гены селектируемого маркера включают ген дигидрофолат редуктазы (DHFR) (для использования в dhfr-клетках-хозяевах при селекции/амплификации метотрексата), ген нео (для селекции G418) и ген синтетазы глутамата. Термин «последовательность контроля экспрессии», используемый в данном описании, означает полинуклеотидные последовательности, которые необходимы для воздействия на экспрессию и процессинг кодирующих последовательностей, к которым они лигированы. Контролирующие экспрессию последовательности включают соответствующие последовательности инициации транскрипции, терминации, промотора и энхансера; эффективные сигналы процессинга РНК, такие как сплайсинг и сигналы полиаденилирования; последовательности, которые стабилизируют цитоплазматическую мРНК; последовательности, которые повышают эффективность трансляции (т.е. консенсусная последовательность Козака); последовательности, которые повышают стабильность белка; и, при желании, последовательности, которые усиливают секрецию белка. Характер таких контролирующих последовательностей различается в зависимости от организма-хозяина; в прокариотах такие контролирующие последовательности, как правило, включают промотер рибосомального сайта связывания, а также последовательности терминации транскрипции; в эукариотах, как правило, такие контролирующие последовательности включают промотеры и последовательности терминации транскрипции. Термин «контролирующие последовательности» включает, как минимум, все компоненты, наличие которых имеет важное значение для экспрессии и процессинга, и может также включать дополнительные компоненты, чье присутствие является полезным, например, лидирующие последовательности и последовательности слившихся клеток. Клетки-хозяева Дополнительный аспект настоящего изобретения относится к способам получения антител к PD-L1 по данному изобретению. Один вариант осуществления изобретения относится к способу получения антител к PD-L1, как определено в настоящем документе, содержащему получение рекомбинантной клетки-хозяина, способной экспрессировать антитело к PD-L1, культивирование указанной клетки-хозяина в условиях, подходящих для продукции антитела к PD-L1, и выделение полученного антитела к PD-L1. Антитело к PD-L1, полученное такой экспрессией в таких рекомбинантных клетках-хозяевах упоминается в данном документе как «рекомбинантные антитела к PD-L1». Изобретение также относится к потомству клеток таких клеток-хозяев и антителам к PD-L1, получаемым аналогично. Молекулы нуклеиновой кислоты, кодирующие антитела к PD-L1 по изобретению и векторы, содержащие эти молекулы нуклеиновой кислоты, могут быть использованы для трансфекции подходящего млекопитающего или его клетки, растения или его клетки, бактериальной или дрожжевой клетки-хозяина. Преобразование может происходить любым известным способом для введения полинуклеотидов в клетку-хозяина. Способы введения гетерологичных полинуклеотидов в клетки млекопитающих хорошо известны в данной области и включают декстран-опосредованную трансфекцию, трансфекцию комплексом нуклеиновой кислоты и позитивно заряженного полимера, трансфекцию преципитатом нуклеиновой кислоты и фосфата кальция, полибрен-опосредованную трансфекцию, слияние протопластов, трансфекцию инкапсулированными в липосомы полинуклеотидами и прямую микроинъекцию ДНК в ядра. В дополнение, молекулы нуклеиновых кислот могут быть введены в клетки млекопитающих вирусными векторами. Способы трансфекции клеток хорошо известны в данной области техники. См., например, патенты США, 4,399,216, 4,912,040, 4,740,461 и 4,959,455. Способы трансформации клеток растений хорошо известны в данной области, включая, например, Agrobacterium-опосредованную трансформацию, биолистическую трансформацию, прямую инъекцию, электропорацию и вирусную трансформацию. Методы трансформации клеток бактерий и дрожжей также хорошо известны в данной области. Клеточные линии млекопитающих, используемые в качестве хозяев для трансформации, хорошо известны в данной области и включают множество иммортализованных доступных клеточных линий. К ним относятся, в частности, клетки яичников китайского хомячка (CHO), NS0 клетки, клетки SP2, HEK-293T клетки, 293 Фристайл клетки (Invitrogen), NIH-3T3 клетки, клетки HeLa, клетки почек хомячка (BHK), клетки почек африканских зеленых мартышек (COS), клетки гепатоцеллюлярной карциномы человека (например, Hep G2), A549 клетки и ряд других клеточных линий. Клеточные линии выбираются путем определения, какие клеточные линии имеют высокие уровни экспрессии и обеспечивают необходимые характеристики продуцируемого белка. Другими клеточными линиями, которые могут быть использованы, являются клеточные линии насекомых, такие как Sf9 или Sf21 клетки. Когда векторы рекомбинантной экспрессии, кодирующие антитела к PD-L1, вводятся в клетки-хозяева млекопитающих, антитела продуцируются путем культивирования клеток-хозяев в течение времени, достаточного для экспрессии антител в клетках-хозяевах или, предпочтительнее, выделения антител в питательную среду, в которой выращиваются клетки-хозяева. Антитела к PD-L1 могут быть выделены из питательной среды с использованием стандартных методов очистки белка. Клетки-хозяева растений, например, включают Nicotiana, Arabidopsis, ряску, кукурузу, пшеницу, картофель и т.д. Клетки бактерий хозяина включают виды E. coli и Streptomyces. Дрожжевые клетки-хозяева включают Schizosaccharomyces pombe, Saccharomyces cerevisiae и Pichia pastoris. Кроме того, уровень продукции антител к PD-L1 по данному изобретению из продуцирующей клеточной линии можно усилить с помощью ряда известных методов. Например, система экспрессии гена глутамин синтетазы (система GS) является достаточно распространенной для усиления экспрессии при определенных условиях. Система GS обсуждается в целом или частично в связи с патентами ЕР 0216846, 0256055, 0323997 и 0338841. Вполне вероятно, что антитела к PD-L1 различных клеточных линий или трансгенные животные будут отличаться друг от друга профилем гликозилирования. Однако все антитела к PD-L1, кодируемые молекулами нуклеиновой кислоты, описанными в данном документе, или содержащими аминокислотные последовательности, приведенные в настоящем документе, являются частью данного изобретения, независимо от состояния гликозилирования связывающих молекул и в целом, независимо от наличия или отсутствия пост-трансляционных модификаций. Получение антител Изобретение относится также к способам и процессам получения антител к PD-L1 и их антигенсвязывающих фрагментов. Моноклональные антитела Моноклональные антитела можно создавать, например, с помощью метода на основе гибридом, который впервые описан Kohler и др., Nature, 256, 1975, с. 495, или с помощью методов рекомбинантной ДНК (US 4816567). При использовании метода на основе гибридом мышь или другое пригодное животное-хозяин, такое как хомячок, иммунизируют согласно описанной выше методике, для того, чтобы вызывать образование лимфоцитов, которые продуцируют или могут продуцировать антитела, обладающие способностью специфически связываться с белком, применяемым для иммунизации. Согласно другому варианту лимфоциты можно получать в результате иммунизации in vitro. После иммунизации лимфоциты выделяют и затем сливают с клеточной линией миеломы с помощью приемлемого связывающего агента, такого как полиэтиленгликоль, с получением клетки гибридомы (Goding, Monoclonal Antibodies: Principles and Practice, изд-во Academic Press, 1986, cc. 59-103). Полученные таким образом клетки гибридомы высевают и выращивают в пригодной культуральной среде, которая предпочтительно содержит одно или несколько веществ, ингибирующих рост или выживание неслитых родительских клеток миеломы. Например, если родительские клетки миеломы не содержат фермента гипоксантингуанинфосфорибозилтрансферазы (HGPRT или HPRT), то культуральная среда для гибридом, как правило, должна включать гипоксантин, аминоптерин и тимидин (НАТ-среда), т.е. вещества, которые препятствуют росту клеток с дефицитом HGPRT. Предпочтительными применяемые в качестве компонента для слияния клетками миеломы являются клетки, которые легко поддаются слиянию, поддерживают стабильный высокий уровень производства антител выбранными продуцирующими антитела клетками и чувствительны к избирательной среде, на которой происходит отбор несвязанных родительских клеток. Предпочтительными линиями клеток миелом являются линии мышиной миеломы, такие как созданные на основе мышиных линий опухолевых клеток линии МОРС-21 и МРС-11, которые можно получать из Salk Institite Cell Disrtibution Center, Сан-Диего, шт. Калифорния, США, и линии SP-2 или Х63- Ag8-653, которые можно получать из Американской коллекции типовых культур, Роквилл, шт. Мэриленд, США. Описано также применение линий клеток человеческой миеломы и гетеромиеломы типа «мышь-человек» для производства моноклональных антител (Kozbor, J. Immunol., 133, 1984, с. 3001; и Brodeur и др., Monoclonal Antibody Production Techniques and Applications, изд-во Marcel Dekker Inc., Нью-Йорк, 1987, cc. 51-63). Предпочтительно специфичность связывания моноклональных антител, полученных с использованием клеток гибридомы, определяют методом иммунопреципитации или с помощью анализа связывания in vitro, такого как радиоиммунный анализ (РИА) или твердофазный имммуноферментный анализ (ELISA). Аффинность связывания моноклонального антитела можно, например, определять с помощью Скэтчард-анализа, описанного у Munson и др., Anal. Biochem., 107, 1980, с. 220. После выявления клеток гибридомы, которые продуцируют антитела требуемой специфичности, аффинности и/или активности, клоны можно субклонировать с помощью метода лимитирующих разведений и выращивать стандартными методами (Goding, Monoclonal Antibodies: Principles and Practice, изд-во Academic Press, 1986, cc. 59-103). Пригодные для этой цели среды включают, например, среду DMEM или RPMI-1640. Кроме того, клетки гидрибомы можно выращивать in vivo в виде асцитных опухолей в организме животных, например, путем внутрибрюшинной (i.p.) инъекции клеток мышам. Моноклональные антитела, секретируемые субклонами, можно отделять от культуральной среды, асцитной жидкости или сыворотки с помощью обычных методов очистки антител, например, аффинной хроматографией (например, с использованием протеин А- или протеин Q-сефарозы), или ионообменной хроматографии, хроматографии на гидроксилапатитах, гель-электрофореза, диализа и т.д. ДНК, кодирующую моноклональные антитела, можно легко выделять и секвенировать с помощью общепринятых процедур (например, с использованием олигонуклеотидных зондов, которые обладают способностью специфически связываться с генами, кодирующими тяжелые и легкие цепи мышиных антител). В качестве предпочтительного источника такой ДНК служат клетки гибридомы. После выделения ДНК можно включать в экспрессионные векторы, которыми затем трансфектируют клетки-хозяева, такие как клетки Е. coli, обезьяньи COS- клетки, клетки яичника китайского хомячка (СНО) или клетки миеломы, которые без трансфекции не продуцируют белок антитела, что приводит к синтезу моноклональных антител в рекомбинантных клетках-хозяевах. Обзор статей о рекомбинантной экспрессии в бактериях ДНК, кодирующей антитело, см. у Skerra и др., Curr. Opinion in Imunol., 5, 1993, cc. 256-262 и Pliickthun, Immunol. Revs. 130, 1992, cc. 151-188. Согласно еще одному варианту осуществления изобретения моноклональные антитела или фрагменты антител можно выделять из фаговых библиотек антител, созданных с помощью методов, описанных у McCafferty и др., Nature, 348, 1990, cc. 552-554 . У Clackson и др., Nature, 352, 1991, cc. 624- 628 и Marks и др., J. Mol. Biol., 222, 1991, cc. 581-597 описано выделение мышиных и человеческих антител соответственно с помощью фаговых библиотек. В последующих публикациях было описано производство высокоаффинных (нМ-диапазон) человеческих антител с помощью перестановки цепи (Marks и др., Bio/Technology, 10, 1992, cc. 779-783), а также комбинаторная инфекция и рекомбинация in vivo в качестве стратегии конструирования очень больших фаговых библиотек (Waterhouse и др., Nucl. Acids. Res., 21, 1991, cc. 2265-2266). Таким образом, эти методы представляют собой реальную альтернативу традиционным методам выделения моноклональных антител на основе гибридом моноклональных антител. ДНК, кодирующую антитело, можно также модифицировать, например таким образом, чтобы получать химерные или слитые полипептиды антител, например, путем замены последовательностей константных областей тяжелой и легкой цепи (Сн и CL) на гомологичные мышиные последовательности (US 4816567 и Morrison и др., Proc. Natl. Acad. Sci. USA: 81, 1984, с. 6851) или с помощью ковалентного связывания кодирующей последовательности иммуноглобулина со всей или с частью кодирующей последовательности полипептида, не относящегося к иммуноглобулинам (гетерологичного полипептида). Не относящиеся к иммуноглобулинам полипептидные последовательности можно заменять на константные области антитела или заменять на вариабельные области антигенсвязывающего центра антитела, создавая химерное бивалентное антитело, которое содержит один антигенсвязывающий центр, обладающий специфичностью в отношении антигена, и другой антигенсвязывающий центр, обладающий специфичностью в отношении другого антигена. Гуманизированные антитела Методы создания «гуманизированных» антител животных, кроме человека, известны в данной области. Предпочтительно гуманизированное антитело имеет один или несколько встроенных в него аминокислотных остатков, полученных из источника, отличного от человека. Эти полученные из источника, отличного от человека, аминокислотные остатки часто называют «импортными» остатками, поскольку их обычно получают из «импортной» вариабельной области. Гуманизацию в целом можно осуществлять согласно методу Winter с соавторами (Jones и др., Nature, 321, 1986, сс. 522-525; Riechmann и др., Nature, 332, 1988, сс. 323-327; Verhoeyen и др., Science, 239, 1988, сс. 1534-1536) путем замены последовательностей гипервариабельного участка на соответствующие последовательности человеческого антитела. Таким образом, «гуманизированные» антитела представляют собой химерные антитела (US 4816567), в которых участок, существенно меньший, чем интактная человеческая вариабельная область, заменен соответствующей последовательностью, полученной из видов кроме человека. На практике гуманизированные антитела представляют собой, как правило, человеческие антитела, в которых часть остатков гипервариабельного участка и возможно часть остатков FR заменены остатками из аналогичных участков антител грызунов. Выбор человеческих вариабельных областей как легкой, так и тяжелой цепи, предназначенных для получения гуманизированных антител, очень важен для снижения антигенности и НАМА-ответа (человеческое антимышиное антитело), когда антитело предназначено для лечения человека. Согласно так называемому методу «наилучшего подбора» последовательность вариабельной области антитела грызунов подвергают скринингу относительно полной библиотеки известных последовательностей человеческих вариабельных областей. Человеческую последовательность V-области, которая наиболее близка к последовательности из организма грызунов, идентифицируют и внутри нее выбирают человеческий каркасный участок (FR), пригодный для применения в гуманизированном антителе (Sims и др., J. Immunol., 151, 1993, с. 2296); Chothia и др., J. Mol. Biol., 196, 1987, с. 901). В другом методе используют определенный каркасный участок, полученный из консенсусной последовательности определенной подгруппы легких или тяжелых цепей всех человеческих антител. Один и тот же каркасный участок можно применять для нескольких различных гуманизированных антител (Carter и др., Proc. Natl. Acad. Sci. USA: 89, 1992, с. 4285; Presta и др., J. Immunol., 151, 1993, с. 2623). Также важно, чтобы антитела были гуманизированы с сохранением высокой связывающей способности к антигену и других важных биологических свойств. Для решения этой задачи согласно предпочтительному способу гуманизированные антитела получают с помощью анализа родительских последовательностей и различных гуманизированных продуктов с использованием умозрительных трехмерных моделей родительских и гуманизированных последовательностей. Трехмерные модели иммуноглобулинов общедоступны и хорошо известны специалистам в данной области. Известны компьютерные программы, которые иллюстрируют и отображают возможные трехмерные конформационные структуры выбранных перспективных последовательностей иммуноглобулинов. Изучение этих изображений позволяет осуществлять анализ возможной роли остатков в функции перспективной последовательности иммуноглобулина, т.е. анализ остатков, которые влияют на способность перспективного иммуноглобулина связываться с антигеном. Таким путем можно выбирать остатки в FR и объединять с реципиентными и импортными последовательностями для достижения требуемых характеристик антитела, таких как повышенная аффинность к антигену(ам)-мишени(ням). Как правило, остатки гипервариабельного участка оказывают непосредственное и наиболее существенное влияние на связывание антигена. Гуманизированное антитело может представлять собой фрагмент антитела, такой как Fab-фрагмент, необязательно конъюгированный с одним или несколькими цитотоксическим(ими) агентом(ами) для создания иммуноконъюгата. В альтернативном варианте гуманизированное антитело может представлять собой полноразмерное антитело, например, полноразмерное антитело в виде IgGl. Человеческие антитела и методика, основанная на применении фаговой дисплейной библиотеки В качестве альтернативы гуманизации можно получать человеческие антитела. Например, в настоящее время можно получать трансгенных животных (например мышей), которые после иммунизации могут продуцировать полный спектр человеческих антител без производства эндогенного иммуноглобулина. Например, было описано, что гомозиготная делеция областей стыка гена тяжелой цепи антитела (Jн-сегмента) в организме химерных мышей и мышей с мутацией в зародышевой линии приводит к полному ингибированию производства эндогенного антитела. Перенос набора зародышевой линии гена человеческого иммуноглобулина в такую мутантную зародышевую линию мышей приводит к производству человеческих антител после контрольного заражения антигеном (см., например, Jakobovis и др., Ргос. Natl. Acad. Sci. USA: 90, 1993, с. 2551; Jakobovis и др., Nature, 362, 1993, сс. 25-258; Bruggermann и др., Year in Immuno., 7, 1993, с. 33; и US 5545806, 5569825, 5591669 (все на имя фирмы GenPharm); 5545807; и WO 97/17852) В альтернативном варианте для получения человеческих антител и фрагментов антител in vitro из спектра генов вариабельной области (V) иммуноглобулина из организма иммунизированных доноров можно использовать фаговую дисплейную технологию (McCafferty и др., Nature, 348, 1990, сс. 552-553). Согласно этой методике гены V-области антитела клонируют в рамке считывания либо с основным, либо с минорным геном оболочечного белка нитчатого бактериофага, такого как М13 или fd, и презентируют в виде функциональных фрагментов антитела на поверхности фаговой частицы. Поскольку нитчатая частица содержит копию одноцепочечной ДНК фагового генома, селекции по признаку функциональных свойств антитела, также приводят к отбору гена, кодирующего антитело, которое обладает указанными свойствами. Таким образом, фаг имитирует некоторые свойства В-клетки. Фаговую презентацию можно осуществлять в различных форматах (обзор которых см., например Johnson Kevin S. и Chiswell David J., Current Opinion in Structural Biology, 3, 1993, cc. 564-571). Для фаговой презентации можно использовать различные источники сегментов V-генов. Clackson и др., Nature, 352, 1991, сс. 624-628 выделили различные наборы антител к оксазолону из небольшой произвольной комбинаторной библиотеки V-генов, полученной из селезенки иммунизированных мышей. Можно конструировать спектр V-генов, полученных из организма иммунизированных людей-доноров, и антитела к различному набору антигенов (включая аутоантигены) можно выделять в целом согласно методам, описанным у Marks и др., J. Mol. Biol., 222, 1991, cc. 581-597 или у Griffith и др., EMBO J., 12, 1993, сс. 725-734) (см. также US 5565323 и 5537905). Как описано выше, человеческие антитела могут продуцироваться также in vitro активированными В-клетками (см. US 5567610 и 5229275). Фрагменты антител В определенных обстоятельствах целесообразно применять фрагменты антител, а не полные антитела. Меньший размер фрагментов способствует их быстрому клиренсу и может способствовать лучшему проникновению в плотные опухоли. Для получения фрагментов антител разработаны различные методы. Традиционно эти фрагменты получали путем протеолитического расщепления интактных антител (см., например, Morimoto и др., Journal of Biochemical and Biophysical Methods, 24, 1992, cc. 107-117 и Brennan и др., Science, 229, 1985, с. 81). Однако в настоящее время эти фрагменты можно получать непосредственно с помощью рекомбинантных клеток-хозяев. Fab-, Fv- и scFv-фрагменты антител можно экспрессировать и секретировать из Е. coli, что позволяет облегчать производство больших количеств указанных фрагментов. Фрагменты антител можно выделять из описанных выше фаговых библиотек антител. Согласно другому варианту Fab'-SH-фрагменты можно непосредственно выделять из Е. coli и химически сшивать с получением F(ab')2-фрагментов (Carter и др., Bio/Technology, 10, 1992, сс. 163-167). Согласно другому подходу F(ab')2- фрагменты можно выделять непосредственно из культуры рекомбинантных клеток-хозяев. Fab- и F(ab')2-фрагмент с повышенным временем полужизни in vivo, в которых сохранены остатки эпитопсвязывающего рецептора, описаны в US 5869046.Специалистам в данной области должны быть очевидны другие методики получения фрагментов антител. В других вариантах осуществления изобретения выбранное антитело представляет собой одноцепочечный Fv- фрагмент (scFv) (см. WO 93/16185; US 5571894 и US США 5587458). Fv и sFv представляют собой единственные виды с интактными связывающими сайтами, лишенные константных областей; в результате их можно применять для пониженного неспецифического связывания при применении in vivo. Слитые белки, несущие sFv, можно конструировать для получения слияния эффекторного белка либо на N-, либо на С-конце sFv (см. Antibody Engineering, под ред. Borrebaeck, выше). Фрагмент антитела может представлять собой также «линейное антитело», например, описанное в US 5641870. Такие фрагменты линейного антитела могут быть моноспецифическими или биспецифическими. Биспецифические антитела Биспецифические антитела представляют собой антитела, которые обладают специфичностью к связыванию с двумя различными эпитопами. Например, биспецифические антитела могут связываться с двумя различными эпитопами белка PD-L1. Другие биспецифические антитела могут нести сайт связывания с PD-L1 в сочетании с сайтом связывания другого белка. Биспецифические антитела можно получать в виде полноразмерных антител или фрагментов антител (например, F(ab')2-фрагментов биспецифических антител). Методы создания биспецифических антител известны в данной области. Общепринятое получение полноразмерных биспецифических антител основано на совместной экспрессии двух пар тяжелых и легких цепей иммуноглобулина, где обе цепи имеют различную специфичность (Millstein и др., Nature, 305, 1983, сс. 537-539). Из-за случайного набора тяжелых и легких цепей иммуноглобулина, эти гибридомы (квадромы) потенциально могут продуцировать смесь из 10 различных молекул антител, из которых только одна имеет правильную биспецифическую структуру. Очистка правильной молекулы, которую обычно осуществляют в несколько стадий с помощью аффинной хроматографии, является довольно трудоемкой, а выход продукта - низким. Аналогичные процессы описаны в WO 93/08829 и у Traunecker и др., EMBO J., 10, 1991, cc. 3655-3659. Согласно другому подходу вариабельные области антитела с требуемой специфичностью связывания (антигенсвязывающие центры антитела) сливают с последовательностями константной области иммуноглобулина. Слияние предпочтительно осуществляют с константной областью тяжелой цепи Ig, которая включает по меньшей мере часть шарнирных СН2- и СН3-областей. Предпочтительно, чтобы по меньшей мере в одном из слияний присутствовала первая константная область тяжелой цепи (СН1), содержащая сайт, необходимый для связывания легкой цепи. ДНК, кодирующие слияния тяжелой цепи иммуноглобулина и при необходимости легкой цепи иммуноглобулина, встраивают в различные экспрессионные векторы и ими совместно трансфектируют приемлемый организм-хозяин. Это обеспечивает большую гибкость в подборе общих пропорций трех полипептидных фрагментов в вариантах, когда в конструкции используют неравные соотношения трех полипептидных цепей с целью оптимизации выходов. Однако можно также встраивать кодирующие последовательности в две или во все три полипептидные цепи в одном экспрессионном векторе, когда экспрессия по меньшей мере двух полипептидных цепей в равных пропорциях обеспечивает высокие выходы или когда соотношения не имеют решающего значения. В предпочтительном варианте осуществления указанного подхода биспецифические антитела представляют собой гибрид тяжелой цепи иммуноглобулина, обеспечивающий первую специфичность связывания в первом плече, и гибрид пары тяжелая цепь - легкая цепь иммуноглобулина (что обеспечивает вторую специфичность связывания) во втором плече. Было обнаружено, что эта асимметричная структура облегчает отделение требуемой биспецифической молекулы от нежелательных комбинаций цепей иммуноглобулинов, поскольку присутствие легкой цепи иммуноглобулина только в одной половине биспецифической молекулы облегчает разделение. Этот подход описан в WO 94/04690. Дополнительное подробное описание получения биспецифических антител см., например у Suresh и др., Methods in Enzymology, 121, 1986, c. 210. Согласно следующему подходу, описанному в патенте US 5731168, можно сконструировать область контакта между парой молекул антител с целью повышения до максимального уровня процентного содержания гетеродимеров, которые получают из культуры рекомбинантных клеток. Предпочтительная область контакта включает по меньшей мере часть СН3-области. Согласно этому методу одну или несколько небольших аминокислот с боковыми цепями из области контакта первой молекулы антитела заменяют на молекулы с более крупными боковыми цепями (например, на тирозин или триптофан). Уравновешивающие «полости», идентичные или близкие по размеру большой(им) боковой(ым) цепи(ям) создают в области контакта второй молекулы антитела путем замены аминокислот с крупными боковыми цепями на аминокислоты с более мелкими боковыми цепями (например, на аланин или треонин). Это обеспечивает механизм, способствующий повышению выхода гетеродимера относительно других нежелательных конечных продуктов, таких Биспецифические антитела включают перекрестносшитые антитела или «гетероконъюгаты». Например, одно из антител в гетероконъюгате может быть сшито с авидином, а другое с биотином. Такие антитела можно использовать, например, для направленного переноса клеток иммунной системы к нежелательным клеткам (US 4676980) и для лечения ВИЧ-инфекции (WO 91/00360, WO 92/200373 и ЕР 03089). Антитела-гетероконъюгаты можно создавать с помощью любого из обычных методов введения перекрестных сшивок. Приемлемые кросс-линкеры хорошо известны в данной области и описаны в US 4676980 наряду с различными методами введения перекрестных сшивок. Методы получения биспецифических антител из фрагментов антител также описаны в литературе. Например, биспецифические антитела можно получать с помощью химического связывания. Brennan и др., Science, 229, 1985, с. 81 описали методику, согласно которой интактные антитела подвергают протеолитическому расщеплению, получая F(ab')2-фрагменты. Эти фрагменты восстанавливают в присутствии агента, образующего комплексы с дитиолом, такого как арсенит натрия, для стабилизации соседних дитиолов и предупреждения образования межмолекулярных дисульфидных связей. Полученные Fab'-фрагменты затем превращают в тионитробензоатное (TNB) производное. Одно из Fab'-TNB-производных затем повторно превращают в Fab'-тиол путем восстановления меркаптоэтиламином и смешивают с эквимолярным количеством другого Fab'-TNB-производного, получая биспецифическое антитело. Полученные биспецифические антитела можно применять в качестве агентов для избирательной иммобилизации ферментов. Достигнутый в настоящее прогресс позволяет облегчать непосредственное выделение из Е. coli Fab'-SH-фрагментов, которые можно химически сшивать с образованием биспецифических антител. Shalaby и др., J. Exp. Med., 175, 1992, сс. 217-225 описали получение F(ab')2-фрагмента молекулы полностью гуманизированного биспецифического антитела. Каждый Fab'-фрагмент по отдельности секретировался из Е. coli и его подвергали непосредственному химическому связыванию in vitro с получением биспецифического антитела. Полученное таким образом биспецифическое антитело обладало способностью связываться с клетками, для которых характерна сверхэкспрессия рецептора ErbB2, и с обычными человеческими Т-клетками, а также стимулировать литическую активность человеческих цитотоксических лимфоцитов, мишенью которых является опухоль молочной железы человека. Описаны также различные методы получения и выделения фрагментов биспецифических антител непосредственно из культуры рекомбинантных клеток. Например, биспецифические антитела получали с помощью лейциновых «застежек-молний» (Kostelny и др., J. Immunol., 148(5), 1992, сс. 1547-1553). Пептиды лейциновых «застежек-молний» из белков Fos и Jun связывали с Fab'-фрагментами двух различных антител путем генного слияния. Гомодимеры антител восстанавливали в шарнирной области с получением мономеров, а затем путем повторного окисления получали гетеродимеры антител. Этот метод можно применять также для получения гомодимеров антител. Технология на основе «двойных антител», описанная Hollinger и др., Proc. Natl. Acad. Sci. USA, 90, 1993, сс. 6444-6448, представляет собой другой механизм получения фрагментов биспецифических антител. Фрагменты содержат VH-область, связанную с VL- областью линкером, который является слишком коротким, для того чтобы позволить произойти спариванию двух доменов одной и той же цепи. Таким образом, VH- и VL-области одного фрагмента должны спариваться с комплементарными VL- и VH-областями другого фрагмента, образуя тем самым два антигенсвязывающих центра. Описана также другая стратегия получения фрагментов биспецифических антител, основанная на применении одноцепочечных (Fv)- (sFv) димеров (см. Gruber и др., J. Immunol, 152, 1994, с. 5368). Под объем изобретения подпадают также антитела, имеющие более двух валентностей. Например, можно получать триспецифические антитела (Tutt и др., J. Immunol., 147, 1991, с. 60). Поливалентные антитела Поливалентное антитело может интернализоваться (и/или диссимилироваться) клеткой, экспрессирующей антиген, с которым связывается антитело, быстрее, чем бивалентное антитело. Антитела, предлагаемые в настоящем изобретении, могут представлять собой поливалентные антитела (отличные от класса IgM) с тремя или большим количеством антигенсвяызвающих центров (например, тетравалентные антитела), которые можно легко получать путем рекомбинантной экспрессии нуклеиновой кислоты, кодирующей полипептидные цепи антитела. Поливалентное антитело может содержать димеризованный домен и три или большее количество антигенсвязывающих центров. Предпочтительный димеризованный домен содержит (или состоит из) Fc-фрагмент или шарнирную область. В таком случае антитело должно содержать Fc-фрагмент и три или большее количество антигенсвязывающих центров, расположенных на N-конце относительно Fc- фрагмента. Согласно настоящему описанию предпочтительное поливалентное антитело содержит (или состоит из) от 3 до примерно 8, но предпочтительно 4, антигенсвязывающих центров. Поливалентное антитело содержит про меньшей мере одну полипептидную цепь (и предпочтительно две полипептидные цепи), при этом полипептидная(ые) цепь(и) содержит(ат) две или большее количество вариабельных областей. Например полипептидная(ые) цепь(и) может(ут) содержать VDl-(X1)n-VD2-(X2)n-Fc, где VD1 обозначает первую вариабельную область, VD2 обозначает вторую вариабельную область, Fc обозначает одну полипептидную цепь Fc-фрагмента, X1 и Х2 обозначают аминокислоту или полипептид и n обозначает 0 или 1. Например, полипептидная(ые) цепь(и) может(ут) содержать следующую цепь: VH-CH1-гибкий линкер-VH-CH1-Fc-фрагмент; или VH-CH1-VH-CH1-Fc-фрагмент. Поливалентное антитело, предлагаемое в настоящем изобретении, предпочтительно дополнительно содержит по меньшей мере 2 (и предпочтительно 4) полипептида вариабельной области легкой цепи. Поливалентное антитело, предлагаемое в настоящем изобретении, может, например, содержать от примерно 2 до примерно 8 полипептидов вариабельной области легкой цепи. В контексте настоящего описания подразумевается, что полипептиды вариабельной области легкой цепи содержат вариабельную область легкой цепи и необязательно дополнительно содержит CL-область. Фармацевтические композиции Другим аспектом изобретения является фармацевтическая композиция, содержащая в качестве активного ингредиента (или в качестве единственного активного ингредиента) антитело, которое специфично к PD-L1. Фармацевтическая композиция может включать любое антитело к PD-L1, как описано в данном документе. В некоторых вариантах осуществления изобретения композиции предназначены для улучшения, профилактики или лечения нарушений, которые могут быть связаны с активностью PD-L1. Как правило, антитела к PD-L1 по данному изобретению пригодны для применения в виде лекарственных форм в сочетании с одним или более фармацевтически приемлемым эксципиентом, например, как описано далее. Фармацевтические композиции по данному изобретению могут содержать по меньшей мере одно антитело к PD-L1 и одну или более дополнительных связывающих молекул (например, антител), которые нацелены на один или более соответствующих поверхностных рецепторов. Фармацевтическая композиция является «стерильной», если она асептична, т.е. свободная от микроорганизмов и их спор. Фармацевтическая композиция является «стабильной», если активный агент сохраняет свою физическую стабильность и/или химическую стабильность и/или биологическую активность в течении всего срока годности при температуре хранения, например, при температуре 2-8°С. Предпочтительно, чтобы активные агент сохранял и физическую и химическую стабильность, а также биологическую активность. Период хранения выбирается на основании результатов исследования стабильность при ускоренном и естественном хранении. Термин «эксципиент» используется в данном документе для описания любого ингредиента, отличающегося от соединения(-ий) по данному изобретению. Выбор инертного эксципиента будет в значительной степени зависеть от таких факторов, как конкретный способ введения, действие эксципиента на растворимость и стабильность и характер лекарственной формы. При использовании в данном документе «фармацевтически приемлемый эксципиент» включает все без исключения растворители, дисперсионные среды, покрытия, антибактериальные и противогрибковые агенты, изотонические и задерживающие абсорбцию агенты и подобные физиологически совместимые вещества. Некоторыми примерами фармацевтически приемлемых эксципиентов являются вода, физиологический раствор, фосфатный буфер, декстроза, глицерин, этанол и т.п., а также их комбинации. Во многих случаях будет предпочтительным включить в композицию изотонические агенты, например, сахара, полиспирты, такие как маннитол, сорбит, или хлорид натрия. Дополнительными примерами фармацевтически приемлемых веществ являются увлажняющие агенты или небольшое количество вспомогательных веществ, таких как увлажняющие или эмульгирующие вещества, консерванты или буферы, которые увеличивают продолжительность хранения или эффективность антитела. Под «буферным агентом» понимается раствор способный сохранять значение pH благодаря взаимодействию кислотных и щелочных компонентов, входящих в его состав. В общем случае, преимущественными являются значения рН фармацевтической композиции от 4,5 до 7,0. Примеры буферов, которые известны специалистам и могут быть найдены в литературе, включают, но не ограничиваются ими, гистидиновые, цитратные, сукцинатные, ацетатные, фосфатные, фосфатно-солевой, цитратно-фосфатный буферы, а также буферы на основе трометамина и тому подобное или их подходящие смеси. Под «изотоническими агентами» понимается вспомогательное вещество или смесь двух и более вспомогательных веществ, которые обеспечивают изотоническое осмотическое давление раствора. «Изотоническим» счетается раствор создающий осмотическое давление от примерно 250 до 350 мОсм/кг. В качестве изотоноческих агентов могут быть использованы полиолы, моно- и дисахара, аминокислоты, соли металлов, например, хлорид натрия, и т.п., но, не ограничиваясь ими. Термином "гипотоническая" характеризуют композицию с осмотическим давлением ниже осмотического давления крови человека. Соответственно, термин "гипертоническая" характеризует композицию с осмотическим давлением выше осмотического давления крови человека. Термин «поверхностно-активное вещество» (другое название сурфактант или детергент, или ПАВ) в том виде, как он здесь использован, относится к эксципиенту, который может изменять поверхностное натяжение жидкого препарата антитела. В определенных воплощениях данное поверхностно-активное вещество снижает поверхностное натяжение жидкого препарата антитела. В других воплощениях «поверхностно-активное вещество» может способствовать улучшению коллоидной стабильности или растворимости любого антитела в данном препарате. Поверхностно-активное вещество может снижать агрегацию приготовленного препарата антитела, и/или минимизировать образование частиц в данном препарате, и/или уменьшать адсорбцию. Поверхностно-активное вещество также может улучшать стабильность антитела во время, в том числе после замораживания/оттаивания и при встряхивании. Поверхностно-активные вещества могут быть ионными или неионными. Иллюстративные неионные поверхностно-активные вещества, которые можно включать в составы по настоящему изобретению, включают, например, алкилполи(этиленоксид), алкилполиглюкозиды (например, октилглюкозид и децилмальтозид), жирные спирты, такие как цетиловый спирт и олеиловый спирт, кокамид-MEA, кокамид-DEA и кокамид-TEA. Конкретные неионные поверхностно-активные вещества, которые можно включать в составы по настоящему изобретению, включают, например, полисорбаты, такие как полисорбат 20 (Tween 20), полисорбат 28, полисорбат 40, полисорбат 60, полисорбат 65, полисорбат 80 (Tween 80), полисорбат 81 и полисорбат 85; полоксамеры, такие как полоксамер 188 (Kolliphor P188), полоксамер 407; полиэтиленполипропиленгликоль или полиэтиленгликоль (PEG), сополимеры этилен- и пропиленгликоля (например, плюроники PF68 и т.д.). Под «стабилизатором» понимается вспомогательное вещество или смесь двух и более вспомогательных веществ, которые обеспечивают физическую и/или химическую стабильность активного агента. В качестве стабилизаторов могут быть использованы аминокислоты, например, аргинин, гистидин, глицин, лизин, глутамин, пролин, но, не ограничиваясь ими; поверхностно-активные вещества, например , полисорбат 20 (торговое наименование Tween 20), полисорбат 80 (торговое наименование Tween 80), полиэтилен-полипропилен гликоль и его кополимеры (торговые наименования Полоксамер (Poloxaner), Плуроник (Pluronic)), натрия додецилсульфат (SDS), но, не ограничиваясь ими; антиоксиданты, например, метионин, ацетилцистеин, аскорбиновая кислота, монотиоглицерол, соли серистых кислот, и т.п., но не ограничиваясь ими; хелатирующие агенты, например, ЭДТА, ДТПА, цитрат натрия и т.п., но не ограничиваясь ими. "Фармацевтически приемлемая кислота" включает неорганические и органические кислоты, которые являются нетоксичными в концентрации и форме, в которых они включены в состав. Например, к подходящим неорганическим кислотам относятся хлористоводородная, перхлорная, бромистоводородная, йодистоводородная, азотная, серная, сульфоновая, сульфаниловая, фосфорная, карбоновая и т. п. К подходящим органическим кислотам относятся линейные или разветвленные алкильные, ароматические, циклические, циклоалифатические, арилалифатические, гетероциклические, насыщенные, ненасыщенные, моно-, ди- и трикарбоновые кислоты, включая, например, муравьиную, уксусную, 2-гидроксиуксусную, трифтороуксусную, фенилуксусную, триметилуксусную, t-бутилуксусную, антраниловую, пропановую, 2- гидроксипропановую, 2-оксопропановую, малоновую, циклопентанпропионовую, 3- фенилпропионовую, бутановую, бутандиоевую, бензойную, 3-(4- гидроксибензоил)бензойную, 2-ацетоксибензойную, аскорбиновую, коричную, лаурилсерную, стеариновую, муконовую, миндальную, янтарную, эмбоновую, фумаровую, яблочную, малеиновую, гидроксималеиновую, малоновую, молочную, лимонную, виннокаменную, гликолевую, гликоновую, глюконовую, пировиноградную, глиоксаловую, щавелевую, мезиловую, янтарную, салициловую, фталевую, пальмовую, пальмеиновую, тиоциановую, метансульфоновую, этансульфоновую, 1,2- этандисульфоновую, 2-гидроксиэтансульфоновую, бензолсульфоновую, 4- хлоробензолсульфоновую, нафталин-2-сульфоновую, р-толуолсульфоновую, камфорсульфонов, 4-метилбицикло| 2.2.2]-окт-2-ен-1 -карбоновую, глюкогептоновую, 4,4'- 4,4'-метиленбис-3-(гидрокси-2-ен-1 -карбоновую), гидроксинафтоевую. "Фармацевтически приемлемые основания" включают неорганические и органические основания, которые являются нетоксичными в концентрации и форме, в которых они включены в состав. Например, пригодные основания включают основания, образованные образующими неорганическое основание металлами, такими как литий, натрий, калий, магний, кальций, аммоний, железо, цинк, медь, марганец, алюминий, N- метилглюкамин, морфолин, пиперидин, и органические нетоксические основания, включая первичные, вторичные и третичные амины, замещенные амины, циклические амины и основные ионообменные смолы [например, N(R')4+ (где R' независимо представляет собой Н или См алкил, например, аммоний, Tris)], например, изопропиламин, триметиламин, диэтиламин, триэтиламин, трипропиламин, этаноламин, 2-диэтиламиноэтанол, триметамин, дициклогексиламин, лизин, аргинин, гистидин, кофеин, прокаин, гидрабамин, холин, бетаин, этилендиамин, глюкозамин, метилглюкамин, теобромин, пурины, пиперазин, пиперидин, N-этилпиперидин, полиаминовые смолы и т.п. Особенно предпочтительными органическими нетоксическими основаниями являются изопропиламин, диэтиламин, этаноламин, триметамин, дициклогексиламин, холин и кофеин. Дополнительные фармацевтически приемлемые кислоты и основания, применимые с настоящим изобретением, включают кислоты и основания, которые образованы из аминокислот, например, гистидина, глицина, фенилаланина, аспарагиновой кислоты, глутаминовой кислоты, лизина и аспарагина. "Разбавитель", представляющий интерес согласно настоящему изобретению, представляет собой разбавитель, который является фармацевтически приемлемым (безопасным и нетоксичным для введения человеку) и пригодным для получения жидкой композиции, такой, как композиция, разбавленная после лиофилизации. Типичные разбавители включают воду, бактериостатическую воду для инъекций (BWFI), pH-буферный раствор (например, фосфатно-солевой буфер), стерильный физиологический раствор, раствор Рингера или раствор декстрозы. В альтернативном варианте воплощения разбавители могут включать водные растворы солей и/или буферов. "Консервант" представляет собой соединение, которое может добавляться к представленным в данном документе композициям для снижения бактериальной активности. Добавление консерванта может, например, облегчать получение композиции для многократного применения (с многократной дозой). Примеры потенциальных консервантов включают хлорид октадецилдиметилбензиламмония, хлорид гексаметония, хлорид бензалкония (смесь хлоридов алкилбензилдиметиламмония, в которых алкильные группы представляют собой соединения с длинной цепью) и хлорид бензэтония. Другие типы консервантов включают ароматические спирты, такие как фенол, бутиловый и бензиловый спирт, алкилпарабены, такие как метил- или пропилпарабен, катехол, резорцинол, циклогексанол, 3-пентанол и м-крезол. Наиболее предпочтительным консервантом, представленным в настоящем документе, является бензиловый спирт. Термин «лиофилизованный», используемый в настоящем документе, относится к препарату, который был подвергнут процессу, известному в данной области техники как сушка из замороженного состояния, включающему в себя замораживание препарата и последующее удаление льда из замороженного содержимого. Термин «аминокислота», используемый в настоящем документе, означает аминокислоту (свободную аминокислоту, т.е. не аминокислоту в пептиде или в белковой последовательности). Аминокислоты, используемые в настоящем изобретении, включают в себя, но не ограничиваются ими, например, аргинин, глицин, лизин, гистидин, глутаминовую кислоту, аспарагиновую кислоту, изолейцин, лейцин, аланин, фенилаланин, триптофан, серин, цистеин, метионин и пролин. Фармацевтические композиции по настоящему изобретению и способы их изготовления будут бесспорно очевидными для специалистов в этой области. Такие композиции и способы их изготовления можно найти, например, в Remington, The Science and Practice of Pharmacy, 21th Edition, Troy, Beringer., Lippincott Williams and Wilkins., Philadelphia, PA 2006. Производство фармацевтических композиций предпочтительно должно соответствовать требованиям GMP (надлежащей производственной практики). Фармацевтическая композиция по данному изобретению может изготавливаться, упаковываться или широко продаваться, в виде единичной стандартной дозы или множества единичных стандартных доз. Используемый в данном документе термин «единичная стандартная доза» означает дискретное количество фармацевтической композиции, содержащего заранее определенное количество активного ингредиента. Количество активного ингредиента обычно равно дозировке активного ингредиента, который будет вводиться субъекту, или удобной части такой дозировки, например, половине или трети такой дозировки. Любой способ введения пептидов, белков или антител, принятый в данной области, может соответствующим образом использоваться для антитела к PD-L1 по данному изобретению. Фармацевтические композиции по настоящему изобретению, как правило, пригодны для парентерального введения. Используемый в данном документе термин «парентеральное введение» фармацевтической композиции включает любой способ введения, для которого характерно физическое нарушение целостности ткани субъекта и введение фармацевтической композиции через нарушение в ткани, что обычно приводит к прямому попаданию в кровоток, в мышцу или во внутренний орган. Таким образом, парентеральное введение включает, помимо прочего, введение фармацевтической композиции путем инъекции композиции посредством введения композиции через хирургический разрез, путем нанесения композиции с помощью проникающей в ткани нехирургической раны и т.п. В частности, предполагается, что парентеральное введение включает, помимо прочего, подкожную, внутрибрюшинную, внутримышечную, внутривенную, внутриартериальную, интратекальную, внутрижелудочковую, интрауретральную, внутричерепную, внутрисуставнную инъекцию или инфузии; и почечные диализные инфузионные методики. Внутриопухолевая доставка, например, внутриопухолевая инъекция, также может оказаться полезной. Также предусмотрена региональная перфузия. Предпочтительные варианты осуществления изобретения включают внутривенный и подкожный пути. Лекарственные формы фармацевтических композиций, подходящие для парентерального введения, обычно содержат активный ингредиент в сочетании с фармацевтически приемлемым носителем/эксципиентом, например, стерильной водой или стерильным изотоническим раствором. Такие лекарственные формы могут быть изготовлены, упакованы или проданы в форме, подходящей для болюсного введения или для непрерывного введения. Инъекционные лекарственные формы могут быть изготовлены, упакованы или проданы в стандартной лекарственной форме, например, в ампулах, или в многодозовых контейнерах, содержащих консервант. Лекарственные формы для парентерального введения включают, помимо прочего, суспензии, растворы, эмульсии в масляных или водных основах, пасты и тому подобное. Такие лекарственные формы могут также содержать один или более дополнительных ингредиентов, включая, помимо прочего, суспендирующие, стабилизирующие или диспергирующие агенты. В одном варианте осуществления изобретения композиции для парентерального введения активный ингредиент предоставляется в сухой форме (то есть, порошок или гранулы) для растворения с подходящей основой (например, стерильная апирогенная вода) до парентерального введения восстановленного состава. Парентеральные лекарственные формы и также включают водные растворы, которые могут содержать наполнители, такие как соли, углеводы и буферные агенты (предпочтительно рН от 3 до 9, еще более предпочтительно рН от 4,5 до 7), но для некоторых видов применения более подходящей лекарственной формой может являться стерильный неводный раствор или сухая форма для использования в сочетании с подходящей основой, такой как стерильная апирогенная вода. Примером формы для парентерального введения являются растворы или взвеси в стерильных водных растворах, например, водные растворы пропиленгликоля или декстрозы. Такие лекарственные формы при необходимости могут быть буферными. Другие подходящие лекарственные формы для парентерального введения могут включать те, которые содержат активный ингредиент в микрокристаллической форме или в липосомальном препарате. Лекарственные формы для парентерального введения могут быть выполнены для немедленного и/или модифицированного высвобождения. Лекарственные формы с модифицированным высвобождением включают отсроченное, замедленное, пульсирующее, контролируемое, нацеленное и программируемое высвобождение. Например, в одном из аспектов стерильные растворы для инъекций могут быть получены путем включения антитела к PD-L1 в необходимом количестве в соответствующий растворитель с одним или комбинацией ингредиентов, перечисленных выше, по мере необходимости, с последующей фильтрационной стерилизацией. Обычно дисперсии получают введением активного соединения в стерильный растворитель, который содержит основную дисперсионную среду и другие необходимые ингредиенты из перечисленных выше. В случае стерильных порошков для получения стерильных инъекционных растворов, способы получения представляют собой сушку вымораживанием (лиофилизацию), которая дает порошок активного ингредиента плюс любой дополнительный желательный ингредиент из его предварительно стерилизованного фильтрацией раствора. Надлежащая текучесть раствора может поддерживаться, например, применением материалов покрытия, таких как лецитин, поддержанием необходимого размера частиц в случае дисперсий и применением поверхностно-активных веществ. Пролонгированное всасывание инъекционных композиций может быть осуществлено путем включения в композицию агента, который задерживает абсорбцию, например, моностеараты и желатин, и/или путем покрытий с модифицированным высвобождением (например, покрытий с медленным высвобождением). Антитело к PD-L1 по данному изобретению могут также вводиться интраназально или ингаляционно, обычно в форме сухого порошка (самостоятельно, в виде смеси или в виде частиц со смешанными компонентами, например, смешанными с подходящим фармацевтически приемлемым наполнителем) из ингалятора с сухим порошком, такого как аэрозольный контейнер под давлением, помпа, спрей, распылитель (предпочтительно распылитель, в котором использован принцип электрогидродинамики для получения мелкодисперсного тумана) или небулайзер, в котором используется или не используется подходящий пропеллент, или в виде назальных капель. Контейнер под давлением, помпа, спрей, распылитель или небулайзер обычно содержит раствор или суспензию связывающей молекулы по данному изобретению, включая, например, подходящее вещество для диспергирования, растворения или продления высвобождения активного вещества, пропеллент в качестве растворителя. До использования в виде сухого порошка или суспензии, лекарственный препарат обычно микронизируют до размера подходящего для доставки путем ингаляции (обычно менее 5 микрон). Этого можно достичь любым подходящим способом измельчения, таким как размол на спиральной струйной мельнице, размол на струйной мельнице с кипящим слоем, сверхкритическая очистка жидкости для формирования наночастиц, гомогенизация высоким давлением или распылительная сушка. Капсулы, блистеры и картриджи для использования в ингаляторе или инсуфляторе могут выполнены так, чтобы содержать порошковую смесь соединения по данному изобретению, подходящей порошковой основы и модификатор активности. Подходящая формула раствора для использования в распылителе, в котором использован принцип электрогидродинамики для получения мелкодисперсного тумана, может содержать подходящую дозу антитела к PD-L1 по данному изобретению на одно нажатие, и объем на нажатие может варьироваться, например, от 1 мкл до 200 мкл, более предпочтительно от 1 мкл до 100 мкл. В лекарственные формы по данному изобретения, предназначенные для ингаляции/интраназального введения, могут быть добавлены подходящие ароматизаторы, такие как ментол и левоментол, или подсластители, такие как сахарин или натрия сахарин. Лекарственные формы для парентерального введения могут быть выполнены для немедленного и/или модифицированного высвобождения. Лекарственные формы с модифицированным высвобождением включают отсроченное, замедленное, пульсирующее, контролируемое, нацеленное и программируемое высвобождение. В случае порошковых ингаляторов и аэрозолей, единица дозирования устанавливается посредством клапана, который доставляет отмеренное количество. Единицы в соответствии с данным изобретением обычно устанавливают для введения отмеренной дозы или «впрыска» связывающей молекулы по данному изобретению. Общая суточная доза будет обычно вводиться в виде однократной дозы или еще чаще - в виде разделенных доз в течение суток. Антитело к PD-L1 по данному изобретению также могут быть выполнены в лекарственной форме для перорального введения. Пероральное введение может включать глотание, так что соединение поступает в желудочно-кишечный тракт и/или буккально, лингвально или сублингвально поступает в кровоток непосредственно из полости рта. Лекарственные формы, пригодные для перорального введения, включают твердые, полутвердые и жидкие системы, такие как таблетки; мягкие или твердые капсулы, содержащие мульти- или наночастицы, жидкости или порошки; пастилки (включая заполненные жидкостью); жевательные формы; гели; быстро растворимые лекарственные формы; пленки; суппозитории; спреи; и щечные/мукоадгезивные пластыри. Жидкие лекарственные формы включают суспензии, растворы, сиропы и эликсиры. Такие лекарственные формы могут быть использованы как наполнители в мягких или жестких капсулах (например, из желатина или гидроксипропилметилцеллюлозы) и обычно содержат носитель, например, воду, этанол, полиэтиленгликоль, пропиленгликоль, метилцеллюлозу или подходящее масло и один или более эмульгаторов и/или суспендирующих агентов. Жидкие лекарственные формы могут быть также изготовлены путем восстановления твердого вещества, например, из саше. Терапевтическое применение антитела к PD-L1 по данному изобретению В одном аспекте антитело к PD-L1 по данному изобретению применяется в лечении заболеваний и нарушений, которые связаны с активностью PD-L1, например заболевание или нарушение выбрано из группы: ПРГШ (плоскоклеточный рак головы и шеи), рак шейки матки, рак без выявленного первоисточника, глиобластома, рак пищевода, рак мочевого пузыря, ТНРМЖ (трижды негативный рак молочной железы), КРР (колоректальный рак), гепатоцеллюлярная карцинома, меланома, НМРЛ (Немелкоклеточный рак легкого), рак почки, рак яичника, лимфома Ходжкина, MSI КРР (Колоректальный рак с высокой микросателлитной нестабильностью). В одном аспекте субъект лечения или пациент является млекопитающим, предпочтительно человеческим субъектом. Вышеупомянутый субъект может быть мужского или женского пола и любого возраста. В случае опухоли (например, раковой опухоли) терапевтически эффективное количество антитела или фрагмента антитела (например, антитела или фрагмента антитела, которое специфически связывает к PD-L1) может уменьшать число раковых клеток; уменьшать начальный размер опухоли; ингибировать (т.е. до некоторой степени замедлять и, предпочтительно, прекращать) инфильтрацию раковыми клетками периферических органов; ингибировать (т.е. до некоторой степени замедлять и, предпочтительно, прекращать) метастазирование опухоли; ингибировать, до некоторой степени, рост опухоли; и/или облегчать, до некоторой степени, один или более симптомов, обусловленных расстройством. Антитело или фрагмент антитела может, до некоторой степени, предупреждать рост и/или убивать имеющиеся раковые клетки, оно может вызывать цитостатический и/или цитотоксический эффект. При терапии рака эффективность in vivo можно определять, например, оценивая продолжительность жизни, время до прогрессирования заболевания (ТТР), частоту ответа опухоли на лечение (RR), продолжительность ответа и/или качество жизни. Используемые в данном документе термины «совместное назначение», «совместно назначенный» и «в сочетании с» относящиеся антителу к PD-L1 с одним или более другими терапевтическими агентами, как предполагается, означают, ссылаются или включают: 1) одновременное введение такой комбинации антитела к PD-L1 по данному изобретению и терапевтического агента пациенту, который нуждается в лечении, когда такие компоненты сформулированы вместе в одной лекарственной форме, из которой указанные компоненты высвобождаются практически одновременно указанному пациенту, 2) одновременное введение такой комбинации антитела к PD-L1 по данному изобретению и терапевтического агента пациенту, который нуждается в лечении, когда такие компоненты сформулированы отдельно в разных лекарственных формах, введение которых происходит практически в одно и то же время указанному пациенту, после чего указанные компоненты высвобождаются практически одновременно указанному пациенту, 3) последовательное введение такой комбинации антитела к PD-L1 по данному изобретению и терапевтического агента пациенту, который нуждается в лечении, когда такие компоненты сформулированы отдельно друг от друга в отдельных лекарственных формах, которые принимаются в последовательно по времени указанным пациентом со значимым временным интервалом между каждым введением, после чего указанные компоненты высвобождаются в практически разное время указанному пациенту; а также 4) последовательное введение такой комбинации антитела к PD-L1 по данному изобретению и терапевтического агента пациенту, который нуждается в лечении, когда такие компоненты сформулированы вместе в единый лекарственной форме, из которой высвобождение указанных компонентов происходит контролируемым образом, после чего они одновременно, последовательно или совместно высвобождаются в одно и то же время и/или разное время указанному пациенту, где каждая часть может быть введена одним или разными путями. Антитело к PD-L1 по данному изобретению могут назначаться без дополнительного терапевтического лечения, т.е. в качестве самостоятельной терапии. Кроме того, лечение антителом к PD-L1 по данному изобретению может включать по меньшей мере одно дополнительное терапевтическое лечение (комбинированная терапия). В некоторых вариантах осуществления изобретения, антитело к PD-L1 может вводиться совместно или быть сформулирована с другим медикаментом/препаратом для лечения рака. Термин "цитотоксическое средство" в используемом в настоящем описании смысле относится к веществу, которое ингибирует или предотвращает функционирование клеток и/или вызывает разрушение клеток. Подразумевается, что термин включает радиоактивные изотопы (например, At211, I131, I125, Y90, Re186, Re188, Sm153, Bi212, P32 и радиоактивные изотопы Lu), химиотерапевтические средства и токсины, такие как низкомолекулярные токсины или ферментативно активные токсины, имеющие происхождение из бактерий, грибов, растений или животных, включая их фрагменты и/или варианты. "Химиотерапевтическим средством" является химическое соединение, применимое для лечения злокачественной опухоли. Примеры химиотерапевтических средств включают алкилирующие агенты, такие как тиотепа и циклофосфамид (CYTOXAN®); алкилсульфонаты, такие как бусульфан, импросульфан и пипосульфан; азиридины, такие как бензодопа, карбохинон, метуредопа и уредопа; этиленимины и метилмеламины, включая алтретамин, триэтиленмеламин, триэтиленфосфорамид, триэтилентиофосфорамид и триметилмеламин; ацетогенины (в частности, буллатацин и буллатацинон); дельта-9-тетрагидроканнабинол (дронабинол, MARINOL®); бета-лапахон; лапахол; колхицины; бетулиновую кислоту; камптотецин (включая синтетический аналог топотекан (HYCAMTIN®), CPT-11 (иринотекан, CAMPTOSAR®), ацетилкамптотецин, скополектин и 9-аминокамптотецин); бриостатин; каллистатин; CC-1065 (включая его синтетические аналоги адозелезин, карзелезин и бизелезин); подофиллотоксин; подофиллиновую кислоту; тенипозид; криптофицины (в частности, криптофицин 1 и криптофицин 8); доластатин; дуокармицин (включая синтетические аналоги KW-2189 и CB1-TM1); элеутеробин; панкратистатин; саркодиктиин; спонгистатин; азотистые иприты, такие как хлорамбуцил, хлорнафазин, холофосфамид, эстрамустин, ифосфамид, мехлорэтамин, гидрохлорид оксида мехлорэтамина, мелфалан, новембихин, фенестерин, преднимустин, трофосфамид, урамустин; нитрозомочевины, такие как кармустин, хлорозотоцин, фотемустин, ломустин, нимустин и ранимнустин; антибиотики, такие как энедииновые антибиотики (например, калихеамицин, в частности калихеамицин гамма II и калихеамицин омега II (см., например, Agnew, Chem. Intl. Ed. Engl., 33: 183-186 (1994)); динемицин, включая динемицин A; эсперамицин; а также хромофор неокарциностатина и родственные хромофоры хромопротеинов - энедииновые антибиотики, аклациномизины, актиномицин, аутрамицин, азасерин, блеомицины, кактиномицин, карабицин, карминомицин, карзинофилин, хромомицины, дактиномицин, даунорубицин, деторубицин, 6-диазо-5-оксо-L-норлейцин, доксорубицин (включая ADRIAMICIN®, морфолинодоксорубицин, цианоморфолинодоксорубицин, 2-пирролинодоксорубицин, доксорубициноНСl в инъецируемых липосомах (DOXOL®), липосомный доксорубицин TLC D-99 (MYOCET®), пегилированный липосомный доксорубицин (CAELYX®) и дезоксидоксорубицин), эпирубицин, эзорубицин, идарубицин, марцелломицин, митомицины, такие как митомицин C, микофеноловую кислоту, ногаламицин, оливомицины, пепломицин, потфиромицин, пуромицин, квеламицин, родорубицин, стрептонигрин, стрептозоцин, туберцидин, убенимекс, зиностатин, зорубицин; антиметаболиты, такие как метотрексат, гемцитабин (GEMZAR®), тегафур (UFTORAL®), капецитабин (XELODA®), эпотилон и 5-фторурацил (5-FU); аналоги фолиевой кислоты, такие как деноптерин, метотрексат, птероптерин, триметрексат; аналоги пурина, такие как флударабин, 6-меркаптопурин, тиамиприн, тиогуанин; аналоги пиримидина, такие как анцитабин, азацитидин, 6-азауридин, кармофур, цитарабин, дидезоксиуридин, доксифлуридин, эноцитабин, флоксуридин; средства, подавляющие функции надпочечников, такие как аминоглютетимид, митотан, трилостан; компенсатор фолиевой кислоты, такой как фолиновая кислота; ацеглатон; гликозид альдофосфамида; аминолевулиновую кислоту; энилурацил; амсакрин; бестрабуцил; бисантрен; эдатраксат; дефофамин; демеколцин; диазихон; элфорнитин; ацетат эллиптиния; этоглуцид; нитрат галлия; гидроксимочевину; лентинан; лонидаинин; майтанзиноиды, такие как майтанзин и ансамитоцины; митогуазон; митоксантрон; мопиданмол; нитраэрин; пентостатин; фенамет; пирарубицин; лозоксантрон; 2-этилгидразид; прокарбазин; полисахаридный комплекс PSK® (JHS Natural Products, Eugene, OR); разоксан; ризоксин; сизофиран; спирогерманий; тенуазоновую кислоту; триазиквон; 2,2',2"-трихлортриэтиламин; трихотецены (в частности, токсин T-2, верракурин A, роридин A и ангуидин); уретан; дакарбазин; манномустин; митобронитол; митолактол; пипоброман; гацитозин; арабинозид ("ara-C"); тиотепа; таксоид, например паклитаксел (TAXOL®), препарат паклитаксела на основе сконструированных связанных с альбумином наночастиц (ABRAXANETM) и доцетаксел (TAXOTERE®); хлорамбуцил; 6-тиогуанин; меркаптопурин; метотрексат; средства на основе платины, такие как цисплатин, оксалиплатин и карбоплатин; алкалоиды барвинка, которые предотвращают полимеризацию тубулина из образующихся микротрубочек, включая винбластин (VELBAN®), винкристин (ONCOVIN®), виндезин (ELDISINE®, FILDESIN®) и винорелбин (NAVELBINE®); этопозид (VP-16); ифосфамид; митоксантрон; лейковорин; новантрон; эдатрексат; дауномицин; аминоптерин; ибандронат; ингибитор топоизомеразы RFS 2000; дифторметилорнитин (DMFO); ретиноиды, такие как ретиноевая кислота, включая бексаротен (TARGRETIN®); бифосфонаты, такие как клодронат (например, BONEFOS® или OSTAC®), этидронат (DIDROCAL®), NE-58095, золедроновую кислоту/золедронат (ZOMETA®), алендронат (FOSAMAX®), памидронат (AREDIA®), тилудронат (SKELID®) или ризендронат (ACTONEL®); троксацитабин (1,3-диоксолановый нуклеозидный аналог цитозина); антисмысловые олигонуклеотиды, в частности олигонуклеотиды, которые ингибируют экспрессию генов в путях передачи сигналов, вовлеченных в пролиферацию аберрантных клеток, таких как, например, PKC-альфа, Raf, H-Ras и рецептора эпидермального фактора роста (EGF-R); вакцины, такие как вакцина THERATOPE® и вакцины для генной терапии, например вакцина ALLOVECTIN®, вакцина LEUVECTIN® и вакцина VAXID®; ингибитор топоизомеразы 1 (например, LURTOTECAN®); rmRH (например, ABARELIX®); BAY439006 (сорафениб; Bayer); SU-11248 (Pfizer); перифосин, ингибитор ЦОГ-2 (например, целекоксиб или эторикоксиб), ингибитор протеосом (например, PS341); бортезомиб (VELCADE®); CCI-779; типифарниб (811577); орафениб, ABT510; ингибитор Bcl-2, такой как облимерсен натрия (GENASENSE®); пиксантрон; ингибиторы EGFR (см. определение ниже); ингибиторы тирозинкиназ (см. определение ниже); и фармацевтически приемлемые соли, кислоты или производные любого из указанных выше средств; а также сочетания двух или более указанных выше средств, такие как CHOP, сокращенное название комбинированной терапии циклофосфамидом, доксорубицином, винкристином и преднизолоном, и FOLFOX, сокращенное название схемы лечения оксалиплатином (ELOXATINTM) в сочетании с 5-FU и лейковорином. Также в указанное определение включены противогормональные средства, которые действуют, регулируя или ингибируя действие гормонов на опухоли, такие как антиэстрогены со смешанным профилем агонист/антагонист, включая тамоксифен (NOLVADEX®), 4-гидрокситамоксифен, триоксифен, торемифен (FARESTON®); идоксифен, дролоксифен, ралоксифен (EVISTA®), триоксифен, кеоксифен и избирательные модуляторы рецепторов эстрогена (SERM), такие как SERM3; чистые антиэстрогены без агонистических свойств, такие как фулвестрант (FASLODEX®) и EM800 (такие средства могут блокировать димеризацию рецепторов эстрогена (ER), ингибировать связывание ДНК, усиливать метаболизм ER и/или снижать уровни ER); ингибиторы ароматазы, включая стероидные ингибиторы ароматазы, такие как форместан и эксеместан (AROMASIN®), и нестероидные ингибиторы ароматазы, такие как анастразол (ARIMIDEX®), летрозол (FEMARA®) и аминоглутетимид и другие ингибиторы ароматазы, включая ворозол (RIVISOR®), ацетат мегестрола (MEGASE®), фадрозол, имидазол; агонисты рилизинг-гормона лютеинизирующего гормона, включая лейпролид (LUPRON® и ELIGARD®), гозерелин, бузерелин и триптерелин; половые стероиды, включая прогестины, такие как ацетат мегестрола и ацетат медроксипрогестерона, эстрогены, такие как диэтилстилбестрол и премарин и андрогены/ретиноиды, такие как флуоксиместерон, полностью трансретиноевая кислота и фенретинид; онапристон; антипрогестероны; понижающие регуляторы рецепторов эстрогенов (ERD); антиандрогены, такие как флутамид, нилутамид и бикалутамид; тестолактон; и фармацевтически приемлемые соли, кислоты или производные любого из указанных выше средств; а также сочетания двух или более указанных выше средств. Другими терапевтическими средствами, которые могут применяться в комбинации с антителами против PD-L1 согласно изобретению могут быть ингибиторы функции фактора роста, например, такие ингибиторы включают антитела фактора роста и антитела рецептора фактора роста (например, анти-erbB2 антитело трастузумаб [Herceptin], анти-EGFR антитело панитумумаб, анти-erbB1 антитело цетуксимаб [Erbitux, C225] и любые антитела факторов роста или рецепторов фактора роста, раскрытые Stern et al. Critical reviews in oncology/haematology, 2005, Vol. 54, pp11-29); антиангиогенные агенты, такие как ингибирующие эффекты сосудистого эндотелиального фактора роста, [например, антитело против фактора роста сосудистых эндотелиальных клеток бевацизумаб (Avastin)], антитела против рецепторов сосудистого эндотелиального фактора роста, такие как анти-KDR антитела и анти-flt1 антитела; антисмысловые терапии, например, направленные на вышеперечисленные мишени, такие как ISIS 2503, анти-ras антисмысловые средства или G3139 (Genasense), анти-bcl2 антисмысловые средства; подходами генной терапии, включая, например, подходы с заменой аберрантных генов, таких как аберрантный p53 или аберрантный BRCA1 или BRCA2, GDEPT (ген-направленная ферментная пролекарственная терапия) подходы с использованием цитозиндеаминазы, тимидинкиназы или фермента бактериальной нитроредуктазы, и подходы, направленные на повышение толерантности пациента к химиотерапии или лучевой терапии, такие как генная терапия мультилекарственной резистентности; иммунотерапевтические подходы, включая, например, лечение Алемтузумабом (campath-1H), моноклональным антителом, направленным на CD52, или лечение антителами, направленными на CD22, ex vivo и in vivo подходы по повышению иммуногенности опухолевых клеток пациента, трансфекцию цитокинами, такими как интерлейкин 2, интерлейкин 4 или гранулоцит-макрофаг колониестимулирующий фактор, подходы, направленные на снижение анергии T-клеток, такие как лечение моноклональными антителами, ингибирующими функцию CTLA-4, подходы с использованием трансфицированных иммунных клеток, таких как цитокин-трансфицированные дендритные клетки, подходы с использованием цитокин-трансфицированных опухолевых клеточных линий и подходы, использующие анти-идиотипические антитела, адаптивный перенос T-клеток с использованием T-клеток, подвергнутых неспецифической активации или нацеленных на конкретный антиген, представляющий интерес, ex vivo; ингибиторы деградации белка, такие как ингибитор протеасом, такой как Велкаде (бортезомид); биотерапевтические терапевтические подходы, например, использующие пептиды или белки (такие как антитела или растворимые конструкты внешних рецепторных доменов), которые секвестируют рецепторы лигандов, блокируют связывание лиганда с рецептором или ослабляют сигнализацию рецептора (например, вследствие повышенной деградации рецептора или сниженных уровней экспрессии). Дозы и пути введения Антитело к PD-L1 по данному изобретению будут вводиться в количестве, эффективном для лечения состояния, о котором идет речь, т.е. в дозах и в течение периодов времени, необходимых для достижения желаемого результата. Терапевтически эффективное количество может изменяться в зависимости от таких факторов, как конкретное состояние, по поводу которого проводится лечение, возраста, пола и веса пациента, а также является ли введение антитела к PD-L1 самостоятельным лечением или оно проводится в комбинации с одним или более дополнительных анти-аутоиммунных или противовоспалительных методов лечения. Схемы приема лекарственных средств можно регулировать, чтобы обеспечить оптимальный желаемый ответ. Например, может быть введен один болюс, несколько разделенных доз могут быть введены в течение некоторого времени, или доза могут быть пропорционально уменьшена или увеличена в зависимости от остроты терапевтической ситуации. Особенно полезным является изготовление парентеральных композиций в стандартной лекарственной форме для простоты введения и однородности дозирования. Стандартная лекарственная форма при использовании в данном документе, относится к физически дискретным единицам, пригодным в качестве единичных доз для пациентов/субъектов, подлежащих лечению; каждая единица содержит заданное количество активного соединения, рассчитанное для получения желаемого терапевтического эффекта в сочетании с требуемым фармацевтическим носителем. Спецификация для стандартных лекарственных форм по настоящему изобретению, как правило, диктуется и непосредственно зависит от (a) уникальных характеристик химиотерапевтического агента и конкретного терапевтического или профилактического эффекта, которые должны быть достигнуты, и (b) ограничений, присущих в технике компаундирования такого активного соединения для лечения чувствительности у субъектов. Таким образом, квалифицированным специалистам понятно, исходя из раскрытия, представленного в данном документе, что дозы и режим дозирования корректируются в соответствии со способами, хорошо известными в терапевтической области. Это означает, что может быть легко установлена максимально переносимая доза и может быть также определено эффективное количество, обеспечивающее обнаруживаемый терапевтический эффект для пациента, так же как и требования к времени введения каждого агента для достижения видимого терапевтического эффекта для пациента. Таким образом, хотя некоторые дозы и схемы режима введения приведены в качестве примеров в данном документе, эти примеры никоим образом не ограничивают дозы и режимы введения, которые могут понадобиться для пациента в практике применения настоящего изобретения. Следует отметить, что значения дозировки могут изменяться, в зависимости от типа и тяжести состояния, которое следует облегчить, и может включать одну или более доз. Кроме того, необходимо понимать, что для любого конкретного пациента, конкретные схемы введения должны быть скорректированы через некоторое время согласно индивидуальной потребности и на усмотрение медицинского работника, который осуществляет введение или контролирует введение композиций, и что диапазоны концентрации, приведенные в данном описании, приведены только в качестве примера и не предназначены для ограничения объема или практики заявленных композиций. Кроме того, режим дозирования с композициями по данному изобретению может быть основан на различных факторах, включая тип заболевания, возраст, вес, пол, состояния здоровья пациента, тяжесть состояния, путь введения и конкретное используемое антитело к PD-L1. Таким образом, режим дозирования может широко варьироваться, но может определяться регулярно с помощью стандартных методов. Например, дозы могут быть скорректированы на основе фармакокинетических и фармакодинамических параметров, которые могут включать клинические эффекты, такие как токсические эффекты или лабораторные значения. Таким образом, настоящее изобретение охватывает индивидуальное повышение дозы, которое определяется квалифицированным специалистом. Определение необходимой дозы и режимы хорошо известны в соответствующей области техники и будут понятны специалисту в данной области после ознакомления с идеями, раскрытыми в данном документе. Примеры подходящих способов введения предусмотрены выше. Предполагается, что подходящая доза антитела к PD-L1 по данному изобретению будет в диапазоне от 0,1-200 мг/кг, предпочтительно 0,1-100 мг/кг, в том числе около 0,5-50 мг/кг, например, около 1-20 мг/кг. Антитело к PD-L1 может быть введена, например, в дозе по меньшей мере 0,25 мг/кг, например, по меньшей мере 0,5 мг/кг, в том числе не менее 1 мг/кг, например, по меньшей мере 1,5 мг/кг, например, также как не менее 2 мг/кг, например, по меньшей мере 3 мг/кг, в том числе по меньшей мере 4 мг/кг, например, по меньшей мере 5 мг/кг; и например вплоть до максимально 50 мг/кг, в том числе вплоть до максимально 30 мг/кг, например, вплоть до максимально 20 мг/кг, в том числе вплоть до максимально 15 мг/кг. Введение будет повторяться обычно в подходящие промежутки времени, например, раз в неделю, раз в две недели, один раз каждые три недели или один раз каждые четыре недели, и так долго, как будет сочтено целесообразным ответственным врачом, который может в некоторых случаях увеличить или уменьшить дозу при необходимости. Изделие (продукты) и наборы Следующим вариант осуществления изобретения является изделие, которое содержит продукты, применяемые для лечения рака, в частности ПРГШ, рака шейки матки, рака без выявленного первоисточника, глиобластомы, рака пищевода, рака мочевого пузыря, ТНРМЖ, КРР, гепатоцеллюлярной карциномы, меланомы, НМРЛ, рака почки, рака яичника, лимфомы Ходжкина, MSI КРР. Изделие представляет собой контейнер и этикетку или листовку-вкладыш в упаковке, которые размещены на контейнере или вложены в него. Приемлемыми контейнерами являются, например банки, пузырьки, шприцы и т.д. Контейнеры можно изготавливать из различных материалов, таких как стекло или пластмасса. Контейнер содержит композицию, эффективную для лечения определенного состояния, и может иметь стерильный входной канал (например, контейнер может представлять собой пакет для внутривенного раствора или пузырек, снабженный пробкой, которую можно прокалывать с помощью иглы для подкожных инъекций). По меньшей мере одно действующее вещество в композиции представляет собой антитело к PD-L1, предлагаемое в изобретении. На этикетке или листовке-вкладыше в упаковке указано, что композицию применяют для лечения конкретного состояния. Этикетка или листовка-вкладыш в упаковке дополнительно должны содержать инструкции по введению композиции антитела пациенту. Листовка-вкладыш в упаковке содержит обычные инструкции, которые включают в поступающие в продажу упаковки терапевтических продуктов, в том числе примерную информацию о показаниях, применении, дозе, пути введения, противопоказаниях и/или мерах предосторожности, касающихся применения таких терапевтических продуктов. В одном из вариантов осуществления изобретения на листовке-вкладыше в упаковке указано, что композицию применяют для лечения рака, в частности ПРГШ, рака шейки матки, рака без выявленного первоисточника, глиобластомы, рака пищевода, рака мочевого пузыря, ТНРМЖ, КРР, гепатоцеллюлярной карциномы, меланомы, НМРЛ, рака почки, рака яичника, лимфомы Ходжкина, MSI КРР. Кроме того, изделие может дополнительно содержать второй контейнер с фармацевтически приемлемым буфером, таким как бактериостатическая вода для инъекций (БСВИ), забуференный фосфатом физиологический раствор, раствор Рингера и раствор декстрозы. Кроме того, оно может включать другие продукты, необходимые с коммерческой точки зрения и с точки зрения потребителя, в частности, другие буферы, разбавители, фильтры, иглы и шприцы. Изобретение относится также к наборам, которые можно применять для различных целей, например, для детектирования PD-L1 в тканях, клетках или жидкостях организма млекопитающего. Такой набор будет пригодным для скрининга ассоциированных с PD-L1 болезней. Набор включает специфический связывающий агент или антитело по изобретению и средства, указывающие на протекание реакции специфического связывающего агента или антитела с PD-L1, в случае его присутствия. В одном варианте воплощения антитело представляет собой моноклональное антитело. В одном варианте воплощения антитело, связывающее PD-L1, является меченым. В другом варианте воплощения антитело представляет собой немеченое первичное антитело, и набор дополнительно включает средства детектирования первичного антитела. В одном варианте воплощения средства детектирования включают меченое второе антитело, представляющее собой анти-иммуноглобулин. Антитело может быть меченым с помощью маркера, выбранного из группы, состоящей из флуорохрома, фермента, радионуклида и радионепрозрачного материала. Набор может представлять собой набор, который содержит антитела для выявления и количественной оценки PD-L1 in vitro, например при осуществлении ELISA или Вестерн-блоттинга. Также, как и в случае изделия, набор содержит контейнер и этикетку или листовку-вкладыш в упаковке, расположенные на поверхности или внутри контейнера. Контейнер содержит композицию, которая включает по меньшей мере одно антитело к PD-L1, предлагаемое в изобретении. Дополнительные контейнеры могут содержать, например разбавители и буферы, контрольные антитела. Этикетка или листовка-вкладыш в упаковке могут содержать описание композиции, а также инструкции по их применению in vitro или для целей диагностики. Диагностическое использование и композиции Антитело к PD-L1 по настоящему изобретению также используются в диагностических процессах (например, in vitro, ex vivo). Например, антитело к PD-L1 может использоваться для обнаружения или измерения уровня PD-L1 в образцах, полученных от пациента (например, образец ткани или образец жидкости тела, такой как воспалительный экссудат, кровь, сыворотка крови, жидкость кишечника, слюна или моча). Подходящие методы обнаружения и измерения включают иммунологические методы, такие как проточная цитометрия, твердофазный иммуноферментный анализ (ИФА), хемилюминесцентный анализ, радиоиммуноанализ и иммуногистология. Изобретение далее включает наборы (например, диагностические наборы), содержащие антитела к PD-L1, описанные в данном документе. Для наилучшего понимания изобретения приводятся следующие примеры. Эти примеры приведены только в иллюстративных целях и не должны толковаться как ограничивающие сферу применения изобретения в любой форме. Все публикации, патенты и патентные заявки, указанные в этой спецификации включены в данный документ путем отсылки. Хотя вышеупомянутое изобретение было довольно подробно описано путем иллюстрации и примера в целях исключения двусмысленного толкования, специалистам в данной области на основе идей, раскрытых в данном изобретении, будет вполне понятно, что могут быть внесены определенные изменения и модификации без отклонения от сущности и объема прилагаемых вариантов осуществления изобретения. Примеры Пример 1 Продукция рекомбинантных антигенов и антител в суспензионной культуре клеток млекопитающих Антитела и антигены продуцировали в клетках постоянной клеточной линии, полученной из клеток яичника китайского хомячка (линия CHO-K1), согласно опубликованным протоколам [Biotechnol Bioeng. 2005 Sep 20; 91(6):670-677, Liao Metal., 2004; Biotechnol Lett. 2006 Jun;28(11):843-848; Biotechnol Bioeng. 2003 Nov 5;84(3):332-342]. Использовали клетки, конститутивно экспрессирующие ген белка EBNA1 (Epstein-Barrvirus nuclear antigen 1). Суспензионное культивирование осуществляли в колбах на орбитальном шейкере, с использованием бессывороточных сред производства компании Life Technologies Corporation и согласно инструкциям производителя. Для транзиентной экспрессии клетки в концентрации 2*106/мл трансфецировали с помощью линейного полиэтиленимина (ПЭИ «MAX», компания «Polysciences»). Соотношение ДНК/ПЭИ составляло 1:3/1:10. Через 5-7 дней после трансфекции культуральную среду центрифугировали при 2000 g в течение 20 минут и фильтровали через фильтр с размером пор 0,22 мкм. Целевые белки выделяли из культуральной жидкости с помощью аффинной хроматографии. Рекомбинантный белок PD-L1, содержащий EPEA-tag (glutamic acid-proline-glutamic acid-alanine) на С-конце белка, выделяли и очищали из культуральной жидкости, используя сорбент CaptureSelect C-tag Affinity Matrix. Культуральную жидкость пропускали через хроматографическую колонку, предварительно заполненную 5 мл C-tag сорбента, затем промывали колонку 25 мл ФСБ, чтобы вымыть неспецифически связывающиеся компоненты. Связанный антиген элюировали в мягких условиях, используя 20mM Tris, 2M MgCl2 pH7,0-7,4. Далее белок переводили в ФСБ (pH 7,4) с помощью диализа, используя полупроницаемую диализную мембрану, фильтровали (0,22 мкм), переносили в пробирки и хранили при -70°C. Рекомбинантные белки PD-1 и PD-L1-Fc из культуральной жидкости выделяли и очищали, используя колонку для аффинной хроматографии протеин А. Осветленную культуральную жидкость пропускали через колонку HiTrap rProtein A Sepharose FF объемом 5 мл (GE Healthcare), уравновешенную фосфатно-солевым буфером (ФСБ, pH 7,4). Затем колонку промывали 5 колоночными объемами ФСБ, чтобы вымыть неспецифически связывающие компоненты. Связанный антиген элюировали, используя 0,1 М глициновый буфер рН 3. Главный протеиновый пик элюции собирали и доводили его рН до нейтральности с помощью 1 М буфера Tris (рН 8). Все стадии проводили при скорости потока 110 см/ч. Далее белок переводили в ФСБ (pH 7,4) с помощью диализа, используя технологию SnakeSkin Dialysis Tubing, фильтровали (0,22 мкм), переносили в пробирки и хранили при -70°C. Антитела IgG1 очищали на колонке Hi Trap rProteinA FF объемом 1 мл (GE Healthcare) согласно методике, описанной выше для антигенов. Чистоту полученного раствора белка оценивали с помощью SDS-гель-электрофореза (фиг. 4A и 4Б). Пример 2 Создание наивной Fab-библиотеки человеческих антител MeganLibTM Суммарную РНК В-лимфоцитов из индивидуальных образцов крови более тысячи человеческих доноров выделяли с помощью набора RNeasy Mini Kit согласно предлагаемому протоколу (от QIAGEN). Концентрацию РНК определяли с помощью набора Nanovue (от GE Healthcare) и проверяли качество выделенной РНК с помощью электрофореза в 1,5%-ном агарозном геле. Реакцию обратной транскрипции проводили с использованием набора MMLV RT kit (от Evrogen) согласно рекомендуемому протоколу с использованием обратной транскриптазы MMuLV и рандом-гексамерных олигонуклеотидов в качестве затравки. Продукты обратной транскрипции использовали в качестве матрицы в двухступенчатой полимеразной цепной реакции для получения генов вариабельных доменов, фланкированных сайтами рестрикции, с использованием набора олигонуклеотидов по протоколам авторов [J Biol Chem. 1999 Jun 25; 274(26): 18218-30]. Полученный ДНК препарат VL-CK-VH (фиг. 1) обрабатывали эндонуклеазами рестрикции NheI/Eco91I и лигировали в оригинальную фагмиду pH5 (фиг. 2). Продукты лигирования трансформировали в электрокомпетентные клетки штамма SS320, приготовленные согласно протоколам [Methods Enzymol. 2000;328: 333-63.]. Репертуар комбинаторной фаговой Fab-дисплейной библиотеки MeganLibTM составлял 1011 трансформантов. Препараты фага Fab-библиотек готовили согласно процедуре, описанной ранее [J Mol Biol. 1991 Dec 5;222(3): 581-97]. Пример 3 Селекция Fab-библиотек фаговых антител Специфичные фаговые Fab-антитела человека против PD-L1 получали из комбинаторной фаговой Fab-дисплейной библиотеки MeganLibTM. Селекцию проводили на PD-L1 человека методом фагового дисплея [Nat Biotechnol. 1996 Mar;14(3):309-14; J Mol Biol.1991 Dec 5;222(3): 581-97], но с использованием магнитных частиц и прибора KingFisher Flex, так как использование данной методики позволяет проводить параллельно до 96 различных схем и вариантов биопэннинга. В селекции методом биопэннинга биотинилированный PD-L1-Fc в концентрации 10 мкг/мл иммобилизовали на поверхности стрептавидиновых магнитных частиц, инкубировав белок с частицами в течение 1 часа при комнатной температуре на ротаторе. Далее частицы отмывали ФСБ (pH 7,4), затем блокировали частицы раствором 2% обезжиренного молока на ФСБ (pH 7,4) в течение 1 часа. Затем добавляли к магнитным частицам со связанным антигеном раствор фагов в ФСБ (pH 7,4) с 2% обезжиренным молоком, концентрация фаговых частиц составляла 2,5*1012 на мл. Инкубировали данную смесь в течение 40 мин при перемешивании. Несвязавшиеся фаги удаляли в ходе нескольких отмывок магнитных частиц раствором ФСБ (pH 7,4) с 0,1% Твин 20. Количество отмывок увеличивали от раунда к раунду (на 1-ом раунде 10 отмывок, на 2-ом - 20 и на 3-ем - 30). Фаги, связавшиеся с антигеном на поверхности магнитных частиц, элюировали с частиц 100 мМ раствором Gly-HCl (pH 2,2) в течение 15 мин при перемешивании, после элюции нейтрализовали раствор 1M TRIS-HCl (pH 7.6). Бактерии штамма Е. coli TG1 инфицировали полученными фагами, нарабатывали в них фаги, выделяли их и использовали в следующем раунде селекции. После двух-трех раундов из фагов выделяли их ДНК (фагмиды), и гены вариабельных доменов антител клонировали в экспрессионные вектора (Фиг. 3) для наработки Fab в клетках Е.coli. Пример 4 Скрининг Fab, специфически связывающих PD-L1 человека ИФА (ELISA) использовали для поиска Fab, связывающих PD-L1 человека. В качестве позитивного контроля использовали Fab с опубликованной последовательностью Atezolizumab (Genentech). Для анализа специфического связывания лунки планшетов ELISA (medium binding от Greiner bio one) покрывали 50 мкл PD-L1-FE (0,2 мкг/мл в 1× карбонатном буфере), герметично закрывали и инкубировали в течение ночи при 4°C. Все последующие этапы проводили по стандартному протоколу ИФА с использованием высокопроизводительной автоматизированной платформы на базе роботизированных систем Genetix Qpix2xt (от Molecular Device) и Tecan Freedom EVO 200 (от Tecan). Для блокирования неспецифического связывания добавляли блокирующий буфер BB (200 мкл 0,5% нежирного молока в ФСБ). Планшеты инкубировали на шейкере в течение часа при комнатной температуре. После отмывок ФСБ-Твином добавляли по 50 мкл на лунку тестируемого клеточного супернатанта, содержащего исследуемый Fab, смешанного с равным объемом BB. Планшеты снова инкубировали, встряхивая, один час при комнатной температуре, после чего каждую лунку планшетов три раза промывали буфером ФСБ-Твин. После промывания добавляли (50 мкл/лунку) анти-человеческого Fab HRP-конъюгированного вторичного антитела (от Pierce-ThermoScientific) в соотношении 1:5000 в ФСБ-Твин. Планшеты встряхивали на ротационном шейкере (50 мин, комнатная температура) и промывали три раза буфером ФСБ-Твин, как описано выше. Колориметрический сигнал развивали добавлением ТМВ (50 мкл/лунку) до насыщения (в среднем 3-5 мин), затем дальнейшее развитие останавливали добавлением стопового раствора (30 мкл/лунку, 10% серная кислота). Цветовой сигнал измеряли при длине волны 450 нм, используя подходящий планшет-ридер Tecan-Sunrise (от Tecan). Степень связывания антитела была пропорциональна продуцированию цветового сигнала. Клоны, у которых цветовой сигнал превышал сигнал от контрольного антитела, проверяли в ИФА на неспецифическое связывание. Пример 5 Анализ неспецифического связывания отобранных Fab с другими антигенами ИФА (ELISA) использовали также анализа неспецифического связывания исследуемых Fab-фрагментов с другими антигенами. Исследование проводили, как описано выше, но в качестве антигенов для иммобилизации использовали IL6R-Fc, INFα2b, PCSK9-VG-FE, PD-1-Fc (2,5 мкг/мл в 1× карбонатном буфере). В качестве контроля специфического связывания использовали PD-L1-Fc (0,2 мкг/мл в 1× карбонатном буфере). Все последующие этапы проводили по стандартному протоколу ИФА с использованием высокопроизводительной автоматизированной платформы на базе роботизированных систем Genetix Qpix2xt (от Molecular Device) и Tecan Freedom EVO 200 (от Tecan). Клоны, у которых цветовой сигнал неспецифического связывания не превышал сигнал от специфического связывания, проверяли в конкурентном ИФА анализе для выявления антагонистических Fab, блокирующих взаимодействие лиганда и рецептора. Пример 6 Конкурентный ИФА анализ блокирования взаимодействия PD-L1 с его рецептором PD-1 Конкурентный ИФА (ELISA) использовали для проверки отобранных ранее специфичных Fab против PD-L1 человека на способность блокировать взаимодействие с рецептором PD-1. В качестве позитивного контроля антагониста использовали Fab с опубликованной последовательностью Atezolizumab (Genentech). PD-1-Fc иммобилизовали в лунках планшетов ELISA (medium binding от Greiner bio one) по 50 мкл с концентрацией 1 мкг/мл в 1× карбонатном буфере и инкубировали в течение ночи при 4°C. Все последующие этапы проводили по стандартным ИФА протоколам с использованием высокопроизводительной автоматизированной платформы на базе роботизированных систем Genetix Qpix2xt (от Molecular Device) и Tecan Freedom EVO 200 (от Tecan). Для блокирования неспецифического связывания добавляли блокирующий буфер BB (200 мкл 0,5% нежирного молока в ФСБ). Планшеты инкубировали на шейкере в течение часа при комнатной температуре. Параллельно в несорбирующих планшетах смешивали в соотношении 1:1 клеточный супернатант, содержащий тестируемый Fab и PD-L1-Fc (в конечной концентрации 2 мкг/мл в ФСБ-Твин), инкубировали в течение 45 минут при комнатной температуре и шейкинге при 500 об/мин. После отмывок от BB планшета, содержащего PD-1 рецептор, туда переносили смесь Fab и PD-L1, инкубировали в течение 45 минут при комнатной температуре и шейкинге при 500 об/мин. После чего каждую лунку планшетов три раза промывали буфером ФСБ-Твин, добавляли по 50 мкл/лунку анти-человеческого Fab HRP-конъюгированного вторичного антитела (от Pierce-ThermoScientific) в соотношении 1:5000 в ФСБ-Твин. Инкубировали 45 мин при комнатной температуре и встряхивании 500 об./мин., после чего каждую лунку планшетов три раза промывали буфером ФСБ-Твин, как описано выше. Колориметрический сигнал развивали добавлением ТМВ (50 мкл/лунку) до насыщения (в среднем 3-5 мин), затем дальнейшее развитие останавливали добавлением стопового раствора (30 мкл/лунку, 10% серная кислота). Цветовой сигнал измеряли при длине волны 450 нм, используя подходящий планшет-ридер Tecan-Sunrise (от Tecan). Степень связывания Fab была обратно пропорциональна продуцированию цветового сигнала. Клоны, показавшие блокирование на уровне контрольного Fab антитела Atezolizumab, отмечали как позитивные и использовали в дальнейших анализах. Гены вариабельных доменов позитивных клонов секвенировали, согласно стандартным протоколам на аппарате Applied Biosystems 3130 Genetic Analyzer (Applied Biosystems) и анализировали. Пример 7 Сравнительный скрининг анти-PD-L1 Fab кандидатов человека по koff Koff-скрининг производили с использованием прибора Pall Forte Bio Octet Red 96. Анти FABCH1-биосенсоры в течение 30 минут регидратировали в рабочем буфере, содержащем 10 мМ ФСБ, pH 7.2-7.4, 0.1% Твин-20, 0,1% БСА. В исследуемые образцы супернатантов E. coli добавляли рабочий буфер до конечной концентрации 1×. Затем анти FABCH1-биосенсоры погружали в супернатанты E. coli, содержащие Fab-фрагменты кандидатов антител, на 12 часов при 4°C. Сенсоры с иммобилизованными на поверхности Fab - фрагментами переносили в лунки с рабочим буфером, где прописывали базовую линию (60 с.). Далее сенсоры переносили в лунки с раствором аналита (PD-L1, 30 мкг/мл) для ассоциации комплекса антиген-антитело (300 с.). Затем сенсоры возвращали в лунки, содержащие рабочий буфер, для последующей стадии диссоциации (600 с.). После каждого эксперимента использованные сенсоры регенерировали путем трехкратного помещения их в буфер для регенерации (Gly-HCl, pH 1,7) после чего использовали в следующем эксперименте. Анализ полученных кривых проводили с помощью программного обеспечения Octet Data Analysis (версия 7.0) согласно стандартной процедуре по модели взаимодействия 1:1. Пример 8 Иммуноферментный анализ взаимодействия анти-PD-L1 антитела с PD-L1 и другими антигенами ИФА (ELISA) использовали для измерения сравнительной аффинности антител к PD-L1 и другим антигенам. Для анализа связывания лунки планшетов ELISA (medium binding от Greiner bio one) покрывали 50 мкл PD-L1-Fc, fPCSK9-EPEA, Ang2-H6F, GM-CSF-FE, CD3-ED-Fc, IL17a, CD38-Fc, IL6R-Fc (1 мкг/мл в 1× карбонатном буфере), герметично закрывали и инкубировали в течение ночи при 4°C. Все последующие этапы проводили по стандартному ИФА протоколу. Для блокирования неспецифического связывания добавляли буфер BB (200 мкл 0,5% нежирного молока в ФСБ). Планшеты инкубировали на шейкере в течение часа при комнатной температуре. После отмывок ФСБ-Твином добавляли по 50 мкл на лунку тестируемого антитела BCD-135 в концентрации от 5 мкг/мл в ФСБ-Твин. Планшеты снова инкубировали, встряхивая, один час при комнатной температуре, после чего каждую лунку планшетов три раза промывали буфером ФСБ-Твин. После промывания добавляли (50 мкл/лунку) анти-человеческого Fab HRP-конъюгированного вторичного антитела (от Pierce-ThermoScientific) в соотношении 1:5000 в ФСБ-Твин. Планшеты встряхивали на ротационном шейкере (50 мин, комнатная температура) и промывали три раза буфером ФСБ-Твин, как описано выше. Колориметрический сигнал развивали добавлением ТМВ (50 мкл/лунку) до насыщения (в среднем 3-5 мин), затем дальнейшее развитие останавливали добавлением стопового раствора (30 мкл/лунку, 10% серная кислота). Цветовой сигнал измеряли при длине волны 450 нм, используя подходящий планшет-ридер Tecan-Sunrise (от Tecan). Степень связывания антитела была пропорциональна продуцированию цветового сигнала (фиг. 5). Анти-PD-L1 антитело специфически связывалось с PD-L1 и не связывалось с другими исследуемыми антигенами. Пример 9 Реактивация NFAT-сигналинга анти-PD-L1 антителами в репортерной клеточной линии Jurkat-NFAT-PD-1 Проводили инжиниринг человеческой линии Т-клеточного происхождения Jurkat путем внедрения в ее геном двух генетических конструкций. Одна конструкция кодировала ген рецептора PD-1 человека. Вторая конструкция кодировала ген люциферазы, находящийся под контролем NFAT-чувствительного генетического элемента. В результате получали репортерную клеточную линию Jurkat-NFAT-PD-1, которая экспрессировала на поверхностной мембране рецептор PD-1 и содержала NFAT-зависимый промотор, который направлял транскрипцию гена люциферазы. Синтез фермента люциферазы в клетках этой линии пропорционален уровню активности NFAT, которая, в свою очередь, отражала общий уровень активации Т-лимфоцита. Анализ активности анти-PD-L1 антител с помощью этой клеточной линии осуществляли следующим образом: активация TCR-рецепторов с помощью анти-CD3 и анти-CD28 антител запускала внутриклеточный каскад, в результате которого активировался NFAT-промотор. PD-L1 представлен на поверхности клеток MDA-MB-231, активированных интерфероном. Взаимодействие PD-L1 с PD-1 ингибировало передачу сигнала с TCR-рецепторов на NFAT-промотор. Антитела анти-PD-L1 разобщали взаимодействие PD-L1-PD-1 и происходила реактивация внутриклеточной сигнализации. Клетки MDA-MB-231 активировали на продукцию PD-L1 раствором интерферона гамма, для этого за 72 ч до анализа к клеточной суспензии добавляли интерферон гамма до концентрации 20 нг/мл, затем сеяли клетки в 96-луночные культуральные планшеты из расчета 10000 кл/лунку. Через 72 часа активации удаляли среду роста из планшетов с клетками MDA-MB-231 и добавляли к ним разведения анализируемых антител, контрольного антитела и изотипического контроля в среде роста клеток от 10 мкг/мл до 0,001 мкг/мл, инкубировали в течение 30 минут при комнатной температуре. Далее добавляли в каждую лунку суспензию клеток Jurkat-NFAT-PD-1 и раствор активирующих антител aCD3/aCD28/a-mouseIgG. Ставили планшет в CO2 инкубатор на 6 часов. Заранее подготовленный субстрат к люциферазе Bio-Glo Luciferase assay system (Promega) добавляли из расчета V клеток/V субстрата. Измеряли уровень люминесценции на Fluoroscan Ascent (фиг. 6). Анти-PD-L1 антитела реактивировали уровень люминесценции в репортерной линии Jurkat-PD-1-NFAT. Пример 10 Анализ взаимодействий анти-PD-L1 антитела с FcRn and Fcγ-рецепторами при помощи Octet RED 96 Для анализа взаимодействия антител с рецепторами FcgRIIIaV, FcgRIa, FcRn использовали прибор Fortebio Octet RED96. Использовали рецепторы, биотинилированные по С-концу, и покрытые стрептавидином биосенсоры (SA-Streptavidin). Биотинилированные рецепторы иммобилизовали на поверхности сенсоров. Далее проводили стадию ассоциации: сенсоры со связанным антигеном погружали в растворы антитела с различной концентрацией (подготовили заранее серию разведений антитела в рабочем буфере и поместили в соответствующие лунки 96-луночного планшета). После этого проводили стадию диссоциации: сенсоры из раствора антитела перемещали в лунки с рабочим буфером. Для оценки константы аффинности антитела к FcgRIIIaV, и FcgRIa использовали фосфатный буфер PH7.4, для FcRn - фосфатный буфер PH6.0. Анализ полученных кривых проводили используя программное обеспечение прибора Forte Bio Data Analysis 8.2 и модели связывания 1:1. Результаты представлены на фиг. 7. Не детектировали связывания с Fcg-рецепторами модифицированного антитела IgG1 в сравнении с вариантом дикого типа, что предполагало отсутствие эффекторных функций анализируемого антитела. Константа аффинности к FcRn анализируемого анти-PD-L1 антитела составляла 1.69E-08 1/M. Пример 11 Иммуноферментный анализ взаимодействий анти-PD-L1 антитела с PD-L1 разных организмов ИФА (ELISA) использовали для измерения сравнительной аффинности антител к PD-L1 разных организмов. Для анализа связывания лунки планшетов ELISA (medium binding от Greiner bio one) покрывали 50 мкл PD-L1-Fc человека, циномолгуса, мыши, крысы, собаки, кролика, (0,5 мкг/мл в 1× карбонатном буфере), герметично закрывали и инкубировали в течение ночи при 4°C. Все последующие этапы проводили по стандартному ИФА протоколу, описанному выше. Анти-PD-L1 антитело специфически связывалось с PD-L1 человека и обезьяны циномолгус и не связывалось с другими исследуемыми рецепторами (фиг. 8). Пример 12 Анализ взаимодействий анти-PD-L1 антител с PD-L1 человека и циномолгуса на приборе Octet RED 96 Константы аффинности связывания антитела с PD-L1 человека и циномолгуса измеряли с помощью прибора OctetRed 96 (от ForteBio). Антитело BCD-135 в концентрации 30 мкг/мл неспецифически иммобилизовали на поверхности аминореактивных сенсоров второго поколения (ForteBio, AR2G) по стандартному протоколу согласно инструкции производителя для подготовки и иммобилизации AR2G сенсоров. Анализ проводили при 30°C c использованием PBS, содержащим 0,1% Твин-20 и 0,1% BSA в качестве рабочего буфера. Анализировали связывание растворов PD-L1 человека и обезьяны со связанным на сенсоре антителом в рабочем буфере с концентрацией антигенов от 10 мкг/мл до 1 мкг/мл. Кривые связывания с вычетом базового сигнала анализировали с помощью программы Octet Data Analysis (версия 8.2) согласно стандартной процедуре с использованием модели взаимодействия 1:1. Анти-PD-L1 антитело специфически и аффинно связывается с антигеном PD-L1 человека и обезьяны циномолгус (фиг. 9) с константами <1.0E-12 и 5.55E-10 1\М, соответственно. Пример 13 Определение стабильности анти-PD-L1 антитела Конформационную стабильность BCD-135 оценивали по точке агрегации белка методом динамического светорассеяния (DLS). Определение точки агрегации исследуемых белков (1 мг/мл) осуществляли на приборе Zetasizer Nano ZSP. Для этого 0.5 мл раствора помещали в кварцевую обеспыленную кювету, которую постепенно нагревали от 50°C до 90°C в установке при постоянном измерении интенсивности рассеянного света. Антитело BCD-135 демонстрировало высокую конформационную стабильность в 20 мМ ацетатном буфере, точка плавления более 80°C (фиг. 10). Коллоидную стабильность кандидатов оценивали методом ПЭГ агрегации белка. Для эксперимента использовали образцы с концентрацией белка 5 мг/мл. В планшеты для УФ-спектрофотометрии переносили расчетное количество образца, раствора плацебо и раствора ПЭГ 6000. Все полученные в лунках растворы хорошо перемешивали, пипетируя. После этого оценивали степень мутности растворов визуально, а также измеряли оптическую плотность растворов при λ = 320 нм. Антитело BCD-135 демонстрировало высокую коллоидную стабильность (фиг. 11). Термическую стабильность антитела оценивали методом термостресса при 50°C в течение 48 ч в трех разных буферах: 20 мМ фосфатном буфере при pH 6,0 (фиг. 12А), 20 мМ ацетатном буфере при pH 5,0 (фиг. 12Б) и 20 мМ гистидиновом буфере pH 5,5 (фиг. 12В). Контроль гомогенности проводили методом ГФ ВЭЖХ (SEC HPLC). Исследуемые образцы в концентрации белка ~ 5 мг/мл разделяли на 2 части и помещали в отдельные пробирки: по 1 пробирке на каждый состав откладывали в холодильник на хранение при 4°C, остальные устанавливали в термостат и инкубировали при 50°C в течение 72 часов. После окончания прогрева пробирки убирали из термостата и передавали на анализ (на рисунках 12А, 12Б и 12В красным обозначен контроль, хранившийся на +4, синим - образец после термостресса). Анти-PD-L1 антитело демонстрировало высокую термическую стабильность во всех трех буферах (разница между содержанием агрегатов в растворе до термостресса и после составила не более 5%): Также оценивали стабильность BCD-135 в нормальной сыворотке крови человека в течение 7 дней при 37С. Для этого рекомбинантный PDL1 (по 100 мкл, 2,5 мкг/мл в 1× карбонатном буфере) вносили в лунки 96-ти луночного ИФА планшета высокой сорбции. Инкубировали при 4°C в течение 18 ч. Далее содержимое лунок удаляли и вносили туда блокирующий буфер (200 мкл 0,5% нежирного молока в ТБСТ). Планшеты инкубировали при температуре 37°C в течение 30 мин, после чего промывали 2 раза раствором ТБСТ. В лунки первого вертикального ряда вносили по 100 мкл растворов для построения калибровочного графика, содержащих BCD-135 в концентрации 0; 7,8; 15,6; 31,25; 62,5; 125,0; 250,0 нг/мл, разведенных в блокирующем буфере. Планшеты инкубировали в течение 30 мин при температуре 37°C, далее планшеты 3 раза промывали раствором ТБСТ. После этого вносили в каждую лунку по 100 мкл раствора конъюгата поликлональных антител козы к Fc фрагменту IgG человека с пероксидазой хрена. Планшеты инкубировали в течение 30 мин при температуре 37°C. Далее планшеты 4-5 раз промывали раствором ТБСТ. В отмытые и осушенные лунки вносили по 100 мкл раствора ТМБ для развития окраски. Планшеты помещали в защищенное от света место и инкубировали при температуре 22°C в течение 20-25 мин для развития окраски. Реакцию останавливали, добавляя в лунки по 50 мкл стопового раствора 0,9М серной кислоты. Оптическую плотность раствора в лунках измеряли на микропланшетном спектрофотометре при длине волны 450 нм. На основании полученных данных строили калибровочную кривую (фиг. 13А), отражающую зависимость оптической плотности от концентрации добавленного в лунку BCD-135. Для построения кривой используют среднее арифметическое значение оптической плотности растворов. На основании калибровочной кривой, находили значение концентрации BCD-135 в образце, соответствующее полученным в эксперименте значениям оптической плотности. По итогам исследования через 7 дней хранения при 37°C в сыворотке человека определяемая концентрация BCD-135 достоверно не отличалась от концентрации, определяемой в образцах сыворотки, приготовленных непосредственно перед анализом (фиг. 13Б), что свидетельствовало о стабильности антитела. Пример 14 Конструирование библиотеки BCD-135 мутантных антител, специфичных к PD-L1. Для создания BCD-135 мутантных антител, специфичных к PD-L1, был проведен структурный анализ на основе 3D моделирования с использованием программного пакета YLab компании БИОКАД и модели PD-L1 (PDB 4ZQK, PDB 4Z18) (см. также Пример 18). На основе расчетный моделей были синтезированы библиотеки генов BCD-135, имеющие частично вырожденные кодоны (FUH G ET AL.), Improving antibody binding affinity and specificity for therapeutic development, Methods Mol Biol., 2009, 525, 353-376) в позициях в первом и третьем CDR регионах вариабельного домена тяжелой цепи SEQ ID NO:4 и третьем CDR вариабельного домена легкой цепи SEQ ID NO:8. Полученная ДНК рандомизированного гена была клонирована в фаговую дисплейную плазмиду pH5 (Фиг.2), согласно протоколу описанному в Примере 2. Трансформация, указанных конструкций в штамм SS320 дала на выходе от 5*10e7 независимых трансформантов для библиотеки, согласно процедуре [Methods Enzymol. 2000;328: 333-63]. Препараты фага мутантных VH BCD-135 библиотек были приготовлены согласно процедуре, описанной ранее [Mol Biol. 1991 Dec 5;222(3): 581-97]. Селекции полученных фаговых мутантных BCD-135 Fab библиотек проводили в условиях аналогичных, описанных выше (Пример 3). После третьего раунда селекции описанных выше библиотек на препарате рекомбинантного PD-L1-Fc человека, проведенный ИФА анализ препаратов поликлонального фага показал значительное обогащение и превышение более 10 раз над фоном неспецифического связывания. Пулы генов из обогащенных фаговых библиотек BCD-135 мутантных Fab антител, специфичных к PD-L1-Fc человека, были реклонированы в экспрессионную плазмиду pLL (Фиг.3), содержащую myc-tag пептид на C-конце для ELISA детекции. Пример 15 Сравнительный ИФА анализ BCD-135 мутантных Fab антител, специфичных к PD-L1 ИФА (ELISA) используют для измерения связывания исследуемых мутантных Fab антител с PD-L1 человека, аналогично описываемому в Примере 4. Количество тестируемых клонов, продуцентов BCD-135 мутантных Fab антител, составило 400 штук. В качестве позитивного контроля использовали дикий вариант BCD-135 Fab антитела с последовательностью SEQ ID NO:4 и SEQ ID NO:8. В результате было отобрано 85 позитивных клонов, давших сигнал выше или аналогичный контрольному дикому BCD-135 Fab антителу (значения в интервале 0,7-1,2 отн.ед.). Пример 16 Характеризация BCD-135 мутантных Fab антител, специфичных против PD-L1 Восемьдесят пять отобранных в результате ИФА скрининга (пример 15) кандидатов позитивных клонов, давших сигнал выше или аналогичный контрольному дикому BCD-135 Fab антителу были секвенированы на секвенаторе Applied Biosystems 3130, согласно протоколам рекомендуемым компанией производителем. В результате было получено 25 уникальных по последовательности клона. Восемь мутантных Fab антитела уникальных клонов были далее проанализированы по количественной характеристике кинетической константы диссоциации на приборе Octet Red 96, согласно Примеру 7. Koff-скрининг производили с использованием прибора Pall Forte Bio Octet Red 96, аналогично указанному в Примере 7. Анти FABCH1-биосенсоры в течение 30 минут регидратировали в рабочем буфере, содержащем 10 мМ ФСБ, pH 7.2-7.4, 0.1% Твин-20, 0,1% БСА. В исследуемые образцы супернатантов E. coli добавляли рабочий буфер до конечной концентрации 1×. Затем анти FABCH1-биосенсоры погружали в супернатанты E. coli, содержащие Fab-фрагменты кандидатов антител, на 12 часов при 4°C. Сенсоры с иммобилизованными на поверхности Fab - фрагментами переносили в лунки с рабочим буфером, где прописывали базовую линию (60 с.). Далее сенсоры переносили в лунки с раствором аналита (PD-L1, 30 мкг/мл) для ассоциации комплекса антиген-антитело (300 с.). Затем сенсоры возвращали в лунки, содержащие рабочий буфер, для последующей стадии диссоциации (600 с.). После каждого эксперимента использованные сенсоры регенерировали путем трехкратного помещения их в буфер для регенерации (Gly-HCl, pH 1,7) после чего использовали в следующем эксперименте. Анализ полученных кривых проводили с помощью программного обеспечения Octet Data Analysis (версия 7.0) согласно стандартной процедуре по модели взаимодействия 1:1. В результате были получены кинетические константы диссоциации мутантных Fab антител, которые продемонстрировали сравнимые характеристики с диким вариантом BCD-135 Fab, и таким образом толерантность до 8% замен по трем CDR вариабельных доменов. Пример 17 Создание стабильной клеточной линии, продукция и очистка анти-PD-L1 антитела Стабильную клеточную линию продуцента моноклонального антитела BCD-135 получали путем трансфекции методом электропорации с использованием прибора Neon Transfection System (Life Technologies) родительской суспензионной клеточной линии CHO-S векторными конструкциями, содержащими легкие и тяжелые цепи антитела в оптимизированном соотношении. Клональные линии с высоким уровнем продуктивности (более 1000 мг/л) получали с использованием роботизированной платформы ClonePix (Molecular Devices) и предварительных этапов селекции минипулов с использованием антибиотиков в разных форматах культивирования. Анализ продуктивности проводили с использованием аналитической системы Octet RED96 (Pall Life Sciences). DOE по подбору базовой среды и схемы культивирования осуществляли на базе автоматизированной системы Biomek FX robotics (Beckman Coulter). Для культивирования продуцента использовали бессывороточные среды и фидинги, не содержащие белков животного происхождения. Наработку препарата BCD-135 для предклинических исследований проводили в ферментере HyClone single-use bioreactor (Thermo Fisher Scientific) рабочим объемом 50 л. Осветление культуральной жидкости проводили на глубинном фильтре Millistak C0HC (Merck-Millipore). Первичную очистку антитела из осветленной КЖ проводили на аффинном сорбенте с белком А. Специфическую элюцию целевого белка проводили в кислых условиях pH3.3-3.8 в глициновом буфере. Полученный элюат выдерживали в кислом pH в течение 30-60 минут для вирусной инактивации, а затем нейтрализовали 1M раствором Tris-OH до значения рН 6.5-7.0. Финальую хроматографическую очистку в режиме проскока проводили на сорбенте CaptoAdhere (GE HealthCare LifeSciences) для удаления остаточных ДНК, белков клеток продуцента, отщепленного лиганда аффинного сорбента, агрегатов и фрагментов антител. Для этого раствор белка пропускали через подготовленный сорбент, в pH 6,5-7,0 при низком значении кондуктивности (<3мС/см2). Очищенный белок подвергали противовирусной фильтрации с использованием набора фильтров Viresolve PRO (Millipore), концентрированию и диафильтрации против конечного буфера, содержащего ацетатный буфер (pH 5,0-5,5) и трегалозу. Концентрация полученного белка составляла 50 мг/мл и более. Пример 18 In silico моделирование комплекса BCD-135 антитела и PD-L1 человека. Для создания BCD-135 мутантных антител, специфичных против PD-L1 был проведен структурный анализ на основе 3D моделирования с использованием программных пакетов Schrodinger Suite компании Schrodinger и пакета YLab компании БИОКАД. В качестве кристаллической структуры мишени была выбрана PDB 5C3T, так как она имеет больше кристаллизованных аминокислот, чем классическая структура 4ZQK, в которой упор сделан на PD-1. Докинг осуществлялся с помощью инструмента HEDGE (часть пакета YLab компании БИОКАД). Выбор оптимальных позиций был проведен с помощью оценки свободной энергии на 10 наносекундном интервале молекулярной динамики (инструмент Desmond, часть пакета Schrodinger Suite). Визуализация полученной структуры создана с помощью инструмента PyMOL компании Schrodinger. Модель включающая вариабельные домены BCD-135 представлена на Рис. 14 A, тогда как на рисунке Рис. 14 Б приведена область взаимодействия антигена и антитела с выделенными аминокислотными остатками, образующими плотный межбелковый контакт. В табл. B представлены ключевые аминокислотные остатки как антитела, так и антигена, обуславливающие плотны межбелковые взаимодействия. Таблица B. В среднем столбце представлены аминокислотные остатки BCD-135 антитела, образующие взаимодействие с PD-L1 человека. В правом столбце приведены соответсвующие аминокислотные остатки антигена PD-L1, взаимодействющие с антителом BCD-135. Перечень последовательностей <110> JOINT STOCK COMPANY “BIOCAD” <120> МОНОКЛОНАЛЬНОЕ АНТИТЕЛО К PD-L1 <160> 10 <210> 1 <211> 5 <212> PRT <213> Искусственная последовательность <400> 1 DYAMS <210> 2 <211> 17 <212> PRT <213> Искусственная последовательность <400> 2 DISWSGSNTNYADSVKG <210> 3 <211> 13 <212> PRT <213> Искусственная последовательность <400> 3 APLLLAMTFGVGS <210> 4 <211> 122 <212> PRT <213> Искусственная последовательность <400> 4 EVQLVESGGGVVRPGGSLRLSCAASGFTFDDYAMSWVRQAPGKGLEWVSDISWSGSNTNYADSVKGRFTISRDNAKNSLYLQMNSLRAEDTALYHCARAPLLLAMTFGVGSWGQGTLVTVSS <210> 5 <211> 14 <212> PRT <213> Искусственная последовательность <400> 5 GLSSGTVTAINYPG <210> 6 <211> 7 <212> PRT <213> Искусственная последовательность <400> 6 NTNTRHS <210> 7 <211> 10 <212> PRT <213> Искусственная последовательность <400> 7 ALYMGNGGHM <210> 8 <211> 106 <212> PRT <213> Искусственная последовательность <400> 8 QTVVTQEPSLSVSPGGTVTLTCGLSSGTVTAINYPGWYQQTPGQAPRTLIYNTNTRHSGVPDRFSGSISGNKAALTITGAQAEDEADYYCALYMGNGGHMFGGGTK <210> 9 <211> 452 <212> PRT <213> Искусственная последовательность <400> 9 EVQLVESGGGVVRPGGSLRLSCAASGFTFDDYAMSWVRQAPGKGLEWVSDISWSGSNTNYADSVKGRFTISRDNAKNSLYLQMNSLRAEDTALYHCARAPLLLAMTFGVGSWGQGTLVTVSSASTKGPSVFPLAPSSKSTSGGTAALGCLVKDYFPEPVTVSWNSGALTSGVHTFPAVLQSSGLYSLSSVVTVPSSSLGTQTYICNVNHKPSNTKVDKRVEPKSCDKTHTCPPCPAPEAAGGPSVFLFPPKPKDTLMISRTPEVTCVVVDVSHEDPEVKFNWYVDGVEVHNAKTKPREEQYNSTYRVVSVLTVLHQDWLNGKEYKCKVSNKALPAPIEKTISKAKGQPREPQVYTLPPSRDELTKNQVSLTCLVKGFYPSDIAVEWESNGQPENNYKTTPPVLDSDGSFFLYSKLTVDKSRWQQGNVFSCSVMHEALHNHYTQKSLSLSPGK <210> 10 <211> 216 <212> PRT <213> Искусственная последовательность <400> 10 QTVVTQEPSLSVSPGGTVTLTCGLSSGTVTAINYPGWYQQTPGQAPRTLIYNTNTRHSGVPDRFSGSISGNKAALTITGAQAEDEADYYCALYMGNGGHMFGGGTKLTVLGQPKAAPSVTLFPPSSEELQANKATLVCLISDFYPGAVTVAWKADSSPVKAGVETTTPSKQSNNKYAASSYLSLTPEQWKSHRSYSCQVTHEGSTVEKTVAPTECS
Название Испытуемые буферы Изменение содержания основного пика за 48 ч BCD-135 20 мМ фосфатный буфер pH 6.0 ∆=-0.126% BCD-135 20 мМ ацетатный буфер pH 5.0 ∆=-2.04% BCD-135 20 мМ гистидиновый буфер pH 5.5 ∆=-1.55% 

Позиции участвующие во взаимодействии с PD-L1 человека Позиции PD-L1 человека, участвующие во взаимодействии с BCD-135 VH BCD-135 N55 G33 L99 K105 M100a D103 T100b Q83 VL BCD-135 N50 N94 N35 Y32 A85 T30a K89 N94 Q100